引用本文: 謝歡, 印隆林, 茍文梟, 陳曉煜, 王富民. 胰腺少見腫瘤的CT及MRI診斷(附34例報道). 中國普外基礎與臨床雜志, 2017, 24(1): 107-114. doi: 10.7507/1007-9424.201609022 復制
胰腺一些少見的組織學類型腫瘤,包括神經內分泌腫瘤(neuroendocrine tumor of the pancreas,NETP)、實性假乳頭狀瘤(solid-pseudopapillary tumor of pancreas,SPTP)、導管內乳頭狀黏液瘤(intraductal papillary mucinous neoplasm,IPMN)、漿液性囊腺瘤(serous cystadenoma,SCA)或黏液性囊腺瘤(mucinous cystadenoma,MCA)等發病率低,生物學行為可為良性或惡性,影像學表現各異,臨床醫生認識常常存在不足。準確把握這類腫瘤的影像學特征將有利于提高其診斷的準確性,指導臨床治療方案的制定并恰當評價患者預后。為此,筆者回顧性分析了34例經手術及病理學檢查證實的胰腺少見組織學類型腫瘤的影像學特征,以期提高對這類腫瘤的認識。
1 資料與方法
1.1 一般資料
回顧性分析2012年 1 月至2016年 2 月期間在四川省醫學科學院?四川省人民醫院行上腹部CT或MRI檢查的34例胰腺少見組織學類型腫瘤患者的影像學資料,其中19例行CT檢查,11例行MRI檢查,4 例同時行CT及MRI檢查,所有病例均行手術切除并經病理學檢查及免疫組化染色證實診斷,包括NETP 13例(無功能性 9 例、功能性 4 例)、SPTP 10例、IPMN 2例、SCA 7 例和MCA 2 例。34例患者中,男 6 例、女28例;年齡17~74歲,平均46.4歲。23例主要表現為腹痛不適,3 例出現黃疸,4 例出現低血糖、腹瀉等內分泌癥狀,7 例無明顯臨床癥狀、系偶然發現。
1.2 檢查方法
CT檢查設備為64排螺旋CT掃描機(SOMATOM PERSPECTIVE,Siemens),CT檢查患者均行上腹部平掃加三期動態增強掃描,掃描范圍從膈頂至腎臟下極。每例患者檢查前均簽署知情同意書,口服對比劑充盈胃腸道并進行呼吸訓練。具體掃描參數為:管電壓120 kv、自動調制電流(Care Dose 4D)、準直器厚度0.625 mm、螺距1.2、重建層厚8.0 mm及1.5 mm。增強掃描均采用高壓注射器經肘靜脈團注非離子碘對比劑(320 mgI/mL,恒瑞藥業有限公司),用量1.2~1.5 mL/kg,注射速度2.5~3 mL/s,三期掃描延遲時間分別為注射對比劑后20~30 s、60~70 s、120 s。
MRI檢查設備為1.5 T超導高場強MRI掃描機(AVANTO,Siemens),8 通道體部相陣控線圈。MRI檢查患者均行上腹部平掃及多期動態增強掃描,每例患者檢查前均簽署知情同意書并進行呼吸訓練。首先行上腹部平掃,包括冠狀TRUE-FISP序列、軸位同反相位雙回波T1W序列、軸位HASTE T2W序列及MRCP水成像。隨后行多期動態增強掃描,先采用3D-VIBE序列(層厚2.5 mm)于對比劑注射后分別延遲20 s、40 s和60 s掃描獲得動脈早期、動脈晚期及門靜脈期圖像,然后采用2D-GRE T1W序列行常規軸位(層厚 6 mm)及冠狀位(層厚 7 mm)獲取平衡期圖像。Gd-DTPA對比劑(北陸藥業股份公司)均經前臂靜脈采用高壓注射器注入,用量0.2 mmol/kg,注射速率2 mL/s。
1.3 圖像分析
所有患者的影像學資料均回傳到工作站(SYNGO,Siemens)上完成圖像后處理及分析工作。由兩位長期從事腹部影像診斷的高年資醫師及 1 位住院醫師共同完成閱片工作;兩位高年資醫師在不知道手術病理結果情況下對每例患者圖像進行分析,遇有爭議者通過討論取得共識;住院醫師負責圖像后處理并記錄觀察結果。重點觀察:腫瘤的位置、形態、大小、邊界等;腫瘤的密度(信號)特點,有無壞死、出血、鈣化、分隔等;腫瘤強化模式及強化程度;腫瘤對鄰近結構的影響,包括膽、胰管是否擴張,是否包繞侵犯鄰近血管或其他組織;有無其他臟器或淋巴結轉移等。
2 結果
2.1 NETP的影像學表現
本組13例NETP病例中,5 例行CT檢查,6 例行MRI檢查,2 例同時行CT和MRI檢查。腫瘤位于胰頭及鉤突部 6 例,胰頸部 1 例,胰體尾部 6 例;腫瘤直徑1.5~9.0 cm,平均4.3 cm;呈圓形或類圓形11例,分葉狀 2 例。在CT或MRI平掃圖像上,6 例實性腫瘤表現為均勻或稍欠均勻的軟組織密度(信號)腫塊,4 例實性成分為主的囊實性腫瘤表現為軟組織密度(信號)為主的混雜密度(信號)腫塊,3 例囊性成分為主的囊實性腫瘤表現為液性密度(信號)為主的混雜密度(信號)腫塊。在增強圖像上,腫瘤較均勻強化者 6 例、不均勻強化者 5 例、環狀強化者 2 例。腫瘤實性成分的強化模式與程度與正常胰腺實質比較表現為:① 5 例動脈期明顯強化、門靜脈期及延遲期持續性強化且高于胰腺實質(圖 1);② 2 例動脈期明顯強化、門靜脈期及延遲期強化下降至與胰腺實質相近;③ 3 例多期增強掃描強化程度均與胰腺實質相近;④ 3 例動脈期輕度強化、門靜脈期及延遲期強化程度增加與胰腺實質接近。1 例發現肝臟多個轉移結節(平掃及增強信號特點與原發腫瘤類似)及胰頭周圍腫大淋巴結,1 例發現腹膜后腫大淋巴結,2 例位于胰頭部的腫瘤包繞胰周血管且與鄰近腸管分界不清,這 4 例診斷為惡性NETP。2 例位于胰頭部的腫瘤壓迫胰、膽管致肝內外膽管及主胰管明顯擴張。

2.2 SPTP的影像學表現
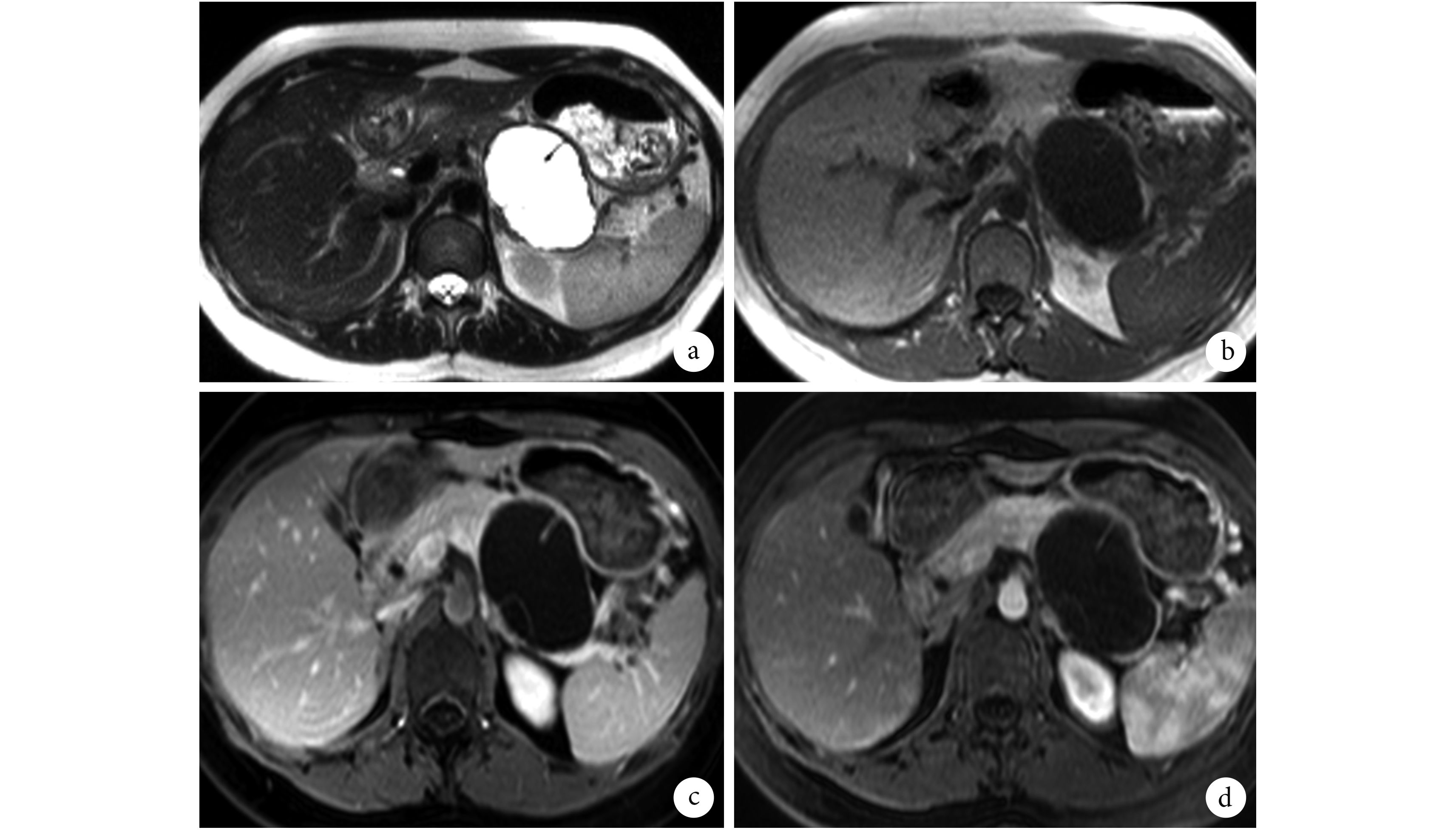
本組10例SPTP病例中,6 例行CT檢查、3 例行MRI檢查,1 例同時行CT和MRI檢查。腫瘤位于胰頭部 1 例,體胰尾部 9 例;腫瘤直徑2.3~13 cm,平均5.3 cm;呈圓形或類圓形 7 例,分葉狀 3 例;7 例見完整包膜、2 例包膜欠連續、1 例未見包膜。在CT或MRI平掃圖像上,2 例實性成分為主的SPTP表現為邊界清楚、密度(信號)稍欠均勻的軟組織密度(信號)腫塊,囊性成分主要位于腫塊中心;5 例囊實性成分相仿的SPTP表現為軟組織與液性密度(信號)混雜的腫塊,囊實性成分分界欠清;3 例囊性成分為主的SPTP表現為液性密度(信號)為主的混雜密度(信號)腫塊,實性成分位于腫瘤邊緣呈“壁結節”樣改變,或散在分布于腫瘤內呈“浮云征”樣改變。3 例(實性腫瘤 1 例,囊實性成分相仿腫瘤 2 例)MRI圖像所顯示腫瘤內出血獲手術病理證實(圖 2),1 例實性成分為主腫瘤CT平掃顯示腫瘤內散在分布小點狀鈣化。在CT、MRI多期動態增強掃描圖像上,所有病例腫瘤實性成分及包膜均表現為動脈期輕度強化、靜脈期及延遲期漸進性強化模式,其中 9 例在延遲期強化程度低于正常胰腺實質、1 例延遲期強化程度與正常胰腺實質相近,囊性成分各期均不強化,增強掃描后囊、實性成分分界趨于清楚。1 例位于胰頭部的SPTP壓迫膽總管壺腹部且與十二指腸環分界不清,肝內、外膽管及主胰管擴張,膽囊增大。

2.3 IPMN的影像學表現
本組 2 例IPMN均為MRI檢查病例,腫瘤均位于胰頭部,腫瘤直徑分別為3.6 cm和3.0 cm;均為混合型,表現為主胰管全程及胰頭部分支胰管擴張的多房囊性腫瘤,主胰管擴張最大直徑約0.6 cm,胰管內未見突起或結節影;在MRCP圖像上呈“葡萄串”樣改變,其內可見分隔,未見結節影;增強掃描分隔見輕度強化(圖 3)。

2.4 SCA的影像學表現
本組 7 例SCA患者中,5 例行CT檢查、2 例行MRI掃描;腫瘤位于胰頭部 2 例,體尾部 5 例;腫瘤直徑3.1~6.0 cm,平均4.3 cm;均呈圓形或類圓形。4 例單囊型(均為CT檢查患者)平掃圖像表現為薄壁、密度均勻的囊性腫塊,邊界清楚,未見分隔及鈣化;3 例微囊型(1 例行CT檢查、2 例MRI檢查)均表現為多個小囊組成的囊性密度(信號)腫塊,均見較多細線狀分隔(圖 4)。1 例(CT檢查者)可見較明顯中央纖維瘢痕。CT及MRI增強掃描囊壁及分隔均有不同程度強化,囊內容物未見強化。

2.5 MCA的影像學表現
本組 2 例MCA病例,腫瘤均位于胰腺體尾部,腫瘤直徑分別為7.1 cm和5.4 cm;腫塊均呈類圓形,邊界清楚。1 例行CT檢查,平掃表現為單囊狀腫塊影,壁薄、囊液密度均勻,未見壁結節及鈣化;1 例同時行CT及MRI檢查,囊性腫塊內見少許線樣分隔;增強掃描 2 例腫瘤囊壁及分隔較明顯強化,囊內容物未見強化(圖 5)。

3 討論
胰腺少見腫瘤發病率低、組織學來源復雜,多數為良性或低度惡性腫瘤,預后普遍優于胰腺癌。不同組織學類型的胰腺少見腫瘤影像學表現具有一定特征性,準確認識這類腫瘤的影像學特點對提高診斷準確率、指導臨床制定治療方案并評價患者預后具有重要價值。
3.1 NETP
NETP起源于胰腺導管上皮多能干細胞,是一種少見的胰腺內分泌腫瘤,發病率低于1/10萬[1],發病高峰年齡為30~60歲,無明顯性別差異[2]。根據腫瘤是否引起內分泌癥狀將其分為功能性及非功能性,功能性NETP分泌各種激素引起相應的內分泌癥狀而被較早發現,腫瘤通常較小(直徑<2 cm),且多為實性。非功能性NETP常因缺乏典型臨床癥狀發現較晚,就診時腫瘤體積一般較大(直徑>5 cm)[3],可表現為實性腫塊,或因發生壞死、囊變表現為囊實混合性或囊性腫塊。本組13例NETP患者中,4 例功能性腫瘤平均直徑約2.8 cm,9 例非能性腫瘤平均直徑約4.9 cm,與文獻報道基本相符。實性NETP在CT或MRI平掃圖像上常表現為均勻或稍欠均勻的軟組織密度(信號)腫塊;囊實性NETP依據其實性及囊性成分比例差異可表現為軟組織密度(信號)為主或液性密度(信號)為主的混雜密度(信號)腫塊。NETP為一種胰腺富血供腫瘤,Gr?zinger等[4] 用CT灌注掃描研究發現,NETP相對于正常胰腺實質其血流量和血容量更高,且其肝臟轉移病灶具有相同的富血供特點。NETP在CT與MRI動態增強掃描時可表現出多種強化模式,實性腫瘤多表現為動脈期顯著均勻強化、門靜脈期強化程度可降低,但常高于正常胰腺實質;囊實性腫瘤總體強化程度常低于實性腫瘤,甚至低于正常胰腺實質[5];當以實性成分為主時腫瘤表現為動脈期明顯不均勻強化;當囊性比例大或以囊性為主時,腫瘤動脈期呈不均勻強化或環形薄壁明顯強化,壞死囊變區無強化,本組病例也證實了這一特點。 有學者[6]認為,NETP出現瘤體周邊環形薄壁明顯強化,且強化程度高于正常胰腺及瘤體內部為其一特征性的影像學表現,本組2例環狀強化病例表現相對不典型。判斷NETP的良、惡性是影像學診斷的重要內容,當發現腫瘤與鄰近組織分界不清、胰周血管被腫瘤包繞、腹膜后腫大淋巴結等應高度懷疑腫瘤有惡性傾向,當肝臟或其他臟器出現轉移灶則可明確診斷為惡性腫瘤。
3.2 SPTP
SPTP的起源目前尚有爭議,有認為起源于胰腺外分泌腺細胞、內分泌腺細胞或具有向內外分泌腺分化的全能細胞等。它是一種良性、交界性或低度惡性的腫瘤,約占胰腺所有腫瘤的0.9%~2.7%[7]。體尾部多見,年輕女性好發,男女發病比例約1∶8,腫瘤常較大,平均直徑可達7.8 cm[8],本組病例5.3 cm。SPTP在CT或MRI上的表現依據腫瘤囊實性成分的比例及分布差異呈現不同的影像特點:以囊性成分為主者實性成分常位于腫瘤邊緣或散在分布于腫瘤內呈“壁結節”或“浮云征”表現[9];囊實性成分相仿者囊實性結構常相間分布;以實性成分為主者囊性成分多位于包膜下或散在分布于實性成分中。CT及MRI動態增強掃描對SPTP與其他胰腺腫瘤相鑒別具有重要價值:SPTP實性成分常表現為漸進性強化且強化程度一般低于正常胰腺實質、少數延遲期強化程度可接近正常胰腺實質[10],囊性成分不強化,強化后囊實性成分分界清楚。本組10例增強掃描均表現為漸進性強化特點,其中 9 例強化程度低于正常胰腺,1 例延遲期強化程度與正常胰腺實質接近。SPTP容易并發出血[11-12],當T1W平掃圖像上腫瘤內出現高信號或出現液-液平常提示出血[9,13-14],本組 3 例腫瘤出現上述征象經手術及病理學檢查證實瘤內有出血。鈣化是SPTP的另一常見影像學特征[15],鈣化多位于腫塊邊緣,呈點狀或細條狀,甚至可表現為殼狀鈣化,CT平掃顯示鈣化敏感,本組 1 例發現散在點狀鈣化灶。SPTP常具有完整的包膜,對周圍組織常表現為壓迫征象,即使位于胰頭部也不易引起肝內外膽管及主胰管擴張[16];少數腫瘤出現局部包膜不連續、腫瘤與鄰近結構分界不清或出現鄰近血管被包繞,可提示腫瘤有惡性傾向,本組 2 例有此征象并獲手術及病理學檢查證實。
3.3 IPMN
IPMN是主胰管或分支胰管黏膜上皮細胞瘤性生長并產生濃稠的黏液,導致胰管梗阻擴張的腫瘤,好發于60~70歲的老年男性,男女比約2.2∶1[17],胰頭及鉤突部多見。依據腫瘤發生部位將其分為 3 型:主胰管型,表現為主胰管彌漫性和(或)節段性擴張,擴張的胰管壁上可見結節狀和(或)扁平狀的軟組織突起,可合并胰腺實質的萎縮;分支胰管型,表現為分支胰管擴張,呈單房或多房囊性,典型者呈“葡萄串”樣改變,瘤內可見線狀分隔及乳頭狀小結節,擴張的分支胰管與主胰管相通,主胰管擴張不明顯;混合型,表現為主胰管和分支胰管均受累擴張,瘤內可見分隔及軟組織結節。本組 2 例IPMN均為混合型,表現為胰頭部的多房囊性腫瘤。病理上根據導管上皮的異型性,將IPMN分為腺瘤、交界性腫瘤、非浸潤性癌及浸潤性癌 4 類[18],絕大多數分支胰管型為良性腫瘤,其他兩型較常表現為惡性。不同研究對腫瘤良、惡性的影像學判斷標準存在一定差異:有學者[19]認為,分支胰管型腫瘤直徑>3.0 cm、間隔增厚呈實性腫塊、主胰管擴張直徑>1.0 cm、胰管內壁不規則、胰管內結節直徑>1.0 cm則提示腫瘤為惡性; Kawai等[20]認為,當腫瘤直徑超過3 cm、壁結節直徑超過0.5 cm是診斷腫瘤為惡性的重要依據;Sugiyama等[21]報道,IPMT的主胰管直徑擴張≥7 mm可能提示惡性。本組 1 例混合型IPMN最大徑約3.6 cm,病理學檢查提示為交界性IPMT。IPMN與SMA、MCA等胰腺囊性腫瘤鑒別的關鍵是IPMN的囊腔與胰管相通,MRI特別是MRCP能很好地顯示擴張胰管的整體形態、范圍、腫瘤和主胰管的溝通情況等,對IPMN的診斷及鑒別有明顯優勢。本組 2 例腫瘤MRI圖像均明確顯示腫瘤囊腔與胰管相通。
3.4 SCA
SCA起源于胰腺腺泡中心細胞,能產生漿液及豐富糖原,根據大體病理將其分為微囊型和少囊型,微囊型又分為多囊型、蜂房型[22]。SCA好發于50~60歲的中年女性,不同類型的SCA的發病性別、部位及影像特征存在一定差異性。微囊型約占SCA的90%[23],好發于女性,胰體尾部多見;少囊型相對少見,無明顯性別差異性,胰頭體部多見。多囊型常呈邊界清楚的多房囊性腫瘤,囊腔數目≥6 個,且每個囊腔直徑常≤2 cm[24],囊腔間可見細線樣纖維分隔,特征性表現為腫瘤中央見星狀纖維疤痕且中央疤痕內偶見星芒狀鈣化[25]。CT薄層圖像及MRI T2W圖像對囊內細線樣分隔顯示更清楚。增強掃描囊壁及分隔可中等到明顯強化。本組病例中,3 例為多囊型,均表現為邊界清楚的多房囊性腫瘤,其中 1 例見中央纖維瘢痕。蜂房型其囊腔更多更小,囊腔在CT或MRI圖像上常難以清晰顯示,表現為邊界清楚的軟組織密度(信號)或混雜密度(信號)腫塊。增強掃描呈中等或明顯不規則強化。少囊型在CT或MRI圖像上可表現為單囊性或多房囊性腫塊,但其內囊腔數目常<6個,囊壁薄,中心可見少許纖維間隔,增強掃描囊壁常無強化,本組 4 例少囊型均表現為壁薄均勻的單囊型腫瘤。SCA主要應與MCN、IPNM等相鑒別,多囊型SMA囊腔常多而小,可出現特征性中央纖維瘢痕及星芒狀鈣化,容易診斷。少囊型SMA不具特征性,影像上與MCN鑒別困難。
3.5 MCA
MCA起源于胰腺外周導管上皮,常發生于40歲以上的中老年女性。有文獻[26]統計其女性發病率可達99.7%,平均發病年齡47歲,94.6%的腫瘤位于胰腺體尾部,腫瘤平均最大徑達8.7 cm。MCA主要表現為邊界清楚的圓形、卵圓形或分葉狀囊性腫瘤,可呈單囊也可呈多囊表現,多囊時,其子囊直徑常>2 cm。囊壁可厚薄不均,囊內可見多少不一分隔,分隔可厚薄不均。少數瘤內可見大小不等乳頭狀附壁結節。腫瘤在CT或MRI圖像上可因黏液成分不同呈不同密度(信號)特點,胰腺囊性病變在CT圖像上呈高密度或MRI T1W上呈高信號有助于MCA的診斷。CT或MRI增強掃描瘤壁、分隔及壁結節可呈中度或明顯強化。病理上根據良、惡性的不同將其分為黏液性囊腺瘤、黏液性交界性囊腺瘤和黏液性囊腺癌,惡性及交界性腫瘤較常見,可占27%[26]。惡性MCA在影像上有一定的特征表現,腫瘤直徑較大、形態不規則,瘤壁及瘤內分隔較厚且不均勻,腫瘤內出現附壁結節均應警惕惡性可能;當發現腫瘤侵襲周圍血管或出現腹膜后腫大淋巴結應高度懷疑惡性腫瘤,當出現其他臟器轉移時則診斷為惡性腫瘤。本組 2 例均為女性,位于體尾部,表現為壁較薄均勻的囊性腫瘤,病理上為黏液性囊腺瘤。
綜上所述,胰腺少見腫瘤組織病理學特征各異,影像上也各具其特征性影像表現,準確認識這類腫瘤的影像學特點將利于提高其診斷的準確性。
胰腺一些少見的組織學類型腫瘤,包括神經內分泌腫瘤(neuroendocrine tumor of the pancreas,NETP)、實性假乳頭狀瘤(solid-pseudopapillary tumor of pancreas,SPTP)、導管內乳頭狀黏液瘤(intraductal papillary mucinous neoplasm,IPMN)、漿液性囊腺瘤(serous cystadenoma,SCA)或黏液性囊腺瘤(mucinous cystadenoma,MCA)等發病率低,生物學行為可為良性或惡性,影像學表現各異,臨床醫生認識常常存在不足。準確把握這類腫瘤的影像學特征將有利于提高其診斷的準確性,指導臨床治療方案的制定并恰當評價患者預后。為此,筆者回顧性分析了34例經手術及病理學檢查證實的胰腺少見組織學類型腫瘤的影像學特征,以期提高對這類腫瘤的認識。
1 資料與方法
1.1 一般資料
回顧性分析2012年 1 月至2016年 2 月期間在四川省醫學科學院?四川省人民醫院行上腹部CT或MRI檢查的34例胰腺少見組織學類型腫瘤患者的影像學資料,其中19例行CT檢查,11例行MRI檢查,4 例同時行CT及MRI檢查,所有病例均行手術切除并經病理學檢查及免疫組化染色證實診斷,包括NETP 13例(無功能性 9 例、功能性 4 例)、SPTP 10例、IPMN 2例、SCA 7 例和MCA 2 例。34例患者中,男 6 例、女28例;年齡17~74歲,平均46.4歲。23例主要表現為腹痛不適,3 例出現黃疸,4 例出現低血糖、腹瀉等內分泌癥狀,7 例無明顯臨床癥狀、系偶然發現。
1.2 檢查方法
CT檢查設備為64排螺旋CT掃描機(SOMATOM PERSPECTIVE,Siemens),CT檢查患者均行上腹部平掃加三期動態增強掃描,掃描范圍從膈頂至腎臟下極。每例患者檢查前均簽署知情同意書,口服對比劑充盈胃腸道并進行呼吸訓練。具體掃描參數為:管電壓120 kv、自動調制電流(Care Dose 4D)、準直器厚度0.625 mm、螺距1.2、重建層厚8.0 mm及1.5 mm。增強掃描均采用高壓注射器經肘靜脈團注非離子碘對比劑(320 mgI/mL,恒瑞藥業有限公司),用量1.2~1.5 mL/kg,注射速度2.5~3 mL/s,三期掃描延遲時間分別為注射對比劑后20~30 s、60~70 s、120 s。
MRI檢查設備為1.5 T超導高場強MRI掃描機(AVANTO,Siemens),8 通道體部相陣控線圈。MRI檢查患者均行上腹部平掃及多期動態增強掃描,每例患者檢查前均簽署知情同意書并進行呼吸訓練。首先行上腹部平掃,包括冠狀TRUE-FISP序列、軸位同反相位雙回波T1W序列、軸位HASTE T2W序列及MRCP水成像。隨后行多期動態增強掃描,先采用3D-VIBE序列(層厚2.5 mm)于對比劑注射后分別延遲20 s、40 s和60 s掃描獲得動脈早期、動脈晚期及門靜脈期圖像,然后采用2D-GRE T1W序列行常規軸位(層厚 6 mm)及冠狀位(層厚 7 mm)獲取平衡期圖像。Gd-DTPA對比劑(北陸藥業股份公司)均經前臂靜脈采用高壓注射器注入,用量0.2 mmol/kg,注射速率2 mL/s。
1.3 圖像分析
所有患者的影像學資料均回傳到工作站(SYNGO,Siemens)上完成圖像后處理及分析工作。由兩位長期從事腹部影像診斷的高年資醫師及 1 位住院醫師共同完成閱片工作;兩位高年資醫師在不知道手術病理結果情況下對每例患者圖像進行分析,遇有爭議者通過討論取得共識;住院醫師負責圖像后處理并記錄觀察結果。重點觀察:腫瘤的位置、形態、大小、邊界等;腫瘤的密度(信號)特點,有無壞死、出血、鈣化、分隔等;腫瘤強化模式及強化程度;腫瘤對鄰近結構的影響,包括膽、胰管是否擴張,是否包繞侵犯鄰近血管或其他組織;有無其他臟器或淋巴結轉移等。
2 結果
2.1 NETP的影像學表現
本組13例NETP病例中,5 例行CT檢查,6 例行MRI檢查,2 例同時行CT和MRI檢查。腫瘤位于胰頭及鉤突部 6 例,胰頸部 1 例,胰體尾部 6 例;腫瘤直徑1.5~9.0 cm,平均4.3 cm;呈圓形或類圓形11例,分葉狀 2 例。在CT或MRI平掃圖像上,6 例實性腫瘤表現為均勻或稍欠均勻的軟組織密度(信號)腫塊,4 例實性成分為主的囊實性腫瘤表現為軟組織密度(信號)為主的混雜密度(信號)腫塊,3 例囊性成分為主的囊實性腫瘤表現為液性密度(信號)為主的混雜密度(信號)腫塊。在增強圖像上,腫瘤較均勻強化者 6 例、不均勻強化者 5 例、環狀強化者 2 例。腫瘤實性成分的強化模式與程度與正常胰腺實質比較表現為:① 5 例動脈期明顯強化、門靜脈期及延遲期持續性強化且高于胰腺實質(圖 1);② 2 例動脈期明顯強化、門靜脈期及延遲期強化下降至與胰腺實質相近;③ 3 例多期增強掃描強化程度均與胰腺實質相近;④ 3 例動脈期輕度強化、門靜脈期及延遲期強化程度增加與胰腺實質接近。1 例發現肝臟多個轉移結節(平掃及增強信號特點與原發腫瘤類似)及胰頭周圍腫大淋巴結,1 例發現腹膜后腫大淋巴結,2 例位于胰頭部的腫瘤包繞胰周血管且與鄰近腸管分界不清,這 4 例診斷為惡性NETP。2 例位于胰頭部的腫瘤壓迫胰、膽管致肝內外膽管及主胰管明顯擴張。

2.2 SPTP的影像學表現
本組10例SPTP病例中,6 例行CT檢查、3 例行MRI檢查,1 例同時行CT和MRI檢查。腫瘤位于胰頭部 1 例,體胰尾部 9 例;腫瘤直徑2.3~13 cm,平均5.3 cm;呈圓形或類圓形 7 例,分葉狀 3 例;7 例見完整包膜、2 例包膜欠連續、1 例未見包膜。在CT或MRI平掃圖像上,2 例實性成分為主的SPTP表現為邊界清楚、密度(信號)稍欠均勻的軟組織密度(信號)腫塊,囊性成分主要位于腫塊中心;5 例囊實性成分相仿的SPTP表現為軟組織與液性密度(信號)混雜的腫塊,囊實性成分分界欠清;3 例囊性成分為主的SPTP表現為液性密度(信號)為主的混雜密度(信號)腫塊,實性成分位于腫瘤邊緣呈“壁結節”樣改變,或散在分布于腫瘤內呈“浮云征”樣改變。3 例(實性腫瘤 1 例,囊實性成分相仿腫瘤 2 例)MRI圖像所顯示腫瘤內出血獲手術病理證實(圖 2),1 例實性成分為主腫瘤CT平掃顯示腫瘤內散在分布小點狀鈣化。在CT、MRI多期動態增強掃描圖像上,所有病例腫瘤實性成分及包膜均表現為動脈期輕度強化、靜脈期及延遲期漸進性強化模式,其中 9 例在延遲期強化程度低于正常胰腺實質、1 例延遲期強化程度與正常胰腺實質相近,囊性成分各期均不強化,增強掃描后囊、實性成分分界趨于清楚。1 例位于胰頭部的SPTP壓迫膽總管壺腹部且與十二指腸環分界不清,肝內、外膽管及主胰管擴張,膽囊增大。

2.3 IPMN的影像學表現
本組 2 例IPMN均為MRI檢查病例,腫瘤均位于胰頭部,腫瘤直徑分別為3.6 cm和3.0 cm;均為混合型,表現為主胰管全程及胰頭部分支胰管擴張的多房囊性腫瘤,主胰管擴張最大直徑約0.6 cm,胰管內未見突起或結節影;在MRCP圖像上呈“葡萄串”樣改變,其內可見分隔,未見結節影;增強掃描分隔見輕度強化(圖 3)。

2.4 SCA的影像學表現
本組 7 例SCA患者中,5 例行CT檢查、2 例行MRI掃描;腫瘤位于胰頭部 2 例,體尾部 5 例;腫瘤直徑3.1~6.0 cm,平均4.3 cm;均呈圓形或類圓形。4 例單囊型(均為CT檢查患者)平掃圖像表現為薄壁、密度均勻的囊性腫塊,邊界清楚,未見分隔及鈣化;3 例微囊型(1 例行CT檢查、2 例MRI檢查)均表現為多個小囊組成的囊性密度(信號)腫塊,均見較多細線狀分隔(圖 4)。1 例(CT檢查者)可見較明顯中央纖維瘢痕。CT及MRI增強掃描囊壁及分隔均有不同程度強化,囊內容物未見強化。

2.5 MCA的影像學表現
本組 2 例MCA病例,腫瘤均位于胰腺體尾部,腫瘤直徑分別為7.1 cm和5.4 cm;腫塊均呈類圓形,邊界清楚。1 例行CT檢查,平掃表現為單囊狀腫塊影,壁薄、囊液密度均勻,未見壁結節及鈣化;1 例同時行CT及MRI檢查,囊性腫塊內見少許線樣分隔;增強掃描 2 例腫瘤囊壁及分隔較明顯強化,囊內容物未見強化(圖 5)。

3 討論
胰腺少見腫瘤發病率低、組織學來源復雜,多數為良性或低度惡性腫瘤,預后普遍優于胰腺癌。不同組織學類型的胰腺少見腫瘤影像學表現具有一定特征性,準確認識這類腫瘤的影像學特點對提高診斷準確率、指導臨床制定治療方案并評價患者預后具有重要價值。
3.1 NETP
NETP起源于胰腺導管上皮多能干細胞,是一種少見的胰腺內分泌腫瘤,發病率低于1/10萬[1],發病高峰年齡為30~60歲,無明顯性別差異[2]。根據腫瘤是否引起內分泌癥狀將其分為功能性及非功能性,功能性NETP分泌各種激素引起相應的內分泌癥狀而被較早發現,腫瘤通常較小(直徑<2 cm),且多為實性。非功能性NETP常因缺乏典型臨床癥狀發現較晚,就診時腫瘤體積一般較大(直徑>5 cm)[3],可表現為實性腫塊,或因發生壞死、囊變表現為囊實混合性或囊性腫塊。本組13例NETP患者中,4 例功能性腫瘤平均直徑約2.8 cm,9 例非能性腫瘤平均直徑約4.9 cm,與文獻報道基本相符。實性NETP在CT或MRI平掃圖像上常表現為均勻或稍欠均勻的軟組織密度(信號)腫塊;囊實性NETP依據其實性及囊性成分比例差異可表現為軟組織密度(信號)為主或液性密度(信號)為主的混雜密度(信號)腫塊。NETP為一種胰腺富血供腫瘤,Gr?zinger等[4] 用CT灌注掃描研究發現,NETP相對于正常胰腺實質其血流量和血容量更高,且其肝臟轉移病灶具有相同的富血供特點。NETP在CT與MRI動態增強掃描時可表現出多種強化模式,實性腫瘤多表現為動脈期顯著均勻強化、門靜脈期強化程度可降低,但常高于正常胰腺實質;囊實性腫瘤總體強化程度常低于實性腫瘤,甚至低于正常胰腺實質[5];當以實性成分為主時腫瘤表現為動脈期明顯不均勻強化;當囊性比例大或以囊性為主時,腫瘤動脈期呈不均勻強化或環形薄壁明顯強化,壞死囊變區無強化,本組病例也證實了這一特點。 有學者[6]認為,NETP出現瘤體周邊環形薄壁明顯強化,且強化程度高于正常胰腺及瘤體內部為其一特征性的影像學表現,本組2例環狀強化病例表現相對不典型。判斷NETP的良、惡性是影像學診斷的重要內容,當發現腫瘤與鄰近組織分界不清、胰周血管被腫瘤包繞、腹膜后腫大淋巴結等應高度懷疑腫瘤有惡性傾向,當肝臟或其他臟器出現轉移灶則可明確診斷為惡性腫瘤。
3.2 SPTP
SPTP的起源目前尚有爭議,有認為起源于胰腺外分泌腺細胞、內分泌腺細胞或具有向內外分泌腺分化的全能細胞等。它是一種良性、交界性或低度惡性的腫瘤,約占胰腺所有腫瘤的0.9%~2.7%[7]。體尾部多見,年輕女性好發,男女發病比例約1∶8,腫瘤常較大,平均直徑可達7.8 cm[8],本組病例5.3 cm。SPTP在CT或MRI上的表現依據腫瘤囊實性成分的比例及分布差異呈現不同的影像特點:以囊性成分為主者實性成分常位于腫瘤邊緣或散在分布于腫瘤內呈“壁結節”或“浮云征”表現[9];囊實性成分相仿者囊實性結構常相間分布;以實性成分為主者囊性成分多位于包膜下或散在分布于實性成分中。CT及MRI動態增強掃描對SPTP與其他胰腺腫瘤相鑒別具有重要價值:SPTP實性成分常表現為漸進性強化且強化程度一般低于正常胰腺實質、少數延遲期強化程度可接近正常胰腺實質[10],囊性成分不強化,強化后囊實性成分分界清楚。本組10例增強掃描均表現為漸進性強化特點,其中 9 例強化程度低于正常胰腺,1 例延遲期強化程度與正常胰腺實質接近。SPTP容易并發出血[11-12],當T1W平掃圖像上腫瘤內出現高信號或出現液-液平常提示出血[9,13-14],本組 3 例腫瘤出現上述征象經手術及病理學檢查證實瘤內有出血。鈣化是SPTP的另一常見影像學特征[15],鈣化多位于腫塊邊緣,呈點狀或細條狀,甚至可表現為殼狀鈣化,CT平掃顯示鈣化敏感,本組 1 例發現散在點狀鈣化灶。SPTP常具有完整的包膜,對周圍組織常表現為壓迫征象,即使位于胰頭部也不易引起肝內外膽管及主胰管擴張[16];少數腫瘤出現局部包膜不連續、腫瘤與鄰近結構分界不清或出現鄰近血管被包繞,可提示腫瘤有惡性傾向,本組 2 例有此征象并獲手術及病理學檢查證實。
3.3 IPMN
IPMN是主胰管或分支胰管黏膜上皮細胞瘤性生長并產生濃稠的黏液,導致胰管梗阻擴張的腫瘤,好發于60~70歲的老年男性,男女比約2.2∶1[17],胰頭及鉤突部多見。依據腫瘤發生部位將其分為 3 型:主胰管型,表現為主胰管彌漫性和(或)節段性擴張,擴張的胰管壁上可見結節狀和(或)扁平狀的軟組織突起,可合并胰腺實質的萎縮;分支胰管型,表現為分支胰管擴張,呈單房或多房囊性,典型者呈“葡萄串”樣改變,瘤內可見線狀分隔及乳頭狀小結節,擴張的分支胰管與主胰管相通,主胰管擴張不明顯;混合型,表現為主胰管和分支胰管均受累擴張,瘤內可見分隔及軟組織結節。本組 2 例IPMN均為混合型,表現為胰頭部的多房囊性腫瘤。病理上根據導管上皮的異型性,將IPMN分為腺瘤、交界性腫瘤、非浸潤性癌及浸潤性癌 4 類[18],絕大多數分支胰管型為良性腫瘤,其他兩型較常表現為惡性。不同研究對腫瘤良、惡性的影像學判斷標準存在一定差異:有學者[19]認為,分支胰管型腫瘤直徑>3.0 cm、間隔增厚呈實性腫塊、主胰管擴張直徑>1.0 cm、胰管內壁不規則、胰管內結節直徑>1.0 cm則提示腫瘤為惡性; Kawai等[20]認為,當腫瘤直徑超過3 cm、壁結節直徑超過0.5 cm是診斷腫瘤為惡性的重要依據;Sugiyama等[21]報道,IPMT的主胰管直徑擴張≥7 mm可能提示惡性。本組 1 例混合型IPMN最大徑約3.6 cm,病理學檢查提示為交界性IPMT。IPMN與SMA、MCA等胰腺囊性腫瘤鑒別的關鍵是IPMN的囊腔與胰管相通,MRI特別是MRCP能很好地顯示擴張胰管的整體形態、范圍、腫瘤和主胰管的溝通情況等,對IPMN的診斷及鑒別有明顯優勢。本組 2 例腫瘤MRI圖像均明確顯示腫瘤囊腔與胰管相通。
3.4 SCA
SCA起源于胰腺腺泡中心細胞,能產生漿液及豐富糖原,根據大體病理將其分為微囊型和少囊型,微囊型又分為多囊型、蜂房型[22]。SCA好發于50~60歲的中年女性,不同類型的SCA的發病性別、部位及影像特征存在一定差異性。微囊型約占SCA的90%[23],好發于女性,胰體尾部多見;少囊型相對少見,無明顯性別差異性,胰頭體部多見。多囊型常呈邊界清楚的多房囊性腫瘤,囊腔數目≥6 個,且每個囊腔直徑常≤2 cm[24],囊腔間可見細線樣纖維分隔,特征性表現為腫瘤中央見星狀纖維疤痕且中央疤痕內偶見星芒狀鈣化[25]。CT薄層圖像及MRI T2W圖像對囊內細線樣分隔顯示更清楚。增強掃描囊壁及分隔可中等到明顯強化。本組病例中,3 例為多囊型,均表現為邊界清楚的多房囊性腫瘤,其中 1 例見中央纖維瘢痕。蜂房型其囊腔更多更小,囊腔在CT或MRI圖像上常難以清晰顯示,表現為邊界清楚的軟組織密度(信號)或混雜密度(信號)腫塊。增強掃描呈中等或明顯不規則強化。少囊型在CT或MRI圖像上可表現為單囊性或多房囊性腫塊,但其內囊腔數目常<6個,囊壁薄,中心可見少許纖維間隔,增強掃描囊壁常無強化,本組 4 例少囊型均表現為壁薄均勻的單囊型腫瘤。SCA主要應與MCN、IPNM等相鑒別,多囊型SMA囊腔常多而小,可出現特征性中央纖維瘢痕及星芒狀鈣化,容易診斷。少囊型SMA不具特征性,影像上與MCN鑒別困難。
3.5 MCA
MCA起源于胰腺外周導管上皮,常發生于40歲以上的中老年女性。有文獻[26]統計其女性發病率可達99.7%,平均發病年齡47歲,94.6%的腫瘤位于胰腺體尾部,腫瘤平均最大徑達8.7 cm。MCA主要表現為邊界清楚的圓形、卵圓形或分葉狀囊性腫瘤,可呈單囊也可呈多囊表現,多囊時,其子囊直徑常>2 cm。囊壁可厚薄不均,囊內可見多少不一分隔,分隔可厚薄不均。少數瘤內可見大小不等乳頭狀附壁結節。腫瘤在CT或MRI圖像上可因黏液成分不同呈不同密度(信號)特點,胰腺囊性病變在CT圖像上呈高密度或MRI T1W上呈高信號有助于MCA的診斷。CT或MRI增強掃描瘤壁、分隔及壁結節可呈中度或明顯強化。病理上根據良、惡性的不同將其分為黏液性囊腺瘤、黏液性交界性囊腺瘤和黏液性囊腺癌,惡性及交界性腫瘤較常見,可占27%[26]。惡性MCA在影像上有一定的特征表現,腫瘤直徑較大、形態不規則,瘤壁及瘤內分隔較厚且不均勻,腫瘤內出現附壁結節均應警惕惡性可能;當發現腫瘤侵襲周圍血管或出現腹膜后腫大淋巴結應高度懷疑惡性腫瘤,當出現其他臟器轉移時則診斷為惡性腫瘤。本組 2 例均為女性,位于體尾部,表現為壁較薄均勻的囊性腫瘤,病理上為黏液性囊腺瘤。
綜上所述,胰腺少見腫瘤組織病理學特征各異,影像上也各具其特征性影像表現,準確認識這類腫瘤的影像學特點將利于提高其診斷的準確性。