引用本文: 李聰, 呂青, 彭玉蘭. 超聲引導導絲置入定位在乳腺觸診陰性腫塊微創切除術的應用. 中國普外基礎與臨床雜志, 2017, 24(1): 92-95. doi: 10.7507/1007-9424.201605114 復制
乳腺腫瘤是女性疾病中的常見病,乳腺癌的發病率逐年增高,隨著超聲、鉬靶等影像學技術的普及,以及女性對乳腺疾病篩查的重視,越來越多的臨床觸診陰性的乳腺腫塊被檢出。而對臨床觸診陰性腫塊的準確切除成為外科醫師面臨的一大難題,影像學引導下乳腺導絲置入定位是解決這一難題的關鍵[1-2]。現就筆者所在醫院開展超聲引導下乳腺導絲置入技術的11年間實施該技術的全部病例進行回顧性研究,分析其對乳腺腫塊微創精準切除的促進作用,以及該技術對早期乳腺癌的手術定位的引導作用,旨在推廣應用該技術以促進微創精準外科治療技術的發展。
1 資料與方法
1.1 研究對象
回顧性分析2004年12月至2015年12月期間,筆者所在醫院進行了超聲引導下乳腺腫塊導絲置入定位術后再行腫塊外科手術切除的患者影像和病歷資料,共納入患者377例,腫塊403個,均為女性患者,年齡22~77歲,中位年齡45歲。
1.2 儀器與方法
1.2.1 儀器 使用Philips 5000、Philips IU 22等彩色多普勒超聲檢查儀器,探頭頻率 5~15 MHz。探測深度以完整顯示胸壁結構為標準,聚焦點置于與腫塊同等深度,增益和時間增益補償使整個圖像質量柔和清楚顯示為佳。單鉤乳腺定位導絲,其外鞘18 G套管(INRAD美國生產),內芯為尖端銳角帶有倒鉤的金屬導絲。
1.2.2 超聲引導下乳腺腫塊導絲置入定位技術的操作方法 ①操作前臨床配合:外科醫師依據術前的超聲檢查報告在醫囑內注明需要導絲置入定位的腫塊位置和腫塊數量。②導絲置入術執行時間:對于當天第 2 臺或手術時間更滯后的乳腺腫塊患者,選擇當天手術前時間;對于手術安排為上午第 1 臺的乳腺腫塊患者,選擇手術前 1 d。③導絲置入術地點:超聲科介入手術室。④操作醫師:超聲科介入組醫師,介入團隊通常由 3 名工作人員組成,超聲介入醫師 1 名,護士 1 名,報告錄入人員 1 名。
1.2.3 超聲檢查 ①乳腺檢查:包括觀察腫塊的數目、大小、形態、位置、有無包膜、回聲類型(內部回聲、后方回聲)、周圍組織改變等圖像特征,重點注意有無微小鈣化點、周邊有無毛刺、有無庫柏韌帶、分析血流分布等特征。②引流區淋巴結檢查:重點要進行雙側腋窩淋巴結掃查,對不能排除惡性風險的病例加以雙側鎖骨上下區淋巴結的檢查,觀察淋巴結大小、數量、位置、形態、結構、皮髓質、有無鈣化等。
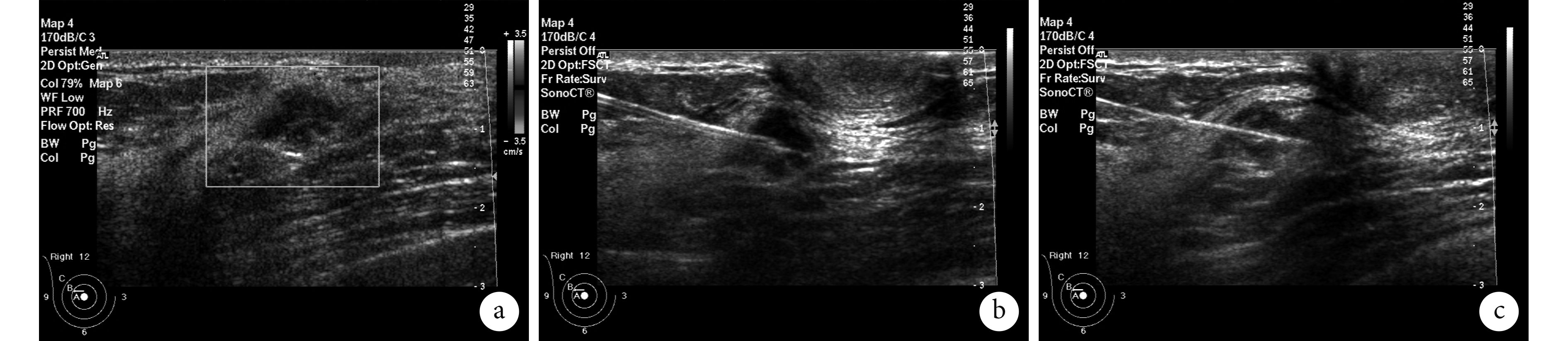
1.2.4 導絲置入定位技術的操作流程 患者取仰臥位,腫塊位于乳腺外側時可半側臥位。雙手自然上舉,置于兩耳外側,充分暴露定位側的乳腺。第 1 步,超聲介入醫師進行超聲復查,確定需要導絲置入定位的腫塊位置和大小與外科醫師醫囑要求定位的腫塊一致,不一致者需告知患者及其家屬,并與外科手術醫師溝通,達成一致意見后方可實施。第 2 步,十字交叉法確定腫塊中心位置,并做好其體表標記,然后常規消毒鋪巾,探頭表面涂無菌耦合劑后用無菌套包裹,首選短軸法進針,保證探頭中心點深面為腫塊中心點,先以 2%利多卡因局部浸潤麻醉,然后從探頭中心點位置進定位針,進針過程中采用提插法以顯示針尖位置,進針直至針尖進入腫塊深面 3~5 mm時退出針鞘,退出針鞘時需固定導絲,退出針鞘后輕輕拽拉和抖動導絲,超聲下可見腫塊隨之輕微移動,表明鉤針定位成功。導絲的尾端打圈,醫用紗布覆蓋,膠布固定紗布后患者步行回病房。對于腺體較薄的女性,腫塊深面通常沒有足夠的腺體或脂肪組織,可在退出針鞘前將針鞘打斜,這樣探頭可顯示穿刺針鞘的長軸和針尖位置,針尖穿過腫塊 3~5 mm退出針鞘,導絲處理同前。對于新開展導絲置入技術的超聲介入醫師,短軸法難度相對較大,可改為長軸法穿刺,但進針點盡量臨近腫塊,這樣的操作過程,探頭可清楚顯示針尖和針體及其前進方向,有利于新手對導絲置入技術的把控。穿刺過程可使用消毒耦合劑或碘伏顯示針尖和針體(圖 1)。報告應清楚地說明導絲置入腫塊的具體位置,置入腫塊內外上下的哪一側、邊緣還是中央,供外科醫師參考,有利于腫塊被完整切除。
1.3 外科手術切除及病理學分析
外科醫師沿導絲的鉤針位置將腫塊微創切除,切除標本送快速冰凍病理學檢查。如果腫塊為良性,則結束手術;如果為惡性,則根據病理類型,征得患者及家屬同意后行腫塊擴大范圍的局部切除(保乳手術)、乳房單純切除+前哨淋巴結切除活檢術或乳腺癌改良根治術。術后標本均送石蠟包埋,得到石蠟切片的病理結果,并按WHO乳腺癌分級標準分級[3],全部惡性病例均進行免疫組化檢查。病理TNM分期統一按照2009年AJCC第7版標準[4],均為術后分期。術后 3~6 個月復查乳腺超聲。
2 結果
本組患者均為女性,年齡22~77歲,中位年齡45歲;切除的403個腫塊均全部一次性定位成功,導絲中央置入率為30%,非中央置入率為70%。定位后均無明顯并發癥,術中完整切除腫塊率為100%。切除腫塊的直徑為(10.1±5.1)mm(3~60 mm),其中惡性腫塊直徑為(12.5±6.0) mm(5~36 mm),良性腫塊直徑為(9.9±5.0)mm(3~60 mm),兩者間的差異有統計學意義(P=0.008)。403個(100%)腫塊觸診均為陰性,其中194個(48.14%)腫塊位于外上象限,82個(20.35%)腫塊位于內上象限,75個(18.61%)腫塊位于外下象限,38個(9.43%)腫塊位于內下象限,13個(3.22%)腫塊位于中央區;1 個(0.25%)腫塊位于胸壁深面肌間,病理學檢查證實為淋巴結。403個腫塊的病理類型見表 1。惡性腫塊31個(7.69%);良性腫塊372個(92.31%),其中高危腫塊60個(16.13),淋巴結 1 個,病理結果為反應性增生淋巴結。31個惡性腫塊中11個為導管內原位癌,20個為浸潤癌(19個為浸潤性導管癌,其中 5 個伴導管內原位癌;1 個為浸潤性小葉癌)。惡性腫塊中 6 例伴有淋巴結轉移,1 例雙側乳腺均為浸潤性導管癌。惡性病例TNM分期見表 2,其中T1N0M0、T1micN0M0及TisN0M0所占比例分別為38.7%、19.3%和16.1%,1例發生遠處轉移、為T2N0M1。
3 討論
本組403個乳腺觸診陰性的腫塊術前行乳腺導絲置入定位,實現了外科精準微創切除。該方法簡單有效,避免了漏切風險。有報道[5]指出,臨床觸診陰乳腺腫塊中有25%~30%為惡性,早期乳腺癌占75%~5%。本組乳腺癌占7.69%(31/403),低于Silverstein等[6]報道的9%~42%,可能與超聲對乳腺癌的風險評估的提高和對乳腺影像和數據報告系統(breast imaging reporting and data system,BI-RADS)4類腫塊積極地進行了穿刺活檢、提高了乳腺癌早期診斷水平有關。
目前,臨床上常采用的活檢方法包括:超聲引導下亞甲藍注射定位切除活檢術,放射性粒子置入腫塊切除活檢術(radio-guided occult lesion localization,ROLL),超聲引導下麥默通旋切術,影像技術(超聲、X 線或核磁共振成像)引導下導絲定位切除活檢術,體表標記定位切除活檢術,超聲引導下細針穿刺或空芯針穿刺活檢術及常規觸診切除活檢術。超聲引導下亞甲藍注射定位切除活檢術若劑量不當或染色劑擴散均可能擴大染色范圍,這些都可能增大切除范圍,延長手術時間,從而增加出血和感染風險[7]。ROLL定位準確,但Parvez等[8]的研究發現,其與金屬導絲標記定位相比,在治療效果及乳房外形方面沒有顯著差異。而且如果意外置入導管后其廣泛彌散對患者會造成很大的損傷[9],昂貴的價格也制約了其應用[10]。X 線引導下導絲置入定位時患者體位與手術時患者體位不一致,定位導絲移位的可能性相對高,定位失敗再次定位會加大患者受輻射量,重復性差,腫塊位置較深接近胸大肌或多發腫塊時,超聲引導下導絲定位比 X 線更適合[11]。以前認為,只能使用鉬靶定位簇狀微小鈣化腫塊,目前有研究[12]指出超聲同樣可以準確定位微鈣化腫塊。MRI引導下導絲置入定位費用昂貴,操作復雜,難以廣泛應用。麥默通真空輔助乳腺微創旋切系統可準確切除良性腫塊,但應用于可疑惡性腫塊切除活檢時存在二次手術的風險,增加了經濟成本和手術創傷[13]。細針穿刺抽吸細胞學檢查(fine needle aspiration biopsy,FNAB)由于取得組織較少,診斷準確性較差。空芯針穿刺活檢術診斷準確性較高,可以取得組織行免疫組化等進一步分析,但其具有以下不足:較小腫塊取材后可能消失,術前定位困難;不能準確診斷非典型導管上皮增生、乳頭狀病變、纖維上皮性病變及早期乳腺癌[14-15]。
對于臨床不可捫及的乳腺腫塊,精準切除一直是外科醫生的難題。乳腺定位導絲引導乳腺觸診陰性腫塊的精準切除,該技術推動乳腺癌早期發現,目前國內開展并不普及,相關文獻報道較少。超聲引導下乳腺定位導絲置入后切除活檢與以上診斷方法有以下優點:①超聲引導下導絲定位可引導外科精準微創切除腫塊,超聲引導下導絲置入時患者體位與手術時體位一致,保證了定位的準確性,可有效防止導絲的移位。本組病例中所有腫塊均定位成功,腫塊均被完整切除,避免了重復定位及二次手術帶來的創傷和心理負擔。②對于觸診陰性和難以定性的惡性腫塊,精準切除實現了早期確診,且有助于TNM術后分期的準確性,本組病例惡性腫塊中,2 例 T 分期為T2者均為手術后分期,手術前預分期均為T1,6 例 N 分期為N1或N3者均為術后分期。準確的TNM分期對乳腺癌患者的病情評估及后續治療具有重大的臨床意義。③手術切除活檢能對某些良性腫塊特殊病理類型早期準確診斷及密切隨訪觀察,有助于乳腺癌的預防。本組病例中高危包塊60個,對于其隨訪及對比觀察有良好作用。此外,本組良性腫塊結果為腺病類型者中,有13個為硬化性腺病,其惡變風險較普通型腺病高。④超聲引導下導絲置入切除活檢術同時具有超聲無輻射、操作簡便及成本低的優點,與傳統觸診定位切除活檢術及超聲引導下體表定位相比,超聲引導下導絲置入定位切除活檢術可縮短手術時間,降低感染、出血等手術并發癥[16]。此外,導絲定位切除活檢術有利于術后患者乳房的外觀恢復,通過減小切口長度和縮小手術范圍,可減少乳房形狀改變,提升術后乳房組織恢復程度,術后乳房外觀更美觀;同時也有助于提高乳房重建成功率及改善重建乳房外形,減小患者的精神壓力[17]。
綜上,超聲引導乳腺導絲置入定位技術能夠輔助外科醫師對臨床觸診陰性的乳腺腫塊進行精準微創切除,符合現代外科治療原則,且具有操作方便、安全、無明顯并發癥的優點,值得在臨床推廣。
乳腺腫瘤是女性疾病中的常見病,乳腺癌的發病率逐年增高,隨著超聲、鉬靶等影像學技術的普及,以及女性對乳腺疾病篩查的重視,越來越多的臨床觸診陰性的乳腺腫塊被檢出。而對臨床觸診陰性腫塊的準確切除成為外科醫師面臨的一大難題,影像學引導下乳腺導絲置入定位是解決這一難題的關鍵[1-2]。現就筆者所在醫院開展超聲引導下乳腺導絲置入技術的11年間實施該技術的全部病例進行回顧性研究,分析其對乳腺腫塊微創精準切除的促進作用,以及該技術對早期乳腺癌的手術定位的引導作用,旨在推廣應用該技術以促進微創精準外科治療技術的發展。
1 資料與方法
1.1 研究對象
回顧性分析2004年12月至2015年12月期間,筆者所在醫院進行了超聲引導下乳腺腫塊導絲置入定位術后再行腫塊外科手術切除的患者影像和病歷資料,共納入患者377例,腫塊403個,均為女性患者,年齡22~77歲,中位年齡45歲。
1.2 儀器與方法
1.2.1 儀器 使用Philips 5000、Philips IU 22等彩色多普勒超聲檢查儀器,探頭頻率 5~15 MHz。探測深度以完整顯示胸壁結構為標準,聚焦點置于與腫塊同等深度,增益和時間增益補償使整個圖像質量柔和清楚顯示為佳。單鉤乳腺定位導絲,其外鞘18 G套管(INRAD美國生產),內芯為尖端銳角帶有倒鉤的金屬導絲。
1.2.2 超聲引導下乳腺腫塊導絲置入定位技術的操作方法 ①操作前臨床配合:外科醫師依據術前的超聲檢查報告在醫囑內注明需要導絲置入定位的腫塊位置和腫塊數量。②導絲置入術執行時間:對于當天第 2 臺或手術時間更滯后的乳腺腫塊患者,選擇當天手術前時間;對于手術安排為上午第 1 臺的乳腺腫塊患者,選擇手術前 1 d。③導絲置入術地點:超聲科介入手術室。④操作醫師:超聲科介入組醫師,介入團隊通常由 3 名工作人員組成,超聲介入醫師 1 名,護士 1 名,報告錄入人員 1 名。
1.2.3 超聲檢查 ①乳腺檢查:包括觀察腫塊的數目、大小、形態、位置、有無包膜、回聲類型(內部回聲、后方回聲)、周圍組織改變等圖像特征,重點注意有無微小鈣化點、周邊有無毛刺、有無庫柏韌帶、分析血流分布等特征。②引流區淋巴結檢查:重點要進行雙側腋窩淋巴結掃查,對不能排除惡性風險的病例加以雙側鎖骨上下區淋巴結的檢查,觀察淋巴結大小、數量、位置、形態、結構、皮髓質、有無鈣化等。
1.2.4 導絲置入定位技術的操作流程 患者取仰臥位,腫塊位于乳腺外側時可半側臥位。雙手自然上舉,置于兩耳外側,充分暴露定位側的乳腺。第 1 步,超聲介入醫師進行超聲復查,確定需要導絲置入定位的腫塊位置和大小與外科醫師醫囑要求定位的腫塊一致,不一致者需告知患者及其家屬,并與外科手術醫師溝通,達成一致意見后方可實施。第 2 步,十字交叉法確定腫塊中心位置,并做好其體表標記,然后常規消毒鋪巾,探頭表面涂無菌耦合劑后用無菌套包裹,首選短軸法進針,保證探頭中心點深面為腫塊中心點,先以 2%利多卡因局部浸潤麻醉,然后從探頭中心點位置進定位針,進針過程中采用提插法以顯示針尖位置,進針直至針尖進入腫塊深面 3~5 mm時退出針鞘,退出針鞘時需固定導絲,退出針鞘后輕輕拽拉和抖動導絲,超聲下可見腫塊隨之輕微移動,表明鉤針定位成功。導絲的尾端打圈,醫用紗布覆蓋,膠布固定紗布后患者步行回病房。對于腺體較薄的女性,腫塊深面通常沒有足夠的腺體或脂肪組織,可在退出針鞘前將針鞘打斜,這樣探頭可顯示穿刺針鞘的長軸和針尖位置,針尖穿過腫塊 3~5 mm退出針鞘,導絲處理同前。對于新開展導絲置入技術的超聲介入醫師,短軸法難度相對較大,可改為長軸法穿刺,但進針點盡量臨近腫塊,這樣的操作過程,探頭可清楚顯示針尖和針體及其前進方向,有利于新手對導絲置入技術的把控。穿刺過程可使用消毒耦合劑或碘伏顯示針尖和針體(圖 1)。報告應清楚地說明導絲置入腫塊的具體位置,置入腫塊內外上下的哪一側、邊緣還是中央,供外科醫師參考,有利于腫塊被完整切除。
1.3 外科手術切除及病理學分析
外科醫師沿導絲的鉤針位置將腫塊微創切除,切除標本送快速冰凍病理學檢查。如果腫塊為良性,則結束手術;如果為惡性,則根據病理類型,征得患者及家屬同意后行腫塊擴大范圍的局部切除(保乳手術)、乳房單純切除+前哨淋巴結切除活檢術或乳腺癌改良根治術。術后標本均送石蠟包埋,得到石蠟切片的病理結果,并按WHO乳腺癌分級標準分級[3],全部惡性病例均進行免疫組化檢查。病理TNM分期統一按照2009年AJCC第7版標準[4],均為術后分期。術后 3~6 個月復查乳腺超聲。
2 結果
本組患者均為女性,年齡22~77歲,中位年齡45歲;切除的403個腫塊均全部一次性定位成功,導絲中央置入率為30%,非中央置入率為70%。定位后均無明顯并發癥,術中完整切除腫塊率為100%。切除腫塊的直徑為(10.1±5.1)mm(3~60 mm),其中惡性腫塊直徑為(12.5±6.0) mm(5~36 mm),良性腫塊直徑為(9.9±5.0)mm(3~60 mm),兩者間的差異有統計學意義(P=0.008)。403個(100%)腫塊觸診均為陰性,其中194個(48.14%)腫塊位于外上象限,82個(20.35%)腫塊位于內上象限,75個(18.61%)腫塊位于外下象限,38個(9.43%)腫塊位于內下象限,13個(3.22%)腫塊位于中央區;1 個(0.25%)腫塊位于胸壁深面肌間,病理學檢查證實為淋巴結。403個腫塊的病理類型見表 1。惡性腫塊31個(7.69%);良性腫塊372個(92.31%),其中高危腫塊60個(16.13),淋巴結 1 個,病理結果為反應性增生淋巴結。31個惡性腫塊中11個為導管內原位癌,20個為浸潤癌(19個為浸潤性導管癌,其中 5 個伴導管內原位癌;1 個為浸潤性小葉癌)。惡性腫塊中 6 例伴有淋巴結轉移,1 例雙側乳腺均為浸潤性導管癌。惡性病例TNM分期見表 2,其中T1N0M0、T1micN0M0及TisN0M0所占比例分別為38.7%、19.3%和16.1%,1例發生遠處轉移、為T2N0M1。
3 討論
本組403個乳腺觸診陰性的腫塊術前行乳腺導絲置入定位,實現了外科精準微創切除。該方法簡單有效,避免了漏切風險。有報道[5]指出,臨床觸診陰乳腺腫塊中有25%~30%為惡性,早期乳腺癌占75%~5%。本組乳腺癌占7.69%(31/403),低于Silverstein等[6]報道的9%~42%,可能與超聲對乳腺癌的風險評估的提高和對乳腺影像和數據報告系統(breast imaging reporting and data system,BI-RADS)4類腫塊積極地進行了穿刺活檢、提高了乳腺癌早期診斷水平有關。
目前,臨床上常采用的活檢方法包括:超聲引導下亞甲藍注射定位切除活檢術,放射性粒子置入腫塊切除活檢術(radio-guided occult lesion localization,ROLL),超聲引導下麥默通旋切術,影像技術(超聲、X 線或核磁共振成像)引導下導絲定位切除活檢術,體表標記定位切除活檢術,超聲引導下細針穿刺或空芯針穿刺活檢術及常規觸診切除活檢術。超聲引導下亞甲藍注射定位切除活檢術若劑量不當或染色劑擴散均可能擴大染色范圍,這些都可能增大切除范圍,延長手術時間,從而增加出血和感染風險[7]。ROLL定位準確,但Parvez等[8]的研究發現,其與金屬導絲標記定位相比,在治療效果及乳房外形方面沒有顯著差異。而且如果意外置入導管后其廣泛彌散對患者會造成很大的損傷[9],昂貴的價格也制約了其應用[10]。X 線引導下導絲置入定位時患者體位與手術時患者體位不一致,定位導絲移位的可能性相對高,定位失敗再次定位會加大患者受輻射量,重復性差,腫塊位置較深接近胸大肌或多發腫塊時,超聲引導下導絲定位比 X 線更適合[11]。以前認為,只能使用鉬靶定位簇狀微小鈣化腫塊,目前有研究[12]指出超聲同樣可以準確定位微鈣化腫塊。MRI引導下導絲置入定位費用昂貴,操作復雜,難以廣泛應用。麥默通真空輔助乳腺微創旋切系統可準確切除良性腫塊,但應用于可疑惡性腫塊切除活檢時存在二次手術的風險,增加了經濟成本和手術創傷[13]。細針穿刺抽吸細胞學檢查(fine needle aspiration biopsy,FNAB)由于取得組織較少,診斷準確性較差。空芯針穿刺活檢術診斷準確性較高,可以取得組織行免疫組化等進一步分析,但其具有以下不足:較小腫塊取材后可能消失,術前定位困難;不能準確診斷非典型導管上皮增生、乳頭狀病變、纖維上皮性病變及早期乳腺癌[14-15]。
對于臨床不可捫及的乳腺腫塊,精準切除一直是外科醫生的難題。乳腺定位導絲引導乳腺觸診陰性腫塊的精準切除,該技術推動乳腺癌早期發現,目前國內開展并不普及,相關文獻報道較少。超聲引導下乳腺定位導絲置入后切除活檢與以上診斷方法有以下優點:①超聲引導下導絲定位可引導外科精準微創切除腫塊,超聲引導下導絲置入時患者體位與手術時體位一致,保證了定位的準確性,可有效防止導絲的移位。本組病例中所有腫塊均定位成功,腫塊均被完整切除,避免了重復定位及二次手術帶來的創傷和心理負擔。②對于觸診陰性和難以定性的惡性腫塊,精準切除實現了早期確診,且有助于TNM術后分期的準確性,本組病例惡性腫塊中,2 例 T 分期為T2者均為手術后分期,手術前預分期均為T1,6 例 N 分期為N1或N3者均為術后分期。準確的TNM分期對乳腺癌患者的病情評估及后續治療具有重大的臨床意義。③手術切除活檢能對某些良性腫塊特殊病理類型早期準確診斷及密切隨訪觀察,有助于乳腺癌的預防。本組病例中高危包塊60個,對于其隨訪及對比觀察有良好作用。此外,本組良性腫塊結果為腺病類型者中,有13個為硬化性腺病,其惡變風險較普通型腺病高。④超聲引導下導絲置入切除活檢術同時具有超聲無輻射、操作簡便及成本低的優點,與傳統觸診定位切除活檢術及超聲引導下體表定位相比,超聲引導下導絲置入定位切除活檢術可縮短手術時間,降低感染、出血等手術并發癥[16]。此外,導絲定位切除活檢術有利于術后患者乳房的外觀恢復,通過減小切口長度和縮小手術范圍,可減少乳房形狀改變,提升術后乳房組織恢復程度,術后乳房外觀更美觀;同時也有助于提高乳房重建成功率及改善重建乳房外形,減小患者的精神壓力[17]。
綜上,超聲引導乳腺導絲置入定位技術能夠輔助外科醫師對臨床觸診陰性的乳腺腫塊進行精準微創切除,符合現代外科治療原則,且具有操作方便、安全、無明顯并發癥的優點,值得在臨床推廣。

