引用本文: 李川, 沈俊頤, 文天夫. FOXA2在肝內膽管細胞癌組織中的表達及其與預后的關系分析. 中國普外基礎與臨床雜志, 2016, 23(12): 1450-1454. doi: 10.7507/1007-9424.20160368 復制
肝癌是世界范圍內第6大常見惡性腫瘤,其發生與乙肝及丙肝病毒的慢性感染密切相關[1]。我國是乙肝大國,2006年全國流行病學調查顯示我國乙肝表面抗原陽性者約占7.18% [2]。由于我國乙肝病毒的感染率高,全球約55%的肝癌患者為中國患者[3]。肝內膽管細胞癌(intrahepatic cholangiocarcinoma,ICC)是肝臟第二大常見原發性腫瘤,約占原發性肝臟惡性腫瘤的10%~15% [4-5]。ICC的惡性程度較高,其5年生存率約為20%~32% [6-8]。由于ICC的惡性程度高,有學者[9]甚至認為ICC患者不適合行肝移植。ICC行手術切除后的復發率較高,但其復發的危險因素及機制目前并不清楚。筆者探討了ICC組織中叉頭框蛋白A2(forkhead box A2,FOXA2)的表達情況,及其與患者臨床病理學特征及預后的關系,現報道如下。
1 資料與方法
1.1 研究對象
回顧性收集2009-2013年期間于筆者所在醫院行肝切除的ICC患者的臨床病理資料,所有患者均經術后病理學檢查證實為ICC。本組共納入85例ICC患者,其中男42例,女43例;年齡23~81歲、(56.4±12.0)歲;腫瘤直徑2~17 cm、(6.5±2.8)cm;79例腫瘤為單發,6例腫瘤為多發;低分化61例,中分化及高分化共24例;TNM分期為Ⅰ期42例,Ⅱ期17例,Ⅲ期9例,Ⅳ期17例;神經侵犯8例,未發生神經侵犯79例;微血管侵犯11例,未發生微血管侵犯74例;存在腫瘤衛星灶18例,不存在腫瘤衛星灶67例;發生肝硬變14例,未發生肝硬變71例;糖類抗原19-9(CA19-9)水平正常62例,升高23例。
1.2 ICC組織中FOXA2的檢測
兔抗人FOXA2多克隆抗體購于美國Abcam公司,DVB顯色試劑盒和二步法免疫組化檢測試劑盒均購于丹麥DAKO公司,EDTA抗原修復試劑購于北京中杉金橋生物技術有限公司。ICC組織經4%甲醛固定,石蠟包埋,4 μm厚連續切片;在62 ℃烤箱內烘烤2 h后,經二甲苯脫蠟;梯度乙醇脫水后,采用3%過氧化酶阻斷溶液室溫下孵育10 min,再采用PBS液洗滌3次,5 min/次;采用EDTA緩沖液高壓熱力修復抗原20 min后,采用PBS液洗滌3次,5 min/次;滴加兔抗人FOXA2單克隆抗體(1 : 300)作為一抗,4 ℃過夜;添加生物素標記的兔二抗37 ℃溫育0.5 h;最后行DAB顯色,以蘇木精復染細胞核。用PBS液代替一抗作為陰性對照,采用反復試驗驗證的已知陽性切片(肝組織)作為陽性對照。
1.3 免疫組化結果判定
FOXA2主要表達在ICC細胞的細胞核上,以細胞核見到棕褐色染色為陽性表達。依據半定量方法對陽性表達結果進行判定,每張切片隨機選取5個高倍鏡視野以觀察細胞染色情況(取均值):陽性細胞所占比例≤50%時判定為低表達,陽性細胞所占比例 > 50%時判定為高表達。
1.4 隨訪
患者術后均每3個月隨訪1次。隨訪內容包括肝腎功能、血常規、甲胎蛋白(AFP)、癌胚抗原(CEA)、CA19-9、腹部超聲/CT/MRI。術后復發定義為:與術前影像學檢查圖像相比出現新的病灶,伴/不伴腫瘤標志物升高,或經活檢/手術切除證實復發。
1.5 統計學方法
采用SPSS 22.0統計軟件進行統計學分析。服從正態分布的計量資料以均數±標準差(x±s)表示,不服從正態分布的計量資料以中位數(M)表示,統計方法采用成組t檢驗或成組設計兩樣本比較的秩和檢驗;計數資料的統計方法采用成組χ2檢驗或Fisher確切概率法;生存曲線繪制采用Kaplan-Meier法,生存分析單因素分析采用log-rank檢驗,多因素分析采用Cox比例風險回歸模型。檢驗水準α=0.050。
2 結果
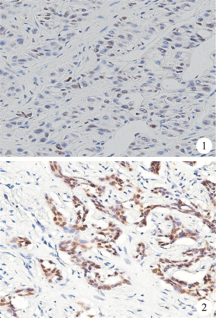
本組ICC患者中,FOXA2呈低表達50例(圖 1),高表達35例(圖 2)。

2.1 ICC組織中FOXA2的表達與患者臨床病理學特征的關系
ICC患者中FOXA2的表達與臨床病理學特征的關系見表 1。由表 1可見,FOXA2表達與年齡、性別、腫瘤直徑、多灶性、腫瘤分化程度、神經侵犯、微血管侵犯、衛星灶、肝硬變及CA19-9水平均無關(P > 0.050),而與TNM分期相關(P < 0.050),Ⅰ+Ⅱ期患者的高表達率高于Ⅲ+Ⅳ期患者。

2.2 ICC患者術后腫瘤復發的影響因素分析
術后所有患者均獲訪,隨訪時間3~73個月,中位數為15個月。隨訪期間65例腫瘤復發,64例死亡。單因素分析及多因素分析結果均表明,ICC患者術后復發與年齡、性別、腫瘤直徑、多灶性、腫瘤分化程度、TNM分期、神經侵犯、微血管侵犯及肝硬變情況均無關(P > 0.050),而與衛星灶、FOXA2表達及CA19-9水平均相關(P < 0.050),存在衛星灶、FOXA2低表達及CA19-9水平升高者的術后復發率更高(表 2和表 3)。


2.3 ICC患者術后生存的影響因素分析
單因素分析結果表明,ICC患者術后生存與年齡、性別、腫瘤直徑、腫瘤分化程度、微血管侵犯及肝硬變均無關(P > 0.050),而與多灶性、TNM分期、神經侵犯、衛星灶、FOXA2表達及CA19-9水平均相關(P < 0.050),存在多灶性、TNM分期為Ⅲ+Ⅳ期、有神經侵犯、存在衛星灶、FOXA2低表達及CA19-9水平升高患者的術后生存情況差(表 4)。多因素分析結果表明,ICC患者術后生存與神經侵犯、衛星灶、FOXA2表達及CA19-9水平均相關(P < 0.050),腫瘤神經侵犯、存在衛星灶、FOXA2低表達和術前CA19-9升高患者的術后生存差(表 5)。


3 討論
ICC起源于肝內膽管上皮細胞,在原發性肝癌中,其發病率僅次于肝細胞肝癌。目前ICC的病因尚不明確,可能與膽管慢性炎癥及代謝性疾病相關[6]。ICC具有侵襲性強、轉移早、切除率低等特征。既往的研究[10-12]顯示,無論是行肝切除還是肝移植,ICC患者的預后均較肝細胞肝癌差。目前,手術切除仍然是ICC主要的根治性治療手段,但ICC患者的術后復發率高,患者總體5年生存率約為20%~32% [6-8]。
3.1 FOXA2與腫瘤
FOXA是一類DNA結合區中的具有翼狀螺旋結構的轉錄因子,已發現其3名成員(FOXA1、FOXA2和FOXA3)在哺乳動物胚胎期的器官形成、成體時期的新陳代謝和腫瘤的發生發展中起著重要作用[13-15]。在肝臟發育過程中,FOXA亞家族成員起著關鍵的調控作用,其在肝臟分化形成過程中扮演“先鋒因子”的角色[13-14]。大量研究[16-19]表明,FOXA2在肝細胞肝癌、肺癌、乳腺癌及胰腺癌組織中的表達下調,提示FOXA2參與了腫瘤的發生與發展。Tang等[20]的研究顯示,在肺癌組織中,FOXA2可結合slug,上調E-鈣黏蛋白的表達,進而抑制上皮間充質轉化。Zhang等[21]的研究顯示,在乳腺癌組織中,FOXA2可促進轉導素樣分裂增強子3(TLE3)與E盒結合鋅指蛋白2(ZEB2)結合,進而抑制上皮間充質轉化過程。Song等[22]的研究顯示,在胰腺腫瘤組織中,FOXA2的表達可導致E-鈣黏蛋白基因的啟動子廣泛甲基化,從而使E-鈣黏蛋白基因再活化。Wang等[16]的研究顯示,FOXA2的表達上調后,其可通過抑制金屬蛋白酶-9的表達,從而抑制肝細胞肝癌的轉移和侵襲。
本組資料結果表明,ICC患者中FOXA2的表達與TNM分期相關(P < 0.050)。Ⅰ+Ⅱ期患者的高表達率高于Ⅲ+Ⅳ期患者。張正良等[23]針對胃癌的研究亦表明,在胃癌組織中,FOXA2的表達與胃癌的TNM分期有關;且在胃癌MKN-45細胞系中FOXA2過表達可以抑制胃癌細胞的侵襲。
3.2 ICC術后復發和生存的危險因素
本組資料結果表明,存在腫瘤衛星灶、FOXA2低表達及術前CA19-9水平升高均是ICC患者術后腫瘤復發的危險因素;腫瘤神經侵犯、存在衛星灶、FOXA2低表達和術前CA19-9水平升高均是患者預后差的危險因素。本組資料結果提示,CA19-9可能能反映ICC患者的預后。Nuzzo等[4]認為,ICC患者術前CA19-9水平 > 100 U/mL是患者術后早期復發的危險因素。Yoo等[24]認為,患者術后CA19-9水平的變化與患者術后的生存相關。本組結果與前述研究[4, 24]結論一致。本組資料結果同時還提示,腫瘤存在衛星灶亦是患者術后復發與死亡的危險因素。Sulpice等[25]的研究亦報道存在衛星灶的ICC患者術后更易于復發。這可能與存在衛星灶的患者更易于肝內轉移相關。
3.3 FOXA2與ICC術后復發、生存的關系
本組資料結果表明,FOXA2低表達與患者術后復發與生存密切相關。最近,Kondratyeva等[26]的研究證實,在胰腺癌細胞中,FOXA2的低表達可以促進胰腺癌細胞的上皮間充質轉化,從而增強癌細胞的侵襲轉移能力。Smith等[27]對子宮內膜癌患者的研究提示,FOXA2是一種抑癌基因,具有抑制腫瘤生長的作用。這些可能亦是FOXA2低表達的ICC患者術后易于復發的原因。但目前針對FOXA2與ICC的研究較少,FOXA2表達影響ICC預后的具體機制尚不清楚。
綜上所述,在ICC患者中,FOXA2的表達與TNM分期有關;此外,FOXA2低表達是ICC患者術后腫瘤復發與死亡的危險因素。但FOXA2表達影響ICC患者預后的具體機理目前尚不清楚,值得進一步研究。
肝癌是世界范圍內第6大常見惡性腫瘤,其發生與乙肝及丙肝病毒的慢性感染密切相關[1]。我國是乙肝大國,2006年全國流行病學調查顯示我國乙肝表面抗原陽性者約占7.18% [2]。由于我國乙肝病毒的感染率高,全球約55%的肝癌患者為中國患者[3]。肝內膽管細胞癌(intrahepatic cholangiocarcinoma,ICC)是肝臟第二大常見原發性腫瘤,約占原發性肝臟惡性腫瘤的10%~15% [4-5]。ICC的惡性程度較高,其5年生存率約為20%~32% [6-8]。由于ICC的惡性程度高,有學者[9]甚至認為ICC患者不適合行肝移植。ICC行手術切除后的復發率較高,但其復發的危險因素及機制目前并不清楚。筆者探討了ICC組織中叉頭框蛋白A2(forkhead box A2,FOXA2)的表達情況,及其與患者臨床病理學特征及預后的關系,現報道如下。
1 資料與方法
1.1 研究對象
回顧性收集2009-2013年期間于筆者所在醫院行肝切除的ICC患者的臨床病理資料,所有患者均經術后病理學檢查證實為ICC。本組共納入85例ICC患者,其中男42例,女43例;年齡23~81歲、(56.4±12.0)歲;腫瘤直徑2~17 cm、(6.5±2.8)cm;79例腫瘤為單發,6例腫瘤為多發;低分化61例,中分化及高分化共24例;TNM分期為Ⅰ期42例,Ⅱ期17例,Ⅲ期9例,Ⅳ期17例;神經侵犯8例,未發生神經侵犯79例;微血管侵犯11例,未發生微血管侵犯74例;存在腫瘤衛星灶18例,不存在腫瘤衛星灶67例;發生肝硬變14例,未發生肝硬變71例;糖類抗原19-9(CA19-9)水平正常62例,升高23例。
1.2 ICC組織中FOXA2的檢測
兔抗人FOXA2多克隆抗體購于美國Abcam公司,DVB顯色試劑盒和二步法免疫組化檢測試劑盒均購于丹麥DAKO公司,EDTA抗原修復試劑購于北京中杉金橋生物技術有限公司。ICC組織經4%甲醛固定,石蠟包埋,4 μm厚連續切片;在62 ℃烤箱內烘烤2 h后,經二甲苯脫蠟;梯度乙醇脫水后,采用3%過氧化酶阻斷溶液室溫下孵育10 min,再采用PBS液洗滌3次,5 min/次;采用EDTA緩沖液高壓熱力修復抗原20 min后,采用PBS液洗滌3次,5 min/次;滴加兔抗人FOXA2單克隆抗體(1 : 300)作為一抗,4 ℃過夜;添加生物素標記的兔二抗37 ℃溫育0.5 h;最后行DAB顯色,以蘇木精復染細胞核。用PBS液代替一抗作為陰性對照,采用反復試驗驗證的已知陽性切片(肝組織)作為陽性對照。
1.3 免疫組化結果判定
FOXA2主要表達在ICC細胞的細胞核上,以細胞核見到棕褐色染色為陽性表達。依據半定量方法對陽性表達結果進行判定,每張切片隨機選取5個高倍鏡視野以觀察細胞染色情況(取均值):陽性細胞所占比例≤50%時判定為低表達,陽性細胞所占比例 > 50%時判定為高表達。
1.4 隨訪
患者術后均每3個月隨訪1次。隨訪內容包括肝腎功能、血常規、甲胎蛋白(AFP)、癌胚抗原(CEA)、CA19-9、腹部超聲/CT/MRI。術后復發定義為:與術前影像學檢查圖像相比出現新的病灶,伴/不伴腫瘤標志物升高,或經活檢/手術切除證實復發。
1.5 統計學方法
采用SPSS 22.0統計軟件進行統計學分析。服從正態分布的計量資料以均數±標準差(x±s)表示,不服從正態分布的計量資料以中位數(M)表示,統計方法采用成組t檢驗或成組設計兩樣本比較的秩和檢驗;計數資料的統計方法采用成組χ2檢驗或Fisher確切概率法;生存曲線繪制采用Kaplan-Meier法,生存分析單因素分析采用log-rank檢驗,多因素分析采用Cox比例風險回歸模型。檢驗水準α=0.050。
2 結果
本組ICC患者中,FOXA2呈低表達50例(圖 1),高表達35例(圖 2)。

2.1 ICC組織中FOXA2的表達與患者臨床病理學特征的關系
ICC患者中FOXA2的表達與臨床病理學特征的關系見表 1。由表 1可見,FOXA2表達與年齡、性別、腫瘤直徑、多灶性、腫瘤分化程度、神經侵犯、微血管侵犯、衛星灶、肝硬變及CA19-9水平均無關(P > 0.050),而與TNM分期相關(P < 0.050),Ⅰ+Ⅱ期患者的高表達率高于Ⅲ+Ⅳ期患者。

2.2 ICC患者術后腫瘤復發的影響因素分析
術后所有患者均獲訪,隨訪時間3~73個月,中位數為15個月。隨訪期間65例腫瘤復發,64例死亡。單因素分析及多因素分析結果均表明,ICC患者術后復發與年齡、性別、腫瘤直徑、多灶性、腫瘤分化程度、TNM分期、神經侵犯、微血管侵犯及肝硬變情況均無關(P > 0.050),而與衛星灶、FOXA2表達及CA19-9水平均相關(P < 0.050),存在衛星灶、FOXA2低表達及CA19-9水平升高者的術后復發率更高(表 2和表 3)。


2.3 ICC患者術后生存的影響因素分析
單因素分析結果表明,ICC患者術后生存與年齡、性別、腫瘤直徑、腫瘤分化程度、微血管侵犯及肝硬變均無關(P > 0.050),而與多灶性、TNM分期、神經侵犯、衛星灶、FOXA2表達及CA19-9水平均相關(P < 0.050),存在多灶性、TNM分期為Ⅲ+Ⅳ期、有神經侵犯、存在衛星灶、FOXA2低表達及CA19-9水平升高患者的術后生存情況差(表 4)。多因素分析結果表明,ICC患者術后生存與神經侵犯、衛星灶、FOXA2表達及CA19-9水平均相關(P < 0.050),腫瘤神經侵犯、存在衛星灶、FOXA2低表達和術前CA19-9升高患者的術后生存差(表 5)。


3 討論
ICC起源于肝內膽管上皮細胞,在原發性肝癌中,其發病率僅次于肝細胞肝癌。目前ICC的病因尚不明確,可能與膽管慢性炎癥及代謝性疾病相關[6]。ICC具有侵襲性強、轉移早、切除率低等特征。既往的研究[10-12]顯示,無論是行肝切除還是肝移植,ICC患者的預后均較肝細胞肝癌差。目前,手術切除仍然是ICC主要的根治性治療手段,但ICC患者的術后復發率高,患者總體5年生存率約為20%~32% [6-8]。
3.1 FOXA2與腫瘤
FOXA是一類DNA結合區中的具有翼狀螺旋結構的轉錄因子,已發現其3名成員(FOXA1、FOXA2和FOXA3)在哺乳動物胚胎期的器官形成、成體時期的新陳代謝和腫瘤的發生發展中起著重要作用[13-15]。在肝臟發育過程中,FOXA亞家族成員起著關鍵的調控作用,其在肝臟分化形成過程中扮演“先鋒因子”的角色[13-14]。大量研究[16-19]表明,FOXA2在肝細胞肝癌、肺癌、乳腺癌及胰腺癌組織中的表達下調,提示FOXA2參與了腫瘤的發生與發展。Tang等[20]的研究顯示,在肺癌組織中,FOXA2可結合slug,上調E-鈣黏蛋白的表達,進而抑制上皮間充質轉化。Zhang等[21]的研究顯示,在乳腺癌組織中,FOXA2可促進轉導素樣分裂增強子3(TLE3)與E盒結合鋅指蛋白2(ZEB2)結合,進而抑制上皮間充質轉化過程。Song等[22]的研究顯示,在胰腺腫瘤組織中,FOXA2的表達可導致E-鈣黏蛋白基因的啟動子廣泛甲基化,從而使E-鈣黏蛋白基因再活化。Wang等[16]的研究顯示,FOXA2的表達上調后,其可通過抑制金屬蛋白酶-9的表達,從而抑制肝細胞肝癌的轉移和侵襲。
本組資料結果表明,ICC患者中FOXA2的表達與TNM分期相關(P < 0.050)。Ⅰ+Ⅱ期患者的高表達率高于Ⅲ+Ⅳ期患者。張正良等[23]針對胃癌的研究亦表明,在胃癌組織中,FOXA2的表達與胃癌的TNM分期有關;且在胃癌MKN-45細胞系中FOXA2過表達可以抑制胃癌細胞的侵襲。
3.2 ICC術后復發和生存的危險因素
本組資料結果表明,存在腫瘤衛星灶、FOXA2低表達及術前CA19-9水平升高均是ICC患者術后腫瘤復發的危險因素;腫瘤神經侵犯、存在衛星灶、FOXA2低表達和術前CA19-9水平升高均是患者預后差的危險因素。本組資料結果提示,CA19-9可能能反映ICC患者的預后。Nuzzo等[4]認為,ICC患者術前CA19-9水平 > 100 U/mL是患者術后早期復發的危險因素。Yoo等[24]認為,患者術后CA19-9水平的變化與患者術后的生存相關。本組結果與前述研究[4, 24]結論一致。本組資料結果同時還提示,腫瘤存在衛星灶亦是患者術后復發與死亡的危險因素。Sulpice等[25]的研究亦報道存在衛星灶的ICC患者術后更易于復發。這可能與存在衛星灶的患者更易于肝內轉移相關。
3.3 FOXA2與ICC術后復發、生存的關系
本組資料結果表明,FOXA2低表達與患者術后復發與生存密切相關。最近,Kondratyeva等[26]的研究證實,在胰腺癌細胞中,FOXA2的低表達可以促進胰腺癌細胞的上皮間充質轉化,從而增強癌細胞的侵襲轉移能力。Smith等[27]對子宮內膜癌患者的研究提示,FOXA2是一種抑癌基因,具有抑制腫瘤生長的作用。這些可能亦是FOXA2低表達的ICC患者術后易于復發的原因。但目前針對FOXA2與ICC的研究較少,FOXA2表達影響ICC預后的具體機制尚不清楚。
綜上所述,在ICC患者中,FOXA2的表達與TNM分期有關;此外,FOXA2低表達是ICC患者術后腫瘤復發與死亡的危險因素。但FOXA2表達影響ICC患者預后的具體機理目前尚不清楚,值得進一步研究。