引用本文: 趙榮榮, 俞澤元, 陳紅. 以發熱為首發癥狀的肝內膽管細胞癌4例報道. 中國普外基礎與臨床雜志, 2015, 22(12): 1501-1506. doi: 10.7507/1007-9424.20150390 復制
肝內膽管細胞癌屬于原發性肝癌的一種,在臨床消化道腫瘤中占3%~6% [1],在肝內原發性惡性腫瘤中其發病率僅次于肝細胞肝癌,占到原發性肝癌的5% [2]。筆者于2013年7月至2014年10月期間在臨床工作中發現4例不明原因發熱伴肝區脹痛、影像學提示肝內占位性病變的病例,后經病理證實4例患者均為肝內膽管細胞癌。現就其臨床資料并結合文獻進行分析,以提高臨床醫生對此類疾病的認識,報道如下。
1 臨床資料
1.1 病例1
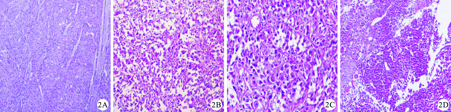
男,39歲。既往慢性乙型病毒性肝炎病史8年,長期口服阿德福韋酯抗病毒治療,期間定期復查肝功能、上腹部B超未見明顯異常,無其他慢性疾病病史,否認飲酒史。入院前8 d出現發熱,體溫37.4~37.8℃,伴輕度肝區不適、乏力,偶有惡心,無嘔吐,就診于當地醫院,查上腹部B超提示:肝左葉占位性病變,為進一步診治來我院就診。入院后查血常規提示:白細胞及中性粒細胞百分比均正常,血紅蛋白升高(178 g/L),降鈣素原(0.042μg/L)正常;血生化提示:總膽固醇輕度降低(3.35 mmol/L),ALT、AST、ALB、TBIL、ALP、GGT均正常;腫瘤標志物提示:AFP升高(391.7 U/L),CA19-9、CEA正常;乙肝病毒學檢查提示為e抗原陽性乙肝,HBV-DNA 1.430×104 copies/mL;行上腹部平掃+增強CT示(圖 1):肝左葉單發異常強化灶(病灶最長軸為25 mm),CT表現考慮肝癌。因患者病灶為單發,無門靜脈、淋巴結及遠處轉移,病灶體積較小,為小肝癌,且肝功能Child-Pugh分級A級,發熱以低熱為主,實驗室檢查無明顯感染傾向,未給予抗感染治療。經我院肝癌多學科討論后,行開腹肝左葉腫物切除術+腹腔引流術。術后病理檢查結果提示:瘤細胞異型顯著,呈腺樣、片塊狀排列,浸潤性生長。免疫組織化學結果:HepPar(瘤細胞陰性、周圍結節性肝硬變組織陽性),CD34(+),GPC-3(++),HSP-70(++),muc-1(+),moc31(+++),Ki-67 30%,CK19(++),CEA(-),結合形態學及免疫組織化學結果,支持低分化肝內膽管細胞癌(圖 2A)。術后給予保肝、抗感染、支持等治療,因抗病毒效果欠佳,改用拉米夫定聯合阿德福韋酯抗病毒治療。術后患者再未發熱,病情恢復尚可,15 d后順利出院。出院后定期隨訪,目前已隨訪3次(每隔3個月),3次檢查提示肝功能基本正常,乙肝病毒已低于檢測下限,影像學檢查提示肝內未見明顯新發病灶。


1.2 病例2
男,42歲。既往慢性乙型病毒性肝炎病史20余年,5年前在當地醫院確診為“乙型肝炎后肝硬變”,口服拉米夫定抗病毒治療;3年前“消化道出血”后在外院行“脾切除術+賁門周圍血管斷流術”,因乙肝病毒控制不佳,術后改為阿德福韋酯聯合拉米夫定抗病毒治療,期間每半年復查肝功能、病毒學指標及上腹部B超提示病情穩定。無飲酒史,其母有乙肝肝硬變病史。于入院前18 d無明顯誘因出現發熱,熱型不規則,體溫最高達40.1℃,發熱前無寒戰及畏寒,伴肝區脹痛,咳嗽、咳痰,痰為白色泡沫樣,量少,不易咳出。當地醫院行上腹部B超示肝臟實質非均質占位性病變(肝膿腫?),胸部正位片無明顯異常。給予抗感染治療1周(具體不詳),體溫無明顯下降,遂就診于我院門診。入院后查血常規示:白細胞(13.12×109/L)及中性粒細胞百分比(72.9%)升高,血紅蛋白正常,降鈣素原升高(0.287μg/L);血生化提示:ALT、AST、ALB、TBIL均正常,ALP(166 U/L)、GGT(151 U/L)輕度升高,CHOL(2.17 mmol/L)降低;腫瘤標志物提示:AFP、CA19-9、CA125、CEA均正常;乙肝病毒學檢查提示為e抗原陰性乙肝,HBV-DNA低于檢測下限(< 5×102 copies/mL);肝功能Child-Pugh分級為A級;入院后患者行3次血培養(體溫>38.5℃),需氧瓶及厭氧瓶培養均為陰性。患者高熱,當地醫院查上腹部B超示肝膿腫不排,抗感染治療效果欠佳,入院后查血常規及降鈣素原提示存在感染,且AFP正常,肝區脹痛明顯,故入院后在B超引導下擬行肝臟膿腫穿刺引流術,術中考慮占位性質為實質性,故改行肝臟占位穿刺術行病理活檢。術后給予保肝、抗病毒、調節免疫、抗感染等治療,經上述治療后,患者體溫高峰略下降,最高39.2℃,3 d后病理回報示:肝組織正常結構破壞,期間可見異型細胞,呈不規則腺管狀、條索狀排列,浸潤性生長。免疫組織化學結果:HepPar(-),CD34(+),Ki-6730%,CK19(+),CEA(-),結合形態學及免疫組織化學結果,考慮中分化肝內膽管細胞癌(圖 2B)。結果回報后進一步行上腹部平掃+增強CT示(圖 3):肝硬變,肝左右葉多發團片狀低密度影,結合強化特點,多考慮肝癌。結合患者慢性乙肝病史、影像學檢查及病理結果確診為原發性肝癌,家屬因經濟原因放棄進一步治療,自動離院,建議院外繼續服用拉米夫定聯合阿德福韋酯抗病毒治療,未定期隨訪。

1.3 病例3
男,67歲。既往無明確慢性肝炎病史,有2型糖尿病病史1年,血糖控制欠佳,無飲酒及乙肝家族史。于入院前半個月,無明顯誘因出現發熱,體溫最高38.5℃,以午后發熱為主,發熱前畏寒,多汗,伴肝區脹痛不適,乏力,右肩背部放射痛,惡心,咳嗽,咳痰,量少,為白色泡沫樣,不易咳出,發病以來體重減輕約15 kg。入院前3 d外院查上腹部平掃CT示肝臟占位性病變,為進一步診治來我院就診。入院后查血常規示:白細胞(10.85×109/L)及中性粒細胞百分比(76.5%)升高,血紅蛋白正常,降鈣素原輕度升高(0.135μg/L);血生化提示:ALT、AST、ALB、TBIL、CHOL均正常,ALP(293 U/L)、GGT(158 U/L)升高;腫瘤標志物提示:AFP(12.3 U/mL)、CA19-9(48.2 U/mL)、CA125(44.6 U/mL)輕度升高,鐵蛋白(>2 000μg/L)明顯升高,CEA正常;肝炎病毒學檢查提示抗-HBs陽性,抗-HBe陽性,抗-HBc陽性,HBV-DNA 2.290×104 copies/mL,抗-HCV陰性,考慮存在隱匿性乙型病毒性肝炎;肝功能Child-Pugh分級為A級;入院后行3次血培養(體溫>38.5℃),需氧瓶及厭氧瓶培養均為陰性。因患者血常規提示嗜酸性粒細胞絕對值降低,行肥達外斐氏反應以排除傷寒及斑疹傷寒,結果均陰性。上腹部平掃+增強CT(圖 4)提示肝臟病灶累及肝左、右葉及尾葉,且存在肝胃間隙、肝門部、腹膜后多發腫大淋巴結,故進一步行胸部CT及骨掃描排外有無遠處轉移。胸部CT提示雙肺多發結節影,肝癌肺轉移不排,雙側胸膜增厚,心包積液;骨掃描示左側第10、11肋骨骨質代謝異常,轉移不排外。結合上述檢查結果,考慮患者肝癌已處于晚期,存在淋巴結及遠處轉移可能,且年齡較大,合并2型糖尿病,已失去手術、介入、射頻、肝移植等治療機會,經我院肝癌多學科討論后,決定進一步行肝占位穿刺活檢術。經病理活檢結果示:癌組織呈腺泡狀、條索狀排列,浸潤性生長,邊緣可見正常肝組織及壞死組織。免疫組織化學結果:HepPar(±),AFP(-),Ki-67 80%,CK7(+++),CK20(++),CD34(+),結合形態學及免疫組織化學結果,考慮低分化肝內膽管細胞癌(圖 2C)。病理結果不支持分子靶向藥物索拉菲尼治療指征,給予恩替卡韋抗病毒治療,并給予內科保守治療,治療期間患者仍間斷發熱,體溫高峰無明顯下降,體溫38.1~39℃,乏力、惡心、咳嗽等癥狀略好轉,治療2周后出院。建議出院后長期服用恩替卡韋抗病毒治療,未定期隨訪。

1.4 病例4
男,45歲。既往慢性乙型病毒性肝炎病史15年,未正規診治。無其他慢性疾病病史,否認長期飲酒史及乙肝家族史,有羊群接觸史。患者于入院前1個月受涼后出現發熱,發熱前畏寒,伴乏力、肝區脹痛,腹脹,惡心、嘔吐,在外院就診查血常規示白細胞、中性粒細胞百分比升高(具體不詳);外院上腹部增強CT示:肝硬變,肝右葉類圓形低密度影,多考慮肝癌,門靜脈癌栓形成,腹水;右側胸腔積液;心包積液。發病以來體質量減輕約5 kg。在當地醫院給予抗感染、支持(具體不詳)等治療后仍持續發熱,體溫38.9~40℃,為進一步診治就診于我院。入院后查降鈣素原(1.110μg/L)明顯增高,血常規提示白細胞(15.29×109/L)、中性粒細胞(80.3%)明顯升高;血生化提示:ALT(65 U/L)、AST(114 U/L)、TBIL(88.6μmol/L)均升高,而ALB(29.7 g/L)降低,ALP(458 U/L)、GGT(163 U/L)明顯升高,CHOL(1.98 mmol/L)明顯降低;腫瘤標志物提示:AFP、CEA正常,CA19-9(112 U/mL)、CA125(83.5 U/mL)升高,鐵蛋白(1 138μg/L)明顯升高;乙肝病毒學檢查提示:e抗原陰性乙肝,HBV-DNA 2.10×103 copies/mL;肝功能Child-Pugh分級為C級;行肝臟超聲造影示:肝右葉單發實質非均質占位性病變(病灶大小約119 mm×85 mm),造影表現多考慮肝內膽管細胞癌。患者降鈣素原及血常規均提示存在感染,故積極給予抗感染治療,并給予保肝、能量支持、抗病毒、清除內毒素血癥、調節免疫等治療,治療后體溫高峰較前上升,最高達40.5℃,呈持續高熱,并2次更換抗生素(哌拉西林他唑巴坦鈉—頭孢曲松鈉—亞胺培南西司他丁鈉),抗感染治療期間出現腹瀉,行糞便涂片可見真菌孢子,故同時使用氟康唑抗真菌治療,體溫仍無明顯下降。積極排查其他原因引起的發熱,包括自身抗體譜、甲狀腺功能、肥達外斐氏反應、尿常規、糞常規、血沉、布氏桿菌病及黑熱病抗體、3次行血培養、心臟彩超、γ-干擾素釋放試驗、呼吸道病毒、胸部CT等檢查,上述結果除血沉升高(82 mm/h)外,均無明顯異常。經我院肝癌多學科討論后,行肝臟穿刺活檢進一步明確病變性質。病理活檢回報示:送檢肝組織內見異型細胞異性增生,呈梁索狀、片塊狀、腺樣排列。免疫組織化學結果:HepPar(±),AFP(-),pCEA(-),Ki-67 40%,CK19(++),muc-1(+),結合形態學及免疫組織化學結果提示低分化肝內膽管細胞癌(圖 2D)。結合病理檢查及上述檢查結果,多考慮發熱原因為癌性發熱。因患者肝功能差,高黃疸,低蛋白血癥,凝血功能較差,存在腹水,肝功能分級為Child-Pugh C級,且病理分型為肝內膽管細胞癌,失去手術、介入、射頻、分子靶向等治療機會,患者長期發熱,體質差,處于惡液質,治療過程中病情進行性惡化,住院20 d后家屬放棄治療,自動出院,出院后1個月后死亡,死亡原因多臟器功能衰竭。
2 討論
2.1 肝內膽管細胞癌的發病機制
肝內膽管細胞癌是指左右肝管匯合部以上的肝內小膽管或末梢膽管上皮細胞起源的惡性腫瘤,臨床相對少見。近年來,肝內膽管細胞癌發病率呈上升趨勢[3-4],依據其生長類型可分為腫塊型、浸潤狹窄型和腔內生長型,其中以腫塊型最為常見[5]。本組4例患者中,病例1、3、4均屬于腫塊型,病例2屬于浸潤生長型。
肝內膽管細胞癌的病因目前尚不明確,就我國而言,可能與肝內外膽管結石、慢性病毒性肝炎、華支睪吸蟲、片性吸蟲及其他如肝內膽管囊性擴張癥、原發性硬化性膽管炎等因素有關[6-8]。近年來諸多研究[9-12]表明,HBV和(或)HCV感染是發生肝內膽管細胞癌的危險因素之一;但不同地區學者得到的結論不同。歐美及日本的研究[13-14]多表明HCV感染是導致肝內膽管細胞癌的因素之一,而我國的研究數據[1]顯示HBV感染是肝內膽管細胞癌發生的危險因素之一。據2006年全國乙肝血清流行病學調查表明,我國1~59歲一般人群HbsAg攜帶率為7.18% [15-16],而西方國家以HCV感染多見,這可能是造成差異的主要原因。本研究中有3例患者既往有明確慢性乙肝病史,1例為隱匿性乙型肝炎,其中3例均存在乙肝病毒復制。4例患者既往均無明確肝內外膽管結石病史,無膽道系統手術史,亦無明確寄生蟲病病史。分析本組4例患者肝內膽管細胞癌的發病原因,多考慮與HBV感染有關,其機制可能是人體在HBV感染后,病毒可持續損傷肝內膽管細胞,并致末梢膽管上皮細胞所處基質環境發生改變;肝內膽管細胞在損傷與修復的過程中,細胞正常調控機制發生障礙,從而導致癌變。
2.2 肝內膽管細胞癌的診斷
2.2.1 臨床表現
4例患者均以發熱伴肝區脹痛為首發癥狀,且其中3例血常規提示白細胞、中性粒細胞及降鈣素原升高,癥狀和實驗室檢查均與肝膿腫相似。病例2在當地醫院行上腹部B超檢查后初步診斷為肝膿腫,但給予抗感染治療后療效欠佳,體溫無明顯下降。早期肝膿腫中心部位未液化或部分液化,其濃度近似軟組織而高于水,膿腫壁還未形成,超聲顯示不規則或蜂窩狀未增強區時,難以與不典型的肝內膽管細胞癌區分,容易造成誤診;且由于大多數肝內膽管細胞癌屬于乏血供腫瘤,腫瘤富含纖維間質結構,其中央由于缺血而容易發生液化壞死,壞死物質吸收過程中產生內源性致熱源,作用于體溫調節中樞,從而導致患者發熱,并且腫瘤體積越大,液化壞死區域面積越廣,體溫越高[17]。因此,對于存在慢性肝病基礎的疑似肝膿腫的患者,在抗感染治療效果不佳時應積極進行肝臟穿刺活檢,以盡早明確診斷。
2.2.2 血生化
4例患者中有3例生化檢查提示ALP和GGT升高,考慮與腫瘤造成局部膽管引流障礙有關。Olnes等[18]研究表明,僅有10%的肝內膽管細胞癌患者可出現黃疸,而此時腫瘤多已侵犯至對側的膽管,疾病已至晚期。4例患者中僅1例血生化提示總膽紅素升高,考慮與腫瘤晚期肝內膽管受壓存在膽汁淤積有關。綜合以上檢查結果,考慮上述指標均無特異性,對診斷的幫助不大。
2.2.3 腫瘤標志物
目前,肝內膽管細胞癌的腫瘤標志物尚未發現特異者,CA19-9有一定的價值,是目前常用的指標[19],而CEA、CA125等腫瘤標志物多無特異性,價值不高。4例患者中2例CA19-9輕度升高,但升高程度較低,且某些胃腸道或婦科腫瘤、細菌性膽管炎也會出現CA19-9升高,因此其特異性不高。4例患者血清CEA均正常,2例患者CA125升高,其中病例4升高程度較明顯。有研究[20]顯示,肝硬變患者CA125增高可能與腹水刺激腹膜巨噬細胞合成腫瘤壞死因子-α有關,且肝硬變患者腹水中的CA125水平高于血液中[21],腹腔穿刺術后CA125降低,支持CA125來自腹水。病例4血清CA125明顯升高,考慮與其肝硬變背景且存在腹水有關。4例患者中僅有2例測定了血清鐵蛋白,2例均明顯升高。肝臟是合成鐵蛋白的主要場所,該2例患者鐵蛋白明顯升高,一方面可能與肝臟腫瘤造成鐵蛋白合成增加有關,另一方面考慮這2例患者病灶多發且病灶體積較大,液化壞死區域較多,從而造成局部細胞壞死明顯,組織釋放鐵蛋白增多。雖然有研究[22]報道指出僅有5%~19.1%的肝內膽管細胞癌患者會出現AFP升高,但本組4例患者中有2例AFP升高,升高比例達50%,且1例明顯升高(>300 U/mL)。研究[23-24]表明,乙型肝炎相關性肝內膽管細胞癌與無合并肝炎感染患者相比,術前血清AFP多有升高,其發生機制可能是乙型肝炎相關性肝內膽管細胞癌起源于肝前體細胞,而在向惡性腫瘤轉變的過程中,肝前體細胞仍保留了它產生AFP的能力[25]。故依靠AFP來鑒別乙型肝炎相關性肝細胞肝癌和肝內膽管細胞癌有可能出現誤判。
2.2.4 CT表現
肝內膽管細胞癌的CT平掃表現多為類圓形或不規則形低密度腫塊,病灶局部肝輪廓凹陷,同側肝萎縮,病變內或周圍膽管擴張,動脈期增強掃描周邊呈向心性的輕度環狀強化,病變內呈線樣、網格狀強化,靜脈期及延遲期病灶可進一步強化[26],肝內膽管細胞癌這種特征性的強化表現的病理基礎[27]是腫瘤中心部位所含的癌細胞少而伴有豐富的纖維組織,對比劑隨著時間的逐漸延長滲入腫瘤中心所致。本組病例中有2例符合典型膽管細胞癌CT影像學表現,1例在外院行上腹部CT,而病例2上腹部平掃+增強CT表現為病灶在動脈期明顯強化,靜脈期及延遲期強化逐漸減退,這與典型肝內膽管細胞癌的CT表現不相符合,但肝臟穿刺活檢及免疫組織化學結果明確提示肝內膽管細胞癌。重新仔細閱片后發現此例患者門脈期、延遲期病灶內還是可見少許條片狀強化。因此,我們應該重視肝內膽管細胞癌延遲強化這一重要的特點,仔細閱片,注意吸取經驗、教訓,對于影像學檢查不典型的病例,若有條件,應盡早行肝臟穿刺活檢術,避免誤診。
由于肝內膽管細胞癌不多見,且臨床癥狀及實驗室檢查缺乏特異性,常常容易造成誤診、漏診。對于肝病及普外科醫生來說,若發現在慢性乙肝基礎上發生肝臟占位性病變,且以發熱伴肝區脹痛為首發癥狀的病例,在抗感染治療效果不明顯時,應警惕肝內膽管細胞癌的發生;若影像學及實驗室檢查不能明確診斷時,需積極行肝臟穿刺活檢,以免延誤病情。
肝內膽管細胞癌屬于原發性肝癌的一種,在臨床消化道腫瘤中占3%~6% [1],在肝內原發性惡性腫瘤中其發病率僅次于肝細胞肝癌,占到原發性肝癌的5% [2]。筆者于2013年7月至2014年10月期間在臨床工作中發現4例不明原因發熱伴肝區脹痛、影像學提示肝內占位性病變的病例,后經病理證實4例患者均為肝內膽管細胞癌。現就其臨床資料并結合文獻進行分析,以提高臨床醫生對此類疾病的認識,報道如下。
1 臨床資料
1.1 病例1
男,39歲。既往慢性乙型病毒性肝炎病史8年,長期口服阿德福韋酯抗病毒治療,期間定期復查肝功能、上腹部B超未見明顯異常,無其他慢性疾病病史,否認飲酒史。入院前8 d出現發熱,體溫37.4~37.8℃,伴輕度肝區不適、乏力,偶有惡心,無嘔吐,就診于當地醫院,查上腹部B超提示:肝左葉占位性病變,為進一步診治來我院就診。入院后查血常規提示:白細胞及中性粒細胞百分比均正常,血紅蛋白升高(178 g/L),降鈣素原(0.042μg/L)正常;血生化提示:總膽固醇輕度降低(3.35 mmol/L),ALT、AST、ALB、TBIL、ALP、GGT均正常;腫瘤標志物提示:AFP升高(391.7 U/L),CA19-9、CEA正常;乙肝病毒學檢查提示為e抗原陽性乙肝,HBV-DNA 1.430×104 copies/mL;行上腹部平掃+增強CT示(圖 1):肝左葉單發異常強化灶(病灶最長軸為25 mm),CT表現考慮肝癌。因患者病灶為單發,無門靜脈、淋巴結及遠處轉移,病灶體積較小,為小肝癌,且肝功能Child-Pugh分級A級,發熱以低熱為主,實驗室檢查無明顯感染傾向,未給予抗感染治療。經我院肝癌多學科討論后,行開腹肝左葉腫物切除術+腹腔引流術。術后病理檢查結果提示:瘤細胞異型顯著,呈腺樣、片塊狀排列,浸潤性生長。免疫組織化學結果:HepPar(瘤細胞陰性、周圍結節性肝硬變組織陽性),CD34(+),GPC-3(++),HSP-70(++),muc-1(+),moc31(+++),Ki-67 30%,CK19(++),CEA(-),結合形態學及免疫組織化學結果,支持低分化肝內膽管細胞癌(圖 2A)。術后給予保肝、抗感染、支持等治療,因抗病毒效果欠佳,改用拉米夫定聯合阿德福韋酯抗病毒治療。術后患者再未發熱,病情恢復尚可,15 d后順利出院。出院后定期隨訪,目前已隨訪3次(每隔3個月),3次檢查提示肝功能基本正常,乙肝病毒已低于檢測下限,影像學檢查提示肝內未見明顯新發病灶。


1.2 病例2
男,42歲。既往慢性乙型病毒性肝炎病史20余年,5年前在當地醫院確診為“乙型肝炎后肝硬變”,口服拉米夫定抗病毒治療;3年前“消化道出血”后在外院行“脾切除術+賁門周圍血管斷流術”,因乙肝病毒控制不佳,術后改為阿德福韋酯聯合拉米夫定抗病毒治療,期間每半年復查肝功能、病毒學指標及上腹部B超提示病情穩定。無飲酒史,其母有乙肝肝硬變病史。于入院前18 d無明顯誘因出現發熱,熱型不規則,體溫最高達40.1℃,發熱前無寒戰及畏寒,伴肝區脹痛,咳嗽、咳痰,痰為白色泡沫樣,量少,不易咳出。當地醫院行上腹部B超示肝臟實質非均質占位性病變(肝膿腫?),胸部正位片無明顯異常。給予抗感染治療1周(具體不詳),體溫無明顯下降,遂就診于我院門診。入院后查血常規示:白細胞(13.12×109/L)及中性粒細胞百分比(72.9%)升高,血紅蛋白正常,降鈣素原升高(0.287μg/L);血生化提示:ALT、AST、ALB、TBIL均正常,ALP(166 U/L)、GGT(151 U/L)輕度升高,CHOL(2.17 mmol/L)降低;腫瘤標志物提示:AFP、CA19-9、CA125、CEA均正常;乙肝病毒學檢查提示為e抗原陰性乙肝,HBV-DNA低于檢測下限(< 5×102 copies/mL);肝功能Child-Pugh分級為A級;入院后患者行3次血培養(體溫>38.5℃),需氧瓶及厭氧瓶培養均為陰性。患者高熱,當地醫院查上腹部B超示肝膿腫不排,抗感染治療效果欠佳,入院后查血常規及降鈣素原提示存在感染,且AFP正常,肝區脹痛明顯,故入院后在B超引導下擬行肝臟膿腫穿刺引流術,術中考慮占位性質為實質性,故改行肝臟占位穿刺術行病理活檢。術后給予保肝、抗病毒、調節免疫、抗感染等治療,經上述治療后,患者體溫高峰略下降,最高39.2℃,3 d后病理回報示:肝組織正常結構破壞,期間可見異型細胞,呈不規則腺管狀、條索狀排列,浸潤性生長。免疫組織化學結果:HepPar(-),CD34(+),Ki-6730%,CK19(+),CEA(-),結合形態學及免疫組織化學結果,考慮中分化肝內膽管細胞癌(圖 2B)。結果回報后進一步行上腹部平掃+增強CT示(圖 3):肝硬變,肝左右葉多發團片狀低密度影,結合強化特點,多考慮肝癌。結合患者慢性乙肝病史、影像學檢查及病理結果確診為原發性肝癌,家屬因經濟原因放棄進一步治療,自動離院,建議院外繼續服用拉米夫定聯合阿德福韋酯抗病毒治療,未定期隨訪。

1.3 病例3
男,67歲。既往無明確慢性肝炎病史,有2型糖尿病病史1年,血糖控制欠佳,無飲酒及乙肝家族史。于入院前半個月,無明顯誘因出現發熱,體溫最高38.5℃,以午后發熱為主,發熱前畏寒,多汗,伴肝區脹痛不適,乏力,右肩背部放射痛,惡心,咳嗽,咳痰,量少,為白色泡沫樣,不易咳出,發病以來體重減輕約15 kg。入院前3 d外院查上腹部平掃CT示肝臟占位性病變,為進一步診治來我院就診。入院后查血常規示:白細胞(10.85×109/L)及中性粒細胞百分比(76.5%)升高,血紅蛋白正常,降鈣素原輕度升高(0.135μg/L);血生化提示:ALT、AST、ALB、TBIL、CHOL均正常,ALP(293 U/L)、GGT(158 U/L)升高;腫瘤標志物提示:AFP(12.3 U/mL)、CA19-9(48.2 U/mL)、CA125(44.6 U/mL)輕度升高,鐵蛋白(>2 000μg/L)明顯升高,CEA正常;肝炎病毒學檢查提示抗-HBs陽性,抗-HBe陽性,抗-HBc陽性,HBV-DNA 2.290×104 copies/mL,抗-HCV陰性,考慮存在隱匿性乙型病毒性肝炎;肝功能Child-Pugh分級為A級;入院后行3次血培養(體溫>38.5℃),需氧瓶及厭氧瓶培養均為陰性。因患者血常規提示嗜酸性粒細胞絕對值降低,行肥達外斐氏反應以排除傷寒及斑疹傷寒,結果均陰性。上腹部平掃+增強CT(圖 4)提示肝臟病灶累及肝左、右葉及尾葉,且存在肝胃間隙、肝門部、腹膜后多發腫大淋巴結,故進一步行胸部CT及骨掃描排外有無遠處轉移。胸部CT提示雙肺多發結節影,肝癌肺轉移不排,雙側胸膜增厚,心包積液;骨掃描示左側第10、11肋骨骨質代謝異常,轉移不排外。結合上述檢查結果,考慮患者肝癌已處于晚期,存在淋巴結及遠處轉移可能,且年齡較大,合并2型糖尿病,已失去手術、介入、射頻、肝移植等治療機會,經我院肝癌多學科討論后,決定進一步行肝占位穿刺活檢術。經病理活檢結果示:癌組織呈腺泡狀、條索狀排列,浸潤性生長,邊緣可見正常肝組織及壞死組織。免疫組織化學結果:HepPar(±),AFP(-),Ki-67 80%,CK7(+++),CK20(++),CD34(+),結合形態學及免疫組織化學結果,考慮低分化肝內膽管細胞癌(圖 2C)。病理結果不支持分子靶向藥物索拉菲尼治療指征,給予恩替卡韋抗病毒治療,并給予內科保守治療,治療期間患者仍間斷發熱,體溫高峰無明顯下降,體溫38.1~39℃,乏力、惡心、咳嗽等癥狀略好轉,治療2周后出院。建議出院后長期服用恩替卡韋抗病毒治療,未定期隨訪。

1.4 病例4
男,45歲。既往慢性乙型病毒性肝炎病史15年,未正規診治。無其他慢性疾病病史,否認長期飲酒史及乙肝家族史,有羊群接觸史。患者于入院前1個月受涼后出現發熱,發熱前畏寒,伴乏力、肝區脹痛,腹脹,惡心、嘔吐,在外院就診查血常規示白細胞、中性粒細胞百分比升高(具體不詳);外院上腹部增強CT示:肝硬變,肝右葉類圓形低密度影,多考慮肝癌,門靜脈癌栓形成,腹水;右側胸腔積液;心包積液。發病以來體質量減輕約5 kg。在當地醫院給予抗感染、支持(具體不詳)等治療后仍持續發熱,體溫38.9~40℃,為進一步診治就診于我院。入院后查降鈣素原(1.110μg/L)明顯增高,血常規提示白細胞(15.29×109/L)、中性粒細胞(80.3%)明顯升高;血生化提示:ALT(65 U/L)、AST(114 U/L)、TBIL(88.6μmol/L)均升高,而ALB(29.7 g/L)降低,ALP(458 U/L)、GGT(163 U/L)明顯升高,CHOL(1.98 mmol/L)明顯降低;腫瘤標志物提示:AFP、CEA正常,CA19-9(112 U/mL)、CA125(83.5 U/mL)升高,鐵蛋白(1 138μg/L)明顯升高;乙肝病毒學檢查提示:e抗原陰性乙肝,HBV-DNA 2.10×103 copies/mL;肝功能Child-Pugh分級為C級;行肝臟超聲造影示:肝右葉單發實質非均質占位性病變(病灶大小約119 mm×85 mm),造影表現多考慮肝內膽管細胞癌。患者降鈣素原及血常規均提示存在感染,故積極給予抗感染治療,并給予保肝、能量支持、抗病毒、清除內毒素血癥、調節免疫等治療,治療后體溫高峰較前上升,最高達40.5℃,呈持續高熱,并2次更換抗生素(哌拉西林他唑巴坦鈉—頭孢曲松鈉—亞胺培南西司他丁鈉),抗感染治療期間出現腹瀉,行糞便涂片可見真菌孢子,故同時使用氟康唑抗真菌治療,體溫仍無明顯下降。積極排查其他原因引起的發熱,包括自身抗體譜、甲狀腺功能、肥達外斐氏反應、尿常規、糞常規、血沉、布氏桿菌病及黑熱病抗體、3次行血培養、心臟彩超、γ-干擾素釋放試驗、呼吸道病毒、胸部CT等檢查,上述結果除血沉升高(82 mm/h)外,均無明顯異常。經我院肝癌多學科討論后,行肝臟穿刺活檢進一步明確病變性質。病理活檢回報示:送檢肝組織內見異型細胞異性增生,呈梁索狀、片塊狀、腺樣排列。免疫組織化學結果:HepPar(±),AFP(-),pCEA(-),Ki-67 40%,CK19(++),muc-1(+),結合形態學及免疫組織化學結果提示低分化肝內膽管細胞癌(圖 2D)。結合病理檢查及上述檢查結果,多考慮發熱原因為癌性發熱。因患者肝功能差,高黃疸,低蛋白血癥,凝血功能較差,存在腹水,肝功能分級為Child-Pugh C級,且病理分型為肝內膽管細胞癌,失去手術、介入、射頻、分子靶向等治療機會,患者長期發熱,體質差,處于惡液質,治療過程中病情進行性惡化,住院20 d后家屬放棄治療,自動出院,出院后1個月后死亡,死亡原因多臟器功能衰竭。
2 討論
2.1 肝內膽管細胞癌的發病機制
肝內膽管細胞癌是指左右肝管匯合部以上的肝內小膽管或末梢膽管上皮細胞起源的惡性腫瘤,臨床相對少見。近年來,肝內膽管細胞癌發病率呈上升趨勢[3-4],依據其生長類型可分為腫塊型、浸潤狹窄型和腔內生長型,其中以腫塊型最為常見[5]。本組4例患者中,病例1、3、4均屬于腫塊型,病例2屬于浸潤生長型。
肝內膽管細胞癌的病因目前尚不明確,就我國而言,可能與肝內外膽管結石、慢性病毒性肝炎、華支睪吸蟲、片性吸蟲及其他如肝內膽管囊性擴張癥、原發性硬化性膽管炎等因素有關[6-8]。近年來諸多研究[9-12]表明,HBV和(或)HCV感染是發生肝內膽管細胞癌的危險因素之一;但不同地區學者得到的結論不同。歐美及日本的研究[13-14]多表明HCV感染是導致肝內膽管細胞癌的因素之一,而我國的研究數據[1]顯示HBV感染是肝內膽管細胞癌發生的危險因素之一。據2006年全國乙肝血清流行病學調查表明,我國1~59歲一般人群HbsAg攜帶率為7.18% [15-16],而西方國家以HCV感染多見,這可能是造成差異的主要原因。本研究中有3例患者既往有明確慢性乙肝病史,1例為隱匿性乙型肝炎,其中3例均存在乙肝病毒復制。4例患者既往均無明確肝內外膽管結石病史,無膽道系統手術史,亦無明確寄生蟲病病史。分析本組4例患者肝內膽管細胞癌的發病原因,多考慮與HBV感染有關,其機制可能是人體在HBV感染后,病毒可持續損傷肝內膽管細胞,并致末梢膽管上皮細胞所處基質環境發生改變;肝內膽管細胞在損傷與修復的過程中,細胞正常調控機制發生障礙,從而導致癌變。
2.2 肝內膽管細胞癌的診斷
2.2.1 臨床表現
4例患者均以發熱伴肝區脹痛為首發癥狀,且其中3例血常規提示白細胞、中性粒細胞及降鈣素原升高,癥狀和實驗室檢查均與肝膿腫相似。病例2在當地醫院行上腹部B超檢查后初步診斷為肝膿腫,但給予抗感染治療后療效欠佳,體溫無明顯下降。早期肝膿腫中心部位未液化或部分液化,其濃度近似軟組織而高于水,膿腫壁還未形成,超聲顯示不規則或蜂窩狀未增強區時,難以與不典型的肝內膽管細胞癌區分,容易造成誤診;且由于大多數肝內膽管細胞癌屬于乏血供腫瘤,腫瘤富含纖維間質結構,其中央由于缺血而容易發生液化壞死,壞死物質吸收過程中產生內源性致熱源,作用于體溫調節中樞,從而導致患者發熱,并且腫瘤體積越大,液化壞死區域面積越廣,體溫越高[17]。因此,對于存在慢性肝病基礎的疑似肝膿腫的患者,在抗感染治療效果不佳時應積極進行肝臟穿刺活檢,以盡早明確診斷。
2.2.2 血生化
4例患者中有3例生化檢查提示ALP和GGT升高,考慮與腫瘤造成局部膽管引流障礙有關。Olnes等[18]研究表明,僅有10%的肝內膽管細胞癌患者可出現黃疸,而此時腫瘤多已侵犯至對側的膽管,疾病已至晚期。4例患者中僅1例血生化提示總膽紅素升高,考慮與腫瘤晚期肝內膽管受壓存在膽汁淤積有關。綜合以上檢查結果,考慮上述指標均無特異性,對診斷的幫助不大。
2.2.3 腫瘤標志物
目前,肝內膽管細胞癌的腫瘤標志物尚未發現特異者,CA19-9有一定的價值,是目前常用的指標[19],而CEA、CA125等腫瘤標志物多無特異性,價值不高。4例患者中2例CA19-9輕度升高,但升高程度較低,且某些胃腸道或婦科腫瘤、細菌性膽管炎也會出現CA19-9升高,因此其特異性不高。4例患者血清CEA均正常,2例患者CA125升高,其中病例4升高程度較明顯。有研究[20]顯示,肝硬變患者CA125增高可能與腹水刺激腹膜巨噬細胞合成腫瘤壞死因子-α有關,且肝硬變患者腹水中的CA125水平高于血液中[21],腹腔穿刺術后CA125降低,支持CA125來自腹水。病例4血清CA125明顯升高,考慮與其肝硬變背景且存在腹水有關。4例患者中僅有2例測定了血清鐵蛋白,2例均明顯升高。肝臟是合成鐵蛋白的主要場所,該2例患者鐵蛋白明顯升高,一方面可能與肝臟腫瘤造成鐵蛋白合成增加有關,另一方面考慮這2例患者病灶多發且病灶體積較大,液化壞死區域較多,從而造成局部細胞壞死明顯,組織釋放鐵蛋白增多。雖然有研究[22]報道指出僅有5%~19.1%的肝內膽管細胞癌患者會出現AFP升高,但本組4例患者中有2例AFP升高,升高比例達50%,且1例明顯升高(>300 U/mL)。研究[23-24]表明,乙型肝炎相關性肝內膽管細胞癌與無合并肝炎感染患者相比,術前血清AFP多有升高,其發生機制可能是乙型肝炎相關性肝內膽管細胞癌起源于肝前體細胞,而在向惡性腫瘤轉變的過程中,肝前體細胞仍保留了它產生AFP的能力[25]。故依靠AFP來鑒別乙型肝炎相關性肝細胞肝癌和肝內膽管細胞癌有可能出現誤判。
2.2.4 CT表現
肝內膽管細胞癌的CT平掃表現多為類圓形或不規則形低密度腫塊,病灶局部肝輪廓凹陷,同側肝萎縮,病變內或周圍膽管擴張,動脈期增強掃描周邊呈向心性的輕度環狀強化,病變內呈線樣、網格狀強化,靜脈期及延遲期病灶可進一步強化[26],肝內膽管細胞癌這種特征性的強化表現的病理基礎[27]是腫瘤中心部位所含的癌細胞少而伴有豐富的纖維組織,對比劑隨著時間的逐漸延長滲入腫瘤中心所致。本組病例中有2例符合典型膽管細胞癌CT影像學表現,1例在外院行上腹部CT,而病例2上腹部平掃+增強CT表現為病灶在動脈期明顯強化,靜脈期及延遲期強化逐漸減退,這與典型肝內膽管細胞癌的CT表現不相符合,但肝臟穿刺活檢及免疫組織化學結果明確提示肝內膽管細胞癌。重新仔細閱片后發現此例患者門脈期、延遲期病灶內還是可見少許條片狀強化。因此,我們應該重視肝內膽管細胞癌延遲強化這一重要的特點,仔細閱片,注意吸取經驗、教訓,對于影像學檢查不典型的病例,若有條件,應盡早行肝臟穿刺活檢術,避免誤診。
由于肝內膽管細胞癌不多見,且臨床癥狀及實驗室檢查缺乏特異性,常常容易造成誤診、漏診。對于肝病及普外科醫生來說,若發現在慢性乙肝基礎上發生肝臟占位性病變,且以發熱伴肝區脹痛為首發癥狀的病例,在抗感染治療效果不明顯時,應警惕肝內膽管細胞癌的發生;若影像學及實驗室檢查不能明確診斷時,需積極行肝臟穿刺活檢,以免延誤病情。