引用本文: 劉艷, 李清春, 侯睿智. 放射性粒子125I植入治療晚期結直腸癌9例分析. 中國普外基礎與臨床雜志, 2015, 22(10): 1222-1225. doi: 10.7507/1007-9424.20150316 復制
復發、轉移是惡性腫瘤常見的臨床表現,臨床上在處理這些復發轉移病灶時比較棘手。隨著臨床病例數的不斷增多,我們需要尋找一種有效的治療方式來減輕患者的痛苦,延長患者的生存時間。結直腸癌常見的轉移方式是血行轉移、淋巴轉移、局部浸潤及遠處轉移。血行轉移中以肝臟轉移最為常見。近年來,放射性核素125I的應用,CT、超聲、MRI及PET-CT對腫瘤的立體定位,以及計算機三維治療計劃系統與質量驗證系統的聯合應用,使得腫瘤的近距離治療得以實現,并在放射治療領域中占有一席之地。筆者回顧性分析其所在醫院2012年10月至2014年10月期間行放射性粒子125I組織間永久植入治療的9例晚期結直腸癌患者的臨床資料,旨在探討125I放射性粒子植入治療的近期療效及優勢。
1 資料與方法
1.1 臨床資料
本研究共收集吉林大學中日聯誼醫院胃腸外科2012年10月至2014年10月期間收治的9例晚期結直腸癌患者,均經過嚴格的篩選,其中男5例,女4例;年齡46~78歲,中位年齡54歲;5例患者伴有疼痛癥狀。病灶總數14個:局部腫瘤復發灶1個,盆腔轉移灶2個,肝轉移灶8個,腹腔淋巴結轉移灶3個。125I放射性粒子植入前CEA水平升高者6例。全部病例經CT、MRI檢查或穿刺活檢病理學檢查證實為轉移癌。所有患者無再次手術治療的指征。
1.2 病例納入及排除標準
①原發灶已經手術治療。②影像學或CT引導下穿刺活檢病理學檢查證實為轉移癌。③血常規:血小板≥100×109/L,白細胞≥3.0×109/L,血紅蛋白≥90 g/L。④Karnofsky評分≥60分。病例排除標準:①嚴重的心、肺、腎、肝臟功能不全者。②嚴重黃疸者經減黃治療后仍無改善者。③嚴重凝血功能障礙者。④一般情況極差或惡病質。⑤有大量胸水、腹水。
1.3 方法
1.3.1 儀器及材料
放射性粒子125I,北京原博生物新創公司和中國同位素公司所生產提供,外徑0.8 mm,長4.5 mm,平均能量27~35 keV,半衰期59.6 d,放射性活度為2.96×107 Bq,初始量率7 cGy/h,組織穿透能力1.7 cm;放射性粒子倉,術中應用的植入器為浙江JACO公司生產的手柄式植入器或Mick槍;一次性18G粒子植入針,與植入器相連;術中引導使用飛利浦iU22彩超。
1.3.2 粒子植入計劃及策略
治療計劃制定采用TPS治療計劃系統,對放射性粒子及患者腫瘤建立模型,模擬放射治療計劃。術中超聲檢查結合術前影像學檢查,注意腫瘤的大小、邊緣、內部血流狀態,與周圍組織器官尤其是大血管的關系,計算出腫瘤的大小、位置,與周圍器官組織的關系,選定理想的穿刺點及進針的路徑、方向,避開重要的大血管及臟器。
1.3.3 手術前準備、麻醉方式、體位及手術方式
術前均行全血細胞計數、CEA、凝血常規、血糖、離子(血鈉、鉀、氯、鈣)、肝腎功能、心電圖、胸部正位片、腹腔CT平掃+增強以及腹部彩超檢查,行腸道準備及預防感染措施,術前簽署手術知情同意書。9例患者手術均采用全身麻醉,仰臥位。手術方式為超聲引導下經皮非血管125I植入術,按術前制定治療計劃,超聲定位腫瘤,顯露腫瘤邊界及周圍解剖,穿刺針插入至腫瘤遠端,每間隔1cm植入1枚粒子,邊植入粒子邊退針,逐層分布。植入結束后再次復查超聲,明確有無放射冷區,必要時進行補種。
1.4 近期療效觀察
1.4.1 疼痛癥狀評估
根據WHO疼痛程度分級標準[1]。0級:無疼痛;1級(輕度疼痛):平臥時無疼痛,翻身咳嗽時有輕度疼痛,但可以忍受,睡眠不受影響;2級(中度疼痛):靜臥時疼痛,翻身咳嗽時加劇,不能忍受,睡眠受干擾,要求用鎮痛藥;3級(重度疼痛):靜臥時疼痛劇烈,不能忍受,睡眠嚴重受干擾,需要用鎮靜劑。本組患者中有5例患者治療前伴有不同程度的疼痛,其中1級3例,2級2例。疼痛療效判定標準:顯著,疼痛完全消失或疼痛分級下降2級;有效,疼痛分級下降1級;無效,疼痛分級未下降或上升。
1.4.2 客觀療效
依照RECIST1.1實體瘤的療效評價標準[2]。完全緩解(CR):所有目標病灶消失;部分緩解(PR):基線病灶長徑總和縮小≥30%;疾病穩定(SD):基線病灶長徑總和有縮小但未達到PR或有增加未達疾病進展(PD);PD:基線病灶長徑總和增加≥20%或出現新病灶。總有效=CR+PR,疾病控制=CR+PR+SD。
2 結果
2.1 臨床癥狀緩解情況
本組患者中共有5例患者于125I放射性粒子植入治療前伴有不同程度的疼痛,其中1級3例,2級2例;接受125I放射性粒子植入治療后2個月內其疼痛均有不同程度緩解,詳見表 1。

2.2 腫瘤影像學評價結果
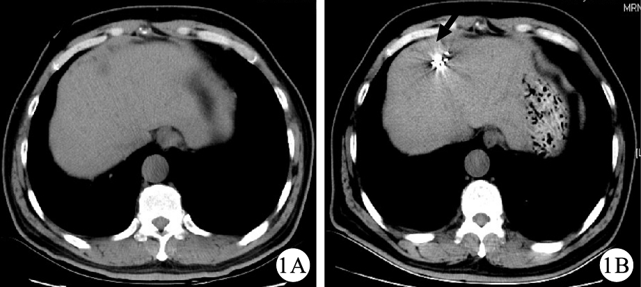
本組9例患者行125I放射性粒子植入治療后2個月復查腹部CT,結果顯示,9例患者中,CR占2/9,PR占5/9例,SD占1/9,PD占1/9,總有效者占7/9例,疾病控制者占8/9。具體見表 2。圖 1和圖 2是治療前后典型的腹部CT掃描結果。


2.3 并發癥發生情況
9例患者在行125I放射性粒子植入治療中及治療后均未出現嚴重的出血、放射性腸炎、腸梗阻、腸瘺等并發癥;復查血常規及肝腎功能檢查未見明顯改變。有1例患者125I放射性粒子植入治療后2個月復查CT,見粒子腹腔內游走,隨訪未發現明顯并發癥,未予處理。
3 討論
轉移及復發是腫瘤的一種惡性生物學行為,是腫瘤致死的一個重要原因。梁寒等[3]對723例結腸癌患者進行觀察及隨訪,有278例患者在術后107個月內死于腫瘤復發及轉移。目前對于轉移灶及復發灶的治療尚沒有確切有效的方法。對于轉移性肝癌,手術切除可能是目前唯一有效的方法。但是大多數的轉移灶發現時已經失去了手術時機。化療是治療惡性腫瘤轉移及復發的一種有效手段。趙全德等[4]研究證明,吉西他濱聯合表柔比星治療轉移性肝癌, 是安全有效的, 尤其是胰腺癌及乳腺癌肝轉移療效尤為顯著。放射性治療對轉移癌有一定的療效,可以起到較好的姑息治療作用。但放療在晚期直腸癌的治療中可以導致嚴重的并發癥如放射性腸炎、放射性皮炎、軟組織纖維化、骨髓抑制等[5]。
如何能更好地發揮放療的作用的同時減低其副損傷呢?放射性125I的出現可以使這一切成為現實。目前我國放射性粒子在治療胰腺癌、前列腺癌、原發及轉移性肝癌方面獲得了一定的經驗及療效。放射性125I殺傷腫瘤細胞的主要原理是輻照中電離輻射產生活性氧[6],活性氧破壞細胞的DNA、蛋白質、脂肪等,最終導致細胞凋亡。莊洪卿等[7]研究表明,G2/M期阻滯引起的凋亡是低劑量照射殺傷腫瘤細胞的主要機理。國外有文獻[8-9]報道放射性125I粒子治療復發性直腸癌,可以控制腫瘤局部生長,延長生存期。國內亦有放射性125I粒子治療復發性直腸癌的報道,均表明放射性125I粒子在治療復發性直腸癌中的有效性[10-16]。肝轉移癌的治療可以行手術治療、經導管動脈化療栓塞、消融治療等,目前國內外巨大肝臟腫瘤行手術切除成功率及術后生存率有了很大提高[17-19],但手術切除風險較大,術后效果不盡滿意,且多數轉移癌患者再次手術機會不大。經導管動脈化療栓塞治療轉移性肝癌已廣泛應用于臨床,可有效控制腫瘤生長,改善患者生活質量,術后副作用少[20],但經導管動脈化療栓塞治療效果易受到腫瘤多血供的影響,因此適應癥相對窄,需要聯合放療、射頻消融等其他綜合治療方法[21-22]。國內文獻[23-25]報道,行CT引導下肝臟轉移癌行放射性125I粒子植入治療,療效確切,安全,微創,但CT掃描放射線劑量過大,對患者造成不必要的放射損害,因此在安全性上不如超聲引導。本組患者的共同特點為:根治性手術為主的綜合治療后復發、轉移,其多伴有其他內科疾病,或者經其他治療失敗;其治療的目的是控制腫瘤生長,延長患者的生存期,使患者擁有更好的生活質量及圍手術期更低的并發癥。本組9例患者經過組織間永久放射性125I粒子植入治療,均行超聲引導下經皮非血管腫瘤內植入,無手術切口,術中注意保護周圍臟器及血管,術后患者均未出現嚴重并發癥,治療效果明顯。提示125I組織間永久粒子植入術對治療晚期結直腸癌可能是一種安全、微創、有效的治療方式。尤其對于高齡患者或伴有較為嚴重的基礎疾病的患者,其優勢更為明顯。
綜上所述,放射性粒子植入術對于晚期結直腸癌的治療是一項安全有效的治療方法。具有創傷小,并發癥少,恢復快的優勢。
復發、轉移是惡性腫瘤常見的臨床表現,臨床上在處理這些復發轉移病灶時比較棘手。隨著臨床病例數的不斷增多,我們需要尋找一種有效的治療方式來減輕患者的痛苦,延長患者的生存時間。結直腸癌常見的轉移方式是血行轉移、淋巴轉移、局部浸潤及遠處轉移。血行轉移中以肝臟轉移最為常見。近年來,放射性核素125I的應用,CT、超聲、MRI及PET-CT對腫瘤的立體定位,以及計算機三維治療計劃系統與質量驗證系統的聯合應用,使得腫瘤的近距離治療得以實現,并在放射治療領域中占有一席之地。筆者回顧性分析其所在醫院2012年10月至2014年10月期間行放射性粒子125I組織間永久植入治療的9例晚期結直腸癌患者的臨床資料,旨在探討125I放射性粒子植入治療的近期療效及優勢。
1 資料與方法
1.1 臨床資料
本研究共收集吉林大學中日聯誼醫院胃腸外科2012年10月至2014年10月期間收治的9例晚期結直腸癌患者,均經過嚴格的篩選,其中男5例,女4例;年齡46~78歲,中位年齡54歲;5例患者伴有疼痛癥狀。病灶總數14個:局部腫瘤復發灶1個,盆腔轉移灶2個,肝轉移灶8個,腹腔淋巴結轉移灶3個。125I放射性粒子植入前CEA水平升高者6例。全部病例經CT、MRI檢查或穿刺活檢病理學檢查證實為轉移癌。所有患者無再次手術治療的指征。
1.2 病例納入及排除標準
①原發灶已經手術治療。②影像學或CT引導下穿刺活檢病理學檢查證實為轉移癌。③血常規:血小板≥100×109/L,白細胞≥3.0×109/L,血紅蛋白≥90 g/L。④Karnofsky評分≥60分。病例排除標準:①嚴重的心、肺、腎、肝臟功能不全者。②嚴重黃疸者經減黃治療后仍無改善者。③嚴重凝血功能障礙者。④一般情況極差或惡病質。⑤有大量胸水、腹水。
1.3 方法
1.3.1 儀器及材料
放射性粒子125I,北京原博生物新創公司和中國同位素公司所生產提供,外徑0.8 mm,長4.5 mm,平均能量27~35 keV,半衰期59.6 d,放射性活度為2.96×107 Bq,初始量率7 cGy/h,組織穿透能力1.7 cm;放射性粒子倉,術中應用的植入器為浙江JACO公司生產的手柄式植入器或Mick槍;一次性18G粒子植入針,與植入器相連;術中引導使用飛利浦iU22彩超。
1.3.2 粒子植入計劃及策略
治療計劃制定采用TPS治療計劃系統,對放射性粒子及患者腫瘤建立模型,模擬放射治療計劃。術中超聲檢查結合術前影像學檢查,注意腫瘤的大小、邊緣、內部血流狀態,與周圍組織器官尤其是大血管的關系,計算出腫瘤的大小、位置,與周圍器官組織的關系,選定理想的穿刺點及進針的路徑、方向,避開重要的大血管及臟器。
1.3.3 手術前準備、麻醉方式、體位及手術方式
術前均行全血細胞計數、CEA、凝血常規、血糖、離子(血鈉、鉀、氯、鈣)、肝腎功能、心電圖、胸部正位片、腹腔CT平掃+增強以及腹部彩超檢查,行腸道準備及預防感染措施,術前簽署手術知情同意書。9例患者手術均采用全身麻醉,仰臥位。手術方式為超聲引導下經皮非血管125I植入術,按術前制定治療計劃,超聲定位腫瘤,顯露腫瘤邊界及周圍解剖,穿刺針插入至腫瘤遠端,每間隔1cm植入1枚粒子,邊植入粒子邊退針,逐層分布。植入結束后再次復查超聲,明確有無放射冷區,必要時進行補種。
1.4 近期療效觀察
1.4.1 疼痛癥狀評估
根據WHO疼痛程度分級標準[1]。0級:無疼痛;1級(輕度疼痛):平臥時無疼痛,翻身咳嗽時有輕度疼痛,但可以忍受,睡眠不受影響;2級(中度疼痛):靜臥時疼痛,翻身咳嗽時加劇,不能忍受,睡眠受干擾,要求用鎮痛藥;3級(重度疼痛):靜臥時疼痛劇烈,不能忍受,睡眠嚴重受干擾,需要用鎮靜劑。本組患者中有5例患者治療前伴有不同程度的疼痛,其中1級3例,2級2例。疼痛療效判定標準:顯著,疼痛完全消失或疼痛分級下降2級;有效,疼痛分級下降1級;無效,疼痛分級未下降或上升。
1.4.2 客觀療效
依照RECIST1.1實體瘤的療效評價標準[2]。完全緩解(CR):所有目標病灶消失;部分緩解(PR):基線病灶長徑總和縮小≥30%;疾病穩定(SD):基線病灶長徑總和有縮小但未達到PR或有增加未達疾病進展(PD);PD:基線病灶長徑總和增加≥20%或出現新病灶。總有效=CR+PR,疾病控制=CR+PR+SD。
2 結果
2.1 臨床癥狀緩解情況
本組患者中共有5例患者于125I放射性粒子植入治療前伴有不同程度的疼痛,其中1級3例,2級2例;接受125I放射性粒子植入治療后2個月內其疼痛均有不同程度緩解,詳見表 1。

2.2 腫瘤影像學評價結果
本組9例患者行125I放射性粒子植入治療后2個月復查腹部CT,結果顯示,9例患者中,CR占2/9,PR占5/9例,SD占1/9,PD占1/9,總有效者占7/9例,疾病控制者占8/9。具體見表 2。圖 1和圖 2是治療前后典型的腹部CT掃描結果。


2.3 并發癥發生情況
9例患者在行125I放射性粒子植入治療中及治療后均未出現嚴重的出血、放射性腸炎、腸梗阻、腸瘺等并發癥;復查血常規及肝腎功能檢查未見明顯改變。有1例患者125I放射性粒子植入治療后2個月復查CT,見粒子腹腔內游走,隨訪未發現明顯并發癥,未予處理。
3 討論
轉移及復發是腫瘤的一種惡性生物學行為,是腫瘤致死的一個重要原因。梁寒等[3]對723例結腸癌患者進行觀察及隨訪,有278例患者在術后107個月內死于腫瘤復發及轉移。目前對于轉移灶及復發灶的治療尚沒有確切有效的方法。對于轉移性肝癌,手術切除可能是目前唯一有效的方法。但是大多數的轉移灶發現時已經失去了手術時機。化療是治療惡性腫瘤轉移及復發的一種有效手段。趙全德等[4]研究證明,吉西他濱聯合表柔比星治療轉移性肝癌, 是安全有效的, 尤其是胰腺癌及乳腺癌肝轉移療效尤為顯著。放射性治療對轉移癌有一定的療效,可以起到較好的姑息治療作用。但放療在晚期直腸癌的治療中可以導致嚴重的并發癥如放射性腸炎、放射性皮炎、軟組織纖維化、骨髓抑制等[5]。
如何能更好地發揮放療的作用的同時減低其副損傷呢?放射性125I的出現可以使這一切成為現實。目前我國放射性粒子在治療胰腺癌、前列腺癌、原發及轉移性肝癌方面獲得了一定的經驗及療效。放射性125I殺傷腫瘤細胞的主要原理是輻照中電離輻射產生活性氧[6],活性氧破壞細胞的DNA、蛋白質、脂肪等,最終導致細胞凋亡。莊洪卿等[7]研究表明,G2/M期阻滯引起的凋亡是低劑量照射殺傷腫瘤細胞的主要機理。國外有文獻[8-9]報道放射性125I粒子治療復發性直腸癌,可以控制腫瘤局部生長,延長生存期。國內亦有放射性125I粒子治療復發性直腸癌的報道,均表明放射性125I粒子在治療復發性直腸癌中的有效性[10-16]。肝轉移癌的治療可以行手術治療、經導管動脈化療栓塞、消融治療等,目前國內外巨大肝臟腫瘤行手術切除成功率及術后生存率有了很大提高[17-19],但手術切除風險較大,術后效果不盡滿意,且多數轉移癌患者再次手術機會不大。經導管動脈化療栓塞治療轉移性肝癌已廣泛應用于臨床,可有效控制腫瘤生長,改善患者生活質量,術后副作用少[20],但經導管動脈化療栓塞治療效果易受到腫瘤多血供的影響,因此適應癥相對窄,需要聯合放療、射頻消融等其他綜合治療方法[21-22]。國內文獻[23-25]報道,行CT引導下肝臟轉移癌行放射性125I粒子植入治療,療效確切,安全,微創,但CT掃描放射線劑量過大,對患者造成不必要的放射損害,因此在安全性上不如超聲引導。本組患者的共同特點為:根治性手術為主的綜合治療后復發、轉移,其多伴有其他內科疾病,或者經其他治療失敗;其治療的目的是控制腫瘤生長,延長患者的生存期,使患者擁有更好的生活質量及圍手術期更低的并發癥。本組9例患者經過組織間永久放射性125I粒子植入治療,均行超聲引導下經皮非血管腫瘤內植入,無手術切口,術中注意保護周圍臟器及血管,術后患者均未出現嚴重并發癥,治療效果明顯。提示125I組織間永久粒子植入術對治療晚期結直腸癌可能是一種安全、微創、有效的治療方式。尤其對于高齡患者或伴有較為嚴重的基礎疾病的患者,其優勢更為明顯。
綜上所述,放射性粒子植入術對于晚期結直腸癌的治療是一項安全有效的治療方法。具有創傷小,并發癥少,恢復快的優勢。