引用本文: 陳德明, 梁健雄. 嘔吐致脾胃韌帶撕裂大出血1例報道. 中國普外基礎與臨床雜志, 2014, 21(11): 1334-1334. doi: 10.7507/1007-9424.20140321 復制
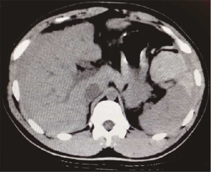
病例資料????患者,男,18歲,因腹部脹痛4 d由基層衛生院轉入我院。患者4 d前曾醉酒后劇烈嘔吐10多次,嘔吐物為胃內容物,無咖啡樣物。當晚開始出現腹部脹痛,以左中上腹明顯,伴頭暈、惡心、乏力,無發熱、畏寒,無氣促、呼吸困難,無腹瀉、血便。曾在當地衛生院“輸液”治療(用藥不詳),癥狀無好轉,并出現頭暈、心悸加重,血壓下降,隨即轉送我院急診就診。行腹部CT檢查后,門診擬“血腹查因,失血性休克”收外科住院。既往史無特殊,否認外傷史。體格檢查:體溫36.5℃,呼吸22次/min,脈搏114次/min,血壓80/56 mm Hg(1 mm Hg=0.133 kPa)。面色蒼白,心肺檢查未見異常,腹脹,以左中上腹明顯,全腹壓痛,伴輕度反跳痛和肌緊張。未觸及包塊,肝脾肋下未觸及,移動性濁音陽性,肝脾區無明顯叩痛,腸鳴音正常。實驗室檢查:血紅細胞2.12×1012/L,血紅蛋白65 g/L,血尿淀粉酶正常。影像學檢查:腹部CT示脾不大,密度未見異常,脾臟上極輪廓不清,周緣見新月形混雜液體密度影,脾胃間見團狀高密度影,肝外緣見弧形液性密度影,厚約2.1 cm(圖 1),盆腔見大量積血。左下腹腹腔穿刺抽出3 mL不凝血。隨即行剖腹探查,術中見脾胃韌帶撕裂出血,脾門附近見大量凝血塊,出血總量2 200 mL,探查腹腔內其他臟器未見異常,考慮出血為劇烈嘔吐致脾胃韌帶撕裂所致。患者術后10 d治愈出院。

討論 ????非外傷性脾胃韌帶撕裂大出血臨床上極少見,文獻資料報道的全部與劇烈嘔吐有關,本例同樣是酒后劇烈嘔吐后出現脾胃韌帶撕裂出血。本病在發病初期容易誤診,尤其是在缺乏CT等先進設備的基層衛生院,易誤診為急性胃炎、上消化道穿孔、急性胰腺炎等。有腹部脹痛伴失血癥狀的患者,并且有劇烈嘔吐病史的,要考慮到本病的可能,診斷性腹腔穿刺檢查是簡單有效的方法,尤其適用于基層衛生院。剖腹探查是最有效的治療方式,值得注意的是開腹后會發現出血可能已靜止,此時要對可疑出血點徹底結扎,以防術后再出血。
病例資料????患者,男,18歲,因腹部脹痛4 d由基層衛生院轉入我院。患者4 d前曾醉酒后劇烈嘔吐10多次,嘔吐物為胃內容物,無咖啡樣物。當晚開始出現腹部脹痛,以左中上腹明顯,伴頭暈、惡心、乏力,無發熱、畏寒,無氣促、呼吸困難,無腹瀉、血便。曾在當地衛生院“輸液”治療(用藥不詳),癥狀無好轉,并出現頭暈、心悸加重,血壓下降,隨即轉送我院急診就診。行腹部CT檢查后,門診擬“血腹查因,失血性休克”收外科住院。既往史無特殊,否認外傷史。體格檢查:體溫36.5℃,呼吸22次/min,脈搏114次/min,血壓80/56 mm Hg(1 mm Hg=0.133 kPa)。面色蒼白,心肺檢查未見異常,腹脹,以左中上腹明顯,全腹壓痛,伴輕度反跳痛和肌緊張。未觸及包塊,肝脾肋下未觸及,移動性濁音陽性,肝脾區無明顯叩痛,腸鳴音正常。實驗室檢查:血紅細胞2.12×1012/L,血紅蛋白65 g/L,血尿淀粉酶正常。影像學檢查:腹部CT示脾不大,密度未見異常,脾臟上極輪廓不清,周緣見新月形混雜液體密度影,脾胃間見團狀高密度影,肝外緣見弧形液性密度影,厚約2.1 cm(圖 1),盆腔見大量積血。左下腹腹腔穿刺抽出3 mL不凝血。隨即行剖腹探查,術中見脾胃韌帶撕裂出血,脾門附近見大量凝血塊,出血總量2 200 mL,探查腹腔內其他臟器未見異常,考慮出血為劇烈嘔吐致脾胃韌帶撕裂所致。患者術后10 d治愈出院。

討論 ????非外傷性脾胃韌帶撕裂大出血臨床上極少見,文獻資料報道的全部與劇烈嘔吐有關,本例同樣是酒后劇烈嘔吐后出現脾胃韌帶撕裂出血。本病在發病初期容易誤診,尤其是在缺乏CT等先進設備的基層衛生院,易誤診為急性胃炎、上消化道穿孔、急性胰腺炎等。有腹部脹痛伴失血癥狀的患者,并且有劇烈嘔吐病史的,要考慮到本病的可能,診斷性腹腔穿刺檢查是簡單有效的方法,尤其適用于基層衛生院。剖腹探查是最有效的治療方式,值得注意的是開腹后會發現出血可能已靜止,此時要對可疑出血點徹底結扎,以防術后再出血。