引用本文: 古建輝, 李云濤, 劉展. 華法林抗凝過量致后腹膜、泌尿系、腹腔及胸腔出血1例報道. 中國普外基礎與臨床雜志, 2014, 21(8): 1052-1052. doi: 10.7507/1007-9424.20140253 復制
病例資料
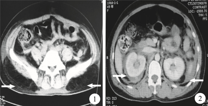
患者,女,49歲,因“雙下肢脹痛1周”于當地醫院入院。B超提示左下肢靜脈血栓,予以長期口服華法林2.5 mg抗凝,1次/d。2周后緩解不明顯,自行加量至5 mg,1次/d,持續約2個月。未復查凝血酶原時間(PT)。后因腹痛、腹脹20+ d,加重3 d,伴血尿、下肢腫痛不適并雙下肢活動受限,在當地醫院治療,未見明顯好轉,由急診科收入我科。入院后留置導尿,可見肉眼血尿。凝血功能檢查:PT>120.0 s,活化部分凝血酶時間168.4 s,空腹血糖4.78 g/L。尿常規:潛血(+++),RBC 250/HP,蛋白質(++++)。入院后查體:心率136次/min。腹部膨隆,右側腹部壓痛、反跳痛及肌緊張,且以右下腹為重,腸鳴音減弱。腰背部叩痛明顯。雙下肢腫脹明顯,皮溫對稱,雙側股動脈、腘動脈及足背動脈搏動對稱,雙下肢輕度凹陷性水腫。腹部CT檢查提示腹腔、腹膜后及盆腔積液,腹膜后感染?雙腎輕度積水,雙側輸尿管上段擴張,雙側胸腔少量積液(圖 1、2)。入院后診斷為自發性后腹膜出血、泌尿系出血、腹腔及胸腔出血。處理:立即靜脈輸入維生素K1及輸入新鮮冰凍血漿,持續治療約3周時間,患者腹痛緩解,血尿停止,雙下肢腫痛緩解。復查腹部CT,提示后腹膜血腫明顯吸收,復查PT恢復正常。

討論
華法林是常用的香豆素類抗凝血藥之一,其化學結構與維生素K相似,作用機制可能通過競爭性拮抗維生素K,影響凝血酶原Ⅱ、Ⅶ、Ⅸ、Ⅹ因子的合成,使凝血時間延長。臨床表現主要是出血傾向。華法林抗凝劑量過量導致后腹膜出血、泌尿系出血、腹腔及胸腔出血是少見的嚴重抗凝并發癥,尤其是以后腹膜出血極少見,易被誤診,病死率較高,可表現為腰、腹部疼痛、低血容量性休克、股神經缺血性病變、腹腔間隔室綜合征等。約1/3的患者表現為劇烈疼痛、休克和非搏動性腹部包塊Lenk三聯征。本例患者首發癥狀為腰部及下肢疼痛,并伴隨下腹疼痛及血尿癥狀,可能與腹膜后血腫壓迫股神經有關;而當患者屈髖關節時可減輕下肢疼痛不適是因減輕血腫對股神經的壓迫。患者在當地醫院就診時,因雙下肢腫脹明顯而診斷為下肢深靜脈血栓,因此繼續使用華法林抗凝并加大劑量,導致病情加重,泌尿系、腹腔及雙側胸腔少量出血。后腹膜出血診斷首選腹部CT檢查,其可以準確定位出血的部位、血腫大小及其在軟組織中的延伸范圍,增強CT可以評估保守治療的效果,明確是否需要介入治療。復習文獻發現,大多數后腹膜出血的患者伴有下肢腫脹、疼痛,易誤診為下肢靜脈血栓、腰椎間盤突出。因此,進行抗凝治療的患者,出現不明原因的下肢腫脹、疼痛時,應考慮到后腹膜出血的可能性,并應立即完善凝血功能、下肢血管彩色多普勒超聲、腹部增強CT等檢查,以明確診斷。若后腹膜出血被誤診為下肢靜脈血栓而加強抗凝治療,可能導致嚴重后果。后腹膜出血的保守治療包括停止和逆轉抗凝治療、液體復蘇以及輸血。
病例資料
患者,女,49歲,因“雙下肢脹痛1周”于當地醫院入院。B超提示左下肢靜脈血栓,予以長期口服華法林2.5 mg抗凝,1次/d。2周后緩解不明顯,自行加量至5 mg,1次/d,持續約2個月。未復查凝血酶原時間(PT)。后因腹痛、腹脹20+ d,加重3 d,伴血尿、下肢腫痛不適并雙下肢活動受限,在當地醫院治療,未見明顯好轉,由急診科收入我科。入院后留置導尿,可見肉眼血尿。凝血功能檢查:PT>120.0 s,活化部分凝血酶時間168.4 s,空腹血糖4.78 g/L。尿常規:潛血(+++),RBC 250/HP,蛋白質(++++)。入院后查體:心率136次/min。腹部膨隆,右側腹部壓痛、反跳痛及肌緊張,且以右下腹為重,腸鳴音減弱。腰背部叩痛明顯。雙下肢腫脹明顯,皮溫對稱,雙側股動脈、腘動脈及足背動脈搏動對稱,雙下肢輕度凹陷性水腫。腹部CT檢查提示腹腔、腹膜后及盆腔積液,腹膜后感染?雙腎輕度積水,雙側輸尿管上段擴張,雙側胸腔少量積液(圖 1、2)。入院后診斷為自發性后腹膜出血、泌尿系出血、腹腔及胸腔出血。處理:立即靜脈輸入維生素K1及輸入新鮮冰凍血漿,持續治療約3周時間,患者腹痛緩解,血尿停止,雙下肢腫痛緩解。復查腹部CT,提示后腹膜血腫明顯吸收,復查PT恢復正常。

討論
華法林是常用的香豆素類抗凝血藥之一,其化學結構與維生素K相似,作用機制可能通過競爭性拮抗維生素K,影響凝血酶原Ⅱ、Ⅶ、Ⅸ、Ⅹ因子的合成,使凝血時間延長。臨床表現主要是出血傾向。華法林抗凝劑量過量導致后腹膜出血、泌尿系出血、腹腔及胸腔出血是少見的嚴重抗凝并發癥,尤其是以后腹膜出血極少見,易被誤診,病死率較高,可表現為腰、腹部疼痛、低血容量性休克、股神經缺血性病變、腹腔間隔室綜合征等。約1/3的患者表現為劇烈疼痛、休克和非搏動性腹部包塊Lenk三聯征。本例患者首發癥狀為腰部及下肢疼痛,并伴隨下腹疼痛及血尿癥狀,可能與腹膜后血腫壓迫股神經有關;而當患者屈髖關節時可減輕下肢疼痛不適是因減輕血腫對股神經的壓迫。患者在當地醫院就診時,因雙下肢腫脹明顯而診斷為下肢深靜脈血栓,因此繼續使用華法林抗凝并加大劑量,導致病情加重,泌尿系、腹腔及雙側胸腔少量出血。后腹膜出血診斷首選腹部CT檢查,其可以準確定位出血的部位、血腫大小及其在軟組織中的延伸范圍,增強CT可以評估保守治療的效果,明確是否需要介入治療。復習文獻發現,大多數后腹膜出血的患者伴有下肢腫脹、疼痛,易誤診為下肢靜脈血栓、腰椎間盤突出。因此,進行抗凝治療的患者,出現不明原因的下肢腫脹、疼痛時,應考慮到后腹膜出血的可能性,并應立即完善凝血功能、下肢血管彩色多普勒超聲、腹部增強CT等檢查,以明確診斷。若后腹膜出血被誤診為下肢靜脈血栓而加強抗凝治療,可能導致嚴重后果。后腹膜出血的保守治療包括停止和逆轉抗凝治療、液體復蘇以及輸血。