引用本文: 肖陽, 王梅, 劉潔婷, 趙冰海. 胃淋巴瘤肝轉移1例報道. 中國普外基礎與臨床雜志, 2014, 21(6): 787-787. doi: 10.7507/1007-9424.20140188 復制
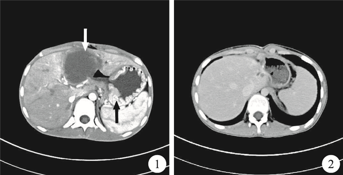
病例資料 患者,男,14歲,因“腹痛、消瘦及低熱3個月”入院。查體:生命體征正常,體溫38.0 ℃;呈重度營養不良表現,嚴重消瘦,凹型腹;上腹部劍突下見微隆起,可觸及一實質性包塊,較硬,約4.0 cm×5.0 cm大,上腹部有壓痛,無反跳痛。腹部CT檢查:肝左外葉見2個橢圓形低密度影,分別約65.5 mm×55.5 mm和85.0 mm×55.0 mm大,邊界欠清,其內均見分隔影;增強后2個病灶均呈持續性環形強化,壁較厚,其內分隔影見強化,而低密度影無強化;胃腔內胃底處胃壁明顯增厚,增厚的胃壁強化不明顯,其中心有局限性缺損并通至胃腔外,與肝左葉低密度影相連(圖 1);腹腔內多發腫大淋巴結。胃鏡檢查:環胃壁半周有一巨大潰瘍(約10.0 cm×10.0 cm大),底部可見厚白黃苔及污苔形成(直徑3.0 cm);潰瘍周圍未見縫隙與瘺管相通。取胃壁組織送病理學檢查,示胃體炎性肉芽組織及炎性壞死滲出物,局灶性異物巨細胞反應。初步診斷為:胃占位、胃穿孔、惡性腫瘤肝轉移。遂行剖腹探查術,術中見肝左葉明顯增大,內可觸及2個較大腫物,分別位于靠近膈面及第一肝門附近,分別為7.0 cm×6.0 cm×5.3 cm及9.0 cm×6.2 cm×4.5 cm大,包塊表面呈灰黃色,邊界不清楚,質硬;第一肝門處腫塊突出到肝胃韌帶內,并緊貼胃小彎;小腸系膜可觸及大量黃豆大小的腫大淋巴結。術中取胃組織送冰凍病理學檢查示淋巴瘤,遂行左半肝切除術、近端胃(包括胃小彎潰瘍及穿孔在內)切除術。術后病理學檢查示,胃小彎彌漫性大B細胞淋巴瘤、肝轉移。臨床診斷:胃惡性淋巴瘤并巨大潰瘍穿孔,肝臟多發巨大轉移瘤。患者術后應用CHOP方案化療4個療程。術后恢復良好,未出現并發癥。術后獲訪1年,行腹部CT檢查未發現腫瘤復發及轉移(圖 2)。

討論 原發性胃惡性淋巴瘤(primary gastric malignant lymphoma,PGML)少見,僅占胃惡性腫瘤的1%~4%。首先表現為胃腸道受累癥狀的淋巴瘤稱為原發性胃腸道惡性淋巴瘤,占全部淋巴瘤的5%。內鏡檢查是目前診斷胃部疾病的主要手段,內鏡下PGML具有以下特點:①病變范圍廣,累及多個部位,表現為大的潰瘍、巨大的腔內腫物、廣泛多發的結節、鵝卵石樣外觀或彌漫性分布顆粒型改變;②病變多發,表現為多發性潰瘍或多灶性損害時應考慮該病。但由于這些表現缺乏特異性,且PGML往往原發于黏膜下,胃鏡活檢的陽性率為40%~50%。本例患者術前行胃鏡檢查未發現腫瘤組織,故內鏡醫師對內鏡下有上述表現者應予以重視。有報道認為,胃惡性淋巴瘤的轉移途徑與胃癌相仿,主要為直接蔓延和經淋巴途徑,經淋巴途徑轉移的發生率為40%~50%。根據惡性淋巴瘤的生物學行為特性,其很少侵犯鄰近臟器,即使與周圍臟器有粘連也是非侵襲性的。因此,本例出現的肝臟侵襲性轉移較為少見。胃淋巴瘤應以手術治療為主,輔以化療、放療和生物治療,并應根據組織學類型和臨床病理分期擬定個性化的治療方案。
病例資料 患者,男,14歲,因“腹痛、消瘦及低熱3個月”入院。查體:生命體征正常,體溫38.0 ℃;呈重度營養不良表現,嚴重消瘦,凹型腹;上腹部劍突下見微隆起,可觸及一實質性包塊,較硬,約4.0 cm×5.0 cm大,上腹部有壓痛,無反跳痛。腹部CT檢查:肝左外葉見2個橢圓形低密度影,分別約65.5 mm×55.5 mm和85.0 mm×55.0 mm大,邊界欠清,其內均見分隔影;增強后2個病灶均呈持續性環形強化,壁較厚,其內分隔影見強化,而低密度影無強化;胃腔內胃底處胃壁明顯增厚,增厚的胃壁強化不明顯,其中心有局限性缺損并通至胃腔外,與肝左葉低密度影相連(圖 1);腹腔內多發腫大淋巴結。胃鏡檢查:環胃壁半周有一巨大潰瘍(約10.0 cm×10.0 cm大),底部可見厚白黃苔及污苔形成(直徑3.0 cm);潰瘍周圍未見縫隙與瘺管相通。取胃壁組織送病理學檢查,示胃體炎性肉芽組織及炎性壞死滲出物,局灶性異物巨細胞反應。初步診斷為:胃占位、胃穿孔、惡性腫瘤肝轉移。遂行剖腹探查術,術中見肝左葉明顯增大,內可觸及2個較大腫物,分別位于靠近膈面及第一肝門附近,分別為7.0 cm×6.0 cm×5.3 cm及9.0 cm×6.2 cm×4.5 cm大,包塊表面呈灰黃色,邊界不清楚,質硬;第一肝門處腫塊突出到肝胃韌帶內,并緊貼胃小彎;小腸系膜可觸及大量黃豆大小的腫大淋巴結。術中取胃組織送冰凍病理學檢查示淋巴瘤,遂行左半肝切除術、近端胃(包括胃小彎潰瘍及穿孔在內)切除術。術后病理學檢查示,胃小彎彌漫性大B細胞淋巴瘤、肝轉移。臨床診斷:胃惡性淋巴瘤并巨大潰瘍穿孔,肝臟多發巨大轉移瘤。患者術后應用CHOP方案化療4個療程。術后恢復良好,未出現并發癥。術后獲訪1年,行腹部CT檢查未發現腫瘤復發及轉移(圖 2)。

討論 原發性胃惡性淋巴瘤(primary gastric malignant lymphoma,PGML)少見,僅占胃惡性腫瘤的1%~4%。首先表現為胃腸道受累癥狀的淋巴瘤稱為原發性胃腸道惡性淋巴瘤,占全部淋巴瘤的5%。內鏡檢查是目前診斷胃部疾病的主要手段,內鏡下PGML具有以下特點:①病變范圍廣,累及多個部位,表現為大的潰瘍、巨大的腔內腫物、廣泛多發的結節、鵝卵石樣外觀或彌漫性分布顆粒型改變;②病變多發,表現為多發性潰瘍或多灶性損害時應考慮該病。但由于這些表現缺乏特異性,且PGML往往原發于黏膜下,胃鏡活檢的陽性率為40%~50%。本例患者術前行胃鏡檢查未發現腫瘤組織,故內鏡醫師對內鏡下有上述表現者應予以重視。有報道認為,胃惡性淋巴瘤的轉移途徑與胃癌相仿,主要為直接蔓延和經淋巴途徑,經淋巴途徑轉移的發生率為40%~50%。根據惡性淋巴瘤的生物學行為特性,其很少侵犯鄰近臟器,即使與周圍臟器有粘連也是非侵襲性的。因此,本例出現的肝臟侵襲性轉移較為少見。胃淋巴瘤應以手術治療為主,輔以化療、放療和生物治療,并應根據組織學類型和臨床病理分期擬定個性化的治療方案。