引用本文: 徐楊, 彭昊, 胡力文, 秦濤, 仲繼紅, 申翼, 易俊. 達芬奇機器人食管癌根治術左側胸膜部分切除后縱隔引流管置入左側胸腔與置于縱隔內的效果差異. 中國胸心血管外科臨床雜志, 2022, 29(9): 1140-1147. doi: 10.7507/1007-4848.202112014 復制
食管癌是我國最常見的惡性腫瘤之一,嚴重威脅著患者的生命健康[1]。盡管近年來早期診斷并行早期治療的食管癌患者比例逐漸增加,但仍有較多患者確診食管癌時腫瘤已發展至食管全層甚至侵犯周圍或遠處組織。對于這部分患者,以外科根治手術為主、伴或不伴新輔助或輔助治療的綜合措施仍是目前最主要的治療方式[2-3]。傳統開胸食管癌手術創傷大,且對于局部淋巴結及部分病灶周圍組織的清掃能力有限。近年來,隨著微創食管癌手術技術的不斷發展,給患者帶來了手術創傷小、清掃更徹底、術后恢復快的益處[4-6]。其中,達芬奇機器人外科手術系統因其擁有高清3D視野和可轉腕手術器械的特點[7],在完整切除可能被食管腫瘤累及的縱隔胸膜、徹底清掃胸腹腔各組淋巴結并且保護正常臟器組織時有獨特的優勢[8-9]。
達芬奇機器人食管癌根治手術經右側胸腔進行操作,術后常規放置右側胸腔引流管用于右側胸腔內積液與積氣的引流,但目前對于縱隔引流管的放置與否以及如何放置尚無統一定論。既往部分研究[10]表明術中放置縱隔引流管于食管床處可能有助于充分引流、控制縱隔感染,并且對于早期發現及治療吻合口瘺具有一定的意義。但是,對于術中部分切除左側縱隔胸膜的患者,其縱隔引流管應如何放置尚無相關研究。我們考慮到食管癌手術可造成機體高代謝并且術后消化道吸收能力下降,可能導致患者術后出現營養不良、低白蛋白等情況從而產生漏出性胸腔積液[11],尤其是左側胸腔底部積液常常難以通過對側胸腔引流從而可引起患者左下肺不張,影響患者術后恢復,甚至帶來一系列術后并發癥[12]。對于左側胸腔積液量較大患者,甚至需要行左側胸腔穿刺抽液或者胸腔閉式引流,增加了創傷和風險[13]。因此,對于達芬奇機器人食管癌根治手術中切除左側部分縱隔胸膜的患者,本研究嘗試將縱隔引流管前段數個側孔經縱隔胸膜置入左側胸腔并且留置數個側孔于縱隔食管床內,以同時進行左側胸腔及縱隔內引流,探討其對患者術后短期臨床預后的影響,并與縱隔引流管單獨置于食管床內的方法進行比較。
1 資料與方法
1.1 臨床資料和分組
回顧性分析2018年7月—2021年3月均由我科同一組外科醫生使用達芬奇Si機器人外科手術系統(Intuitive Surgical,Inc,USA)進行達芬奇機器人食管癌切除、食管-胃左頸部管狀吻合術96例患者的臨床資料。納入標準:(1)術前經評估適合行達芬奇機器人食管癌根治術;(2)術中從右側進胸且未中轉開胸;(3)術后病理結果T分期為T3或T4期;(4)術中因腫瘤牽拉侵犯等原因切除部分左側縱隔胸膜。排除標準:(1)美國麻醉醫師學會(American Society of Anesthesiologists,ASA)身體狀況分級>3級的患者;(2)既往有胸部手術史或有其它可引起疼痛疾病的患者;(3)術后胸腔引流管或縱隔引流管不慎脫落或因其它原因未按預期時間在位;(4)病例資料記錄不全或不足以分析的患者。根據是否經縱隔胸膜放置左側引流管將患者分為兩組:對照組(2019年11月之前)42例患者常規只將縱隔引流管放置在縱隔食管床內,觀察組(2019年11月之后)54例患者則將縱隔引流管經左側胸膜破口置入對側胸腔并有部分側孔位于縱隔食管床內。
1.2 手術方法
兩組患者手術均由本院心胸外科同一醫療組完成,圍手術期處理及用藥原則基本一致,術前行營養風險篩查并予以個體化的營養支持,術后早期開始予以腸內營養支持[14]。術中采用靜脈吸入復合全身麻醉,單腔氣管插管。右側支氣管封堵,同時適度使用人工氣胸幫助肺萎陷、充分暴露視野并吹散電凝器械操作產生的煙霧。手術程序包括:經右胸游離食管和縱隔淋巴結清掃,經上腹游離胃和腹部區域淋巴結清掃以及經左側頸部胃食管管狀吻合3個手術步驟。在胸部階段:患者左側半俯臥位,建立CO2人工氣胸,壓力為8 mm Hg(1 mm Hg=0.133 kPa)。分別取腋中線第6肋間1 cm切口為機器人探頭觀察孔,腋前線第3肋間0.5 cm切口和近腋后線第8肋間0.5 cm切口為機器人1、2號臂,第7肋間1 cm切口為助手孔,進行胸部食管游離,術中對側縱隔胸膜受累或粘連時切除部分對側胸膜,當對側縱隔胸膜出現小的破口時則進一步擴大切除,以防對側氣胸或后續胸腔積液引流不暢。胸部區域淋巴結清掃后放置胸腔及縱隔引流管,囑麻醉師吸痰膨肺后逐層關閉胸部手術切口。腹部階段:患者雙肺通氣,仰臥伴頭高腳低位稍向右側傾斜,建立CO2人工氣腹,壓力為12 mm Hg。臍周取1 cm切口為機器人探頭觀察孔、雙側肋弓下2~3 cm處取0.5 cm切口為機器人1、3號臂,雙側手臂和臍之間分別取0.5 cm和1 cm切口為機器人2號臂和助手孔,進行胃的游離以及腹部淋巴結的清掃。經腹部前正中約5 cm的小切口輔助裁剪管狀胃,在頸部切口將游離的食管及管狀胃上拉,在頸部預留足夠進行管狀吻合長度的食管后將管狀胃與食管進行機械吻合,從而使吻合口的位置盡量靠近頭側,最后使用直線切割縫合器切掉多余的近端胃殘端,并行切緣的包埋,再經腹腔切口將管狀胃向下適度拖拽使重建后的消化道全程保持松弛。吻合完成后,在左下腹空腸距屈氏韌帶約15~20 cm處選定造瘺口行空腸造瘺術用于術后腸內營養支持,最后關閉頸部及腹部切口。所有患者術后均使用患者自控靜脈鎮痛泵進行術后鎮痛,術后第3 d予以撤除。
1.3 胸腔及縱隔引流管放置和拔除
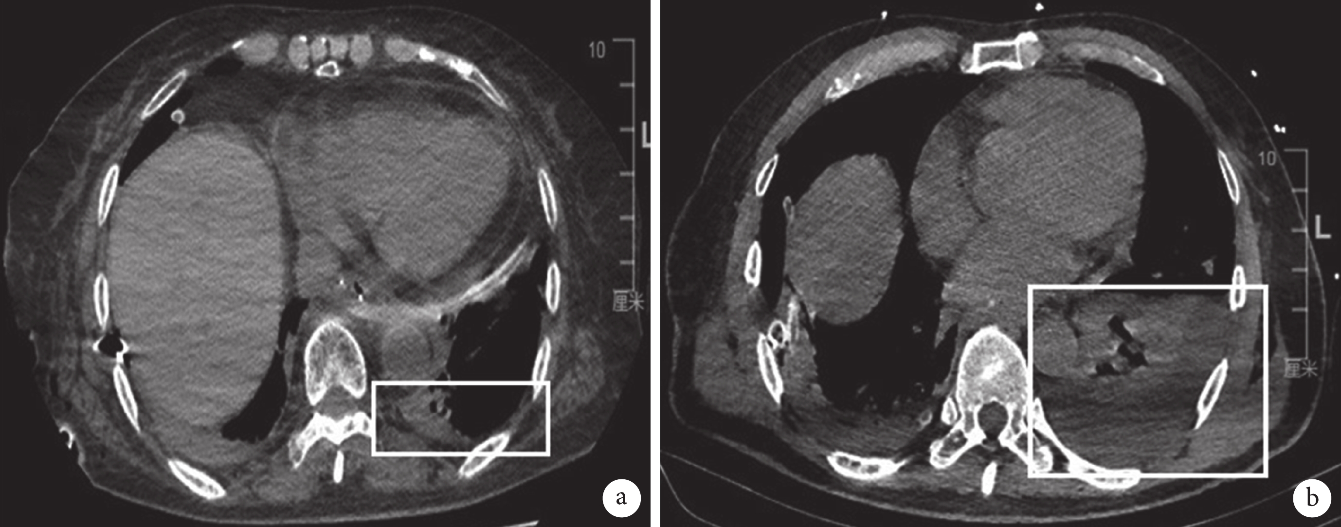
對照組采用傳統的右側胸腔引流+縱隔引流方法,術中經機器人2號臂切口(近腋后線第8肋間)放置唯朗28F一次性使用胸腔引流管 1根(廣東先來醫療器械有限公司),機器人鏡頭直視下將胸腔引流管沿后縱隔向上到達胸頂部,經助手孔切口(第7肋間)放置前端帶數個側孔的縱隔引流管(一次性負壓引流管),機器人鏡頭直視下確認縱隔引流管位于食管床的后方并且頭端置于游離的食管最上段,外接負壓引流球持續引流。觀察組:右側胸腔閉式引流管和對照組置管方法相同,縱隔引流管的側孔數目較對照組的適度增加,在機器人直視下用1號臂抓鉗將縱隔引流管頭端從左側縱隔胸膜破口逆行置入左側胸腔內,同時保留尾部數個側孔位于縱隔食管床內以進行縱隔引流,此時首先單獨膨脹左肺可見左肺復張并擠壓縱隔胸膜,然后再雙肺通氣于機器人直視下確認雙肺復張,置入縱隔及對側胸腔內的引流管仍外接負壓引流球持續引流。所有入組患者術后第3~4 d均常規安排復查胸部CT且確認胸腔引流管和縱隔引流管在位;見圖1。兩組患者的胸腔引流管拔管指征為:引流量<100 mL/d,復查胸部CT無明顯肺不張或胸腔積氣、積液后拔除胸腔引流管。縱隔引流管待患者進食后1~2 d并無明顯引流后拔除。出現術后吻合口瘺的患者待復查胸部CT及上消化道碘水造影確定吻合口完全愈合、無明顯胸腔積液后拔除胸腔引流管和縱隔引流管。

a:觀察組縱隔引流管放置入左側胸腔內(白色方框處);b:對照組縱隔引流管放置在縱隔食管床內(白色方框處)
1.4 觀察指標
所有患者均至少觀察到術后1個月常規返回門診復查時。收集兩組患者的一般資料(年齡、性別、腫瘤位置、術前合并癥、術前新輔助治療情況、TNM分期等),手術相關指標(手術時間、術中出血量、淋巴結清掃數目),術后短期臨床預后情況(術后吻合口瘺等并發癥發生情況及吻合口愈合時間、術后住院時間、術后左側胸腔穿刺或置管引流例數、術后第12 h、24 h、48 h、72 h的疼痛評分以及出院后1周的生活質量評分量表(Quality of Life Questionnaire-Core 30,QLQ-C30)評分[15]。術后疼痛評價采用視覺模擬評分法(visual analogue scale,VAS):0~10分,取一條長10 cm的直線,一端標記為0表示“無痛”,另一端標記為10表示“無法忍受的疼痛”,患者將自身感受的疼痛強度標記在直線上,0點到標記點的長度代表其疼痛水平,通過患者盲法劃線測量記錄患者疼痛VAS評分[16]。
1.5 統計學分析
數據應用 SPSS 22.0 統計學軟件進行統計學分析。正態分布的計量資料用均數±標準差(±s)表示,采用兩獨立樣本t檢驗或秩和檢驗分析。計數資料使用頻數(%)來表示,組間比較采用χ2檢驗,當相關基線資料出現率較低時采用Fisher確切概率法進行分析。雙側P≤0.05為差異有統計學意義。
1.6 倫理審查
所有患者及家屬均對置管方式充分了解,并簽署知情同意書,該研究所在項目通過東部戰區總醫院臨床試驗倫理委員會審批(批準號2018NZKY-021-03)。
2 結果
兩組在年齡、性別、術前合并癥、腫瘤位置、術前新輔助治療、術后病理分期等各項基線資料方面差異無統計學意義(P>0.05);見表1。對照組和觀察組患者在手術時間、術中出血量、淋巴結清掃數目等手術資料方面差異亦無統計學意義(P>0.05);見表2。




對照組42例患者中術后有9例因左側中-大量胸腔積液影響左肺復張、導致胸悶氣促等癥狀而行左側胸腔穿刺或置管。觀察組54例患者中大部分術后左側胸腔內無明顯積液;見圖2;術后僅有3例行左側胸腔穿刺或置管,觀察組的比例低于對照組且差異有統計學意義(5.6% vs. 21.4%,P=0.020)。觀察組中發生術后并發癥10例(吻合口瘺2例、肺部感染3例、心律失常3例、乳糜胸1例、切口愈合不良1例),對照組發生術后并發癥15例(吻合口瘺3例、肺部感染5例、心律失常4例、乳糜胸1例、切口愈合不良2例),兩組術后吻合口瘺的發生率(3.7% vs. 7.1%,P=0.651)及吻合口愈合時間[(18.56±4.27)d vs. (24.33±5.48)d,P=0.304]差異無統計學意義。兩組在肺部感染、乳糜胸等其它并發癥發生率方面差異亦無統計學意義(P>0.05),術后30 d內兩組均無死亡患者。

a:觀察組術后左側胸腔底部僅有少量胸腔積液,無需特殊處理(白色方框處);b:對照組術后左側胸腔內有較大量的胸腔積液和左下肺不張,需要進一步胸腔穿刺或置管引流(白色方框處)
兩組患者在術后第12 h、24 h、48 h、72 h的咳嗽及靜息狀態VAS疼痛評分差異亦無統計學意義(P>0.05);見表3。觀察組與對照組在術后住院時間[(7.71±1.42)d vs. (8.20±1.13)d,P=0.061]和出院后1周時QLQ-C30主觀評分方面差異均無統計學意義(66.07±10.46 vs. 70.22±11.84,P=0.072)。


3 討論
2018年全球185 個國家36類腫瘤統計中,食管癌的發生率位列第7,死亡率位列第6[17]。在我國,盡管得益于內鏡技術的進步及早期診療觀念的逐漸普及,部分食管癌患者確診時腫瘤局限于黏膜層或黏膜下層[18],但仍有大多數患者內鏡確診時已處于臨床T3、T4期,腫瘤已累及食管外膜,甚至侵犯縱隔胸膜、氣管膜部或出現遠處淋巴結轉移,對于外科手術切除提出一定的要求[19]。近年來,隨著新輔助治療的研究進展,部分臨床T3、T4期患者先行新輔助化療或放療和化療后再行手術,雖然有一定比例腫瘤出現退縮,但縱隔胸膜等部位常常存在腫瘤疤痕或組織水腫等導致手術難度進一步增加[20]。達芬奇機器人手術系統作為近年來在各個科室快速發展起來的微創手術操作系統,它能夠為操作者提供局部放大10倍的高清晰三維手術視野,其配備的可實現 7 種自由度旋轉的機械手臂有效超越人手極限,能夠對目標區域快速準確解剖、縫合等處理[21],對于腫瘤侵犯食管纖維膜或胸膜(T3、T4期)患者可以更加完整地切除腫瘤和相關的縱隔胸膜并保護周圍正常組織,從而達到徹底根治的目的。但是,這類局部進展期的食管癌患者一方面由于腫瘤惡性程度高消耗大,另一方面手術有一定的創傷性,可造成高代謝、大量氮流失,此外消化道的吸收能力下降,導致患者術后出現營養不良[22]、白蛋白等營養指標較低,導致胸腔內產生漏出液,尤其是手術對側即左側胸腔的積液常常難以處理。術中左側縱隔胸膜部分切除的患者,左側胸腔積液可能會進入右側胸腔并通過右側胸腔引流管進行引流,但是左側胸腔底部往往會積存較多積液難以引流從而影響左肺復張,不利于患者早期下床活動鍛煉以及肺功能的恢復,甚至造成深靜脈血栓、肺部感染、呼吸衰竭等一系列嚴重并發癥。此外,左側胸腔積液量大且不能耐受的患者,常常需再次行左側胸腔穿刺引流術,存在穿刺出血等多種風險并且增加了患者的疼痛不適。因此,對于這類患者如何在術中有效放置術后引流管就顯得尤為重要。
既往部分關于左進胸開放食管癌根治手術的研究[23]中,嘗試經縱隔放置右側胸腔引流管,結果表明該方法對術后右側胸腔積液的引流效果明顯,減小了胸部穿刺或置管的創傷及風險,但在右進胸食管癌根治手術中尚無此類研究報道,部分研究[10]將縱隔引流管經縱隔床置于吻合口附近協同胸腔引流管引流,并且表明此法較單純的右側胸腔引流似乎更有利于食管癌患者術后恢復。在本研究中,所有入組患者均由達芬奇機器人手術系統經右胸游離食管并清掃胸部淋巴結,且觀察組和對照組在右側胸腔內常規留置相同規格的胸腔引流管,此外對照組于助手孔切口放置前端帶側孔的縱隔引流管,在機器人鏡頭直視下確認縱隔引流管位于食管床的后方并且頭端置于游離食管的上段附近,而觀察組的縱隔引流管側孔數目較對照組適度增加,且在達芬奇機器人輔助下將縱隔引流管頭端從左側縱隔胸膜破口逆行置入左側胸腔內并保留尾部數個側孔位于縱隔內,同時配合麻醉鼓肺(首先單獨膨脹左肺可見左肺復張并擠壓縱隔胸膜,然后再雙肺通氣機器人直視下確認雙肺復張),以此確保縱隔引流管前端位于左側胸腔內,且術后胸部CT可以見到縱隔引流管經縱隔胸膜進入左側胸腔。研究結果顯示,觀察組患者中術后因左側胸腔積液需再次行左側胸腔穿刺或置管的比例明顯低于對照組患者,表明該方法對于術后左側胸腔積液的引流效果較為明顯。在術后其它并發癥方面,兩組患者術后出現肺部感染的發生率差異無統計學意義,但觀察組3例肺部感染患者中僅有1例出現呼吸功能衰竭,使用氣管插管接呼吸機輔助呼吸治療,其余2例雖存在肺部感染,但肺部氧合狀況基本正常,未行機械通氣輔助治療。而對照組5例肺部感染患者中有2例行氣管插管、2例行氣管切開接呼吸機輔助呼吸,僅1例未行機械輔助通氣。通過對比術后胸部CT及胸腔超聲等檢查,我們發現對照組4例術后行機械通氣的患者左側胸腔內均積存中-大量的胸腔積液,在患者出現較嚴重肺部感染時導致氧合狀況難以維持,而觀察組3例患者術后因左側胸腔內引流較徹底,左肺復張良好,可能對肺部感染的耐受度較對照組更強,其中有2例均避免了氣管插管或氣管切開,也規避了該有創操作可能帶來的風險。因此,將縱隔引流管置入左側胸腔內可能在一定程度上提高患者術后對于肺部并發癥的耐受程度,并減少機械通氣等有創操作的風險。此外,既往研究表明術中放置縱隔引流管對于充分引流、控制縱隔感染以及早期發現吻合口瘺的發生具有一定的意義。因此本研究觀察組患者中縱隔引流管相比對照組預留了更多的側孔,其中部分側孔經縱隔胸膜置入左側胸腔內,其余2~3個側孔沿縱隔引流管分布于食管床內以進行必要的縱隔引流。
本研究中,觀察組共發生術后吻合口瘺2例,對照組共發生術后吻合口瘺3例,5例患者均表現為頸部切口內有唾液樣伴異味的液體滲出,同時有體溫升高,探查頸部切口并行口服亞甲藍試驗可見切口內有部分亞甲藍溢出而診斷為頸部吻合口瘺,無胸腔內吻合口瘺,我們推測這可能與本手術組患者采用的吻合口位置相對較高靠近頭側,并且吻合完成后經腹腔切口將管狀胃向下適度拖拽使其在食管胸廓入口處完全貼合入口周徑有關。出現頸部吻合口瘺后5例患者均及時放置頸部雙套管進行沖洗和引流,觀察右側胸腔引流管及縱隔引流管均未引流出明顯膿性分泌物,復查胸部CT未見明顯膿胸或縱隔積膿積液,僅對照組1例吻合口瘺患者縱隔引流量較前明顯增加但質地較清淡,考慮為炎癥刺激產生的滲出性液體,余對照組2例患者及觀察組2例吻合口瘺患者縱隔引流量均無異常增加。5例患者在體溫逐漸平穩、頸部沖洗引流物清淡后逐漸外退雙套管直至完全退出并將頸部切口雙側皮膚拉合,同時安排復查胸部CT及上消化道碘水造影,確定吻合口完全愈合,逐步恢復進食清水及流質飲食,無畏寒發熱、無頸部切口紅腫滲出、無明顯胸腔積液后拔除胸腔引流管和縱隔引流管。觀察組和對照組吻合口瘺患者的吻合口愈合時間差異無統計學意義(P=0.304)。因此,我們推測對于該類術后頸部吻合口瘺的患者,經縱隔放置左側引流管并留置數個側孔位于縱隔食管床內的引流方式與傳統的縱隔置管引流方式相比效果相似且吻合口愈合時間無明顯差異。但是對于食管癌術后胸腔內吻合口瘺的患者兩種縱隔引流管置管方式的引流效果及近期預后對比如何仍需要進一步探討。
疼痛是胸外科患者術后常常面臨的一個嚴重困擾,除了神經性疼痛之外,非神經源性疼痛比如內臟痛也是胸外科術后疼痛的一個重要影響因素,其中胸腔引流管與肺部或壁層胸膜的摩擦是導致非神經源性疼痛的主要原因之一,尤其在患者咳嗽或者活動時最明顯[24]。在本研究中,兩組患者在術后第12 h、24 h、48 h、72 h的靜息狀態下VAS疼痛評分差異無統計學意義。此外,在咳嗽或活動狀態下時兩組患者的VAS疼痛評分平均值均高于靜息狀態,但組間比較差異無統計學意義。因此,我們認為在達芬奇機器人食管癌根治手術中,通過右側胸腔經縱隔將引流管置入左側胸腔內與單純將縱隔引流管置于縱隔的方法相比,并未增加患者術后的疼痛程度。相反,在一些術后左側胸腔積液較多需要左側胸腔引流的患者中,此法進一步避免了左側再次胸腔穿刺造成的胸壁疼痛,對于這些患者的術后疼痛感受可能存在明顯減輕的作用。近年來,食管癌術后的加速康復一直是胸外科醫生不斷探討的課題,微創手術一定程度上減少了患者的手術創傷,術后早期活動鍛煉是患者加速康復的關鍵[25]。早期活動一方面要求術后疼痛得到有效控制,還高度依賴于患者術后肺功能的恢復及負荷量[26]。通過對T3、T4期患者術中將縱隔引流管經縱隔胸膜置入左側胸腔,可以有效引流左側胸腔內積液、促進左肺復張,一定程度上有利于肺部尤其是左肺功能的恢復,對于患者術后早期活動鍛煉至關重要。本研究中,觀察組患者在術后住院時間方面有短于對照組患者的趨勢,我們認為此法可能有一定的加速康復效果,但結果差異無統計學意義可能與樣本量較少有關。在患者出院1周時,我們通過隨訪患者并從疼痛、活動、生活等方面評估QLQ-C30,發現觀察組患者在主觀評分方面的平均值亦有優于對照組患者的趨勢,但差異無統計學意義,可能有賴于更大樣本量的進一步研究。
總而言之,對于行達芬奇機器人食管癌根治術并切除縱隔胸膜的患者,將縱隔引流管經縱隔胸膜置入左側胸腔對術后左側胸腔積液的引流效果較明顯,減少了術后再次左側胸腔穿刺或置管的創傷及風險,可能有助于患者術后早期活動和提高對肺部并發癥的耐受程度,對于食管癌患者術后恢復具有一定的意義。但是本研究也有不足:首先樣本量較少,亟需更大樣本進行傾向性評分匹配的回顧性研究或者前瞻性隨機對照研究進一步驗證研究結論;其次,該研究僅隨訪至出院后1個月,需要更長時間的隨訪來觀察該方法對食管癌患者術后長期預后是否存在影響;最后,本研究選取的患者術中均采用食管胃頸部管狀吻合,且術后吻合口位置相對靠近頭端,而對于食管癌切除、食管胃胸腔內吻合或者頸部吻合口位置較低的患者該縱隔引流方法是否適用且縱隔引流效果是否良好仍需進一步深入探討。
利益沖突:無。
作者貢獻:徐楊、彭昊負責病例資料收集、相關文獻檢索和文章寫作;胡力文、秦濤負責數據分析和統計;仲繼紅負責病例入組選擇及質量控制;申翼、易俊負責研究構思、設計、規劃、評估及監督實施。
食管癌是我國最常見的惡性腫瘤之一,嚴重威脅著患者的生命健康[1]。盡管近年來早期診斷并行早期治療的食管癌患者比例逐漸增加,但仍有較多患者確診食管癌時腫瘤已發展至食管全層甚至侵犯周圍或遠處組織。對于這部分患者,以外科根治手術為主、伴或不伴新輔助或輔助治療的綜合措施仍是目前最主要的治療方式[2-3]。傳統開胸食管癌手術創傷大,且對于局部淋巴結及部分病灶周圍組織的清掃能力有限。近年來,隨著微創食管癌手術技術的不斷發展,給患者帶來了手術創傷小、清掃更徹底、術后恢復快的益處[4-6]。其中,達芬奇機器人外科手術系統因其擁有高清3D視野和可轉腕手術器械的特點[7],在完整切除可能被食管腫瘤累及的縱隔胸膜、徹底清掃胸腹腔各組淋巴結并且保護正常臟器組織時有獨特的優勢[8-9]。
達芬奇機器人食管癌根治手術經右側胸腔進行操作,術后常規放置右側胸腔引流管用于右側胸腔內積液與積氣的引流,但目前對于縱隔引流管的放置與否以及如何放置尚無統一定論。既往部分研究[10]表明術中放置縱隔引流管于食管床處可能有助于充分引流、控制縱隔感染,并且對于早期發現及治療吻合口瘺具有一定的意義。但是,對于術中部分切除左側縱隔胸膜的患者,其縱隔引流管應如何放置尚無相關研究。我們考慮到食管癌手術可造成機體高代謝并且術后消化道吸收能力下降,可能導致患者術后出現營養不良、低白蛋白等情況從而產生漏出性胸腔積液[11],尤其是左側胸腔底部積液常常難以通過對側胸腔引流從而可引起患者左下肺不張,影響患者術后恢復,甚至帶來一系列術后并發癥[12]。對于左側胸腔積液量較大患者,甚至需要行左側胸腔穿刺抽液或者胸腔閉式引流,增加了創傷和風險[13]。因此,對于達芬奇機器人食管癌根治手術中切除左側部分縱隔胸膜的患者,本研究嘗試將縱隔引流管前段數個側孔經縱隔胸膜置入左側胸腔并且留置數個側孔于縱隔食管床內,以同時進行左側胸腔及縱隔內引流,探討其對患者術后短期臨床預后的影響,并與縱隔引流管單獨置于食管床內的方法進行比較。
1 資料與方法
1.1 臨床資料和分組
回顧性分析2018年7月—2021年3月均由我科同一組外科醫生使用達芬奇Si機器人外科手術系統(Intuitive Surgical,Inc,USA)進行達芬奇機器人食管癌切除、食管-胃左頸部管狀吻合術96例患者的臨床資料。納入標準:(1)術前經評估適合行達芬奇機器人食管癌根治術;(2)術中從右側進胸且未中轉開胸;(3)術后病理結果T分期為T3或T4期;(4)術中因腫瘤牽拉侵犯等原因切除部分左側縱隔胸膜。排除標準:(1)美國麻醉醫師學會(American Society of Anesthesiologists,ASA)身體狀況分級>3級的患者;(2)既往有胸部手術史或有其它可引起疼痛疾病的患者;(3)術后胸腔引流管或縱隔引流管不慎脫落或因其它原因未按預期時間在位;(4)病例資料記錄不全或不足以分析的患者。根據是否經縱隔胸膜放置左側引流管將患者分為兩組:對照組(2019年11月之前)42例患者常規只將縱隔引流管放置在縱隔食管床內,觀察組(2019年11月之后)54例患者則將縱隔引流管經左側胸膜破口置入對側胸腔并有部分側孔位于縱隔食管床內。
1.2 手術方法
兩組患者手術均由本院心胸外科同一醫療組完成,圍手術期處理及用藥原則基本一致,術前行營養風險篩查并予以個體化的營養支持,術后早期開始予以腸內營養支持[14]。術中采用靜脈吸入復合全身麻醉,單腔氣管插管。右側支氣管封堵,同時適度使用人工氣胸幫助肺萎陷、充分暴露視野并吹散電凝器械操作產生的煙霧。手術程序包括:經右胸游離食管和縱隔淋巴結清掃,經上腹游離胃和腹部區域淋巴結清掃以及經左側頸部胃食管管狀吻合3個手術步驟。在胸部階段:患者左側半俯臥位,建立CO2人工氣胸,壓力為8 mm Hg(1 mm Hg=0.133 kPa)。分別取腋中線第6肋間1 cm切口為機器人探頭觀察孔,腋前線第3肋間0.5 cm切口和近腋后線第8肋間0.5 cm切口為機器人1、2號臂,第7肋間1 cm切口為助手孔,進行胸部食管游離,術中對側縱隔胸膜受累或粘連時切除部分對側胸膜,當對側縱隔胸膜出現小的破口時則進一步擴大切除,以防對側氣胸或后續胸腔積液引流不暢。胸部區域淋巴結清掃后放置胸腔及縱隔引流管,囑麻醉師吸痰膨肺后逐層關閉胸部手術切口。腹部階段:患者雙肺通氣,仰臥伴頭高腳低位稍向右側傾斜,建立CO2人工氣腹,壓力為12 mm Hg。臍周取1 cm切口為機器人探頭觀察孔、雙側肋弓下2~3 cm處取0.5 cm切口為機器人1、3號臂,雙側手臂和臍之間分別取0.5 cm和1 cm切口為機器人2號臂和助手孔,進行胃的游離以及腹部淋巴結的清掃。經腹部前正中約5 cm的小切口輔助裁剪管狀胃,在頸部切口將游離的食管及管狀胃上拉,在頸部預留足夠進行管狀吻合長度的食管后將管狀胃與食管進行機械吻合,從而使吻合口的位置盡量靠近頭側,最后使用直線切割縫合器切掉多余的近端胃殘端,并行切緣的包埋,再經腹腔切口將管狀胃向下適度拖拽使重建后的消化道全程保持松弛。吻合完成后,在左下腹空腸距屈氏韌帶約15~20 cm處選定造瘺口行空腸造瘺術用于術后腸內營養支持,最后關閉頸部及腹部切口。所有患者術后均使用患者自控靜脈鎮痛泵進行術后鎮痛,術后第3 d予以撤除。
1.3 胸腔及縱隔引流管放置和拔除
對照組采用傳統的右側胸腔引流+縱隔引流方法,術中經機器人2號臂切口(近腋后線第8肋間)放置唯朗28F一次性使用胸腔引流管 1根(廣東先來醫療器械有限公司),機器人鏡頭直視下將胸腔引流管沿后縱隔向上到達胸頂部,經助手孔切口(第7肋間)放置前端帶數個側孔的縱隔引流管(一次性負壓引流管),機器人鏡頭直視下確認縱隔引流管位于食管床的后方并且頭端置于游離的食管最上段,外接負壓引流球持續引流。觀察組:右側胸腔閉式引流管和對照組置管方法相同,縱隔引流管的側孔數目較對照組的適度增加,在機器人直視下用1號臂抓鉗將縱隔引流管頭端從左側縱隔胸膜破口逆行置入左側胸腔內,同時保留尾部數個側孔位于縱隔食管床內以進行縱隔引流,此時首先單獨膨脹左肺可見左肺復張并擠壓縱隔胸膜,然后再雙肺通氣于機器人直視下確認雙肺復張,置入縱隔及對側胸腔內的引流管仍外接負壓引流球持續引流。所有入組患者術后第3~4 d均常規安排復查胸部CT且確認胸腔引流管和縱隔引流管在位;見圖1。兩組患者的胸腔引流管拔管指征為:引流量<100 mL/d,復查胸部CT無明顯肺不張或胸腔積氣、積液后拔除胸腔引流管。縱隔引流管待患者進食后1~2 d并無明顯引流后拔除。出現術后吻合口瘺的患者待復查胸部CT及上消化道碘水造影確定吻合口完全愈合、無明顯胸腔積液后拔除胸腔引流管和縱隔引流管。

a:觀察組縱隔引流管放置入左側胸腔內(白色方框處);b:對照組縱隔引流管放置在縱隔食管床內(白色方框處)
1.4 觀察指標
所有患者均至少觀察到術后1個月常規返回門診復查時。收集兩組患者的一般資料(年齡、性別、腫瘤位置、術前合并癥、術前新輔助治療情況、TNM分期等),手術相關指標(手術時間、術中出血量、淋巴結清掃數目),術后短期臨床預后情況(術后吻合口瘺等并發癥發生情況及吻合口愈合時間、術后住院時間、術后左側胸腔穿刺或置管引流例數、術后第12 h、24 h、48 h、72 h的疼痛評分以及出院后1周的生活質量評分量表(Quality of Life Questionnaire-Core 30,QLQ-C30)評分[15]。術后疼痛評價采用視覺模擬評分法(visual analogue scale,VAS):0~10分,取一條長10 cm的直線,一端標記為0表示“無痛”,另一端標記為10表示“無法忍受的疼痛”,患者將自身感受的疼痛強度標記在直線上,0點到標記點的長度代表其疼痛水平,通過患者盲法劃線測量記錄患者疼痛VAS評分[16]。
1.5 統計學分析
數據應用 SPSS 22.0 統計學軟件進行統計學分析。正態分布的計量資料用均數±標準差(±s)表示,采用兩獨立樣本t檢驗或秩和檢驗分析。計數資料使用頻數(%)來表示,組間比較采用χ2檢驗,當相關基線資料出現率較低時采用Fisher確切概率法進行分析。雙側P≤0.05為差異有統計學意義。
1.6 倫理審查
所有患者及家屬均對置管方式充分了解,并簽署知情同意書,該研究所在項目通過東部戰區總醫院臨床試驗倫理委員會審批(批準號2018NZKY-021-03)。
2 結果
兩組在年齡、性別、術前合并癥、腫瘤位置、術前新輔助治療、術后病理分期等各項基線資料方面差異無統計學意義(P>0.05);見表1。對照組和觀察組患者在手術時間、術中出血量、淋巴結清掃數目等手術資料方面差異亦無統計學意義(P>0.05);見表2。




對照組42例患者中術后有9例因左側中-大量胸腔積液影響左肺復張、導致胸悶氣促等癥狀而行左側胸腔穿刺或置管。觀察組54例患者中大部分術后左側胸腔內無明顯積液;見圖2;術后僅有3例行左側胸腔穿刺或置管,觀察組的比例低于對照組且差異有統計學意義(5.6% vs. 21.4%,P=0.020)。觀察組中發生術后并發癥10例(吻合口瘺2例、肺部感染3例、心律失常3例、乳糜胸1例、切口愈合不良1例),對照組發生術后并發癥15例(吻合口瘺3例、肺部感染5例、心律失常4例、乳糜胸1例、切口愈合不良2例),兩組術后吻合口瘺的發生率(3.7% vs. 7.1%,P=0.651)及吻合口愈合時間[(18.56±4.27)d vs. (24.33±5.48)d,P=0.304]差異無統計學意義。兩組在肺部感染、乳糜胸等其它并發癥發生率方面差異亦無統計學意義(P>0.05),術后30 d內兩組均無死亡患者。

a:觀察組術后左側胸腔底部僅有少量胸腔積液,無需特殊處理(白色方框處);b:對照組術后左側胸腔內有較大量的胸腔積液和左下肺不張,需要進一步胸腔穿刺或置管引流(白色方框處)
兩組患者在術后第12 h、24 h、48 h、72 h的咳嗽及靜息狀態VAS疼痛評分差異亦無統計學意義(P>0.05);見表3。觀察組與對照組在術后住院時間[(7.71±1.42)d vs. (8.20±1.13)d,P=0.061]和出院后1周時QLQ-C30主觀評分方面差異均無統計學意義(66.07±10.46 vs. 70.22±11.84,P=0.072)。


3 討論
2018年全球185 個國家36類腫瘤統計中,食管癌的發生率位列第7,死亡率位列第6[17]。在我國,盡管得益于內鏡技術的進步及早期診療觀念的逐漸普及,部分食管癌患者確診時腫瘤局限于黏膜層或黏膜下層[18],但仍有大多數患者內鏡確診時已處于臨床T3、T4期,腫瘤已累及食管外膜,甚至侵犯縱隔胸膜、氣管膜部或出現遠處淋巴結轉移,對于外科手術切除提出一定的要求[19]。近年來,隨著新輔助治療的研究進展,部分臨床T3、T4期患者先行新輔助化療或放療和化療后再行手術,雖然有一定比例腫瘤出現退縮,但縱隔胸膜等部位常常存在腫瘤疤痕或組織水腫等導致手術難度進一步增加[20]。達芬奇機器人手術系統作為近年來在各個科室快速發展起來的微創手術操作系統,它能夠為操作者提供局部放大10倍的高清晰三維手術視野,其配備的可實現 7 種自由度旋轉的機械手臂有效超越人手極限,能夠對目標區域快速準確解剖、縫合等處理[21],對于腫瘤侵犯食管纖維膜或胸膜(T3、T4期)患者可以更加完整地切除腫瘤和相關的縱隔胸膜并保護周圍正常組織,從而達到徹底根治的目的。但是,這類局部進展期的食管癌患者一方面由于腫瘤惡性程度高消耗大,另一方面手術有一定的創傷性,可造成高代謝、大量氮流失,此外消化道的吸收能力下降,導致患者術后出現營養不良[22]、白蛋白等營養指標較低,導致胸腔內產生漏出液,尤其是手術對側即左側胸腔的積液常常難以處理。術中左側縱隔胸膜部分切除的患者,左側胸腔積液可能會進入右側胸腔并通過右側胸腔引流管進行引流,但是左側胸腔底部往往會積存較多積液難以引流從而影響左肺復張,不利于患者早期下床活動鍛煉以及肺功能的恢復,甚至造成深靜脈血栓、肺部感染、呼吸衰竭等一系列嚴重并發癥。此外,左側胸腔積液量大且不能耐受的患者,常常需再次行左側胸腔穿刺引流術,存在穿刺出血等多種風險并且增加了患者的疼痛不適。因此,對于這類患者如何在術中有效放置術后引流管就顯得尤為重要。
既往部分關于左進胸開放食管癌根治手術的研究[23]中,嘗試經縱隔放置右側胸腔引流管,結果表明該方法對術后右側胸腔積液的引流效果明顯,減小了胸部穿刺或置管的創傷及風險,但在右進胸食管癌根治手術中尚無此類研究報道,部分研究[10]將縱隔引流管經縱隔床置于吻合口附近協同胸腔引流管引流,并且表明此法較單純的右側胸腔引流似乎更有利于食管癌患者術后恢復。在本研究中,所有入組患者均由達芬奇機器人手術系統經右胸游離食管并清掃胸部淋巴結,且觀察組和對照組在右側胸腔內常規留置相同規格的胸腔引流管,此外對照組于助手孔切口放置前端帶側孔的縱隔引流管,在機器人鏡頭直視下確認縱隔引流管位于食管床的后方并且頭端置于游離食管的上段附近,而觀察組的縱隔引流管側孔數目較對照組適度增加,且在達芬奇機器人輔助下將縱隔引流管頭端從左側縱隔胸膜破口逆行置入左側胸腔內并保留尾部數個側孔位于縱隔內,同時配合麻醉鼓肺(首先單獨膨脹左肺可見左肺復張并擠壓縱隔胸膜,然后再雙肺通氣機器人直視下確認雙肺復張),以此確保縱隔引流管前端位于左側胸腔內,且術后胸部CT可以見到縱隔引流管經縱隔胸膜進入左側胸腔。研究結果顯示,觀察組患者中術后因左側胸腔積液需再次行左側胸腔穿刺或置管的比例明顯低于對照組患者,表明該方法對于術后左側胸腔積液的引流效果較為明顯。在術后其它并發癥方面,兩組患者術后出現肺部感染的發生率差異無統計學意義,但觀察組3例肺部感染患者中僅有1例出現呼吸功能衰竭,使用氣管插管接呼吸機輔助呼吸治療,其余2例雖存在肺部感染,但肺部氧合狀況基本正常,未行機械通氣輔助治療。而對照組5例肺部感染患者中有2例行氣管插管、2例行氣管切開接呼吸機輔助呼吸,僅1例未行機械輔助通氣。通過對比術后胸部CT及胸腔超聲等檢查,我們發現對照組4例術后行機械通氣的患者左側胸腔內均積存中-大量的胸腔積液,在患者出現較嚴重肺部感染時導致氧合狀況難以維持,而觀察組3例患者術后因左側胸腔內引流較徹底,左肺復張良好,可能對肺部感染的耐受度較對照組更強,其中有2例均避免了氣管插管或氣管切開,也規避了該有創操作可能帶來的風險。因此,將縱隔引流管置入左側胸腔內可能在一定程度上提高患者術后對于肺部并發癥的耐受程度,并減少機械通氣等有創操作的風險。此外,既往研究表明術中放置縱隔引流管對于充分引流、控制縱隔感染以及早期發現吻合口瘺的發生具有一定的意義。因此本研究觀察組患者中縱隔引流管相比對照組預留了更多的側孔,其中部分側孔經縱隔胸膜置入左側胸腔內,其余2~3個側孔沿縱隔引流管分布于食管床內以進行必要的縱隔引流。
本研究中,觀察組共發生術后吻合口瘺2例,對照組共發生術后吻合口瘺3例,5例患者均表現為頸部切口內有唾液樣伴異味的液體滲出,同時有體溫升高,探查頸部切口并行口服亞甲藍試驗可見切口內有部分亞甲藍溢出而診斷為頸部吻合口瘺,無胸腔內吻合口瘺,我們推測這可能與本手術組患者采用的吻合口位置相對較高靠近頭側,并且吻合完成后經腹腔切口將管狀胃向下適度拖拽使其在食管胸廓入口處完全貼合入口周徑有關。出現頸部吻合口瘺后5例患者均及時放置頸部雙套管進行沖洗和引流,觀察右側胸腔引流管及縱隔引流管均未引流出明顯膿性分泌物,復查胸部CT未見明顯膿胸或縱隔積膿積液,僅對照組1例吻合口瘺患者縱隔引流量較前明顯增加但質地較清淡,考慮為炎癥刺激產生的滲出性液體,余對照組2例患者及觀察組2例吻合口瘺患者縱隔引流量均無異常增加。5例患者在體溫逐漸平穩、頸部沖洗引流物清淡后逐漸外退雙套管直至完全退出并將頸部切口雙側皮膚拉合,同時安排復查胸部CT及上消化道碘水造影,確定吻合口完全愈合,逐步恢復進食清水及流質飲食,無畏寒發熱、無頸部切口紅腫滲出、無明顯胸腔積液后拔除胸腔引流管和縱隔引流管。觀察組和對照組吻合口瘺患者的吻合口愈合時間差異無統計學意義(P=0.304)。因此,我們推測對于該類術后頸部吻合口瘺的患者,經縱隔放置左側引流管并留置數個側孔位于縱隔食管床內的引流方式與傳統的縱隔置管引流方式相比效果相似且吻合口愈合時間無明顯差異。但是對于食管癌術后胸腔內吻合口瘺的患者兩種縱隔引流管置管方式的引流效果及近期預后對比如何仍需要進一步探討。
疼痛是胸外科患者術后常常面臨的一個嚴重困擾,除了神經性疼痛之外,非神經源性疼痛比如內臟痛也是胸外科術后疼痛的一個重要影響因素,其中胸腔引流管與肺部或壁層胸膜的摩擦是導致非神經源性疼痛的主要原因之一,尤其在患者咳嗽或者活動時最明顯[24]。在本研究中,兩組患者在術后第12 h、24 h、48 h、72 h的靜息狀態下VAS疼痛評分差異無統計學意義。此外,在咳嗽或活動狀態下時兩組患者的VAS疼痛評分平均值均高于靜息狀態,但組間比較差異無統計學意義。因此,我們認為在達芬奇機器人食管癌根治手術中,通過右側胸腔經縱隔將引流管置入左側胸腔內與單純將縱隔引流管置于縱隔的方法相比,并未增加患者術后的疼痛程度。相反,在一些術后左側胸腔積液較多需要左側胸腔引流的患者中,此法進一步避免了左側再次胸腔穿刺造成的胸壁疼痛,對于這些患者的術后疼痛感受可能存在明顯減輕的作用。近年來,食管癌術后的加速康復一直是胸外科醫生不斷探討的課題,微創手術一定程度上減少了患者的手術創傷,術后早期活動鍛煉是患者加速康復的關鍵[25]。早期活動一方面要求術后疼痛得到有效控制,還高度依賴于患者術后肺功能的恢復及負荷量[26]。通過對T3、T4期患者術中將縱隔引流管經縱隔胸膜置入左側胸腔,可以有效引流左側胸腔內積液、促進左肺復張,一定程度上有利于肺部尤其是左肺功能的恢復,對于患者術后早期活動鍛煉至關重要。本研究中,觀察組患者在術后住院時間方面有短于對照組患者的趨勢,我們認為此法可能有一定的加速康復效果,但結果差異無統計學意義可能與樣本量較少有關。在患者出院1周時,我們通過隨訪患者并從疼痛、活動、生活等方面評估QLQ-C30,發現觀察組患者在主觀評分方面的平均值亦有優于對照組患者的趨勢,但差異無統計學意義,可能有賴于更大樣本量的進一步研究。
總而言之,對于行達芬奇機器人食管癌根治術并切除縱隔胸膜的患者,將縱隔引流管經縱隔胸膜置入左側胸腔對術后左側胸腔積液的引流效果較明顯,減少了術后再次左側胸腔穿刺或置管的創傷及風險,可能有助于患者術后早期活動和提高對肺部并發癥的耐受程度,對于食管癌患者術后恢復具有一定的意義。但是本研究也有不足:首先樣本量較少,亟需更大樣本進行傾向性評分匹配的回顧性研究或者前瞻性隨機對照研究進一步驗證研究結論;其次,該研究僅隨訪至出院后1個月,需要更長時間的隨訪來觀察該方法對食管癌患者術后長期預后是否存在影響;最后,本研究選取的患者術中均采用食管胃頸部管狀吻合,且術后吻合口位置相對靠近頭端,而對于食管癌切除、食管胃胸腔內吻合或者頸部吻合口位置較低的患者該縱隔引流方法是否適用且縱隔引流效果是否良好仍需進一步深入探討。
利益沖突:無。
作者貢獻:徐楊、彭昊負責病例資料收集、相關文獻檢索和文章寫作;胡力文、秦濤負責數據分析和統計;仲繼紅負責病例入組選擇及質量控制;申翼、易俊負責研究構思、設計、規劃、評估及監督實施。