肺磨玻璃結節(ground-glass nodule,GGN)是體檢或偶發早期肺癌的主要表現形式,常見于年輕、女性和不吸煙人群,正確的隨訪與處理策略可在降低肺癌死亡率的同時避免過度治療。持續存在的GGN大多數為腺癌或前驅腺體病變,但呈惰性生長或長期不生長,有條件的隨訪是十分安全的。GGN必須采取個體化診治策略,在充分考慮浸潤程度、動態變化、治療療效與并發癥、患者身體狀況及心態等因素后做出治療決策。不同于其它類型肺癌的盡早治療策略,GGN型肺癌治療時間窗很寬,必須在充分考慮治療利弊后確定治療時機。外科手術是主要根治手段,對表現為GGN的前驅腺體病變目前普遍采取亞肺葉切除及不清掃淋巴結的術式。鑒于絕大多數GGN型肺癌屬于無轉移的局部病變,對不宜或不愿外科手術者可考慮采用介入根治。一般采用經皮微波、射頻及氬氦刀等消融技術進行介入根治,具有創傷小、對肺組織損傷輕、可多次操作及可同步活檢等優點,現有的研究結果已證實了消融治療的可行性。超聲與導航引導下經支氣管消融治療肺結節的療效已初步得到了證實,是介入根治GGN的新途徑。未來在GGN的治療上,消融治療有望與外科手術同等重要,根據病灶特點、部位及患者情況等來選擇治療方法,以求患者利益最大化。近幾年來,消融治療 GGN 的探索逐漸增多。本文將在進一步認識 GGN 的基礎上,探索 GGN 的診治策略,并從呼吸介入角度,介紹消融治療在 GGN 中的應用。
引用本文: 柯明耀, 陳智德, 曾俊莉, 雍雅智, 林連城. 肺磨玻璃結節診治策略與消融治療. 中國胸心血管外科臨床雜志, 2022, 29(1): 11-22. doi: 10.7507/1007-4848.202110013 復制
肺磨玻璃結節(ground-glass nodule,GGN)指高分辨率CT表現為肺內邊界清楚或不清楚的直徑(或最大徑) ≤30 mm的圓形或類圓形密度增高陰影,但病變密度不足以掩蓋其中走行的血管、支氣管、小葉間隔等結構,可為單發或多發,不伴有肺不張、肺門及縱隔淋巴結腫大和胸腔積液[1]。隨著影像技術的發展、肺癌篩查的普及,GGN的檢出率明顯上升,因其與肺腺癌密切相關而備受關注。近年來多個國家、地區開展了肺癌篩查研究[2-4]并提示,肺癌高風險人群中GGN的發病率為2.0%~3.3%。國內有研究[5-6]報道在普通人群篩查發現的肺癌中,84.8%~95.5% 的患者在影像學上表現為GGN。與傳統觀念中的肺癌好發人群不同,大量研究[5]數據顯示惡性GGN好發于年輕、非吸煙、女性。目前GGN在篩查、隨訪、治療策略等方面缺乏共識,手術仍是擬診GGN型肺癌根本的治療策略,盡管最佳術式還存在爭議。隨著介入消融技術的發展,其應用范圍也在不斷拓寬。近幾年來,消融治療GGN的探索逐漸增多。本文將從GGN認識上的進展、診治策略及經皮消融技術根治GGN的現狀與探索等方面展開。
1 磨玻璃結節再認識
1.1 磨玻璃結節的影像特征與病理的關系
GGN根據是否存在實性成分可分為:純磨玻璃結節(pure GGN,pGGN)和混合磨玻璃結節(mixed GGN,mGGN),前者又被稱為無實性結節,后者又被稱為部分實性結節;見圖1。GGN的病理基礎是肺泡間隔增厚,或部分肺泡腔充滿液體、細胞或組織碎片,因此GGN并非某病的特異表現,它既可見于浸潤性肺腺癌、前驅腺體病變,又可見于局灶性間質纖維化、肺泡出血、炎癥或細支氣管上皮增生、細支氣管周上皮化生等[7]。持續存在的GGN是指結節至少持續存在3個月以上且復查時未變小或消失。應特別重視持續存在的GGN,因其多為惡性或有向惡性發展的潛能。Kim等[8]報道有超過80%持續存在的GGN最終被診斷為腺癌或前驅腺體病變。Lim等[9]的研究也發現,最大徑≥10 mm持續存在的pGGN手術病理100%為腺癌或前驅腺體病變。

a:純磨玻璃結節;b:混合磨玻璃結節
GGN型肺癌均為腺癌,多數學者認為是經有序的多階段發展而來的。從影像上由pGGN發展為mGGN或實性結節。在病理學上,通常是由非典型腺瘤樣增生(atypical adenomatous hyperplasia,AAH)到原位腺癌(adenocarcinoma in situ,AIS),再進一步發展為微浸潤腺癌(minimally invasive adenocarcinoma,MIA)、浸潤性腺癌(invasive adenocarcinoma,IAC)[10-12]。
GGN是一種非特異性的影像學表現,但其影像特點對于判斷病理性質幫助很大,多數GGN的影像與病理存在相關性。純磨玻璃影被認為是AAH或AIS的表現,當pGGN<5 mm時多為AAH;介于5~30 mm,AIS的可能性最大[13-15]。但值得注意的是,即便是pGGN,少數可能是MIA,極少數甚至已是IAC,其中大部分為貼壁生長型,但也有少數呈非貼壁生長型[16-17]。而對于mGGN,當實性成分直徑<5 mm以MIA多見,≥5 mm則提示IAC的可能性較大。GGN病灶越大,實性成分越多,其惡性可能性越大,侵襲性越強[18]。此外,結節的形態,邊緣(毛刺征、分葉征、血管集束征)[19-20]及內部結構特征[21-26](CT值、空泡征、支氣管充氣征等)也是鑒別良惡性、侵襲性的重要影像征象。
1.2 磨玻璃結節的生長規律
現有的研究[27-28]數據表明40%~50%的GGN在隨訪3~4個月時消失,這些屬于暫時性GGN,考慮為良性病變。持續存在的GGN雖然多為腺癌或前驅腺體病變,但長期隨訪多無變化,僅少數出現生長。Chang 等[29] 報道122個pGGN隨訪近5年,90.2%未見生長。日本國立癌癥研究中心牽頭的一項多中心前瞻性研究[30]發現,在4.3年的平均隨訪期內,1 046例pGGN中僅6.6%發展為mGGN。與pGGN相比,mGGN在隨訪中出現生長的比率較高。Sawada等[31]的研究發現24.2%的mGGN在5年隨訪期內生長,遠高于pGGN的12.8%;而且實性成分占比(consolidation/tumour ratio,CTR) 越高,生長的可能性越大,CTR 0.1~0.25、0.26~0.5、>0.5的mGGN隨訪5年的生長率分別為14.2%、28.6%、30.8%。GGN即使生長也呈惰性緩慢生長,倍增時間很長。根據研究[32-34]報道mGGN的倍增時間是457~568 d,pGGN更是長達469~845 d。有研究[31]數據表明,GGN的生長絕大多數發生在3~5年內。有一項研究[35]報道CTR<0.5的108個GGN,平均隨訪4.2年,26.9%在隨訪期內增大,且均在隨訪3年內出現。Lee等[36]報道了351個GGN隨訪10年的研究數據,發現后5年的GGN生長率不及前5年的1/3。對GGN生長規律的了解,有助于我們做出正確的處理策略,避免過度診治。
2 磨玻璃結節的處理策略
2.1 隨訪觀察
如前所述,持續存在的GGN多數為腺癌或前驅腺體病變,根據影像特點是無法排除惡性病變的。因此,高分辨率CT發現GGN后如果3個月隨訪無縮小或消失就需要進行長期隨訪,直至可排除惡性。GGN生長緩慢或長期無改變,故隨訪期限一般至少5年。隨訪時間間隔應根據惡性風險及可能的浸潤程度、患者的具體情況而定。
目前在國內外有許多相關的指南、共識,但由于各指南、共識制定者的專業背景、地域以及針對人群的不同,推薦的GGN隨訪策略差異較大[15, 37-42]。其中幾個主要指南、共識的隨訪策略歸納見表1。指南及共識的策略差異導致了臨床醫生的困擾,但在臨床工作中這些指南、共識只能提供參考,在對GGN的具體處理上應針對不同患者、病灶制定個體化的隨訪策略。

我們結合長期的臨床經驗,提出以下幾點供參考:(1)GGN初次發現后均應3個月隨訪,大多數良性GGN會有縮小或消失;(2)首次隨訪無變化者應根據影像特征評估惡性風險及可能的病理類型,可疑AAH者可年度或2年后隨訪,可疑AIS者可6~12個月后隨訪,可疑MIA者 3~6個月后隨訪,可疑IAC者 3個月后隨訪或考慮活檢、治療;(3)后續隨訪時間間隔根據前一次隨訪評估的病理類型確定,在動態隨訪中如出現結節增大、實性成分增加或新出現惡性征象應縮短隨訪間隔或進行活檢、治療,如病灶持續穩定,可適當延長隨訪間隔時間;(4)必須結合患者身體狀況及心態等因素來確定GGN的隨訪策略。對于預計生存期有限的高齡、合并嚴重慢性疾病患者,隨訪不宜過于積極,甚至可長期不隨訪;對于心態十分焦慮的患者,隨訪應相對積極。
2.2 非手術活檢的進展
GGN密度較低且存在正常的肺內血管,與實性結節相比非手術活檢確診率相對較低、出血風險較大,同時對惡性的浸潤程度判斷也欠準確[43]。然而,非手術活檢仍是GGN除外科手術以外唯一的確診手段,具有明確病變性質以便對因治療、避免外科誤切、緩解患者心理壓力等作用。因此,嚴格篩選非手術活檢的適應人群及充分掌握活檢技術也是GGN診治策略的重要一環。
GGN非手術活檢的主要適應證包括:有典型惡性特征但不愿或不宜外科手術、疑診為可經內科治愈但病因不明的良性疾病、同時存在類似的多發結節且不能排除惡性;且均必須通過評估確認非手術活檢可取到合格標本。活檢途徑分為經皮及經支氣管兩種,前者宜用于無支氣管相通、活檢部位無明顯血管的病灶,后者則主要用于與支氣管管腔相通的結節病灶。經皮穿刺活檢是肺結節診斷的傳統有效技術,報道的GGN診斷率約64.6%~93%[43-44]。對≤1 cm的GGN確診率差別更大,48.5%~87%不等[44-45]。近來,經引導鞘管超聲支氣管鏡(endobronchial ultrasonography with a guide sheath,EBUS-GS)及導航技術的應用,大大提高了GGN經支氣管活檢的確診率及安全性,其陽性率達到57%~69%,病灶越大陽性率越高,而且高分辨率CT可見支氣管與病灶中間相通者確診率更高[46-48]。冷凍活檢能夠取到較大的標本,有望明顯提高診斷率。有研究[49]報道EBUS-GS聯合超細探頭冷凍肺活檢診斷率可達到82.61%,且診斷率與病灶大小、CTR、是否采用導航或X線透視等因素無關,值得進一步探索。
有關非手術活檢,必須注意以下幾點:(1)除非高度懷疑真菌感染或浸潤性肺癌,一般需在隨訪3個月以上才考慮活檢,以避免不必要的活檢。(2)GGN病灶及其周圍存在正常肺部血管,經皮穿刺活檢進針及活檢切割時必須盡量回避較大血管,防止大出血。(3)pGGN經皮穿刺活檢陽性率較低且出血風險大,必須慎用。(4)如病灶部位血管豐富,于微波或射頻熱消融中或消融后進行經皮穿刺活檢可減少出血量、提高安全性[50],且不影響活檢的病理檢查結果[50-52]。(5)為提高診斷率及減少并發癥,經支氣管鏡活檢應該在超聲探頭可探及病灶的前提下進行,冷凍肺活檢最好在X線實時透視下采用細探頭取材。
2.3 治療進展
外科手術切除是擬診惡性GGN的主要治療方法。《上海市肺科醫院磨玻璃結節早期肺腺癌的診療共識(第一版)》[53]中對可疑AIS、MIA及IAC的GGN的手術指征做了較為詳細的說明,但病理類型僅通過影像特征分析得出,存在不準確的可能性。目前相對比較一致的觀點是當多學科會診后高度懷疑IAC病變時,應手術干預[54]。對于影像特征懷疑為AIS或MIA時,需要根據病變部位、隨訪時間長短、發展為浸潤病變的概率等因素綜合考慮。GGN型肺癌是一種惰性的腫瘤,有條件隨訪十分安全,治療窗口期很長。因此,對前驅腺體病變不應過早積極手術干預,以避免過度治療。另外,是否考慮手術治療必須結合病灶部位、結節數量、患者的預計生存期及心態等,對于非優勢部位、雙側多發、高齡或有嚴重基礎疾病者手術宜消極,反之則可積極考慮手術治療,當患者對GGN十分焦慮時手術指征也可適當放寬。
隨著臨床研究的深入,臨床醫生對GGN的切除范圍有了更準確的認識。基于1995年的一項隨機對照研究(RCT)[55],肺葉切除被認為是早期肺癌的標準術式。然而對于肺結節病灶,尤其是近幾年來備受關注的GGN型肺癌,最佳的切除范圍還存在爭議。切除范圍的選擇,需要綜合考慮病灶影像特征及部位、患者年齡及心肺功能等因素。日本的Ⅱ期臨床研究JCOG0804/WJOG4507[56]顯示,對最大徑≤2 cm,CTR≤0.25的GGN型肺癌進行足夠切緣的亞肺葉切除,5年無復發生存率達99.7%。美國國立綜合癌癥網絡(NCCN)指南已推薦亞肺葉切除可用于最大徑≤2 cm,CTR<0.5的外周GGN(2類)[57]。而對于CTR>0.5的病灶,其術式的選擇仍存在爭議。參考NCCN指南的建議,對于CTR>0.5的mGGN,在患者可耐受的情況下仍優先考慮肺葉切除。但近年來國內外開展了一些研究,試圖探索這部分患者的最佳術式,也提出了新的觀點。國內有臨床研究[58]報道,CTR>0.5的mGGN行肺段切除與肺葉切除的5年無復發生存時間相仿。另有兩項針對直徑≤2 cm mGGN的RCT正在進行(日本的JCOG0802和美國的CALGB140503),從JCOG0802已報告的部分研究結果來看,對于最大徑≤2 cm、CTR>0.5的mGGN,肺段切除無論是總生存率還是肺功能保留方面都優于肺葉切除,但還需待其最終研究報道。盡管如此,目前支持亞肺葉切除用于CTR>0.5 的mGGN的證據尚不足,有待進一步研究。除了病灶大小、CTR外,術中冰凍病理可以輔助GGO病灶的術式選擇。有一項納入803例Ⅰ期肺腺癌患者的研究[59]發現,術中冰凍病理判斷AIS、MIA、IAC的準確率可到達96%。對于術中病理為AIS、MIA的GGN行亞肺葉切除,5年無復發生存率達100%。
為達到術中創傷最小化及術后生存期最大化的目的,外科學者也在不斷探索GGN型肺癌術中淋巴結的處理方式。多項研究[23, 58, 60-61]結果提示GGN的淋巴結轉移率很低,pGGN的淋巴結轉移率為0,CTR<0.5的mGGN其淋巴結轉移率0~6.9%。Moon等[62]的研究提示腫瘤大小和CTR是淋巴結轉移的獨立預測因素。一項納入129例CTR<0.5的GGN患者的回顧性研究[63]發現,無論是否進行淋巴清掃、采樣,患者的5年無復發生存率無差異。還有類似的研究[58]也提示,對于CTR<0.5的GGN,淋巴結清掃與否并未影響患者的預后。根據2021年NCCN指南的建議,對于最大徑<2 cm,CTR<0.5的外周GGN,技術允許情況下需進行N1、N2淋巴結采樣[57]。而對直徑>2 cm或CTR>0.5的GGN,目前更為推薦系統性淋巴結清掃[64]。此外,術中冰凍病理也是淋巴結處理方式的重要參考指標。有研究[59]結果提示,對于術中冰凍病理為AIS及MIA未進行淋巴結清掃,其5年無復發生存率可達100%。考慮到AIS及MIA不發生淋巴結轉移,《上海市肺科醫院磨玻璃結節早期肺腺癌的診療共識(第一版)》[53]指出,對于影像擬診AIS或術中冰凍初步診斷為MIA,不需要進行淋巴結清掃或采樣。基于目前的研究結果,我們認為在進行術式選擇時不能一概而論,要充分考慮GGN的大小、形態、位置、CTR等因素,參考術中冰凍病理結果,選擇可根治、創傷小、盡量保留肺功能的術式。
除了外科手術,立體定向體部放療(stereotactic body radiation therapy,SBRT)及消融技術介入治療也是肺結節的治療手段。SBRT可用于經多學科聯合診療認為不能耐受外科手術的早期肺癌[65]。然而,GGN病灶存在劑量傳遞及實時影像引導難以實行等問題,關于SBRT治療GGN的研究甚少。有單臂回顧性研究[66]提示SBRT治療GGN型肺癌可獲得較好的局部控制。另外還有少數SBRT治療早期肺癌的研究[67-68]中包含少量GGN病灶,提示磨玻璃病灶與更好的預后相關。但目前缺乏足夠的證據支持SBRT用于擬診GGN型肺癌的治療[12, 69]。
3 磨玻璃結節的消融治療
3.1 經皮消融技術在早期肺癌中的應用
肺癌的經皮介入治療技術主要包括熱消融如射頻消融(radiofrequency ablation,RFA)、微波消融(microwave ablation,MWA),冷凍消融如氬氦刀冷凍消融(argon-helium cryoablation,AHC)以及放射性粒子植入等,目前臨床常用于早期肺癌的消融技術是經皮RFA、MWA 、AHC等。
RFA是目前治療實體瘤最為廣泛的消融技術,也是應用于肺部腫瘤最早、經驗最豐富的消融治療手段。消融體積主要取決于局部射頻產生的熱傳導與血液及細胞外液間的熱對流,但其熱沉效應明顯,易受組織特性影響[70-71]。在肺部,RFA主要適用于小到中等大的肺癌。近年來,RFA用于治療不能耐受或拒絕手術的Ⅰ期肺癌的報道越來越多,結果提示其無復發生存或總生存與手術或SBRT相當[72-73]。研究[74]還顯示RFA治療早期肺癌的5年無進展生存率為40%~74%,而腫瘤大小是其預后的重要影響因素,<3 cm的腫瘤預后更佳。2013年美國胸科醫師學會(ACCP)推薦RFA用于<3 cm且不適合手術的外周型Ⅰ期非小細胞肺癌[75]。
MWA是將微波消融針(微波天線)穿刺到靶組織內產生微波能量,使腫瘤細胞凝固壞死。MWA具有肺內對流性更高、熱沉效應更弱的特點,其消融范圍較RFA大,而且所需的消融時間更短,耐受性更好[70-71, 76]。理論上MWA相較于RFA可能獲得更好的腫瘤局部控制。近10年來,MWA治療早期肺癌的研究也逐漸增多。一項納入104例Ⅰ期非小細胞肺癌的研究[77]發現,MWA治療后的局部復發率為23%(中位隨訪時間47個月),而腫瘤>3.5 cm是局部復發的獨立危險因素。而且該研究還對復發者再次進行MWA,這些患者與未復發者的生存結局相仿。該研究給了我們兩點啟發:首先是嚴格控制消融治療的腫瘤大小,可以獲得更好的局部無復發生存;其次是復發者可重復MWA治療,其預后與未復發者一樣。Han等[78]的研究發現MWA治療75歲以上早期肺癌患者的4年腫瘤特異性生存率為64.7%。一項2019年的多中心回顧性研究[79]則發現,MWA治療80歲以上老年早期肺癌患者的5年局部控制率為63.9%。Wang等[80]的對照研究進一步發現,肺葉切除與MWA治療的2年無疾病生存率分別是75.29%和76.09%,盡管在該研究中兩種治療的預后相仿,但MWA的治療花費明顯低于肺葉切除。
AHC是通過高壓氬氣使組織迅速降溫至–140℃,再通過氦氣使組織升溫到20℃~40℃,溫度變化使得靶組織蛋白質變性、細胞裂解、組織缺血壞死等[70-71, 76]。AHC可以達到與MWA相當的消融范圍,而且具有更好的保留細胞結構、對周圍組織損傷小、操作過程中可清晰觀察到消融邊界等優點,其主要的缺點是操作時間相對較長[81]。同RFA及MWA一樣,AHC也推薦用于3 cm以內病灶的消融治療[82]。近年來關于冷凍治療早期肺癌的研究也逐漸興起。Yamauchi等[83]對22例接受AHC治療Ⅰ期肺癌患者進行回顧性研究,發現隨訪期內僅3%病灶出現進展,平均無進展時間為(69±2)個月,3年無疾病生存率67%。Moore等[84]的研究結果顯示AHC治療Ⅰ期非小細胞肺癌的5年無進展生存率可達87.9%±9%。Zemlyak等[85] 的研究則對比了亞肺葉切除、RFA及AHC治療早期肺癌的療效,結果顯示亞葉肺切除與AHC的3年腫瘤特異性生存率分別是90.6%和90.2%。以上研究提示經皮AHC治療早期肺癌的局部復發率低,總生存率與亞肺葉切除相當。
目前,關于經皮消融治療早期肺癌的研究越來越多,而且大多取得不亞于手術切除或SBRT的療效[86-87]。值得注意的是,在手術仍是早期肺癌主流治療的大環境下,消融治療的作用可能被低估。因為接受局部消融治療的患者往往年齡更大、肺功能更差、體力活動狀態(PS)評分更高。而這是消融治療面臨的普遍問題。一項單中心的回顧性研究[88]較清晰地闡明了這種情況,該研究回顧性對比RFA、SBRT及亞肺葉切除治療Ⅰ期肺癌患者的5年總生存率和無進展生存率,結果分別是RFA 58.9%和39.3%、SBRT 42.0%和34.9%、亞肺葉切除 85.5%和75.9%,而這明顯的差距卻在矯正了PS評分等因素后消失了。
3.2 消融技術介入根治磨玻璃結節的可行性
GGN能否通過消融治療達到根治?要回答這個問題需要明確以下兩點:GGN型肺癌是否存在轉移、能否當作局部疾病進行治療?消融技術介入治療GGN病灶能否達到根治?
有關GGN型肺癌的轉移問題關鍵要看是否存在淋巴結轉移,相關的研究數據報道較多。Zha等[60]的一項納入867例GGN型肺癌的研究顯示,pGGN、CTR<0.5 mGGN、CTR 0.5~0.79 mGGN的淋巴結轉移率分別為0%、6.9%、9.1%。而在Ye等[58]的研究中,淋巴結轉移率 pGGN為 0%、mGGN為 2.2%,均遠低于實性結節的27%。一項回顧性研究[23]納入了581例GGN型肺癌,其中145例CTR≤0.5、最大徑≤3 cm的GGN均未見淋巴結轉移,而且該研究中27例0.5<CTR<1.0、最大徑≤1 cm的GGN型肺癌也未見淋巴結轉移。綜合大量的研究數據可發現,pGGN均未見淋巴結轉移,CTR≤0.5或最大徑<1 cm的mGGN淋巴結轉移率極低,而CTR>0.5或最大徑>1 cm的mGGN淋巴結轉移率也明顯低于實性結節[23, 58, 60-61, 89]。從病理角度,AIS和MIA階段沒有淋巴結轉移,即便是IAC,如果CTR≤0.5也極少有淋巴結轉移[90]。另外,GGN型肺癌未見遠處轉移的報道,不少專家提出GGN型肺癌無需行頭顱磁共振成像(MRI)、骨掃描、支氣管鏡等檢查評估[17, 41, 91-93]。綜上,絕大多數GGN型肺癌屬于無轉移的、可經局部治療治愈的局部病變,提示局部消融治療有根治該類疾病的可能性[94]。
那么,消融治療GGN病灶能否達到根治呢?消融治療在早期肺癌中的成功應用,也促進了它在這一特殊類型早期肺癌中的探索。GGN型肺癌屬于3 cm以內早期肺癌或原位癌,理論上看可根治實性早期肺癌的消融技術也完全有可能根治GGN型肺癌。盡管目前消融技術根治GGN的報道并不多,但均取得了令人滿意的結果。Kodama等[95] 的回顧性研究發現,接受RFA治療的42例GGN型肺癌患者中位隨訪時間42個月,5年總生存率和腫瘤特異性生存率分別為96.4%和100%。Iguchi等[96]納入16例GGN型肺癌患者進行RFA治療,中位隨訪時間61.5個月,3年的病灶控制率達92.3%,且未發現嚴重并發癥。我國的一項回顧性研究[97]也觀察到了RFA治療GGN型肺癌的近期療效,半年的病灶控制率100%。2018年一項回顧性多中心研究[98]納入了51例接受MWA治療的GGN型肺腺癌患者,技術成功率100%,3年無局部進展生存率為98%,3年腫瘤特異性生存率為96%,并發癥均在可控范圍。2020年也有一項回顧性研究[99]報道了MWA在多發GGN中的應用,技術成功率100%,中位隨訪18個月未發現腫瘤復發,但該研究隨訪時間較短。2015年Kim等[100]報道了1例AHC治療5 mm pGGN的成功病例。2019年一項小樣本回顧性研究[101]納入14例接受AHC治療的GGN型肺癌,結果顯示隨訪2年未見復發且無嚴重并發癥。
以上研究結果為消融治療GGN提供了初步的循證醫學證據,提示通過消融技術介入根治GGN型肺癌是可行的,且操作安全。需要指出的是,這些臨床研究的隨訪時間相對較短,病例數較少,尚缺乏大樣本、前瞻性臨床研究的數據。相信未來會有更多大樣本、多中心、前瞻性、長隨訪的研究,以提供高級別循證醫學證據。而且,雖然消融治療有根治大部分GGN型肺癌的可能,但其無法進行淋巴結清掃或治療,所以并不意味著消融治療可以替代外科手術。本中心也對一些符合條件的GGN型肺癌病例進行了經皮消融治療,積累了一定的經驗,在臨床中驗證了GGN介入根治的可行性,典型病例見圖2~4。

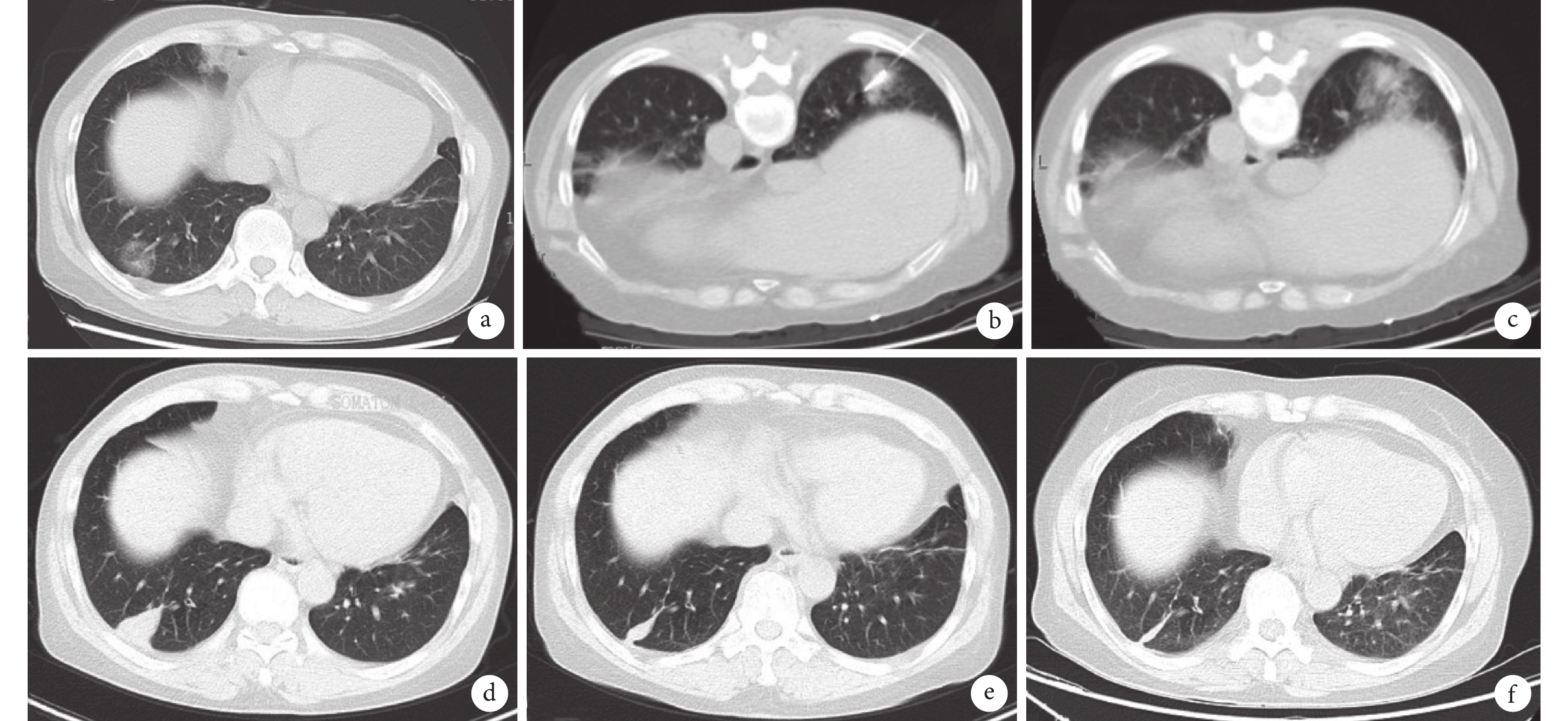
女,62歲,右肺下葉GGN隨訪中增大,經皮穿刺活檢確診腺癌,拒絕外科手術;a:治療前右肺下葉2.5 cm的mGGN;b:經皮微波消融(功率40 W、時間8 min);c:消融后暈影明顯大于病灶;d:微波消融治療3個月后影像表現;e:微波消融治療16個月后病灶明顯縮小;f:微波消融治療30個月后病灶僅殘留纖維條索影

男,78歲,右肺下葉GGN經皮穿刺活檢確診腺癌,腎功能不全不宜外科手術;a:治療前右肺下葉1.0 cm的mGGN;b:單極射頻消融治療GGN;c:射頻消融治療1個月后影像表現;d:射頻消融治療35個月后病灶僅殘留纖維條索影

女,31歲,兩肺多發GGN,右肺上葉mGGN經支氣管鏡活檢確診為腺癌,拒絕手術;a:治療前右肺上葉1.6 cm的mGGN;b:氬氦刀冷凍消融治療;c:冷凍治療10 d后影像表現;d:氬氦刀術后18個月病灶吸收僅殘留少許纖維條索影
3.3 磨玻璃結節消融治療的臨床實踐
作為外科手術的有力補充,消融技術介入根治的臨床應用適應證有哪些?目前尚未發布針對GGN介入根治的臨床指南,僅有國內今年發布的專家共識[41]。該共識提出的GGN消融治療適應證可供臨床應用時參考,包括:(1)病理證實為AAH、AIS、MIA、IAC(排除遠處轉移)的周圍型GGN,且存在因心肺功能差或高齡等因素無法耐受手術、術后出現新病灶無法耐受再次手術、拒絕手術、多發GGN、重度焦慮等。(2)拒絕活檢及手術的患者如有影像學惡性征象或極度焦慮,在多學科會診的基礎上與患者共同決策確定是否“可不取病理直接消融或消融與活檢同步進行。”總之,鑒于目前尚缺乏高級別循證醫學證據及權威指南的推薦,消融治療應嚴格掌握適應證,只針對不能耐受或不愿意外科手術的患者,作為外科手術的補充。
我們結合10余年來經皮介入消融的經驗,提出以下補充建議:(1)GGN的非手術活檢不能準確判斷腫瘤的浸潤程度,活檢的病理分型只能作參考,但一般不會影響適應證的選擇。(2)無病理確診GGN的消融治療適應證除了拒絕活檢及手術外,還應包括經評估非手術活檢難以取到合格標本或出血風險大的患者,如1 cm以內的pGGN、中間有大血管的GGN等。(3)選擇消融治療時必須先評估病灶所在位置對消融療效的影響,為確保根治,病灶必須位于治療針易于到達且周圍無心臟、大血管的部位。(4)不能耐受手術主要包括高齡或有嚴重并存病、多發結節、近肺門區結節等,注意不宜手術是相對的,外科、內科、介入科醫生的看法可能存在較大的差異;不愿意手術必須以經充分說明后患者及家屬仍簽字拒絕手術為準。(5)對病理未確診的GGN,考慮到pGGN活檢的病理結果準確性較差且活檢后出血較明顯,宜不取病理直接消融;消融同步活檢主要應用于病理未確診的mGGN,活檢可在消融前、消融中或消融后進行。對血管豐富的病灶,建議采用熱消融如微波或射頻,且消融中進行活檢為佳,有助于減少活檢后出血且不影響活檢的病理結果;不建議在消融后活檢,因有學者[50]提出熱消融造成的組織碳化可能會影響活檢的病理檢查結果。消融后活檢主要應用于冷凍消融時,因冷凍不會影響活檢標本的病理結果。
與外科手術一樣,確定消融治療的時機需要充分考慮GGN生長規律及侵襲性。GGN型肺癌呈惰性生長,治療時間窗很寬,為避免過度治療,必須是經過一段時間的隨訪后高度懷疑為浸潤性病變,或隨訪中病灶增大或實性成分增多時才考慮消融介入根治。另外,對十分焦慮的患者在考慮消融治療時可積極些,對預計生存期有限的高齡或有嚴重并存病患者,必須在充分衡量得失后確定是否消融。消融介入治療能否達到根治,也與操作者的操作技術及臨床經驗密切相關。建議MWA、RFA采取低功率、較長時間的治療策略,確保消融后磨玻璃影大于病灶10 mm以上;氬氦刀冷凍治療盡量采用多針適型,分2~3個循環、冷凍總時間不短于30 min,確保冷凍消融治療中病灶位于–40℃范圍內。
相較于外科手術,經皮消融介入根治GGN具有操作快速、創傷小、安全性高、費用低,對肺組織損傷輕、可多次操作,對無病理診斷者可同步活檢等優點。但也存在對操作技術要求高、消融治療參數個體差異大、質量控制要求高、較難同質化、不能百分之百確保根治等缺點。目前經皮消融根治GGN是可行的,臨床主要用于不宜或不愿手術的GGN型早期肺腺癌或病理未確診但高危的GGN。鑒于pGGN及絕大多數mGGN屬于沒有轉移的局部疾病,未來經皮消融治療有望成為這類患者除了外科手術以外的主要治療手段,根據病灶特點、病灶部位及患者情況等個體化選擇治療方法。
此外,氣道內超聲及電磁、虛擬導航技術的快速發展使經支氣管消融治療GGN成為可能。近年來,導航技術及超聲引導下插入RFA、MWA軟性探頭消融治療惡性肺結節已在不斷探索中,帶有水微循環的經支氣管鏡軟性消融探頭也已研發成功,拓展了消融治療范圍。目前為數不多的單中心小樣本的研究[102-104]也初步證實了支氣管鏡下消融療效確切。但該技術仍存在許多問題:(1)消融探頭難以經病灶中間到達病灶遠端,消融范圍難以確保超過病灶邊緣10 mm以上。(2)探頭只能經支氣管到達病灶,只能應用于消融探頭能夠到達的與支氣管相通的病灶;支氣管鏡下經肺實質結節抵達術(BTPNA)可使消融電極不經支氣管到達病灶部位,但該技術存在操作難度大、創傷較大、費用高、費時長等缺點。(3)消融治療功率不穩定,且沒有標準的消融治療參數可供參考,影響了消融效果及該技術的普及。(4)設備昂貴、消融探頭沒有取得管理部門批準,目前只能臨床科研中應用。總之,作為肺結節消融治療的新技術,經支氣管消融技術目前可探索性的應用于治療肺功能差、經皮穿刺氣胸或出血風險大的惡性GGN或實性結節。隨著治療探頭更加精細、輸出功率更加穩定以及BTPNA的改進、應用經驗的累積,該技術將逐漸成熟,有望擴大適應證及提高根治的可能性。
利益沖突:無。
作者貢獻:柯明耀負責文章選題,設計文章框架,主導研究實施;陳智德、曾俊莉負責文獻收集及數據分析;雍雅智、林連城負責設計、編輯圖表;全體作者參與文章撰寫和文章審閱。
肺磨玻璃結節(ground-glass nodule,GGN)指高分辨率CT表現為肺內邊界清楚或不清楚的直徑(或最大徑) ≤30 mm的圓形或類圓形密度增高陰影,但病變密度不足以掩蓋其中走行的血管、支氣管、小葉間隔等結構,可為單發或多發,不伴有肺不張、肺門及縱隔淋巴結腫大和胸腔積液[1]。隨著影像技術的發展、肺癌篩查的普及,GGN的檢出率明顯上升,因其與肺腺癌密切相關而備受關注。近年來多個國家、地區開展了肺癌篩查研究[2-4]并提示,肺癌高風險人群中GGN的發病率為2.0%~3.3%。國內有研究[5-6]報道在普通人群篩查發現的肺癌中,84.8%~95.5% 的患者在影像學上表現為GGN。與傳統觀念中的肺癌好發人群不同,大量研究[5]數據顯示惡性GGN好發于年輕、非吸煙、女性。目前GGN在篩查、隨訪、治療策略等方面缺乏共識,手術仍是擬診GGN型肺癌根本的治療策略,盡管最佳術式還存在爭議。隨著介入消融技術的發展,其應用范圍也在不斷拓寬。近幾年來,消融治療GGN的探索逐漸增多。本文將從GGN認識上的進展、診治策略及經皮消融技術根治GGN的現狀與探索等方面展開。
1 磨玻璃結節再認識
1.1 磨玻璃結節的影像特征與病理的關系
GGN根據是否存在實性成分可分為:純磨玻璃結節(pure GGN,pGGN)和混合磨玻璃結節(mixed GGN,mGGN),前者又被稱為無實性結節,后者又被稱為部分實性結節;見圖1。GGN的病理基礎是肺泡間隔增厚,或部分肺泡腔充滿液體、細胞或組織碎片,因此GGN并非某病的特異表現,它既可見于浸潤性肺腺癌、前驅腺體病變,又可見于局灶性間質纖維化、肺泡出血、炎癥或細支氣管上皮增生、細支氣管周上皮化生等[7]。持續存在的GGN是指結節至少持續存在3個月以上且復查時未變小或消失。應特別重視持續存在的GGN,因其多為惡性或有向惡性發展的潛能。Kim等[8]報道有超過80%持續存在的GGN最終被診斷為腺癌或前驅腺體病變。Lim等[9]的研究也發現,最大徑≥10 mm持續存在的pGGN手術病理100%為腺癌或前驅腺體病變。

a:純磨玻璃結節;b:混合磨玻璃結節
GGN型肺癌均為腺癌,多數學者認為是經有序的多階段發展而來的。從影像上由pGGN發展為mGGN或實性結節。在病理學上,通常是由非典型腺瘤樣增生(atypical adenomatous hyperplasia,AAH)到原位腺癌(adenocarcinoma in situ,AIS),再進一步發展為微浸潤腺癌(minimally invasive adenocarcinoma,MIA)、浸潤性腺癌(invasive adenocarcinoma,IAC)[10-12]。
GGN是一種非特異性的影像學表現,但其影像特點對于判斷病理性質幫助很大,多數GGN的影像與病理存在相關性。純磨玻璃影被認為是AAH或AIS的表現,當pGGN<5 mm時多為AAH;介于5~30 mm,AIS的可能性最大[13-15]。但值得注意的是,即便是pGGN,少數可能是MIA,極少數甚至已是IAC,其中大部分為貼壁生長型,但也有少數呈非貼壁生長型[16-17]。而對于mGGN,當實性成分直徑<5 mm以MIA多見,≥5 mm則提示IAC的可能性較大。GGN病灶越大,實性成分越多,其惡性可能性越大,侵襲性越強[18]。此外,結節的形態,邊緣(毛刺征、分葉征、血管集束征)[19-20]及內部結構特征[21-26](CT值、空泡征、支氣管充氣征等)也是鑒別良惡性、侵襲性的重要影像征象。
1.2 磨玻璃結節的生長規律
現有的研究[27-28]數據表明40%~50%的GGN在隨訪3~4個月時消失,這些屬于暫時性GGN,考慮為良性病變。持續存在的GGN雖然多為腺癌或前驅腺體病變,但長期隨訪多無變化,僅少數出現生長。Chang 等[29] 報道122個pGGN隨訪近5年,90.2%未見生長。日本國立癌癥研究中心牽頭的一項多中心前瞻性研究[30]發現,在4.3年的平均隨訪期內,1 046例pGGN中僅6.6%發展為mGGN。與pGGN相比,mGGN在隨訪中出現生長的比率較高。Sawada等[31]的研究發現24.2%的mGGN在5年隨訪期內生長,遠高于pGGN的12.8%;而且實性成分占比(consolidation/tumour ratio,CTR) 越高,生長的可能性越大,CTR 0.1~0.25、0.26~0.5、>0.5的mGGN隨訪5年的生長率分別為14.2%、28.6%、30.8%。GGN即使生長也呈惰性緩慢生長,倍增時間很長。根據研究[32-34]報道mGGN的倍增時間是457~568 d,pGGN更是長達469~845 d。有研究[31]數據表明,GGN的生長絕大多數發生在3~5年內。有一項研究[35]報道CTR<0.5的108個GGN,平均隨訪4.2年,26.9%在隨訪期內增大,且均在隨訪3年內出現。Lee等[36]報道了351個GGN隨訪10年的研究數據,發現后5年的GGN生長率不及前5年的1/3。對GGN生長規律的了解,有助于我們做出正確的處理策略,避免過度診治。
2 磨玻璃結節的處理策略
2.1 隨訪觀察
如前所述,持續存在的GGN多數為腺癌或前驅腺體病變,根據影像特點是無法排除惡性病變的。因此,高分辨率CT發現GGN后如果3個月隨訪無縮小或消失就需要進行長期隨訪,直至可排除惡性。GGN生長緩慢或長期無改變,故隨訪期限一般至少5年。隨訪時間間隔應根據惡性風險及可能的浸潤程度、患者的具體情況而定。
目前在國內外有許多相關的指南、共識,但由于各指南、共識制定者的專業背景、地域以及針對人群的不同,推薦的GGN隨訪策略差異較大[15, 37-42]。其中幾個主要指南、共識的隨訪策略歸納見表1。指南及共識的策略差異導致了臨床醫生的困擾,但在臨床工作中這些指南、共識只能提供參考,在對GGN的具體處理上應針對不同患者、病灶制定個體化的隨訪策略。

我們結合長期的臨床經驗,提出以下幾點供參考:(1)GGN初次發現后均應3個月隨訪,大多數良性GGN會有縮小或消失;(2)首次隨訪無變化者應根據影像特征評估惡性風險及可能的病理類型,可疑AAH者可年度或2年后隨訪,可疑AIS者可6~12個月后隨訪,可疑MIA者 3~6個月后隨訪,可疑IAC者 3個月后隨訪或考慮活檢、治療;(3)后續隨訪時間間隔根據前一次隨訪評估的病理類型確定,在動態隨訪中如出現結節增大、實性成分增加或新出現惡性征象應縮短隨訪間隔或進行活檢、治療,如病灶持續穩定,可適當延長隨訪間隔時間;(4)必須結合患者身體狀況及心態等因素來確定GGN的隨訪策略。對于預計生存期有限的高齡、合并嚴重慢性疾病患者,隨訪不宜過于積極,甚至可長期不隨訪;對于心態十分焦慮的患者,隨訪應相對積極。
2.2 非手術活檢的進展
GGN密度較低且存在正常的肺內血管,與實性結節相比非手術活檢確診率相對較低、出血風險較大,同時對惡性的浸潤程度判斷也欠準確[43]。然而,非手術活檢仍是GGN除外科手術以外唯一的確診手段,具有明確病變性質以便對因治療、避免外科誤切、緩解患者心理壓力等作用。因此,嚴格篩選非手術活檢的適應人群及充分掌握活檢技術也是GGN診治策略的重要一環。
GGN非手術活檢的主要適應證包括:有典型惡性特征但不愿或不宜外科手術、疑診為可經內科治愈但病因不明的良性疾病、同時存在類似的多發結節且不能排除惡性;且均必須通過評估確認非手術活檢可取到合格標本。活檢途徑分為經皮及經支氣管兩種,前者宜用于無支氣管相通、活檢部位無明顯血管的病灶,后者則主要用于與支氣管管腔相通的結節病灶。經皮穿刺活檢是肺結節診斷的傳統有效技術,報道的GGN診斷率約64.6%~93%[43-44]。對≤1 cm的GGN確診率差別更大,48.5%~87%不等[44-45]。近來,經引導鞘管超聲支氣管鏡(endobronchial ultrasonography with a guide sheath,EBUS-GS)及導航技術的應用,大大提高了GGN經支氣管活檢的確診率及安全性,其陽性率達到57%~69%,病灶越大陽性率越高,而且高分辨率CT可見支氣管與病灶中間相通者確診率更高[46-48]。冷凍活檢能夠取到較大的標本,有望明顯提高診斷率。有研究[49]報道EBUS-GS聯合超細探頭冷凍肺活檢診斷率可達到82.61%,且診斷率與病灶大小、CTR、是否采用導航或X線透視等因素無關,值得進一步探索。
有關非手術活檢,必須注意以下幾點:(1)除非高度懷疑真菌感染或浸潤性肺癌,一般需在隨訪3個月以上才考慮活檢,以避免不必要的活檢。(2)GGN病灶及其周圍存在正常肺部血管,經皮穿刺活檢進針及活檢切割時必須盡量回避較大血管,防止大出血。(3)pGGN經皮穿刺活檢陽性率較低且出血風險大,必須慎用。(4)如病灶部位血管豐富,于微波或射頻熱消融中或消融后進行經皮穿刺活檢可減少出血量、提高安全性[50],且不影響活檢的病理檢查結果[50-52]。(5)為提高診斷率及減少并發癥,經支氣管鏡活檢應該在超聲探頭可探及病灶的前提下進行,冷凍肺活檢最好在X線實時透視下采用細探頭取材。
2.3 治療進展
外科手術切除是擬診惡性GGN的主要治療方法。《上海市肺科醫院磨玻璃結節早期肺腺癌的診療共識(第一版)》[53]中對可疑AIS、MIA及IAC的GGN的手術指征做了較為詳細的說明,但病理類型僅通過影像特征分析得出,存在不準確的可能性。目前相對比較一致的觀點是當多學科會診后高度懷疑IAC病變時,應手術干預[54]。對于影像特征懷疑為AIS或MIA時,需要根據病變部位、隨訪時間長短、發展為浸潤病變的概率等因素綜合考慮。GGN型肺癌是一種惰性的腫瘤,有條件隨訪十分安全,治療窗口期很長。因此,對前驅腺體病變不應過早積極手術干預,以避免過度治療。另外,是否考慮手術治療必須結合病灶部位、結節數量、患者的預計生存期及心態等,對于非優勢部位、雙側多發、高齡或有嚴重基礎疾病者手術宜消極,反之則可積極考慮手術治療,當患者對GGN十分焦慮時手術指征也可適當放寬。
隨著臨床研究的深入,臨床醫生對GGN的切除范圍有了更準確的認識。基于1995年的一項隨機對照研究(RCT)[55],肺葉切除被認為是早期肺癌的標準術式。然而對于肺結節病灶,尤其是近幾年來備受關注的GGN型肺癌,最佳的切除范圍還存在爭議。切除范圍的選擇,需要綜合考慮病灶影像特征及部位、患者年齡及心肺功能等因素。日本的Ⅱ期臨床研究JCOG0804/WJOG4507[56]顯示,對最大徑≤2 cm,CTR≤0.25的GGN型肺癌進行足夠切緣的亞肺葉切除,5年無復發生存率達99.7%。美國國立綜合癌癥網絡(NCCN)指南已推薦亞肺葉切除可用于最大徑≤2 cm,CTR<0.5的外周GGN(2類)[57]。而對于CTR>0.5的病灶,其術式的選擇仍存在爭議。參考NCCN指南的建議,對于CTR>0.5的mGGN,在患者可耐受的情況下仍優先考慮肺葉切除。但近年來國內外開展了一些研究,試圖探索這部分患者的最佳術式,也提出了新的觀點。國內有臨床研究[58]報道,CTR>0.5的mGGN行肺段切除與肺葉切除的5年無復發生存時間相仿。另有兩項針對直徑≤2 cm mGGN的RCT正在進行(日本的JCOG0802和美國的CALGB140503),從JCOG0802已報告的部分研究結果來看,對于最大徑≤2 cm、CTR>0.5的mGGN,肺段切除無論是總生存率還是肺功能保留方面都優于肺葉切除,但還需待其最終研究報道。盡管如此,目前支持亞肺葉切除用于CTR>0.5 的mGGN的證據尚不足,有待進一步研究。除了病灶大小、CTR外,術中冰凍病理可以輔助GGO病灶的術式選擇。有一項納入803例Ⅰ期肺腺癌患者的研究[59]發現,術中冰凍病理判斷AIS、MIA、IAC的準確率可到達96%。對于術中病理為AIS、MIA的GGN行亞肺葉切除,5年無復發生存率達100%。
為達到術中創傷最小化及術后生存期最大化的目的,外科學者也在不斷探索GGN型肺癌術中淋巴結的處理方式。多項研究[23, 58, 60-61]結果提示GGN的淋巴結轉移率很低,pGGN的淋巴結轉移率為0,CTR<0.5的mGGN其淋巴結轉移率0~6.9%。Moon等[62]的研究提示腫瘤大小和CTR是淋巴結轉移的獨立預測因素。一項納入129例CTR<0.5的GGN患者的回顧性研究[63]發現,無論是否進行淋巴清掃、采樣,患者的5年無復發生存率無差異。還有類似的研究[58]也提示,對于CTR<0.5的GGN,淋巴結清掃與否并未影響患者的預后。根據2021年NCCN指南的建議,對于最大徑<2 cm,CTR<0.5的外周GGN,技術允許情況下需進行N1、N2淋巴結采樣[57]。而對直徑>2 cm或CTR>0.5的GGN,目前更為推薦系統性淋巴結清掃[64]。此外,術中冰凍病理也是淋巴結處理方式的重要參考指標。有研究[59]結果提示,對于術中冰凍病理為AIS及MIA未進行淋巴結清掃,其5年無復發生存率可達100%。考慮到AIS及MIA不發生淋巴結轉移,《上海市肺科醫院磨玻璃結節早期肺腺癌的診療共識(第一版)》[53]指出,對于影像擬診AIS或術中冰凍初步診斷為MIA,不需要進行淋巴結清掃或采樣。基于目前的研究結果,我們認為在進行術式選擇時不能一概而論,要充分考慮GGN的大小、形態、位置、CTR等因素,參考術中冰凍病理結果,選擇可根治、創傷小、盡量保留肺功能的術式。
除了外科手術,立體定向體部放療(stereotactic body radiation therapy,SBRT)及消融技術介入治療也是肺結節的治療手段。SBRT可用于經多學科聯合診療認為不能耐受外科手術的早期肺癌[65]。然而,GGN病灶存在劑量傳遞及實時影像引導難以實行等問題,關于SBRT治療GGN的研究甚少。有單臂回顧性研究[66]提示SBRT治療GGN型肺癌可獲得較好的局部控制。另外還有少數SBRT治療早期肺癌的研究[67-68]中包含少量GGN病灶,提示磨玻璃病灶與更好的預后相關。但目前缺乏足夠的證據支持SBRT用于擬診GGN型肺癌的治療[12, 69]。
3 磨玻璃結節的消融治療
3.1 經皮消融技術在早期肺癌中的應用
肺癌的經皮介入治療技術主要包括熱消融如射頻消融(radiofrequency ablation,RFA)、微波消融(microwave ablation,MWA),冷凍消融如氬氦刀冷凍消融(argon-helium cryoablation,AHC)以及放射性粒子植入等,目前臨床常用于早期肺癌的消融技術是經皮RFA、MWA 、AHC等。
RFA是目前治療實體瘤最為廣泛的消融技術,也是應用于肺部腫瘤最早、經驗最豐富的消融治療手段。消融體積主要取決于局部射頻產生的熱傳導與血液及細胞外液間的熱對流,但其熱沉效應明顯,易受組織特性影響[70-71]。在肺部,RFA主要適用于小到中等大的肺癌。近年來,RFA用于治療不能耐受或拒絕手術的Ⅰ期肺癌的報道越來越多,結果提示其無復發生存或總生存與手術或SBRT相當[72-73]。研究[74]還顯示RFA治療早期肺癌的5年無進展生存率為40%~74%,而腫瘤大小是其預后的重要影響因素,<3 cm的腫瘤預后更佳。2013年美國胸科醫師學會(ACCP)推薦RFA用于<3 cm且不適合手術的外周型Ⅰ期非小細胞肺癌[75]。
MWA是將微波消融針(微波天線)穿刺到靶組織內產生微波能量,使腫瘤細胞凝固壞死。MWA具有肺內對流性更高、熱沉效應更弱的特點,其消融范圍較RFA大,而且所需的消融時間更短,耐受性更好[70-71, 76]。理論上MWA相較于RFA可能獲得更好的腫瘤局部控制。近10年來,MWA治療早期肺癌的研究也逐漸增多。一項納入104例Ⅰ期非小細胞肺癌的研究[77]發現,MWA治療后的局部復發率為23%(中位隨訪時間47個月),而腫瘤>3.5 cm是局部復發的獨立危險因素。而且該研究還對復發者再次進行MWA,這些患者與未復發者的生存結局相仿。該研究給了我們兩點啟發:首先是嚴格控制消融治療的腫瘤大小,可以獲得更好的局部無復發生存;其次是復發者可重復MWA治療,其預后與未復發者一樣。Han等[78]的研究發現MWA治療75歲以上早期肺癌患者的4年腫瘤特異性生存率為64.7%。一項2019年的多中心回顧性研究[79]則發現,MWA治療80歲以上老年早期肺癌患者的5年局部控制率為63.9%。Wang等[80]的對照研究進一步發現,肺葉切除與MWA治療的2年無疾病生存率分別是75.29%和76.09%,盡管在該研究中兩種治療的預后相仿,但MWA的治療花費明顯低于肺葉切除。
AHC是通過高壓氬氣使組織迅速降溫至–140℃,再通過氦氣使組織升溫到20℃~40℃,溫度變化使得靶組織蛋白質變性、細胞裂解、組織缺血壞死等[70-71, 76]。AHC可以達到與MWA相當的消融范圍,而且具有更好的保留細胞結構、對周圍組織損傷小、操作過程中可清晰觀察到消融邊界等優點,其主要的缺點是操作時間相對較長[81]。同RFA及MWA一樣,AHC也推薦用于3 cm以內病灶的消融治療[82]。近年來關于冷凍治療早期肺癌的研究也逐漸興起。Yamauchi等[83]對22例接受AHC治療Ⅰ期肺癌患者進行回顧性研究,發現隨訪期內僅3%病灶出現進展,平均無進展時間為(69±2)個月,3年無疾病生存率67%。Moore等[84]的研究結果顯示AHC治療Ⅰ期非小細胞肺癌的5年無進展生存率可達87.9%±9%。Zemlyak等[85] 的研究則對比了亞肺葉切除、RFA及AHC治療早期肺癌的療效,結果顯示亞葉肺切除與AHC的3年腫瘤特異性生存率分別是90.6%和90.2%。以上研究提示經皮AHC治療早期肺癌的局部復發率低,總生存率與亞肺葉切除相當。
目前,關于經皮消融治療早期肺癌的研究越來越多,而且大多取得不亞于手術切除或SBRT的療效[86-87]。值得注意的是,在手術仍是早期肺癌主流治療的大環境下,消融治療的作用可能被低估。因為接受局部消融治療的患者往往年齡更大、肺功能更差、體力活動狀態(PS)評分更高。而這是消融治療面臨的普遍問題。一項單中心的回顧性研究[88]較清晰地闡明了這種情況,該研究回顧性對比RFA、SBRT及亞肺葉切除治療Ⅰ期肺癌患者的5年總生存率和無進展生存率,結果分別是RFA 58.9%和39.3%、SBRT 42.0%和34.9%、亞肺葉切除 85.5%和75.9%,而這明顯的差距卻在矯正了PS評分等因素后消失了。
3.2 消融技術介入根治磨玻璃結節的可行性
GGN能否通過消融治療達到根治?要回答這個問題需要明確以下兩點:GGN型肺癌是否存在轉移、能否當作局部疾病進行治療?消融技術介入治療GGN病灶能否達到根治?
有關GGN型肺癌的轉移問題關鍵要看是否存在淋巴結轉移,相關的研究數據報道較多。Zha等[60]的一項納入867例GGN型肺癌的研究顯示,pGGN、CTR<0.5 mGGN、CTR 0.5~0.79 mGGN的淋巴結轉移率分別為0%、6.9%、9.1%。而在Ye等[58]的研究中,淋巴結轉移率 pGGN為 0%、mGGN為 2.2%,均遠低于實性結節的27%。一項回顧性研究[23]納入了581例GGN型肺癌,其中145例CTR≤0.5、最大徑≤3 cm的GGN均未見淋巴結轉移,而且該研究中27例0.5<CTR<1.0、最大徑≤1 cm的GGN型肺癌也未見淋巴結轉移。綜合大量的研究數據可發現,pGGN均未見淋巴結轉移,CTR≤0.5或最大徑<1 cm的mGGN淋巴結轉移率極低,而CTR>0.5或最大徑>1 cm的mGGN淋巴結轉移率也明顯低于實性結節[23, 58, 60-61, 89]。從病理角度,AIS和MIA階段沒有淋巴結轉移,即便是IAC,如果CTR≤0.5也極少有淋巴結轉移[90]。另外,GGN型肺癌未見遠處轉移的報道,不少專家提出GGN型肺癌無需行頭顱磁共振成像(MRI)、骨掃描、支氣管鏡等檢查評估[17, 41, 91-93]。綜上,絕大多數GGN型肺癌屬于無轉移的、可經局部治療治愈的局部病變,提示局部消融治療有根治該類疾病的可能性[94]。
那么,消融治療GGN病灶能否達到根治呢?消融治療在早期肺癌中的成功應用,也促進了它在這一特殊類型早期肺癌中的探索。GGN型肺癌屬于3 cm以內早期肺癌或原位癌,理論上看可根治實性早期肺癌的消融技術也完全有可能根治GGN型肺癌。盡管目前消融技術根治GGN的報道并不多,但均取得了令人滿意的結果。Kodama等[95] 的回顧性研究發現,接受RFA治療的42例GGN型肺癌患者中位隨訪時間42個月,5年總生存率和腫瘤特異性生存率分別為96.4%和100%。Iguchi等[96]納入16例GGN型肺癌患者進行RFA治療,中位隨訪時間61.5個月,3年的病灶控制率達92.3%,且未發現嚴重并發癥。我國的一項回顧性研究[97]也觀察到了RFA治療GGN型肺癌的近期療效,半年的病灶控制率100%。2018年一項回顧性多中心研究[98]納入了51例接受MWA治療的GGN型肺腺癌患者,技術成功率100%,3年無局部進展生存率為98%,3年腫瘤特異性生存率為96%,并發癥均在可控范圍。2020年也有一項回顧性研究[99]報道了MWA在多發GGN中的應用,技術成功率100%,中位隨訪18個月未發現腫瘤復發,但該研究隨訪時間較短。2015年Kim等[100]報道了1例AHC治療5 mm pGGN的成功病例。2019年一項小樣本回顧性研究[101]納入14例接受AHC治療的GGN型肺癌,結果顯示隨訪2年未見復發且無嚴重并發癥。
以上研究結果為消融治療GGN提供了初步的循證醫學證據,提示通過消融技術介入根治GGN型肺癌是可行的,且操作安全。需要指出的是,這些臨床研究的隨訪時間相對較短,病例數較少,尚缺乏大樣本、前瞻性臨床研究的數據。相信未來會有更多大樣本、多中心、前瞻性、長隨訪的研究,以提供高級別循證醫學證據。而且,雖然消融治療有根治大部分GGN型肺癌的可能,但其無法進行淋巴結清掃或治療,所以并不意味著消融治療可以替代外科手術。本中心也對一些符合條件的GGN型肺癌病例進行了經皮消融治療,積累了一定的經驗,在臨床中驗證了GGN介入根治的可行性,典型病例見圖2~4。

女,62歲,右肺下葉GGN隨訪中增大,經皮穿刺活檢確診腺癌,拒絕外科手術;a:治療前右肺下葉2.5 cm的mGGN;b:經皮微波消融(功率40 W、時間8 min);c:消融后暈影明顯大于病灶;d:微波消融治療3個月后影像表現;e:微波消融治療16個月后病灶明顯縮小;f:微波消融治療30個月后病灶僅殘留纖維條索影

男,78歲,右肺下葉GGN經皮穿刺活檢確診腺癌,腎功能不全不宜外科手術;a:治療前右肺下葉1.0 cm的mGGN;b:單極射頻消融治療GGN;c:射頻消融治療1個月后影像表現;d:射頻消融治療35個月后病灶僅殘留纖維條索影

女,31歲,兩肺多發GGN,右肺上葉mGGN經支氣管鏡活檢確診為腺癌,拒絕手術;a:治療前右肺上葉1.6 cm的mGGN;b:氬氦刀冷凍消融治療;c:冷凍治療10 d后影像表現;d:氬氦刀術后18個月病灶吸收僅殘留少許纖維條索影
3.3 磨玻璃結節消融治療的臨床實踐
作為外科手術的有力補充,消融技術介入根治的臨床應用適應證有哪些?目前尚未發布針對GGN介入根治的臨床指南,僅有國內今年發布的專家共識[41]。該共識提出的GGN消融治療適應證可供臨床應用時參考,包括:(1)病理證實為AAH、AIS、MIA、IAC(排除遠處轉移)的周圍型GGN,且存在因心肺功能差或高齡等因素無法耐受手術、術后出現新病灶無法耐受再次手術、拒絕手術、多發GGN、重度焦慮等。(2)拒絕活檢及手術的患者如有影像學惡性征象或極度焦慮,在多學科會診的基礎上與患者共同決策確定是否“可不取病理直接消融或消融與活檢同步進行。”總之,鑒于目前尚缺乏高級別循證醫學證據及權威指南的推薦,消融治療應嚴格掌握適應證,只針對不能耐受或不愿意外科手術的患者,作為外科手術的補充。
我們結合10余年來經皮介入消融的經驗,提出以下補充建議:(1)GGN的非手術活檢不能準確判斷腫瘤的浸潤程度,活檢的病理分型只能作參考,但一般不會影響適應證的選擇。(2)無病理確診GGN的消融治療適應證除了拒絕活檢及手術外,還應包括經評估非手術活檢難以取到合格標本或出血風險大的患者,如1 cm以內的pGGN、中間有大血管的GGN等。(3)選擇消融治療時必須先評估病灶所在位置對消融療效的影響,為確保根治,病灶必須位于治療針易于到達且周圍無心臟、大血管的部位。(4)不能耐受手術主要包括高齡或有嚴重并存病、多發結節、近肺門區結節等,注意不宜手術是相對的,外科、內科、介入科醫生的看法可能存在較大的差異;不愿意手術必須以經充分說明后患者及家屬仍簽字拒絕手術為準。(5)對病理未確診的GGN,考慮到pGGN活檢的病理結果準確性較差且活檢后出血較明顯,宜不取病理直接消融;消融同步活檢主要應用于病理未確診的mGGN,活檢可在消融前、消融中或消融后進行。對血管豐富的病灶,建議采用熱消融如微波或射頻,且消融中進行活檢為佳,有助于減少活檢后出血且不影響活檢的病理結果;不建議在消融后活檢,因有學者[50]提出熱消融造成的組織碳化可能會影響活檢的病理檢查結果。消融后活檢主要應用于冷凍消融時,因冷凍不會影響活檢標本的病理結果。
與外科手術一樣,確定消融治療的時機需要充分考慮GGN生長規律及侵襲性。GGN型肺癌呈惰性生長,治療時間窗很寬,為避免過度治療,必須是經過一段時間的隨訪后高度懷疑為浸潤性病變,或隨訪中病灶增大或實性成分增多時才考慮消融介入根治。另外,對十分焦慮的患者在考慮消融治療時可積極些,對預計生存期有限的高齡或有嚴重并存病患者,必須在充分衡量得失后確定是否消融。消融介入治療能否達到根治,也與操作者的操作技術及臨床經驗密切相關。建議MWA、RFA采取低功率、較長時間的治療策略,確保消融后磨玻璃影大于病灶10 mm以上;氬氦刀冷凍治療盡量采用多針適型,分2~3個循環、冷凍總時間不短于30 min,確保冷凍消融治療中病灶位于–40℃范圍內。
相較于外科手術,經皮消融介入根治GGN具有操作快速、創傷小、安全性高、費用低,對肺組織損傷輕、可多次操作,對無病理診斷者可同步活檢等優點。但也存在對操作技術要求高、消融治療參數個體差異大、質量控制要求高、較難同質化、不能百分之百確保根治等缺點。目前經皮消融根治GGN是可行的,臨床主要用于不宜或不愿手術的GGN型早期肺腺癌或病理未確診但高危的GGN。鑒于pGGN及絕大多數mGGN屬于沒有轉移的局部疾病,未來經皮消融治療有望成為這類患者除了外科手術以外的主要治療手段,根據病灶特點、病灶部位及患者情況等個體化選擇治療方法。
此外,氣道內超聲及電磁、虛擬導航技術的快速發展使經支氣管消融治療GGN成為可能。近年來,導航技術及超聲引導下插入RFA、MWA軟性探頭消融治療惡性肺結節已在不斷探索中,帶有水微循環的經支氣管鏡軟性消融探頭也已研發成功,拓展了消融治療范圍。目前為數不多的單中心小樣本的研究[102-104]也初步證實了支氣管鏡下消融療效確切。但該技術仍存在許多問題:(1)消融探頭難以經病灶中間到達病灶遠端,消融范圍難以確保超過病灶邊緣10 mm以上。(2)探頭只能經支氣管到達病灶,只能應用于消融探頭能夠到達的與支氣管相通的病灶;支氣管鏡下經肺實質結節抵達術(BTPNA)可使消融電極不經支氣管到達病灶部位,但該技術存在操作難度大、創傷較大、費用高、費時長等缺點。(3)消融治療功率不穩定,且沒有標準的消融治療參數可供參考,影響了消融效果及該技術的普及。(4)設備昂貴、消融探頭沒有取得管理部門批準,目前只能臨床科研中應用。總之,作為肺結節消融治療的新技術,經支氣管消融技術目前可探索性的應用于治療肺功能差、經皮穿刺氣胸或出血風險大的惡性GGN或實性結節。隨著治療探頭更加精細、輸出功率更加穩定以及BTPNA的改進、應用經驗的累積,該技術將逐漸成熟,有望擴大適應證及提高根治的可能性。
利益沖突:無。
作者貢獻:柯明耀負責文章選題,設計文章框架,主導研究實施;陳智德、曾俊莉負責文獻收集及數據分析;雍雅智、林連城負責設計、編輯圖表;全體作者參與文章撰寫和文章審閱。