引用本文: 高雪涵, 陳野野, 張家齊, 李單青. 18例原發性縱隔卵黃囊瘤的臨床診治及預后特點. 中國胸心血管外科臨床雜志, 2023, 30(9): 1280-1289. doi: 10.7507/1007-4848.202107089 復制
卵黃囊瘤(yolk sac tumor,YST)又被稱為內胚竇瘤,是一種罕見的來源于原始生殖細胞的高度惡性腫瘤,常發生于睪丸和卵巢,在性腺外以原發性縱隔卵黃囊瘤(primary mediastinal yolk sac tumor,PMYST)最為常見[1]。該病主要見于青年男性,以血清甲胎蛋白(alpha fetoprotein,AFP)濃度升高為特點。
PMYST數量罕見,僅占原發性縱隔腫瘤的1%。目前國內外對PMYST疾病的研究較少,文獻以個案報道為主。本研究對PMYST患者的臨床病理特征及生存情況進行回顧性分析,旨在加深對該疾病認識,為臨床診療提供新依據。
1 資料與方法
1.1 納入和排除標準
回顧性分析2000年9月—2020年9月北京協和醫院胸外科收治的PMYST患者的臨床資料。納入標準:(1)術前經胸部計算機斷層掃描(computed tomography,CT)或磁共振成像(magnetic resonance imaging,MRI)檢查證實病變位于縱隔內;(2)經手術或活檢病理診斷為縱隔YST 或內胚竇瘤。排除標準:無法獲得完整臨床資料或隨訪信息。
1.2 研究方法
采集患者病歷資料,主要包括性別、年齡、病史、癥狀及體征、輔助檢查結果、化療方案、手術方式、圍手術期并發癥、病理結果和預后情況等。組織病理學檢查均由兩位病理科專家獨立確診,行光鏡檢查及免疫組織化學(免疫組化)染色,包括AFP、多細胞角蛋白1/3(AE1/AE3)和人絨毛膜促性腺激素(β-human chorion gonadotropin,β-HCG)等。目前對于PMYST沒有公認的分期系統,結合手術記錄及病理情況,我們借鑒胸腺瘤的Masaoka-Koga臨床病理分期[2]:Ⅰ期,腫瘤包膜完整,并且鏡下無包膜浸潤;Ⅱa期,鏡下腫瘤浸透包膜;Ⅱb期,肉眼可見腫瘤侵犯正常胸腺或周圍脂肪組織;Ⅲ期,腫瘤侵犯鄰近器官(如心包、肺、大血管);Ⅳa期,胸膜或心包轉移;Ⅳb期,淋巴系統或血液系統轉移。
1.3 治療方式
治療方案為多模式治療,包括化療、手術、放療、靶向治療以及聯合治療。化療藥物包括順鉑、依托泊苷、博來霉素、長春新堿、異環磷酰胺等,常見方案有PEB方案(順鉑+依托泊苷+博來霉素)及VIP方案(長春地辛+異環磷酰胺+順鉑),具體化療方案根據病理及病情發展進行調整。手術入路根據腫瘤位置及侵及范圍進行選擇,包括正中開胸、左側開胸、半河蚌切口;對腫瘤侵及周圍組織的患者應行擴大切除,包括聯合部分心包、無名靜脈或肺組織切除。
1.4 統計學分析
數據采用SPSS 21.0統計軟件進行處理。正態分布的計量資料用均數±標準差(±s)描述,非正態分布的計量資料用中位數(上下四分位數)[M(P25,P75)]描述。計數資料采用例數和百分比(%)描述。采用單變量Cox比例風險模型評價危險因素。采用Kaplan-Meier法和log-rank檢驗分析生存率。P≤0.05表示差異有統計學意義。
1.5 倫理審查
本研究通過北京協和醫院倫理審查委員會審核批準,倫理審查編號:S-K1746。
2 結果
2.1 患者一般資料
共納入18例患者,其中男17例、女1例,中位年齡22.0(16.6,26.2)歲;見表1。疾病發現至確診中位時間為15.0 d(2 d~3個月)。4例患者有吸煙史,4例有飲酒史,1例有明確腫瘤家族史,1例伴有血液系統疾病。

18例患者中,16例患者就診時出現癥狀,其中7例主訴咳嗽、6例主訴胸痛、5例主訴胸悶、4例伴有發熱、1例伴有呼吸困難、1例伴有上腔靜脈綜合征,包括面部浮腫、頸部腫脹、暈厥。術前檢查中,16例患者行胸部CT首次發現病灶,1例行X線發現病灶,1例行心臟超聲偶然發現病灶。11例患者術前行穿刺病理檢查,其中確診9例、疑診1例、診斷炎癥1例。患者AFP升高(556 ng/mL~>60 500 ng/mL);少數(5/18,27.8%)患者β-HCG升高,均為合并其他非精原細胞瘤患者(畸胎瘤4例、胚胎性癌1例);見表2。

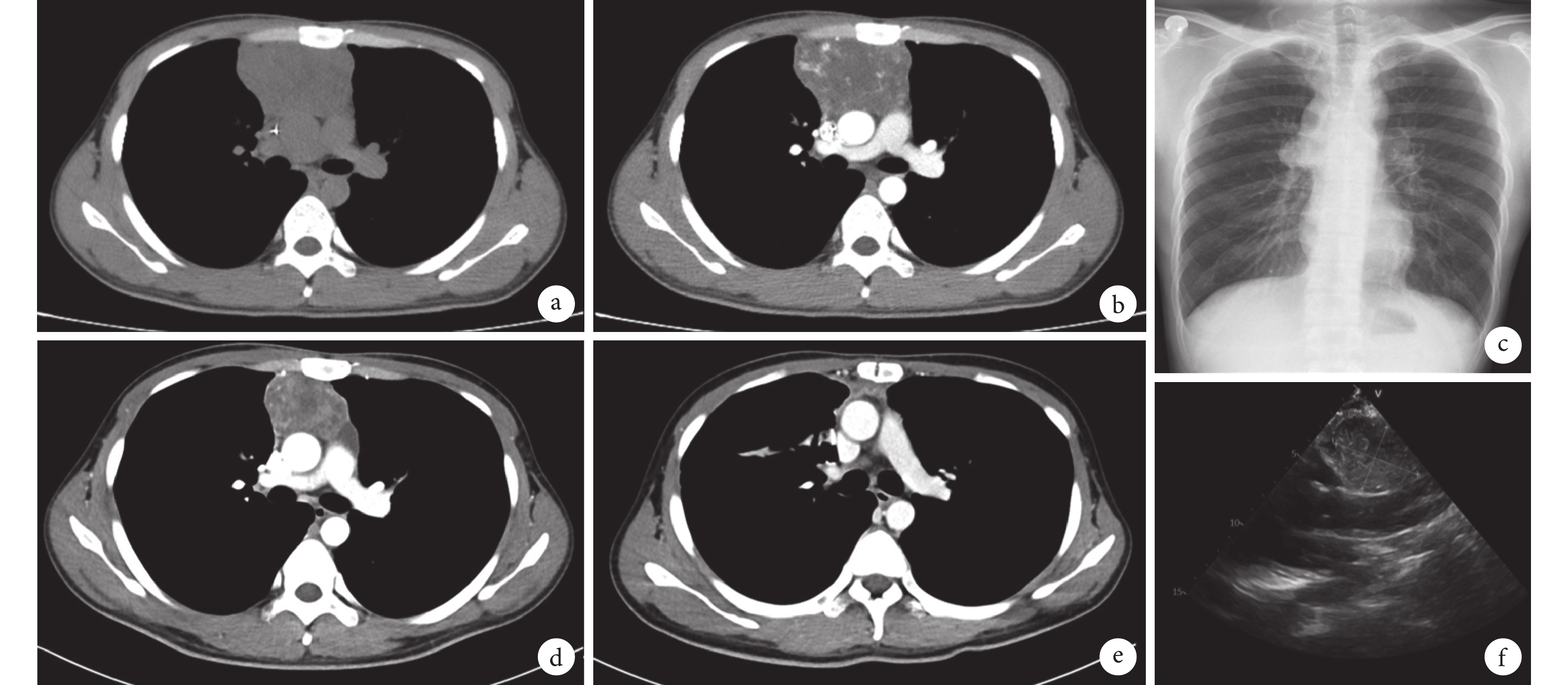
所有患者腫瘤均為單發,中位腫瘤直徑10.5(4.0,30.0)cm。17例位于前縱隔,其中5例累及中縱隔或全縱隔;1例位于后縱隔。CT影像表現:縱隔腫物,邊界清晰或欠清晰,常與周圍組織關系緊密;增強CT可見內部不均勻強化,與周圍血管界限欠清晰,大者可伴有鈣化灶或無強化囊性壞死區;腫物可侵入鄰近肺組織(10/18,55.6%)、心包(3/18,16.7%),甚至壓迫周圍靜脈(3/18,16.7%)及單/雙側支氣管(3/18,16.7%);少數病例可出現胸腔積液(1/18,5.6%);見圖1。

a:胸部平掃CT可見前縱隔軟組織占位,形態不規則,CT值10~37.9 HU,大小約7.9 cm×4.6 cm;b:胸部增強CT 可見前縱隔腫物不均勻強化,邊緣少許囊性成分,后緣與大血管緊貼;c:胸部X 線片可見右肺門軟組織影;d:化療后胸部CT 可見前縱隔軟組織占位較治療前明顯縮小,大小約5.0 cm×3.9 cm;e:術后胸部CT 可見原前上縱隔腫物已切除;f:心臟超聲圖像可見右心房外回聲不規則占位,大小約4.9 cm×3.7 cm
17例手術標本均送石蠟病理,6例術中送冰凍病理。術中冰凍結果僅1例診斷YST,1例不除外生殖細胞腫瘤(germ cell tumors,GCTs),余4例回報不除外畸胎瘤或其他惡性腫瘤。石蠟病理提示單一YST 4例(包括1例未手術患者,穿刺病理為單一YST),混合性GCTs 13例,其中合并成熟畸胎瘤或胚胎性癌各5例、合并未成熟畸胎瘤3例、合并精原細胞瘤2例、合并其他惡性腫瘤3例。鏡下YST腫瘤細胞多表現為圓形或卵圓形,細胞核有異型,核仁明顯,腫瘤細胞排列呈微囊型、疏松網狀型、乳頭型及片狀,伴灶狀出血、壞死;見圖2。

a:單一卵黃囊瘤;b:混合性生殖細胞瘤含卵黃囊瘤成分
根據Masaoka-Koga分期,Ⅱ期3例、Ⅲ期13例、Ⅳa期2例。
2.2 手術資料
17例行手術治療,9例行放療,9 例使用術前新輔助化療,13 例使用術后輔助化療,1 例聯合靶向治療;1 例患者確診后出院,未行手術,于當地單獨行放療。16 例(94.1%)手術患者行化療,12 例患者行擴大切除,2 例患者行二次手術。術后6例出現AFP下降,其中3例完全恢復正常。
17例手術患者,均為開胸手術,手術失血量700~10 000 mL,輸血量:0~400 mL血漿,0~8 U紅細胞。術式選擇上,腫物位于左側縱隔或侵及左側肺組織時多行左側開胸(3/18,16.7%),腫物位于前上或前中縱隔時多行正中開胸(4/18,22.2%),腫物侵及心包、肺門血管或膈肌時可行半河蚌切口(1/18,5.6%),2例為胸腔鏡探查后中轉開胸。術中可見部分患者腫瘤侵入鄰近臟器或包繞大血管,包括侵入肺實質(10/18,55.6%)、心包(6/18,33.3%)、腔靜脈或無名靜脈(3/18,16.7%)、膈肌(2/18,11.1%)、膈神經(2/18,11.1%)、乳內動脈及胸壁(各1/18,5.6%),與術前影像學檢查結果基本吻合。17例手術患者中,聯合部分心包切除6例,部分肺組織切除10例,血管切除或重建1例;切緣R0切除12例,R1切除3例,R2切除2例;R1及R2切除主因腫瘤侵犯心包、腔靜脈、膈肌或胸壁,未能完全切除,術后均聯合放化療或者行二次手術治療。2例二次手術患者,1例為外院行前縱隔腫物切除術,我院病理會診為混合性GCTs(YST+胚胎性癌),行9程PEB方案化療后出現腫瘤復發,瘤體侵及心包,同時合并肺轉移,于我院行二次手術切除復發縱隔腫瘤、部分心包及肺轉移灶,術后行3程EMA-CO方案(依托泊苷+更生霉素+甲氨喋呤+醛氫葉酸+長春新堿+環磷酰胺)化療再次出現肺轉移,患者未行治療,于術后16個月死亡;另1例為外院行縱隔腫物切除術,我院病理會診為混合性GCTs(YST+畸胎瘤),行聯合放化療,1年后出現腫瘤復發,于我院行右下縱隔腫瘤切除術,術中見瘤體侵犯下肺基底緣及膈肌,包繞下腔靜脈并壓迫食管下段,術后使用EMA-CO方案化療,1程后治療無效死亡。
2.3 免疫組化結果
免疫組化染色結果顯示:94.1%(16/17)患者AFP表達陽性,僅1例混合性GCTs(20%YST+80%成熟性畸胎瘤)為AFP陰性;全部受檢患者(9/9,100.0%)AE1/AE3表達陽性;部分(5/11,45.5%)胎盤堿性磷酸酶(PLAP)和白細胞分化抗原(CD)117(3/4,75.0%)表達陽性,而CD30(1/8,12.5%)和β-HCG(1/8,12.5%)幾乎為陰性;增殖細胞核抗原(Ki-67)均>30%;見表3。

2.4 隨訪結果
所有患者均通過電話或門診方式隨訪。末次隨訪日期為2020年11月7日,平均隨訪時間為32.2個月。術后患者均順利出院,3個月生存率為100.0%(16/16),1年、3年、5年生存率分別為73.3%(11/15)、28.6%(4/14)、11.8%(2/14);中位生存期為16.8個月。單因素分析顯示,患者1年生存率與發病年齡、腫瘤大小、病理類型、切除范圍、切緣、放療及病理分期等因素差異無統計學意義;見表4。8例患者有明確事件記錄,中位無進展生存期(disease-free survival,DFS)為14.9個月。截至隨訪末期死亡9例,其中7例為出現腫瘤轉移;1例出現腫瘤復發;1例未手術僅行化療,17個月后疾病進展死亡;5例仍生存;4例失訪(1例隨訪1年后失訪,3例出院后失訪);見圖3。


3 討論
YST是一種罕見的高度惡性GCTs,1959年由Teilum[3]首次進行報道,因其與大鼠卵巢囊內胚竇的結構相似,最初被稱為內胚竇瘤,后證實是一種向胚外卵黃囊結構方向分化的GCT而更名為YST[4]。GCTs多發生于性腺,如男性睪丸或女性卵巢,約2%~5%的GCTs發生于性腺外,最常見的性腺外原發部位是縱隔(50%~70%),其次可見于腹膜后、中樞神經系統、骶尾部、肝臟等[5-6]。YST屬于非精原細胞性GCTs的一種,約占GCTs的11%~18%[1],原發于縱隔的YST更為罕見,僅占原發性縱隔腫瘤的不足1%。本院近20年共接診惡性原發性縱隔GCT患者58例,包括YST、精原細胞瘤、胚胎性癌、絨癌、未成熟性畸胎瘤等,其中18例為PMYST,占比約31.0%。
關于YST的發病機制不明確,目前有3種主流假說。第一種解釋源自未完全沿泌尿生殖嵴遷移到性腺嵴的原始生殖細胞[7],在發育過程中卵黃囊或泌尿生殖嵴內胚層起源的原始生殖細胞未能完全遷移到陰囊,并在性腺外(如縱隔、腹膜后)發生轉化,可能形成惡性GCTs[8];第二種解釋源自性腺GCTs的反向遷移或轉移;第三種解釋源自體細胞的異常分化。分子學研究證實成年YST患者常伴有12p染色體異常,12p染色體是GCTs的一種特異性遺傳標記物,存在于80%的GCTs患者中,12p染色體異常或缺乏提示腫瘤起源于生殖細胞[5, 9];兒童(<8歲)YST區別于成人YST,主要表現為1p、1q、3、6q、20q染色體異常,可能與兒童原發性縱隔GCTs與成人預后差異有關[10-11]。
PMYST多發生于男性,本研究與既往研究[12]結果相似;多數患者因腫物過大壓迫周圍器官,可出現胸悶、胸痛、咳嗽或上腔靜脈綜合征[13],同時伴或不伴有發熱、乏力等非特異性癥狀,僅有1例患者為體格檢查行心臟超聲時發現[14]。胸部CT是最常見的影像學檢查方式,可見巨大縱隔占位區,增強CT有助于明確腫物與鄰近大血管、心包、肺組織間的關系;少數情況下,X線、超聲等檢查也可發現縱隔區占位,值得引起臨床醫生的注意。AFP是診斷PMYST的特異性指標,本研究中94.1%的患者AFP陽性,由于AFP半衰期短,僅有4 d,故常作為監測治療反應的預后指標。本研究6例患者治療后AFP下降,3例恢復至正常。免疫組化檢查是診斷YST的重要方式[15],但AFP陰性時也不能排除YST可能。β-HCG水平多為正常;AE1/AE3幾乎全部表達陽性;PLAP、CD117有時可表達陽性;少數梭型細胞型YST可見Vimentin表達陽性。術前穿刺活檢是PMYST重要的診斷方式,本研究11例患者行術前穿刺,9例(90.9%)確診。有6例術中行冰凍病理,結果1例診斷YST,1例不除外GCT,診斷率僅16.7%,術中冰凍病理對YST的診斷效能較低,不能靠冰凍病理判斷疾病性質,仍需結合術前穿刺或術后病理及免疫組化結果。
YST治療方式多采用綜合治療,包括化療、手術治療及放療等。傳統上,使用含博萊霉素的化療方案是縱隔非精原細胞性GCTs患者的標準治療方案,目前PEB方案被認為是最佳方案[16-17]。然而,博萊霉素具有潛在肺毒性,如導致特異性肺炎和間質纖維化。據文獻[18-19]報道,使用博萊霉素引起的肺毒性發生率為3%~40%,與使用劑量有關,如果總劑量小于300~400 IU,引起明顯肺毒性癥狀可能性較低。也有研究[20]支持使用非博來霉素化療方案以減少肺部并發癥,如VIP方案,可獲得與標準PEB方案相當的生存率。經過化療后,如仍有殘余病灶,則推薦手術治療[8, 21]。對PMYST的手術標準目前沒有明確定義,應盡可能保證完整切除腫瘤,切緣無腫瘤浸潤。手術方式及切口要根據腫瘤大小、位置、與周圍組織關系和患者身體狀況進行選擇,包括正中開胸、左側開胸及半河蚌切口等方式。對于惡性腫瘤侵犯肺實質、胸壁、心包或膈肌的情況,需行擴大切除,如切除部分胸壁、心包、肺組織或膈肌;侵犯重要血管的患者可聯合血管重建;若因位置受限無法達到切緣陰性,可先行姑息性切除[21-23];老年人及身體情況差的患者可行局部切除;對于可切除的復發患者,可選擇二次手術切除復發病灶[24]。PMYST患者常規不需要清掃淋巴結,對于術前提示淋巴結陽性或術中發現淋巴結轉移的患者可行清掃。本研究17例手術患者淋巴結為陰性,1例患者術后3個月出現淋巴結轉移。針對傳統性腺YST,術后化療是必不可少的治療方式,PEB及EP(順鉑+依托泊苷)等化療方案使YST患者生存率明顯改善[25]。本研究17例手術患者中,16例行化療,其中13例聯合術后化療,化療方案包括PEB或PE方案8例、VIP或VP方案4例、其他方案1例,其中3例病情進展調整化療方案。靶向治療有望成為YST新的治療手段[26-27],在PMYST中應用較少,本研究中1例患者術后行靶向治療。
PMYST應與其他類型縱隔GCTs及腫瘤相鑒別,如(1)成熟畸胎瘤:瘤體呈良性生長表現,可伴油脂樣物或毛發咳出病史,影像學可見脂肪、皮脂腺組織或囊性成分,光鏡下見3個胚層來源的組織且形態成熟。(2)未成熟畸胎瘤:好發于性腺,也可見于縱隔,病理形態多樣,含有多種未成熟成分,包括神經外胚層組織、未成熟腺體、胎兒肺組織及未成熟軟骨等。(3)胚胎性癌:縱隔原發胚胎性癌較少見,光鏡下細胞具有多形性、胞質嗜雙色性,核分裂象較YST多,可見合體滋養巨細胞,免疫組化主要表達人類婆羅雙樹樣基因-4、CD30陽性[28]。(4)精原細胞瘤:約1/3的患者出現血清β-hCG升高,通常不產生AFP,診斷時常發生轉移,光鏡下瘤細胞較YST大,可見淋巴細胞浸潤,免疫組化CD117、PLAP呈陽性,AE1/AE3罕見陽性。
PMYST預后較差,Truong等[12]對51例PMYST病例進行分析,25%患者無病生存,6%患者帶瘤生存,69%患者死亡,其中4%死于治療后并發癥,65%死于疾病進展,中位生存期22個月。國內有學者[14]對7例PMYST進行回顧性分析,所有患者均行手術及化療,3例術后1年內出現肺轉移,其中2例死亡,4例未出現復發和轉移,中位生存期15.0個月。本研究中,18例PMST患者,17例行手術治療聯合化療,14例有長期隨訪,1年生存率73.3%,3年生存率28.6%,5年生存率為11.8%,中位生存期為16.8個月,DFS為14.9個月,與先前研究相符;所有患者中死亡9例,其中7例腫瘤轉移,1例腫瘤復發,1例未手術,僅行化療后疾病進展死亡。縱隔非精原細胞性 GCTs 的5年總體生存率為40%~45%[24, 29],與之相比,PMYST患者的5年生存率低于縱隔非精原細胞性 GCTs。縱隔非精原細胞性 GCTs 常合并血液系統疾病,Hartmann等[30]的研究中287例縱隔非精原細胞性 GCTs 患者中有17例(5.9%)出現血液學疾病,而另334例性腺外非精原細胞性 GCTs 患者中未發現血液學疾病。本研究1例患者伴有骨髓增生異常綜合征,余患者未見血液系統疾病。值得一提的是,在AFP恢復正常的患者中,2例目前仍存活,生存期均超過5年。
單因素分析顯示,患者1年生存率與發病年齡、腫瘤大小、病理類型、切除范圍、切緣、放療及病理分期等因素未見統計學差異,結果可能與樣本量局限及存在個體差異有關。對13例患者生存期統計描述可見,年輕(<23歲)患者遠期預后相對較好(平均總體生存期:62.0 個月 vs. 13.7 個月;3年生存率:50.0% vs. 0.0%);病理為單一YST患者生存率可能較混合性較好(1年生存率:80.0% vs. 62.5%;3年生存率:40.0% vs. 25.0%)。研究[31]中縱隔精原細胞瘤患者經化療后預后較好,5年生存率可超過90%,但本研究2例合并精原細胞的PMYST患者預后均短于中位生存期,含精原細胞成分的PMYST可能預后更差;手術區域和切緣對生存率影響未見差異,可能與患者術后行化療有關;聯合放療患者生存率未見提高,也有案例報道對YST應用放療,療效同樣不確切[32];Masaoka-Koga分期偏早可能是預后較好的指標(平均總生存期:47.9 個月 vs. 18.7 個月;3年生存率:36.4% vs. 0.0%),Masaoka-Koga分期Ⅱ期患者有1例生存期超過10年,目前仍存活;Ⅳa期患者均死亡,生存期為16~20個月。術后出現肺或胸膜轉移的患者生存期短于中位生存期。本研究中有2例患者生存期超過5年,共同特點有病理為YST合并胚胎性癌成分的混合性GCTs、術前AFP升高且經治療后AFP恢復正常水平、術后化療、全病程未出現腫瘤轉移或復發。
PMYST臨床罕見,本文總結了18例PMYST病例,對其臨床癥狀、治療方式、病理特點及預后情況進行分析,有助于對PMYST的認識。研究有其局限性,PMYST病例總體較少,尚不能完全明確影響預后的因素,病理類型多為混合性GCTs,混合腫瘤成分對疾病的表現及轉歸有影響。對于PMYST的預后因素仍需進行大規模多中心前瞻性研究以明確。
綜上所述,作為一種罕見疾病,PMYST多見于中青年男性,早期診斷困難,腫瘤較大時壓迫周圍器官產生癥狀,AFP升高是其典型特點,術前穿刺對疾病的診療有很大幫助,組織病理學及免疫組化仍是診斷的金標準。目前治療多采用化療聯合手術治療,部分患者術后能獲得長期生存。
利益沖突:無。
作者貢獻:高雪涵負責數據處理、文章撰寫、患者隨訪及文章修改;張家齊負責數據收集、患者隨訪及文章修改;陳野野、李單青負責文章選題、審核、修改及潤色。
卵黃囊瘤(yolk sac tumor,YST)又被稱為內胚竇瘤,是一種罕見的來源于原始生殖細胞的高度惡性腫瘤,常發生于睪丸和卵巢,在性腺外以原發性縱隔卵黃囊瘤(primary mediastinal yolk sac tumor,PMYST)最為常見[1]。該病主要見于青年男性,以血清甲胎蛋白(alpha fetoprotein,AFP)濃度升高為特點。
PMYST數量罕見,僅占原發性縱隔腫瘤的1%。目前國內外對PMYST疾病的研究較少,文獻以個案報道為主。本研究對PMYST患者的臨床病理特征及生存情況進行回顧性分析,旨在加深對該疾病認識,為臨床診療提供新依據。
1 資料與方法
1.1 納入和排除標準
回顧性分析2000年9月—2020年9月北京協和醫院胸外科收治的PMYST患者的臨床資料。納入標準:(1)術前經胸部計算機斷層掃描(computed tomography,CT)或磁共振成像(magnetic resonance imaging,MRI)檢查證實病變位于縱隔內;(2)經手術或活檢病理診斷為縱隔YST 或內胚竇瘤。排除標準:無法獲得完整臨床資料或隨訪信息。
1.2 研究方法
采集患者病歷資料,主要包括性別、年齡、病史、癥狀及體征、輔助檢查結果、化療方案、手術方式、圍手術期并發癥、病理結果和預后情況等。組織病理學檢查均由兩位病理科專家獨立確診,行光鏡檢查及免疫組織化學(免疫組化)染色,包括AFP、多細胞角蛋白1/3(AE1/AE3)和人絨毛膜促性腺激素(β-human chorion gonadotropin,β-HCG)等。目前對于PMYST沒有公認的分期系統,結合手術記錄及病理情況,我們借鑒胸腺瘤的Masaoka-Koga臨床病理分期[2]:Ⅰ期,腫瘤包膜完整,并且鏡下無包膜浸潤;Ⅱa期,鏡下腫瘤浸透包膜;Ⅱb期,肉眼可見腫瘤侵犯正常胸腺或周圍脂肪組織;Ⅲ期,腫瘤侵犯鄰近器官(如心包、肺、大血管);Ⅳa期,胸膜或心包轉移;Ⅳb期,淋巴系統或血液系統轉移。
1.3 治療方式
治療方案為多模式治療,包括化療、手術、放療、靶向治療以及聯合治療。化療藥物包括順鉑、依托泊苷、博來霉素、長春新堿、異環磷酰胺等,常見方案有PEB方案(順鉑+依托泊苷+博來霉素)及VIP方案(長春地辛+異環磷酰胺+順鉑),具體化療方案根據病理及病情發展進行調整。手術入路根據腫瘤位置及侵及范圍進行選擇,包括正中開胸、左側開胸、半河蚌切口;對腫瘤侵及周圍組織的患者應行擴大切除,包括聯合部分心包、無名靜脈或肺組織切除。
1.4 統計學分析
數據采用SPSS 21.0統計軟件進行處理。正態分布的計量資料用均數±標準差(±s)描述,非正態分布的計量資料用中位數(上下四分位數)[M(P25,P75)]描述。計數資料采用例數和百分比(%)描述。采用單變量Cox比例風險模型評價危險因素。采用Kaplan-Meier法和log-rank檢驗分析生存率。P≤0.05表示差異有統計學意義。
1.5 倫理審查
本研究通過北京協和醫院倫理審查委員會審核批準,倫理審查編號:S-K1746。
2 結果
2.1 患者一般資料
共納入18例患者,其中男17例、女1例,中位年齡22.0(16.6,26.2)歲;見表1。疾病發現至確診中位時間為15.0 d(2 d~3個月)。4例患者有吸煙史,4例有飲酒史,1例有明確腫瘤家族史,1例伴有血液系統疾病。

18例患者中,16例患者就診時出現癥狀,其中7例主訴咳嗽、6例主訴胸痛、5例主訴胸悶、4例伴有發熱、1例伴有呼吸困難、1例伴有上腔靜脈綜合征,包括面部浮腫、頸部腫脹、暈厥。術前檢查中,16例患者行胸部CT首次發現病灶,1例行X線發現病灶,1例行心臟超聲偶然發現病灶。11例患者術前行穿刺病理檢查,其中確診9例、疑診1例、診斷炎癥1例。患者AFP升高(556 ng/mL~>60 500 ng/mL);少數(5/18,27.8%)患者β-HCG升高,均為合并其他非精原細胞瘤患者(畸胎瘤4例、胚胎性癌1例);見表2。

所有患者腫瘤均為單發,中位腫瘤直徑10.5(4.0,30.0)cm。17例位于前縱隔,其中5例累及中縱隔或全縱隔;1例位于后縱隔。CT影像表現:縱隔腫物,邊界清晰或欠清晰,常與周圍組織關系緊密;增強CT可見內部不均勻強化,與周圍血管界限欠清晰,大者可伴有鈣化灶或無強化囊性壞死區;腫物可侵入鄰近肺組織(10/18,55.6%)、心包(3/18,16.7%),甚至壓迫周圍靜脈(3/18,16.7%)及單/雙側支氣管(3/18,16.7%);少數病例可出現胸腔積液(1/18,5.6%);見圖1。

a:胸部平掃CT可見前縱隔軟組織占位,形態不規則,CT值10~37.9 HU,大小約7.9 cm×4.6 cm;b:胸部增強CT 可見前縱隔腫物不均勻強化,邊緣少許囊性成分,后緣與大血管緊貼;c:胸部X 線片可見右肺門軟組織影;d:化療后胸部CT 可見前縱隔軟組織占位較治療前明顯縮小,大小約5.0 cm×3.9 cm;e:術后胸部CT 可見原前上縱隔腫物已切除;f:心臟超聲圖像可見右心房外回聲不規則占位,大小約4.9 cm×3.7 cm
17例手術標本均送石蠟病理,6例術中送冰凍病理。術中冰凍結果僅1例診斷YST,1例不除外生殖細胞腫瘤(germ cell tumors,GCTs),余4例回報不除外畸胎瘤或其他惡性腫瘤。石蠟病理提示單一YST 4例(包括1例未手術患者,穿刺病理為單一YST),混合性GCTs 13例,其中合并成熟畸胎瘤或胚胎性癌各5例、合并未成熟畸胎瘤3例、合并精原細胞瘤2例、合并其他惡性腫瘤3例。鏡下YST腫瘤細胞多表現為圓形或卵圓形,細胞核有異型,核仁明顯,腫瘤細胞排列呈微囊型、疏松網狀型、乳頭型及片狀,伴灶狀出血、壞死;見圖2。

a:單一卵黃囊瘤;b:混合性生殖細胞瘤含卵黃囊瘤成分
根據Masaoka-Koga分期,Ⅱ期3例、Ⅲ期13例、Ⅳa期2例。
2.2 手術資料
17例行手術治療,9例行放療,9 例使用術前新輔助化療,13 例使用術后輔助化療,1 例聯合靶向治療;1 例患者確診后出院,未行手術,于當地單獨行放療。16 例(94.1%)手術患者行化療,12 例患者行擴大切除,2 例患者行二次手術。術后6例出現AFP下降,其中3例完全恢復正常。
17例手術患者,均為開胸手術,手術失血量700~10 000 mL,輸血量:0~400 mL血漿,0~8 U紅細胞。術式選擇上,腫物位于左側縱隔或侵及左側肺組織時多行左側開胸(3/18,16.7%),腫物位于前上或前中縱隔時多行正中開胸(4/18,22.2%),腫物侵及心包、肺門血管或膈肌時可行半河蚌切口(1/18,5.6%),2例為胸腔鏡探查后中轉開胸。術中可見部分患者腫瘤侵入鄰近臟器或包繞大血管,包括侵入肺實質(10/18,55.6%)、心包(6/18,33.3%)、腔靜脈或無名靜脈(3/18,16.7%)、膈肌(2/18,11.1%)、膈神經(2/18,11.1%)、乳內動脈及胸壁(各1/18,5.6%),與術前影像學檢查結果基本吻合。17例手術患者中,聯合部分心包切除6例,部分肺組織切除10例,血管切除或重建1例;切緣R0切除12例,R1切除3例,R2切除2例;R1及R2切除主因腫瘤侵犯心包、腔靜脈、膈肌或胸壁,未能完全切除,術后均聯合放化療或者行二次手術治療。2例二次手術患者,1例為外院行前縱隔腫物切除術,我院病理會診為混合性GCTs(YST+胚胎性癌),行9程PEB方案化療后出現腫瘤復發,瘤體侵及心包,同時合并肺轉移,于我院行二次手術切除復發縱隔腫瘤、部分心包及肺轉移灶,術后行3程EMA-CO方案(依托泊苷+更生霉素+甲氨喋呤+醛氫葉酸+長春新堿+環磷酰胺)化療再次出現肺轉移,患者未行治療,于術后16個月死亡;另1例為外院行縱隔腫物切除術,我院病理會診為混合性GCTs(YST+畸胎瘤),行聯合放化療,1年后出現腫瘤復發,于我院行右下縱隔腫瘤切除術,術中見瘤體侵犯下肺基底緣及膈肌,包繞下腔靜脈并壓迫食管下段,術后使用EMA-CO方案化療,1程后治療無效死亡。
2.3 免疫組化結果
免疫組化染色結果顯示:94.1%(16/17)患者AFP表達陽性,僅1例混合性GCTs(20%YST+80%成熟性畸胎瘤)為AFP陰性;全部受檢患者(9/9,100.0%)AE1/AE3表達陽性;部分(5/11,45.5%)胎盤堿性磷酸酶(PLAP)和白細胞分化抗原(CD)117(3/4,75.0%)表達陽性,而CD30(1/8,12.5%)和β-HCG(1/8,12.5%)幾乎為陰性;增殖細胞核抗原(Ki-67)均>30%;見表3。

2.4 隨訪結果
所有患者均通過電話或門診方式隨訪。末次隨訪日期為2020年11月7日,平均隨訪時間為32.2個月。術后患者均順利出院,3個月生存率為100.0%(16/16),1年、3年、5年生存率分別為73.3%(11/15)、28.6%(4/14)、11.8%(2/14);中位生存期為16.8個月。單因素分析顯示,患者1年生存率與發病年齡、腫瘤大小、病理類型、切除范圍、切緣、放療及病理分期等因素差異無統計學意義;見表4。8例患者有明確事件記錄,中位無進展生存期(disease-free survival,DFS)為14.9個月。截至隨訪末期死亡9例,其中7例為出現腫瘤轉移;1例出現腫瘤復發;1例未手術僅行化療,17個月后疾病進展死亡;5例仍生存;4例失訪(1例隨訪1年后失訪,3例出院后失訪);見圖3。


3 討論
YST是一種罕見的高度惡性GCTs,1959年由Teilum[3]首次進行報道,因其與大鼠卵巢囊內胚竇的結構相似,最初被稱為內胚竇瘤,后證實是一種向胚外卵黃囊結構方向分化的GCT而更名為YST[4]。GCTs多發生于性腺,如男性睪丸或女性卵巢,約2%~5%的GCTs發生于性腺外,最常見的性腺外原發部位是縱隔(50%~70%),其次可見于腹膜后、中樞神經系統、骶尾部、肝臟等[5-6]。YST屬于非精原細胞性GCTs的一種,約占GCTs的11%~18%[1],原發于縱隔的YST更為罕見,僅占原發性縱隔腫瘤的不足1%。本院近20年共接診惡性原發性縱隔GCT患者58例,包括YST、精原細胞瘤、胚胎性癌、絨癌、未成熟性畸胎瘤等,其中18例為PMYST,占比約31.0%。
關于YST的發病機制不明確,目前有3種主流假說。第一種解釋源自未完全沿泌尿生殖嵴遷移到性腺嵴的原始生殖細胞[7],在發育過程中卵黃囊或泌尿生殖嵴內胚層起源的原始生殖細胞未能完全遷移到陰囊,并在性腺外(如縱隔、腹膜后)發生轉化,可能形成惡性GCTs[8];第二種解釋源自性腺GCTs的反向遷移或轉移;第三種解釋源自體細胞的異常分化。分子學研究證實成年YST患者常伴有12p染色體異常,12p染色體是GCTs的一種特異性遺傳標記物,存在于80%的GCTs患者中,12p染色體異常或缺乏提示腫瘤起源于生殖細胞[5, 9];兒童(<8歲)YST區別于成人YST,主要表現為1p、1q、3、6q、20q染色體異常,可能與兒童原發性縱隔GCTs與成人預后差異有關[10-11]。
PMYST多發生于男性,本研究與既往研究[12]結果相似;多數患者因腫物過大壓迫周圍器官,可出現胸悶、胸痛、咳嗽或上腔靜脈綜合征[13],同時伴或不伴有發熱、乏力等非特異性癥狀,僅有1例患者為體格檢查行心臟超聲時發現[14]。胸部CT是最常見的影像學檢查方式,可見巨大縱隔占位區,增強CT有助于明確腫物與鄰近大血管、心包、肺組織間的關系;少數情況下,X線、超聲等檢查也可發現縱隔區占位,值得引起臨床醫生的注意。AFP是診斷PMYST的特異性指標,本研究中94.1%的患者AFP陽性,由于AFP半衰期短,僅有4 d,故常作為監測治療反應的預后指標。本研究6例患者治療后AFP下降,3例恢復至正常。免疫組化檢查是診斷YST的重要方式[15],但AFP陰性時也不能排除YST可能。β-HCG水平多為正常;AE1/AE3幾乎全部表達陽性;PLAP、CD117有時可表達陽性;少數梭型細胞型YST可見Vimentin表達陽性。術前穿刺活檢是PMYST重要的診斷方式,本研究11例患者行術前穿刺,9例(90.9%)確診。有6例術中行冰凍病理,結果1例診斷YST,1例不除外GCT,診斷率僅16.7%,術中冰凍病理對YST的診斷效能較低,不能靠冰凍病理判斷疾病性質,仍需結合術前穿刺或術后病理及免疫組化結果。
YST治療方式多采用綜合治療,包括化療、手術治療及放療等。傳統上,使用含博萊霉素的化療方案是縱隔非精原細胞性GCTs患者的標準治療方案,目前PEB方案被認為是最佳方案[16-17]。然而,博萊霉素具有潛在肺毒性,如導致特異性肺炎和間質纖維化。據文獻[18-19]報道,使用博萊霉素引起的肺毒性發生率為3%~40%,與使用劑量有關,如果總劑量小于300~400 IU,引起明顯肺毒性癥狀可能性較低。也有研究[20]支持使用非博來霉素化療方案以減少肺部并發癥,如VIP方案,可獲得與標準PEB方案相當的生存率。經過化療后,如仍有殘余病灶,則推薦手術治療[8, 21]。對PMYST的手術標準目前沒有明確定義,應盡可能保證完整切除腫瘤,切緣無腫瘤浸潤。手術方式及切口要根據腫瘤大小、位置、與周圍組織關系和患者身體狀況進行選擇,包括正中開胸、左側開胸及半河蚌切口等方式。對于惡性腫瘤侵犯肺實質、胸壁、心包或膈肌的情況,需行擴大切除,如切除部分胸壁、心包、肺組織或膈肌;侵犯重要血管的患者可聯合血管重建;若因位置受限無法達到切緣陰性,可先行姑息性切除[21-23];老年人及身體情況差的患者可行局部切除;對于可切除的復發患者,可選擇二次手術切除復發病灶[24]。PMYST患者常規不需要清掃淋巴結,對于術前提示淋巴結陽性或術中發現淋巴結轉移的患者可行清掃。本研究17例手術患者淋巴結為陰性,1例患者術后3個月出現淋巴結轉移。針對傳統性腺YST,術后化療是必不可少的治療方式,PEB及EP(順鉑+依托泊苷)等化療方案使YST患者生存率明顯改善[25]。本研究17例手術患者中,16例行化療,其中13例聯合術后化療,化療方案包括PEB或PE方案8例、VIP或VP方案4例、其他方案1例,其中3例病情進展調整化療方案。靶向治療有望成為YST新的治療手段[26-27],在PMYST中應用較少,本研究中1例患者術后行靶向治療。
PMYST應與其他類型縱隔GCTs及腫瘤相鑒別,如(1)成熟畸胎瘤:瘤體呈良性生長表現,可伴油脂樣物或毛發咳出病史,影像學可見脂肪、皮脂腺組織或囊性成分,光鏡下見3個胚層來源的組織且形態成熟。(2)未成熟畸胎瘤:好發于性腺,也可見于縱隔,病理形態多樣,含有多種未成熟成分,包括神經外胚層組織、未成熟腺體、胎兒肺組織及未成熟軟骨等。(3)胚胎性癌:縱隔原發胚胎性癌較少見,光鏡下細胞具有多形性、胞質嗜雙色性,核分裂象較YST多,可見合體滋養巨細胞,免疫組化主要表達人類婆羅雙樹樣基因-4、CD30陽性[28]。(4)精原細胞瘤:約1/3的患者出現血清β-hCG升高,通常不產生AFP,診斷時常發生轉移,光鏡下瘤細胞較YST大,可見淋巴細胞浸潤,免疫組化CD117、PLAP呈陽性,AE1/AE3罕見陽性。
PMYST預后較差,Truong等[12]對51例PMYST病例進行分析,25%患者無病生存,6%患者帶瘤生存,69%患者死亡,其中4%死于治療后并發癥,65%死于疾病進展,中位生存期22個月。國內有學者[14]對7例PMYST進行回顧性分析,所有患者均行手術及化療,3例術后1年內出現肺轉移,其中2例死亡,4例未出現復發和轉移,中位生存期15.0個月。本研究中,18例PMST患者,17例行手術治療聯合化療,14例有長期隨訪,1年生存率73.3%,3年生存率28.6%,5年生存率為11.8%,中位生存期為16.8個月,DFS為14.9個月,與先前研究相符;所有患者中死亡9例,其中7例腫瘤轉移,1例腫瘤復發,1例未手術,僅行化療后疾病進展死亡。縱隔非精原細胞性 GCTs 的5年總體生存率為40%~45%[24, 29],與之相比,PMYST患者的5年生存率低于縱隔非精原細胞性 GCTs。縱隔非精原細胞性 GCTs 常合并血液系統疾病,Hartmann等[30]的研究中287例縱隔非精原細胞性 GCTs 患者中有17例(5.9%)出現血液學疾病,而另334例性腺外非精原細胞性 GCTs 患者中未發現血液學疾病。本研究1例患者伴有骨髓增生異常綜合征,余患者未見血液系統疾病。值得一提的是,在AFP恢復正常的患者中,2例目前仍存活,生存期均超過5年。
單因素分析顯示,患者1年生存率與發病年齡、腫瘤大小、病理類型、切除范圍、切緣、放療及病理分期等因素未見統計學差異,結果可能與樣本量局限及存在個體差異有關。對13例患者生存期統計描述可見,年輕(<23歲)患者遠期預后相對較好(平均總體生存期:62.0 個月 vs. 13.7 個月;3年生存率:50.0% vs. 0.0%);病理為單一YST患者生存率可能較混合性較好(1年生存率:80.0% vs. 62.5%;3年生存率:40.0% vs. 25.0%)。研究[31]中縱隔精原細胞瘤患者經化療后預后較好,5年生存率可超過90%,但本研究2例合并精原細胞的PMYST患者預后均短于中位生存期,含精原細胞成分的PMYST可能預后更差;手術區域和切緣對生存率影響未見差異,可能與患者術后行化療有關;聯合放療患者生存率未見提高,也有案例報道對YST應用放療,療效同樣不確切[32];Masaoka-Koga分期偏早可能是預后較好的指標(平均總生存期:47.9 個月 vs. 18.7 個月;3年生存率:36.4% vs. 0.0%),Masaoka-Koga分期Ⅱ期患者有1例生存期超過10年,目前仍存活;Ⅳa期患者均死亡,生存期為16~20個月。術后出現肺或胸膜轉移的患者生存期短于中位生存期。本研究中有2例患者生存期超過5年,共同特點有病理為YST合并胚胎性癌成分的混合性GCTs、術前AFP升高且經治療后AFP恢復正常水平、術后化療、全病程未出現腫瘤轉移或復發。
PMYST臨床罕見,本文總結了18例PMYST病例,對其臨床癥狀、治療方式、病理特點及預后情況進行分析,有助于對PMYST的認識。研究有其局限性,PMYST病例總體較少,尚不能完全明確影響預后的因素,病理類型多為混合性GCTs,混合腫瘤成分對疾病的表現及轉歸有影響。對于PMYST的預后因素仍需進行大規模多中心前瞻性研究以明確。
綜上所述,作為一種罕見疾病,PMYST多見于中青年男性,早期診斷困難,腫瘤較大時壓迫周圍器官產生癥狀,AFP升高是其典型特點,術前穿刺對疾病的診療有很大幫助,組織病理學及免疫組化仍是診斷的金標準。目前治療多采用化療聯合手術治療,部分患者術后能獲得長期生存。
利益沖突:無。
作者貢獻:高雪涵負責數據處理、文章撰寫、患者隨訪及文章修改;張家齊負責數據收集、患者隨訪及文章修改;陳野野、李單青負責文章選題、審核、修改及潤色。