本文報道了1例54歲無癥狀男性患者,因ⅡB期左肺鱗狀細胞癌接受胸腔鏡下左全肺切除術,術中意外發現完全左側心包缺損,回顧術前胸部CT,提示心臟異常向左延伸,但心包缺損并不明顯,未采取特殊干預。手術時間 204 min,術后第 9 d 康復出院。術后病理提示左肺中分化鱗狀細胞癌,支氣管旁淋巴結(3/5)見癌轉移,病理分期:T2N1M0,ⅡB 期。因患者原因術后未接受化學治療,術后 6 個月復查無復發征象。完全性心包缺損通常不會危及患者生命,對于無癥狀患者,全肺切除術是可行的。
引用本文: 段傳輝, 喻東亮, 熊劍文, 張文雄, 毛宇昂, 宋錢, 魏益平. 左上肺癌合并先天性完全左側心包缺損一例. 中國胸心血管外科臨床雜志, 2022, 29(2): 272-274. doi: 10.7507/1007-4848.202008024 復制
臨床資料 患者,男,54 歲,因“體檢發現左上肺腫物 10 余 d”入院,既往無高血壓及糖尿病病史,2013 年因外傷行腰椎手術,入院時患者一般情況良好。查體:血壓 103/69 mm Hg,聽診左肺呼吸音減弱,心臟無異常,腹軟,無壓痛及反跳痛。增強 CT 示:左上葉支氣管近肺門處可見分葉狀腫塊影,大小約 4.0 cm×2.5 cm。左肺上葉支氣管閉塞,左肺上葉肺動脈受壓、變細,左肺靜脈未見腫瘤累及。心臟向左移位,未見明顯心血管畸形。左側少量胸腔積液,胸腔積液檢查未見腫瘤轉移(圖 1)。電子支氣管鏡示:左上葉支氣管新生物堵塞管腔,并累及左主支氣管下段,黏膜活檢病理提示肺鱗狀細胞癌。血生化、心電圖、肺功能、血氣分析等術前檢查均無明顯異常,顱腦磁共振成像(magnetic resonance imaging,MRI)、全身骨顯像未見遠處轉移。術前臨床分期:T2N1M0,ⅡB 期。告知患者相關情況,建議其先行新輔助治療,患者及其家屬要求直接手術。完善術前準備后行胸腔鏡下左全肺切除術,進胸后探查見左側心包完全缺損(圖 2)。術中患者頻發低血壓和心律失常,向心臟表面噴灑利多卡因注射液,如果患者心率>120 次/min 或<60 次/min,或血壓低于 85/55 mm Hg 時,暫停手術,幾分鐘內心率或血壓可恢復正常。手術時間 204 min,術程順利,術后給予抗感染、祛痰等對癥治療,術后第 2 d 復查心肌酶譜:肌酸激酶 400.14 U/L,肌酸激酶同工酶、乳酸脫氫酶、谷草轉氨酶、α-羥丁酸脫氫酶等正常;心電圖:竇性心律不齊及順時針轉位。術后第 5 d 復查心臟彩色超聲:二尖瓣、三尖瓣、主動脈瓣微量反流。術后第 9 d 康復出院。術后病理提示左肺中分化鱗狀細胞癌,支氣管旁淋巴結(3/5)見癌轉移,病理分期:T2N1M0,ⅡB 期。因患者原因術后未接受化學治療,術后 6 個月復查無復發征象。

a:胸部 X 線片顯示左肺上葉腫塊影,左心室移位,脊柱鋼板內固定術后;b:左上葉支氣管近肺門處可見分葉狀腫塊影,大小約 4.0 cm×2.5 cm,邊界不清,密度不均,左側少量胸腔積液,胸腔積液檢查未見腫瘤轉移

a:術中發現完全左側心包缺損;b:胸腔下可觀察到左心室和心耳
討論 先天性心包缺損是一種罕見的先天性發育畸形,左側多見[1]。多數患者臨床癥狀不典型,當缺損較為嚴重,部分心臟經缺損區疝出心包腔外則可出現胸痛、胸悶、暈厥等癥狀,因此術前診斷較為困難,多依賴手術確診[2]。通常是在影像學檢查其它心肺疾病、心胸外科手術或尸檢時偶然發現。本例患者的心包缺損即是在術中被發現[3]。手術統計心包缺損發生率為 1/1 000~4/1 000,在 30% 的已知病例中,男女發病率為 3∶1[4]。心包缺損可通過患者癥狀、心電圖、胸部 X 線片、CT、MRI 等進行診斷,但其敏感性和特異性并不理想,心電圖表現為典型心動過緩和右束支傳導阻滯、心電軸右偏等。本例患者術前心電圖提示心率 60 次/min,合并竇性心律不齊及順時針轉位,并無以上典型表現[5-6]。胸部 X 線片通常顯示心影左移,右心邊界因與脊柱重疊而消失[7]。CT 上可表現為心包完全或部分缺失、心軸向左后移位、主肺動脈軸改變、左心耳或肺動脈段增大、主肺動脈間隙存在肺實質等。但也有部分心包缺損患者術前 CT 沒有異常表現[8]。本例患者術前 CT 僅表現為縱隔向左移位,心包無特征性表現。縱隔移位可能與其 2013 年的外傷史有關,患者當時接受了左側胸腔閉式引流并患有胸膜炎。帶 T1 加權形態學序列的門控心臟 MRI 有良好的軟組織對比度和分辨率,可描繪正常心包的細微低信號強度。若懷疑患者心包缺損,完善心臟 MRI 能進一步明確診斷。有學者[9]認為部分心包缺損患者可能會有心臟疝、心外膜冠狀動脈受壓而猝死的風險,一旦發現部分心包缺損,需擴大心包缺損或利用心包補片完全修補心包,而完全的心包缺損沒有致命的可能性,不需要干預。全肺切除術相對于其它術式風險更大且預后較差,但對于臨床上中央型肺癌或較大腫瘤能達到 R0 切除。患者術后患側胸膜腔壓力變小,縱隔向患側移位,對于合并心包缺損的全肺切除患者,劇烈咳嗽、劇烈活動、體位改變等因素都有可能引起雙側胸腔壓力失衡繼發心臟疝。部分學者認為全肺切除術后需放置胸腔引流管,通過長期夾閉定期開放來調節胸膜腔內壓,保持縱隔居中。也有研究[10]認為實施持續開放引流能減少術后并發癥,提高患者術后生活質量。本例患者左側腋中線第 8 肋間主動脈弓旁放置乳膠引流管 1 根至胸頂,術后予以夾閉,每天根據氣管縱隔位置決定是否開放排液排氣,7 d 后予以拔除,住院期間并未出現心律失常、循環不穩定等并發癥。
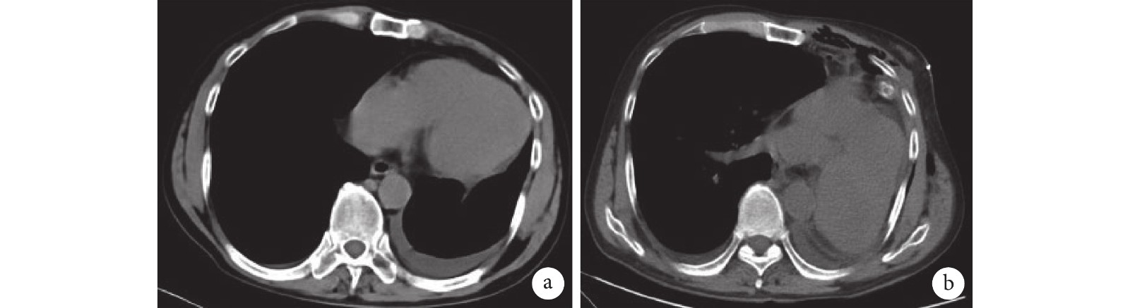
雖然本例患者術中頻繁出現心律失常和低血壓,但都能在向心臟表面噴灑利多卡因并暫停手術幾分鐘后恢復正常。盡管患者術后復查 CT 提示心臟向左側胸腔扭轉(圖 3),但術后 6 個月內無低血壓或心律失常等癥狀。手術過程順利,術中無組織臟器損傷,整體效果滿意,我們認為,對于無癥狀的完全左側心包缺損患者,全肺切除術是可行的。

a:術前 CT 顯示心臟異常向左延伸,但左側心包缺損并不明顯;b:術后復查 CT 顯示心臟繞腔靜脈順時針轉位
利益沖突:無。
作者貢獻:段傳輝負責論文撰寫;喻東亮負責論文設計與審閱;熊劍文、張文雄、毛宇昂、宋錢負責收集資料;魏益平負責完成手術及修改論文。
臨床資料 患者,男,54 歲,因“體檢發現左上肺腫物 10 余 d”入院,既往無高血壓及糖尿病病史,2013 年因外傷行腰椎手術,入院時患者一般情況良好。查體:血壓 103/69 mm Hg,聽診左肺呼吸音減弱,心臟無異常,腹軟,無壓痛及反跳痛。增強 CT 示:左上葉支氣管近肺門處可見分葉狀腫塊影,大小約 4.0 cm×2.5 cm。左肺上葉支氣管閉塞,左肺上葉肺動脈受壓、變細,左肺靜脈未見腫瘤累及。心臟向左移位,未見明顯心血管畸形。左側少量胸腔積液,胸腔積液檢查未見腫瘤轉移(圖 1)。電子支氣管鏡示:左上葉支氣管新生物堵塞管腔,并累及左主支氣管下段,黏膜活檢病理提示肺鱗狀細胞癌。血生化、心電圖、肺功能、血氣分析等術前檢查均無明顯異常,顱腦磁共振成像(magnetic resonance imaging,MRI)、全身骨顯像未見遠處轉移。術前臨床分期:T2N1M0,ⅡB 期。告知患者相關情況,建議其先行新輔助治療,患者及其家屬要求直接手術。完善術前準備后行胸腔鏡下左全肺切除術,進胸后探查見左側心包完全缺損(圖 2)。術中患者頻發低血壓和心律失常,向心臟表面噴灑利多卡因注射液,如果患者心率>120 次/min 或<60 次/min,或血壓低于 85/55 mm Hg 時,暫停手術,幾分鐘內心率或血壓可恢復正常。手術時間 204 min,術程順利,術后給予抗感染、祛痰等對癥治療,術后第 2 d 復查心肌酶譜:肌酸激酶 400.14 U/L,肌酸激酶同工酶、乳酸脫氫酶、谷草轉氨酶、α-羥丁酸脫氫酶等正常;心電圖:竇性心律不齊及順時針轉位。術后第 5 d 復查心臟彩色超聲:二尖瓣、三尖瓣、主動脈瓣微量反流。術后第 9 d 康復出院。術后病理提示左肺中分化鱗狀細胞癌,支氣管旁淋巴結(3/5)見癌轉移,病理分期:T2N1M0,ⅡB 期。因患者原因術后未接受化學治療,術后 6 個月復查無復發征象。

a:胸部 X 線片顯示左肺上葉腫塊影,左心室移位,脊柱鋼板內固定術后;b:左上葉支氣管近肺門處可見分葉狀腫塊影,大小約 4.0 cm×2.5 cm,邊界不清,密度不均,左側少量胸腔積液,胸腔積液檢查未見腫瘤轉移

a:術中發現完全左側心包缺損;b:胸腔下可觀察到左心室和心耳
討論 先天性心包缺損是一種罕見的先天性發育畸形,左側多見[1]。多數患者臨床癥狀不典型,當缺損較為嚴重,部分心臟經缺損區疝出心包腔外則可出現胸痛、胸悶、暈厥等癥狀,因此術前診斷較為困難,多依賴手術確診[2]。通常是在影像學檢查其它心肺疾病、心胸外科手術或尸檢時偶然發現。本例患者的心包缺損即是在術中被發現[3]。手術統計心包缺損發生率為 1/1 000~4/1 000,在 30% 的已知病例中,男女發病率為 3∶1[4]。心包缺損可通過患者癥狀、心電圖、胸部 X 線片、CT、MRI 等進行診斷,但其敏感性和特異性并不理想,心電圖表現為典型心動過緩和右束支傳導阻滯、心電軸右偏等。本例患者術前心電圖提示心率 60 次/min,合并竇性心律不齊及順時針轉位,并無以上典型表現[5-6]。胸部 X 線片通常顯示心影左移,右心邊界因與脊柱重疊而消失[7]。CT 上可表現為心包完全或部分缺失、心軸向左后移位、主肺動脈軸改變、左心耳或肺動脈段增大、主肺動脈間隙存在肺實質等。但也有部分心包缺損患者術前 CT 沒有異常表現[8]。本例患者術前 CT 僅表現為縱隔向左移位,心包無特征性表現。縱隔移位可能與其 2013 年的外傷史有關,患者當時接受了左側胸腔閉式引流并患有胸膜炎。帶 T1 加權形態學序列的門控心臟 MRI 有良好的軟組織對比度和分辨率,可描繪正常心包的細微低信號強度。若懷疑患者心包缺損,完善心臟 MRI 能進一步明確診斷。有學者[9]認為部分心包缺損患者可能會有心臟疝、心外膜冠狀動脈受壓而猝死的風險,一旦發現部分心包缺損,需擴大心包缺損或利用心包補片完全修補心包,而完全的心包缺損沒有致命的可能性,不需要干預。全肺切除術相對于其它術式風險更大且預后較差,但對于臨床上中央型肺癌或較大腫瘤能達到 R0 切除。患者術后患側胸膜腔壓力變小,縱隔向患側移位,對于合并心包缺損的全肺切除患者,劇烈咳嗽、劇烈活動、體位改變等因素都有可能引起雙側胸腔壓力失衡繼發心臟疝。部分學者認為全肺切除術后需放置胸腔引流管,通過長期夾閉定期開放來調節胸膜腔內壓,保持縱隔居中。也有研究[10]認為實施持續開放引流能減少術后并發癥,提高患者術后生活質量。本例患者左側腋中線第 8 肋間主動脈弓旁放置乳膠引流管 1 根至胸頂,術后予以夾閉,每天根據氣管縱隔位置決定是否開放排液排氣,7 d 后予以拔除,住院期間并未出現心律失常、循環不穩定等并發癥。
雖然本例患者術中頻繁出現心律失常和低血壓,但都能在向心臟表面噴灑利多卡因并暫停手術幾分鐘后恢復正常。盡管患者術后復查 CT 提示心臟向左側胸腔扭轉(圖 3),但術后 6 個月內無低血壓或心律失常等癥狀。手術過程順利,術中無組織臟器損傷,整體效果滿意,我們認為,對于無癥狀的完全左側心包缺損患者,全肺切除術是可行的。

a:術前 CT 顯示心臟異常向左延伸,但左側心包缺損并不明顯;b:術后復查 CT 顯示心臟繞腔靜脈順時針轉位
利益沖突:無。
作者貢獻:段傳輝負責論文撰寫;喻東亮負責論文設計與審閱;熊劍文、張文雄、毛宇昂、宋錢負責收集資料;魏益平負責完成手術及修改論文。