引用本文: 曹嶸, 陳鵬帆, 王越, 張煜宸, 易文琪, 何夢婷, 凌云飛, 安琪. 法洛四聯癥患者左-主肺動脈夾角特點及其與肺動脈發育的關系. 中國胸心血管外科臨床雜志, 2020, 27(1): 26-30. doi: 10.7507/1007-4848.201908045 復制
法洛四聯癥(tetralogy of Fallot,TOF)是最常見的紫紺型先天性心臟病,大量研究[1-2]證實 TOF 患者經過手術治療有較好的圍術期及遠期結局。正常人左肺動脈(left pulmonary artery,LPA)在結構上是主肺動脈(main pulmonary artery,MPA)的延續,TOF 患者右肺動脈(right pulmonary artery,RPA)異常發育,可能導致左-主肺動脈(LPA-MPA)夾角發生變化[3]。LPA 狹窄是 TOF 患者最常見的結構畸形,也是再手術的主要原因[4-5]。LPA 夾角矯正術,如銳角血管成形術,常作為外科手術的第一步來降低 LPA 狹窄的發生率和復發率[6-7]。但幾乎沒有研究探討過 LPA-MPA 夾角和 LPA 發育不全或狹窄的內在聯系。CT 血管造影(CTA)可提供詳細的先天性心臟病患者的心臟解剖學數據。本研究通過 CTA 影像資料探討 LPA-MPA 夾角與 LPA 發育不全或狹窄的關系。
1 資料與方法
1.1 臨床資料
本研究選擇 2014~2018 年我院收治的 TOF 患者共 101 例作為研究組,其中男 62 例、女 39 例,年齡 6.8(0.3~45.8)歲,體重 18.6(5.0~82.0)kg。研究組根據 LPA-MPA 角度將患者分為兩組:銳角組 20 例、鈍角組 81 例。納入標準:經超聲心動圖診斷為 TOF;完成 CTA 檢查。排除標準:做過姑息分流手術的 TOF 患者;術后殘余畸形。另選取同期非 TOF 患者 20 例作為對照組,其中男 10 例、女 10 例,年齡 6.9(0.3~54.0)歲,體重 17.7(5.0~66.0)kg。納入標準:無心臟基礎疾病,不合并肺動脈發育異常。所有患者在本科室接受外科手術矯正治療。6 例患者發生院內死亡,后續未觀測到死亡病例。所有患者數據來源于我院心臟大血管外科數據庫,直徑及角度數據通過 CTA 獲取。
1.2 影像學資料
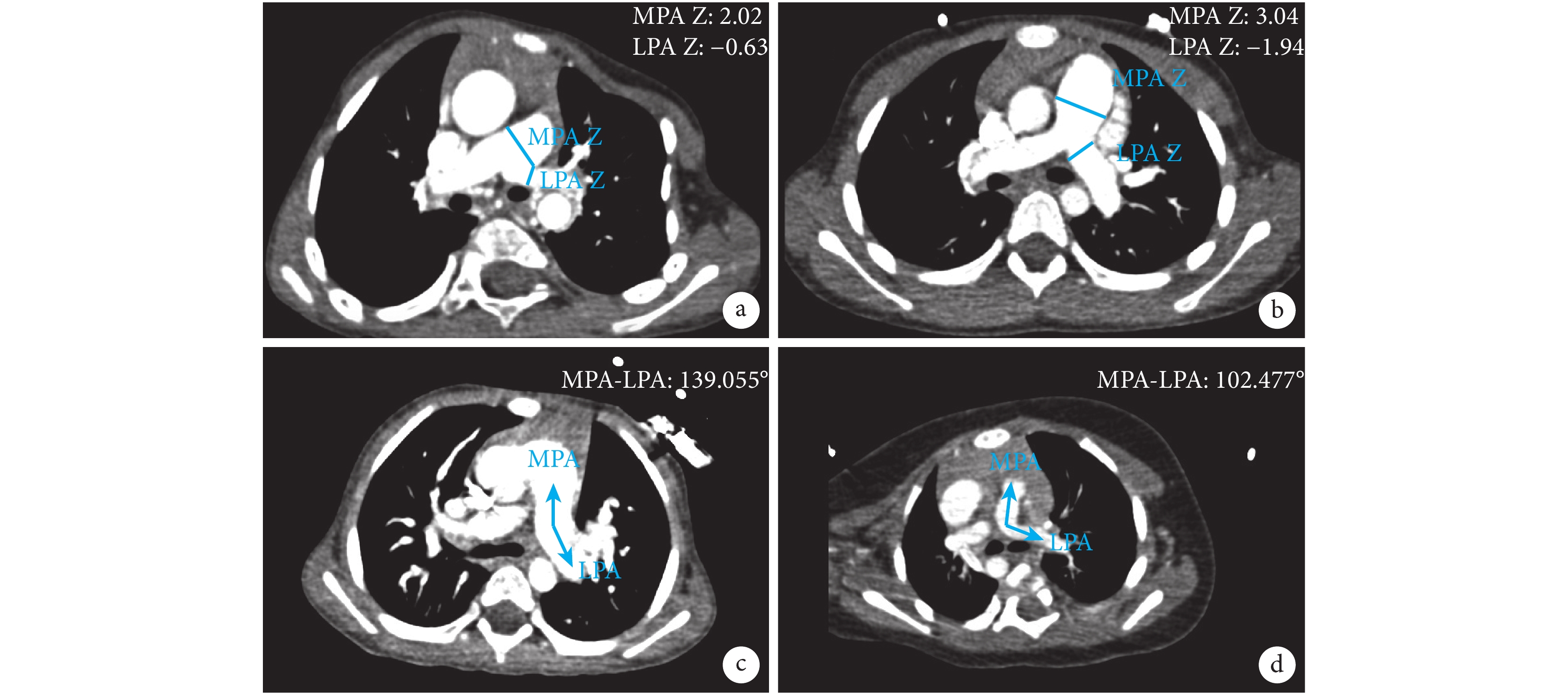
全組患者均完成 CTA 檢查。MPA 直徑在肺動脈主干處測得,LPA 直徑在主肺動脈第 1 分支節點處測得。采用 Nakata 指數和 McGoon 比值評估肺動脈發育情況,Nakata 指數為左、右肺動脈橫截面積之和與該患者體表面積的比值。McGoon 比值為左、右肺動脈在肺段動脈分支前的直徑之和與膈肌平面降主動脈直徑的比值[8-9]。LPA-MPA 夾角在 MPA 分支節點橫截面測得;見圖 1。

a:TOF 患者 MPA 與 LPA 直徑測量;b:對照組患者 MPA 與 LPA 直徑測量;c:對照組患者 MPA-LPA 夾角測量;d:TOF 患者 MPA-LPA 夾角測量;TOF:法洛四聯癥;MPA:主肺動脈;LPA:左肺動脈
1.3 統計學分析
采用 GraphPad Prism 8.0 軟件進行統計學分析,計數資料采用例數和百分比(%)表示,組間比較采用卡方檢驗;計量資料采用均數±標準差(±s)表示,組間術前各指標比較采用配對 t 檢驗。檢驗水準 α=0.05。
1.4 倫理審查
本研究經四川大學華西醫院倫理委員會批準,批準號:2019 年審(293)號。
2 結果
2.1 人口統計學資料分析
兩組患者性別、年齡、體重等一般資料差異均無統計學意義(P>0.05),具有可比性;見表 1。由于組內年齡、體重跨度較大,考慮到其對 MPA-LPA 夾角的影響,我們對 TOF 組 MPA-LPA 夾角及年齡、體重分別進行相關性分析,結果顯示 MPA-LPA 夾角與年齡(P=0.767 9)及體重(P=0.474 6)無關;見圖 2。本研究中與年齡、體重相關的指標,均由 Z 值計算,可消除組間差異。



a:TOF 組患者年齡與 MPA-LPA 夾角無關;b:TOF 組患者體重與 MPA-LPA 夾角無關;TOF:法洛四聯癥;MPA:主肺動脈;LPA:左肺動脈
2.2 患者 MPA-LPA、MPA-RPA 夾角及 MPA、LPA 直徑比較
TOF 組患者 MPA-LPA 夾角平均值為 113.63 度,小于對照組夾角 128.45 度,差異有統計學意義(P=0.001 8);TOF 組患者 MPA-RPA 夾角平均值為 140.27 度,大于對照組夾角 132.96 度,但差異沒有統計學意義(P=0.152 5)。TOF 組 MPA Z 值為 0.46,小于對照組 2.75,差異有統計學意義(P=0.000 4);TOF 組 LPA Z 值為 2.56,大于對照組 1.68,但差異沒有統計學意義(P=0.548 5);見表 2。


2.3 MPA-LPA 夾角與肺動脈直徑的關系
Z 值常用于評估肺動脈直徑。本研究結果顯示,對照組 MPA-LPA 夾角與 LPA 和 MPA Z 值均無相關性(P 值分別為 0.239 6、0.114 7);TOF 組 MPA-LPA 夾角與 LPA 和 MPA Z 值也無相關性(P 值分別為0.759 3、 0.242 7);見圖 3。

a:對照組 MPA-LPA 夾角與 LPA Z 值的相關性;b:對照組 MPA-LPA 夾角與 MPA Z 值的相關性;c:TOF 組 MPA-LPA 夾角與 LPA Z 值的相關性;d:TOF 組 MPA-LPA 夾角與 MPA Z 值的相關性;TOF:法洛四聯癥;MPA:主肺動脈;LPA:左肺動脈
2.4 TOF 組 MPA-LPA 夾角與肺動脈發育的關系
肺動脈發育通常選用 McGoon 比值和 Nakata 指數來評估。上海交通大學醫學院一項研究[10]表明正常肺動脈的 MPA-LPA 夾角呈鈍角,而 TOF 患者肺動脈的 MPA-LPA 夾角呈銳角。但我們發現 TOF 患者 MPA-LPA 夾角可為鈍角也可為銳角,可能因為本研究納入患者例數(101 例)較文獻報道(10 例)多。為探討 TOF 患者的肺動脈發育異常是否與 LPA-MPA 夾角大小有關,將 TOF 組患者分為 LPA-MPA 夾角銳角組和鈍角組,比較分析后發現,MPA-LPA 夾角與 McGoon 比值和 Nakata 指數無關;見表 3。


2.5 MPA-LPA夾角與跨瓣補片的關系
TOF 矯正手術過程中,會根據肺動脈發育情況選擇手術方式,如是否進行跨瓣補片,從而擴大 MPA-LPA 夾角角度。TOF 組按照手術類型及是否進行跨瓣補片分為兩組,卡方檢驗結果顯示 MPA-LPA 夾角與手術方式的選擇無關(P=0.160 0);見表 3。
3 討論
肺動脈狹窄是 TOF 固有的解剖學畸形,肺動脈夾角是其狹窄最常見的影響因素[11]。研究[12]表明當 MPA-LPA 夾角降至 90~100 度時,血流動力學明顯改變,導致內皮功能異常,在動脈分支起點處誘發內皮增生,從而發生管腔狹窄。有研究[13-14]也得出同樣結論:動脈分支處角度的突然改變和湍流的存在將導致內膜增生和局部狹窄,影響肺動脈發育。本研究中,我們也發現 TOF 組 MPA-LPA 夾角較對照組小,MPA 直徑也較對照組小,差異有統計學意義。但通過 MPA-LPA 夾角與肺動脈直徑的相關性分析,無論是 TOF 組還是對照組,均顯示夾角與肺動脈直徑無關。可能是本研究納入患者總體年齡偏大以及樣本量較小等因素對結果產生了一定的影響。
TOF 外科矯正術中會根據肺動脈發育情況選擇手術方式,通常若 MPA-LPA 夾角太小,術中會通過跨瓣補片,使 LPA 開口處角度增大,從而降低 TOF 患者 LPA 狹窄的發生率和再發率,否則影響預后。越來越多研究[15]發現跨瓣補片導致的肺動脈瓣反流對 TOF 手術預后有不利影響。因此,是否需要進行跨瓣補片糾正角度有待進一步探討。也有研究[12]指出因 MPA-LPA 夾角過小,血流動力學改變,造成肺動脈發育異常。本研究中 MPA-LPA 夾角與肺動脈直徑無相關性這一發現支持 MPA-LPA 夾角過小作為 TOF 患者矯正手術禁忌證之一不合適[16]的觀點。
本研究存在一定的局限性。第一,兩組患者例數都較少,且對照組納入患者例數與 TOF 組例數差距較大。我們共收集到 20 例無心臟基礎疾病的患者,雖然存在Ⅱ型錯誤風險,但 20 例患者 MPA-LPA 夾角均大于 TOF 組。第二,跨瓣補片后患者失訪率高,除跨瓣補片外,缺少其他關于可改善角度的血管成形術的探討。第三,該研究為回顧性研究。因此,下一階段我們將開展更大規模的隊列研究。
綜上所述,TOF 患者 MPA-LPA 夾角、MPA 直徑較非 TOF 患者小,夾角與肺動脈直徑、手術方式的選擇無關。所以,我們并不認同將 MPA-LPA 夾角過小作為 TOF 患者矯正手術的禁忌證,也不建議因 MPA-LPA 夾角過小而進行跨瓣補片。
利益沖突:無。
法洛四聯癥(tetralogy of Fallot,TOF)是最常見的紫紺型先天性心臟病,大量研究[1-2]證實 TOF 患者經過手術治療有較好的圍術期及遠期結局。正常人左肺動脈(left pulmonary artery,LPA)在結構上是主肺動脈(main pulmonary artery,MPA)的延續,TOF 患者右肺動脈(right pulmonary artery,RPA)異常發育,可能導致左-主肺動脈(LPA-MPA)夾角發生變化[3]。LPA 狹窄是 TOF 患者最常見的結構畸形,也是再手術的主要原因[4-5]。LPA 夾角矯正術,如銳角血管成形術,常作為外科手術的第一步來降低 LPA 狹窄的發生率和復發率[6-7]。但幾乎沒有研究探討過 LPA-MPA 夾角和 LPA 發育不全或狹窄的內在聯系。CT 血管造影(CTA)可提供詳細的先天性心臟病患者的心臟解剖學數據。本研究通過 CTA 影像資料探討 LPA-MPA 夾角與 LPA 發育不全或狹窄的關系。
1 資料與方法
1.1 臨床資料
本研究選擇 2014~2018 年我院收治的 TOF 患者共 101 例作為研究組,其中男 62 例、女 39 例,年齡 6.8(0.3~45.8)歲,體重 18.6(5.0~82.0)kg。研究組根據 LPA-MPA 角度將患者分為兩組:銳角組 20 例、鈍角組 81 例。納入標準:經超聲心動圖診斷為 TOF;完成 CTA 檢查。排除標準:做過姑息分流手術的 TOF 患者;術后殘余畸形。另選取同期非 TOF 患者 20 例作為對照組,其中男 10 例、女 10 例,年齡 6.9(0.3~54.0)歲,體重 17.7(5.0~66.0)kg。納入標準:無心臟基礎疾病,不合并肺動脈發育異常。所有患者在本科室接受外科手術矯正治療。6 例患者發生院內死亡,后續未觀測到死亡病例。所有患者數據來源于我院心臟大血管外科數據庫,直徑及角度數據通過 CTA 獲取。
1.2 影像學資料
全組患者均完成 CTA 檢查。MPA 直徑在肺動脈主干處測得,LPA 直徑在主肺動脈第 1 分支節點處測得。采用 Nakata 指數和 McGoon 比值評估肺動脈發育情況,Nakata 指數為左、右肺動脈橫截面積之和與該患者體表面積的比值。McGoon 比值為左、右肺動脈在肺段動脈分支前的直徑之和與膈肌平面降主動脈直徑的比值[8-9]。LPA-MPA 夾角在 MPA 分支節點橫截面測得;見圖 1。

a:TOF 患者 MPA 與 LPA 直徑測量;b:對照組患者 MPA 與 LPA 直徑測量;c:對照組患者 MPA-LPA 夾角測量;d:TOF 患者 MPA-LPA 夾角測量;TOF:法洛四聯癥;MPA:主肺動脈;LPA:左肺動脈
1.3 統計學分析
采用 GraphPad Prism 8.0 軟件進行統計學分析,計數資料采用例數和百分比(%)表示,組間比較采用卡方檢驗;計量資料采用均數±標準差(±s)表示,組間術前各指標比較采用配對 t 檢驗。檢驗水準 α=0.05。
1.4 倫理審查
本研究經四川大學華西醫院倫理委員會批準,批準號:2019 年審(293)號。
2 結果
2.1 人口統計學資料分析
兩組患者性別、年齡、體重等一般資料差異均無統計學意義(P>0.05),具有可比性;見表 1。由于組內年齡、體重跨度較大,考慮到其對 MPA-LPA 夾角的影響,我們對 TOF 組 MPA-LPA 夾角及年齡、體重分別進行相關性分析,結果顯示 MPA-LPA 夾角與年齡(P=0.767 9)及體重(P=0.474 6)無關;見圖 2。本研究中與年齡、體重相關的指標,均由 Z 值計算,可消除組間差異。



a:TOF 組患者年齡與 MPA-LPA 夾角無關;b:TOF 組患者體重與 MPA-LPA 夾角無關;TOF:法洛四聯癥;MPA:主肺動脈;LPA:左肺動脈
2.2 患者 MPA-LPA、MPA-RPA 夾角及 MPA、LPA 直徑比較
TOF 組患者 MPA-LPA 夾角平均值為 113.63 度,小于對照組夾角 128.45 度,差異有統計學意義(P=0.001 8);TOF 組患者 MPA-RPA 夾角平均值為 140.27 度,大于對照組夾角 132.96 度,但差異沒有統計學意義(P=0.152 5)。TOF 組 MPA Z 值為 0.46,小于對照組 2.75,差異有統計學意義(P=0.000 4);TOF 組 LPA Z 值為 2.56,大于對照組 1.68,但差異沒有統計學意義(P=0.548 5);見表 2。


2.3 MPA-LPA 夾角與肺動脈直徑的關系
Z 值常用于評估肺動脈直徑。本研究結果顯示,對照組 MPA-LPA 夾角與 LPA 和 MPA Z 值均無相關性(P 值分別為 0.239 6、0.114 7);TOF 組 MPA-LPA 夾角與 LPA 和 MPA Z 值也無相關性(P 值分別為0.759 3、 0.242 7);見圖 3。

a:對照組 MPA-LPA 夾角與 LPA Z 值的相關性;b:對照組 MPA-LPA 夾角與 MPA Z 值的相關性;c:TOF 組 MPA-LPA 夾角與 LPA Z 值的相關性;d:TOF 組 MPA-LPA 夾角與 MPA Z 值的相關性;TOF:法洛四聯癥;MPA:主肺動脈;LPA:左肺動脈
2.4 TOF 組 MPA-LPA 夾角與肺動脈發育的關系
肺動脈發育通常選用 McGoon 比值和 Nakata 指數來評估。上海交通大學醫學院一項研究[10]表明正常肺動脈的 MPA-LPA 夾角呈鈍角,而 TOF 患者肺動脈的 MPA-LPA 夾角呈銳角。但我們發現 TOF 患者 MPA-LPA 夾角可為鈍角也可為銳角,可能因為本研究納入患者例數(101 例)較文獻報道(10 例)多。為探討 TOF 患者的肺動脈發育異常是否與 LPA-MPA 夾角大小有關,將 TOF 組患者分為 LPA-MPA 夾角銳角組和鈍角組,比較分析后發現,MPA-LPA 夾角與 McGoon 比值和 Nakata 指數無關;見表 3。


2.5 MPA-LPA夾角與跨瓣補片的關系
TOF 矯正手術過程中,會根據肺動脈發育情況選擇手術方式,如是否進行跨瓣補片,從而擴大 MPA-LPA 夾角角度。TOF 組按照手術類型及是否進行跨瓣補片分為兩組,卡方檢驗結果顯示 MPA-LPA 夾角與手術方式的選擇無關(P=0.160 0);見表 3。
3 討論
肺動脈狹窄是 TOF 固有的解剖學畸形,肺動脈夾角是其狹窄最常見的影響因素[11]。研究[12]表明當 MPA-LPA 夾角降至 90~100 度時,血流動力學明顯改變,導致內皮功能異常,在動脈分支起點處誘發內皮增生,從而發生管腔狹窄。有研究[13-14]也得出同樣結論:動脈分支處角度的突然改變和湍流的存在將導致內膜增生和局部狹窄,影響肺動脈發育。本研究中,我們也發現 TOF 組 MPA-LPA 夾角較對照組小,MPA 直徑也較對照組小,差異有統計學意義。但通過 MPA-LPA 夾角與肺動脈直徑的相關性分析,無論是 TOF 組還是對照組,均顯示夾角與肺動脈直徑無關。可能是本研究納入患者總體年齡偏大以及樣本量較小等因素對結果產生了一定的影響。
TOF 外科矯正術中會根據肺動脈發育情況選擇手術方式,通常若 MPA-LPA 夾角太小,術中會通過跨瓣補片,使 LPA 開口處角度增大,從而降低 TOF 患者 LPA 狹窄的發生率和再發率,否則影響預后。越來越多研究[15]發現跨瓣補片導致的肺動脈瓣反流對 TOF 手術預后有不利影響。因此,是否需要進行跨瓣補片糾正角度有待進一步探討。也有研究[12]指出因 MPA-LPA 夾角過小,血流動力學改變,造成肺動脈發育異常。本研究中 MPA-LPA 夾角與肺動脈直徑無相關性這一發現支持 MPA-LPA 夾角過小作為 TOF 患者矯正手術禁忌證之一不合適[16]的觀點。
本研究存在一定的局限性。第一,兩組患者例數都較少,且對照組納入患者例數與 TOF 組例數差距較大。我們共收集到 20 例無心臟基礎疾病的患者,雖然存在Ⅱ型錯誤風險,但 20 例患者 MPA-LPA 夾角均大于 TOF 組。第二,跨瓣補片后患者失訪率高,除跨瓣補片外,缺少其他關于可改善角度的血管成形術的探討。第三,該研究為回顧性研究。因此,下一階段我們將開展更大規模的隊列研究。
綜上所述,TOF 患者 MPA-LPA 夾角、MPA 直徑較非 TOF 患者小,夾角與肺動脈直徑、手術方式的選擇無關。所以,我們并不認同將 MPA-LPA 夾角過小作為 TOF 患者矯正手術的禁忌證,也不建議因 MPA-LPA 夾角過小而進行跨瓣補片。
利益沖突:無。