引用本文: 趙銳, 吳進林, 丘俊濤, 于存濤. 馬凡綜合征合并自發性孤立性腹主動脈夾層一例. 中國胸心血管外科臨床雜志, 2020, 27(9): 1110-1112. doi: 10.7507/1007-4848.201906065 復制
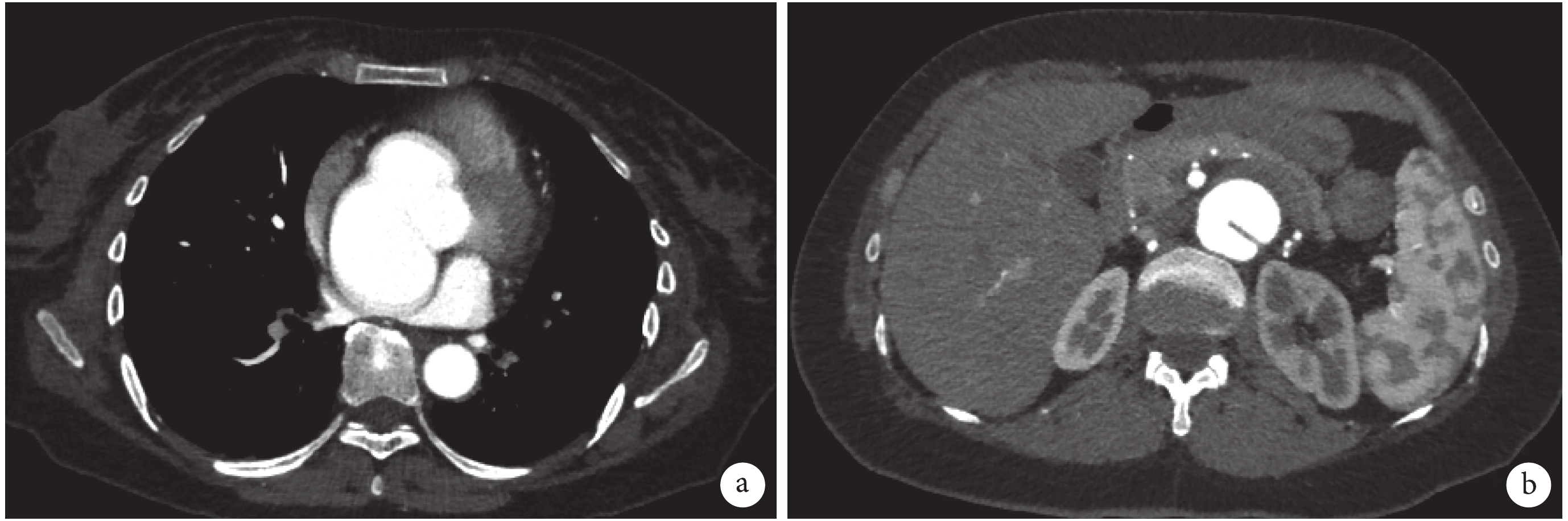
臨床資料 患者,女,37 歲,因“腹痛診斷腹主動脈夾層 1 個月伴胸悶 1 周”就診于我院。患者 1 個月前無明顯誘因出現陣發性腹痛,外院就診行 CT 檢查診斷為腹主動脈夾層,予以保守治療后好轉,未行胸部影像學檢查,故未能診斷主動脈竇部擴張。1 周前患者自覺胸悶,后背不舒服遂來就診。既往史和家族史均無特殊。體格檢查:身高 168 cm,體重 60 cm。血壓 128/80 mm Hg。心臟聽診可聞及主動脈舒張期雜音;腹主動脈未見搏動性腫塊。凝血功能檢查顯示 D-二聚體(D-dimer)2.13 μg/mL(正常<0.5 μg/mL),纖維蛋白降解產物(FDP)8.42 μg/mL(正常 0~5 μg/mL);其余檢驗無異常。超聲檢查提示主動脈瓣環內徑 25 mm,竇部前后徑 66 mm,升主動脈 37 mm,左室舒張期末內徑 55 mm,射血分數(EF)58%,主動脈瓣中量反流。增強 CT 顯示非對稱性主動脈竇瘤,無竇部擴張明顯,向下后方膨凸,左房受壓變形(圖 1a);腹主動脈夾層:腸系膜上動脈開口以遠,至雙側髂總動脈起始段主動脈腔可見內膜片影,呈雙腔結構(圖 1b)。腹主動脈近端直徑 17 mm,夾層累及最寬處為 39 mm。腹腔干及腸系膜上動脈顯影良好,未受累。左腎動脈起自假腔,右腎動脈一支起自真腔,一支起自假腔。雙腎灌注良好。3D 重建顯示全主動脈(圖 2a)和腹主動脈夾層(圖 2b)。基因檢測發現 FBN1 突變。患者被診斷為:馬凡綜合征(MFS),主動脈竇瘤,腹主動脈夾層。該患者行單純 Bentall 手術,腹主動脈夾層予以保守治療。術后病理顯示主動脈瓣粘液樣變性(圖 3a),主動脈壁囊性中層壞死(圖 3b)。患者出院后口服華法林,鈣通道阻滯劑,沙坦類(ARB)。每 3 個月進行一次隨訪。至 2019 年 6 月 24 日患者已恢復正常生活。

a:非對稱性主動脈竇瘤,無竇部擴張明顯,向下后方膨凸,左房受壓變形;b:腹主動脈夾層:腸系膜上動脈開口以遠,至雙側髂總動脈起始段主動脈腔可見內膜片影,呈雙腔結構

a:全主動脈;b:腹主動脈夾層

a:主動脈瓣粘液樣變性(HE×40);b:主動脈壁囊性中層壞死(彈力纖維染色×40)
討論 MFS 發病率約為 1/10 000,屬于常染色體顯性遺傳病,最常見的心血管系統表現是蒜頭樣(garlic like)根部瘤和二尖瓣脫垂。孤立性腹主動脈夾層(IAAD)指的是局限在膈肌以下的夾層。IAAD 非常罕見,多見于病例報告。IAAD 發病率低可能與腹主動脈組織結構特性和血流動力學特點相關,腹主動脈彈力纖維含量較胸主動脈低,沿途有數支分支,因此不容易發生夾層改變。由于發病率低,所以對于該病的自然病程和最佳治療方法并無定論。國際急性主動脈夾層研究聯盟(IRAD)[1]報道的 18 例患者中,4 例保守治療的患者全部死亡。當然要指出的是這些死亡患者均有死亡高危因素如高齡、合并高血壓或者肢體缺血體征。2016 年 Faries 等[2]報道了 37 例 IAAD 患者,其中 22 例(59.5%)行保守治療,隨訪時間(35.1±37.1)個月,無 1 例死亡和再干預,顯示出保守治療的良好效果。
隨著腔內修復手術(endovascular repair,EVAR)的流行,也有報道對于 IAAD 進行 EVAR 治療。Zhu 等[3]在 2015 年報道了 28 例 IAAD 的 EVAR 治療經驗,30 d 死亡率為零,隨訪 12~89 個月,1 例死于腹主動脈瘤(AAA)破裂,1 例因為Ⅰ型內漏需要干預,對于絕大多數患者而言,EVAR 的治療效果均非常好。總體而言,目前關于 IAAD 的最佳治療方法還沒有定論,大多數研究推薦 EVAR。雖然對于部分復雜的 IAAD 有 EVAR 案例的報道[4],但最新的 Meta 分析顯示,對于 IAAD,EVAR 相比于開放手術在死亡率差異上無統計學意義[5],更何況目前沒有 IAAD 合并 MFS 治療的研究出現。對于 MFS,盡管也有EVAR 治療的報道,但是充滿了爭議。Kouchoukos[6]指出,和非 MFS 患者相比,對于接受 EVAR 的 MFS 患者而言,盡管早期死亡率和并發癥率相當,但是內漏、轉開放手術、繼發治療失敗、逆行性 A 型夾層和支架導致的新發破口(SINE)事件發生率更高。所以,對于 MFS 擇期手術患者,不推薦 EVAR 。所以對于本例患者,我們并沒有采取 EVAR。
對于 IAAD 的干預時機和標準,也缺乏證據。Farber 等[7]根據經驗提出這些患者應該接受手術干預:主動脈破裂,下肢缺血,持續疼痛,相關的主動脈動脈瘤,假腔動脈瘤樣變。而 Kang 等[8]回顧了 210 例 IAAD 患者表現出不同的看法,雖然大部分患者均可以保守治療,但出現了主動脈破裂、夾層持續進展、具有結締組織疾病、夾層位于腎上腹主動脈應積極干預。我們考慮到該患者腹痛消失,夾層并未進一步發展。同時合并根部瘤和主動脈瓣反流,而這是非常明確的手術指征。所以我們對該患者施行 Bentall 手術,而對 IAAD 予以保守治療。本例非常特殊,同時合并根部瘤和 IAAD。我們不清楚對根部瘤的治療是否會影響 IAAD。有研究報道,主動脈根部手術之后可能會導致遠端主動脈病變。Nollen 等[9]報道主動脈根部置換(ARR)術后,遠端主動脈的主動脈壁張力增加,降主動脈增長速率加快。基于以上這些研究,ARR 可能會對該患者預后產生不良影響。本例 1 年隨訪 IAAD 并沒有明顯變化。但是我們仍然建議患者嚴格控制血壓降低潛在的風險。另外和 Bentall 手術相關的考慮是術后需要永久服用抗凝藥,這有可能不利于假腔血栓機化和穩定夾層[10]。本例患者目前夾層并未進一步發展,腹主動脈直徑并無增粗,但是必須密切隨訪。
本例患者同時合并根部瘤和腹主動脈夾層,第一次在外院因為腹痛就診時,僅僅進行了腹部超聲和 CT 檢查,而未進行胸部 CT 掃描,所以遺漏了根部瘤,這種漏診有可能是致命的,根部瘤導致的主動脈瓣反流也會造成心臟功能的損傷。在中國,因為經濟原因和社會原因,患者進行 CT 掃描,通常只掃描腹部或胸部。對于大多數疾病來說,這種檢查模式并沒有問題。但是胸主動脈和腹主動脈作為一個完整器官,很有可能存在多處病變,或者廣泛病變,應該對整體進行評估。
利益沖突:無。
作者貢獻:趙銳撰寫文章;吳進林、丘俊濤收集資料;于存濤完成手術、校對及修改論文。
臨床資料 患者,女,37 歲,因“腹痛診斷腹主動脈夾層 1 個月伴胸悶 1 周”就診于我院。患者 1 個月前無明顯誘因出現陣發性腹痛,外院就診行 CT 檢查診斷為腹主動脈夾層,予以保守治療后好轉,未行胸部影像學檢查,故未能診斷主動脈竇部擴張。1 周前患者自覺胸悶,后背不舒服遂來就診。既往史和家族史均無特殊。體格檢查:身高 168 cm,體重 60 cm。血壓 128/80 mm Hg。心臟聽診可聞及主動脈舒張期雜音;腹主動脈未見搏動性腫塊。凝血功能檢查顯示 D-二聚體(D-dimer)2.13 μg/mL(正常<0.5 μg/mL),纖維蛋白降解產物(FDP)8.42 μg/mL(正常 0~5 μg/mL);其余檢驗無異常。超聲檢查提示主動脈瓣環內徑 25 mm,竇部前后徑 66 mm,升主動脈 37 mm,左室舒張期末內徑 55 mm,射血分數(EF)58%,主動脈瓣中量反流。增強 CT 顯示非對稱性主動脈竇瘤,無竇部擴張明顯,向下后方膨凸,左房受壓變形(圖 1a);腹主動脈夾層:腸系膜上動脈開口以遠,至雙側髂總動脈起始段主動脈腔可見內膜片影,呈雙腔結構(圖 1b)。腹主動脈近端直徑 17 mm,夾層累及最寬處為 39 mm。腹腔干及腸系膜上動脈顯影良好,未受累。左腎動脈起自假腔,右腎動脈一支起自真腔,一支起自假腔。雙腎灌注良好。3D 重建顯示全主動脈(圖 2a)和腹主動脈夾層(圖 2b)。基因檢測發現 FBN1 突變。患者被診斷為:馬凡綜合征(MFS),主動脈竇瘤,腹主動脈夾層。該患者行單純 Bentall 手術,腹主動脈夾層予以保守治療。術后病理顯示主動脈瓣粘液樣變性(圖 3a),主動脈壁囊性中層壞死(圖 3b)。患者出院后口服華法林,鈣通道阻滯劑,沙坦類(ARB)。每 3 個月進行一次隨訪。至 2019 年 6 月 24 日患者已恢復正常生活。

a:非對稱性主動脈竇瘤,無竇部擴張明顯,向下后方膨凸,左房受壓變形;b:腹主動脈夾層:腸系膜上動脈開口以遠,至雙側髂總動脈起始段主動脈腔可見內膜片影,呈雙腔結構

a:全主動脈;b:腹主動脈夾層

a:主動脈瓣粘液樣變性(HE×40);b:主動脈壁囊性中層壞死(彈力纖維染色×40)
討論 MFS 發病率約為 1/10 000,屬于常染色體顯性遺傳病,最常見的心血管系統表現是蒜頭樣(garlic like)根部瘤和二尖瓣脫垂。孤立性腹主動脈夾層(IAAD)指的是局限在膈肌以下的夾層。IAAD 非常罕見,多見于病例報告。IAAD 發病率低可能與腹主動脈組織結構特性和血流動力學特點相關,腹主動脈彈力纖維含量較胸主動脈低,沿途有數支分支,因此不容易發生夾層改變。由于發病率低,所以對于該病的自然病程和最佳治療方法并無定論。國際急性主動脈夾層研究聯盟(IRAD)[1]報道的 18 例患者中,4 例保守治療的患者全部死亡。當然要指出的是這些死亡患者均有死亡高危因素如高齡、合并高血壓或者肢體缺血體征。2016 年 Faries 等[2]報道了 37 例 IAAD 患者,其中 22 例(59.5%)行保守治療,隨訪時間(35.1±37.1)個月,無 1 例死亡和再干預,顯示出保守治療的良好效果。
隨著腔內修復手術(endovascular repair,EVAR)的流行,也有報道對于 IAAD 進行 EVAR 治療。Zhu 等[3]在 2015 年報道了 28 例 IAAD 的 EVAR 治療經驗,30 d 死亡率為零,隨訪 12~89 個月,1 例死于腹主動脈瘤(AAA)破裂,1 例因為Ⅰ型內漏需要干預,對于絕大多數患者而言,EVAR 的治療效果均非常好。總體而言,目前關于 IAAD 的最佳治療方法還沒有定論,大多數研究推薦 EVAR。雖然對于部分復雜的 IAAD 有 EVAR 案例的報道[4],但最新的 Meta 分析顯示,對于 IAAD,EVAR 相比于開放手術在死亡率差異上無統計學意義[5],更何況目前沒有 IAAD 合并 MFS 治療的研究出現。對于 MFS,盡管也有EVAR 治療的報道,但是充滿了爭議。Kouchoukos[6]指出,和非 MFS 患者相比,對于接受 EVAR 的 MFS 患者而言,盡管早期死亡率和并發癥率相當,但是內漏、轉開放手術、繼發治療失敗、逆行性 A 型夾層和支架導致的新發破口(SINE)事件發生率更高。所以,對于 MFS 擇期手術患者,不推薦 EVAR 。所以對于本例患者,我們并沒有采取 EVAR。
對于 IAAD 的干預時機和標準,也缺乏證據。Farber 等[7]根據經驗提出這些患者應該接受手術干預:主動脈破裂,下肢缺血,持續疼痛,相關的主動脈動脈瘤,假腔動脈瘤樣變。而 Kang 等[8]回顧了 210 例 IAAD 患者表現出不同的看法,雖然大部分患者均可以保守治療,但出現了主動脈破裂、夾層持續進展、具有結締組織疾病、夾層位于腎上腹主動脈應積極干預。我們考慮到該患者腹痛消失,夾層并未進一步發展。同時合并根部瘤和主動脈瓣反流,而這是非常明確的手術指征。所以我們對該患者施行 Bentall 手術,而對 IAAD 予以保守治療。本例非常特殊,同時合并根部瘤和 IAAD。我們不清楚對根部瘤的治療是否會影響 IAAD。有研究報道,主動脈根部手術之后可能會導致遠端主動脈病變。Nollen 等[9]報道主動脈根部置換(ARR)術后,遠端主動脈的主動脈壁張力增加,降主動脈增長速率加快。基于以上這些研究,ARR 可能會對該患者預后產生不良影響。本例 1 年隨訪 IAAD 并沒有明顯變化。但是我們仍然建議患者嚴格控制血壓降低潛在的風險。另外和 Bentall 手術相關的考慮是術后需要永久服用抗凝藥,這有可能不利于假腔血栓機化和穩定夾層[10]。本例患者目前夾層并未進一步發展,腹主動脈直徑并無增粗,但是必須密切隨訪。
本例患者同時合并根部瘤和腹主動脈夾層,第一次在外院因為腹痛就診時,僅僅進行了腹部超聲和 CT 檢查,而未進行胸部 CT 掃描,所以遺漏了根部瘤,這種漏診有可能是致命的,根部瘤導致的主動脈瓣反流也會造成心臟功能的損傷。在中國,因為經濟原因和社會原因,患者進行 CT 掃描,通常只掃描腹部或胸部。對于大多數疾病來說,這種檢查模式并沒有問題。但是胸主動脈和腹主動脈作為一個完整器官,很有可能存在多處病變,或者廣泛病變,應該對整體進行評估。
利益沖突:無。
作者貢獻:趙銳撰寫文章;吳進林、丘俊濤收集資料;于存濤完成手術、校對及修改論文。