引用本文: 王迅, 陳克終, 李運, 劉軍, 王俊. 縱隔支氣管源性囊腫的診斷和電視胸腔鏡手術治療. 中國胸心血管外科臨床雜志, 2019, 26(9): 848-852. doi: 10.7507/1007-4848.201811026 復制
支氣管源性囊腫是由先天肺支氣管發育畸形所致的罕見良性疾病,好發于縱隔和肺內,少數發生于腹膜后、椎管等特殊部位[1-2]。縱隔支氣管源性囊腫發病率占縱隔原發腫瘤的 5%~10% [3],影像學不易與其他類型的縱隔腫瘤鑒別。胸部微創技術的發展使胸腔鏡手術成為支氣管源性囊腫的首選治療方式。本研究回顧分析我中心 2001 年 4 月至 2016 年 4 月連續完成胸腔鏡縱隔支氣管源性囊腫切除手術患者的臨床資料,探討支氣管源性囊腫的手術要點和策略。
1 資料與方法
1.1 臨床資料和分組
全組 112 例,男 53 例、女 59 例,年齡 4~75(45.6±15.0)歲。32 例(28.6%)有臨床癥狀(11 例在觀察過程中出現),包括咳嗽 11 例、胸痛 10 例、胸悶 7 例、吞咽不適 3 例、發熱 1 例;術前合并重癥肌無力 2 例,肺腺癌 1 例。術前均行胸部 CT 掃描。根據病變位置將患者分為兩組:前縱隔組 47 例,病變位于前縱隔;中后縱隔組, 65 例,病變位于中縱隔 35 例、后縱隔 30 例。囊腫中位直徑 3.50(0.5~22 )cm,平掃 CT 值 0~67(35.5±15.3)Hu,增強 CT 值 0~70(40.1±17.5)Hu。
1.2 方法
采用氣管插管全身靜脈麻醉,均先行胸腔鏡手術切除病灶,前縱隔病變采用胸腔鏡胸腺手術切口布局,中、后縱隔病變采用胸腔鏡肺手術切口布局。結合電凝鉤和鈍頭吸引器游離囊腫,輔以超聲刀切斷囊腫蒂部或滋養血管。術中注意完整切除囊腫,避免病灶殘留或囊液滲出;對于前縱隔病變需切除囊腫和部分胸腺,不能排除胸腺瘤或惡性腫瘤者需完整切除胸腺和可能殘留的病變;囊壁與縱隔重要結構致密粘連或融合,不能完整切除者,需以電凝鉤灼燒結合無水乙醇處理殘留囊壁。
術后留置胸腔閉式引流管 1 根。確診依據石蠟病理。術后每年一次復查隨訪,復查項目包括體格檢查和胸部影像學。隨訪時間截至 2017 年 4 月。
1.3 統計學分析
數據分析采用 SPSS 20.0 統計學軟件。連續性數據比效采用 t 檢驗,非連續性數據比較采用 χ2 或 Fisher 確切概率檢驗。手術時間>120 min 為手術時間延長,術中出血量>150 mL為出血量增多,影響上述兩者的因素采用多因素 logistic 回歸分析。P<0.05 為差異有統計學意義。
2 結果
CT 診斷縱隔囊腫 54 例(支氣管源性囊腫 21 例)。中后縱隔組較前縱隔組發病年齡低、有癥狀者多、更易在觀察過程中出現癥狀、囊腫直徑大,CT 更易診斷,見表 1。中后縱隔組中 CT 值≤20 Hu 者診斷支氣管源性囊腫的比例顯著高于其他患者(61.5% vs. 13.1%,χ2=17.675,P<0.001)。


胸腔鏡手術 111 例,1 例(0.9%)因囊腫與縱隔結構廣泛致密粘連影響暴露和游離而中轉開胸。平均手術時間 40~360(104.5±43.1)min,平均術中出血量 5~600(57.9±88.9)mL。術中并發癥發生率 3.6%,包括支氣管膜部損傷 3 例,食管肌層損傷 1 例,術中損傷處均存在致密粘連或融合,鏡下均順利修補。術后胸腔引流時間(2.6±1.6) d,術后住院時間(4.6±2.1)d。術后并發癥發生率 5.4%,包括肺部感染 3 例,乳糜胸 2 例,心房顫動 1 例,均保守治療后好轉,無嚴重并發癥或死亡。
前縱隔組手術方式:囊腫+胸腺切除 45 例,胸腺擴大切除 2 例;中后縱隔組手術方式:囊腫切除 58 例,囊腫切除+殘余囊壁處理 7 例(囊壁與氣管膜部融合 5 例,與肺動脈致密粘連 2 例),中后縱隔組更易發生不完整切除,見表 1。多因素 logistic 回歸分析顯示囊腫直徑≥5 cm 是手術時間延長(OR=3.968,95%CI 1.179~13.355,P=0.026)和術中出血量增加(OR=12.242,95%CI 2.420~61.933,P=0.002)的獨立危險因素,見表 2。

全組病理均為支氣管源性囊腫,2 例重癥肌無力合并胸腺增生。截至 2017 年 4 月成功隨訪 99 例(88.4%),中位隨訪時間 42 (12~191)個月。成功隨訪患者無囊腫復發。
3 討論
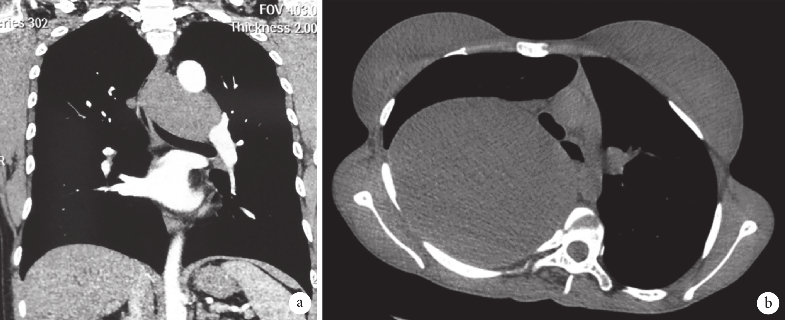
支氣管源性囊腫起源妊娠期第 26~40 d 的原始腹側前腸的異常萌芽,發病機制尚不明確,可發生于縱隔的任何部位[3-4]。支氣管源性囊腫并無特異性臨床表現,以壓迫癥狀為主,如咳嗽、胸悶、胸痛、吞咽困難等,合并感染者可出現發熱或胸腔積液[3-5]。文獻報道 9%~67% 的縱隔支氣管源性囊腫存在癥狀[4-5],部分無癥狀患者隨年齡增長,囊腫逐漸增大可出現癥狀[6],本組 34.4%(11/32)有癥狀患者為觀察期間出現(圖 1a),囊腫直徑最大可達 22.0 cm(圖 1b)。因此,支氣管源性囊腫有增大、進展的可能。

a:合并胸悶癥狀的縱隔支氣管源性囊腫 1 例;b:巨大縱隔支氣管源性囊腫 1 例
胸部 CT 是縱隔支氣管源性囊腫重要的術前診斷手段,典型縱隔支氣管源性囊腫的影像表現為邊界清楚的類圓形囊性占位,增強后無強化,位于中、后縱隔沿支氣管樹分布于氣管或肺門附近[3, 7]。胸部 CT 診斷準確率僅 10%~40%[8],影響 CT 診斷的主要因素包括:(1)是否呈囊性密度:囊腫可因出血或炎癥導致囊液蛋白質含量增加,呈軟組織密度影,易誤診為實性腫瘤,如神經源性腫瘤、胸腺瘤等,無明顯囊壁結構時,更難將其與實性腫瘤區分[7, 9]。本組 CT 值≤20 Hu 診斷縱隔囊腫比例顯著高于 CT 值>20 Hu 者(100.0% vs. 41.7%,P<0.001);(2)解剖部位:前縱隔囊腫需考慮胸腺囊腫,與食管或心包關系密切且遠離支氣管樹需考慮食管囊腫或心包囊腫;前縱隔支氣管源性囊腫占 5.3%~42.4%[2, 10],本組比例為 42.0%,CT 均診斷胸腺囊腫或胸腺瘤。因此呈軟組織密度和非典型解剖部位,胸部 CT 較難獲得準確診斷。胸部磁共振成像(MRI)能夠清晰顯示囊腫形態和周圍解剖關系[7, 10]。McAdams[7]的研究中,20 例支氣管源性囊腫患者行 CT 和 MRI,9 例 CT 表現為實性腫瘤者在 MRI T2WI 序列呈囊性信號。Ueda[11]采用激發快速自旋回波序列診斷囊性信號比例可達 84.8%。因此 MRI 在鑒別縱隔囊腫和實性腫瘤方面具有一定優勢,可作為術前診斷的補充手段。
有癥狀的支氣管源性囊腫存在手術指征,無癥狀者是否需手術治療尚無定論。支氣管源性囊腫有增大、破裂可能,囊腫周圍炎癥反應可逐漸加重,可繼發上腔靜脈綜合征,胸腔積液或感染等并發癥[10-13];Kirmani 等[12]的研究提示 45% 無癥狀者隨年齡增長可出現癥狀,0.7%(5/683)的患者囊壁合并惡性腫瘤。Fievet 等[13]對比 11 例兒童和 25 例成人支氣管源性囊腫手術發現:兒童組更易保留肺組織、炎癥反應少、術后并發癥幾率低,并認為最佳手術時機為出生后 6~12 個月。因此盡早手術能夠切除病灶,獲得病理診斷,排除惡性腫瘤情況,并且能夠避免可能出現的并發癥和嚴重組織粘連。1992 年 Lewis 等[14]完成首例胸腔鏡支氣管源性囊腫切除手術,胸腔鏡手術逐漸被廣泛應用。2005 年 T?lg 等[15]首先對比了支氣管源性囊腫的胸腔鏡和開胸手術,兩組手術時間差異無統計學意義。Guo 等[10]的研究中胸腔鏡和開胸組手術時間分別為(108.77±47.81)min 和(144.62±55.16)min(P=0.001),平均術中出血量分別為 20.0 mL 和 100.0 mL(P<0.001);兩組患者手術并發癥、治療效果差異無統計學意義,胸腔鏡組術后胸腔引流時間和住院時間顯著短于開胸組。文獻報道中轉開胸率由早期的 35%[13]降至 1.5%[10],本組中轉開胸率僅 0.9%。胸腔鏡術后疼痛輕、恢復快[2, 10]。因此胸腔鏡手術治療縱隔支氣管源性囊腫安全、有效、微創。
支氣管源性囊腫手術方式以囊腫切除為主,前縱隔支氣管源性囊腫因術前不能完全排除胸腺瘤等疾病,需行胸腺切除術。本研究多因素 logistic 分析結呆顯示囊腫≥5 cm 是手術時間延長且出血量增多的危險因素,直徑較大的囊腫手術難度可能來源于視野暴露困難、游離過程復雜、與縱隔重要結構粘連廣泛等。手術應當避免損傷縱隔重要結構,如氣管(支氣管)、食管肌層和縱隔大血管等,Guo 等[10]的研究中上述結構損傷發生率分別為 3.0%,1.0% 和 3.0%。Jung 等[2]的研究中胸腔鏡手術相關損傷并發癥發生率為 4.4%。本研究支氣管膜部損傷 3 例(2.7%),食管肌層損傷 1 例(0.9%),盡管均完整修復,但仍需謹慎避免。囊腫與縱隔重要結構的致密粘連或融合不僅是術中并發癥的主要原因,而且是中轉開胸的主要危險因素[10, 12]。Read 等[16]曾報道 1 例不完整切除的支氣管源性囊腫,術后 25 年復發,因此支氣管源性囊腫應盡可能完整切除。本組不完全切除率為 6.3%,囊腫與縱隔重要結構致密粘連或融合是不完整切除最常見的原因。因此,我們建議術中謹慎分離囊腫與縱隔重要結構間的囊壁成分,盡可能完整切除的同時避免手術損傷,不能完整切除的囊壁成分,需采用電凝鉤,無水乙醇或碘酒燒灼殘留囊壁。
利益沖突:無。
支氣管源性囊腫是由先天肺支氣管發育畸形所致的罕見良性疾病,好發于縱隔和肺內,少數發生于腹膜后、椎管等特殊部位[1-2]。縱隔支氣管源性囊腫發病率占縱隔原發腫瘤的 5%~10% [3],影像學不易與其他類型的縱隔腫瘤鑒別。胸部微創技術的發展使胸腔鏡手術成為支氣管源性囊腫的首選治療方式。本研究回顧分析我中心 2001 年 4 月至 2016 年 4 月連續完成胸腔鏡縱隔支氣管源性囊腫切除手術患者的臨床資料,探討支氣管源性囊腫的手術要點和策略。
1 資料與方法
1.1 臨床資料和分組
全組 112 例,男 53 例、女 59 例,年齡 4~75(45.6±15.0)歲。32 例(28.6%)有臨床癥狀(11 例在觀察過程中出現),包括咳嗽 11 例、胸痛 10 例、胸悶 7 例、吞咽不適 3 例、發熱 1 例;術前合并重癥肌無力 2 例,肺腺癌 1 例。術前均行胸部 CT 掃描。根據病變位置將患者分為兩組:前縱隔組 47 例,病變位于前縱隔;中后縱隔組, 65 例,病變位于中縱隔 35 例、后縱隔 30 例。囊腫中位直徑 3.50(0.5~22 )cm,平掃 CT 值 0~67(35.5±15.3)Hu,增強 CT 值 0~70(40.1±17.5)Hu。
1.2 方法
采用氣管插管全身靜脈麻醉,均先行胸腔鏡手術切除病灶,前縱隔病變采用胸腔鏡胸腺手術切口布局,中、后縱隔病變采用胸腔鏡肺手術切口布局。結合電凝鉤和鈍頭吸引器游離囊腫,輔以超聲刀切斷囊腫蒂部或滋養血管。術中注意完整切除囊腫,避免病灶殘留或囊液滲出;對于前縱隔病變需切除囊腫和部分胸腺,不能排除胸腺瘤或惡性腫瘤者需完整切除胸腺和可能殘留的病變;囊壁與縱隔重要結構致密粘連或融合,不能完整切除者,需以電凝鉤灼燒結合無水乙醇處理殘留囊壁。
術后留置胸腔閉式引流管 1 根。確診依據石蠟病理。術后每年一次復查隨訪,復查項目包括體格檢查和胸部影像學。隨訪時間截至 2017 年 4 月。
1.3 統計學分析
數據分析采用 SPSS 20.0 統計學軟件。連續性數據比效采用 t 檢驗,非連續性數據比較采用 χ2 或 Fisher 確切概率檢驗。手術時間>120 min 為手術時間延長,術中出血量>150 mL為出血量增多,影響上述兩者的因素采用多因素 logistic 回歸分析。P<0.05 為差異有統計學意義。
2 結果
CT 診斷縱隔囊腫 54 例(支氣管源性囊腫 21 例)。中后縱隔組較前縱隔組發病年齡低、有癥狀者多、更易在觀察過程中出現癥狀、囊腫直徑大,CT 更易診斷,見表 1。中后縱隔組中 CT 值≤20 Hu 者診斷支氣管源性囊腫的比例顯著高于其他患者(61.5% vs. 13.1%,χ2=17.675,P<0.001)。


胸腔鏡手術 111 例,1 例(0.9%)因囊腫與縱隔結構廣泛致密粘連影響暴露和游離而中轉開胸。平均手術時間 40~360(104.5±43.1)min,平均術中出血量 5~600(57.9±88.9)mL。術中并發癥發生率 3.6%,包括支氣管膜部損傷 3 例,食管肌層損傷 1 例,術中損傷處均存在致密粘連或融合,鏡下均順利修補。術后胸腔引流時間(2.6±1.6) d,術后住院時間(4.6±2.1)d。術后并發癥發生率 5.4%,包括肺部感染 3 例,乳糜胸 2 例,心房顫動 1 例,均保守治療后好轉,無嚴重并發癥或死亡。
前縱隔組手術方式:囊腫+胸腺切除 45 例,胸腺擴大切除 2 例;中后縱隔組手術方式:囊腫切除 58 例,囊腫切除+殘余囊壁處理 7 例(囊壁與氣管膜部融合 5 例,與肺動脈致密粘連 2 例),中后縱隔組更易發生不完整切除,見表 1。多因素 logistic 回歸分析顯示囊腫直徑≥5 cm 是手術時間延長(OR=3.968,95%CI 1.179~13.355,P=0.026)和術中出血量增加(OR=12.242,95%CI 2.420~61.933,P=0.002)的獨立危險因素,見表 2。

全組病理均為支氣管源性囊腫,2 例重癥肌無力合并胸腺增生。截至 2017 年 4 月成功隨訪 99 例(88.4%),中位隨訪時間 42 (12~191)個月。成功隨訪患者無囊腫復發。
3 討論
支氣管源性囊腫起源妊娠期第 26~40 d 的原始腹側前腸的異常萌芽,發病機制尚不明確,可發生于縱隔的任何部位[3-4]。支氣管源性囊腫并無特異性臨床表現,以壓迫癥狀為主,如咳嗽、胸悶、胸痛、吞咽困難等,合并感染者可出現發熱或胸腔積液[3-5]。文獻報道 9%~67% 的縱隔支氣管源性囊腫存在癥狀[4-5],部分無癥狀患者隨年齡增長,囊腫逐漸增大可出現癥狀[6],本組 34.4%(11/32)有癥狀患者為觀察期間出現(圖 1a),囊腫直徑最大可達 22.0 cm(圖 1b)。因此,支氣管源性囊腫有增大、進展的可能。

a:合并胸悶癥狀的縱隔支氣管源性囊腫 1 例;b:巨大縱隔支氣管源性囊腫 1 例
胸部 CT 是縱隔支氣管源性囊腫重要的術前診斷手段,典型縱隔支氣管源性囊腫的影像表現為邊界清楚的類圓形囊性占位,增強后無強化,位于中、后縱隔沿支氣管樹分布于氣管或肺門附近[3, 7]。胸部 CT 診斷準確率僅 10%~40%[8],影響 CT 診斷的主要因素包括:(1)是否呈囊性密度:囊腫可因出血或炎癥導致囊液蛋白質含量增加,呈軟組織密度影,易誤診為實性腫瘤,如神經源性腫瘤、胸腺瘤等,無明顯囊壁結構時,更難將其與實性腫瘤區分[7, 9]。本組 CT 值≤20 Hu 診斷縱隔囊腫比例顯著高于 CT 值>20 Hu 者(100.0% vs. 41.7%,P<0.001);(2)解剖部位:前縱隔囊腫需考慮胸腺囊腫,與食管或心包關系密切且遠離支氣管樹需考慮食管囊腫或心包囊腫;前縱隔支氣管源性囊腫占 5.3%~42.4%[2, 10],本組比例為 42.0%,CT 均診斷胸腺囊腫或胸腺瘤。因此呈軟組織密度和非典型解剖部位,胸部 CT 較難獲得準確診斷。胸部磁共振成像(MRI)能夠清晰顯示囊腫形態和周圍解剖關系[7, 10]。McAdams[7]的研究中,20 例支氣管源性囊腫患者行 CT 和 MRI,9 例 CT 表現為實性腫瘤者在 MRI T2WI 序列呈囊性信號。Ueda[11]采用激發快速自旋回波序列診斷囊性信號比例可達 84.8%。因此 MRI 在鑒別縱隔囊腫和實性腫瘤方面具有一定優勢,可作為術前診斷的補充手段。
有癥狀的支氣管源性囊腫存在手術指征,無癥狀者是否需手術治療尚無定論。支氣管源性囊腫有增大、破裂可能,囊腫周圍炎癥反應可逐漸加重,可繼發上腔靜脈綜合征,胸腔積液或感染等并發癥[10-13];Kirmani 等[12]的研究提示 45% 無癥狀者隨年齡增長可出現癥狀,0.7%(5/683)的患者囊壁合并惡性腫瘤。Fievet 等[13]對比 11 例兒童和 25 例成人支氣管源性囊腫手術發現:兒童組更易保留肺組織、炎癥反應少、術后并發癥幾率低,并認為最佳手術時機為出生后 6~12 個月。因此盡早手術能夠切除病灶,獲得病理診斷,排除惡性腫瘤情況,并且能夠避免可能出現的并發癥和嚴重組織粘連。1992 年 Lewis 等[14]完成首例胸腔鏡支氣管源性囊腫切除手術,胸腔鏡手術逐漸被廣泛應用。2005 年 T?lg 等[15]首先對比了支氣管源性囊腫的胸腔鏡和開胸手術,兩組手術時間差異無統計學意義。Guo 等[10]的研究中胸腔鏡和開胸組手術時間分別為(108.77±47.81)min 和(144.62±55.16)min(P=0.001),平均術中出血量分別為 20.0 mL 和 100.0 mL(P<0.001);兩組患者手術并發癥、治療效果差異無統計學意義,胸腔鏡組術后胸腔引流時間和住院時間顯著短于開胸組。文獻報道中轉開胸率由早期的 35%[13]降至 1.5%[10],本組中轉開胸率僅 0.9%。胸腔鏡術后疼痛輕、恢復快[2, 10]。因此胸腔鏡手術治療縱隔支氣管源性囊腫安全、有效、微創。
支氣管源性囊腫手術方式以囊腫切除為主,前縱隔支氣管源性囊腫因術前不能完全排除胸腺瘤等疾病,需行胸腺切除術。本研究多因素 logistic 分析結呆顯示囊腫≥5 cm 是手術時間延長且出血量增多的危險因素,直徑較大的囊腫手術難度可能來源于視野暴露困難、游離過程復雜、與縱隔重要結構粘連廣泛等。手術應當避免損傷縱隔重要結構,如氣管(支氣管)、食管肌層和縱隔大血管等,Guo 等[10]的研究中上述結構損傷發生率分別為 3.0%,1.0% 和 3.0%。Jung 等[2]的研究中胸腔鏡手術相關損傷并發癥發生率為 4.4%。本研究支氣管膜部損傷 3 例(2.7%),食管肌層損傷 1 例(0.9%),盡管均完整修復,但仍需謹慎避免。囊腫與縱隔重要結構的致密粘連或融合不僅是術中并發癥的主要原因,而且是中轉開胸的主要危險因素[10, 12]。Read 等[16]曾報道 1 例不完整切除的支氣管源性囊腫,術后 25 年復發,因此支氣管源性囊腫應盡可能完整切除。本組不完全切除率為 6.3%,囊腫與縱隔重要結構致密粘連或融合是不完整切除最常見的原因。因此,我們建議術中謹慎分離囊腫與縱隔重要結構間的囊壁成分,盡可能完整切除的同時避免手術損傷,不能完整切除的囊壁成分,需采用電凝鉤,無水乙醇或碘酒燒灼殘留囊壁。
利益沖突:無。