引用本文: 金夏, 玉紅, 方登峰. 體外循環下冠狀動脈旁路移植術中主動脈-橈動脈血壓反轉一例. 中國胸心血管外科臨床雜志, 2018, 25(12): 1103-1104. doi: 10.7507/1007-4848.201802036 復制
臨床資料 患者,男,57 歲,因“心前區疼痛,胸悶氣促 4+月”于 2017 年 8 月入我院心臟外科。否認既往疾病史。查體:體溫 36.6℃,100 次/min,呼吸 20 次/min,血壓 107/80 mmHg。心臟聽診律齊,各瓣膜區未聞及雜音,腹軟,無壓痛反跳痛,雙下肢無水腫。心臟彩超示:左房左室增大,左心室(LV)62 mm,左心房(LA)40 mm,二、三尖瓣輕-中度反流,左室收縮功能測值減低,射血分數(EF)31%。冠狀動脈造影示:左冠狀動脈主干末端狹窄 40%;前降支最重狹窄 80%;回旋支自第一彎以遠完全閉塞。診斷“冠狀動脈粥樣硬化性心臟病;竇性心律,心功能Ⅲ級(NYHA 分級);心瓣膜病:二、三尖瓣反流”。于全身麻醉、體外循環下行冠狀動脈旁路移植術及二、三尖瓣成形術。
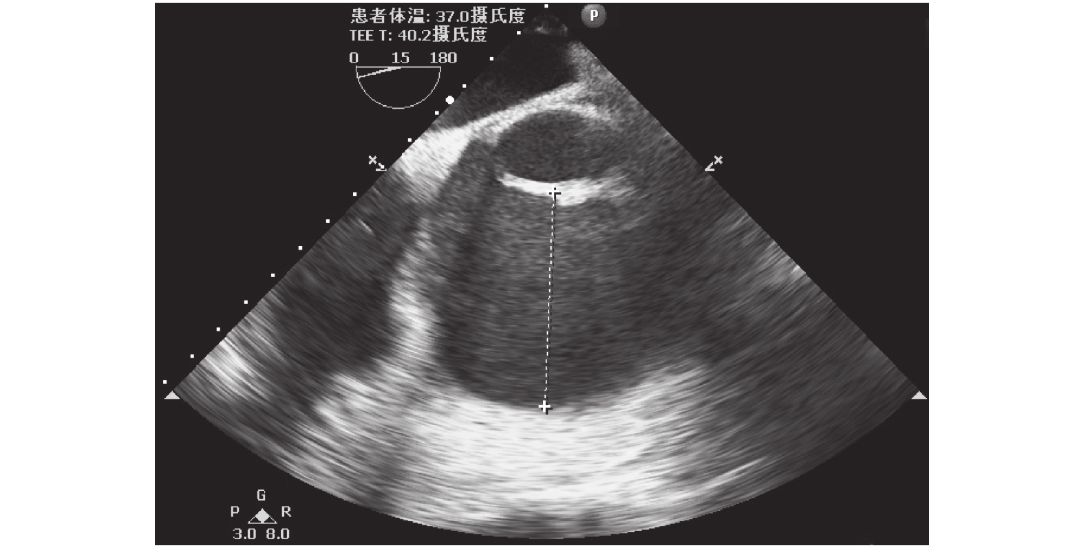
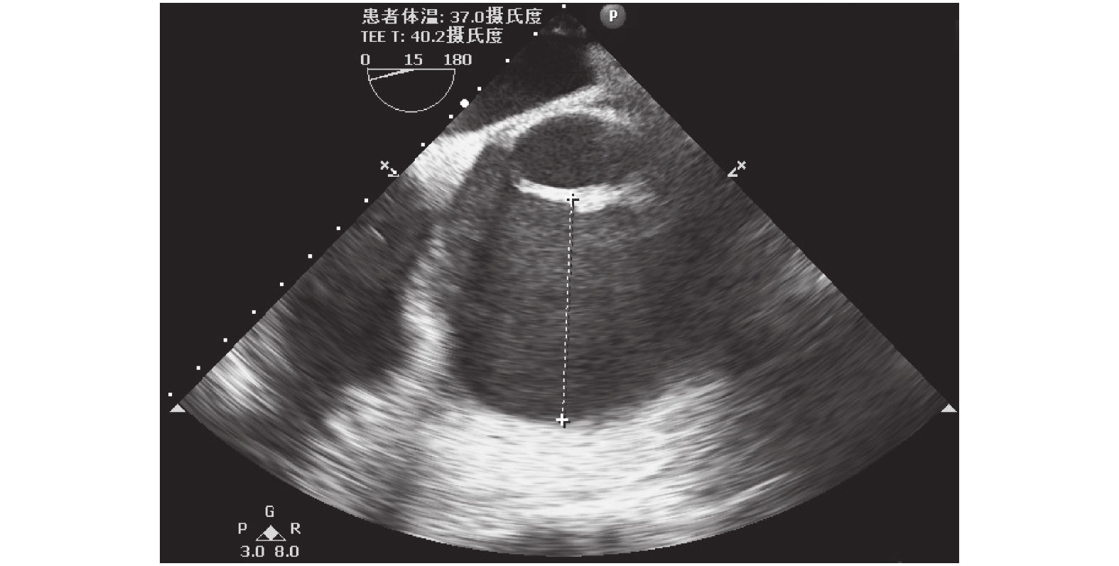
患者入手術室后進行心電監護,局部麻醉下行左側橈動脈穿刺置管連續監測動脈血壓。使用咪達唑侖 8 mg,枸櫞酸舒芬太尼 50 μg,順式阿曲庫銨 15 mg 緩慢靜脈推注誘導后插管,機械通氣潮氣量 8 ml/kg,呼吸頻率 12 次/min。右側頸內靜脈穿刺置管監測中心靜脈壓(CVP),置入經食管超聲心動圖(TEE)探頭。術中常規主動脈、上下腔靜脈插管,體外循環(CPB)轉機、降溫至 33℃,升主動脈遠段阻斷主動脈,經主動脈根部灌入含血心臟停跳液,心包內局部置入冰屑,心臟停跳。CPB 期間丙泊酚聯合瑞芬維持麻醉,平均動脈壓(MAP)45 mm Hg,加用去甲腎上腺素 0.03 μg/(min·h),維持 MAP 50 mm Hg。術中搭橋 2 根,分別為左乳內動脈-左前降支,升主動脈-大隱靜脈-第一對角支,切開右房、房間隔行二、三尖瓣成形術,復溫至體溫 36.5℃,開放升主動脈,心臟自動復跳,靜脈泵注腎上腺素 0.05 μg/(kg·h),去甲腎上腺素 0.08 μg/(kg·h),異丙腎上腺素 0.03 μg/(kg·h),米力農 0.05 mg/(kg·h),間斷推注去甲腎上腺素 20 μg,心率 110 次/min,全身動脈血壓(ABP)維持 84~70/56~46 mm Hg。動脈血氣示:pH 7.4,鉀 3.42 mmol/L,鈣 1.09 mmol/L,血糖 9.7 mmol/L,剩余堿(BE)–5.79 mmol/L。予補鉀、補鈣后,加用垂體后葉素 3 U/h,ABP 仍維持 80/48 mm Hg 左右,CVP 10 mm Hg。TEE 監測提示循環容量充足(左室舒張期末內徑 5.65 cm),心臟收縮功能良好(圖 1 、圖 2)。復查動脈血氣未見內環境紊亂。CPB 停機后患者尿量 180 ml/h,肢端溫暖。外科醫師于主動脈根部穿刺測壓 95/59 mm Hg。麻醉醫師行術中股動脈穿刺置管測壓,同時監測患者橈動脈與股動脈壓力,患者股動脈 MAP 波動于 60~70 mm Hg,較橈動脈 MAP 增高約 20 mm Hg。體外循環轉流時間 196 min,主動脈阻斷 126 min,流量 3.6 L/min。術后患者體溫 36.5℃,心率 95 次/min,股動脈血壓 103/60 mm Hg,SpO2 100.0%,靜脈持續泵注腎上腺素 0.03 μg/(kg·h),去甲腎上腺素 0.05 μg/(kg·h),順利返回心胸外科重癥監護室。術后予呼吸機輔助通氣、強心、利尿,維持內環境等對癥支持治療。患者基礎心功能差,術后第 2 d 持續應用腎上腺素 0.05 μg/(kg·h),去甲腎上腺素 0.05 μg/(kg·h),米力農 0.5 mg/(kg·h),垂體后葉素 2 U/h 維持循環。查體心率 90 次/min,血壓 110/63 mm Hg,SpO2 100.0%,四肢溫暖,雙肺呼吸音清,小便量正常,心包縱隔引流管通暢,引流量不多。患者術后第4 d 小便量明顯減少,肌酐升高,查體心率 103 次/min,股動脈 102/59 mm Hg,SpO2 99%,持續泵注腎上腺素 0.03 μg/(kg·h),米力農 0.2 m/(kg·h) 強心治療。術后第 6 d 查體心率 89 次/ min,血壓 112/65 mm Hg,SpO2 99%,停用所有血管活性藥物,局部麻醉下行纖維支氣管鏡檢查后順利拔除氣管導管。
圖1
停機后左室舒張期末 TEE 圖
圖2
停機后左室 TEE 二維圖
討論 CPB 后中心-橈動脈血壓差既往已有報道。1985 年 David 觀察了 18 例心臟手術患者,發現 10 例患者在體外循環后橈動脈血壓測值較主動脈根部血壓測值低,并將其描述為主動脈-橈動脈血壓反轉[1]。我國對 401 例行體外循環下心臟手術患者的臨床資料進行統計后發現該現象發生率為 34.5%[2]。然而,多數患者體外循環后橈動脈平均動脈壓較股動脈/主動脈根部平均動脈壓降低約 10 mm Hg,但少有平均動脈壓差達 20 mm Hg 的案例報道[3]。目前對這種現象的發生機制尚不明確。近年來多項研究表明 CPB 后外周血管的擴張是造成血壓反轉的主要原因[3-4]。文獻報道術中大劑量血管活性藥物使用,體外循環后心臟收縮力及肺動脈順應性下降是 CPB 后血壓反轉的影響因素[2, 5]。
因 CPB 后心功恢復不良,血液稀釋,炎性介質釋放,外周血管擴張等因素,體外循環后低血壓現象并不少見。圍術期低血壓不利于腦、腎、心等臟器保護[6-8],影響患者預后。目前建議成人心臟手術期間維持 MAP 50~70 mm Hg。對于心臟手術中持續性低血壓的處理,麻醉醫師往往采取增大 CPB 流量或擴容,應用一種或多種血管活性藥物維持外周血管張力等處理方案。而 CPB 后血壓反轉現象導致外周 MAP 較中心 MAP 低,此時單純依據外周血壓用藥增加因中心動脈壓力過高發生術中主動脈夾層,腦卒中等心腦血管意外發生率。關注患者臟器灌注情況是判斷患者術中外周血壓是否可信的關鍵。此時麻醉醫師需充分評估患者臟器及肢端灌注功能,避免大量應用血管活性藥物。本例冠狀動脈旁路移植術患者術中持續性應用血管活性藥物,CPB 后發生橈動脈頑固性低血壓,但肢端溫度和尿量表現與測得血壓不相符,考慮出現血壓反轉現象。患者術后第 4 d 診斷急性腎損傷(acute kidney injury,AKI),距離手術時間較長,且術中于主動脈根部測壓排除低心排血量可能,排除患者術中低血壓導致術后并發癥可能。但患者基礎心功能差,術后持續性應用大量血管活性藥物維持循環,不排除血管活性藥物使用是誘導術后 AKI 因素的可能。
綜上所述,PCB 下行心臟手術的患者出現頑固性橈動脈低血壓時,應考慮主動脈-橈動脈血壓反轉的可能,必要時行主動脈根部測壓或術中股動脈穿刺置管監測血壓,依據中心動脈壓及臟器灌注表現確定術中用藥方案。
臨床資料 患者,男,57 歲,因“心前區疼痛,胸悶氣促 4+月”于 2017 年 8 月入我院心臟外科。否認既往疾病史。查體:體溫 36.6℃,100 次/min,呼吸 20 次/min,血壓 107/80 mmHg。心臟聽診律齊,各瓣膜區未聞及雜音,腹軟,無壓痛反跳痛,雙下肢無水腫。心臟彩超示:左房左室增大,左心室(LV)62 mm,左心房(LA)40 mm,二、三尖瓣輕-中度反流,左室收縮功能測值減低,射血分數(EF)31%。冠狀動脈造影示:左冠狀動脈主干末端狹窄 40%;前降支最重狹窄 80%;回旋支自第一彎以遠完全閉塞。診斷“冠狀動脈粥樣硬化性心臟病;竇性心律,心功能Ⅲ級(NYHA 分級);心瓣膜病:二、三尖瓣反流”。于全身麻醉、體外循環下行冠狀動脈旁路移植術及二、三尖瓣成形術。
患者入手術室后進行心電監護,局部麻醉下行左側橈動脈穿刺置管連續監測動脈血壓。使用咪達唑侖 8 mg,枸櫞酸舒芬太尼 50 μg,順式阿曲庫銨 15 mg 緩慢靜脈推注誘導后插管,機械通氣潮氣量 8 ml/kg,呼吸頻率 12 次/min。右側頸內靜脈穿刺置管監測中心靜脈壓(CVP),置入經食管超聲心動圖(TEE)探頭。術中常規主動脈、上下腔靜脈插管,體外循環(CPB)轉機、降溫至 33℃,升主動脈遠段阻斷主動脈,經主動脈根部灌入含血心臟停跳液,心包內局部置入冰屑,心臟停跳。CPB 期間丙泊酚聯合瑞芬維持麻醉,平均動脈壓(MAP)45 mm Hg,加用去甲腎上腺素 0.03 μg/(min·h),維持 MAP 50 mm Hg。術中搭橋 2 根,分別為左乳內動脈-左前降支,升主動脈-大隱靜脈-第一對角支,切開右房、房間隔行二、三尖瓣成形術,復溫至體溫 36.5℃,開放升主動脈,心臟自動復跳,靜脈泵注腎上腺素 0.05 μg/(kg·h),去甲腎上腺素 0.08 μg/(kg·h),異丙腎上腺素 0.03 μg/(kg·h),米力農 0.05 mg/(kg·h),間斷推注去甲腎上腺素 20 μg,心率 110 次/min,全身動脈血壓(ABP)維持 84~70/56~46 mm Hg。動脈血氣示:pH 7.4,鉀 3.42 mmol/L,鈣 1.09 mmol/L,血糖 9.7 mmol/L,剩余堿(BE)–5.79 mmol/L。予補鉀、補鈣后,加用垂體后葉素 3 U/h,ABP 仍維持 80/48 mm Hg 左右,CVP 10 mm Hg。TEE 監測提示循環容量充足(左室舒張期末內徑 5.65 cm),心臟收縮功能良好(圖 1 、圖 2)。復查動脈血氣未見內環境紊亂。CPB 停機后患者尿量 180 ml/h,肢端溫暖。外科醫師于主動脈根部穿刺測壓 95/59 mm Hg。麻醉醫師行術中股動脈穿刺置管測壓,同時監測患者橈動脈與股動脈壓力,患者股動脈 MAP 波動于 60~70 mm Hg,較橈動脈 MAP 增高約 20 mm Hg。體外循環轉流時間 196 min,主動脈阻斷 126 min,流量 3.6 L/min。術后患者體溫 36.5℃,心率 95 次/min,股動脈血壓 103/60 mm Hg,SpO2 100.0%,靜脈持續泵注腎上腺素 0.03 μg/(kg·h),去甲腎上腺素 0.05 μg/(kg·h),順利返回心胸外科重癥監護室。術后予呼吸機輔助通氣、強心、利尿,維持內環境等對癥支持治療。患者基礎心功能差,術后第 2 d 持續應用腎上腺素 0.05 μg/(kg·h),去甲腎上腺素 0.05 μg/(kg·h),米力農 0.5 mg/(kg·h),垂體后葉素 2 U/h 維持循環。查體心率 90 次/min,血壓 110/63 mm Hg,SpO2 100.0%,四肢溫暖,雙肺呼吸音清,小便量正常,心包縱隔引流管通暢,引流量不多。患者術后第4 d 小便量明顯減少,肌酐升高,查體心率 103 次/min,股動脈 102/59 mm Hg,SpO2 99%,持續泵注腎上腺素 0.03 μg/(kg·h),米力農 0.2 m/(kg·h) 強心治療。術后第 6 d 查體心率 89 次/ min,血壓 112/65 mm Hg,SpO2 99%,停用所有血管活性藥物,局部麻醉下行纖維支氣管鏡檢查后順利拔除氣管導管。
圖1
停機后左室舒張期末 TEE 圖
圖2
停機后左室 TEE 二維圖
討論 CPB 后中心-橈動脈血壓差既往已有報道。1985 年 David 觀察了 18 例心臟手術患者,發現 10 例患者在體外循環后橈動脈血壓測值較主動脈根部血壓測值低,并將其描述為主動脈-橈動脈血壓反轉[1]。我國對 401 例行體外循環下心臟手術患者的臨床資料進行統計后發現該現象發生率為 34.5%[2]。然而,多數患者體外循環后橈動脈平均動脈壓較股動脈/主動脈根部平均動脈壓降低約 10 mm Hg,但少有平均動脈壓差達 20 mm Hg 的案例報道[3]。目前對這種現象的發生機制尚不明確。近年來多項研究表明 CPB 后外周血管的擴張是造成血壓反轉的主要原因[3-4]。文獻報道術中大劑量血管活性藥物使用,體外循環后心臟收縮力及肺動脈順應性下降是 CPB 后血壓反轉的影響因素[2, 5]。
因 CPB 后心功恢復不良,血液稀釋,炎性介質釋放,外周血管擴張等因素,體外循環后低血壓現象并不少見。圍術期低血壓不利于腦、腎、心等臟器保護[6-8],影響患者預后。目前建議成人心臟手術期間維持 MAP 50~70 mm Hg。對于心臟手術中持續性低血壓的處理,麻醉醫師往往采取增大 CPB 流量或擴容,應用一種或多種血管活性藥物維持外周血管張力等處理方案。而 CPB 后血壓反轉現象導致外周 MAP 較中心 MAP 低,此時單純依據外周血壓用藥增加因中心動脈壓力過高發生術中主動脈夾層,腦卒中等心腦血管意外發生率。關注患者臟器灌注情況是判斷患者術中外周血壓是否可信的關鍵。此時麻醉醫師需充分評估患者臟器及肢端灌注功能,避免大量應用血管活性藥物。本例冠狀動脈旁路移植術患者術中持續性應用血管活性藥物,CPB 后發生橈動脈頑固性低血壓,但肢端溫度和尿量表現與測得血壓不相符,考慮出現血壓反轉現象。患者術后第 4 d 診斷急性腎損傷(acute kidney injury,AKI),距離手術時間較長,且術中于主動脈根部測壓排除低心排血量可能,排除患者術中低血壓導致術后并發癥可能。但患者基礎心功能差,術后持續性應用大量血管活性藥物維持循環,不排除血管活性藥物使用是誘導術后 AKI 因素的可能。
綜上所述,PCB 下行心臟手術的患者出現頑固性橈動脈低血壓時,應考慮主動脈-橈動脈血壓反轉的可能,必要時行主動脈根部測壓或術中股動脈穿刺置管監測血壓,依據中心動脈壓及臟器灌注表現確定術中用藥方案。

