引用本文: 胡豐慶, 王磊, 王明松, 梅舉, 李國慶. 新型矯形鋼板治療成人漏斗胸 190 例. 中國胸心血管外科臨床雜志, 2018, 25(8): 687-690. doi: 10.7507/1007-4848.201709006 復制
成人漏斗胸指就診時患者年齡≥18 周歲的漏斗胸,與小兒漏斗胸不同,成人胸壁彈性差而剛性較大[1-3]。目前對于漏斗胸的治療,Nuss 術仍是最常用的手術方式,與胸骨抬舉術、胸骨翻轉術等手術方式相比較,具有創傷小、疤痕小等優勢,但傳統的 Nuss 手術及鋼板仍具有很多不足[4-5]。我科對傳統 Nuss 鋼板進行改良,并采用具有自主知識產權的新型矯形鋼板(專利號:2009202909.9)治療漏斗胸。傳統 Nuss 鋼板為 C 型,鋼板形狀及弧度需在手術中應用車床制作,鋼板兩端放置于雙側腋中后線,放置時需先用引導器將鋼板拖入體內,此后翻轉鋼板固定,對于肋間肌損傷較大,且手術步驟繁瑣,耗時較長。我科梅舉教授和李國慶教授為彌補傳統 Nuss 鋼板的不足,對其進行改良,改良后的鋼板形狀術前確定(圖 1、圖 2、圖 3),無需術中制作。放置時操作簡便,無需翻轉,損傷小,耗時短,且對雙側的側胸壁生長發育無限制,為漏斗胸術后胸廓形態糾正后鋼板拆除帶來極大的便利。現回顧性分析 2011 年 1 月至 2016 年 6 月我科應用新型矯形鋼板治療成人漏斗胸 190 例患者的臨床資料,觀察治療效果,總結治療經驗[6]。



1 資料與方法
1.1 臨床資料
本組患者共 190 例,其中男 151 例、女 39 例,年齡 18~45(21.80±3.96)歲,不包括曾因漏斗胸行手術治療復發者。術前均進行胸部 CT 及肺功能檢查,獲取 Haller 指數及肺功能指標[第一秒用力呼氣容積占預計值百分數(FEV1%)],并在術后第 3 個月進行復查。
1.2 手術方法
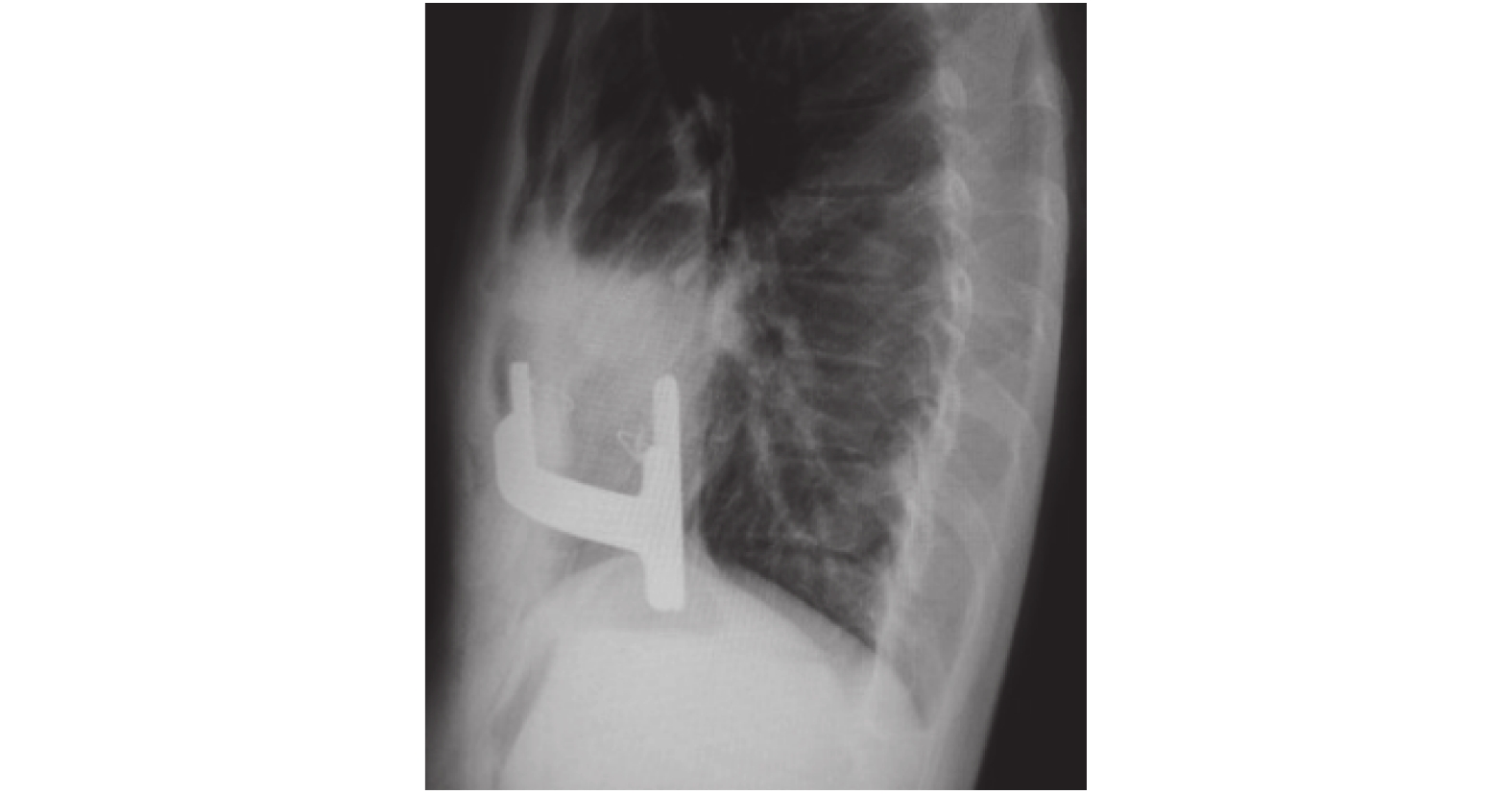
氣管插管靜脈復合麻醉,平臥位。根據患者前胸凹陷的范圍、面積及最低點,確定手術切口及需加強的肋間,切口通常位于雙側腋前線腋中線間,長約 2.5 cm,沿肋骨骨膜外間隙向胸骨方向分離至胸廓最高點,雙側最高點與前胸凹陷最低點位于同一直線。右側腋中后線第 7 或 8 肋間置入胸腔鏡。胸腔粘連嚴重者加行劍突下切口,長 3~5 cm,經該切口分離胸骨后粘連至右側胸腔或雙側胸腔打開胸骨后通道。手指從胸骨后上抬胸骨,如胸骨下沉力量大可切斷胸骨下段左右肋軟骨各 1~2 根松解。為固定鋼板,應用鋼絲跨雙側上下 1~2 根肋骨。用帶引導頭的鋼板組合從右胸切口沿肋骨骨膜外間隙從最高點肋間進右胸,從胸廓最低點穿過胸骨后心包前的間隙,從左側最高點肋間穿出胸腔,沿左胸間隙沿肋骨骨膜外間隙從左胸切口引出鋼板引導頭,胸壁塑形后卸引導頭上固定片(圖 4)。跨肋骨的鋼絲穿矯形鋼板的孔固定鋼板。術后右胸腔排氣后縫合切口。術后胸廓形態立即改善(圖 5、圖 6)。



1.3 Haller 指數及肺功能檢測
術后患者進行隨訪,于第 3 個月復查胸部 CT 及肺功能,測量 Haller 指數[7]及 FEV1% 等,對比術前與術后 3 個月肺功能;見表 1。
1.4 統計學分析
所有數據均采用 SPSS20.0 統計軟件處理。計量資料以均數±標準差(
)表示,組間比較采用t 檢驗。P<0.05 為差異有統計學意義。


2 結果
190 例患者矯形效果滿意,均痊愈出院。12 例因凹陷范圍大,置入 2 根鋼板。術后氣胸 7 例,其中 2 例經胸部穿刺抽氣一次后痊愈,5 例為少量氣胸,無需特殊處理。5 例術后出現切口愈合不良,予清創后痊愈。術后 2 例因局部應力過大出現鋼板移位,再次手術后效果良好。手術時間 36~65 min,術中失血量 5~20 ml。術后住院時間 4~7 d。胸廓形態、Haller 指數及肺功能均較術前明顯改善(P<0.001)。均成功隨訪,135 例已經行鋼板拆除術,無復發。
3 討論
傳統 Nuss 鋼板的固定存在缺陷,臨床中見到多例患者 Nuss 鋼板移位,雙側鎖片處的應用鋼絲捆綁固定看似牢靠,其實并不能有效避免其鋼板轉動,因為雙側鎖片的位置位于鋼板轉動的圓心,根據杠桿原理,半徑處轉動的驅動力稍大,位于圓心處的固定片也會隨之轉動,胸前壁的最低點將不能被頂起,出現效果不佳的情況(圖 7),這一點,對于胸前區重度凹陷者尤為明顯[8-11]。新型矯形鋼板克服了這一缺點,于雙側跨肋骨鋼絲固定鋼板,效果牢靠(圖 8)。且鋼板不需要術中再次加工,安裝簡單,避免了鋼板翻轉帶來的安全隱患。另外成人漏斗胸因胸壁較幼兒胸壁彈性差而剛性大,置入鋼板后局部應力大,且前肋肋間隙較寬,不利于鋼板固定,所以應用鋼絲跨肋骨或肋間縫合行肋間加強并固定鋼板至關重要[8,12]。凹陷嚴重者引導器通過胸骨后分離出胸骨心包之間的間隙,在往前從前胸壁穿出肋間時,因胸壁剛性過大,引導器無法撬起凹陷區,則需加行劍突下小切口輔助分離胸骨后通道,上抬凹陷的胸前區,引導鋼板通過,手術操作的復雜程度及風險均高于小兒漏斗胸[13-14]。手術開展早期,2 例患者因局部應力過大,固定鋼板的鋼絲斷裂導致鋼板移位再次手術。因此對于患者的術前評估至關重要,對于凹陷明顯,且凹陷區肋軟骨硬化明顯者,加行截骨術局部減張,降低手術風險,減少相關并發癥,減輕術后疼痛。


應用新型矯形鋼板治療成人漏斗胸,手術過程簡單,創傷更小,術后恢復快,鋼板固定牢靠,不易移位。本組患者術后胸廓形態、Haller 指數及肺功能明顯改善,手術效果良好。
成人漏斗胸指就診時患者年齡≥18 周歲的漏斗胸,與小兒漏斗胸不同,成人胸壁彈性差而剛性較大[1-3]。目前對于漏斗胸的治療,Nuss 術仍是最常用的手術方式,與胸骨抬舉術、胸骨翻轉術等手術方式相比較,具有創傷小、疤痕小等優勢,但傳統的 Nuss 手術及鋼板仍具有很多不足[4-5]。我科對傳統 Nuss 鋼板進行改良,并采用具有自主知識產權的新型矯形鋼板(專利號:2009202909.9)治療漏斗胸。傳統 Nuss 鋼板為 C 型,鋼板形狀及弧度需在手術中應用車床制作,鋼板兩端放置于雙側腋中后線,放置時需先用引導器將鋼板拖入體內,此后翻轉鋼板固定,對于肋間肌損傷較大,且手術步驟繁瑣,耗時較長。我科梅舉教授和李國慶教授為彌補傳統 Nuss 鋼板的不足,對其進行改良,改良后的鋼板形狀術前確定(圖 1、圖 2、圖 3),無需術中制作。放置時操作簡便,無需翻轉,損傷小,耗時短,且對雙側的側胸壁生長發育無限制,為漏斗胸術后胸廓形態糾正后鋼板拆除帶來極大的便利。現回顧性分析 2011 年 1 月至 2016 年 6 月我科應用新型矯形鋼板治療成人漏斗胸 190 例患者的臨床資料,觀察治療效果,總結治療經驗[6]。



1 資料與方法
1.1 臨床資料
本組患者共 190 例,其中男 151 例、女 39 例,年齡 18~45(21.80±3.96)歲,不包括曾因漏斗胸行手術治療復發者。術前均進行胸部 CT 及肺功能檢查,獲取 Haller 指數及肺功能指標[第一秒用力呼氣容積占預計值百分數(FEV1%)],并在術后第 3 個月進行復查。
1.2 手術方法
氣管插管靜脈復合麻醉,平臥位。根據患者前胸凹陷的范圍、面積及最低點,確定手術切口及需加強的肋間,切口通常位于雙側腋前線腋中線間,長約 2.5 cm,沿肋骨骨膜外間隙向胸骨方向分離至胸廓最高點,雙側最高點與前胸凹陷最低點位于同一直線。右側腋中后線第 7 或 8 肋間置入胸腔鏡。胸腔粘連嚴重者加行劍突下切口,長 3~5 cm,經該切口分離胸骨后粘連至右側胸腔或雙側胸腔打開胸骨后通道。手指從胸骨后上抬胸骨,如胸骨下沉力量大可切斷胸骨下段左右肋軟骨各 1~2 根松解。為固定鋼板,應用鋼絲跨雙側上下 1~2 根肋骨。用帶引導頭的鋼板組合從右胸切口沿肋骨骨膜外間隙從最高點肋間進右胸,從胸廓最低點穿過胸骨后心包前的間隙,從左側最高點肋間穿出胸腔,沿左胸間隙沿肋骨骨膜外間隙從左胸切口引出鋼板引導頭,胸壁塑形后卸引導頭上固定片(圖 4)。跨肋骨的鋼絲穿矯形鋼板的孔固定鋼板。術后右胸腔排氣后縫合切口。術后胸廓形態立即改善(圖 5、圖 6)。



1.3 Haller 指數及肺功能檢測
術后患者進行隨訪,于第 3 個月復查胸部 CT 及肺功能,測量 Haller 指數[7]及 FEV1% 等,對比術前與術后 3 個月肺功能;見表 1。
1.4 統計學分析
所有數據均采用 SPSS20.0 統計軟件處理。計量資料以均數±標準差(
)表示,組間比較采用t 檢驗。P<0.05 為差異有統計學意義。


2 結果
190 例患者矯形效果滿意,均痊愈出院。12 例因凹陷范圍大,置入 2 根鋼板。術后氣胸 7 例,其中 2 例經胸部穿刺抽氣一次后痊愈,5 例為少量氣胸,無需特殊處理。5 例術后出現切口愈合不良,予清創后痊愈。術后 2 例因局部應力過大出現鋼板移位,再次手術后效果良好。手術時間 36~65 min,術中失血量 5~20 ml。術后住院時間 4~7 d。胸廓形態、Haller 指數及肺功能均較術前明顯改善(P<0.001)。均成功隨訪,135 例已經行鋼板拆除術,無復發。
3 討論
傳統 Nuss 鋼板的固定存在缺陷,臨床中見到多例患者 Nuss 鋼板移位,雙側鎖片處的應用鋼絲捆綁固定看似牢靠,其實并不能有效避免其鋼板轉動,因為雙側鎖片的位置位于鋼板轉動的圓心,根據杠桿原理,半徑處轉動的驅動力稍大,位于圓心處的固定片也會隨之轉動,胸前壁的最低點將不能被頂起,出現效果不佳的情況(圖 7),這一點,對于胸前區重度凹陷者尤為明顯[8-11]。新型矯形鋼板克服了這一缺點,于雙側跨肋骨鋼絲固定鋼板,效果牢靠(圖 8)。且鋼板不需要術中再次加工,安裝簡單,避免了鋼板翻轉帶來的安全隱患。另外成人漏斗胸因胸壁較幼兒胸壁彈性差而剛性大,置入鋼板后局部應力大,且前肋肋間隙較寬,不利于鋼板固定,所以應用鋼絲跨肋骨或肋間縫合行肋間加強并固定鋼板至關重要[8,12]。凹陷嚴重者引導器通過胸骨后分離出胸骨心包之間的間隙,在往前從前胸壁穿出肋間時,因胸壁剛性過大,引導器無法撬起凹陷區,則需加行劍突下小切口輔助分離胸骨后通道,上抬凹陷的胸前區,引導鋼板通過,手術操作的復雜程度及風險均高于小兒漏斗胸[13-14]。手術開展早期,2 例患者因局部應力過大,固定鋼板的鋼絲斷裂導致鋼板移位再次手術。因此對于患者的術前評估至關重要,對于凹陷明顯,且凹陷區肋軟骨硬化明顯者,加行截骨術局部減張,降低手術風險,減少相關并發癥,減輕術后疼痛。


應用新型矯形鋼板治療成人漏斗胸,手術過程簡單,創傷更小,術后恢復快,鋼板固定牢靠,不易移位。本組患者術后胸廓形態、Haller 指數及肺功能明顯改善,手術效果良好。