引用本文: 楊健, 孟禮飛, 肖海波. 全內臟反位合并肺癌行胸腔鏡下左下肺癌根治術一例. 中國胸心血管外科臨床雜志, 2018, 25(4): 357-358. doi: 10.7507/1007-4848.201705024 復制
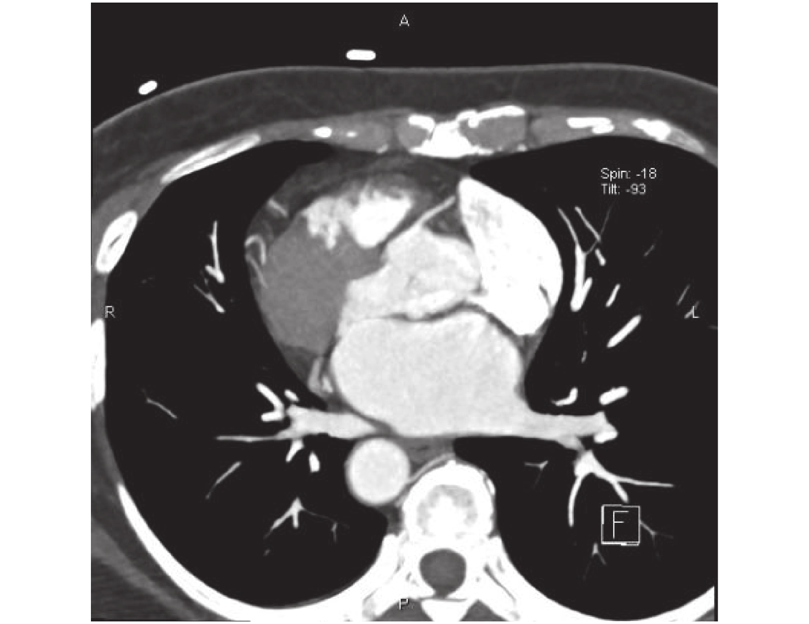
臨床資料 患者,女,57 歲,因“體檢發現左下肺結節 1 個月”入院,無咳嗽咳痰、咯血胸痛、氣急胸悶、低熱盜汗等不適。無高血壓、糖尿病史。胸部 X 線片檢查為鏡面右位心(圖 1)。胸腹部 CT 示:全內臟反位(situs inversus totalis,SIT,(圖 2、圖 3),左肺下葉混合磨玻璃結節(圖 4),大小約 16 mm×12 mm,密度欠均勻,內見空泡影,實性部分 CT 值約 31 Hu,磨玻璃結節部分 CT 值約–435 Hu,形態呈不規則,邊緣稍模糊,邊界基本清楚,鄰近肺野清楚,考慮侵襲性腺癌可能性大。心電圖示:右位心,Ⅰ導聯、aVL 導聯 P 波倒置,QRS 波以向下波為主,aVR 導聯 P 波直立,V1~V5 導聯 R 波逐漸減小,S 波逐漸增深。




全身麻醉成功,氣管插管后,患者取平臥位,術區常規消毒、鋪無菌巾。取左側腋中線第 7 肋間 1 cm 切口,插入 Trocar,探查見左肺三葉,左肺葉間裂發育良好,決定行胸腔鏡下左下肺葉切除。取左側腋前線第 5 肋間 2 cm 切口,切開皮膚及皮下組織、肌肉各層,電灼止血后插入切口保護套進胸。分離左下肺韌帶,分離出左下肺靜脈,以 Endo-GIA 離斷左肺下葉靜脈。打開縱隔胸膜,分離出左肺下葉背段和基底段動脈,以 Endo-GIA 同時離斷左肺下葉背段和基底段動脈。分離下葉支氣管周圍組織,Endo-GIA 綠釘夾閉左下葉支氣管,鼓肺,中上肺膨脹良好,離斷左下肺支氣管,完成左下肺葉切除。分離奇靜脈,清掃第 2、4 組淋巴結。創面徹底止血,于左側腋中線第 7 肋間放置胸腔閉式引流管。逐層關胸,術中進行順利,無明顯出血,未輸血。術畢,患者拔除氣管插管,安返監護病房。
術后病理提示“左下肺”腺癌(乳頭型為主),最大徑約 1 cm,支氣管切緣未見明顯腫瘤累及,淋巴結皆陰性。免疫組化結果:甲狀腺轉錄因子(TTF)-1(+),細胞角蛋白(CK)7(+),CK20(–),癌胚抗原(CEA)(部分+),CK5(–),腫瘤抑制蛋白 P63(散在+),間變性淋巴瘤激酶(ALK)(–),P40(N)(–),天門冬氨酸蛋白酶(NapsinA)(+),突觸素(SYN)(–),嗜鉻粒蛋白A(CGA)(–),蛋白基因產物(PGP)9.5(–),神經細胞黏附分子(CD56)(–),增殖細胞核抗原(Ki67)(N)(10%+),腫瘤抑制蛋白 P53(++),上皮型鈣粘蛋白(E-cad)(+)。術后胸部 X 線片示心尖朝向右側,兩膈光整,兩肋膈角銳利,肺門形態大小位置未見異常,兩肺紋理增多(圖 5)。

討論 SIT 是一種罕見的單基因常染色體隱性遺傳性疾病[1],其主要特征為內臟器官與正常解剖位置呈鏡像分布,系心胃在中線右側,肝、膽囊在左邊,又稱“鏡面人”。“鏡面人”雖然內臟全部錯位,但只是位置發生變化,而循環、呼吸、消化等功能均正常,內臟器官相互間的關系并未改變。相關文獻報道,SIT 發病率約為 1/4 000~1/20 000,男女比例為 3∶2[2]。有研究表明[3-4],在分子水平上,SIT 與惡性腫瘤的發生存在密切的相關性,然兩者之間是否有聯系仍需更多的研究。這是我院第 1 例 SIT 合并肺癌病例,并且成功施行左下肺癌根治術。目前,僅有 21 例肺癌合并 SIT 病例報道,其中第 1 例 SIT 左下肺癌根治術由 Shimizu 于 2011 年報道[5]。SIT 與肺癌之間關系尚未徹底明確,許多報道認為大約 20%~25% SIT 與 Kartagener 綜合征有關,但是 SIT 合并肺癌患者需行手術治療的鮮有報道。
SIT 患者通常沒有特殊不適,患者大多是在體檢或發生其他的疾病在醫院做各種檢查時被發現。本例患者術前體檢,胸部 CT 提示左下肺腺癌可能性大,存在手術指征,在完善相關檢查,排除手術禁忌證后,決定行手術治療。從術前影像學資料,完全理解局部解剖結構,對外科手術至關重要,尤其對于 SIT 的情況。近年來,隨著 CT 影像學的發展,術前更能夠得到詳細的解剖信息[6]。SIT 需行肺癌根治術的患者,明確支氣管、肺動脈和肺靜脈的關系相當重要,Subotich 等[7]建議,由于 SIT 患者血管異常可能性較高,術前應對解剖區域血管進行造影。在淋巴結清掃術中,由于解剖結構的變異,外科醫生應該特別注意喉返神經走行[8],避免喉返神經損傷。鑒于以上 SIT 患者特殊情況,我院在行手術前,對患者行胸部 CT 增強檢查,充分明確局部解剖結構及血管走行,避免術中損傷正常組織結構。
另外,對于 SIT 患者麻醉,應將雙腔管倒置,即將左管插入右側[9]。值得注意的是,對 SIT 患者施行單肺通氣時,并不能保證雙腔管一定適用,因為氣管的結構并不是對稱的。之前也有文獻[10]報道雙腔管單肺通氣時,使用右管插入右側進行單肺通氣,然而,作者建議單肺通氣時使用支氣管堵塞器。
總之,從術前影像學資料,完全理解局部解剖結構,對手術至關重要。通過胸部增強 CT 或血管造影可以幫助術者了解異常的解剖位置、血管走行以及血管支氣管之間相對位置,避免術中誤損傷;其次,要適應空間反向變化,術中耐心操作,避免操之過急,可以減少術中并發癥的發生;最后,主刀、助手及扶鏡頭者需統一轉移方向,可以減輕因解剖位置的反常帶來的“別扭”感,使手術能夠順利完成。
臨床資料 患者,女,57 歲,因“體檢發現左下肺結節 1 個月”入院,無咳嗽咳痰、咯血胸痛、氣急胸悶、低熱盜汗等不適。無高血壓、糖尿病史。胸部 X 線片檢查為鏡面右位心(圖 1)。胸腹部 CT 示:全內臟反位(situs inversus totalis,SIT,(圖 2、圖 3),左肺下葉混合磨玻璃結節(圖 4),大小約 16 mm×12 mm,密度欠均勻,內見空泡影,實性部分 CT 值約 31 Hu,磨玻璃結節部分 CT 值約–435 Hu,形態呈不規則,邊緣稍模糊,邊界基本清楚,鄰近肺野清楚,考慮侵襲性腺癌可能性大。心電圖示:右位心,Ⅰ導聯、aVL 導聯 P 波倒置,QRS 波以向下波為主,aVR 導聯 P 波直立,V1~V5 導聯 R 波逐漸減小,S 波逐漸增深。




全身麻醉成功,氣管插管后,患者取平臥位,術區常規消毒、鋪無菌巾。取左側腋中線第 7 肋間 1 cm 切口,插入 Trocar,探查見左肺三葉,左肺葉間裂發育良好,決定行胸腔鏡下左下肺葉切除。取左側腋前線第 5 肋間 2 cm 切口,切開皮膚及皮下組織、肌肉各層,電灼止血后插入切口保護套進胸。分離左下肺韌帶,分離出左下肺靜脈,以 Endo-GIA 離斷左肺下葉靜脈。打開縱隔胸膜,分離出左肺下葉背段和基底段動脈,以 Endo-GIA 同時離斷左肺下葉背段和基底段動脈。分離下葉支氣管周圍組織,Endo-GIA 綠釘夾閉左下葉支氣管,鼓肺,中上肺膨脹良好,離斷左下肺支氣管,完成左下肺葉切除。分離奇靜脈,清掃第 2、4 組淋巴結。創面徹底止血,于左側腋中線第 7 肋間放置胸腔閉式引流管。逐層關胸,術中進行順利,無明顯出血,未輸血。術畢,患者拔除氣管插管,安返監護病房。
術后病理提示“左下肺”腺癌(乳頭型為主),最大徑約 1 cm,支氣管切緣未見明顯腫瘤累及,淋巴結皆陰性。免疫組化結果:甲狀腺轉錄因子(TTF)-1(+),細胞角蛋白(CK)7(+),CK20(–),癌胚抗原(CEA)(部分+),CK5(–),腫瘤抑制蛋白 P63(散在+),間變性淋巴瘤激酶(ALK)(–),P40(N)(–),天門冬氨酸蛋白酶(NapsinA)(+),突觸素(SYN)(–),嗜鉻粒蛋白A(CGA)(–),蛋白基因產物(PGP)9.5(–),神經細胞黏附分子(CD56)(–),增殖細胞核抗原(Ki67)(N)(10%+),腫瘤抑制蛋白 P53(++),上皮型鈣粘蛋白(E-cad)(+)。術后胸部 X 線片示心尖朝向右側,兩膈光整,兩肋膈角銳利,肺門形態大小位置未見異常,兩肺紋理增多(圖 5)。

討論 SIT 是一種罕見的單基因常染色體隱性遺傳性疾病[1],其主要特征為內臟器官與正常解剖位置呈鏡像分布,系心胃在中線右側,肝、膽囊在左邊,又稱“鏡面人”。“鏡面人”雖然內臟全部錯位,但只是位置發生變化,而循環、呼吸、消化等功能均正常,內臟器官相互間的關系并未改變。相關文獻報道,SIT 發病率約為 1/4 000~1/20 000,男女比例為 3∶2[2]。有研究表明[3-4],在分子水平上,SIT 與惡性腫瘤的發生存在密切的相關性,然兩者之間是否有聯系仍需更多的研究。這是我院第 1 例 SIT 合并肺癌病例,并且成功施行左下肺癌根治術。目前,僅有 21 例肺癌合并 SIT 病例報道,其中第 1 例 SIT 左下肺癌根治術由 Shimizu 于 2011 年報道[5]。SIT 與肺癌之間關系尚未徹底明確,許多報道認為大約 20%~25% SIT 與 Kartagener 綜合征有關,但是 SIT 合并肺癌患者需行手術治療的鮮有報道。
SIT 患者通常沒有特殊不適,患者大多是在體檢或發生其他的疾病在醫院做各種檢查時被發現。本例患者術前體檢,胸部 CT 提示左下肺腺癌可能性大,存在手術指征,在完善相關檢查,排除手術禁忌證后,決定行手術治療。從術前影像學資料,完全理解局部解剖結構,對外科手術至關重要,尤其對于 SIT 的情況。近年來,隨著 CT 影像學的發展,術前更能夠得到詳細的解剖信息[6]。SIT 需行肺癌根治術的患者,明確支氣管、肺動脈和肺靜脈的關系相當重要,Subotich 等[7]建議,由于 SIT 患者血管異常可能性較高,術前應對解剖區域血管進行造影。在淋巴結清掃術中,由于解剖結構的變異,外科醫生應該特別注意喉返神經走行[8],避免喉返神經損傷。鑒于以上 SIT 患者特殊情況,我院在行手術前,對患者行胸部 CT 增強檢查,充分明確局部解剖結構及血管走行,避免術中損傷正常組織結構。
另外,對于 SIT 患者麻醉,應將雙腔管倒置,即將左管插入右側[9]。值得注意的是,對 SIT 患者施行單肺通氣時,并不能保證雙腔管一定適用,因為氣管的結構并不是對稱的。之前也有文獻[10]報道雙腔管單肺通氣時,使用右管插入右側進行單肺通氣,然而,作者建議單肺通氣時使用支氣管堵塞器。
總之,從術前影像學資料,完全理解局部解剖結構,對手術至關重要。通過胸部增強 CT 或血管造影可以幫助術者了解異常的解剖位置、血管走行以及血管支氣管之間相對位置,避免術中誤損傷;其次,要適應空間反向變化,術中耐心操作,避免操之過急,可以減少術中并發癥的發生;最后,主刀、助手及扶鏡頭者需統一轉移方向,可以減輕因解剖位置的反常帶來的“別扭”感,使手術能夠順利完成。