引用本文: 吳向陽, 劉浩, 朱潔, 關新強, 韋亞林, 張燕春, 陳文勝, 李彩娥, 雷蕾, 張燕花, 趙啟明. 間接干預法治療肺血增多型先天性心臟病相關性支氣管狹窄. 中國胸心血管外科臨床雜志, 2017, 24(3): 196-200. doi: 10.7507/1007-4848.201607015 復制
先天性心臟病(先心病)合并氣管狹窄診斷困難,病情嚴重,治療棘手,療效不十分滿意。文獻報道其死亡率可高達 41.7%[1]。重癥先天性心臟病合并中重度氣管或支氣管狹窄的診治更是臨床難點。部分重癥先心病患者的氣管狹窄是由起源、走行、位置正常但壓力增高、直徑增粗的血管或擴大的心臟引起,其治療方法可明顯簡化、且有良好的預后,這完全不同于其它類型的氣管狹窄,可稱之為肺動脈高壓或肺血增多型先心病相關性氣管狹窄。本文采用新的方法對這類疾病進行外科治療,療效滿意。
1 資料與方法
1.1 臨床資料
2010 年 6 月至 2014 年 6 月,31 例重癥肺血增多型先心病合并氣管/支氣管狹窄患者完成外科治療,其中男 18 例、女 13 例,平均年齡 1.5~36.0(14.6±4.0)個月,體重 3.7~15.5(8.8±3.0)kg。所有患兒均具有巨大室間隔缺損(VSD)及重度肺動脈高壓,其中有房間隔缺損 11 例,動脈導管未閉 10 例,二尖瓣反流 13 例(輕度 4 例,中度 4 例,重度 5 例),三尖瓣反流 15 例(輕度 7 例、中度 8 例),肺動脈瓣反流 5 例(均為輕度)。所有病例均無主動脈雙弓、迷走鎖骨下動脈、動脈韌帶所致的血管環或肺動脈吊帶等。其它伴發的心外畸形有 21 三體 3 例、會厭軟化 1 例、明顯增大的心臟擠壓致左下肺發育不良(CTA 示相應的肺動靜脈及支氣管無顯影)2 例。術前所有患者均存在呼吸急促,反復支氣管肺炎及心衰史,有吸入性喉鳴 3 例,嗆咳 2 例,肺不張 8 例,無法哭鬧 1 例,另有 1 例出生后 15 d 發生肺炎及心衰、不能脫離無創呼吸機,無法哭鬧、不能出院。
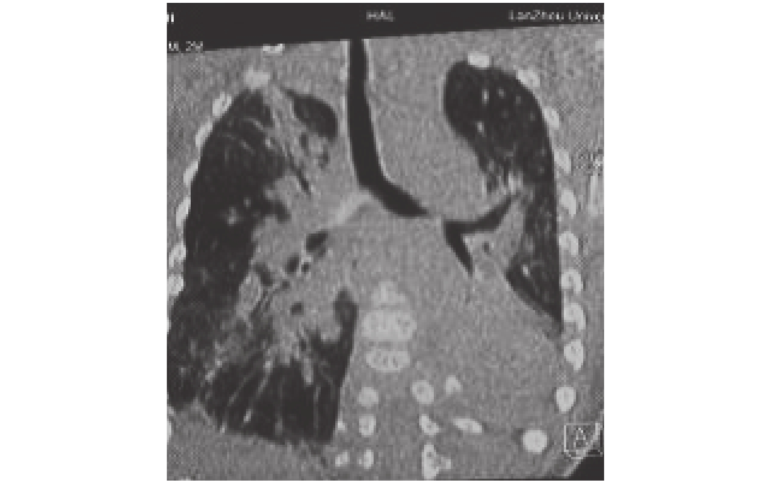
全部患兒經 64 排 CTA 檢查(圖 1)并行纖維支氣管鏡檢查或 CT 檢查,均存在氣管/支氣管狹窄(輕度 13 例,中度 7 例,重度 8 例,次全閉塞 3 例),其中左支氣管狹窄 22 例,右側支氣管狹窄 5 例,氣管分叉處狹窄 4 例。行纖維支氣管鏡檢查 2 例:狹窄位于左、右支氣管各 1 例,前后徑明顯小于上下徑,呈“受壓”的窄隙狀,纖維支氣管鏡無法通過。

1.2 方法
12 例患兒術前心衰,給予強心、利尿、擴血管、吸氧等治療。15 例肺部感染者給予抗炎、化痰、體療、霧化吸入等治療,其中 3 例肺部感染及心衰不能用藥物控制者,行急診手術治療;其余患者均在肺部感染及心衰控制后手術。
術中心內畸形處理同常規手術:所有動脈導管均切斷縫合,室間隔缺損用經 0.6% 戊二醛處理的心包片連續縫合法修補,房間隔缺損用新鮮心包片連續縫合或直接縫合修補,中度以上二尖瓣及三尖瓣反流均行瓣膜成形術,3 例肺動脈瓣反流較輕未處理。對狹窄的氣管,輕度狹窄均未處理,中度以上狹窄者采用直接干預心臟及血管及肺動脈壁部分切除為主的間接干預:游離并切斷動脈韌帶或動脈導管,游離左右肺動脈但保留肺動脈后壁與氣管的粘連以防止術后可能的氣管軟化,完成心內畸形矯治術后沿長軸切開肺動脈及左右肺動脈,切除部分肺動脈壁后將切緣縫閉,使成形后的肺動脈接近同年齡正常的肺動脈直徑。術后治療同常規的心臟 ICU 治療。出院后強心、利尿治療 1 個月。
測量所有患者手術前及術后 9 d 的心胸比率、肺動脈壓、左心室舒張期末前后徑、肺動脈直徑、氣管狹窄段直徑。
1.3 統計學分析
采用 SPSS21.0 軟件進行統計分析。計量資料采用均數±標準差( )表示,組間比較采用配對t 檢驗,P<0.05 為差異有統計學意義。
2 結果
術前平均住院時間 12.0 d,術中體外循環時間(65.0±21.0)min,主動脈阻斷時間(42.0±16.0)min,術后呼吸機應用時間平均(25.0±18.0)h,最長 4.0 d,ICU 滯留時間 14.0(4.0±1.8)d。所有患者生存,術后 9 例并發氣道痙攣,經藥物治療后消失。術后 9 d 復查胸部 X 線片示心胸比率較術前降低,但差異無統計學意義(P>0.05)。超聲示心內畸形消失,左心室舒張期末前后徑較術前縮小(P<0.05),肺動脈壓降低(P<0.01),肺動脈血流速度基本正常。術后 9 d CTA(圖 2)示:所有患者肺動脈直徑均較術前縮小(P<0.01),氣管直徑恢復正常 28 例,殘留輕度氣管狹窄 3 例(1 例術前為重度狹窄,2 例為次全閉塞),所有術前不張的肺組織重新復張。2 例于術后帶氣管內插管時行纖維支氣管鏡檢查,見氣管受壓塌陷消失,管徑增粗,氣管鏡可順利通過。手術前后臨床資料比較見表 1。


術后無 1 例死亡。所有患兒出院后隨訪 6 個月至 4 年,平均(2.5±1.4)年,原有的反復肺炎、拒奶、呼吸急促等癥狀消失,體重逐漸增加,活動耐力增加,生長發育良好。心臟彩色超聲心動圖示擴大的左室逐漸縮小到與同齡兒童相當,肺動脈壓逐漸下降,肺動脈及左右分支直徑正常,其血流速度基本正常。術后 1 年 CT 示(圖 3)無再狹窄發生,早期殘留輕度氣管狹窄的 3 例患者于 1 年后消失。術后 3 年 CT 示(圖 4)氣管正常,雙肺正常。


3 討論
我國先天性心臟病發病率為 0.7%~0.8%[2],其中 1/2 為重癥及復雜病例,這些病例中,有部分患者會伴發氣管狹窄,他們易出現氣促、喘憋、反復呼吸道感染等,臨床上往往歸結為心衰、肺充血、肺炎等而忽視氣管狹窄,以往多數病例因術中氣管插管困難或術后不能脫離呼吸機反復插管被發現[3]。目前隨著認識的提高及 CT、纖維支氣管鏡等檢查的普及,多數患者在術前均可發現。
目前尚無統一的氣管狹窄標準。Cotton 分型主要應用于聲門下裂狹窄的病例,并不適用于隆突處氣管及支氣管狹窄[4]。Anton Pacheco 分型和 Cantrell 分型被廣泛應用于臨床,用于判斷手術指征和選擇手術方法。Anton-Pacheco 法主要根據臨床表現進行分型,輕:偶有或無臨床表現;中:有臨床表現,但無呼吸窘迫;重:有呼吸窘迫。國內外研究表明,與 Cantrell 分型相比,Anton-Pacheco 分型對判斷預后更具指導意義。其更多地被應用于判斷手術指征,選擇手術方式[5-6]。本組病例均采用 Anton-Pacheco 分型法,結合臨床表現和相關輔助檢查判斷有無手術指征。
治療方面以同期進行心臟及氣管手術已被國內外多數學者接受[7-9],心臟畸形矯治技術已相對成熟,對氣管狹窄的治療方法則各異:由血管環、或肺動脈吊帶引起的氣管或支氣管狹窄[10],臨床上有標準的外科治療原則及手術方法,依據這些原則及方法即可解決患者支氣管狹窄的問題且絕大多數患者均可獲得滿意的療效。由氣管本身的問題導致的狹窄可用自體氣管成形、用心包或肋軟骨加寬狹窄的氣管、同種氣管移植或 Sliding 技術[11]等解決。臨床結果證實這些干預方法在一定程度上可以解決患者短期內氣管狹窄的問題,但卻存在不足,主要為各種直接干預氣管的方法遠期氣管再狹窄難以避免,且手術復雜,手術時間長,僅少數心臟中心可開展,患者在手術后死亡率高,恢復慢[12]。故尋找理想的治療方法是臨床亟待解決的課題。
研究顯示先天性心臟病患者氣管狹窄發病率高于其他人群[13-14],其中部分患者的氣管或支氣管狹窄與增粗的肺動脈壓迫有關[15-16]。Kussman 等[17]闡述了部分先天性心臟病早期未得到矯正,致心臟和肺動脈擴大導致氣道受壓和支氣管狹窄,如法洛四聯癥伴肺動脈瓣缺如、巨大室間隔缺損、較大的左向右分流常導致肺動脈明顯擴張,壓迫支氣管。因此,有學者采用前移右肺動脈或折疊肺動脈壁等方法以解除對支氣管的壓迫[18]。本課題組研究發現:因氣管或其分支走行于心臟、降主動脈及肺動脈之間,在重癥先天性心臟病患者中,若存在明顯高壓且增粗的肺動脈及擴大的心臟,則會壓迫位于其后方的氣管或支氣管,即出現“夾持”氣管的情況,這會導致氣管狹窄。由于高壓且明顯增粗的肺動脈向后壓迫是導致氣管狹窄最主要的原因,氣管自身組織結構并無明顯異常,故可以稱為肺動脈高壓相關性氣管狹窄,由于心臟增大、肺靜脈增粗等也參與壓迫鄰近的氣管,故也可稱為肺血增多型先心病相關性氣管狹窄。因這種狹窄的氣管本身并無器質性病變,故無需直接外科干預狹窄的氣管。術中若矯治了心內畸形,心臟會逐漸減小,肺動脈壓會明顯下降,對于明顯增粗的肺動脈,若再切除部分肺動脈壁,使肺動脈變細,則心臟及肺動脈對氣管及支氣管的壓迫作用減輕或消失,狹窄的氣管得以復張。
我們的研究結果顯示,對先心病伴輕度氣管狹窄患者,術中僅完成心內畸形矯治即可,無需采取特殊的針對氣管的措施。對伴有中度以上氣管狹窄的患者術中除完成心內畸形矯治外,尚需采取肺動脈及左右肺動脈成形術、動脈導管或動脈韌帶切斷術等方法來增加氣管或支氣管周圍的空間,以解除對氣管的壓迫。具體措施為術中在體外循環前游離并切斷動脈韌帶或動脈導管,游離左右肺動脈但保留肺動脈后壁與氣管的粘連以防止術后可能的氣管軟化。完成心內畸形矯治術后沿長軸切開肺動脈及左右肺動脈,切除部分肺動脈壁后將切緣縫閉,完成肺動脈成形術。需注意切除程度及范圍,切除程度參照相同年齡正常人的氣管直徑,使成形后的肺動脈等于或略高于同年齡正常人的氣管直徑,切除范圍遠端至肺動脈出心包處,近端至肺動脈分叉,主肺動脈明顯增粗者需切除部分肺動脈前壁,須防止切除太多導致的肺動脈狹窄,使術后兩側肺動脈直徑基本相等,避免只切除導致氣管狹窄相關的肺動脈而不切除另一側,這可能導致術后的雙側肺血不平衡。術后治療同常規治療。
肺血增多型先心病相關性氣管狹窄僅占先心病合并氣管狹窄的一部分,具體比例尚待進一步研究,在手術治療前,臨床醫師必須首先明確患者的氣管狹窄是否由上述心臟原因引起的,若患者伴有氣管自身的狹窄則不適合上述治療原則及治療方法。鑒別二者最可靠的方法為氣管鏡檢查,但由于這部分患者多為小嬰兒,術前的氣管鏡檢查存在風險及諸多不便,可通過心臟及大血管 CTA、心臟彩色超聲心動圖等檢查,若發現存在增粗且高壓的肺動脈或分支等鄰近器官壓迫氣管、同時結合病史可完成術前診斷。
肺動脈壁部分切除為主的間接治療法在理論上保證了氣管本身結構的完整性、遠期有生長潛能且不會再狹窄,具有良好的預后,且外科操作技術簡單、手術時間短、易于推廣。經這樣治療的患者術后恢復快、成活率高、費用低、無遠期氣管再狹窄,生活質量可達正常人水平,臨床結果證實無氣管再狹窄發生。該方法是這類疾病治療的理想方法。
先天性心臟病(先心病)合并氣管狹窄診斷困難,病情嚴重,治療棘手,療效不十分滿意。文獻報道其死亡率可高達 41.7%[1]。重癥先天性心臟病合并中重度氣管或支氣管狹窄的診治更是臨床難點。部分重癥先心病患者的氣管狹窄是由起源、走行、位置正常但壓力增高、直徑增粗的血管或擴大的心臟引起,其治療方法可明顯簡化、且有良好的預后,這完全不同于其它類型的氣管狹窄,可稱之為肺動脈高壓或肺血增多型先心病相關性氣管狹窄。本文采用新的方法對這類疾病進行外科治療,療效滿意。
1 資料與方法
1.1 臨床資料
2010 年 6 月至 2014 年 6 月,31 例重癥肺血增多型先心病合并氣管/支氣管狹窄患者完成外科治療,其中男 18 例、女 13 例,平均年齡 1.5~36.0(14.6±4.0)個月,體重 3.7~15.5(8.8±3.0)kg。所有患兒均具有巨大室間隔缺損(VSD)及重度肺動脈高壓,其中有房間隔缺損 11 例,動脈導管未閉 10 例,二尖瓣反流 13 例(輕度 4 例,中度 4 例,重度 5 例),三尖瓣反流 15 例(輕度 7 例、中度 8 例),肺動脈瓣反流 5 例(均為輕度)。所有病例均無主動脈雙弓、迷走鎖骨下動脈、動脈韌帶所致的血管環或肺動脈吊帶等。其它伴發的心外畸形有 21 三體 3 例、會厭軟化 1 例、明顯增大的心臟擠壓致左下肺發育不良(CTA 示相應的肺動靜脈及支氣管無顯影)2 例。術前所有患者均存在呼吸急促,反復支氣管肺炎及心衰史,有吸入性喉鳴 3 例,嗆咳 2 例,肺不張 8 例,無法哭鬧 1 例,另有 1 例出生后 15 d 發生肺炎及心衰、不能脫離無創呼吸機,無法哭鬧、不能出院。
全部患兒經 64 排 CTA 檢查(圖 1)并行纖維支氣管鏡檢查或 CT 檢查,均存在氣管/支氣管狹窄(輕度 13 例,中度 7 例,重度 8 例,次全閉塞 3 例),其中左支氣管狹窄 22 例,右側支氣管狹窄 5 例,氣管分叉處狹窄 4 例。行纖維支氣管鏡檢查 2 例:狹窄位于左、右支氣管各 1 例,前后徑明顯小于上下徑,呈“受壓”的窄隙狀,纖維支氣管鏡無法通過。

1.2 方法
12 例患兒術前心衰,給予強心、利尿、擴血管、吸氧等治療。15 例肺部感染者給予抗炎、化痰、體療、霧化吸入等治療,其中 3 例肺部感染及心衰不能用藥物控制者,行急診手術治療;其余患者均在肺部感染及心衰控制后手術。
術中心內畸形處理同常規手術:所有動脈導管均切斷縫合,室間隔缺損用經 0.6% 戊二醛處理的心包片連續縫合法修補,房間隔缺損用新鮮心包片連續縫合或直接縫合修補,中度以上二尖瓣及三尖瓣反流均行瓣膜成形術,3 例肺動脈瓣反流較輕未處理。對狹窄的氣管,輕度狹窄均未處理,中度以上狹窄者采用直接干預心臟及血管及肺動脈壁部分切除為主的間接干預:游離并切斷動脈韌帶或動脈導管,游離左右肺動脈但保留肺動脈后壁與氣管的粘連以防止術后可能的氣管軟化,完成心內畸形矯治術后沿長軸切開肺動脈及左右肺動脈,切除部分肺動脈壁后將切緣縫閉,使成形后的肺動脈接近同年齡正常的肺動脈直徑。術后治療同常規的心臟 ICU 治療。出院后強心、利尿治療 1 個月。
測量所有患者手術前及術后 9 d 的心胸比率、肺動脈壓、左心室舒張期末前后徑、肺動脈直徑、氣管狹窄段直徑。
1.3 統計學分析
采用 SPSS21.0 軟件進行統計分析。計量資料采用均數±標準差( )表示,組間比較采用配對t 檢驗,P<0.05 為差異有統計學意義。
2 結果
術前平均住院時間 12.0 d,術中體外循環時間(65.0±21.0)min,主動脈阻斷時間(42.0±16.0)min,術后呼吸機應用時間平均(25.0±18.0)h,最長 4.0 d,ICU 滯留時間 14.0(4.0±1.8)d。所有患者生存,術后 9 例并發氣道痙攣,經藥物治療后消失。術后 9 d 復查胸部 X 線片示心胸比率較術前降低,但差異無統計學意義(P>0.05)。超聲示心內畸形消失,左心室舒張期末前后徑較術前縮小(P<0.05),肺動脈壓降低(P<0.01),肺動脈血流速度基本正常。術后 9 d CTA(圖 2)示:所有患者肺動脈直徑均較術前縮小(P<0.01),氣管直徑恢復正常 28 例,殘留輕度氣管狹窄 3 例(1 例術前為重度狹窄,2 例為次全閉塞),所有術前不張的肺組織重新復張。2 例于術后帶氣管內插管時行纖維支氣管鏡檢查,見氣管受壓塌陷消失,管徑增粗,氣管鏡可順利通過。手術前后臨床資料比較見表 1。


術后無 1 例死亡。所有患兒出院后隨訪 6 個月至 4 年,平均(2.5±1.4)年,原有的反復肺炎、拒奶、呼吸急促等癥狀消失,體重逐漸增加,活動耐力增加,生長發育良好。心臟彩色超聲心動圖示擴大的左室逐漸縮小到與同齡兒童相當,肺動脈壓逐漸下降,肺動脈及左右分支直徑正常,其血流速度基本正常。術后 1 年 CT 示(圖 3)無再狹窄發生,早期殘留輕度氣管狹窄的 3 例患者于 1 年后消失。術后 3 年 CT 示(圖 4)氣管正常,雙肺正常。


3 討論
我國先天性心臟病發病率為 0.7%~0.8%[2],其中 1/2 為重癥及復雜病例,這些病例中,有部分患者會伴發氣管狹窄,他們易出現氣促、喘憋、反復呼吸道感染等,臨床上往往歸結為心衰、肺充血、肺炎等而忽視氣管狹窄,以往多數病例因術中氣管插管困難或術后不能脫離呼吸機反復插管被發現[3]。目前隨著認識的提高及 CT、纖維支氣管鏡等檢查的普及,多數患者在術前均可發現。
目前尚無統一的氣管狹窄標準。Cotton 分型主要應用于聲門下裂狹窄的病例,并不適用于隆突處氣管及支氣管狹窄[4]。Anton Pacheco 分型和 Cantrell 分型被廣泛應用于臨床,用于判斷手術指征和選擇手術方法。Anton-Pacheco 法主要根據臨床表現進行分型,輕:偶有或無臨床表現;中:有臨床表現,但無呼吸窘迫;重:有呼吸窘迫。國內外研究表明,與 Cantrell 分型相比,Anton-Pacheco 分型對判斷預后更具指導意義。其更多地被應用于判斷手術指征,選擇手術方式[5-6]。本組病例均采用 Anton-Pacheco 分型法,結合臨床表現和相關輔助檢查判斷有無手術指征。
治療方面以同期進行心臟及氣管手術已被國內外多數學者接受[7-9],心臟畸形矯治技術已相對成熟,對氣管狹窄的治療方法則各異:由血管環、或肺動脈吊帶引起的氣管或支氣管狹窄[10],臨床上有標準的外科治療原則及手術方法,依據這些原則及方法即可解決患者支氣管狹窄的問題且絕大多數患者均可獲得滿意的療效。由氣管本身的問題導致的狹窄可用自體氣管成形、用心包或肋軟骨加寬狹窄的氣管、同種氣管移植或 Sliding 技術[11]等解決。臨床結果證實這些干預方法在一定程度上可以解決患者短期內氣管狹窄的問題,但卻存在不足,主要為各種直接干預氣管的方法遠期氣管再狹窄難以避免,且手術復雜,手術時間長,僅少數心臟中心可開展,患者在手術后死亡率高,恢復慢[12]。故尋找理想的治療方法是臨床亟待解決的課題。
研究顯示先天性心臟病患者氣管狹窄發病率高于其他人群[13-14],其中部分患者的氣管或支氣管狹窄與增粗的肺動脈壓迫有關[15-16]。Kussman 等[17]闡述了部分先天性心臟病早期未得到矯正,致心臟和肺動脈擴大導致氣道受壓和支氣管狹窄,如法洛四聯癥伴肺動脈瓣缺如、巨大室間隔缺損、較大的左向右分流常導致肺動脈明顯擴張,壓迫支氣管。因此,有學者采用前移右肺動脈或折疊肺動脈壁等方法以解除對支氣管的壓迫[18]。本課題組研究發現:因氣管或其分支走行于心臟、降主動脈及肺動脈之間,在重癥先天性心臟病患者中,若存在明顯高壓且增粗的肺動脈及擴大的心臟,則會壓迫位于其后方的氣管或支氣管,即出現“夾持”氣管的情況,這會導致氣管狹窄。由于高壓且明顯增粗的肺動脈向后壓迫是導致氣管狹窄最主要的原因,氣管自身組織結構并無明顯異常,故可以稱為肺動脈高壓相關性氣管狹窄,由于心臟增大、肺靜脈增粗等也參與壓迫鄰近的氣管,故也可稱為肺血增多型先心病相關性氣管狹窄。因這種狹窄的氣管本身并無器質性病變,故無需直接外科干預狹窄的氣管。術中若矯治了心內畸形,心臟會逐漸減小,肺動脈壓會明顯下降,對于明顯增粗的肺動脈,若再切除部分肺動脈壁,使肺動脈變細,則心臟及肺動脈對氣管及支氣管的壓迫作用減輕或消失,狹窄的氣管得以復張。
我們的研究結果顯示,對先心病伴輕度氣管狹窄患者,術中僅完成心內畸形矯治即可,無需采取特殊的針對氣管的措施。對伴有中度以上氣管狹窄的患者術中除完成心內畸形矯治外,尚需采取肺動脈及左右肺動脈成形術、動脈導管或動脈韌帶切斷術等方法來增加氣管或支氣管周圍的空間,以解除對氣管的壓迫。具體措施為術中在體外循環前游離并切斷動脈韌帶或動脈導管,游離左右肺動脈但保留肺動脈后壁與氣管的粘連以防止術后可能的氣管軟化。完成心內畸形矯治術后沿長軸切開肺動脈及左右肺動脈,切除部分肺動脈壁后將切緣縫閉,完成肺動脈成形術。需注意切除程度及范圍,切除程度參照相同年齡正常人的氣管直徑,使成形后的肺動脈等于或略高于同年齡正常人的氣管直徑,切除范圍遠端至肺動脈出心包處,近端至肺動脈分叉,主肺動脈明顯增粗者需切除部分肺動脈前壁,須防止切除太多導致的肺動脈狹窄,使術后兩側肺動脈直徑基本相等,避免只切除導致氣管狹窄相關的肺動脈而不切除另一側,這可能導致術后的雙側肺血不平衡。術后治療同常規治療。
肺血增多型先心病相關性氣管狹窄僅占先心病合并氣管狹窄的一部分,具體比例尚待進一步研究,在手術治療前,臨床醫師必須首先明確患者的氣管狹窄是否由上述心臟原因引起的,若患者伴有氣管自身的狹窄則不適合上述治療原則及治療方法。鑒別二者最可靠的方法為氣管鏡檢查,但由于這部分患者多為小嬰兒,術前的氣管鏡檢查存在風險及諸多不便,可通過心臟及大血管 CTA、心臟彩色超聲心動圖等檢查,若發現存在增粗且高壓的肺動脈或分支等鄰近器官壓迫氣管、同時結合病史可完成術前診斷。
肺動脈壁部分切除為主的間接治療法在理論上保證了氣管本身結構的完整性、遠期有生長潛能且不會再狹窄,具有良好的預后,且外科操作技術簡單、手術時間短、易于推廣。經這樣治療的患者術后恢復快、成活率高、費用低、無遠期氣管再狹窄,生活質量可達正常人水平,臨床結果證實無氣管再狹窄發生。該方法是這類疾病治療的理想方法。