引用本文: 胡楝, 曹勇, 韋國雄, 劉超, 梁華, 余觀水. 單純超聲引導下經皮封堵治療先天性心臟病. 中國胸心血管外科臨床雜志, 2017, 24(1): 52-55. doi: 10.7507/1007-4848.201603017 復制
經皮 X 線引導下行先天性心臟病(先心病)介入封堵術,其封堵器植入的過程需要 X 線的引導[1]。由于 X 線是平面投影圖像,不能較好顯示封堵器對肺靜脈、二尖瓣、三尖瓣、冠狀靜脈竇等重要結構的影響,但超聲心動圖可以清晰顯示心腔內結構,完全能夠監測封堵器植入的全過程。本研究利用胸超聲心動圖引導行經皮先心病封堵術,從而實現不用 X 線經皮介入治療先心病。
1 資料與方法
1.1 臨床資料
回顧性分析我院 2013 年 11 月至 2015 年 11 月行單純超聲引導下經皮封堵術 37 例先心病患者的臨床資料,其中男 15 例、女 22 例,年齡 1~16 歲。通過病史、體征和輔助檢查確診為房間隔缺損(atrial septal defect, ASD)和動脈導管未閉(patent ductus arteriosus, PDA),ASD 患者 32 例,平均年齡(8±5)歲,體質量(20±8)kg,平均 ASD 大小(12±5)mm。PDA 患者 5 例,平均年齡(5±3)歲,體質量(12±5)kg,平均 PDA 大小(5±2)mm。所有入選患者術前經胸超聲檢查,測量 ASD 直徑并觀察邊緣情況和 PDA 大小、形態。入選患者根據家屬或患者本人意愿,選擇經胸超聲引導下行封堵術。所有患者術后 1、3、6 個月后門診隨訪,并復查心電圖和心臟彩超。
1.2 儀器和手術方法
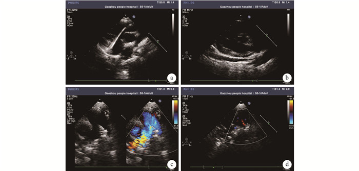
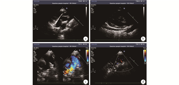
儀器選擇飛利普 IE33 床旁超聲診斷儀器。首先于胸骨旁多切面觀察 ASD、PDA 位置及大小,再次確定適應證。所有入選患者均由熟悉介入的外科醫生和超聲醫師在導管室或手術室進行。患者取仰臥位,局部麻醉或全身麻醉。于患者臍部以下、膝蓋以上消毒鋪單,臍部以上裸露方便超聲醫師檢查。術者及助手位于患者右側,超聲醫師位于患者右側操作。穿刺右側股靜脈,經動脈鞘送入導管及導絲。PDA 封堵(圖 1):超聲觀察導管和導絲走行于下腔靜脈并進入右房。使導管指向三尖瓣,置入超滑導絲,在超聲引導下通過三尖瓣、右室、肺動脈、動脈導管未閉到達降主動脈,交換為加硬導絲,置入輸送鞘管到達降主動脈,封堵器腰部直徑要選擇比 PDA 最窄處內徑大 3~6 mm,在超聲監測下釋放封堵器。ASD 封堵(圖 2):探頭選擇胸骨旁四腔心切面,在超聲引導下從股靜脈置入加硬導絲和輸送鞘管,將鞘管通過 ASD,撤出導絲和內芯后超聲可看到鞘管有“雙腔征”,然后置入 ASD 封堵器(腰部直徑比 ASD 最窄處內徑大 2~4 mm),依次打開左右盤傘封堵 ASD。行多切面觀察,觀察封堵器的位置、形態和周圍結構,然后指導操作醫師釋放封堵器,確定封堵成功。ASD 患者均于術后 24 h 皮下注射低分子肝素抗凝,每日口服阿司匹林 3~5 mg/kg 抗凝 6 個月。PDA 患者不需要抗凝。


2 結果
37 例患者均在超聲引導下完成經皮封堵,其中有 2 例早期需借助 X 線確定部位。全部經股靜脈封堵成功。ASD 封堵手術時間 32~55 min,封堵器大小 8~28 mm,其中 1 例由于下腔靜脈邊緣軟,容易從左房脫入右房,更換大的封堵器后封堵成功。PDA 封堵手術時間 35~72 min,封堵器大小 6/8~14/16 mm。平均住院時間 3~9(5±1)d。所有患者順利出院,無明顯殘余分流、外周血管損傷和心臟穿孔等手術并發癥。術后 1、3、6 個月分別復查心臟超聲和心電圖,隨訪率分別為 91.9%(34/37)、83.8%(31/37)、78.4%(29/37)。隨訪病例封堵器功能良好,無明顯殘余分流、二尖瓣、三尖瓣反流、感染性心內膜炎、心律失常、心包積液等術后并發癥出現。
3 討論
以往常規開胸手術需要通過正中切口或側切口,然后出現了放射線引導下經皮介入封堵術,其具有創傷小、心臟不停跳的優點,實現了不開刀治療心臟病,但是這種方法卻有放射線輻射損傷[2-7]。外科醫師將上述兩種方法結合起來,并引入超聲技術,創造第三種方法:超聲引導經胸封堵術,這種方法不用放射線,而且心臟不用停跳,但有創傷,切口比經皮介入的創傷大。潘湘斌等[8-10]使用了一種新的治療方法:超聲引導下經皮介入封堵術,該方法創傷小,并將傳統經皮介入封堵術改為全程在超聲引導下完成,沒有輻射,不需要特殊防護,安全可靠,減輕患者負擔及痛苦,而且能最大限度地保證患者的安全。
X 線引導下經皮封堵術由于創傷小、無需外科開胸、體外循環等優勢,已經成為先心病患者的首選治療方法[11-14]。但 X 線輻射本身具有一定的損傷[15-16]。傳統經皮封堵術術中使用放射線會影響患者骨髓、生殖器及甲狀腺等器官的功能,部分患者為排除心臟其他畸形使用對比劑存在過敏和腎衰竭的風險[8],如果能夠在保證安全及有效性的前提下,避免患者及醫生受到 X 線輻射損傷,這樣可以對先心病介入治療有很大改進。我們知道超聲心動圖是作為先心病介入治療的主要輔助工具,包括術前先心病適應證選擇,術中術后評價封堵器植入效果,還有出院后隨診等。實際上,超聲心動圖可以發揮更好的作用,能夠做到實時監測封堵器植入的全過程。超聲心動圖能夠清晰顯示心腔內結構及血流,具有實時監測的特點,超聲在顯示封堵器對二尖瓣、三尖瓣、肺靜脈、冠狀靜脈竇等影響方面,具有 X 線不具備的優勢。
首先對 ASD 患者,術前先測量胸骨右緣第 3 肋間至右側股靜脈穿刺點的距離,并在導管上標記相應距離,需要憑借手感技術準確將導絲送入下腔靜脈近心端。經胸超聲心動圖可以顯示下腔靜脈、右心房,引導其通過 ASD,建立封堵軌道,全程監測 ASD 封堵器在心房內釋放的全過程。同時觀察到封堵器位置、有無殘余分流、二尖瓣、三尖瓣是否受影響等信息[17]。經胸超聲引導經皮 ASD 封堵術適應證范圍要較 X 線引導和經食管超聲引導 ASD 封堵術的適應證范圍要小。因為經胸超聲受到聲窗條件的限制,對部分患者特別是成人患者無法清晰顯示心腔內結構,包括肥胖、桶狀胸、胸骨畸形等[9]。適應證:(1)年齡≥2歲,體重>10 kg;(2)ASD 最大直徑 5~20 mm;(3)缺損邊緣至冠狀靜脈竇、上下腔靜脈及肺靜脈距離≥5 mm,至房室瓣≥7 mm;(4)房間隔最大伸展徑>所測 ASD 最大徑 +14 mm。禁忌證:(1)原發孔型 ASD 及靜脈竇型ASD;(2)心內膜炎及出血性疾病;(3)封堵器安置處或導管插入途徑有血栓形成;(4)嚴重肺動脈高壓導致右向左分流。不能適用于太大的 ASD,本組病例 ASD 最大直徑不超過 20 mm,超過 30 mm ASD 封堵器需要選用肺靜脈釋放法,超聲下引導釋放較難,而且風險大,容易損傷左房壁。經胸超聲引導經皮 ASD 封堵術需要經驗豐富、技術熟練的介入醫生、外科醫生和超聲醫生的緊密配合。要求醫生熟練的介入技術,最好是熟練開展介入治療的心血管外科醫生,超聲醫師熟悉心臟解剖,準確掃描和切換不同切面,跟蹤并引導導管導絲走行,迅速找到關鍵切面。同時保證清晰顯示整個封堵全過程[18]。本組 29 例患者是在介入室進行,因為擔心失敗可中轉為數字減影血管造影(DSA)引導下治療;熟練后有 8 例在外科手術室進行。
我們選用體重≥5 kg單純 PDA 患兒,同樣經胸超聲引導導管導絲經過三尖瓣、右室、肺動脈。當導管進人體內達到標記距離后,旋轉導管,方便超聲探查導管在右心房內的位置,并可防止導管插入過深而損傷心臟[10,19]。在鎖骨上窩切面和短軸切面引導加硬導絲通過PDA,這是關鍵步驟,然后在劍突下切面監測導管和導絲,置入輸送鞘管到達降主動脈,選擇 PDA 封堵器,在超聲監測下釋放封堵器。整個操作過程完全在超聲的實時監測下進行,保證了操作安全性。但相比 ASD 封堵難度要大,時間要長。目前正在建雜交手術室,雜交手術室建成后,可以使先心病達到“一站式”完成手術,術前可以綜合評估,經皮超聲引導下-經皮 DSA 下-經胸超聲引導下-常規開胸手術,使患者盡量微創治療。如果一旦封堵失敗或出現封堵器脫落、心臟穿孔、心包壓塞等威脅生命的并發癥時,可即刻行開胸心臟直視手術[20]。
經胸超聲引導下經皮先心病封堵無需大型造影設備,是目前創傷最小的先心病治療手段。經本組研究證明此方法能夠為患者提供安全、可靠、優質的治療效果,具有良好的可行性,對于特定適應證的 ASD、PDA 患者是非常理想的選擇。
經皮 X 線引導下行先天性心臟病(先心病)介入封堵術,其封堵器植入的過程需要 X 線的引導[1]。由于 X 線是平面投影圖像,不能較好顯示封堵器對肺靜脈、二尖瓣、三尖瓣、冠狀靜脈竇等重要結構的影響,但超聲心動圖可以清晰顯示心腔內結構,完全能夠監測封堵器植入的全過程。本研究利用胸超聲心動圖引導行經皮先心病封堵術,從而實現不用 X 線經皮介入治療先心病。
1 資料與方法
1.1 臨床資料
回顧性分析我院 2013 年 11 月至 2015 年 11 月行單純超聲引導下經皮封堵術 37 例先心病患者的臨床資料,其中男 15 例、女 22 例,年齡 1~16 歲。通過病史、體征和輔助檢查確診為房間隔缺損(atrial septal defect, ASD)和動脈導管未閉(patent ductus arteriosus, PDA),ASD 患者 32 例,平均年齡(8±5)歲,體質量(20±8)kg,平均 ASD 大小(12±5)mm。PDA 患者 5 例,平均年齡(5±3)歲,體質量(12±5)kg,平均 PDA 大小(5±2)mm。所有入選患者術前經胸超聲檢查,測量 ASD 直徑并觀察邊緣情況和 PDA 大小、形態。入選患者根據家屬或患者本人意愿,選擇經胸超聲引導下行封堵術。所有患者術后 1、3、6 個月后門診隨訪,并復查心電圖和心臟彩超。
1.2 儀器和手術方法
儀器選擇飛利普 IE33 床旁超聲診斷儀器。首先于胸骨旁多切面觀察 ASD、PDA 位置及大小,再次確定適應證。所有入選患者均由熟悉介入的外科醫生和超聲醫師在導管室或手術室進行。患者取仰臥位,局部麻醉或全身麻醉。于患者臍部以下、膝蓋以上消毒鋪單,臍部以上裸露方便超聲醫師檢查。術者及助手位于患者右側,超聲醫師位于患者右側操作。穿刺右側股靜脈,經動脈鞘送入導管及導絲。PDA 封堵(圖 1):超聲觀察導管和導絲走行于下腔靜脈并進入右房。使導管指向三尖瓣,置入超滑導絲,在超聲引導下通過三尖瓣、右室、肺動脈、動脈導管未閉到達降主動脈,交換為加硬導絲,置入輸送鞘管到達降主動脈,封堵器腰部直徑要選擇比 PDA 最窄處內徑大 3~6 mm,在超聲監測下釋放封堵器。ASD 封堵(圖 2):探頭選擇胸骨旁四腔心切面,在超聲引導下從股靜脈置入加硬導絲和輸送鞘管,將鞘管通過 ASD,撤出導絲和內芯后超聲可看到鞘管有“雙腔征”,然后置入 ASD 封堵器(腰部直徑比 ASD 最窄處內徑大 2~4 mm),依次打開左右盤傘封堵 ASD。行多切面觀察,觀察封堵器的位置、形態和周圍結構,然后指導操作醫師釋放封堵器,確定封堵成功。ASD 患者均于術后 24 h 皮下注射低分子肝素抗凝,每日口服阿司匹林 3~5 mg/kg 抗凝 6 個月。PDA 患者不需要抗凝。


2 結果
37 例患者均在超聲引導下完成經皮封堵,其中有 2 例早期需借助 X 線確定部位。全部經股靜脈封堵成功。ASD 封堵手術時間 32~55 min,封堵器大小 8~28 mm,其中 1 例由于下腔靜脈邊緣軟,容易從左房脫入右房,更換大的封堵器后封堵成功。PDA 封堵手術時間 35~72 min,封堵器大小 6/8~14/16 mm。平均住院時間 3~9(5±1)d。所有患者順利出院,無明顯殘余分流、外周血管損傷和心臟穿孔等手術并發癥。術后 1、3、6 個月分別復查心臟超聲和心電圖,隨訪率分別為 91.9%(34/37)、83.8%(31/37)、78.4%(29/37)。隨訪病例封堵器功能良好,無明顯殘余分流、二尖瓣、三尖瓣反流、感染性心內膜炎、心律失常、心包積液等術后并發癥出現。
3 討論
以往常規開胸手術需要通過正中切口或側切口,然后出現了放射線引導下經皮介入封堵術,其具有創傷小、心臟不停跳的優點,實現了不開刀治療心臟病,但是這種方法卻有放射線輻射損傷[2-7]。外科醫師將上述兩種方法結合起來,并引入超聲技術,創造第三種方法:超聲引導經胸封堵術,這種方法不用放射線,而且心臟不用停跳,但有創傷,切口比經皮介入的創傷大。潘湘斌等[8-10]使用了一種新的治療方法:超聲引導下經皮介入封堵術,該方法創傷小,并將傳統經皮介入封堵術改為全程在超聲引導下完成,沒有輻射,不需要特殊防護,安全可靠,減輕患者負擔及痛苦,而且能最大限度地保證患者的安全。
X 線引導下經皮封堵術由于創傷小、無需外科開胸、體外循環等優勢,已經成為先心病患者的首選治療方法[11-14]。但 X 線輻射本身具有一定的損傷[15-16]。傳統經皮封堵術術中使用放射線會影響患者骨髓、生殖器及甲狀腺等器官的功能,部分患者為排除心臟其他畸形使用對比劑存在過敏和腎衰竭的風險[8],如果能夠在保證安全及有效性的前提下,避免患者及醫生受到 X 線輻射損傷,這樣可以對先心病介入治療有很大改進。我們知道超聲心動圖是作為先心病介入治療的主要輔助工具,包括術前先心病適應證選擇,術中術后評價封堵器植入效果,還有出院后隨診等。實際上,超聲心動圖可以發揮更好的作用,能夠做到實時監測封堵器植入的全過程。超聲心動圖能夠清晰顯示心腔內結構及血流,具有實時監測的特點,超聲在顯示封堵器對二尖瓣、三尖瓣、肺靜脈、冠狀靜脈竇等影響方面,具有 X 線不具備的優勢。
首先對 ASD 患者,術前先測量胸骨右緣第 3 肋間至右側股靜脈穿刺點的距離,并在導管上標記相應距離,需要憑借手感技術準確將導絲送入下腔靜脈近心端。經胸超聲心動圖可以顯示下腔靜脈、右心房,引導其通過 ASD,建立封堵軌道,全程監測 ASD 封堵器在心房內釋放的全過程。同時觀察到封堵器位置、有無殘余分流、二尖瓣、三尖瓣是否受影響等信息[17]。經胸超聲引導經皮 ASD 封堵術適應證范圍要較 X 線引導和經食管超聲引導 ASD 封堵術的適應證范圍要小。因為經胸超聲受到聲窗條件的限制,對部分患者特別是成人患者無法清晰顯示心腔內結構,包括肥胖、桶狀胸、胸骨畸形等[9]。適應證:(1)年齡≥2歲,體重>10 kg;(2)ASD 最大直徑 5~20 mm;(3)缺損邊緣至冠狀靜脈竇、上下腔靜脈及肺靜脈距離≥5 mm,至房室瓣≥7 mm;(4)房間隔最大伸展徑>所測 ASD 最大徑 +14 mm。禁忌證:(1)原發孔型 ASD 及靜脈竇型ASD;(2)心內膜炎及出血性疾病;(3)封堵器安置處或導管插入途徑有血栓形成;(4)嚴重肺動脈高壓導致右向左分流。不能適用于太大的 ASD,本組病例 ASD 最大直徑不超過 20 mm,超過 30 mm ASD 封堵器需要選用肺靜脈釋放法,超聲下引導釋放較難,而且風險大,容易損傷左房壁。經胸超聲引導經皮 ASD 封堵術需要經驗豐富、技術熟練的介入醫生、外科醫生和超聲醫生的緊密配合。要求醫生熟練的介入技術,最好是熟練開展介入治療的心血管外科醫生,超聲醫師熟悉心臟解剖,準確掃描和切換不同切面,跟蹤并引導導管導絲走行,迅速找到關鍵切面。同時保證清晰顯示整個封堵全過程[18]。本組 29 例患者是在介入室進行,因為擔心失敗可中轉為數字減影血管造影(DSA)引導下治療;熟練后有 8 例在外科手術室進行。
我們選用體重≥5 kg單純 PDA 患兒,同樣經胸超聲引導導管導絲經過三尖瓣、右室、肺動脈。當導管進人體內達到標記距離后,旋轉導管,方便超聲探查導管在右心房內的位置,并可防止導管插入過深而損傷心臟[10,19]。在鎖骨上窩切面和短軸切面引導加硬導絲通過PDA,這是關鍵步驟,然后在劍突下切面監測導管和導絲,置入輸送鞘管到達降主動脈,選擇 PDA 封堵器,在超聲監測下釋放封堵器。整個操作過程完全在超聲的實時監測下進行,保證了操作安全性。但相比 ASD 封堵難度要大,時間要長。目前正在建雜交手術室,雜交手術室建成后,可以使先心病達到“一站式”完成手術,術前可以綜合評估,經皮超聲引導下-經皮 DSA 下-經胸超聲引導下-常規開胸手術,使患者盡量微創治療。如果一旦封堵失敗或出現封堵器脫落、心臟穿孔、心包壓塞等威脅生命的并發癥時,可即刻行開胸心臟直視手術[20]。
經胸超聲引導下經皮先心病封堵無需大型造影設備,是目前創傷最小的先心病治療手段。經本組研究證明此方法能夠為患者提供安全、可靠、優質的治療效果,具有良好的可行性,對于特定適應證的 ASD、PDA 患者是非常理想的選擇。