引用本文: 侯崇智, 施偉棟, 卞軍. 電視胸腔鏡診治12例兒童支氣管囊腫臨床分析. 中國胸心血管外科臨床雜志, 2016, 23(12): 1195-1196. doi: 10.7507/1007-4848.20160279 復制
支氣管囊腫是胚胎發育時期氣管支氣管樹分支異常的罕見畸形,通常認為與妊娠時期肺芽細胞的異常分離發育有關[1]。其可發于任何年齡,以小兒多見。雖為良性病變,但屢有囊腫惡變之報道[2]。因此一經確診,如無手術禁忌均應外科手術治療[3]。本文回顧性分析西安市兒童醫院普外一科2012年1月至2013年9月12例支氣管囊腫行手術治療患兒的臨床資料,旨在探討完全胸腔鏡下切除支氣管囊腫的可行性、安全性及優越性。
1 臨床資料與方法
1.1 臨床資料
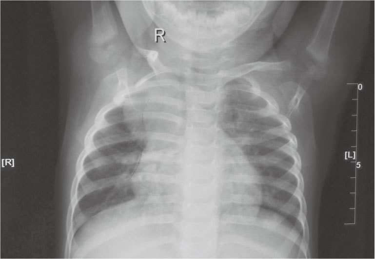
全組共有支氣管囊腫患兒12例,其中男9例,女3例,平均年齡17個月。術前均行正位胸部X線片、胸部B超、胸部增強CT掃描檢查,明確診斷縱隔內囊性包塊,包膜光滑完整,囊腔內密度均勻(圖 1~2)。其中囊腫占位偏于中線左側4例,右側8例,上縱隔9例,中縱隔3例。積極術前準備后行胸腔鏡手術治療。術后病理均為縱隔支氣管源性囊腫。


1.2 手術方法
全組患者單腔氣管插管全身麻醉,取健側臥位,先于患側胸廓腋中線第7或第8肋間做0.5 cm觀察孔,腔鏡監視下根據探查囊腫所在位置不同而分別于鎖骨中線與腋前線之間第4或第5肋間水平及肩胛下線與腋后線第7或第8肋間水平做0.5 cm操作孔。于胸腔內間斷低壓充入CO2氣體形成人工氣胸,壓力控制在4~5 mm Hg。于觀察孔見氣胸形成后肺臟萎陷,由操作孔伸入操作鉗,提牽撥開肺臟向下方,充分暴露囊腫,明確其活動性并判斷是否可順利切除。左手以操作鉗提起囊腫,右手持電凝鉤或超聲刀切開臟層胸膜。對于囊腫巨大者可先行穿刺抽出部分囊液,待囊腫減小后再行分離。于包膜內逐漸分離囊腫與周圍的膜狀粘連帶,如碰見滋養小血管者則采用鏡下絲線結扎、無創血管夾夾閉或電凝止血等手段處理,逐步縮窄囊腫基底部并切除。對于較寬大的基地部或有較粗滋養血管者,則絲線雙重結扎后電刀切除,直至完整切除囊腫。其中1例患兒,分離至右側膈頂時,見粘連緊密,無法鏡下安全分離,故腔鏡引導下于距病變最近處行輔助小切口,腔鏡輔助下完整切除。
2 結果
12例患兒均行胸腔鏡囊腫切除術,其中11例完全在胸腔鏡下完整切除,1例因為術中粘連較重,無法順利分離,故中轉開胸。完全胸腔鏡組平均手術時間72.3 (50~102) min;術中平均出血量3(2~6) ml,無術中輸血。術后均放置胸腔閉式引流管一根,引流1~2 d,平均總引流量55.2(15~130) ml;術后第二天復查無皮下氣腫及呼吸困難,胸部X線片示肺復張良好;術后24~48 h拔除胸腔閉式引流管,術后48 h進食,無惡心嘔吐;平均術后住院時間為4.7 (4~6) d;術后無切口感染,出院時再次復查胸部X線片無胸腔積氣積液。所有患兒術后平均隨訪7.5(3~12) 個月,未見復發病例,呼吸道發病率降低。術后3個月復查胸部X線片,雙側胸廓對稱,雙肺野清晰,觀察傷口已愈合,呈點片狀瘢痕。
3 討論
近年來,胸腔鏡在小兒胸外科的應用越來越廣泛。相較于傳統手術的大切口,胸腔鏡手術切口小,無需撐開肋骨、術后疼痛輕,胸腔干擾少,術后呼吸道并發癥少、恢復快,減輕了患者痛苦,并縮短了術后恢復和住院時間,具有更加明顯的優勢。在胸腔鏡手術過程中需要一定的操作空間來清楚地顯露病變進行手術操作。但由于小兒體腔狹小,加之骨性胸廓的限制,胸腔鏡手術無法像腹腔鏡那樣通過人工氣腹來擴大體腔完成手術,只有通過肺萎陷的方法來獲得更好的操作空間。在成人胸腔鏡手術中常采取靜脝脈吸入復合麻醉雙腔管插管單肺通氣,保證健側肺通氣,充分供氧[4],同時使患側肺臟萎陷,有利手術操作。但是對于小兒來說,由于呼吸道管徑狹小細嫩、適合口徑插管器材的缺乏以及較成人更高的技術要求,使得臨床上肺隔離技術不能廣泛開展。對于本組病例,我們采用單腔插管人工氣胸混合通氣的麻醉方法,解決了小兒麻醉配合和術中暴露欠佳的問題,體會如下:① 平穩的麻醉是手術成功的前提:張劍蔚等[5]提出,全身麻醉下低潮氣量人工通氣法可以安全應用于小兒胸腔鏡手術。我們在術中選用雙肺低潮氣量通氣模式,調整潮氣量為3~5ml/kg,同時配合使用較快呼吸頻率來部分彌補通氣的不足,調節呼吸參數使氣道壓力維持在3.43 mm Hg以內,呼氣末CO2分壓(PCO2) 維持在35~45 mm Hg,在關鍵操作時采用手控呼吸改善肺通氣狀況并予以高濃度氧氣吸入維持動脈血氧分壓于較高水平,避免高碳酸血癥及低氧血癥的發生;② 良好的術野暴露是手術成功的關鍵:自患側胸廓腋中線第7或第8肋間,開放置入5 mm 30°胸腔鏡。盡管10 mm胸腔鏡能取得更好的術野暴露,但是由于小兒胸腔狹小、肋間隙狹窄,應用10 mm胸腔鏡會對肋間隙造成更大的損傷,而3 mm胸腔鏡由于其口徑較小導致術野暗淡,加之鏡體短小,限制了其在深部胸腔的應用。通過腔鏡探查后,根據包塊范圍的大小而選擇操作孔的位置,總體需符合“三角”的原則,避免操作器械與觀察鏡的相互干擾。Koizumi等[6]在術中向胸腔內注入CO2制造人工氣胸,能更好地暴露術野。我們采取他的經驗,向患側胸腔內間斷低壓充入CO2氣體形成人工氣胸,壓力控制在4~5 mm Hg,并嚴密監測血氧及呼氣末CO2分壓,當呼氣末CO2分壓升高>50 mm Hg超過20 min時,暫停手術操作、撤除氣胸、人工膨肺改善肺通氣狀況,避免高碳酸血癥。同時,在手術過程中,可以使用腔鏡鏡體壓迫于肺臟之上,限制肺臟在呼吸機控制下的復張,或利用器械將患側肺臟撥離術野及固定,也可以取得良好的暴露;③ 支氣管囊腫為良性病變,有完整包膜,在分離時,先用電凝鉤打開臟層胸膜,沿包膜鈍性分離。我們體會在分離時采用吸引器進行鈍性分離,邊吸引邊分離,術野清晰,且不易分破包膜。至包塊鄰近脊柱附近時,基底增寬,側枝循環增多,且滋養血管多位于其間,應絲線結扎滋養血管后切斷,并在直視下完整切除基底部避免復發,同時避免術后出血可能。對于包塊體積較大者,可先行經皮穿刺抽出部分囊液,使得體積減小,且能維持一定張力,有利于手術操作。
目前,胸腔鏡技術因具有創傷小、出血少、胸內干擾少、術后恢復快等優點已成為治療支氣管囊腫的首選術式[7-8]。在積極臨床開展此技術的同時,怎么在術中更好的麻醉配合、更佳的術野暴露、相關手術器械的改進研制以及療效的長期評價是我們進一步的關注方向。
支氣管囊腫是胚胎發育時期氣管支氣管樹分支異常的罕見畸形,通常認為與妊娠時期肺芽細胞的異常分離發育有關[1]。其可發于任何年齡,以小兒多見。雖為良性病變,但屢有囊腫惡變之報道[2]。因此一經確診,如無手術禁忌均應外科手術治療[3]。本文回顧性分析西安市兒童醫院普外一科2012年1月至2013年9月12例支氣管囊腫行手術治療患兒的臨床資料,旨在探討完全胸腔鏡下切除支氣管囊腫的可行性、安全性及優越性。
1 臨床資料與方法
1.1 臨床資料
全組共有支氣管囊腫患兒12例,其中男9例,女3例,平均年齡17個月。術前均行正位胸部X線片、胸部B超、胸部增強CT掃描檢查,明確診斷縱隔內囊性包塊,包膜光滑完整,囊腔內密度均勻(圖 1~2)。其中囊腫占位偏于中線左側4例,右側8例,上縱隔9例,中縱隔3例。積極術前準備后行胸腔鏡手術治療。術后病理均為縱隔支氣管源性囊腫。


1.2 手術方法
全組患者單腔氣管插管全身麻醉,取健側臥位,先于患側胸廓腋中線第7或第8肋間做0.5 cm觀察孔,腔鏡監視下根據探查囊腫所在位置不同而分別于鎖骨中線與腋前線之間第4或第5肋間水平及肩胛下線與腋后線第7或第8肋間水平做0.5 cm操作孔。于胸腔內間斷低壓充入CO2氣體形成人工氣胸,壓力控制在4~5 mm Hg。于觀察孔見氣胸形成后肺臟萎陷,由操作孔伸入操作鉗,提牽撥開肺臟向下方,充分暴露囊腫,明確其活動性并判斷是否可順利切除。左手以操作鉗提起囊腫,右手持電凝鉤或超聲刀切開臟層胸膜。對于囊腫巨大者可先行穿刺抽出部分囊液,待囊腫減小后再行分離。于包膜內逐漸分離囊腫與周圍的膜狀粘連帶,如碰見滋養小血管者則采用鏡下絲線結扎、無創血管夾夾閉或電凝止血等手段處理,逐步縮窄囊腫基底部并切除。對于較寬大的基地部或有較粗滋養血管者,則絲線雙重結扎后電刀切除,直至完整切除囊腫。其中1例患兒,分離至右側膈頂時,見粘連緊密,無法鏡下安全分離,故腔鏡引導下于距病變最近處行輔助小切口,腔鏡輔助下完整切除。
2 結果
12例患兒均行胸腔鏡囊腫切除術,其中11例完全在胸腔鏡下完整切除,1例因為術中粘連較重,無法順利分離,故中轉開胸。完全胸腔鏡組平均手術時間72.3 (50~102) min;術中平均出血量3(2~6) ml,無術中輸血。術后均放置胸腔閉式引流管一根,引流1~2 d,平均總引流量55.2(15~130) ml;術后第二天復查無皮下氣腫及呼吸困難,胸部X線片示肺復張良好;術后24~48 h拔除胸腔閉式引流管,術后48 h進食,無惡心嘔吐;平均術后住院時間為4.7 (4~6) d;術后無切口感染,出院時再次復查胸部X線片無胸腔積氣積液。所有患兒術后平均隨訪7.5(3~12) 個月,未見復發病例,呼吸道發病率降低。術后3個月復查胸部X線片,雙側胸廓對稱,雙肺野清晰,觀察傷口已愈合,呈點片狀瘢痕。
3 討論
近年來,胸腔鏡在小兒胸外科的應用越來越廣泛。相較于傳統手術的大切口,胸腔鏡手術切口小,無需撐開肋骨、術后疼痛輕,胸腔干擾少,術后呼吸道并發癥少、恢復快,減輕了患者痛苦,并縮短了術后恢復和住院時間,具有更加明顯的優勢。在胸腔鏡手術過程中需要一定的操作空間來清楚地顯露病變進行手術操作。但由于小兒體腔狹小,加之骨性胸廓的限制,胸腔鏡手術無法像腹腔鏡那樣通過人工氣腹來擴大體腔完成手術,只有通過肺萎陷的方法來獲得更好的操作空間。在成人胸腔鏡手術中常采取靜脝脈吸入復合麻醉雙腔管插管單肺通氣,保證健側肺通氣,充分供氧[4],同時使患側肺臟萎陷,有利手術操作。但是對于小兒來說,由于呼吸道管徑狹小細嫩、適合口徑插管器材的缺乏以及較成人更高的技術要求,使得臨床上肺隔離技術不能廣泛開展。對于本組病例,我們采用單腔插管人工氣胸混合通氣的麻醉方法,解決了小兒麻醉配合和術中暴露欠佳的問題,體會如下:① 平穩的麻醉是手術成功的前提:張劍蔚等[5]提出,全身麻醉下低潮氣量人工通氣法可以安全應用于小兒胸腔鏡手術。我們在術中選用雙肺低潮氣量通氣模式,調整潮氣量為3~5ml/kg,同時配合使用較快呼吸頻率來部分彌補通氣的不足,調節呼吸參數使氣道壓力維持在3.43 mm Hg以內,呼氣末CO2分壓(PCO2) 維持在35~45 mm Hg,在關鍵操作時采用手控呼吸改善肺通氣狀況并予以高濃度氧氣吸入維持動脈血氧分壓于較高水平,避免高碳酸血癥及低氧血癥的發生;② 良好的術野暴露是手術成功的關鍵:自患側胸廓腋中線第7或第8肋間,開放置入5 mm 30°胸腔鏡。盡管10 mm胸腔鏡能取得更好的術野暴露,但是由于小兒胸腔狹小、肋間隙狹窄,應用10 mm胸腔鏡會對肋間隙造成更大的損傷,而3 mm胸腔鏡由于其口徑較小導致術野暗淡,加之鏡體短小,限制了其在深部胸腔的應用。通過腔鏡探查后,根據包塊范圍的大小而選擇操作孔的位置,總體需符合“三角”的原則,避免操作器械與觀察鏡的相互干擾。Koizumi等[6]在術中向胸腔內注入CO2制造人工氣胸,能更好地暴露術野。我們采取他的經驗,向患側胸腔內間斷低壓充入CO2氣體形成人工氣胸,壓力控制在4~5 mm Hg,并嚴密監測血氧及呼氣末CO2分壓,當呼氣末CO2分壓升高>50 mm Hg超過20 min時,暫停手術操作、撤除氣胸、人工膨肺改善肺通氣狀況,避免高碳酸血癥。同時,在手術過程中,可以使用腔鏡鏡體壓迫于肺臟之上,限制肺臟在呼吸機控制下的復張,或利用器械將患側肺臟撥離術野及固定,也可以取得良好的暴露;③ 支氣管囊腫為良性病變,有完整包膜,在分離時,先用電凝鉤打開臟層胸膜,沿包膜鈍性分離。我們體會在分離時采用吸引器進行鈍性分離,邊吸引邊分離,術野清晰,且不易分破包膜。至包塊鄰近脊柱附近時,基底增寬,側枝循環增多,且滋養血管多位于其間,應絲線結扎滋養血管后切斷,并在直視下完整切除基底部避免復發,同時避免術后出血可能。對于包塊體積較大者,可先行經皮穿刺抽出部分囊液,使得體積減小,且能維持一定張力,有利于手術操作。
目前,胸腔鏡技術因具有創傷小、出血少、胸內干擾少、術后恢復快等優點已成為治療支氣管囊腫的首選術式[7-8]。在積極臨床開展此技術的同時,怎么在術中更好的麻醉配合、更佳的術野暴露、相關手術器械的改進研制以及療效的長期評價是我們進一步的關注方向。