引用本文: 馮宏響, 張真榕, 郭永慶, 石彬, 宋之乙, 田燕雛, 梁朝陽, 劉德若. 病理ⅠA期非小細胞肺癌患者術后預后因素分析. 中國胸心血管外科臨床雜志, 2016, 23(10): 969-973. doi: 10.7507/1007-4848.20160232 復制
全球范圍內,肺癌的死亡率居惡性腫瘤之首。非小細胞肺癌(non-small cell lung cancer,NSCLC)占肺癌的80%[1],隨著影像學技術的發展,越來越多的早期肺癌被發現,根治性手術切除是早期NSCLC的最佳治療方法。然而即使為ⅠA期,NSCLC手術后的五年生存率也僅為79.4%[2]。這意味著ⅠA期的NSCLC術后仍有約20%復發或轉移。什么原因導致了腫瘤淋巴結轉移分期(tumor node metastasis,TNM)早的NSCLC患者出現復發轉移,是否存在TNM以外的其他影響NSCLC早期預后的因素?有研究顯示性別、年齡、吸煙史、血清中癌胚抗原(carcinoembryonic antigen,CEA)的水平、手術方式和脈管浸潤是早期肺癌預后不佳的重要影響因素[3-7]。但是這些因素是否適用于所有直徑≤3 cm的NSCLC患者手術預后的評估尚不清楚,本研究擬單中心論證這些因素對病理ⅠA期的NSCLC術后預后的影響。
1 資料與方法
1.1 臨床資料
對中日友好醫院胸外科1993年1月至2012年12月術后病理證實ⅠA期的NSCLC患者進行回顧性分析,其中男81例、女57例,年齡61(37~80) 歲。術前評價和分期包括完整的病史采集、體格檢查、氣管鏡、血常規、血生化檢測、胸部CT、腦CT、全身骨核素掃描、上腹部CT、B超或正電子發射計算機斷層顯像(PET-CT)。納入標準:可獲得完整的復發轉移及生存數據;術后病理證實肺鱗癌、肺腺癌及腺鱗癌;病理ⅠA期;術前檢查無遠處轉移;手術方式為根治性肺切除,即肺葉切除/系統性淋巴結清掃術。排除標準:術前接受放化療,心肺功能較差不能耐受肺葉切除;手術方式為楔形切除、肺段切除:術后病理為大細胞癌、小細胞肺癌、肉瘤樣癌及失訪者。由于目前臨床上楔形切除與肺段切除對于早期肺癌的復發和預后有爭議故排除。
1.2 方法
1.2.1 手術方法
手術采用胸腔鏡手術或開胸手術。所有患者術中均進行系統性淋巴結清掃術或采樣術,所有手術符合美國國家綜合癌癥網定義的完全性切除標準。右側清掃2R/4R/3A/7/9組縱隔淋巴結、第10/11組及肺內淋巴結。左側清掃第4L/5/6/7/9組縱隔淋巴結、第10/11組及肺內淋巴結。術后病理分期采用第七版國際肺癌分期。
1.2.2 隨訪方法
手術后通過電話隨訪或門診復查對患者進行隨訪,術后第1~2年每3個月隨訪1次,術后第3~5年起每半年隨訪1次,術后第5年起每1年隨訪1次,獲取相關臨床信息,包括血腫瘤標記物、胸、腦CT或磁共振成像(MRI)、骨掃描、腹部超聲、PET-CT等和患者生存情況。隨訪截止時間為2012年12月,隨訪時間為9~90個月,中位隨訪時間為59個月。
1.3 統計學分析
繪制Kaplan-Meier生存曲線進行生存分析,Log-rank檢驗生存率差異,無病生存期(disease free survival,DFS)的計算方法為手術完成直至疾病復發或轉移。采用Cox比例風險模型進行單因素和多因素分析,評價各因素對DFS的影響。所有資料應用SPSS 19.0統計學軟件進行分析,P<0.05為差異有統計學意義。
2 結果
2.1 患者一般特征和預后
患者一般特征見表 1。共納入患者138例,其中男81例、女57例,年齡37~80歲,中位年齡61歲。按照WHO 2004病理分型:腺癌108例,非腺癌30例。隨訪過程中患者出現復發轉移14例(10.1%),其中5例為遠處轉移,包括2例腦轉移,2例骨轉移,1例腎上腺轉移;8例局部復發,包括同側肺門淋巴結6例,同側不同肺葉新發結節2例,其中經PET-CT證實3例,支氣管內超聲引導下經支氣管針吸活檢(EBUS-TBNA)病理證實2例,單純影像學提示3例;1例患者同時發現骨轉移和同側肺門淋巴結增大。
2.2 危險因素單因素分析
我們分析了性別、年齡、吸煙史、術前CEA、病理類型、分化程度、腫瘤大小(T1a與T1b)、腫瘤位置、脈管浸潤與NSCLC患者DFS的關系。單因素分析顯示脈管浸潤(P=0.017)、病理低分化(P=0.043)、腫瘤直徑≥2 cm(T1b,P=0.017)是NSCLC預后不良的危險因素(表 1和表 2)。


2.3 危險因素多因素分析
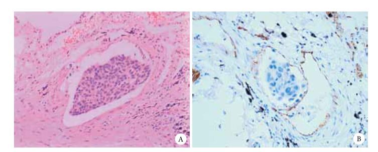
經多因素分析發現只有脈管浸潤(P=0.011)和腫瘤的直徑≥2 cm(P=0.026)是ⅠA期NSCLC患者預后不良的獨立危險因素(表 2)。脈管浸潤HE染色及免疫組化病理學結果見圖 1。生存曲線見圖 2和圖 3。

注:A:HE染色 ×20;B:免疫組化染色CD31陽性 ×200


3 討論
目前根治性手術切除是早期NSCLC最有效的治療方法。但即使處于病理ⅠA期,NSCLC術后仍有約20%發生復發轉移,導致腫瘤性死亡[2]。早期NSCLC預后除了與年齡、腫瘤大小[3]、術前CEA的增高[8]、病理類型和分化程度等相關外[6],還與脈管浸潤有關[9]。脈管浸潤與病理ⅠA期NSCLC預后相關的研究較少。本研究進行單中心研究探討病理ⅠA期NSCLC患者術后預后的獨立危險因素,單因素分析顯示ⅠA期NSCLC手術預后與腫瘤病理分化程度、腫瘤大小及脈管浸潤有關,多因素分析證實腫瘤大小和脈管侵犯是影響手術預后的獨立危險因素。總生存期(overall survival,OS)是研究臨床預后的主要指標,本研究138例NSCLC中10例死亡,但只有5例死亡與腫瘤相關,無法用OS來準確評估腫瘤相關預后,因此我們將直接與腫瘤相關的DFS作為主要預后結局指標。研究顯示病理ⅠA期NSCLC患者的5年復發率在20%左右[2],本研究發現復發率為10.1%,略低的原因可能與部分患者隨訪時間不滿5年有關。
脈管浸潤對NSCLC預后的影響越來越受到關注,美國國立綜合癌癥網絡(national comprehensive cancer network,NCCN)自2014年起在NSCLC的指南中,把脈管浸潤作為ⅠB期NSCLC的高危因素的推薦級別由ⅡB提高到ⅡA,在決定是否化療時應該考慮。Tsuchiya等[10]的研究結果顯示有脈管浸潤的ⅠA期NSCLC的5年生存率與無脈管浸潤的ⅠB期NSCLC的差異無統計學意義,有脈管浸潤的ⅡB期NSCLC的五年生存率與無脈管浸潤的ⅡA期NSCLC的差異也無統計學意義,因此認為脈管浸潤能夠將ⅠA期上調至ⅠB期,將ⅠB期上調至ⅡA期。將脈管浸潤納入NSCLC臨床分期能夠使預后較差的ⅠA期患者獲得治療的機會,從而改善預后。
脈管浸潤(或脈管癌栓)與外周大血管中的癌栓不同,脈管浸潤中的癌栓存在于腫瘤組織的微血管或微淋巴管中,所謂脈管,是指管徑一般在300 μm以下的小動脈、小靜脈和小淋巴管,由于在光鏡下不易區分,被統稱為“脈管”,脈管浸潤在NSCLC的發生率為5%~30% [11]。經常會出現在惡性腫瘤,甚至早期腫瘤組織中。脈管浸潤的判定標準為鏡下發現腫瘤的小靜脈、小動脈或小淋巴管的管壁受侵、破壞或管腔內有癌栓[12]。
脈管浸潤(vessel invasion/vascular invasion)包括血管浸潤(blood vessel invasion,BVI)和淋巴管浸潤(lymphatic vessel invasion,LVI)。Shoji等[13]的研究認為血管浸潤是影響ⅠA期NSCLC預后的獨立危險因素,該研究納入217例ⅠA期NSCLC患者,發現具有血管侵犯的患者復發風險是無血管侵犯患者的4.599倍。而Mollberg等[14]認為淋巴管浸潤是影響Ⅰ期NSCLC預后的獨立危險因素,該研究顯示T1期無淋巴管浸潤、T1期有淋巴管浸潤、T2期無淋巴管浸潤和T2期有淋巴管浸潤的5年生存率分別為88.7%、69.8%、73.5%和56.1%;淋巴管浸潤在T1期和T2期組內分析生存率差異有統計學意義(P值分別為0.000 2和0.000 6);而生存率在T1期(ⅠA)有淋巴管浸潤和T2(ⅠB)期無淋巴管浸潤之間差異無統計學意義(P=0.517 5)。關于淋巴管浸潤和血管浸潤對NSCLC預后影響存在很多爭議。一項納入20篇有關NSCLC淋巴管浸潤研究的Meta分析,結果顯示,無論采用無復發生存期(relapse free survival,RFS)還是OS,淋巴管浸潤均是影響NSCLC預后的危險因素[15]。Wang等[16]的Meta分析納入了1992~2012年53篇有關NSCLC淋巴管浸潤的文章,Ⅰ期有淋巴管浸潤的NSCLC患者的DFS單因素和多因素分析HR分別為2.31和1.91,但差異無統計學意義;OS單因素和多因素分析的HR為1.76和1.70,差異有統計學意義。
術前評估腫瘤的病理性脈管浸潤對臨床手術方式的選擇以及預測患者預后具有重要價值。研究顯示術前高分辨率CT掃描可以預測脈管浸潤發生的可能性,其敏感性和特異性分別為75%和72%;高分辨CT上腫瘤實性成分的直徑與腫瘤總直徑(包括邊緣磨玻璃樣陰影)的比值越大,脈管浸潤的可能性也越大[17]。周瑩等[18]的研究顯示臨床ⅠA期周圍型肺腺癌薄層CT征象中毛刺征及異常靜脈是病理性脈管浸潤的獨立危險因素。他們對肺結節直徑、混雜磨玻璃結節、實性成分直徑與病理性脈管浸潤的關系也分別進行了分析,結果顯示肺結節直徑≥2.05cm或者混雜磨玻璃結節中實性成分直徑≥1.08cm以及C/T值>0.65提示有病理性脈管浸潤可能,其中C/T值指混雜磨玻璃結節內實性成分直徑與腫瘤直徑的比值(consolidation/tumor ratio);但一些浸潤性腺癌(如微乳頭型)盡管體積較小(直徑≤2cm)卻已經有病理性脈管浸潤。
2008年版NCCN指南已經把脈管浸潤作為ⅠA期NSCLC的高危因素之一,可以在伴有脈管浸潤等高危因素的患者中使用輔助化療(3級),盡管在之后的改版中可選擇輔助化療僅限于ⅠB期有脈管浸潤等高危因素。輔助化療方案以含鉑類藥物為主,章必成等[19]分析了術后病理分期為ⅠA期且伴有脈管瘤栓的47例患者,有21例行鉑類藥物+新藥(如紫杉醇、多西紫杉醇、長春瑞濱或吉西他濱)方案化療4周期,5年隨訪結果顯示,化療組的無病生存率為85.7%(18/21),而未化療組則為53.8%(14/26),差異有統計學意義;同時,接受化療的患者的總體生存率亦明顯高于未化療者。Tsuchiya等[20]發現ⅠA期存在血管侵犯的NSCLC患者口服替加氟-尿嘧啶輔助治療,化療后5年生存率提高了25%。因此,ⅠA期存在血管侵犯的NSCLC患者術后可考慮化療。
腫瘤直徑是影響NSCLC預后的重要因素之一,近期的研究報道腫瘤直徑超過2 cm是ⅠA期NSCLC預后不良的危險因素[21]。在2009年NSCLC的最新分期按腫瘤直徑把ⅠA期NSCLC分為T1A(≤2 cm)和T1B(2~3 cm)[22]。研究顯示T1BN0M0期和T1AN0M0期NSCLC的5年生存率為71%和76%,差異顯著。
綜上所述,脈管浸潤和腫瘤直徑是ⅠA期NSCLC患者手術預后的獨立危險因素,對于有脈管浸潤的NSCLC可以考慮化療等輔助治療。
全球范圍內,肺癌的死亡率居惡性腫瘤之首。非小細胞肺癌(non-small cell lung cancer,NSCLC)占肺癌的80%[1],隨著影像學技術的發展,越來越多的早期肺癌被發現,根治性手術切除是早期NSCLC的最佳治療方法。然而即使為ⅠA期,NSCLC手術后的五年生存率也僅為79.4%[2]。這意味著ⅠA期的NSCLC術后仍有約20%復發或轉移。什么原因導致了腫瘤淋巴結轉移分期(tumor node metastasis,TNM)早的NSCLC患者出現復發轉移,是否存在TNM以外的其他影響NSCLC早期預后的因素?有研究顯示性別、年齡、吸煙史、血清中癌胚抗原(carcinoembryonic antigen,CEA)的水平、手術方式和脈管浸潤是早期肺癌預后不佳的重要影響因素[3-7]。但是這些因素是否適用于所有直徑≤3 cm的NSCLC患者手術預后的評估尚不清楚,本研究擬單中心論證這些因素對病理ⅠA期的NSCLC術后預后的影響。
1 資料與方法
1.1 臨床資料
對中日友好醫院胸外科1993年1月至2012年12月術后病理證實ⅠA期的NSCLC患者進行回顧性分析,其中男81例、女57例,年齡61(37~80) 歲。術前評價和分期包括完整的病史采集、體格檢查、氣管鏡、血常規、血生化檢測、胸部CT、腦CT、全身骨核素掃描、上腹部CT、B超或正電子發射計算機斷層顯像(PET-CT)。納入標準:可獲得完整的復發轉移及生存數據;術后病理證實肺鱗癌、肺腺癌及腺鱗癌;病理ⅠA期;術前檢查無遠處轉移;手術方式為根治性肺切除,即肺葉切除/系統性淋巴結清掃術。排除標準:術前接受放化療,心肺功能較差不能耐受肺葉切除;手術方式為楔形切除、肺段切除:術后病理為大細胞癌、小細胞肺癌、肉瘤樣癌及失訪者。由于目前臨床上楔形切除與肺段切除對于早期肺癌的復發和預后有爭議故排除。
1.2 方法
1.2.1 手術方法
手術采用胸腔鏡手術或開胸手術。所有患者術中均進行系統性淋巴結清掃術或采樣術,所有手術符合美國國家綜合癌癥網定義的完全性切除標準。右側清掃2R/4R/3A/7/9組縱隔淋巴結、第10/11組及肺內淋巴結。左側清掃第4L/5/6/7/9組縱隔淋巴結、第10/11組及肺內淋巴結。術后病理分期采用第七版國際肺癌分期。
1.2.2 隨訪方法
手術后通過電話隨訪或門診復查對患者進行隨訪,術后第1~2年每3個月隨訪1次,術后第3~5年起每半年隨訪1次,術后第5年起每1年隨訪1次,獲取相關臨床信息,包括血腫瘤標記物、胸、腦CT或磁共振成像(MRI)、骨掃描、腹部超聲、PET-CT等和患者生存情況。隨訪截止時間為2012年12月,隨訪時間為9~90個月,中位隨訪時間為59個月。
1.3 統計學分析
繪制Kaplan-Meier生存曲線進行生存分析,Log-rank檢驗生存率差異,無病生存期(disease free survival,DFS)的計算方法為手術完成直至疾病復發或轉移。采用Cox比例風險模型進行單因素和多因素分析,評價各因素對DFS的影響。所有資料應用SPSS 19.0統計學軟件進行分析,P<0.05為差異有統計學意義。
2 結果
2.1 患者一般特征和預后
患者一般特征見表 1。共納入患者138例,其中男81例、女57例,年齡37~80歲,中位年齡61歲。按照WHO 2004病理分型:腺癌108例,非腺癌30例。隨訪過程中患者出現復發轉移14例(10.1%),其中5例為遠處轉移,包括2例腦轉移,2例骨轉移,1例腎上腺轉移;8例局部復發,包括同側肺門淋巴結6例,同側不同肺葉新發結節2例,其中經PET-CT證實3例,支氣管內超聲引導下經支氣管針吸活檢(EBUS-TBNA)病理證實2例,單純影像學提示3例;1例患者同時發現骨轉移和同側肺門淋巴結增大。
2.2 危險因素單因素分析
我們分析了性別、年齡、吸煙史、術前CEA、病理類型、分化程度、腫瘤大小(T1a與T1b)、腫瘤位置、脈管浸潤與NSCLC患者DFS的關系。單因素分析顯示脈管浸潤(P=0.017)、病理低分化(P=0.043)、腫瘤直徑≥2 cm(T1b,P=0.017)是NSCLC預后不良的危險因素(表 1和表 2)。


2.3 危險因素多因素分析
經多因素分析發現只有脈管浸潤(P=0.011)和腫瘤的直徑≥2 cm(P=0.026)是ⅠA期NSCLC患者預后不良的獨立危險因素(表 2)。脈管浸潤HE染色及免疫組化病理學結果見圖 1。生存曲線見圖 2和圖 3。

注:A:HE染色 ×20;B:免疫組化染色CD31陽性 ×200


3 討論
目前根治性手術切除是早期NSCLC最有效的治療方法。但即使處于病理ⅠA期,NSCLC術后仍有約20%發生復發轉移,導致腫瘤性死亡[2]。早期NSCLC預后除了與年齡、腫瘤大小[3]、術前CEA的增高[8]、病理類型和分化程度等相關外[6],還與脈管浸潤有關[9]。脈管浸潤與病理ⅠA期NSCLC預后相關的研究較少。本研究進行單中心研究探討病理ⅠA期NSCLC患者術后預后的獨立危險因素,單因素分析顯示ⅠA期NSCLC手術預后與腫瘤病理分化程度、腫瘤大小及脈管浸潤有關,多因素分析證實腫瘤大小和脈管侵犯是影響手術預后的獨立危險因素。總生存期(overall survival,OS)是研究臨床預后的主要指標,本研究138例NSCLC中10例死亡,但只有5例死亡與腫瘤相關,無法用OS來準確評估腫瘤相關預后,因此我們將直接與腫瘤相關的DFS作為主要預后結局指標。研究顯示病理ⅠA期NSCLC患者的5年復發率在20%左右[2],本研究發現復發率為10.1%,略低的原因可能與部分患者隨訪時間不滿5年有關。
脈管浸潤對NSCLC預后的影響越來越受到關注,美國國立綜合癌癥網絡(national comprehensive cancer network,NCCN)自2014年起在NSCLC的指南中,把脈管浸潤作為ⅠB期NSCLC的高危因素的推薦級別由ⅡB提高到ⅡA,在決定是否化療時應該考慮。Tsuchiya等[10]的研究結果顯示有脈管浸潤的ⅠA期NSCLC的5年生存率與無脈管浸潤的ⅠB期NSCLC的差異無統計學意義,有脈管浸潤的ⅡB期NSCLC的五年生存率與無脈管浸潤的ⅡA期NSCLC的差異也無統計學意義,因此認為脈管浸潤能夠將ⅠA期上調至ⅠB期,將ⅠB期上調至ⅡA期。將脈管浸潤納入NSCLC臨床分期能夠使預后較差的ⅠA期患者獲得治療的機會,從而改善預后。
脈管浸潤(或脈管癌栓)與外周大血管中的癌栓不同,脈管浸潤中的癌栓存在于腫瘤組織的微血管或微淋巴管中,所謂脈管,是指管徑一般在300 μm以下的小動脈、小靜脈和小淋巴管,由于在光鏡下不易區分,被統稱為“脈管”,脈管浸潤在NSCLC的發生率為5%~30% [11]。經常會出現在惡性腫瘤,甚至早期腫瘤組織中。脈管浸潤的判定標準為鏡下發現腫瘤的小靜脈、小動脈或小淋巴管的管壁受侵、破壞或管腔內有癌栓[12]。
脈管浸潤(vessel invasion/vascular invasion)包括血管浸潤(blood vessel invasion,BVI)和淋巴管浸潤(lymphatic vessel invasion,LVI)。Shoji等[13]的研究認為血管浸潤是影響ⅠA期NSCLC預后的獨立危險因素,該研究納入217例ⅠA期NSCLC患者,發現具有血管侵犯的患者復發風險是無血管侵犯患者的4.599倍。而Mollberg等[14]認為淋巴管浸潤是影響Ⅰ期NSCLC預后的獨立危險因素,該研究顯示T1期無淋巴管浸潤、T1期有淋巴管浸潤、T2期無淋巴管浸潤和T2期有淋巴管浸潤的5年生存率分別為88.7%、69.8%、73.5%和56.1%;淋巴管浸潤在T1期和T2期組內分析生存率差異有統計學意義(P值分別為0.000 2和0.000 6);而生存率在T1期(ⅠA)有淋巴管浸潤和T2(ⅠB)期無淋巴管浸潤之間差異無統計學意義(P=0.517 5)。關于淋巴管浸潤和血管浸潤對NSCLC預后影響存在很多爭議。一項納入20篇有關NSCLC淋巴管浸潤研究的Meta分析,結果顯示,無論采用無復發生存期(relapse free survival,RFS)還是OS,淋巴管浸潤均是影響NSCLC預后的危險因素[15]。Wang等[16]的Meta分析納入了1992~2012年53篇有關NSCLC淋巴管浸潤的文章,Ⅰ期有淋巴管浸潤的NSCLC患者的DFS單因素和多因素分析HR分別為2.31和1.91,但差異無統計學意義;OS單因素和多因素分析的HR為1.76和1.70,差異有統計學意義。
術前評估腫瘤的病理性脈管浸潤對臨床手術方式的選擇以及預測患者預后具有重要價值。研究顯示術前高分辨率CT掃描可以預測脈管浸潤發生的可能性,其敏感性和特異性分別為75%和72%;高分辨CT上腫瘤實性成分的直徑與腫瘤總直徑(包括邊緣磨玻璃樣陰影)的比值越大,脈管浸潤的可能性也越大[17]。周瑩等[18]的研究顯示臨床ⅠA期周圍型肺腺癌薄層CT征象中毛刺征及異常靜脈是病理性脈管浸潤的獨立危險因素。他們對肺結節直徑、混雜磨玻璃結節、實性成分直徑與病理性脈管浸潤的關系也分別進行了分析,結果顯示肺結節直徑≥2.05cm或者混雜磨玻璃結節中實性成分直徑≥1.08cm以及C/T值>0.65提示有病理性脈管浸潤可能,其中C/T值指混雜磨玻璃結節內實性成分直徑與腫瘤直徑的比值(consolidation/tumor ratio);但一些浸潤性腺癌(如微乳頭型)盡管體積較小(直徑≤2cm)卻已經有病理性脈管浸潤。
2008年版NCCN指南已經把脈管浸潤作為ⅠA期NSCLC的高危因素之一,可以在伴有脈管浸潤等高危因素的患者中使用輔助化療(3級),盡管在之后的改版中可選擇輔助化療僅限于ⅠB期有脈管浸潤等高危因素。輔助化療方案以含鉑類藥物為主,章必成等[19]分析了術后病理分期為ⅠA期且伴有脈管瘤栓的47例患者,有21例行鉑類藥物+新藥(如紫杉醇、多西紫杉醇、長春瑞濱或吉西他濱)方案化療4周期,5年隨訪結果顯示,化療組的無病生存率為85.7%(18/21),而未化療組則為53.8%(14/26),差異有統計學意義;同時,接受化療的患者的總體生存率亦明顯高于未化療者。Tsuchiya等[20]發現ⅠA期存在血管侵犯的NSCLC患者口服替加氟-尿嘧啶輔助治療,化療后5年生存率提高了25%。因此,ⅠA期存在血管侵犯的NSCLC患者術后可考慮化療。
腫瘤直徑是影響NSCLC預后的重要因素之一,近期的研究報道腫瘤直徑超過2 cm是ⅠA期NSCLC預后不良的危險因素[21]。在2009年NSCLC的最新分期按腫瘤直徑把ⅠA期NSCLC分為T1A(≤2 cm)和T1B(2~3 cm)[22]。研究顯示T1BN0M0期和T1AN0M0期NSCLC的5年生存率為71%和76%,差異顯著。
綜上所述,脈管浸潤和腫瘤直徑是ⅠA期NSCLC患者手術預后的獨立危險因素,對于有脈管浸潤的NSCLC可以考慮化療等輔助治療。