引用本文: 丁楠, 舒強, 李曉峰, 郭健, 柏松, 宋振江, 沈磊, 鄭佳, 楊陽. 嬰兒先天性心臟病術后膈肌麻痹的外科治療. 中國胸心血管外科臨床雜志, 2016, 23(8): 792-795. doi: 10.7507/1007-4848.20160190 復制
膈神經損傷造成的膈肌麻痹是一種少見的先天性心臟手術后呼吸系統并發癥,可能造成嚴重的呼吸功能不全及肺部感染,造成住院時間延長,甚至可能危及嬰幼兒生命。隨著先天性心臟病治療范圍不斷擴大,手術年齡逐漸降低,對于膈肌麻痹的報道逐漸增多,兒童的發病率在4%~16% [1], < 1歲者發生率高達4.5% [2]。根據目前的治療經驗,膈肌折疊術已經成為呼吸窘迫或無法脫離呼吸機的膈肌麻痹患兒的首選治療。本研究通過回顧性分析北京兒童醫院心臟外科嬰兒( < 1歲)先天性心臟病術后膈肌麻痹患兒的資料,探討嬰兒先心病術后膈肌麻痹的診斷方法及治療經驗,為提高其早期診斷率和治療效果提供依據。
1 資料與方法
1.1 臨床資料
選擇北京兒童醫院2008年10月至2014年6月完成嬰兒( < 1歲)心內直視手術2 692例,同期經B超及胸部X線檢查診斷膈肌麻痹31例,發生率為1.15%,其中男22例、女9例,年齡1~12(4.5±4.2)個月,體重2.9~8.5(5.6±2.2)kg(圖 1)。原發疾病為:完全型肺靜脈異位引流8例,法洛四聯癥7例,室間隔缺損9例,肺動脈吊帶1例,肺動脈吊帶合并雙主動脈弓1例,完全型心內膜墊缺損、肺動脈閉鎖、主動脈弓中斷、右心室雙出口合并體靜脈異位引流、單心室各1例。30例行體外循環手術,非體外循環為格林(Glenn)手術1例。

1.2 臨床表現及診斷
31例患兒術后均行呼吸機輔助呼吸,脫離呼吸機困難,左側呼吸音減低10例,右側呼吸音減低15例,雙側呼吸音減低6例,出現呼吸機相關性肺炎10例;反復多次氣管插管23例,表現為呼吸困難,反常腹式呼吸。
根據患兒自主呼吸時胸部X線片顯示膈肌位置較正常抬高第2、第3肋間,呼吸機依賴或脫機后典型的呼吸困難,高度懷疑膈肌麻痹。脫離呼吸機狀態下床旁超聲檢查確診,表現為患側膈肌正常收縮、舒張運動消失,呈現無運動狀態或不規則撲動。膈肌折疊的指征是反復插管,未能脫離呼吸機,反復肺部感染和持續性呼吸窘迫。呼吸窘迫的定義為:呼吸急促,氧依賴或CO2潴留,血氧飽和度 < 90%,動脈血氣分析:pH < 7.35,二氧化碳分壓 > 45 mm Hg。
1.3 手術方法
本組患者均在全身麻醉氣管插管下行膈肌折疊手術。側臥位,患側在上,取胸后外側切口,經第7至第8肋間進胸。切除部分松弛、薄弱膈肌,剩余部分折疊后予帶墊片滌綸線間斷行U字縫合,縫合后再以4-0無創縫線連續縫合加固。手術時間(50.5±7.8)min。
1.4 統計學分析
采用SPSS 15.0統計軟件進行統計處理,計量資料以均數±標準差(
2 結果
2.1 膈肌麻痹位置及胸部X線片資料
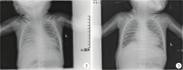
31例膈肌麻痹患兒,左側膈肌麻痹10例,右側膈肌麻痹15例,雙側膈肌麻痹6例。膈肌折疊前后胸部X線片資料:膈肌折疊前床旁胸部X線片顯示右側膈肌抬高(圖 2),膈肌折疊術后床旁胸部X線片顯示膈肌復位(圖 3)。

2.2 膈肌麻痹相關并發癥
31例患兒均脫離呼吸機困難,16例患兒合并患側肺不張,再次氣管內插管23例。呼吸機相關性肺炎10例,痰培養為肺炎克雷白桿菌、鮑曼不動桿菌、銅綠假單胞菌等,無氣管切開患兒。
2.3 膈肌折疊前后呼吸機輔助時間
全部患兒行膈肌折疊手術后,均脫離呼吸機。膈肌折疊術前機械通氣時間為123~832(420±223)h,折疊后機械通氣時間為15~212(75±58)h,差異有統計學意義(P < 0.05)。
2.4 隨訪情況
本組患兒無死亡,31例患兒均得到隨訪,隨訪12~60個月。根據復查胸部X線了解膈肌情況。所有隨訪患兒患側膈肌均無明顯抬高,呼吸功能正常,無明顯呼吸功能障礙,呼吸頻率在正常范圍內,經皮血氧飽和度大于97%。患兒心功能分級(NYHA)Ⅰ級或Ⅱ級。
3 討論
先天性心臟病術后膈肌麻痹常威脅患兒生命,患兒術后長期不能脫離呼吸機,監護室停留時間長,出現各種呼吸機相關并發癥,影響手術效果,嚴重者出現呼吸衰竭,感染導致死亡[3]。膈神經損傷的危險因素目前無法完全判定,但通過各文獻相關報道,有幾個因素已被確定與膈神經損傷有關。其中最有可能的是膈神經與周圍組織粘連,造成識別及分離解剖困難,從而使神經更容易受到意外傷害[4]。心包牽拉固定于胸骨旁,分離主、肺動脈,建立體外循環,同樣是膈神經損傷的危險因素[5]。
本組31例患兒年齡均小于1歲,其中3個月以下患兒15例,占48%,復雜先心病及血管環畸形較多,術中游離廣泛,增加手術難度,需要解剖大血管分支,常靠近膈神經,易造成損傷。我們認為膈肌麻痹的發生與手術方法、操作技術關系密切,縱隔的解剖分離越多,其危險性就越大。不同先天性心臟病的手術方式。導致膈肌麻痹的發生率也不相同[6]。手術中應注意避免在鄰近膈神經處過度牽拉,使用電刀或心包腔內置冰水作心肌保護時注意保護膈神經[7]。
當患兒出現呼吸機停機困難,脫離呼吸機后出現嚴重呼吸困難,再次氣管插管,不明原因的呼吸窘迫或依賴氧氣明顯,反常腹式呼吸,發生肺不張、肺炎,應考慮膈神經損傷造成膈肌麻痹的可能,通過胸部X線片顯示膈肌抬高可進一步明確診斷[8]。新生兒和嬰兒尤其發育不良兒童發生膈肌麻痹后的耐受性明顯較年長兒差,容易出現呼吸道癥狀。這可能與嬰兒肋間肌乏力,肋骨呈水平位,胸廓順應性較小,縱隔可移動性大等因素有關[9]。此類嬰兒多處于平臥位,支氣管管徑相對較小,呼吸道分泌物不易排出,容易引起肺炎、肺不張。膈肌麻痹后由于患側肺壓縮,肺活量、肺容量減少達1/3以上,發生呼吸困難,異常的腹式呼吸,撤離呼吸機困難等情況,也更容易反復發生肺炎、肺不張。本組患者膈肌折疊術前呼吸機應用時間明顯長于同期相關疾病患兒,機械通氣時間為123~832(420±223)h。
目前胸部X線診斷和B超診斷都可以確診膈肌折疊,但更傾向于首選床旁B超作為最初診斷方法[10],因為B超有與X線相同的診斷能力,并且B超可以盡早在床邊檢查,更詳細、動態的了解膈肌活動情況。本組患者均由床邊B超確診,由經驗豐富的B超醫師探查雙側膈肌運動,如膈肌正常收縮、舒張運動消失,呈現無運動狀態或不規則撲動,出現與呼吸反向的運動,診斷膈肌麻痹[11]。
膈肌麻痹分為單側膈肌麻痹和雙側膈肌麻痹,一般來說單側膈肌麻痹遠多于雙側膈肌麻痹。嬰兒雙側膈肌麻痹癥狀表現嚴重。本組患者中雙側膈肌麻痹患兒術后住院時間明顯長于單側膈肌麻痹患兒。其中1例法洛四聯癥患兒,術后出現雙側膈肌麻痹,予雙側膈肌折疊術,術后順利脫離呼吸機,但仍需依賴經鼻持續氣道正壓通氣(NCPAP)支持4周,逐漸脫氧后才順利出院。小年齡患兒行雙側膈肌折疊術后,膈肌功能較正常下降明顯,肋間肌代償能力差[12],可先行NCPAP輔助,加強呼吸道管理及營養支持,逐漸脫氧。
因為新生兒、嬰幼兒肋間肌乏力,肋骨呈水平位,胸廓順應性小,縱隔可移動性大,支氣管內徑小、氣管阻力高、易被分泌物堵塞,呼吸功能儲備少,易出現呼吸衰竭[13]。年齡 > 1歲的患兒肋間肌代償明顯,對膈肌麻痹常有較好耐受。即使不行手術,多數可順利脫離呼吸機,維持正常呼吸狀態。但年齡≤1歲者肋間肌薄弱,以腹式呼吸為主,一旦出現膈肌麻痹,肋間肌代償能力差,患側呼吸運動時膈肌呈矛盾運動,可導致功能殘氣量降低,出現肺泡萎縮和肺不張。患兒須依賴呼吸機正壓通氣,臨床表現為呼吸困難、反復肺部感染、低氧血癥、高碳酸血癥。本組31例患兒出現呼吸機相關性肺炎10例,細菌培養為肺炎克雷白桿菌、鮑曼不動桿菌、銅綠假單胞菌等,需根據藥敏結果積極抗感染治療,并加強營養支持。
早年有學者認為先心病術后膈肌麻痹,應選擇機械通氣作為治療方法,給予持續正壓通氣治療[14]。我中心早期膈肌麻痹患兒也采用呼吸機及NCPAP支持,加強營養支持的保守治療。然而對于小年齡患兒,隨著ICU滯留時間延長,肺部感染機率明顯增加[15]。同時,折疊太晚,膈肌變薄,增加手術危險,成功率降低[16]。綜上所述,我中心認為對于年齡較小,體重較低,營養不良患兒,一旦明確診斷后應盡早行膈肌折疊術。
膈肌折疊手術是治療膈肌麻痹安全、成熟的手術方式[17]。對于低齡、低體質量、復雜先心病、營養不良等患兒一旦出現脫離呼吸機困難,應首先通過超聲和胸部X線片等輔助檢查以求盡快明確診斷,考慮是否存在膈肌麻痹的可能[18]。如確診有膈肌麻痹,應盡早行膈肌折疊手術[19],促進呼吸功能恢復,盡快脫離呼吸機,降低呼吸機等相關并發癥發生,縮短監護時間,消除呼吸困難癥狀[20],減少治療費用,促進患兒恢復。
膈神經損傷造成的膈肌麻痹是一種少見的先天性心臟手術后呼吸系統并發癥,可能造成嚴重的呼吸功能不全及肺部感染,造成住院時間延長,甚至可能危及嬰幼兒生命。隨著先天性心臟病治療范圍不斷擴大,手術年齡逐漸降低,對于膈肌麻痹的報道逐漸增多,兒童的發病率在4%~16% [1], < 1歲者發生率高達4.5% [2]。根據目前的治療經驗,膈肌折疊術已經成為呼吸窘迫或無法脫離呼吸機的膈肌麻痹患兒的首選治療。本研究通過回顧性分析北京兒童醫院心臟外科嬰兒( < 1歲)先天性心臟病術后膈肌麻痹患兒的資料,探討嬰兒先心病術后膈肌麻痹的診斷方法及治療經驗,為提高其早期診斷率和治療效果提供依據。
1 資料與方法
1.1 臨床資料
選擇北京兒童醫院2008年10月至2014年6月完成嬰兒( < 1歲)心內直視手術2 692例,同期經B超及胸部X線檢查診斷膈肌麻痹31例,發生率為1.15%,其中男22例、女9例,年齡1~12(4.5±4.2)個月,體重2.9~8.5(5.6±2.2)kg(圖 1)。原發疾病為:完全型肺靜脈異位引流8例,法洛四聯癥7例,室間隔缺損9例,肺動脈吊帶1例,肺動脈吊帶合并雙主動脈弓1例,完全型心內膜墊缺損、肺動脈閉鎖、主動脈弓中斷、右心室雙出口合并體靜脈異位引流、單心室各1例。30例行體外循環手術,非體外循環為格林(Glenn)手術1例。

1.2 臨床表現及診斷
31例患兒術后均行呼吸機輔助呼吸,脫離呼吸機困難,左側呼吸音減低10例,右側呼吸音減低15例,雙側呼吸音減低6例,出現呼吸機相關性肺炎10例;反復多次氣管插管23例,表現為呼吸困難,反常腹式呼吸。
根據患兒自主呼吸時胸部X線片顯示膈肌位置較正常抬高第2、第3肋間,呼吸機依賴或脫機后典型的呼吸困難,高度懷疑膈肌麻痹。脫離呼吸機狀態下床旁超聲檢查確診,表現為患側膈肌正常收縮、舒張運動消失,呈現無運動狀態或不規則撲動。膈肌折疊的指征是反復插管,未能脫離呼吸機,反復肺部感染和持續性呼吸窘迫。呼吸窘迫的定義為:呼吸急促,氧依賴或CO2潴留,血氧飽和度 < 90%,動脈血氣分析:pH < 7.35,二氧化碳分壓 > 45 mm Hg。
1.3 手術方法
本組患者均在全身麻醉氣管插管下行膈肌折疊手術。側臥位,患側在上,取胸后外側切口,經第7至第8肋間進胸。切除部分松弛、薄弱膈肌,剩余部分折疊后予帶墊片滌綸線間斷行U字縫合,縫合后再以4-0無創縫線連續縫合加固。手術時間(50.5±7.8)min。
1.4 統計學分析
采用SPSS 15.0統計軟件進行統計處理,計量資料以均數±標準差(
2 結果
2.1 膈肌麻痹位置及胸部X線片資料
31例膈肌麻痹患兒,左側膈肌麻痹10例,右側膈肌麻痹15例,雙側膈肌麻痹6例。膈肌折疊前后胸部X線片資料:膈肌折疊前床旁胸部X線片顯示右側膈肌抬高(圖 2),膈肌折疊術后床旁胸部X線片顯示膈肌復位(圖 3)。

2.2 膈肌麻痹相關并發癥
31例患兒均脫離呼吸機困難,16例患兒合并患側肺不張,再次氣管內插管23例。呼吸機相關性肺炎10例,痰培養為肺炎克雷白桿菌、鮑曼不動桿菌、銅綠假單胞菌等,無氣管切開患兒。
2.3 膈肌折疊前后呼吸機輔助時間
全部患兒行膈肌折疊手術后,均脫離呼吸機。膈肌折疊術前機械通氣時間為123~832(420±223)h,折疊后機械通氣時間為15~212(75±58)h,差異有統計學意義(P < 0.05)。
2.4 隨訪情況
本組患兒無死亡,31例患兒均得到隨訪,隨訪12~60個月。根據復查胸部X線了解膈肌情況。所有隨訪患兒患側膈肌均無明顯抬高,呼吸功能正常,無明顯呼吸功能障礙,呼吸頻率在正常范圍內,經皮血氧飽和度大于97%。患兒心功能分級(NYHA)Ⅰ級或Ⅱ級。
3 討論
先天性心臟病術后膈肌麻痹常威脅患兒生命,患兒術后長期不能脫離呼吸機,監護室停留時間長,出現各種呼吸機相關并發癥,影響手術效果,嚴重者出現呼吸衰竭,感染導致死亡[3]。膈神經損傷的危險因素目前無法完全判定,但通過各文獻相關報道,有幾個因素已被確定與膈神經損傷有關。其中最有可能的是膈神經與周圍組織粘連,造成識別及分離解剖困難,從而使神經更容易受到意外傷害[4]。心包牽拉固定于胸骨旁,分離主、肺動脈,建立體外循環,同樣是膈神經損傷的危險因素[5]。
本組31例患兒年齡均小于1歲,其中3個月以下患兒15例,占48%,復雜先心病及血管環畸形較多,術中游離廣泛,增加手術難度,需要解剖大血管分支,常靠近膈神經,易造成損傷。我們認為膈肌麻痹的發生與手術方法、操作技術關系密切,縱隔的解剖分離越多,其危險性就越大。不同先天性心臟病的手術方式。導致膈肌麻痹的發生率也不相同[6]。手術中應注意避免在鄰近膈神經處過度牽拉,使用電刀或心包腔內置冰水作心肌保護時注意保護膈神經[7]。
當患兒出現呼吸機停機困難,脫離呼吸機后出現嚴重呼吸困難,再次氣管插管,不明原因的呼吸窘迫或依賴氧氣明顯,反常腹式呼吸,發生肺不張、肺炎,應考慮膈神經損傷造成膈肌麻痹的可能,通過胸部X線片顯示膈肌抬高可進一步明確診斷[8]。新生兒和嬰兒尤其發育不良兒童發生膈肌麻痹后的耐受性明顯較年長兒差,容易出現呼吸道癥狀。這可能與嬰兒肋間肌乏力,肋骨呈水平位,胸廓順應性較小,縱隔可移動性大等因素有關[9]。此類嬰兒多處于平臥位,支氣管管徑相對較小,呼吸道分泌物不易排出,容易引起肺炎、肺不張。膈肌麻痹后由于患側肺壓縮,肺活量、肺容量減少達1/3以上,發生呼吸困難,異常的腹式呼吸,撤離呼吸機困難等情況,也更容易反復發生肺炎、肺不張。本組患者膈肌折疊術前呼吸機應用時間明顯長于同期相關疾病患兒,機械通氣時間為123~832(420±223)h。
目前胸部X線診斷和B超診斷都可以確診膈肌折疊,但更傾向于首選床旁B超作為最初診斷方法[10],因為B超有與X線相同的診斷能力,并且B超可以盡早在床邊檢查,更詳細、動態的了解膈肌活動情況。本組患者均由床邊B超確診,由經驗豐富的B超醫師探查雙側膈肌運動,如膈肌正常收縮、舒張運動消失,呈現無運動狀態或不規則撲動,出現與呼吸反向的運動,診斷膈肌麻痹[11]。
膈肌麻痹分為單側膈肌麻痹和雙側膈肌麻痹,一般來說單側膈肌麻痹遠多于雙側膈肌麻痹。嬰兒雙側膈肌麻痹癥狀表現嚴重。本組患者中雙側膈肌麻痹患兒術后住院時間明顯長于單側膈肌麻痹患兒。其中1例法洛四聯癥患兒,術后出現雙側膈肌麻痹,予雙側膈肌折疊術,術后順利脫離呼吸機,但仍需依賴經鼻持續氣道正壓通氣(NCPAP)支持4周,逐漸脫氧后才順利出院。小年齡患兒行雙側膈肌折疊術后,膈肌功能較正常下降明顯,肋間肌代償能力差[12],可先行NCPAP輔助,加強呼吸道管理及營養支持,逐漸脫氧。
因為新生兒、嬰幼兒肋間肌乏力,肋骨呈水平位,胸廓順應性小,縱隔可移動性大,支氣管內徑小、氣管阻力高、易被分泌物堵塞,呼吸功能儲備少,易出現呼吸衰竭[13]。年齡 > 1歲的患兒肋間肌代償明顯,對膈肌麻痹常有較好耐受。即使不行手術,多數可順利脫離呼吸機,維持正常呼吸狀態。但年齡≤1歲者肋間肌薄弱,以腹式呼吸為主,一旦出現膈肌麻痹,肋間肌代償能力差,患側呼吸運動時膈肌呈矛盾運動,可導致功能殘氣量降低,出現肺泡萎縮和肺不張。患兒須依賴呼吸機正壓通氣,臨床表現為呼吸困難、反復肺部感染、低氧血癥、高碳酸血癥。本組31例患兒出現呼吸機相關性肺炎10例,細菌培養為肺炎克雷白桿菌、鮑曼不動桿菌、銅綠假單胞菌等,需根據藥敏結果積極抗感染治療,并加強營養支持。
早年有學者認為先心病術后膈肌麻痹,應選擇機械通氣作為治療方法,給予持續正壓通氣治療[14]。我中心早期膈肌麻痹患兒也采用呼吸機及NCPAP支持,加強營養支持的保守治療。然而對于小年齡患兒,隨著ICU滯留時間延長,肺部感染機率明顯增加[15]。同時,折疊太晚,膈肌變薄,增加手術危險,成功率降低[16]。綜上所述,我中心認為對于年齡較小,體重較低,營養不良患兒,一旦明確診斷后應盡早行膈肌折疊術。
膈肌折疊手術是治療膈肌麻痹安全、成熟的手術方式[17]。對于低齡、低體質量、復雜先心病、營養不良等患兒一旦出現脫離呼吸機困難,應首先通過超聲和胸部X線片等輔助檢查以求盡快明確診斷,考慮是否存在膈肌麻痹的可能[18]。如確診有膈肌麻痹,應盡早行膈肌折疊手術[19],促進呼吸功能恢復,盡快脫離呼吸機,降低呼吸機等相關并發癥發生,縮短監護時間,消除呼吸困難癥狀[20],減少治療費用,促進患兒恢復。