引用本文: 何金波, 陳玲瓏, 王賢裕, 羅梓垠, 劉亞坤, 汪洋, 王萬鐵. 離體大鼠心肌缺氧/復氧不同時間點心肌組織中TNF-α水平的動態變化及意義. 中國胸心血管外科臨床雜志, 2015, 22(12): 1147-1151. doi: 10.7507/1007-4848.20150285 復制
近些年來,隨著心肌梗死發病率的節節攀高,心肌梗死后再灌注治療已經成為挽救瀕死心肌,降低心肌梗死死亡率的重要方法[1],但伴發的再灌注損傷可使心肌再灌注治療的有效性大大降低[2]。心肌缺氧/復氧損傷(myocardial hypoxia/reoxygenation injury,MH/RI)的臨床要表現主要為再灌注性心律失常、心肌無復流、頓抑、心肌酶譜的升高、梗死面積擴大等。據文獻報道,再灌注期間形成MH/RI的原因包括大量自由基生成、細胞鈣超載、炎癥反應、凋亡等[3-5]。l975年,Carswell等[6]首次在研究中發現了一種內毒素誘導產生的血清因子可以導致腫瘤組織壞死,即腫瘤壞死因子-α(TNF-α)。TNF-α是一種主要由單核巨噬細胞產生的細胞因子,作為炎癥反應的啟動物質,它是最早發揮作用的前炎性因子[7]。TNF-α具有復雜的生物學活性,包括抗腫瘤、抗病毒、免疫調節和誘發炎癥反應等[8]。TNF-α在許多心臟疾病,如冠心病、心肌梗死的發生與發展中扮演著重要角色[9]。本文通過觀察離體大鼠心肌缺氧/復氧早期不同時間點心肌中TNF-α的表達,探討TNF-α與MH/RI的關系。
1 資料與方法
1.1 實驗材料和分組
1.1.1 實驗材料
SD大鼠,雄性,體重250~280 g,其它試劑同參考文獻10。
1.1.2 實驗分組
48只雄性SD大鼠隨機分為對照組(sham組)、缺氧/復氧組(H/R 0.5 h組、1 h組、2 h組),每組12只。采用離體灌流系統,sham組平衡灌注20 min后將心臟保存;H/R 0.5 h組、H/R 1 h組、H/R 2 h組的灌注方法同參考文獻6。
1.2 方法
1.2.1 離體心臟H/R模型
1.2.2 心肌組織中TNF-α和CK-MB的濃度檢測
1.2.3 逆轉錄多聚酶鏈式反應(RT-PCR)方法檢測心肌組織中TNF-α
mRNA的表達水平 Trizol一步法[14]提取大鼠心肌組織總RNA,蛋白核酸儀測定OD 260/280比值(1.8~2.0) 以及OD 260的值。合成cDNA產物采用參考文獻10中描述的方法,引物序列見表 1。

1.2.4 電鏡標本制備
各組停灌后迅速從心尖部同一部位取材,在生理鹽水中漂洗1 min,切成1 mm3大小的組織塊,浸入2.5%的戊二醛中固定,按電鏡常規制樣流程制樣,透射電鏡下觀察心肌細胞超微結構的改變。
1.3 統計學分析
數據以均數±標準差(
2 結果
2.1 各組心功能參數的變化
與對照組相比,缺氧/復氧組的左心室發展壓(1eft ventricular development pressure,LVDP)、左心室發展壓最大上升/下降速率(maximal rates of increase/decrease of the left ventricular pressure,± dp/dtmax)、心率(heart rate,HR)值明顯降低(P<0.05) ;H/R 0.5 h 組、H/R1 h組、H/R 2 h組隨著灌注時間延長,LVDP、±dp/dtmax、HR的值逐漸下降,H/R 0.5 h、H/R1 h、H/R2 h組間LVDP、±dp/dtmax、HR的值兩兩比較,差異均有統計學意義(P<0.05);H/R2 h組與其他組相比,LVDP、±dp/dtmax、HR值達到最低(P<0.05) ;見表 2。

2.2 大鼠心肌組織TNF-α和CK-MB的濃度
缺氧/復氧組與對照組相比,心肌組織中TNF-α的含量明顯增高(P<0.05) ,CK-MB的濃度上升(P<0.05) ;隨著灌注時間的延長,TNF-α和CK-MB的水平呈上升趨勢,提示心肌損傷加重,H/R 0.5 h、H/R1 h、H/R2 h組間兩兩比較,差異均有統計學意義(P<0.05) ;與其他組相比,H/R 2 h組心肌組織中TNF-α和CK-MB的表達達到高峰,見表 3。

2.3 TNF-α mRNA相對表達量的比較
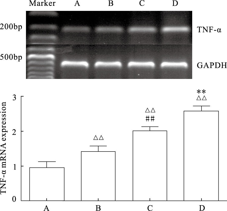
與對照組相比,缺氧/復氧組TNF-α mRNA的相對表達量顯著升高(P<0.05) ;隨著灌注時間的延長,TNF-α mRNA的表達量呈上升趨勢(P<0.05) ,H/R 0.5 h組、H/R1h組、H/R2h組間兩兩比較,差異均有統計學意義(P<0.05) ,與其他組相比,H/R 2h組TNF-α mRNA的表達量最高,見圖 1。

注:A為sham組;B為H/R 0.5 h組;C為H/R 1 h組;D為H/R 2 h組;與sham組相比*
2.4 相關性分析
離體大鼠心肌缺氧/復氧期間LVDP、±dp/dtmax、HR的值與心肌組織TNF-α的濃度呈顯著負相關(P<0.01),心肌組織CK-MB的表達量與TNF-α的濃度呈顯著正相關(P<0.01),心肌TNF-α mRNA相對表達量與TNF-α的濃度呈顯著正相關(P<0.01),心肌缺氧/復氧期間LVDP、±dp/dtmax、HR的值與心肌組織TNF-α mRNA相對表達量呈顯著負相關(P<0.05),大鼠心肌組織CK-MB的表達量與TNF-α mRNA相對表達量呈顯著正相關(P<0.01);見圖 2、3。


2.5 心肌組織超微結構的觀察
心肌組織電鏡觀察結果:對照組心肌纖維結構清晰,橫紋明顯,肌絲排列規則,線粒體形態正常,板層嵴密集,結構清楚;缺氧/復氧0.5 h組心肌纖維走形稍紊亂,橫紋不明顯,線粒體開始出現畸形;缺氧/復氧1 h組心肌纖維結構紊亂,橫紋消失,線粒體腫脹、畸形,嵴斷裂、溶解及空泡形成;缺氧/復氧2 h組出現肌絲大面積的斷裂、溶解,線粒體嵴腫脹十分明顯,見圖 4。

注:A為sham 組;B為H/R 0.5 h組;C為H/R 1 h組;D為H/R 2 h組
3 討論
各種臨床和基礎研究證明,炎癥反應在心臟疾病的發生與發展中發揮著很重要的作用[15-16],炎性細胞的浸潤、激活及細胞因子的釋放是導致心肌間質重塑的重要機制[17-18]。TNF-α是炎癥反應中最重要的細胞因子,它貫穿了炎癥損傷的整個過程[19],它可以通過改變內皮細胞基因表達激活內皮細胞產生其他炎性介質,并且產生引起基質重構的酶,增加在內皮細胞表面形成血栓的能力[20]。TNF-α可促進中性粒細胞聚集,使間葉細胞釋放蛋白溶解酶,并且可引起機體的發熱、食欲不振、產生慢波睡眠、促進骨髓向末梢血液循環釋放中性粒細胞、促進促腎上腺皮質激素和腎上腺皮質激素的釋放[21]。TNF-α通過兩個不同的跨膜受體即腫瘤壞死因子受體1 (tumor necrosis factor receptor1)和TNFR2來介導炎癥反應,TNFR1有其特殊的死亡結構域,在TNFR1被TNF-α激活后,其TNF受體相關死亡結構域(TNF receptor-associated death domain,TRADD)死亡結構域與fas死亡結構域蛋白質(fas associated death domain,FADD)結合,招募Caspases8,啟動級聯反應,介導細胞的凋亡,TNFR1還可以與TRADD、受體相互作用蛋白(receptor-interacting protein,RIP)、 腫瘤壞死因子受體相關因子2(TNF receptor-associated factor2,TRAF2)和細胞凋亡蛋白抑制因子(inhibitor of cellular apoptosis proteins-1,cIAP1)結合成復合物,共同激活NF-?B,介導炎癥反應[22]。與TNFR1不同,TNFR2沒有死亡結構域,被TNF-α激活后,通過招募TRAF2、TRAF3、cIAP1和cIAP2形成復合物,從而通過促分裂原活化蛋白激酶(mitogen-activated protein kinase,MAPK)途徑和核因子誘導激酶(NIK)途徑分別激活轉錄因子AP-1和NF‐κB,啟動炎癥反應[23]。在對心臟疾病的研究中發現,TNF-α的過度表達可以引起左心室功能下降,引起左心室重塑以及內皮功能障礙[24],Levine等[25]首次在心力衰竭患者中發現血清TNF-α濃度較健康對照組呈升高趨勢,在Cugno等[26]的研究中證實,抗TNF-α治療可以明顯改善類風濕性關節炎所引起的心臟損傷。
目前,體外循環心臟直視手術已在許多醫院開展,術中出現的MH/RI已引起廣泛關注,MH/RI還常發生于急性心肌梗死患者冠狀動旁路移植術、經皮腔內冠狀動脈成形術(PTCA)及冠狀動脈內溶栓術中,嚴重影響患者的康復和預后。MH/RI是臨床上心肌缺血性疾病及心臟外科手術中常見的一種嚴重病理損傷,機體的許多損傷機制均參與其中,為了探討TNF-α在心肌缺氧/復氧不同時間點的表達及其與心肌損傷的關系,我們采用Langendorff離體灌流系統制備大鼠心臟缺氧/復氧模型,以模擬臨床上心臟直視手術。研究結果顯示,作為提示心功能早期損傷的敏感指標,復氧期間CK-MB在心肌中的表達量逐漸升高,LVDP、±dp/dtmax、HR的值呈下降趨勢,隨著復氧時間延長,心肌損傷加重。缺氧/復氧組的心肌TNF-α的含量普遍高于對照組(P<0.05),而在缺氧/復氧組內,H/R 0.5 h組、H/R1 h組、H/R2 h 組隨著再灌注時間的延長,TNF-α的表達量逐漸上升,組間兩兩比較其差異均有統計學意義(P<0.05)。相關性分析結果顯示,大鼠心肌缺氧/復氧期間LVDP、±dp/dtmax、HR的值與心肌組織TNF-α的濃度呈顯著負相關(P<0.05) ,心肌組織CK-MB的表達量與心肌組織TNF-α的濃度呈顯著正相關(P<0.01) ,提示TNF-α所介導的炎癥損傷是導致MH/RI的重要機制。
綜上所述,本研究發現在心肌缺氧/復氧過程中,心肌組織TNF-α的高表達所介導的炎癥損傷是引起再灌注損傷的重要機制,這對臨床上心內直視手術中MH/RI的預防與治療有一定的指導意義。
近些年來,隨著心肌梗死發病率的節節攀高,心肌梗死后再灌注治療已經成為挽救瀕死心肌,降低心肌梗死死亡率的重要方法[1],但伴發的再灌注損傷可使心肌再灌注治療的有效性大大降低[2]。心肌缺氧/復氧損傷(myocardial hypoxia/reoxygenation injury,MH/RI)的臨床要表現主要為再灌注性心律失常、心肌無復流、頓抑、心肌酶譜的升高、梗死面積擴大等。據文獻報道,再灌注期間形成MH/RI的原因包括大量自由基生成、細胞鈣超載、炎癥反應、凋亡等[3-5]。l975年,Carswell等[6]首次在研究中發現了一種內毒素誘導產生的血清因子可以導致腫瘤組織壞死,即腫瘤壞死因子-α(TNF-α)。TNF-α是一種主要由單核巨噬細胞產生的細胞因子,作為炎癥反應的啟動物質,它是最早發揮作用的前炎性因子[7]。TNF-α具有復雜的生物學活性,包括抗腫瘤、抗病毒、免疫調節和誘發炎癥反應等[8]。TNF-α在許多心臟疾病,如冠心病、心肌梗死的發生與發展中扮演著重要角色[9]。本文通過觀察離體大鼠心肌缺氧/復氧早期不同時間點心肌中TNF-α的表達,探討TNF-α與MH/RI的關系。
1 資料與方法
1.1 實驗材料和分組
1.1.1 實驗材料
SD大鼠,雄性,體重250~280 g,其它試劑同參考文獻10。
1.1.2 實驗分組
48只雄性SD大鼠隨機分為對照組(sham組)、缺氧/復氧組(H/R 0.5 h組、1 h組、2 h組),每組12只。采用離體灌流系統,sham組平衡灌注20 min后將心臟保存;H/R 0.5 h組、H/R 1 h組、H/R 2 h組的灌注方法同參考文獻6。
1.2 方法
1.2.1 離體心臟H/R模型
1.2.2 心肌組織中TNF-α和CK-MB的濃度檢測
1.2.3 逆轉錄多聚酶鏈式反應(RT-PCR)方法檢測心肌組織中TNF-α
mRNA的表達水平 Trizol一步法[14]提取大鼠心肌組織總RNA,蛋白核酸儀測定OD 260/280比值(1.8~2.0) 以及OD 260的值。合成cDNA產物采用參考文獻10中描述的方法,引物序列見表 1。

1.2.4 電鏡標本制備
各組停灌后迅速從心尖部同一部位取材,在生理鹽水中漂洗1 min,切成1 mm3大小的組織塊,浸入2.5%的戊二醛中固定,按電鏡常規制樣流程制樣,透射電鏡下觀察心肌細胞超微結構的改變。
1.3 統計學分析
數據以均數±標準差(
2 結果
2.1 各組心功能參數的變化
與對照組相比,缺氧/復氧組的左心室發展壓(1eft ventricular development pressure,LVDP)、左心室發展壓最大上升/下降速率(maximal rates of increase/decrease of the left ventricular pressure,± dp/dtmax)、心率(heart rate,HR)值明顯降低(P<0.05) ;H/R 0.5 h 組、H/R1 h組、H/R 2 h組隨著灌注時間延長,LVDP、±dp/dtmax、HR的值逐漸下降,H/R 0.5 h、H/R1 h、H/R2 h組間LVDP、±dp/dtmax、HR的值兩兩比較,差異均有統計學意義(P<0.05);H/R2 h組與其他組相比,LVDP、±dp/dtmax、HR值達到最低(P<0.05) ;見表 2。

2.2 大鼠心肌組織TNF-α和CK-MB的濃度
缺氧/復氧組與對照組相比,心肌組織中TNF-α的含量明顯增高(P<0.05) ,CK-MB的濃度上升(P<0.05) ;隨著灌注時間的延長,TNF-α和CK-MB的水平呈上升趨勢,提示心肌損傷加重,H/R 0.5 h、H/R1 h、H/R2 h組間兩兩比較,差異均有統計學意義(P<0.05) ;與其他組相比,H/R 2 h組心肌組織中TNF-α和CK-MB的表達達到高峰,見表 3。

2.3 TNF-α mRNA相對表達量的比較
與對照組相比,缺氧/復氧組TNF-α mRNA的相對表達量顯著升高(P<0.05) ;隨著灌注時間的延長,TNF-α mRNA的表達量呈上升趨勢(P<0.05) ,H/R 0.5 h組、H/R1h組、H/R2h組間兩兩比較,差異均有統計學意義(P<0.05) ,與其他組相比,H/R 2h組TNF-α mRNA的表達量最高,見圖 1。

注:A為sham組;B為H/R 0.5 h組;C為H/R 1 h組;D為H/R 2 h組;與sham組相比*
2.4 相關性分析
離體大鼠心肌缺氧/復氧期間LVDP、±dp/dtmax、HR的值與心肌組織TNF-α的濃度呈顯著負相關(P<0.01),心肌組織CK-MB的表達量與TNF-α的濃度呈顯著正相關(P<0.01),心肌TNF-α mRNA相對表達量與TNF-α的濃度呈顯著正相關(P<0.01),心肌缺氧/復氧期間LVDP、±dp/dtmax、HR的值與心肌組織TNF-α mRNA相對表達量呈顯著負相關(P<0.05),大鼠心肌組織CK-MB的表達量與TNF-α mRNA相對表達量呈顯著正相關(P<0.01);見圖 2、3。


2.5 心肌組織超微結構的觀察
心肌組織電鏡觀察結果:對照組心肌纖維結構清晰,橫紋明顯,肌絲排列規則,線粒體形態正常,板層嵴密集,結構清楚;缺氧/復氧0.5 h組心肌纖維走形稍紊亂,橫紋不明顯,線粒體開始出現畸形;缺氧/復氧1 h組心肌纖維結構紊亂,橫紋消失,線粒體腫脹、畸形,嵴斷裂、溶解及空泡形成;缺氧/復氧2 h組出現肌絲大面積的斷裂、溶解,線粒體嵴腫脹十分明顯,見圖 4。

注:A為sham 組;B為H/R 0.5 h組;C為H/R 1 h組;D為H/R 2 h組
3 討論
各種臨床和基礎研究證明,炎癥反應在心臟疾病的發生與發展中發揮著很重要的作用[15-16],炎性細胞的浸潤、激活及細胞因子的釋放是導致心肌間質重塑的重要機制[17-18]。TNF-α是炎癥反應中最重要的細胞因子,它貫穿了炎癥損傷的整個過程[19],它可以通過改變內皮細胞基因表達激活內皮細胞產生其他炎性介質,并且產生引起基質重構的酶,增加在內皮細胞表面形成血栓的能力[20]。TNF-α可促進中性粒細胞聚集,使間葉細胞釋放蛋白溶解酶,并且可引起機體的發熱、食欲不振、產生慢波睡眠、促進骨髓向末梢血液循環釋放中性粒細胞、促進促腎上腺皮質激素和腎上腺皮質激素的釋放[21]。TNF-α通過兩個不同的跨膜受體即腫瘤壞死因子受體1 (tumor necrosis factor receptor1)和TNFR2來介導炎癥反應,TNFR1有其特殊的死亡結構域,在TNFR1被TNF-α激活后,其TNF受體相關死亡結構域(TNF receptor-associated death domain,TRADD)死亡結構域與fas死亡結構域蛋白質(fas associated death domain,FADD)結合,招募Caspases8,啟動級聯反應,介導細胞的凋亡,TNFR1還可以與TRADD、受體相互作用蛋白(receptor-interacting protein,RIP)、 腫瘤壞死因子受體相關因子2(TNF receptor-associated factor2,TRAF2)和細胞凋亡蛋白抑制因子(inhibitor of cellular apoptosis proteins-1,cIAP1)結合成復合物,共同激活NF-?B,介導炎癥反應[22]。與TNFR1不同,TNFR2沒有死亡結構域,被TNF-α激活后,通過招募TRAF2、TRAF3、cIAP1和cIAP2形成復合物,從而通過促分裂原活化蛋白激酶(mitogen-activated protein kinase,MAPK)途徑和核因子誘導激酶(NIK)途徑分別激活轉錄因子AP-1和NF‐κB,啟動炎癥反應[23]。在對心臟疾病的研究中發現,TNF-α的過度表達可以引起左心室功能下降,引起左心室重塑以及內皮功能障礙[24],Levine等[25]首次在心力衰竭患者中發現血清TNF-α濃度較健康對照組呈升高趨勢,在Cugno等[26]的研究中證實,抗TNF-α治療可以明顯改善類風濕性關節炎所引起的心臟損傷。
目前,體外循環心臟直視手術已在許多醫院開展,術中出現的MH/RI已引起廣泛關注,MH/RI還常發生于急性心肌梗死患者冠狀動旁路移植術、經皮腔內冠狀動脈成形術(PTCA)及冠狀動脈內溶栓術中,嚴重影響患者的康復和預后。MH/RI是臨床上心肌缺血性疾病及心臟外科手術中常見的一種嚴重病理損傷,機體的許多損傷機制均參與其中,為了探討TNF-α在心肌缺氧/復氧不同時間點的表達及其與心肌損傷的關系,我們采用Langendorff離體灌流系統制備大鼠心臟缺氧/復氧模型,以模擬臨床上心臟直視手術。研究結果顯示,作為提示心功能早期損傷的敏感指標,復氧期間CK-MB在心肌中的表達量逐漸升高,LVDP、±dp/dtmax、HR的值呈下降趨勢,隨著復氧時間延長,心肌損傷加重。缺氧/復氧組的心肌TNF-α的含量普遍高于對照組(P<0.05),而在缺氧/復氧組內,H/R 0.5 h組、H/R1 h組、H/R2 h 組隨著再灌注時間的延長,TNF-α的表達量逐漸上升,組間兩兩比較其差異均有統計學意義(P<0.05)。相關性分析結果顯示,大鼠心肌缺氧/復氧期間LVDP、±dp/dtmax、HR的值與心肌組織TNF-α的濃度呈顯著負相關(P<0.05) ,心肌組織CK-MB的表達量與心肌組織TNF-α的濃度呈顯著正相關(P<0.01) ,提示TNF-α所介導的炎癥損傷是導致MH/RI的重要機制。
綜上所述,本研究發現在心肌缺氧/復氧過程中,心肌組織TNF-α的高表達所介導的炎癥損傷是引起再灌注損傷的重要機制,這對臨床上心內直視手術中MH/RI的預防與治療有一定的指導意義。