引用本文: 李鋼, 孫清超, 李德生, 居來提, 艾尼瓦爾·張力為, 買地尼也提·尼亞孜. 維吾爾族食管鱗癌組織中VEGFR-2表達及其臨床意義. 中國胸心血管外科臨床雜志, 2015, 22(8): 773-777. doi: 10.7507/1007-4848.20150193 復制
食管癌(esophageal carcinoma,EC)是世界第七大腫瘤[1],90%以上的食管癌是鱗癌。中國腫瘤登記中心發布的《2012年中國腫瘤登記年報》顯示,食管癌腫瘤發病率居第五位,死亡率居第四位。同時其在世界范圍內發病率呈增長的趨勢[2]。新疆是食管癌的高發地區,哈薩克族是食管癌發病最高的民族,其次是蒙古族、維吾爾族[3]。血管內皮生長因子受體-2 (vascular endothelial growth factor receptor-2,VEGFR-2)是一種由激酶插入區受體(kinase inserted domain containing receptor,KDR)編碼的跨膜蛋白激酶受體。Terman等1991年第一次成功分離獲取VEGFR-2。它主要分布在血管內皮細胞中,造血干細胞、巨噬細胞等也能見其表達[4]。VEGFR-2與其配體VEGF相結合后,表現出了較強的蛋白酪氨酸激酶活性,并介導腫瘤血管內皮細胞DNA的合成、增殖[5]。多項研究表明VEGFR-2在多種惡性腫瘤組織中均有表達[6-8],并且和腫瘤的發生、轉移、預后密切相關。長期以來對哈薩克族食管癌的研究較多,而對維吾爾族食管癌研究相對較少。查閱國內外文獻,維吾爾族食管癌VEGFR-2研究尚未見報道。本研究檢測維吾爾食管鱗癌組織中VEGFR-2的表達,分析其表達與食管癌臨床病理因素的關系,并探討其在患者生存和預后中的意義。
1 資料與方法
1.1 臨床資料
選取2007年1月至2009年9月新疆醫科大學第一附屬醫院病理科收集制作的石蠟包埋標本。納入標準:我院胸外科手術切除的維吾爾族食管鱗癌癌組織及相應的癌旁組織,經病理診斷為食管鱗癌,術后接受常規放化療治療。排除標準:術前接受過放化療治療,隨訪中失訪的患者。患者腫瘤組織 72例,未發現腫瘤侵犯的癌旁組織28例。其中男56例、女16例,年齡57 (43~79) 歲。臨床分期按2012年國際抗癌聯盟(UICC)的TMN分期標準進行。Ⅰ期23例,Ⅱ期22例,Ⅲ期27例。腫瘤大小在5 cm 以下40例,大于等于5 cm 32例。組織分化程度:高分化17例,中分化29例,低分化26例。淋巴結轉移陰性34例,轉移陽性38例。臨床隨訪1~60個月。
1.2 方法
兔抗VEGFR-2多克隆抗體及SP試劑盒購自北京中杉金橋公司。DAB試劑盒、兔抗人VEGFR-2多克隆抗體購自福州邁新生物技術開發有限公司。
標本經10%中性福爾馬林固定、脫水、石蠟包埋,連續4 μm厚度切片,以二甲苯脫蠟,然后以3% H2O2抑制內源性過氧化物酶,磷酸鹽緩沖液(PBS)洗滌。0.01 mol/L構櫞酸抗原修復液進行微波修復,解凍溫度為92~98 ℃,解凍時間13 min,室溫下冷卻,蒸餾水水洗一遍,PBS洗一遍。滴加羊血清,室溫下孵育10 min以阻斷非特異性反應。滴加兔抗人VEGFR-2抗體(工作濃度為1︰50)、濕盒內4 ℃孵育過夜,3次PBS洗滌,滴加二抗,37℃孵育30 min。再經3次PBS洗滌,二氨基聯苯胺(DAB)顯色,然后蘇木素復染,脫水,透明,封片。
1.3 VEGFR-2結果判定
VEGFR-2效應產物主要定位于腫瘤細胞的細胞漿,陽性標準參考Sinicrope 改良法標準[9],按腫瘤細胞染色強度及陽性著色細胞所占百分比二者結合進行判定評分:0分為無色;1分為淡黃色;2分為棕黃色;3分為棕褐色。按腫瘤細胞陽性百分比評分:0分為陰性;1分為<10%;2分為11%~50%;3分為51%~75%;4分為>75%。按照染色強度評分與陽性細胞百分比評分的和決定最終染色結果:其中0~3分為陰性,4 分以上為陽性。
1.4 統計學分析
結果處理應用SPSS16.0軟件,采用χ2檢驗和秩和檢驗評估VEGFR-2的表達和其他變量的相互關系。采用Kaplan-Meier法進行生存分析。P<0.05為差異有統計學意義。
2 結果
2.1 VEGFR-2的陽性表達
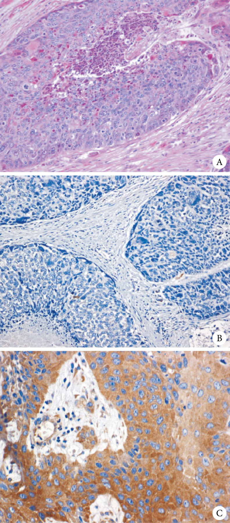
在72例維吾爾族患者食管鱗癌組織中VEGFR-2陽性表達率為80.56% (58/72)(圖 1),相應的28例維吾爾族食管鱗癌患者癌旁正常組織VEGFR-2均無陽性表達(0/28);兩組差異有統計學意義(P<0.05,表 1)。

注:A為中分化鱗狀細胞癌 HE ×20;B為VEGFR-2陰性表達,中分化鱗狀細胞癌免疫組織化學SP法 ×20;C為VEGFR-2陽性表達,中-高分化鱗狀細胞癌免疫組織化學SP法 ×20

2.2 VEGFR-2陽性表達與食管癌臨床病理學特征的關系
VEGFR-2陽性表達與浸潤深度、分化程度、淋巴結轉移及臨床分期有相關性(P<0.05),而與腫瘤大小無相關性(P>0.05,表 2)。

2.3 VEGFR-2陽性表達與維吾爾族食管癌患者生存的關系
58例維吾爾族食管鱗癌VEGFR-2表達陽性患者中,有45例死于腫瘤復發和轉移,1例死于并發癥,6例死于心腦血管意外;14例維吾爾族食管鱗癌VEGFR-2表達陰性患者中,7例死于腫瘤復發和轉移,3例死于心腦血管意外。Kaplan-Meier生存分析顯示:維吾爾族食管鱗癌VEGFR-2表達陰性組與維吾爾族食管癌VEGFR-2表達陽性組平均5年生存時間分別是51.1個月及40.4個月,95%的可信區間分別是(46.3,55.9)個月和(37.1,43.7)個月。維吾爾族食管鱗癌VEGFR-2表達陰性組與維吾爾族VEGFR-2表達陽性組5年中位生存時間分別是50個月及40個月,95%的可信區間分別是(39.6,60.4)個月和(34.8,45.1)個月。log-rank檢驗顯示:維吾爾族食管鱗癌VEGFR-2陰性表達組和維吾爾族食管鱗癌陽性表達組5年生存率分別是50.0%和22.4%,維吾爾族食管鱗癌VEGFR-2陰性表達組生存率明顯高于維吾爾族食管鱗癌VEGFR-2陽性表達組,兩組差異有統計學意義(χ2=6.457,P=0.011,圖 2)。

多因素生存Cox比例模型風險模型分析顯示在維吾爾族食管鱗癌患者中VEGFR-2、淋巴結轉移及TNM分期具有獨立的預后意義(P<0.05),VEGFR-2陽性表達、淋巴結轉移、腫瘤分期將增加維吾爾族食管癌患者的死亡風險(表 3)。

3 討論
在腫瘤生長和轉移過程中,血管的活躍生長是關鍵因素之一。血管不僅是腫瘤的氧供和營養通路,也是腫瘤轉移的通路。腫瘤細胞進入人體系統循環血管的作用是必不可少的[10]。VEGF是參于腫瘤血管的生成和調控的多種血管生成因子中活性最強、專屬性最高的血管生成因子[11]。而VEGF-2是VEGF最主要的功能受體[12-13]。VEGF/VEGFR-2信號轉導通路是當今抗腫瘤基因靶向治療的熱點。近期研究中,蔣曉東等[14]研究發現VEGFR-2在肺癌組織中的表達高達60%,VEGFR-2與肺癌的淋巴結轉移、分化程度密切相關。蒙玉剛等[15]研究發現高表達水平的VEGFR-2在宮頸癌組織的生長、浸潤和轉移中起重要作用。查詢相關研究報道,在輸卵管癌、胃癌和乳腺癌中VEGFR-2的表達與腫瘤臨床特征關系密切[16-18]。
本研究結果顯示:在維吾爾族食管鱗癌患者中,VEGFR-2陽性表達率高于相應癌旁正常組織,且差異有統計學意義(P<0.05),這說明VEGFR-2的陽性表達與食管鱗癌的發生關系密切。在維吾爾族食管鱗癌患者中VEGFR-2陽性表達與食管鱗癌的浸潤深度、淋巴結轉移以及臨床分期關系密切。VEGFR-2表達的陽性率可能成為判斷食管鱗癌的惡性程度及預測食管鱗癌發生侵襲轉移的分子生物學標志物之一。根據生存分析結果,我們認為:在維吾爾族食管鱗癌患者VEGFR-2陰性表達組5年生存率明顯高于維吾爾食管鱗癌患者VEGFR-2陽性表達組;VEGFR-2陽性表達、淋巴結轉移、腫瘤分期是影響維吾爾族食管鱗癌的重要因素,均具有獨立的預后意義,這表明VEGFR-2不僅參與了食管鱗癌血管的生成,對食管鱗癌的進展起促進作用,而且與食管鱗癌的預后同樣密切相關。
本次研究中總的食管癌樣本量相對不足,由于手術切除的癌旁組織大部分達不到要求導致癌旁組織缺失,這些因素可能對研究結果產生一定的偏移。總之本研究顯示:VEGFR-2與維吾爾族食管鱗癌的臨床病理參數密切相關,VEGFR-2可能和其它指標結合起來,對維吾爾族食管鱗癌的臨床論斷、轉移風險及預后提供支持依據。
食管癌(esophageal carcinoma,EC)是世界第七大腫瘤[1],90%以上的食管癌是鱗癌。中國腫瘤登記中心發布的《2012年中國腫瘤登記年報》顯示,食管癌腫瘤發病率居第五位,死亡率居第四位。同時其在世界范圍內發病率呈增長的趨勢[2]。新疆是食管癌的高發地區,哈薩克族是食管癌發病最高的民族,其次是蒙古族、維吾爾族[3]。血管內皮生長因子受體-2 (vascular endothelial growth factor receptor-2,VEGFR-2)是一種由激酶插入區受體(kinase inserted domain containing receptor,KDR)編碼的跨膜蛋白激酶受體。Terman等1991年第一次成功分離獲取VEGFR-2。它主要分布在血管內皮細胞中,造血干細胞、巨噬細胞等也能見其表達[4]。VEGFR-2與其配體VEGF相結合后,表現出了較強的蛋白酪氨酸激酶活性,并介導腫瘤血管內皮細胞DNA的合成、增殖[5]。多項研究表明VEGFR-2在多種惡性腫瘤組織中均有表達[6-8],并且和腫瘤的發生、轉移、預后密切相關。長期以來對哈薩克族食管癌的研究較多,而對維吾爾族食管癌研究相對較少。查閱國內外文獻,維吾爾族食管癌VEGFR-2研究尚未見報道。本研究檢測維吾爾食管鱗癌組織中VEGFR-2的表達,分析其表達與食管癌臨床病理因素的關系,并探討其在患者生存和預后中的意義。
1 資料與方法
1.1 臨床資料
選取2007年1月至2009年9月新疆醫科大學第一附屬醫院病理科收集制作的石蠟包埋標本。納入標準:我院胸外科手術切除的維吾爾族食管鱗癌癌組織及相應的癌旁組織,經病理診斷為食管鱗癌,術后接受常規放化療治療。排除標準:術前接受過放化療治療,隨訪中失訪的患者。患者腫瘤組織 72例,未發現腫瘤侵犯的癌旁組織28例。其中男56例、女16例,年齡57 (43~79) 歲。臨床分期按2012年國際抗癌聯盟(UICC)的TMN分期標準進行。Ⅰ期23例,Ⅱ期22例,Ⅲ期27例。腫瘤大小在5 cm 以下40例,大于等于5 cm 32例。組織分化程度:高分化17例,中分化29例,低分化26例。淋巴結轉移陰性34例,轉移陽性38例。臨床隨訪1~60個月。
1.2 方法
兔抗VEGFR-2多克隆抗體及SP試劑盒購自北京中杉金橋公司。DAB試劑盒、兔抗人VEGFR-2多克隆抗體購自福州邁新生物技術開發有限公司。
標本經10%中性福爾馬林固定、脫水、石蠟包埋,連續4 μm厚度切片,以二甲苯脫蠟,然后以3% H2O2抑制內源性過氧化物酶,磷酸鹽緩沖液(PBS)洗滌。0.01 mol/L構櫞酸抗原修復液進行微波修復,解凍溫度為92~98 ℃,解凍時間13 min,室溫下冷卻,蒸餾水水洗一遍,PBS洗一遍。滴加羊血清,室溫下孵育10 min以阻斷非特異性反應。滴加兔抗人VEGFR-2抗體(工作濃度為1︰50)、濕盒內4 ℃孵育過夜,3次PBS洗滌,滴加二抗,37℃孵育30 min。再經3次PBS洗滌,二氨基聯苯胺(DAB)顯色,然后蘇木素復染,脫水,透明,封片。
1.3 VEGFR-2結果判定
VEGFR-2效應產物主要定位于腫瘤細胞的細胞漿,陽性標準參考Sinicrope 改良法標準[9],按腫瘤細胞染色強度及陽性著色細胞所占百分比二者結合進行判定評分:0分為無色;1分為淡黃色;2分為棕黃色;3分為棕褐色。按腫瘤細胞陽性百分比評分:0分為陰性;1分為<10%;2分為11%~50%;3分為51%~75%;4分為>75%。按照染色強度評分與陽性細胞百分比評分的和決定最終染色結果:其中0~3分為陰性,4 分以上為陽性。
1.4 統計學分析
結果處理應用SPSS16.0軟件,采用χ2檢驗和秩和檢驗評估VEGFR-2的表達和其他變量的相互關系。采用Kaplan-Meier法進行生存分析。P<0.05為差異有統計學意義。
2 結果
2.1 VEGFR-2的陽性表達
在72例維吾爾族患者食管鱗癌組織中VEGFR-2陽性表達率為80.56% (58/72)(圖 1),相應的28例維吾爾族食管鱗癌患者癌旁正常組織VEGFR-2均無陽性表達(0/28);兩組差異有統計學意義(P<0.05,表 1)。

注:A為中分化鱗狀細胞癌 HE ×20;B為VEGFR-2陰性表達,中分化鱗狀細胞癌免疫組織化學SP法 ×20;C為VEGFR-2陽性表達,中-高分化鱗狀細胞癌免疫組織化學SP法 ×20

2.2 VEGFR-2陽性表達與食管癌臨床病理學特征的關系
VEGFR-2陽性表達與浸潤深度、分化程度、淋巴結轉移及臨床分期有相關性(P<0.05),而與腫瘤大小無相關性(P>0.05,表 2)。

2.3 VEGFR-2陽性表達與維吾爾族食管癌患者生存的關系
58例維吾爾族食管鱗癌VEGFR-2表達陽性患者中,有45例死于腫瘤復發和轉移,1例死于并發癥,6例死于心腦血管意外;14例維吾爾族食管鱗癌VEGFR-2表達陰性患者中,7例死于腫瘤復發和轉移,3例死于心腦血管意外。Kaplan-Meier生存分析顯示:維吾爾族食管鱗癌VEGFR-2表達陰性組與維吾爾族食管癌VEGFR-2表達陽性組平均5年生存時間分別是51.1個月及40.4個月,95%的可信區間分別是(46.3,55.9)個月和(37.1,43.7)個月。維吾爾族食管鱗癌VEGFR-2表達陰性組與維吾爾族VEGFR-2表達陽性組5年中位生存時間分別是50個月及40個月,95%的可信區間分別是(39.6,60.4)個月和(34.8,45.1)個月。log-rank檢驗顯示:維吾爾族食管鱗癌VEGFR-2陰性表達組和維吾爾族食管鱗癌陽性表達組5年生存率分別是50.0%和22.4%,維吾爾族食管鱗癌VEGFR-2陰性表達組生存率明顯高于維吾爾族食管鱗癌VEGFR-2陽性表達組,兩組差異有統計學意義(χ2=6.457,P=0.011,圖 2)。

多因素生存Cox比例模型風險模型分析顯示在維吾爾族食管鱗癌患者中VEGFR-2、淋巴結轉移及TNM分期具有獨立的預后意義(P<0.05),VEGFR-2陽性表達、淋巴結轉移、腫瘤分期將增加維吾爾族食管癌患者的死亡風險(表 3)。

3 討論
在腫瘤生長和轉移過程中,血管的活躍生長是關鍵因素之一。血管不僅是腫瘤的氧供和營養通路,也是腫瘤轉移的通路。腫瘤細胞進入人體系統循環血管的作用是必不可少的[10]。VEGF是參于腫瘤血管的生成和調控的多種血管生成因子中活性最強、專屬性最高的血管生成因子[11]。而VEGF-2是VEGF最主要的功能受體[12-13]。VEGF/VEGFR-2信號轉導通路是當今抗腫瘤基因靶向治療的熱點。近期研究中,蔣曉東等[14]研究發現VEGFR-2在肺癌組織中的表達高達60%,VEGFR-2與肺癌的淋巴結轉移、分化程度密切相關。蒙玉剛等[15]研究發現高表達水平的VEGFR-2在宮頸癌組織的生長、浸潤和轉移中起重要作用。查詢相關研究報道,在輸卵管癌、胃癌和乳腺癌中VEGFR-2的表達與腫瘤臨床特征關系密切[16-18]。
本研究結果顯示:在維吾爾族食管鱗癌患者中,VEGFR-2陽性表達率高于相應癌旁正常組織,且差異有統計學意義(P<0.05),這說明VEGFR-2的陽性表達與食管鱗癌的發生關系密切。在維吾爾族食管鱗癌患者中VEGFR-2陽性表達與食管鱗癌的浸潤深度、淋巴結轉移以及臨床分期關系密切。VEGFR-2表達的陽性率可能成為判斷食管鱗癌的惡性程度及預測食管鱗癌發生侵襲轉移的分子生物學標志物之一。根據生存分析結果,我們認為:在維吾爾族食管鱗癌患者VEGFR-2陰性表達組5年生存率明顯高于維吾爾食管鱗癌患者VEGFR-2陽性表達組;VEGFR-2陽性表達、淋巴結轉移、腫瘤分期是影響維吾爾族食管鱗癌的重要因素,均具有獨立的預后意義,這表明VEGFR-2不僅參與了食管鱗癌血管的生成,對食管鱗癌的進展起促進作用,而且與食管鱗癌的預后同樣密切相關。
本次研究中總的食管癌樣本量相對不足,由于手術切除的癌旁組織大部分達不到要求導致癌旁組織缺失,這些因素可能對研究結果產生一定的偏移。總之本研究顯示:VEGFR-2與維吾爾族食管鱗癌的臨床病理參數密切相關,VEGFR-2可能和其它指標結合起來,對維吾爾族食管鱗癌的臨床論斷、轉移風險及預后提供支持依據。