干下型室間隔缺損位于室間隔漏斗部,緊鄰主、肺動脈瓣下,由于其解剖類型特殊,傳統的心內直視手術創傷大,而經導管微創封堵治療也不適宜該類缺損的治療。經胸微創室間隔封堵是一種全新的治療室間隔缺損的雜交手術技術,該技術突破了傳統治療局限,能夠達到微創的治療干下型室間隔缺損的治療的目的,本文以此為基礎,全面介紹經胸封堵治療該類室間隔缺損的外科技巧及圍手術期管理經驗。
引用本文: 陳秒, 朱達, 安琪. 微創經胸封堵術治療干下型室間隔缺損——外科技巧及圍手術期管理. 中國胸心血管外科臨床雜志, 2015, 22(6): 596-601. doi: 10.7507/1007-4848.20150150 復制
干下型室間隔缺損位于室間隔漏斗部,緊鄰主、肺動脈瓣下(又稱為雙動脈干下或脊上型室間隔缺損),該類缺損在亞洲人群中有較高的發病率(占室間隔缺損的15%)[1-3]。不同于其他類型的室間隔缺損,由于其緊鄰主動脈瓣及肺動脈瓣,左右心室壓力階差導致的心內分流能在動脈瓣下造成獨特的虹吸作用,繼而誘發進行性主動脈瓣膜脫垂及反流(從而導致瓣膜的毀損),所以對該類室間隔缺損應早期給予干預,避免主動脈瓣并發癥的發生[1-8]。傳統體外循環心內直視手術外科創傷大,尤其是對于體重較低的兒童及嬰幼兒,更易出現心功能不全及器官功能障礙等嚴重并發癥。對于經典的經導管介入微創封堵技術而言,干下型室間隔缺損亦由于位置特殊(位于右心室流出道上部且緊鄰主動脈瓣),無論是通路的建立或調整封堵器傘盤位置都極為困難,故目前對于該類室間隔缺損仍是其禁忌證。
經胸微創室間隔封堵術是一種全新的治療室間隔缺損的雜交手術技術[9-13],其通過右心室表面入路,能夠容易的建立封堵器輸送通道,精確地調整封堵器傘盤釋放的位置及方向,結合設計獨特的偏心室間隔缺損封堵器,能夠成功地應用于干下型室間隔缺損的微創封堵治療。作為一種由我國學者開創的微創治療部分干下型室間隔缺損技術,目前的研究已經提示其具有較高的成功率及較低的并發癥發生率。但目前而言,未有文章詳細而系統地闡述該類技術,本文將以此為契機從多角度介紹該類技術在術前評估、手術技巧及圍手術期管理的方法。
1 術前評估及患者選擇
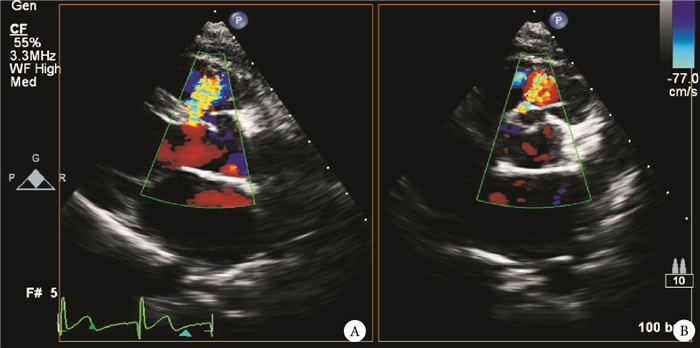
對于擬行雙動脈干下室間隔缺損經胸封堵術的患者,全面的術前影像學評估及完善的手術策略制定是保證成功關鍵。經胸超聲心動圖是最常用也是最為重要的術前檢查評估手段,其能清晰地顯示室間隔缺損的大小,分流程度,主動脈瓣膜的形態及功能,缺損與肺動脈瓣之間的距離等重要指標(圖 1)。術前經胸超聲心動圖評估內容應包括:(1)室間隔缺損的大小(包括長軸徑及短軸徑),或者其三維輪廓;(2)主動脈瓣膜形態及功能,是否合并瓣膜脫垂,是否存在主動脈瓣膜反流;(3)心臟功能,各心腔大小及心內分流量(估測Qp/Qs)。術中可采用經食管超聲心動圖(trans-esophageal echocardiogram,TEE)對室間隔缺損進一步評估,相對于經胸超聲心動圖,TEE能夠提供更為全面的解剖信息,TEE評價的切面包括食管中段五腔心平面,主動脈短軸平面及左心室長軸平面,這樣可以較為準確地測量缺損的大小。同時TEE也可以清晰地顯示主動脈瓣膜的形態與功能,判斷是否存在脫垂,而同時該切面也是引導心內操作的最佳切面,因為該切面可以同時顯示缺損、主動脈瓣膜及重要心內結構(二尖瓣及其瓣下腱索),也能顯示整個封堵器輸送裝置。如在雜交手術室進行手術或懷疑患者存在肺動脈高壓,也可以運用經導管檢查,明確肺動脈阻力指數,Qp/Qs等指標,并對室間隔缺損的大小、瓣膜脫垂情況進行進一步評估。
圖1
術前經胸超聲及造影評價干下型室間隔缺損
注:超聲清晰顯示室間隔缺損在左心室長軸及短軸切面直徑,以及缺損與主動脈瓣及肺動脈瓣膜的關系(緊臨主動脈瓣膜及肺動脈瓣膜);A、B:術前造影顯示室間隔缺損位于主動脈瓣及肺動脈瓣下;LV:左心室;Ao:主動脈;LA:左心房;RA:右心房;PA:肺動脈;箭頭所示為室間隔缺損
由于該類技術是一項全新的外科微創治療方式,對于其適應證及禁忌證目前并無明確定論,但在多個已發表的研究中已經達到了一定的共識 [14-19]。其適應證包括:(1)年齡>3個月;(2)診斷明確的雙動脈干下型室間隔缺損(缺損直徑<10 mm),而對于室間隔缺損大小的限定不僅需要考慮其直徑的絕對值,更應注意考慮患者本身的體重、年齡及心臟舒張期末內徑與室間隔缺損大小的相對關系;(3) 術前不合并主動脈瓣膜脫垂;(4)術前不合并主動脈瓣膜反流(或僅有微量主動脈瓣反流)。禁忌證包括:(1)室間隔缺損直徑絕對值>10 mm;(2)合并主動脈瓣脫垂(本團隊研究提示即使是輕微的主動脈瓣脫垂也與經胸封堵術失敗及術后新發主動脈瓣反流相關);(3)術前提示主動脈瓣存在輕度及輕度以上反流;(4)術前合并肺動脈高壓的患者;(5)合并其他心內畸形的患者。
2 雙動脈干下型室間隔缺損封堵器及其輸送裝置特性介紹
與傳統的等邊封堵器相比,雙動脈干下型室間隔缺損封堵器采用獨特偏心設計,其目的主要是避免在封堵器釋放后干擾主動脈瓣膜功能(圖 2);不同于AGA公司生產的經典Amplatzer偏心封堵(偏心端仍有約1 mm邊緣),由國內學者主導研發的干下型室間隔缺損封堵器采用了零偏心的設計(偏心端無突出邊緣),從而最大程度地減少了對主動脈瓣功能的影響。其左側傘盤擁有一個偏心端及一個遠心端,偏心端釋放后無突出邊緣,遠心端有5 mm邊緣(為了確保封堵器左傘盤釋放后的穩定性),為了方便定位,在封堵器的遠心端設有一個金屬突出部,能夠方便在左側傘盤體內釋放時借助超聲對傘盤進行有效定位,而右側傘盤設計則與膜周部缺損封堵器相似,有2 mm的邊緣。偏心封堵器的腰部厚度也與傳統的等邊封堵器無明顯差異。正是依賴這樣獨特的傘盤設計,在采用微創封堵術治療干下型室間隔缺損的同時才能避免干擾主動脈瓣膜的結構與功能。封堵器輸送系統包括:輸送鞘管(內鞘+外鞘),封堵器裝載鞘,引導鋼絲,封堵器輸送鋼絲,以及24 G靜脈留置針。
圖2
中國學者主導設計的零偏心室間隔缺損封堵器
注:不同于傳統的偏心封堵器,該類缺損封堵器左側傘盤采用零偏心設計,從而最大程度避免干擾主動脈瓣膜功能
3 封堵器的型號的選擇及組裝
對于干下型室間隔缺損的封堵需要遵循個體化的原則。一般封堵器傘盤大小的選擇應基于室間隔缺損直徑(需要綜合考慮室缺在不同徑線上的直徑)原則上以不同徑線的平均值亦或最大徑線作為選擇傘盤直徑的參考(一般選擇傘盤原則上要大于室間隔缺損徑線0.5~1.5 mm)。選擇合適的封堵器后,在肝素水中組裝輸送裝置并將傘盤收入輸送裝置,從而達到排氣及抗凝的目的。
4 外科操作技巧及步驟詳解
外科切口選擇:對于該類室間隔缺損,有胸骨中線下1/3段切口、左側前胸第3肋間隙橫行微創開胸切口位置可供選擇(圖 3 [13])。其中,胸骨中線下段切口需要行胸骨半切開,而左前胸肋間切口則不需要,但對于可能封堵不成功的患者,采用第一種切口能夠更為快捷地轉成傳統體外循環開胸手術。依次行外科切口并懸吊心包,暴露右心室游離壁,并給予全身肝素化(1 mg/kg),在實時TEE超聲引導下確認缺損位置,術者以示指按壓右心室游離壁確認穿刺點(要求穿刺點垂直于室間隔缺損平面)。確定穿刺點后于穿刺點周圍以4-0聚丙烯滑線行荷包縫合,并用24 G靜脈穿刺針插入右心室腔內,移除針尖,借助穿刺針將導絲引入右心室,并移除穿刺針。在TEE的實時引導下,操作導絲使其通過室間隔缺損進入左心室(此步驟為操作的核心)。如有困難應該不斷調整導絲的方向,并作多次嘗試。經過導絲,在TEE引導下,將雙層輸送套管植入左心室(此時應該使用TEE顯示整個輸送裝置,從而避免輸送裝置損傷心內結構),然后移除輸送器內鞘。將預先準備好的裝載鞘管和輸送鞘外鞘相接,保持輸送鞘不動,向前逐漸推動輸送鋼絲以展開左心室側傘盤,此時應該注意TEE圖像上見到展開的封堵器左傘盤上的標記點(指示封堵器左傘盤的遠心端),緩慢旋轉輸送鞘,使得傘盤的遠心端遠離主動脈瓣,且傘盤零邊偏心部正好處于主動脈瓣右冠瓣下緣下方,從而避免干擾主動脈瓣膜的功能,確認左側傘盤釋放成功。輕輕回撤輸送鞘,使左側傘盤牢固貼合室間隔,繼續推動輸送鋼絲,在TEE超聲引導下釋放封堵器腰部及右側傘盤,傘盤全部展開完成后,再次評估封堵器傘盤形態,并在3個不同切面(五腔心,大動脈短軸以及長軸)確認傘盤位置(偏心傘釋放位置是否準確),有無殘余分流,以及主動脈瓣及肺動脈瓣功能,推拉輸送鋼絲確認無誤(穩定)后,反時針旋轉輸送鋼絲,確定封堵器完全釋放后,移除輸送裝置,收緊心表面荷包縫線。輸送裝置移除后,再次使用TEE全面評估傘盤位置及形態(在五腔心及左心室長軸切面確認左側傘盤標記位于主動脈瓣遠端,從而確保零偏心部位位于主動脈瓣膜下)(圖 4),室間隔殘余分流,主動脈瓣及肺動脈瓣反流情況,如有條件,亦可行造影明確有無殘余分流,主動脈反流及明確封堵器傘盤位置是否正確,確認無誤后仔細止血,并逐層關閉切口。
圖4
封堵器傘盤釋放后全面評價封封堵器位置
注:在五腔心及左心室長軸切面確認左側傘盤標記位于主動脈瓣遠端(A、C),從而確保零偏心部位位于主動脈瓣膜下(B),從而確認封堵器位置正確;箭頭示偏心邊傘盤標記;LV:左心室;RV:右心室;AV:主動脈瓣
5 并發癥預防與不良事件的評價及處理原則
不同于X線造影,TEE的優勢是在于其能更為清晰地顯示心內重要結構,諸如瓣膜、瓣下腱索及室間隔的重要結構,而作為一種主要依賴TEE引導的微創治療方式,外科在整個操作過程中應該更為關注實時TEE所顯示的圖像信息,在操作過程中TEE應該持續顯示導絲及整個輸送裝置、傘盤及其與心內重要解剖結構之間的關系,從而避免損傷心內組織(避免諸如輸送器送入過深損傷重要心腔結構,封堵器釋放后纏繞二尖瓣腱索等嚴重并發癥的發生)。對于TEE提示主動脈有明確脫垂的患者,應該避免行經胸封堵術。傘盤釋放后應及時對傘盤的位置、是否出現殘余分流及主動脈瓣膜反流進行全面評價,如有下列3種情況,應該及時改為開胸手術,從而避免諸如傘盤脫落、溶血及術后主動脈瓣膜損傷等并發癥的發生:(1)釋放后傘盤位置變化(傘盤傾斜或移位);(2)TEE發現明顯殘余分流(>3 mm或分流速度>2 m/s);(3)傘盤釋放后導致的主動脈瓣膜反流(中度及以上)。
6 循證醫學證據及展望
作為一種由中國學者首創的雜交微創治療雙動脈干下型室間隔缺損的方法,目前在國內已經有超過百余例的成功經驗報道,其中部分研究也已經發表在較高學術水平的雜志上(表 1)。總體而言,對于該類缺損的封堵成功率達到80%以上,隨訪期間出現殘余分流的概率也極低,也無嚴重并發癥發生(所報道的術后主動脈瓣膜反流也為微量或輕度) [14-19]。而本研究團隊最新的對照研究結果也提示,對于部分解剖類型合適的患者,該類技術在大大降低患者圍手術期創傷的基礎上,同樣具有與傳統外科手術相仿的中遠期效果[18]。但仍然需要承認的是,目前現有的臨床研究樣本量仍然偏小,平均隨訪時間較短,缺乏大規模的多中心隨機對照研究;而該技術目前僅適合于部分缺損相對較小且不合并瓣膜病變的患者,對于較大的缺損或合并瓣膜病變的患者,體外循環手術仍為最佳治療方案;同樣該技術也有一定的失敗率及并發癥(諸如術后主動脈瓣反流——該項技術最主要的并發癥),而目前對于該項技術的不良事件,尚無明確的可供參考的危險因素預測及評估(目前僅有部分研究中提示術后主動脈瓣反流與患者術前傘盤大小/體重比、術前主動脈脫垂情況呈現相關性)[20]。而未來的大宗高質量臨床隨機對照研究仍有必要繼續探究該類方法較傳統外科手術在中遠期效果的比較。
7 結論
作為一種新興的雜交微創外科技術,經胸微創封堵技術為部分干下型室間隔缺損提供了一種全新的微創治療方案,經過我國學者的不斷研究及發展,該技術已趨于成熟,相信在不久的將來,該技術將作為治療干下型室間隔缺損的可靠手段。
干下型室間隔缺損位于室間隔漏斗部,緊鄰主、肺動脈瓣下(又稱為雙動脈干下或脊上型室間隔缺損),該類缺損在亞洲人群中有較高的發病率(占室間隔缺損的15%)[1-3]。不同于其他類型的室間隔缺損,由于其緊鄰主動脈瓣及肺動脈瓣,左右心室壓力階差導致的心內分流能在動脈瓣下造成獨特的虹吸作用,繼而誘發進行性主動脈瓣膜脫垂及反流(從而導致瓣膜的毀損),所以對該類室間隔缺損應早期給予干預,避免主動脈瓣并發癥的發生[1-8]。傳統體外循環心內直視手術外科創傷大,尤其是對于體重較低的兒童及嬰幼兒,更易出現心功能不全及器官功能障礙等嚴重并發癥。對于經典的經導管介入微創封堵技術而言,干下型室間隔缺損亦由于位置特殊(位于右心室流出道上部且緊鄰主動脈瓣),無論是通路的建立或調整封堵器傘盤位置都極為困難,故目前對于該類室間隔缺損仍是其禁忌證。
經胸微創室間隔封堵術是一種全新的治療室間隔缺損的雜交手術技術[9-13],其通過右心室表面入路,能夠容易的建立封堵器輸送通道,精確地調整封堵器傘盤釋放的位置及方向,結合設計獨特的偏心室間隔缺損封堵器,能夠成功地應用于干下型室間隔缺損的微創封堵治療。作為一種由我國學者開創的微創治療部分干下型室間隔缺損技術,目前的研究已經提示其具有較高的成功率及較低的并發癥發生率。但目前而言,未有文章詳細而系統地闡述該類技術,本文將以此為契機從多角度介紹該類技術在術前評估、手術技巧及圍手術期管理的方法。
1 術前評估及患者選擇
對于擬行雙動脈干下室間隔缺損經胸封堵術的患者,全面的術前影像學評估及完善的手術策略制定是保證成功關鍵。經胸超聲心動圖是最常用也是最為重要的術前檢查評估手段,其能清晰地顯示室間隔缺損的大小,分流程度,主動脈瓣膜的形態及功能,缺損與肺動脈瓣之間的距離等重要指標(圖 1)。術前經胸超聲心動圖評估內容應包括:(1)室間隔缺損的大小(包括長軸徑及短軸徑),或者其三維輪廓;(2)主動脈瓣膜形態及功能,是否合并瓣膜脫垂,是否存在主動脈瓣膜反流;(3)心臟功能,各心腔大小及心內分流量(估測Qp/Qs)。術中可采用經食管超聲心動圖(trans-esophageal echocardiogram,TEE)對室間隔缺損進一步評估,相對于經胸超聲心動圖,TEE能夠提供更為全面的解剖信息,TEE評價的切面包括食管中段五腔心平面,主動脈短軸平面及左心室長軸平面,這樣可以較為準確地測量缺損的大小。同時TEE也可以清晰地顯示主動脈瓣膜的形態與功能,判斷是否存在脫垂,而同時該切面也是引導心內操作的最佳切面,因為該切面可以同時顯示缺損、主動脈瓣膜及重要心內結構(二尖瓣及其瓣下腱索),也能顯示整個封堵器輸送裝置。如在雜交手術室進行手術或懷疑患者存在肺動脈高壓,也可以運用經導管檢查,明確肺動脈阻力指數,Qp/Qs等指標,并對室間隔缺損的大小、瓣膜脫垂情況進行進一步評估。
圖1
術前經胸超聲及造影評價干下型室間隔缺損
注:超聲清晰顯示室間隔缺損在左心室長軸及短軸切面直徑,以及缺損與主動脈瓣及肺動脈瓣膜的關系(緊臨主動脈瓣膜及肺動脈瓣膜);A、B:術前造影顯示室間隔缺損位于主動脈瓣及肺動脈瓣下;LV:左心室;Ao:主動脈;LA:左心房;RA:右心房;PA:肺動脈;箭頭所示為室間隔缺損
由于該類技術是一項全新的外科微創治療方式,對于其適應證及禁忌證目前并無明確定論,但在多個已發表的研究中已經達到了一定的共識 [14-19]。其適應證包括:(1)年齡>3個月;(2)診斷明確的雙動脈干下型室間隔缺損(缺損直徑<10 mm),而對于室間隔缺損大小的限定不僅需要考慮其直徑的絕對值,更應注意考慮患者本身的體重、年齡及心臟舒張期末內徑與室間隔缺損大小的相對關系;(3) 術前不合并主動脈瓣膜脫垂;(4)術前不合并主動脈瓣膜反流(或僅有微量主動脈瓣反流)。禁忌證包括:(1)室間隔缺損直徑絕對值>10 mm;(2)合并主動脈瓣脫垂(本團隊研究提示即使是輕微的主動脈瓣脫垂也與經胸封堵術失敗及術后新發主動脈瓣反流相關);(3)術前提示主動脈瓣存在輕度及輕度以上反流;(4)術前合并肺動脈高壓的患者;(5)合并其他心內畸形的患者。
2 雙動脈干下型室間隔缺損封堵器及其輸送裝置特性介紹
與傳統的等邊封堵器相比,雙動脈干下型室間隔缺損封堵器采用獨特偏心設計,其目的主要是避免在封堵器釋放后干擾主動脈瓣膜功能(圖 2);不同于AGA公司生產的經典Amplatzer偏心封堵(偏心端仍有約1 mm邊緣),由國內學者主導研發的干下型室間隔缺損封堵器采用了零偏心的設計(偏心端無突出邊緣),從而最大程度地減少了對主動脈瓣功能的影響。其左側傘盤擁有一個偏心端及一個遠心端,偏心端釋放后無突出邊緣,遠心端有5 mm邊緣(為了確保封堵器左傘盤釋放后的穩定性),為了方便定位,在封堵器的遠心端設有一個金屬突出部,能夠方便在左側傘盤體內釋放時借助超聲對傘盤進行有效定位,而右側傘盤設計則與膜周部缺損封堵器相似,有2 mm的邊緣。偏心封堵器的腰部厚度也與傳統的等邊封堵器無明顯差異。正是依賴這樣獨特的傘盤設計,在采用微創封堵術治療干下型室間隔缺損的同時才能避免干擾主動脈瓣膜的結構與功能。封堵器輸送系統包括:輸送鞘管(內鞘+外鞘),封堵器裝載鞘,引導鋼絲,封堵器輸送鋼絲,以及24 G靜脈留置針。
圖2
中國學者主導設計的零偏心室間隔缺損封堵器
注:不同于傳統的偏心封堵器,該類缺損封堵器左側傘盤采用零偏心設計,從而最大程度避免干擾主動脈瓣膜功能
3 封堵器的型號的選擇及組裝
對于干下型室間隔缺損的封堵需要遵循個體化的原則。一般封堵器傘盤大小的選擇應基于室間隔缺損直徑(需要綜合考慮室缺在不同徑線上的直徑)原則上以不同徑線的平均值亦或最大徑線作為選擇傘盤直徑的參考(一般選擇傘盤原則上要大于室間隔缺損徑線0.5~1.5 mm)。選擇合適的封堵器后,在肝素水中組裝輸送裝置并將傘盤收入輸送裝置,從而達到排氣及抗凝的目的。
4 外科操作技巧及步驟詳解
外科切口選擇:對于該類室間隔缺損,有胸骨中線下1/3段切口、左側前胸第3肋間隙橫行微創開胸切口位置可供選擇(圖 3 [13])。其中,胸骨中線下段切口需要行胸骨半切開,而左前胸肋間切口則不需要,但對于可能封堵不成功的患者,采用第一種切口能夠更為快捷地轉成傳統體外循環開胸手術。依次行外科切口并懸吊心包,暴露右心室游離壁,并給予全身肝素化(1 mg/kg),在實時TEE超聲引導下確認缺損位置,術者以示指按壓右心室游離壁確認穿刺點(要求穿刺點垂直于室間隔缺損平面)。確定穿刺點后于穿刺點周圍以4-0聚丙烯滑線行荷包縫合,并用24 G靜脈穿刺針插入右心室腔內,移除針尖,借助穿刺針將導絲引入右心室,并移除穿刺針。在TEE的實時引導下,操作導絲使其通過室間隔缺損進入左心室(此步驟為操作的核心)。如有困難應該不斷調整導絲的方向,并作多次嘗試。經過導絲,在TEE引導下,將雙層輸送套管植入左心室(此時應該使用TEE顯示整個輸送裝置,從而避免輸送裝置損傷心內結構),然后移除輸送器內鞘。將預先準備好的裝載鞘管和輸送鞘外鞘相接,保持輸送鞘不動,向前逐漸推動輸送鋼絲以展開左心室側傘盤,此時應該注意TEE圖像上見到展開的封堵器左傘盤上的標記點(指示封堵器左傘盤的遠心端),緩慢旋轉輸送鞘,使得傘盤的遠心端遠離主動脈瓣,且傘盤零邊偏心部正好處于主動脈瓣右冠瓣下緣下方,從而避免干擾主動脈瓣膜的功能,確認左側傘盤釋放成功。輕輕回撤輸送鞘,使左側傘盤牢固貼合室間隔,繼續推動輸送鋼絲,在TEE超聲引導下釋放封堵器腰部及右側傘盤,傘盤全部展開完成后,再次評估封堵器傘盤形態,并在3個不同切面(五腔心,大動脈短軸以及長軸)確認傘盤位置(偏心傘釋放位置是否準確),有無殘余分流,以及主動脈瓣及肺動脈瓣功能,推拉輸送鋼絲確認無誤(穩定)后,反時針旋轉輸送鋼絲,確定封堵器完全釋放后,移除輸送裝置,收緊心表面荷包縫線。輸送裝置移除后,再次使用TEE全面評估傘盤位置及形態(在五腔心及左心室長軸切面確認左側傘盤標記位于主動脈瓣遠端,從而確保零偏心部位位于主動脈瓣膜下)(圖 4),室間隔殘余分流,主動脈瓣及肺動脈瓣反流情況,如有條件,亦可行造影明確有無殘余分流,主動脈反流及明確封堵器傘盤位置是否正確,確認無誤后仔細止血,并逐層關閉切口。
圖4
封堵器傘盤釋放后全面評價封封堵器位置
注:在五腔心及左心室長軸切面確認左側傘盤標記位于主動脈瓣遠端(A、C),從而確保零偏心部位位于主動脈瓣膜下(B),從而確認封堵器位置正確;箭頭示偏心邊傘盤標記;LV:左心室;RV:右心室;AV:主動脈瓣
5 并發癥預防與不良事件的評價及處理原則
不同于X線造影,TEE的優勢是在于其能更為清晰地顯示心內重要結構,諸如瓣膜、瓣下腱索及室間隔的重要結構,而作為一種主要依賴TEE引導的微創治療方式,外科在整個操作過程中應該更為關注實時TEE所顯示的圖像信息,在操作過程中TEE應該持續顯示導絲及整個輸送裝置、傘盤及其與心內重要解剖結構之間的關系,從而避免損傷心內組織(避免諸如輸送器送入過深損傷重要心腔結構,封堵器釋放后纏繞二尖瓣腱索等嚴重并發癥的發生)。對于TEE提示主動脈有明確脫垂的患者,應該避免行經胸封堵術。傘盤釋放后應及時對傘盤的位置、是否出現殘余分流及主動脈瓣膜反流進行全面評價,如有下列3種情況,應該及時改為開胸手術,從而避免諸如傘盤脫落、溶血及術后主動脈瓣膜損傷等并發癥的發生:(1)釋放后傘盤位置變化(傘盤傾斜或移位);(2)TEE發現明顯殘余分流(>3 mm或分流速度>2 m/s);(3)傘盤釋放后導致的主動脈瓣膜反流(中度及以上)。
6 循證醫學證據及展望
作為一種由中國學者首創的雜交微創治療雙動脈干下型室間隔缺損的方法,目前在國內已經有超過百余例的成功經驗報道,其中部分研究也已經發表在較高學術水平的雜志上(表 1)。總體而言,對于該類缺損的封堵成功率達到80%以上,隨訪期間出現殘余分流的概率也極低,也無嚴重并發癥發生(所報道的術后主動脈瓣膜反流也為微量或輕度) [14-19]。而本研究團隊最新的對照研究結果也提示,對于部分解剖類型合適的患者,該類技術在大大降低患者圍手術期創傷的基礎上,同樣具有與傳統外科手術相仿的中遠期效果[18]。但仍然需要承認的是,目前現有的臨床研究樣本量仍然偏小,平均隨訪時間較短,缺乏大規模的多中心隨機對照研究;而該技術目前僅適合于部分缺損相對較小且不合并瓣膜病變的患者,對于較大的缺損或合并瓣膜病變的患者,體外循環手術仍為最佳治療方案;同樣該技術也有一定的失敗率及并發癥(諸如術后主動脈瓣反流——該項技術最主要的并發癥),而目前對于該項技術的不良事件,尚無明確的可供參考的危險因素預測及評估(目前僅有部分研究中提示術后主動脈瓣反流與患者術前傘盤大小/體重比、術前主動脈脫垂情況呈現相關性)[20]。而未來的大宗高質量臨床隨機對照研究仍有必要繼續探究該類方法較傳統外科手術在中遠期效果的比較。
7 結論
作為一種新興的雜交微創外科技術,經胸微創封堵技術為部分干下型室間隔缺損提供了一種全新的微創治療方案,經過我國學者的不斷研究及發展,該技術已趨于成熟,相信在不久的將來,該技術將作為治療干下型室間隔缺損的可靠手段。

