引用本文: 傅毅立, 李輝, 胡濱, 李彤, 苗勁柏. 全胸腔鏡肺切除術治療肺曲霉菌球的病例對照研究. 中國胸心血管外科臨床雜志, 2015, 22(6): 564-568. doi: 10.7507/1007-4848.20150144 復制
近年來隨著微創外科技術的進步和成熟,全胸腔鏡肺切除術在國內外已廣泛開展,但絕大多數文獻的研究熱點往往局限于胸腔鏡肺切除術治療肺癌[1-3],而對治療肺良性及感染性疾病報道較少。近年來肺曲霉菌球發病率存在上升趨勢。雖然目前內科抗真菌藥物治療已取得長足進步,但肺切除術仍是治療肺曲霉菌球的主要有效措施[4-5]。我院2009年6月至2014年5月收治經手術治療的肺曲霉菌球39例,其中28例行全胸腔鏡肺切除術。我們回顧性分析了全胸腔鏡肺切除術治療肺曲霉菌球的可行性和安全性,進一步探討其在肺曲霉菌球治療中的應用價值。
1 資料與方法
1.1 臨床資料和分組
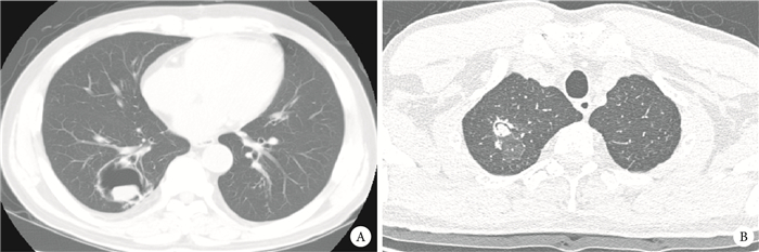
回顧性分析2009年6月至2014年5月首都醫科大學附屬北京朝陽醫院胸外科手術治療的肺曲霉菌球患者39例的臨床資料。本組首發癥狀為咯血者27例,主要表現為痰中帶血或咯少量鮮血,但其中19例為反復多次咯血。患者術前均接受胸部薄層高分辨率CT檢查(圖 1),明確病變范圍,術前影像學均考慮為肺部良性結節,病變大小約為3~6 cm。術前行纖維支氣管鏡檢查+活檢明確為曲霉菌球感染者7例,其余均經術后病理證實為肺曲霉菌球。咯血患者術前均行氣管鏡檢查,以便確認出血位置與影像學病變位置一致。按照手術方式不同將患者分為兩組:傳統開胸手術組11例,男8例、女3例,年齡29~64(50.7±9.7)歲;病變位于右肺上葉3例,左肺上葉3例,左肺下葉1例,跨葉4例(右中上葉1例,右中下葉2例,左下葉及舌葉1例)。術式包括肺局部切除術1例,肺葉及復合肺葉切除術10例;胸腔鏡手術組28例,男13例、女15例,平均年齡20~75(55.4±15.3)歲;病變位于右肺上葉8例,右肺中葉1例,右肺下葉4例,左肺上葉6例,左肺下葉6例,跨葉3例(右中下葉1例;左下葉及舌葉2例)。術式包括肺局部切除術9例,肺葉及復合肺葉切除術19例,胸腔鏡組無中轉開胸(表 1)。

注:A為右肺內可見薄壁空洞影,其內可見孤立結節,可見“空氣半月征”;B為右肺內結節影,“空氣半月征”欠典型,術后病理證實為曲霉菌球形成

術后24 h對全部患者進行疼痛程度評估,疼痛程度采用數字評分法(numeric pain scale,NPS)評估(0~10分,0分:無痛,10分:最劇烈的疼痛),疼痛評分變化在1分以上才認為有差別。比較兩組年齡、性別及手術部位具有可比性。
1.2 手術方法
手術方式兩組均采用全身麻醉雙腔氣管內插管,健側臥位。傳統開胸手術組于第4或第5肋間做一長約15~20 cm的手術切口。胸腔鏡組根據病變所在不同肺葉選擇第7或8肋間腋中線至腋后線做觀察孔,長約1 cm,于第4或5肋間腋前線做主操作孔,長約4~5 cm;選擇肩胛下角線聽三角區另開輔助操作孔,長約1.5 cm,術中手術切口應用硅膠切口保護套保護,全胸腔鏡下手術操作,切除病變后將標本裝入專用標本袋從胸腔內取出。
1.3 統計學分析
采用SPSS18.0統計軟件,本組數據應用均數±標準差(
2 結果
開胸組手術時間175~290(218.6±39.7)min,出血量150~800(375.5±176.7)ml,手術后疼痛程度5~8(6.09±1.04)分,術后帶管4~23(8.0±5.8)d;術后住院時間5~24(9.0±5.9)d。胸腔鏡組手術時間85~165(138.6±16.2)min,出血量50~500(184.6±92.0)ml,手術后疼痛程度3~7(4.48±1.22)分,術后帶管時間3~16(4.9±2.6)d,術后住院時間4~18(5.9±2.6)d。
胸腔鏡組與開胸組相比,手術時間更短(P=0.001)、出血量更少(P=0.005)和手術后疼痛程度更輕(P=0.001),且差異有統計學意義(表 2)。兩組患者手術后帶管時間及住院時間差異無統計學意義。

術后病理結果:單純肺曲霉菌球18例,肺曲霉菌球合并肺結核3例,肺曲霉菌球合并支氣管擴張18例。目前臨床上通常術后給予藥物治療[6-7],本組患者手術后常規給予口服抗真菌治療4周,合并結核患者聯合三聯抗結核治療3~6個月。術后患者經1個月及3個月隨診均未見復發征象。
3 討論
肺曲霉菌病是在一系列不同生理條件下由曲霉菌引起的肺內改變構成,主要為外源性感染,絕大多數經呼吸道吸入引起,最常見為煙曲霉菌和黃曲霉菌。肺曲霉菌病的主要分類為:曲霉菌球、過敏性支氣管肺曲霉菌病和侵襲性肺曲霉菌病。肺曲霉菌絕大部分為非致病菌,肺曲霉菌病是臨床上相對少見的一種肺部感染性疾病,但隨著當前廣譜抗菌素、激素等免疫抑制劑以及抗腫瘤藥的廣泛使用加之診斷技術的不斷提高[8-10],曲霉菌病的發病率呈逐年增高趨勢。
曲霉菌球是最常見肺曲霉菌病表現形式。肺曲霉菌球(pulmonary aspergilloma,PA)是由曲菌屬中的致病菌引起的一種炎性肉芽腫損害,曲霉菌球是由大量的真菌菌絲體,在空腔或空洞內繁殖、蓄積,菌絲與炎癥細胞、纖維蛋白、黏液和組織碎屑聚集而成。有報道認為其常見的易患因素是繼發于肺結核、支氣管擴張、支氣管囊腫所形成的肺內空腔或空洞。并認為肺曲霉菌球最常繼發于肺結核[11],另有報道本病亦可合并于支氣管擴張或慢性阻塞性肺疾病[12]。本組中合并肺結核3例(7.6%),而合并支氣管擴張18例(46.2%),因此我們認為這與目前國內基層醫院治療支氣管擴張患者時大量使用廣譜抗菌素有直接關系。因此我們建議治療支氣管擴張應避免長期、大量使用廣譜抗生素,同時應注意支氣管擴張患者出現咯血時應完善真菌相關檢查,確診后以早期藥物或手術治療可以避免曲霉菌球的形成。
肺曲霉菌球患者通常無特異性臨床表現,可無明顯全身癥狀,大多數可以伴有慢性咳嗽、全身不適、體重下降和咯血等。其中咯血被認為是本病最普遍的癥狀,報道認為合并咯血患者在50%~90%之間,嚴重大咯血常危及生命,約2%~10%的肺曲霉菌球患者因大咯血致死,出現大咯血時需急診手術治療。本組患者中出現咯血患者27例,均為小量咯血,主要表現為痰中帶血或咯少量鮮血,但其中19例為反復多次咯血。但本組中多數咯血患者存在支氣管擴張,無法確定咯血的來源及直接病因。我們認為出現咯血癥狀后應積極考慮手術治療,手術前應行纖維支氣管鏡檢查明確出血來源位置,當出血位置與病變部位不一致時應慎重選擇治療方式。對于無明顯癥狀的肺曲霉菌球患者的治療,由于抗真菌藥物難以有效地滲入空洞及曲霉菌球內,而已形成的曲霉菌球內感染物又難以通過堵塞狹窄的支氣管排出,因而單純用抗真菌藥物治療往往無效或效果欠佳。有報道認為肺曲霉菌球手術治療優于藥物治療,并指出外科手術是治療肺曲霉菌球的唯一徹底的手段[13]。我們認為經影像學診斷考慮患者為肺曲霉菌球時,無論患者是否存在臨床癥狀均應考慮手術治療。
全胸腔鏡肺切除術由于其具有切口小、不使用肋骨牽開器,對呼吸功能及胸廓結構影響小,術后疼痛輕、恢復快,住院時間短等優點[14-15],受到了廣大胸外科醫生的認可,國內外出現多篇大宗病例報道,其可行性及安全性均得到了證實,在治療肺惡性腫瘤方面均取得了良好的效果[16-18],在與傳統開胸手術相比在手術時間、出血量、術后帶管時間及術后疼痛等方面存在不同程度的優勢[19-21]。本組病例中手術時間及術中出血量兩種術式差異有統計學意義,這與全胸腔鏡肺切除術治療肺惡性腫瘤的報道較為一致,但我們認為本組病例存在以下特點:①本組病例中患者多有肺部反復感染病史,胸腔內多數存在廣泛粘連,在胸腔鏡下視野放大明顯,小血管顯露清晰利于充分游離并結扎,手術結束前檢查時胸腔鏡更有利于觀察胸膜腔創面是否存在滲血可能,相比而言傳統開胸在游離粘連時主要依靠鈍性分離,創面較大時明顯增加術中出血量。②胸腔鏡組手術創口明顯小于傳統開胸組并且不使用撐開器,使得術后疼痛明顯減低,有利于主動咳嗽促進肺復張并減少滲出[22]。③由于手術切口減小來自肋間及手術切口的滲出亦可明顯減少術中出血量。④在熟練操作的情況下兩種術式單純肺切除時間區別不明顯,但是胸腔鏡用于游離粘連、術后止血以及開關胸方面優于傳統術式,致使總體手術時間明顯縮短。手術后患者疼痛程度本研究中兩組患者存在顯著差異。我們認為主要原因是:手術切口兩組差異明顯,手術切口的大小直接影響術后疼痛程度;肋骨撐開器的使用對術后患者的疼痛存在影響。術后疼痛的減輕不僅對提高患者術后生活質量有明顯作用,同時可以在患者術后排痰,肺功能恢復方面起到不可替代的作用。
國內外多篇文獻報道,與開胸手術相比胸腔鏡肺切除術后帶管時間較短,且兩者差異有統計學意義[23]。本組兩種術式術后帶管時間差異無統計學意義,我們分析本組患者特點認為可能存在以下因素:(1)本組患者存在既往感染史較多,術中見胸膜腔粘連較為普遍,個別患者存在封閉胸現象,兩種手術方式中均大量使用電刀游離粘連,以胸腔鏡組更為廣泛,游離致密粘連時對臟層胸膜有一定損傷,手術后兩組患者術后均出現肺漏氣現象,致使個別患者術后帶管時間較長,今后應提高手術技巧術中游離時應加強保護臟層胸膜。(2)本組中開胸手術者樣本量較小對統計學效能有一定影響。
綜上所述,全胸腔鏡肺切除術用于治療肺曲霉菌球是一種安全有效的手術方式,在一些方面與傳統術式相比有一定優勢。我們相信隨著手術技巧的提高其優勢可能進一步擴大。由此我們認為全胸腔鏡肺切除術治療肺曲霉菌球值得推廣。
近年來隨著微創外科技術的進步和成熟,全胸腔鏡肺切除術在國內外已廣泛開展,但絕大多數文獻的研究熱點往往局限于胸腔鏡肺切除術治療肺癌[1-3],而對治療肺良性及感染性疾病報道較少。近年來肺曲霉菌球發病率存在上升趨勢。雖然目前內科抗真菌藥物治療已取得長足進步,但肺切除術仍是治療肺曲霉菌球的主要有效措施[4-5]。我院2009年6月至2014年5月收治經手術治療的肺曲霉菌球39例,其中28例行全胸腔鏡肺切除術。我們回顧性分析了全胸腔鏡肺切除術治療肺曲霉菌球的可行性和安全性,進一步探討其在肺曲霉菌球治療中的應用價值。
1 資料與方法
1.1 臨床資料和分組
回顧性分析2009年6月至2014年5月首都醫科大學附屬北京朝陽醫院胸外科手術治療的肺曲霉菌球患者39例的臨床資料。本組首發癥狀為咯血者27例,主要表現為痰中帶血或咯少量鮮血,但其中19例為反復多次咯血。患者術前均接受胸部薄層高分辨率CT檢查(圖 1),明確病變范圍,術前影像學均考慮為肺部良性結節,病變大小約為3~6 cm。術前行纖維支氣管鏡檢查+活檢明確為曲霉菌球感染者7例,其余均經術后病理證實為肺曲霉菌球。咯血患者術前均行氣管鏡檢查,以便確認出血位置與影像學病變位置一致。按照手術方式不同將患者分為兩組:傳統開胸手術組11例,男8例、女3例,年齡29~64(50.7±9.7)歲;病變位于右肺上葉3例,左肺上葉3例,左肺下葉1例,跨葉4例(右中上葉1例,右中下葉2例,左下葉及舌葉1例)。術式包括肺局部切除術1例,肺葉及復合肺葉切除術10例;胸腔鏡手術組28例,男13例、女15例,平均年齡20~75(55.4±15.3)歲;病變位于右肺上葉8例,右肺中葉1例,右肺下葉4例,左肺上葉6例,左肺下葉6例,跨葉3例(右中下葉1例;左下葉及舌葉2例)。術式包括肺局部切除術9例,肺葉及復合肺葉切除術19例,胸腔鏡組無中轉開胸(表 1)。

注:A為右肺內可見薄壁空洞影,其內可見孤立結節,可見“空氣半月征”;B為右肺內結節影,“空氣半月征”欠典型,術后病理證實為曲霉菌球形成

術后24 h對全部患者進行疼痛程度評估,疼痛程度采用數字評分法(numeric pain scale,NPS)評估(0~10分,0分:無痛,10分:最劇烈的疼痛),疼痛評分變化在1分以上才認為有差別。比較兩組年齡、性別及手術部位具有可比性。
1.2 手術方法
手術方式兩組均采用全身麻醉雙腔氣管內插管,健側臥位。傳統開胸手術組于第4或第5肋間做一長約15~20 cm的手術切口。胸腔鏡組根據病變所在不同肺葉選擇第7或8肋間腋中線至腋后線做觀察孔,長約1 cm,于第4或5肋間腋前線做主操作孔,長約4~5 cm;選擇肩胛下角線聽三角區另開輔助操作孔,長約1.5 cm,術中手術切口應用硅膠切口保護套保護,全胸腔鏡下手術操作,切除病變后將標本裝入專用標本袋從胸腔內取出。
1.3 統計學分析
采用SPSS18.0統計軟件,本組數據應用均數±標準差(
2 結果
開胸組手術時間175~290(218.6±39.7)min,出血量150~800(375.5±176.7)ml,手術后疼痛程度5~8(6.09±1.04)分,術后帶管4~23(8.0±5.8)d;術后住院時間5~24(9.0±5.9)d。胸腔鏡組手術時間85~165(138.6±16.2)min,出血量50~500(184.6±92.0)ml,手術后疼痛程度3~7(4.48±1.22)分,術后帶管時間3~16(4.9±2.6)d,術后住院時間4~18(5.9±2.6)d。
胸腔鏡組與開胸組相比,手術時間更短(P=0.001)、出血量更少(P=0.005)和手術后疼痛程度更輕(P=0.001),且差異有統計學意義(表 2)。兩組患者手術后帶管時間及住院時間差異無統計學意義。

術后病理結果:單純肺曲霉菌球18例,肺曲霉菌球合并肺結核3例,肺曲霉菌球合并支氣管擴張18例。目前臨床上通常術后給予藥物治療[6-7],本組患者手術后常規給予口服抗真菌治療4周,合并結核患者聯合三聯抗結核治療3~6個月。術后患者經1個月及3個月隨診均未見復發征象。
3 討論
肺曲霉菌病是在一系列不同生理條件下由曲霉菌引起的肺內改變構成,主要為外源性感染,絕大多數經呼吸道吸入引起,最常見為煙曲霉菌和黃曲霉菌。肺曲霉菌病的主要分類為:曲霉菌球、過敏性支氣管肺曲霉菌病和侵襲性肺曲霉菌病。肺曲霉菌絕大部分為非致病菌,肺曲霉菌病是臨床上相對少見的一種肺部感染性疾病,但隨著當前廣譜抗菌素、激素等免疫抑制劑以及抗腫瘤藥的廣泛使用加之診斷技術的不斷提高[8-10],曲霉菌病的發病率呈逐年增高趨勢。
曲霉菌球是最常見肺曲霉菌病表現形式。肺曲霉菌球(pulmonary aspergilloma,PA)是由曲菌屬中的致病菌引起的一種炎性肉芽腫損害,曲霉菌球是由大量的真菌菌絲體,在空腔或空洞內繁殖、蓄積,菌絲與炎癥細胞、纖維蛋白、黏液和組織碎屑聚集而成。有報道認為其常見的易患因素是繼發于肺結核、支氣管擴張、支氣管囊腫所形成的肺內空腔或空洞。并認為肺曲霉菌球最常繼發于肺結核[11],另有報道本病亦可合并于支氣管擴張或慢性阻塞性肺疾病[12]。本組中合并肺結核3例(7.6%),而合并支氣管擴張18例(46.2%),因此我們認為這與目前國內基層醫院治療支氣管擴張患者時大量使用廣譜抗菌素有直接關系。因此我們建議治療支氣管擴張應避免長期、大量使用廣譜抗生素,同時應注意支氣管擴張患者出現咯血時應完善真菌相關檢查,確診后以早期藥物或手術治療可以避免曲霉菌球的形成。
肺曲霉菌球患者通常無特異性臨床表現,可無明顯全身癥狀,大多數可以伴有慢性咳嗽、全身不適、體重下降和咯血等。其中咯血被認為是本病最普遍的癥狀,報道認為合并咯血患者在50%~90%之間,嚴重大咯血常危及生命,約2%~10%的肺曲霉菌球患者因大咯血致死,出現大咯血時需急診手術治療。本組患者中出現咯血患者27例,均為小量咯血,主要表現為痰中帶血或咯少量鮮血,但其中19例為反復多次咯血。但本組中多數咯血患者存在支氣管擴張,無法確定咯血的來源及直接病因。我們認為出現咯血癥狀后應積極考慮手術治療,手術前應行纖維支氣管鏡檢查明確出血來源位置,當出血位置與病變部位不一致時應慎重選擇治療方式。對于無明顯癥狀的肺曲霉菌球患者的治療,由于抗真菌藥物難以有效地滲入空洞及曲霉菌球內,而已形成的曲霉菌球內感染物又難以通過堵塞狹窄的支氣管排出,因而單純用抗真菌藥物治療往往無效或效果欠佳。有報道認為肺曲霉菌球手術治療優于藥物治療,并指出外科手術是治療肺曲霉菌球的唯一徹底的手段[13]。我們認為經影像學診斷考慮患者為肺曲霉菌球時,無論患者是否存在臨床癥狀均應考慮手術治療。
全胸腔鏡肺切除術由于其具有切口小、不使用肋骨牽開器,對呼吸功能及胸廓結構影響小,術后疼痛輕、恢復快,住院時間短等優點[14-15],受到了廣大胸外科醫生的認可,國內外出現多篇大宗病例報道,其可行性及安全性均得到了證實,在治療肺惡性腫瘤方面均取得了良好的效果[16-18],在與傳統開胸手術相比在手術時間、出血量、術后帶管時間及術后疼痛等方面存在不同程度的優勢[19-21]。本組病例中手術時間及術中出血量兩種術式差異有統計學意義,這與全胸腔鏡肺切除術治療肺惡性腫瘤的報道較為一致,但我們認為本組病例存在以下特點:①本組病例中患者多有肺部反復感染病史,胸腔內多數存在廣泛粘連,在胸腔鏡下視野放大明顯,小血管顯露清晰利于充分游離并結扎,手術結束前檢查時胸腔鏡更有利于觀察胸膜腔創面是否存在滲血可能,相比而言傳統開胸在游離粘連時主要依靠鈍性分離,創面較大時明顯增加術中出血量。②胸腔鏡組手術創口明顯小于傳統開胸組并且不使用撐開器,使得術后疼痛明顯減低,有利于主動咳嗽促進肺復張并減少滲出[22]。③由于手術切口減小來自肋間及手術切口的滲出亦可明顯減少術中出血量。④在熟練操作的情況下兩種術式單純肺切除時間區別不明顯,但是胸腔鏡用于游離粘連、術后止血以及開關胸方面優于傳統術式,致使總體手術時間明顯縮短。手術后患者疼痛程度本研究中兩組患者存在顯著差異。我們認為主要原因是:手術切口兩組差異明顯,手術切口的大小直接影響術后疼痛程度;肋骨撐開器的使用對術后患者的疼痛存在影響。術后疼痛的減輕不僅對提高患者術后生活質量有明顯作用,同時可以在患者術后排痰,肺功能恢復方面起到不可替代的作用。
國內外多篇文獻報道,與開胸手術相比胸腔鏡肺切除術后帶管時間較短,且兩者差異有統計學意義[23]。本組兩種術式術后帶管時間差異無統計學意義,我們分析本組患者特點認為可能存在以下因素:(1)本組患者存在既往感染史較多,術中見胸膜腔粘連較為普遍,個別患者存在封閉胸現象,兩種手術方式中均大量使用電刀游離粘連,以胸腔鏡組更為廣泛,游離致密粘連時對臟層胸膜有一定損傷,手術后兩組患者術后均出現肺漏氣現象,致使個別患者術后帶管時間較長,今后應提高手術技巧術中游離時應加強保護臟層胸膜。(2)本組中開胸手術者樣本量較小對統計學效能有一定影響。
綜上所述,全胸腔鏡肺切除術用于治療肺曲霉菌球是一種安全有效的手術方式,在一些方面與傳統術式相比有一定優勢。我們相信隨著手術技巧的提高其優勢可能進一步擴大。由此我們認為全胸腔鏡肺切除術治療肺曲霉菌球值得推廣。