引用本文: 卜鵬飛, 李川, 蒙旭晗, 馬鑫榆, 張曉燕, 江劍飛, 李軍, 徐永清. 單純性踇外翻患者內側楔骨遠端關節傾斜與踇外翻關系的影像學研究. 中國修復重建外科雜志, 2022, 36(2): 209-214. doi: 10.7507/1002-1892.202109053 復制
踇外翻是骨科或者足踝外科常見疾病,發病機制尚未明確,目前研究主要集中在第1跖骨內收、第1跖楔關節松弛、踇趾動力系統軸線外移等方面[1-3]。內側楔骨作為足第1序列組成部分直接與第1跖骨相連,但是對于內側楔骨與踇外翻的關系研究很少。研究發現靈長類動物均存在踇趾傾斜,而且隨著靈長類動物的進化,傾斜度逐漸減小。人類踇趾幾乎與外側足趾平行,但是內側楔骨遠端仍殘留部分傾斜[4],該傾斜度可能在踇外翻發生中發揮了一定作用[5-8]。研究發現踇外翻患者內側楔骨遠端關節傾斜角(distal medial cuneiform angle,DMCA)較正常人大2° 左右[9]。在不同人種中該角度也存在差異[10]。DMCA增大是否會引起踇外翻及其程度增加,國外研究結果各不相同[9, 11]。本文通過回顧性研究,于足負重正位X線片上測量與內側楔骨遠端關節傾斜程度相關的指標,分析傾斜程度與踇外翻的關系。報告如下。
1 研究對象與方法
1.1 研究對象
納入標準:① 年齡≥18歲;② 單純踇外翻;③ 足負重正位X線片完整。排除標準:① 先天性足畸形(并趾、多趾等)以及高弓足、平足及其他足部畸形;② 有足部手術史;③ 存在嚴重關節炎無法辨認關節間隙。
利用病案查詢系統和影像科計算機存檔與傳輸系統,收集我院2018年1月—2021年2月拍攝的足負重正位X線片。標準足部負重正位片投射時患者站立于接收板上,球管中心線與地面垂線間夾角為15°[12],基本與足背垂直(圖1)。由2名骨科高年資主治醫師分別閱片,剔除不符合標準的X線片,意見不同時討論決定,如還有異議則由1名副高職稱醫師決定。

1.2 研究方法
1.2.1 測量方法
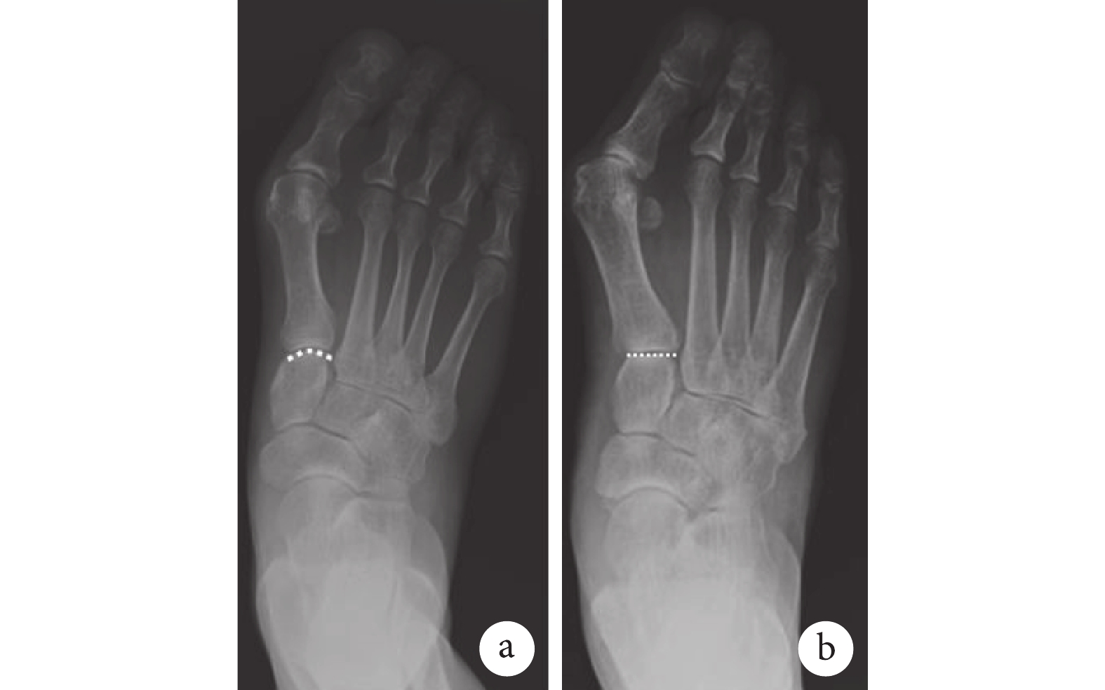
采集納入研究X線片的對應患者年齡、性別、側別等一般資料。利用CAD2012軟件于足負重正位X線片測量以下相關指標[13]:踇外翻角(hallux valgus angle,HVA)、第1-2跖骨間夾角(intermetatarsal angle,IMA)、跖內收角(metatarsus adductus angle,MAA)、第1跖楔夾角(metatarsus cuneiform angle,MCA)、DMCA、第1跖骨近端關節傾斜角(proximal metatarsal articular angle,PMAA)。記錄第1跖楔關節(first tarsometatarsal,TMT)關節面形態(平面或曲面)。見圖2、3。


a. 曲面;b. 平面
Figure3. The morphology of TMT jointa. Curved; b. Flat
目前對于內側楔骨遠端關節傾斜程度無統一測量標準,根據《矯形外科原則》中Paley對關節走行方向角的命名原則[14],并參考Hatch等[9]的研究,本研究采用DMCA表示內側楔骨遠端關節傾斜程度,測量方法為內側楔骨遠、近端關節線中點連線與遠端關節線垂線的夾角。
1.2.2 統計學方法
采用SPSS19.0統計軟件進行分析。計量資料如符合正態分布,數據以均數±標準差表示,組間比較采用獨立樣本t檢驗;不符合正態分布,數據以中位數(四分位數間距)表示,組間比較采用Wilcoxon秩和檢驗。計數資料以率表示,組間比較采用χ2檢驗。采用多元線性回歸分析相關指標的影響因素。檢驗水準α=0.05。
根據HVA將患者分為正常組(<15°)與踇外翻組(≥15°),比較兩組患者年齡、性別、側別、IMA、MAA、MCA、DMCA、PMAA以及TMT關節面形態。基于所有X線片測量數據分析HVA、IMA的影響因素。
2 結果
2.1 一般資料
2018年1月—2021年2月,共534例(679足)患者X線片符合選擇標準納入研究。其中,男220例,女314例;年齡18~82歲,平均36歲。單足389例,其中左足185例、右足204例;雙足145例。根據HVA分組,正常組154例(168足),踇外翻組403例(511足)。兩組患者性別及年齡比較,差異均有統計學意義(P<0.05);側別比較差異無統計學意義(P>0.05)。見表1。

2.2 踇外翻相關角度指標比較
踇外翻組IMA、MAA、MCA均大于正常組,差異有統計學意義(P<0.05); DMCA與正常組比較,差異無統計學意義(P>0.05)。兩組TMT關節面形態均以曲面為主,差異無統計學意義(P>0.05)。見表1。
測量PMAA時發現第1跖骨近端關節線垂線與第1跖骨解剖軸存在3種關系:① 第1跖骨解剖軸位于第1跖骨近端關節線垂線內側(脛側),定義為“內收型”;② 第1跖骨解剖軸位于第1跖骨近端關節線垂線外側(腓側),定義為“外展型”;③ 兩條線不相交,定義為“中立型”,PMAA為0°。見圖4。

a. 內收型;b. 外展型
Figure4. The morphology of the first metatarsala. Adductus; b. Abduction
根據PMAA分型,正常組外展型、內收型、中立型分別為119、40、9足,踇外翻組分別為240、250、21足,組間比較差異有統計學意義(χ2=32.738,P=0.000)。正常組外展型PMAA大于踇外翻組對應類型,差異有統計學意義(t=3.307,P=0.001);內收型PMAA組間差異無統計學意義(t=0.949,P=0.343)。見表1。
2.3 多元線性回歸分析
HVA與年齡、MAA、MCA、DMCA的多元線性回歸分析顯示,年齡、MCA、DMCA為HVA的影響因素(P<0.05),模型決定系數R2=0.636。見表2。IMA與年齡、MAA、MCA、DMCA的多元線性回歸分析顯示,年齡、MAA、MCA、DMCA均為IMA的影響因素(P<0.05),模型決定系數R2=0.483。見表3。


3 討論
研究表明女性踇外翻發生率大于男性[1],本研究統計分析也得到一致結果,踇外翻患者以女性為主。從年齡來看,踇外翻組大于正常組,回歸分析也提示年齡越大,發生踇外翻的概率越大。綜合上述分析,踇外翻患者以中老年女性居多。
3.1 MAA及TMT關節面形態與踇外翻關系
研究表明MAA與踇外翻的手術選擇有密切關系[13]。踇外翻定義為踇趾在第1跖趾關節處向外側偏斜移位,包含HVA和IMA兩個角度[13, 15]。本研究踇外翻組MAA明顯大于正常組,進一步回歸分析發現MAA不是HVA的影響因素,對IMA有負向影響,說明MAA不能反映踇外翻程度,但MAA較大的患者IMA相對減小,這是手術矯形時必須考慮的因素。
TMT關節面從解剖形態上可分為連續型、雙葉型、分葉型、腎型和“7”型[16];從關節面數量上分為單關節面、雙關節面和三關節面[17]。其中,連續型和腎型為單關節面,雙葉型和分葉型為雙關節面,“7”型為三關節面。但是無論解剖形態或關節面數量,在足負重正位X線片上TMT關節面主要分為平面和曲面兩種形態[12]。本研究結果顯示TMT關節面形態與是否有踇外翻無關,總體上以曲面為主。哪些解剖形態關節的影像學顯示為平面,哪些顯示為曲面,有待進一步研究明確。
3.2 MCA、DMCA及第1跖骨基底部形態與踇外翻的關系
因為MCA增大會直接導致IMA增大,進而造成踇外翻發生概率增高,所以Erduran等[18]指出MCA與踇外翻之間存在正相關關系。本研究中踇外翻組MCA明顯大于正常組,進一步回歸分析顯示MCA是HVA、IMA的影響因素,尤其是對于IMA影響明顯,提示MCA是踇外翻一個特征性指標,可以用于衡量踇外翻程度。
目前,針對內側楔骨遠端關節傾斜程度的研究有限,對相關角度尚無統一命名標準[6, 9, 12, 16, 19-20]。Vyas等[6]用內側楔骨的內側皮質切線和遠端關節面切線夾角來表示內側楔骨遠端關節傾斜程度,但研究發現青少年踇外翻患者該角度與外翻程度無關。我們采用DMCA來表示內側楔骨遠端關節傾斜程度。正常組DMCA與踇外翻組間差異無統計學意義,提示不論是否存在踇外翻,內側楔骨遠端關節面傾斜程度均是一個相對恒定角度,其參與踇外翻形成的作用有限。進一步回歸分析發現,無論是HVA還是IMA,DMCA均對二者有負向影響,與我們假設的DMCA越大、IMA越大相反。該結論與同樣采用DMCA表示內側楔骨遠端關節傾斜程度的研究結論[9]一致,所以我們認為DMCA相對恒定,不是用來量化踇外翻的特征性指標。
內側楔骨遠端關節傾斜被認為是一種“返祖現象”[4],或者說是原發性因素,而第1跖骨近端關節傾斜是一種適應性改變[19]。所以我們認為內側楔骨由于存在遠端關節傾斜,為了保證第1序列“平行”或者“靠近”第2序列,第1跖骨應該出現適應性外展。一項對77具尸體足第1跖骨的解剖研究發現,第1跖骨基底面存在平均3.42° 的外展傾斜,而且這種傾斜在不同人種間存在差異[10]。Hyer等[10, 21]提到第1跖骨基底面傾斜程度與其是否存在腓側跖間小關節有一定關系,當存在這種跖間小關節時傾斜度為4.63°,沒有跖間小關節時則為2.92°。該結果證實了我們的猜想,但是本研究測量發現第1跖骨不但存在外展型,還存在內收型。第1跖骨的旋轉會影響其在X線片上的投照形態和近端關節傾斜角的測量[5],所以我們認為這種“內收”和“外展”不是解剖上的內收和外展,而是第1序列旋前和旋后的X線表現。當第1跖骨旋前時跖間小關節及腓骨長肌腱止點區域向腓側移動,關節面投照呈現“內收”;反之,第1跖骨旋后或者無踇趾旋前時,關節面投照呈“外展”。
本研究正常組外展型跖骨PMAA為(7.30±4.07)°,而踇外翻組為(5.85±3.86)°,說明在沒有第1跖骨旋前的踇外翻中,PMAA是踇外翻形成的因素之一,PMAA減小會增加踇外翻發生的可能性。內收型跖骨PMAA正常組和踇外翻組差異無統計學意義,這可能是由于踇趾旋前時會影響PMAA在X線片上投照角度的準確性。另外,在正常組內收型跖骨占比遠低于外展型,而踇外翻組中二者幾乎相等,說明正常組中踇趾旋前情況較少,而踇外翻組中踇趾旋前比例增加。我們認為PMAA與踇外翻程度有關,是踇外翻的1個特征性指標,但是踇外翻時會存在一定程度踇趾旋前,影響了第1跖骨投照形態及PMAA測量準確性,另外該角度變化范圍不大,所以不能作為量化踇外翻的特征性指標[22]。
綜上述,內側楔骨遠端關節傾斜程度相對恒定,DMCA不能作為量化踇外翻的特征性角度,TMT關節面形態與踇外翻程度無顯著關系;MAA、MCA、PMAA均參與了踇外翻形成,而且MCA可以作為量化踇外翻的特征性角度。最后,本研究以同時間段足負重正位X線片作為研究對象,在樣本選擇上可能存在偏倚,并且基于X線片二維平面進行測量,測量準確性有限,均是本研究不足之處。
作者貢獻:卜鵬飛負責數據統計和論文撰寫;李川、徐永清負責科研設計;卜鵬飛、江劍飛負責影像測量;馬鑫榆、蒙旭晗、張曉燕負責文獻查閱和總結;李軍負責影像測量結果審核和英文審校。
利益沖突:所有作者聲明,在課題研究和文章撰寫過程中不存在利益沖突。經費支持沒有影響文章觀點和對研究數據客觀結果的統計分析及其報道。
機構倫理問題:研究方案經中國人民解放軍聯勤保障部隊第九二〇醫院倫理委員會批準[倫審2021-075(科)-01]。
踇外翻是骨科或者足踝外科常見疾病,發病機制尚未明確,目前研究主要集中在第1跖骨內收、第1跖楔關節松弛、踇趾動力系統軸線外移等方面[1-3]。內側楔骨作為足第1序列組成部分直接與第1跖骨相連,但是對于內側楔骨與踇外翻的關系研究很少。研究發現靈長類動物均存在踇趾傾斜,而且隨著靈長類動物的進化,傾斜度逐漸減小。人類踇趾幾乎與外側足趾平行,但是內側楔骨遠端仍殘留部分傾斜[4],該傾斜度可能在踇外翻發生中發揮了一定作用[5-8]。研究發現踇外翻患者內側楔骨遠端關節傾斜角(distal medial cuneiform angle,DMCA)較正常人大2° 左右[9]。在不同人種中該角度也存在差異[10]。DMCA增大是否會引起踇外翻及其程度增加,國外研究結果各不相同[9, 11]。本文通過回顧性研究,于足負重正位X線片上測量與內側楔骨遠端關節傾斜程度相關的指標,分析傾斜程度與踇外翻的關系。報告如下。
1 研究對象與方法
1.1 研究對象
納入標準:① 年齡≥18歲;② 單純踇外翻;③ 足負重正位X線片完整。排除標準:① 先天性足畸形(并趾、多趾等)以及高弓足、平足及其他足部畸形;② 有足部手術史;③ 存在嚴重關節炎無法辨認關節間隙。
利用病案查詢系統和影像科計算機存檔與傳輸系統,收集我院2018年1月—2021年2月拍攝的足負重正位X線片。標準足部負重正位片投射時患者站立于接收板上,球管中心線與地面垂線間夾角為15°[12],基本與足背垂直(圖1)。由2名骨科高年資主治醫師分別閱片,剔除不符合標準的X線片,意見不同時討論決定,如還有異議則由1名副高職稱醫師決定。

1.2 研究方法
1.2.1 測量方法
采集納入研究X線片的對應患者年齡、性別、側別等一般資料。利用CAD2012軟件于足負重正位X線片測量以下相關指標[13]:踇外翻角(hallux valgus angle,HVA)、第1-2跖骨間夾角(intermetatarsal angle,IMA)、跖內收角(metatarsus adductus angle,MAA)、第1跖楔夾角(metatarsus cuneiform angle,MCA)、DMCA、第1跖骨近端關節傾斜角(proximal metatarsal articular angle,PMAA)。記錄第1跖楔關節(first tarsometatarsal,TMT)關節面形態(平面或曲面)。見圖2、3。


a. 曲面;b. 平面
Figure3. The morphology of TMT jointa. Curved; b. Flat
目前對于內側楔骨遠端關節傾斜程度無統一測量標準,根據《矯形外科原則》中Paley對關節走行方向角的命名原則[14],并參考Hatch等[9]的研究,本研究采用DMCA表示內側楔骨遠端關節傾斜程度,測量方法為內側楔骨遠、近端關節線中點連線與遠端關節線垂線的夾角。
1.2.2 統計學方法
采用SPSS19.0統計軟件進行分析。計量資料如符合正態分布,數據以均數±標準差表示,組間比較采用獨立樣本t檢驗;不符合正態分布,數據以中位數(四分位數間距)表示,組間比較采用Wilcoxon秩和檢驗。計數資料以率表示,組間比較采用χ2檢驗。采用多元線性回歸分析相關指標的影響因素。檢驗水準α=0.05。
根據HVA將患者分為正常組(<15°)與踇外翻組(≥15°),比較兩組患者年齡、性別、側別、IMA、MAA、MCA、DMCA、PMAA以及TMT關節面形態。基于所有X線片測量數據分析HVA、IMA的影響因素。
2 結果
2.1 一般資料
2018年1月—2021年2月,共534例(679足)患者X線片符合選擇標準納入研究。其中,男220例,女314例;年齡18~82歲,平均36歲。單足389例,其中左足185例、右足204例;雙足145例。根據HVA分組,正常組154例(168足),踇外翻組403例(511足)。兩組患者性別及年齡比較,差異均有統計學意義(P<0.05);側別比較差異無統計學意義(P>0.05)。見表1。

2.2 踇外翻相關角度指標比較
踇外翻組IMA、MAA、MCA均大于正常組,差異有統計學意義(P<0.05); DMCA與正常組比較,差異無統計學意義(P>0.05)。兩組TMT關節面形態均以曲面為主,差異無統計學意義(P>0.05)。見表1。
測量PMAA時發現第1跖骨近端關節線垂線與第1跖骨解剖軸存在3種關系:① 第1跖骨解剖軸位于第1跖骨近端關節線垂線內側(脛側),定義為“內收型”;② 第1跖骨解剖軸位于第1跖骨近端關節線垂線外側(腓側),定義為“外展型”;③ 兩條線不相交,定義為“中立型”,PMAA為0°。見圖4。

a. 內收型;b. 外展型
Figure4. The morphology of the first metatarsala. Adductus; b. Abduction
根據PMAA分型,正常組外展型、內收型、中立型分別為119、40、9足,踇外翻組分別為240、250、21足,組間比較差異有統計學意義(χ2=32.738,P=0.000)。正常組外展型PMAA大于踇外翻組對應類型,差異有統計學意義(t=3.307,P=0.001);內收型PMAA組間差異無統計學意義(t=0.949,P=0.343)。見表1。
2.3 多元線性回歸分析
HVA與年齡、MAA、MCA、DMCA的多元線性回歸分析顯示,年齡、MCA、DMCA為HVA的影響因素(P<0.05),模型決定系數R2=0.636。見表2。IMA與年齡、MAA、MCA、DMCA的多元線性回歸分析顯示,年齡、MAA、MCA、DMCA均為IMA的影響因素(P<0.05),模型決定系數R2=0.483。見表3。


3 討論
研究表明女性踇外翻發生率大于男性[1],本研究統計分析也得到一致結果,踇外翻患者以女性為主。從年齡來看,踇外翻組大于正常組,回歸分析也提示年齡越大,發生踇外翻的概率越大。綜合上述分析,踇外翻患者以中老年女性居多。
3.1 MAA及TMT關節面形態與踇外翻關系
研究表明MAA與踇外翻的手術選擇有密切關系[13]。踇外翻定義為踇趾在第1跖趾關節處向外側偏斜移位,包含HVA和IMA兩個角度[13, 15]。本研究踇外翻組MAA明顯大于正常組,進一步回歸分析發現MAA不是HVA的影響因素,對IMA有負向影響,說明MAA不能反映踇外翻程度,但MAA較大的患者IMA相對減小,這是手術矯形時必須考慮的因素。
TMT關節面從解剖形態上可分為連續型、雙葉型、分葉型、腎型和“7”型[16];從關節面數量上分為單關節面、雙關節面和三關節面[17]。其中,連續型和腎型為單關節面,雙葉型和分葉型為雙關節面,“7”型為三關節面。但是無論解剖形態或關節面數量,在足負重正位X線片上TMT關節面主要分為平面和曲面兩種形態[12]。本研究結果顯示TMT關節面形態與是否有踇外翻無關,總體上以曲面為主。哪些解剖形態關節的影像學顯示為平面,哪些顯示為曲面,有待進一步研究明確。
3.2 MCA、DMCA及第1跖骨基底部形態與踇外翻的關系
因為MCA增大會直接導致IMA增大,進而造成踇外翻發生概率增高,所以Erduran等[18]指出MCA與踇外翻之間存在正相關關系。本研究中踇外翻組MCA明顯大于正常組,進一步回歸分析顯示MCA是HVA、IMA的影響因素,尤其是對于IMA影響明顯,提示MCA是踇外翻一個特征性指標,可以用于衡量踇外翻程度。
目前,針對內側楔骨遠端關節傾斜程度的研究有限,對相關角度尚無統一命名標準[6, 9, 12, 16, 19-20]。Vyas等[6]用內側楔骨的內側皮質切線和遠端關節面切線夾角來表示內側楔骨遠端關節傾斜程度,但研究發現青少年踇外翻患者該角度與外翻程度無關。我們采用DMCA來表示內側楔骨遠端關節傾斜程度。正常組DMCA與踇外翻組間差異無統計學意義,提示不論是否存在踇外翻,內側楔骨遠端關節面傾斜程度均是一個相對恒定角度,其參與踇外翻形成的作用有限。進一步回歸分析發現,無論是HVA還是IMA,DMCA均對二者有負向影響,與我們假設的DMCA越大、IMA越大相反。該結論與同樣采用DMCA表示內側楔骨遠端關節傾斜程度的研究結論[9]一致,所以我們認為DMCA相對恒定,不是用來量化踇外翻的特征性指標。
內側楔骨遠端關節傾斜被認為是一種“返祖現象”[4],或者說是原發性因素,而第1跖骨近端關節傾斜是一種適應性改變[19]。所以我們認為內側楔骨由于存在遠端關節傾斜,為了保證第1序列“平行”或者“靠近”第2序列,第1跖骨應該出現適應性外展。一項對77具尸體足第1跖骨的解剖研究發現,第1跖骨基底面存在平均3.42° 的外展傾斜,而且這種傾斜在不同人種間存在差異[10]。Hyer等[10, 21]提到第1跖骨基底面傾斜程度與其是否存在腓側跖間小關節有一定關系,當存在這種跖間小關節時傾斜度為4.63°,沒有跖間小關節時則為2.92°。該結果證實了我們的猜想,但是本研究測量發現第1跖骨不但存在外展型,還存在內收型。第1跖骨的旋轉會影響其在X線片上的投照形態和近端關節傾斜角的測量[5],所以我們認為這種“內收”和“外展”不是解剖上的內收和外展,而是第1序列旋前和旋后的X線表現。當第1跖骨旋前時跖間小關節及腓骨長肌腱止點區域向腓側移動,關節面投照呈現“內收”;反之,第1跖骨旋后或者無踇趾旋前時,關節面投照呈“外展”。
本研究正常組外展型跖骨PMAA為(7.30±4.07)°,而踇外翻組為(5.85±3.86)°,說明在沒有第1跖骨旋前的踇外翻中,PMAA是踇外翻形成的因素之一,PMAA減小會增加踇外翻發生的可能性。內收型跖骨PMAA正常組和踇外翻組差異無統計學意義,這可能是由于踇趾旋前時會影響PMAA在X線片上投照角度的準確性。另外,在正常組內收型跖骨占比遠低于外展型,而踇外翻組中二者幾乎相等,說明正常組中踇趾旋前情況較少,而踇外翻組中踇趾旋前比例增加。我們認為PMAA與踇外翻程度有關,是踇外翻的1個特征性指標,但是踇外翻時會存在一定程度踇趾旋前,影響了第1跖骨投照形態及PMAA測量準確性,另外該角度變化范圍不大,所以不能作為量化踇外翻的特征性指標[22]。
綜上述,內側楔骨遠端關節傾斜程度相對恒定,DMCA不能作為量化踇外翻的特征性角度,TMT關節面形態與踇外翻程度無顯著關系;MAA、MCA、PMAA均參與了踇外翻形成,而且MCA可以作為量化踇外翻的特征性角度。最后,本研究以同時間段足負重正位X線片作為研究對象,在樣本選擇上可能存在偏倚,并且基于X線片二維平面進行測量,測量準確性有限,均是本研究不足之處。
作者貢獻:卜鵬飛負責數據統計和論文撰寫;李川、徐永清負責科研設計;卜鵬飛、江劍飛負責影像測量;馬鑫榆、蒙旭晗、張曉燕負責文獻查閱和總結;李軍負責影像測量結果審核和英文審校。
利益沖突:所有作者聲明,在課題研究和文章撰寫過程中不存在利益沖突。經費支持沒有影響文章觀點和對研究數據客觀結果的統計分析及其報道。
機構倫理問題:研究方案經中國人民解放軍聯勤保障部隊第九二〇醫院倫理委員會批準[倫審2021-075(科)-01]。