引用本文: 寧鈺, 秦文, 任亞輝, 李辰凱, 陳文揚, 趙紅斌. 載淫羊藿苷/凹凸棒石/Ⅰ型膠原/聚己內酯復合支架修復兔脛骨缺損的實驗研究. 中國修復重建外科雜志, 2019, 33(9): 1181-1189. doi: 10.7507/1002-1892.201902044 復制
大段骨缺損修復是臨床亟待解決的問題[1]。隨著組織工程技術的發展,構建具有組織誘導性的復合支架材料修復骨缺損已成為研究熱點[2]。生物支架、種子細胞和生長因子是骨組織工程三要素,但生長因子存在價格高昂、提取復雜、活性不穩定的缺點[3-4]。淫羊藿是傳統中草藥,具有補腎健脾、祛風除濕、強筋健骨等功效,研究發現淫羊藿可作為“活性生長因子”,具有成骨效應[5-7]。淫羊藿苷(icariin,ICA)是淫羊藿主要成分,能夠促進 BMSCs 成骨分化,提高 DNA 形成和骨組織蛋白質的合成[8-9],在骨再生方面具有獨特作用。凹凸棒石(attapulgite,ATP)是一種天然無機物,富含鎂鋁硅酸鹽,具有一定黏性、可塑性、多孔道且比表面積大。本課題組前期研究構建的 ATP/Ⅰ型膠原/聚己內酯(ATP/collagen type Ⅰ/polycaprolactone,ATP/ColⅠ/PCL)復合材料具有一定促成骨性[10-11]。為進一步探索 ATP 在骨缺損修復中的成骨效應和潛在應用價值,本次實驗采用溶液鑄澆-粒子濾瀝法制備載 ICA 的 ATP 復合支架材料,并修復兔脛骨缺損。報告如下。
1 材料與方法
1.1 實驗動物及主要試劑、儀器
清潔級成年雄性日本大耳白兔 30 只,體質量(2.0±0.1)kg,由中國農業科學院蘭州獸醫研究所提供。
ICA(純度≥98%;寶雞晨光生物科技有限公司);ATP(中國科學院蘭州物理化學研究所);ColⅠ(中國軍事醫學科學院衛生裝備研究所);PCL(Sigma-Aldrich 公司,美國);甲苯胺藍染色液(北京索萊寶科技有限公司);免疫組織化學試劑盒(武漢博士德生物工程有限公司);ColⅠ兔多克隆抗體、成骨相關轉錄因子 Osterix(OSX)兔多克隆抗體、成骨特異性轉錄因子 RUNX2 小鼠單克隆抗體、骨橋蛋白(osteopontin,OPN)兔多克隆抗體、辣根過氧化物酶標記羊抗鼠/兔 IgG(Abcam 公司,美國)。
冷凍干燥機(中國軍事醫學科學院實驗儀器廠);JSM-6701F 冷場發射型掃描電鏡(JEOL 公司,日本);OCA20 表面接觸測定儀(Dapataphysics 公司,德國);紫外分光光度計(HP 公司,美國)。
1.2 支架制備及觀測
1.2.1 支架的制備
以 2∶3 比例稱取 0.6 g PCL、0.9 g Col Ⅰ溶于 15 mL 六氟異丙醇中,制成濃度為 0.1%(W/V)的混合溶液;分別添加 0.38 g 和 0.64 g ATP 制備成 2 種混合溶液;每種混合溶液中再添加 0.028 g ICA;于磁力攪拌器攪拌過夜至均勻混合液狀態。加入 2.5 g NaCl 作為致孔劑,攪拌使其均勻分散。將混合物倒入玻璃皿中不停攪拌,待六氟異丙醇揮發至混合物可塑形狀態后,裝入自制針筒模具中,通風櫥中放置 24 h,37℃ 烘箱中烘干 24 h,除去殘存的六氟異丙醇。超純水脫鹽,0.1%AgNO3 檢測洗脫液至無鹽析出。
將獲得的 2 種支架采用 EDC 交聯:用 50 mL 95% 乙醇、2.884 1 g EDC、0.865 7 g NSH 配制 EDC 交聯劑,常溫下將支架置于交聯劑中浸泡 24 h;0.1 mol/L NaHPO4 溶液中浸泡 2 h;4 mol/L NaCl 溶液中浸泡 24 h;搖床里 ddH2O 洗 24 h 后冷凍真空干燥,制成 2 種不同 ATP 含量(質量百分比分別為 20%、30%)、含 ICA 的復合支架材料,命名為支架 1(ICA/20%ATP/ColⅠ/PCL)和支架 2(ICA/30%ATP/ColⅠ/PCL)。60Co 輻照后,常溫密封保存備用。
另制備不含 ICA 的 2 種不同 ATP 含量支架材料,命名為支架 3(20%ATP/ColⅠ/PCL)和支架 4(30%ATP/ColⅠ/PCL)。除未添加 ICA 外,支架制備步驟同支架 1、2。60Co 輻照后,常溫密封保存備用。
1.2.2 掃描電鏡觀察
取直徑 1 cm 交聯前、后的支架 2 各 3 支,制樣、噴金后掃描電鏡觀察結構特征。
1.2.3 支架表面接觸角測定
將支架 2 和支架 4 切割成直徑 6 mm、高 4 mm 的圓柱體,各支架取 3 個平行樣品,表面磨平。室溫下,將去離子水滴于支架表面 10 s 后,用表面接觸測定儀測定支架表面接觸角。實驗重復 4 次,取均值。
1.2.4 藥物緩釋檢測
① 標準曲線繪制:稱取 ICA 標準品 20 mg 溶于甲醇中,三蒸水定容至 100 mL 容量瓶中,制成濃度為 200 μg/mL 的儲備液;取 1 mL 儲備液用甲醇成倍稀釋成濃度為 3.13、6.25、12.50、25.00、50.00、100.00 μg/mL 的系列溶液,用紫外分光光度計于 270 nm 處測定吸光度(A)值,繪制標準曲線。② 支架藥物緩釋檢測:將直徑 15 mm、高 4 mm 的圓柱形支架 2 浸泡于 5 mL 0.01 mol/L PBS(pH7.4)中,置于 37℃ 恒溫箱中,分別于 1、2、3、5、7、9、12、15、20 d 收集 1 mL 緩釋液,–20℃ 保存待測,并補回 1 mL 0.01 mol/L PBS;待全部取樣完畢后,用紫外分光光度計檢測 270 nm 處各時間點待測液 A 值,根據標準曲線計算藥物緩釋量并繪制藥物緩釋曲線。
1.3 動物體內植入實驗
1.3.1 實驗分組及方法
將 30 只日本大耳白兔隨機分為 A、B、C、D、E 5 組,每組 6 只。所有動物實驗前禁食 12 h,經耳緣靜脈注射 10% 水合氯醛(2 mL/kg)麻醉,兩側后肢剃毛、消毒,于雙側脛骨平臺處縱行切開皮膚,鈍性分離肌肉后充分暴露脛骨平臺,利用電鉆制備直徑約 1 cm 骨缺損模型。A 組為缺損對照組,不植入任何材料,B~E 組分別于骨缺損處植入支架 3、支架 4、支架 1、支架 2 后,逐層縫合切口,聚維酮碘溶液消毒。術后連續 3 d 每日肌肉注射 20 萬 U 青霉素防止感染,相同飼養環境下單籠飼養動物。
1.3.2 一般情況
術后觀察各組動物切口愈合狀況,有無感染發生及飲食、活動狀況。
1.3.3 大體觀察
術后 4、8、12 周每組取 2 只動物,采用靜脈快速注射水合氯醛(2 mL/kg)方法處死,切開皮膚并分離植入材料處脛骨,肉眼觀察缺損處修復效果。
1.3.4 組織學觀察
各時間點取出的脛骨切除兩端多余骨組織,保留缺損處或支架植入處,置于 10% 甲醛固定,10%EDTA-Na2 脫鈣 40 d。系列乙醇脫水、石蠟包埋、切片(厚 5 μm),常規 HE、Masson 染色后光鏡下觀察。
1.3.5 免疫組織化學染色觀察
各時間點取各組樣本切片,常規脫蠟至水,檸檬酸鹽緩沖液煮沸 15 min 行抗原修復;0.1%Triton-X 100 室溫反應 10 min;3%H2O2 室溫反應 10 min;5% 牛血清白蛋白室溫反應 20 min;0.02 mol/L PBS 分別稀釋小鼠單克隆抗體 RUNX2、兔多克隆抗體 OSX、兔多克隆抗體 ColⅠ、兔多克隆抗體 OPN,稀釋比例均為 1∶200,滴加一抗后置濕盒 4℃ 過夜,0.02 mol/L PBS 洗 3 次,每次 5 min;0.02 mol/L PBS 稀釋辣根過氧化物酶標記的羊抗兔或兔抗小鼠二抗,稀釋比例為 1∶50,滴加二抗后 37℃ 恒溫箱中孵育 30~40 min,0.02 mol/L PBS 洗 3 次,每次 5 min;滴加鏈霉親和素-生物素復合物,置 37℃ 恒溫箱中反應 30~40 min,0.02 mol/L PBS 洗 3 次,每次 5 min;滴加 DAB 顯色劑避光反應 3~10 min;流水沖洗 10 min;蘇木素復染 2 min;1% 鹽酸乙醇分化 2 s;1% 氨水返藍;系列乙醇脫水、二甲苯透明、樹脂封片。光鏡下分別觀察 OSX、RUNX2、ColⅠ、OPN 的表達,同時以正常骨組織作為陽性對照。
1.4 統計學方法
采用 SPSS17.0 統計軟件進行分析。數據以均數±標準差表示,組間比較采用單因素方差分析,兩兩比較采用 LSD 法;檢驗水準 α=0.05。
2 結果
2.1 支架材料觀察
4 種支架外觀均呈白色柱狀,直徑約 1 cm,高約 5 mm。見圖 1。掃描電鏡觀察示,支架 2 為多孔結構,交聯前后孔隙直徑均為 1~500 μm。交聯前支架表面粗糙,結構疏松;交聯后支架表面粗糙,結構致密。見圖 2。表面接觸角檢測示,支架 4 表面接觸角為(140.24±2.04)°,支架 2 為(146.75±1.58)°,差異有統計學意義(t=18.987,P=0.012)。


a. 交聯前;b. 交聯后
Figure2. Scanning electron microscopy observation of scaffold 2 (×200)a. Before cross-linking; b. After cross-linking
支架 2 藥物緩釋檢測顯示,1~2 d 時藥物釋放緩慢,平均釋放率為 8.23%;3 d 時藥物呈快速釋放且達峰值,釋放率為 11.80%;4~15 d 時呈緩慢釋放,平均釋放率為 9.53%;15 d 后開始緩慢下降,至 20 d 時仍持續下降,平均釋放率為 10.38%。見圖 3。

2.2 動物體內植入實驗
2.2.1 一般情況
各組動物術后 1 d 即恢復正常飲食,切口愈合良好,無骨折、感染、化膿現象,活動自如,均存活至實驗完成。
2.2.2 大體觀察
術后 4 周,各組可見大小不等骨缺損,A、B 組缺損處呈凹陷狀;C、D、E 組缺損處填充大量紅色組織,未見化膿感染。術后 8 周,各組缺損面積明顯縮小,B、C 組缺損面積顯著小于 A 組;D、E 組支架植入處與周圍組織緊密連接,缺損處填充大量白色組織,無炎性反應,E 組缺損面積略小于 D 組。術后 12 周,各組缺損面積均明顯縮小,其中 B、C 組缺損面積顯著小于 A 組,D、E 組小于 B、C 組,E 組明顯小于 D 組。見圖 4。

從左至右依次為 A、B、C、D、E 組 a. 術后 4 周;b. 術后 12 周
Figure4. Gross observation of bone defect in each group at different time points after operationFrom left to right for groups A, B, C, D, and E, respectively a. At 4 weeks after operation; b. At 12 weeks after operation
2.2.3 組織學觀察
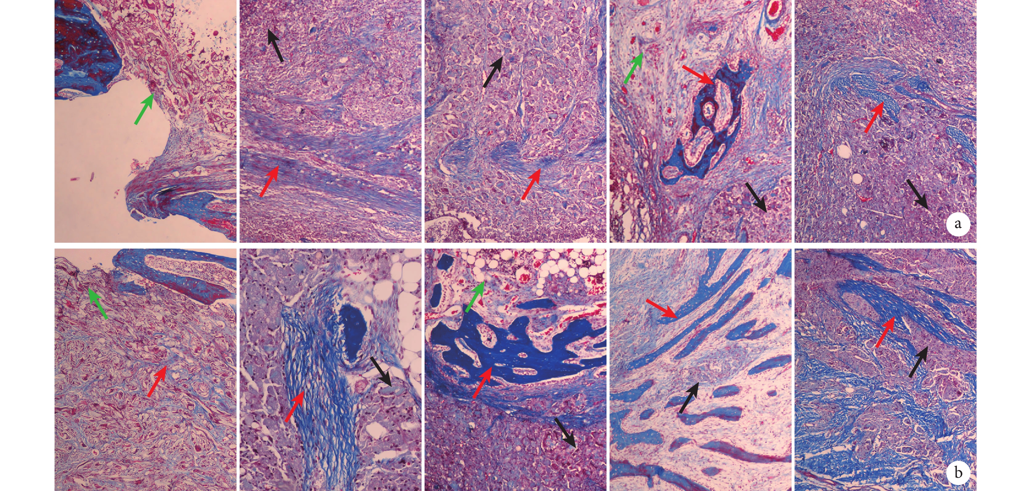
HE 染色示,術后 4 周,A 組缺損處部分填充纖維組織;B、C、D、E 組可見部分材料被降解,未見大量炎性細胞,其中 B、C 組支架中可見部分骨細胞且有大量纖維組織長入材料中,D、E 組缺損處可見少量新生骨組織。術后 8 周,A 組缺損處可見大量纖維組織填充;B、C 組支架中可見少量新生骨組織形成;D、E 組中材料中心可見呈層狀和團狀的新生骨組織且部分材料被降解。術后 12 周,A 組缺損處仍以纖維組織為主,僅見少量散在新生骨組織;B、C 組材料中心可見散在的新生骨組織,較 8 周時明顯增多;D、E 組材料中可見呈板層狀的新生骨形成,且大部分材料已降解。見圖 5。

藍箭頭示新生骨,黑箭頭示支架材料,綠箭頭示纖維組織 從左至右依次為 A、B、C、D、E 組 a. 術后 4 周;b. 術后 12 周
Figure5. HE staining of bone defect in each group at different time points after operation (×40)Blue arrow indicated new bone, black arrow indicated scaffold, green arrow indicated fibrous tissue From left to right for groups A, B, C, D, and E, respectively a. At 4 weeks after operation; b. At 12 weeks after operation
Masson 染色示,術后 4 周,A 組缺損處以紅細胞、非炎性細胞為主;B、C 組材料中可見少量膠原纖維組織;D、E 組材料中可見少量新生骨組織。術后 8 周,A 組缺損處以非炎性細胞為主;B 組材料中可見大量膠原纖維形成;C 組材料中除大量膠原纖維外,可見少量新生骨組織;D 組材料中有連接成片狀結構的新生骨組織,同時材料部分被降解;E 組材料中心可見連接成簇狀的新生骨組織,且新生骨組織中心材料完全被降解。術后 12 周,A 組缺損處有大量非炎性細胞和少量膠原纖維;B 組材料中可見大量膠原纖維和少量散在的新生骨組織;C、D、E 組可見大量新生骨組織,較 8 周時明顯增加,其中 D、E 組新生骨組織連接成片狀,新生骨周圍材料完全被降解。見圖 6。

紅箭頭示新生骨與膠原纖維,黑箭頭示支架材料,綠箭頭示結締組織 從左至右依次為 A、B、C、D、E 組 a. 術后 4 周;b. 術后 12 周
Figure6. Masson staining of bone defect in each group at different time points after operation (×40)Red arrow indicated new bone and collagen fibrils, black arrow indicated scaffold, green arrow indicated connective tissue From left to right for groups A, B, C, D, and E, respectively a. At 4 weeks after operation; b. At 12 weeks after operation
2.2.4 免疫組織化學染色觀察
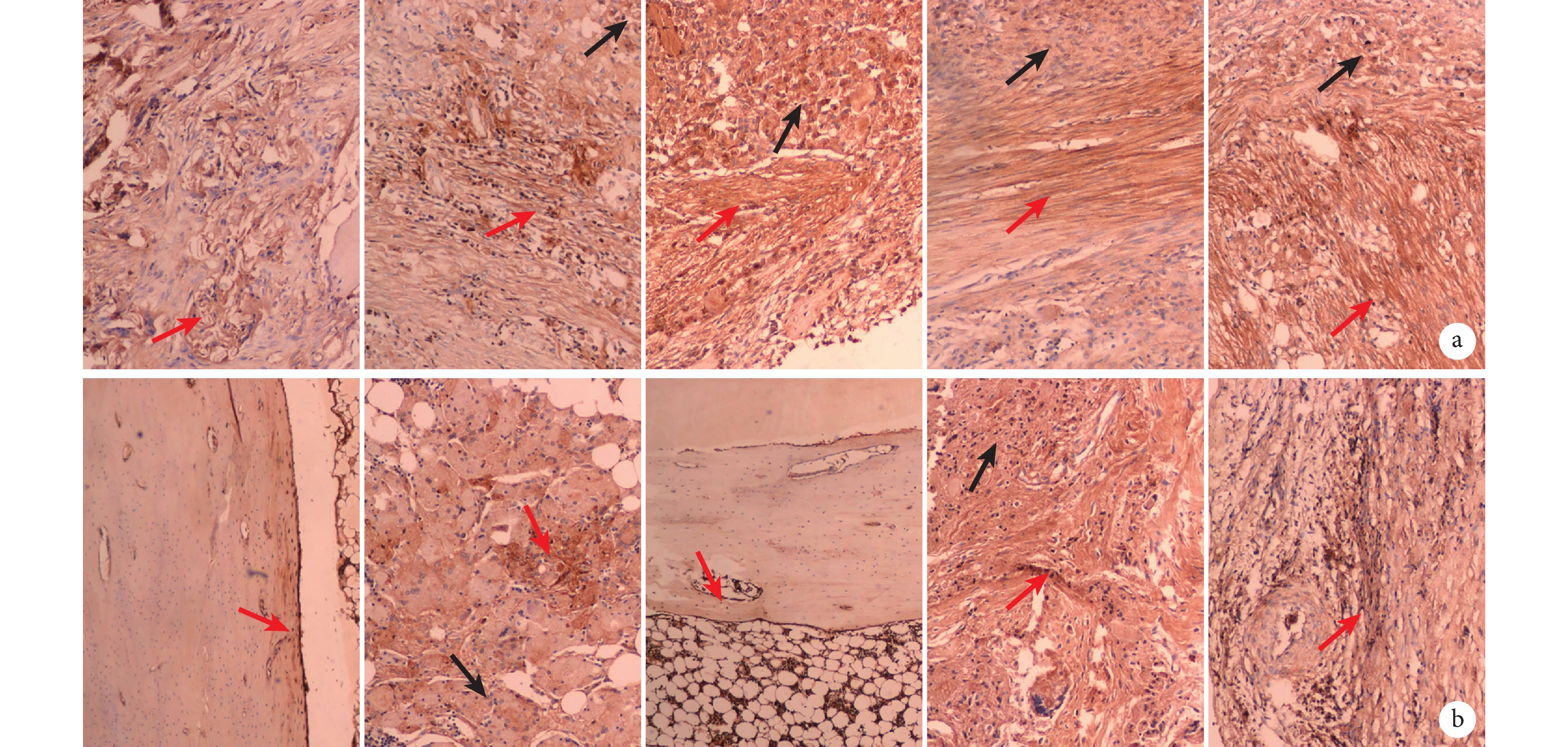
① RUNX2:術后 4 周,D、E 組骨缺損處組織中 RUNX2 表達水平明顯高于 A、B、C 組,E 組表達水平高于 D 組;術后 8 周,E 組骨缺損處組織中 RUNX2 表達水平明顯高于其他組,各組表達均較 4 周時顯著降低;術后 12 周,D、E 組骨缺損處組織中 RUNX2 表達水平明顯高于 A、B、C 組,E 組表達水平更高于 D 組,且與 8 周相比,各組表達均有所下降。見圖 7。

黑箭頭示支架材料,紅箭頭示 RUNX2 表達 從左至右依次為 A、B、C、D、E 組 a. 術后 4 周;b. 術后 12 周
Figure7. Immunohistochemical staining observation of RUNX2 in each group at different time points after operation (×40)Black arrow indicated scaffold, red arrow indicated RUNX2 expression From left to right for groups A, B, C, D, and E, respectively a. At 4 weeks after operation; b. At 12 weeks after operation
② OSX:術后 4、8 周,A 組骨缺損處組織中 OSX 為弱陽性表達;B~E 組新生組織中 OSX 的表達明顯增強,其中 C、D、E 組 OSX 表達尤為顯著。術后 12 周,各組 OSX 表達均較 4、8 周時明顯降低。見圖 8。

黑箭頭示支架材料,紅箭頭示 OSX 表達 從左至右依次為 A、B、C、D、E 組 a. 術后 4 周;b. 術后 12 周
Figure8. Immunohistochemical staining observation of OSX in each group at different time points after operation (×40)Black arrow indicated scaffold, red arrow indicated OSX expression From left to right for groups A, B, C, D, and E, respectively a. At 4 weeks after operation; b. At 12 weeks after operation
③ ColⅠ:術后 4 周,A 組骨缺損處組織中 ColⅠ為弱陽性表達,以大量纖維組織為主;B、C、D、E 組骨缺損處組織中僅見少量 ColⅠ表達。術后 8 周,各組 ColⅠ表達均較 4 周時增強,其中 D、E 組明顯增加。術后 12 周,B 組 ColⅠ表達顯著增強,C、D 組可在新生骨邊緣觀察到 ColⅠ表達,E 組 ColⅠ表達明顯強于其余各組。見圖 9。

黑箭頭示支架材料,紅箭頭示 ColⅠ表達 從左至右依次為 A、B、C、D、E 組 a. 術后 4 周;b. 術后 12 周
Figure9. Immunohistochemical staining observation of ColⅠin each group at different time points after operation (×40)Black arrow indicated scaffold, red arrow indicated Col Ⅰ expression From left to right for groups A, B, C, D, and E, respectively a. At 4 weeks after operation; b. At 12 weeks after operation
④ OPN:術后 4 周,A 組骨缺損處組織中 OPN 為弱陽性表達;B、C、D、E 組 OPN 表達顯著強于 A 組。術后 8 周,B、C、D、E 組 OPN 表達增強,其中 E 組 OPN 表達最強,新生骨中有大量 OPN 沉積。術后 12 周,B 組 OPN 表達與 8 周相比明顯增強,其余各組 OPN 表達強度與 8 周時相似。見圖 10。

黑箭頭示支架材料,紅箭頭示 OPN 表達 從左至右依次為 A、B、C、D、E 組 a. 術后 4 周;b. 術后 12 周
Figure10. Immunohistochemical staining observation of OPN expression in each group at different time points after operation (×40)Black arrow indicated scaffold, red arrow indicated OPN expression From left to right for groups A, B, C, D, and E, respectively a. At 4 weeks after operation; b. At 12 weeks after operation
3 討論
理想骨修復支架材料應具有以下幾個特點[12-13]:可塑性、良好的生物相容性、適當的降解速率、一定力學強度、合適的孔隙率、促成骨性等。單一材料很難滿足上述要求。尋找新的材料用于組織工程骨,是目前研究的熱點和急需解決的關鍵問題[14-16]。
ATP 具有特殊的結構和功能,無毒,化學性能穩定,且廣泛用于動物飼料中,符合生物安全性的標準和要求。因此,本課題組研究 ATP 作為組織工程材料的可行性。前期主要探索了最佳 ATP 量效組合及其功能,研究結果提示含 20% 和 30% ATP 材料具有明顯促進干細胞向成骨細胞分化的作用,且在無誘導因子環境中,能促進與成骨細胞分化調控相關的關鍵基因 RUNX2 和 OSX 表達,同時能明顯上調成骨細胞標志分子 ALP、ColⅠ和 OPN 表達[10]。動物實驗結果顯示,利用溶液鑄澆-粒子濾瀝法構建的 ATP/ColⅠ/PCL 復合支架材料,能促進骨再生和修復[11]。故我們認為 ATP 是一類較為理想的組織工程材料。
ICA 主要由黃酮類化合物、木質素及生物堿組成。研究證實,ICA 具有抗腫瘤、免疫調節以及成骨等作用,在臨床上有較高的藥用價值和保健價值[17]。ICA 能夠促進 BMSCs 向成骨細胞分化,并抑制其向破骨細胞分化[18]。研究表明,即使在無促成骨條件下,ICA 也能夠促進成骨分化相關基因的表達,明顯促進骨生長和骨小梁形成,可以作為一種良好的促成骨因子[19-20]。
本實驗將 ICA 和 ATP/ColⅠ/PCL 復合構建支架材料,旨在利用 ICA 和 ATP 促成骨效應作用,通過兩者協同進一步加速骨缺損的再生和修復。結果表明,構建的 ICA/ATP/ColⅠ/PCL 復合支架材料具有多孔性,其孔隙直徑為 1~500 μm,該孔隙有助于細胞的遷入和營養物質的交換。支架接觸角檢測結果顯示,加或不加 ICA 的支架均為疏水性材料,加入 ICA 后的支架接觸角比不加 ICA 的支架接觸角更大,說明支架在遇水后不易吸水過分膨大。藥物緩釋檢測顯示,3 d 時藥物釋放達高峰,可能是因為支架表面藥物分子率先釋放;6 d 后藥物釋放持續上升,可能是支架在降解過程中內部的藥物分子開始釋放,說明藥物與支架結合可以控制藥物微量長效釋放。HE 和 Masson 染色結果顯示,與 ATP/ColⅠ/PCL 支架材料比較,ICA/ATP/ColⅠ/PCL 支架材料能明顯促進骨再生和修復,分析原因是材料通過緩釋 ICA 藥物促進歸巢干細胞或成骨細胞分化,促進了骨再生和骨修復,顯著提高了 ATP 作為骨修復材料的應用價值。
RUNX2 和 OSX 是成骨細胞定向分化的關鍵調控蛋白,通常定位于細胞質。RUNX2 主要在細胞分化早期表達,其表達決定了干細胞向成骨細胞或軟骨細胞定向分化,OSX 表達能促進細胞向成骨細胞分化[21-22]。本研究免疫組織化學染色結果顯示,在植入材料早期,ICA/ATP/ColⅠ/PCL 支架材料能明顯促進 RUNX2 和 OSX 的表達,其表達水平明顯高于其他組,提示 ICA/ATP/ColⅠ/PCL 材料通過緩釋 ICA 促進細胞 RUNX2 和 OSX 的表達,是提高新骨形成的重要因素之一。ColⅠ和 OPN 是成骨細胞和骨組織的標志物,ColⅠ是新生骨的主要成分之一,OPN 是骨鈣化的重要蛋白。結果表明,在同一時間負載 ICA 的支架材料組 OPN 表達顯著高于缺損對照組和無載藥組,提示 ICA 能促進缺損處新生組織中 ColⅠ和 OPN 的表達,其表達水平的增加有利于骨再生。因此我們認為,本實驗構建的 ICA/ATP/ColⅠ/PCL 復合支架材料能顯著促進骨再生,其原因可能是:① ICA 具有促進成骨細胞分化的作用;② ATP 中存在的離子成分具有促進細胞分化的功能;③ ATP 具有比表面積大和多孔性特點,有利于細胞黏附、生長和分化;④ ICA 藥效功能和 ATP 結構效應協同作用,促進成骨細胞分化和骨再生修復。但具體機制有待于本課題組后續研究證實。
綜上述,ICA/ATP/ColⅠ/PCL 復合支架材料可促進兔脛骨缺損再生和修復,有望成為一種新型組織工程材料用于骨再生與修復。
作者貢獻:趙紅斌負責實驗的科研設計;寧鈺負責實驗的實施、數據的收集整理及統計分析、文章撰寫;秦文、任亞輝、李辰凱、陳文揚參與實驗的實施。
利益沖突:所有作者聲明,在課題研究和文章撰寫過程中不存在利益沖突。基金項目經費支持沒有影響文章觀點和對研究數據客觀結果的統計分析及其報道。
機構倫理問題:研究方案經甘肅中醫藥大學醫學/動物實驗倫理委員會批準。實驗動物生產許可證號:SCXK(甘)2011-0001,使用許可證號:SYXK(甘)2011-0001。
大段骨缺損修復是臨床亟待解決的問題[1]。隨著組織工程技術的發展,構建具有組織誘導性的復合支架材料修復骨缺損已成為研究熱點[2]。生物支架、種子細胞和生長因子是骨組織工程三要素,但生長因子存在價格高昂、提取復雜、活性不穩定的缺點[3-4]。淫羊藿是傳統中草藥,具有補腎健脾、祛風除濕、強筋健骨等功效,研究發現淫羊藿可作為“活性生長因子”,具有成骨效應[5-7]。淫羊藿苷(icariin,ICA)是淫羊藿主要成分,能夠促進 BMSCs 成骨分化,提高 DNA 形成和骨組織蛋白質的合成[8-9],在骨再生方面具有獨特作用。凹凸棒石(attapulgite,ATP)是一種天然無機物,富含鎂鋁硅酸鹽,具有一定黏性、可塑性、多孔道且比表面積大。本課題組前期研究構建的 ATP/Ⅰ型膠原/聚己內酯(ATP/collagen type Ⅰ/polycaprolactone,ATP/ColⅠ/PCL)復合材料具有一定促成骨性[10-11]。為進一步探索 ATP 在骨缺損修復中的成骨效應和潛在應用價值,本次實驗采用溶液鑄澆-粒子濾瀝法制備載 ICA 的 ATP 復合支架材料,并修復兔脛骨缺損。報告如下。
1 材料與方法
1.1 實驗動物及主要試劑、儀器
清潔級成年雄性日本大耳白兔 30 只,體質量(2.0±0.1)kg,由中國農業科學院蘭州獸醫研究所提供。
ICA(純度≥98%;寶雞晨光生物科技有限公司);ATP(中國科學院蘭州物理化學研究所);ColⅠ(中國軍事醫學科學院衛生裝備研究所);PCL(Sigma-Aldrich 公司,美國);甲苯胺藍染色液(北京索萊寶科技有限公司);免疫組織化學試劑盒(武漢博士德生物工程有限公司);ColⅠ兔多克隆抗體、成骨相關轉錄因子 Osterix(OSX)兔多克隆抗體、成骨特異性轉錄因子 RUNX2 小鼠單克隆抗體、骨橋蛋白(osteopontin,OPN)兔多克隆抗體、辣根過氧化物酶標記羊抗鼠/兔 IgG(Abcam 公司,美國)。
冷凍干燥機(中國軍事醫學科學院實驗儀器廠);JSM-6701F 冷場發射型掃描電鏡(JEOL 公司,日本);OCA20 表面接觸測定儀(Dapataphysics 公司,德國);紫外分光光度計(HP 公司,美國)。
1.2 支架制備及觀測
1.2.1 支架的制備
以 2∶3 比例稱取 0.6 g PCL、0.9 g Col Ⅰ溶于 15 mL 六氟異丙醇中,制成濃度為 0.1%(W/V)的混合溶液;分別添加 0.38 g 和 0.64 g ATP 制備成 2 種混合溶液;每種混合溶液中再添加 0.028 g ICA;于磁力攪拌器攪拌過夜至均勻混合液狀態。加入 2.5 g NaCl 作為致孔劑,攪拌使其均勻分散。將混合物倒入玻璃皿中不停攪拌,待六氟異丙醇揮發至混合物可塑形狀態后,裝入自制針筒模具中,通風櫥中放置 24 h,37℃ 烘箱中烘干 24 h,除去殘存的六氟異丙醇。超純水脫鹽,0.1%AgNO3 檢測洗脫液至無鹽析出。
將獲得的 2 種支架采用 EDC 交聯:用 50 mL 95% 乙醇、2.884 1 g EDC、0.865 7 g NSH 配制 EDC 交聯劑,常溫下將支架置于交聯劑中浸泡 24 h;0.1 mol/L NaHPO4 溶液中浸泡 2 h;4 mol/L NaCl 溶液中浸泡 24 h;搖床里 ddH2O 洗 24 h 后冷凍真空干燥,制成 2 種不同 ATP 含量(質量百分比分別為 20%、30%)、含 ICA 的復合支架材料,命名為支架 1(ICA/20%ATP/ColⅠ/PCL)和支架 2(ICA/30%ATP/ColⅠ/PCL)。60Co 輻照后,常溫密封保存備用。
另制備不含 ICA 的 2 種不同 ATP 含量支架材料,命名為支架 3(20%ATP/ColⅠ/PCL)和支架 4(30%ATP/ColⅠ/PCL)。除未添加 ICA 外,支架制備步驟同支架 1、2。60Co 輻照后,常溫密封保存備用。
1.2.2 掃描電鏡觀察
取直徑 1 cm 交聯前、后的支架 2 各 3 支,制樣、噴金后掃描電鏡觀察結構特征。
1.2.3 支架表面接觸角測定
將支架 2 和支架 4 切割成直徑 6 mm、高 4 mm 的圓柱體,各支架取 3 個平行樣品,表面磨平。室溫下,將去離子水滴于支架表面 10 s 后,用表面接觸測定儀測定支架表面接觸角。實驗重復 4 次,取均值。
1.2.4 藥物緩釋檢測
① 標準曲線繪制:稱取 ICA 標準品 20 mg 溶于甲醇中,三蒸水定容至 100 mL 容量瓶中,制成濃度為 200 μg/mL 的儲備液;取 1 mL 儲備液用甲醇成倍稀釋成濃度為 3.13、6.25、12.50、25.00、50.00、100.00 μg/mL 的系列溶液,用紫外分光光度計于 270 nm 處測定吸光度(A)值,繪制標準曲線。② 支架藥物緩釋檢測:將直徑 15 mm、高 4 mm 的圓柱形支架 2 浸泡于 5 mL 0.01 mol/L PBS(pH7.4)中,置于 37℃ 恒溫箱中,分別于 1、2、3、5、7、9、12、15、20 d 收集 1 mL 緩釋液,–20℃ 保存待測,并補回 1 mL 0.01 mol/L PBS;待全部取樣完畢后,用紫外分光光度計檢測 270 nm 處各時間點待測液 A 值,根據標準曲線計算藥物緩釋量并繪制藥物緩釋曲線。
1.3 動物體內植入實驗
1.3.1 實驗分組及方法
將 30 只日本大耳白兔隨機分為 A、B、C、D、E 5 組,每組 6 只。所有動物實驗前禁食 12 h,經耳緣靜脈注射 10% 水合氯醛(2 mL/kg)麻醉,兩側后肢剃毛、消毒,于雙側脛骨平臺處縱行切開皮膚,鈍性分離肌肉后充分暴露脛骨平臺,利用電鉆制備直徑約 1 cm 骨缺損模型。A 組為缺損對照組,不植入任何材料,B~E 組分別于骨缺損處植入支架 3、支架 4、支架 1、支架 2 后,逐層縫合切口,聚維酮碘溶液消毒。術后連續 3 d 每日肌肉注射 20 萬 U 青霉素防止感染,相同飼養環境下單籠飼養動物。
1.3.2 一般情況
術后觀察各組動物切口愈合狀況,有無感染發生及飲食、活動狀況。
1.3.3 大體觀察
術后 4、8、12 周每組取 2 只動物,采用靜脈快速注射水合氯醛(2 mL/kg)方法處死,切開皮膚并分離植入材料處脛骨,肉眼觀察缺損處修復效果。
1.3.4 組織學觀察
各時間點取出的脛骨切除兩端多余骨組織,保留缺損處或支架植入處,置于 10% 甲醛固定,10%EDTA-Na2 脫鈣 40 d。系列乙醇脫水、石蠟包埋、切片(厚 5 μm),常規 HE、Masson 染色后光鏡下觀察。
1.3.5 免疫組織化學染色觀察
各時間點取各組樣本切片,常規脫蠟至水,檸檬酸鹽緩沖液煮沸 15 min 行抗原修復;0.1%Triton-X 100 室溫反應 10 min;3%H2O2 室溫反應 10 min;5% 牛血清白蛋白室溫反應 20 min;0.02 mol/L PBS 分別稀釋小鼠單克隆抗體 RUNX2、兔多克隆抗體 OSX、兔多克隆抗體 ColⅠ、兔多克隆抗體 OPN,稀釋比例均為 1∶200,滴加一抗后置濕盒 4℃ 過夜,0.02 mol/L PBS 洗 3 次,每次 5 min;0.02 mol/L PBS 稀釋辣根過氧化物酶標記的羊抗兔或兔抗小鼠二抗,稀釋比例為 1∶50,滴加二抗后 37℃ 恒溫箱中孵育 30~40 min,0.02 mol/L PBS 洗 3 次,每次 5 min;滴加鏈霉親和素-生物素復合物,置 37℃ 恒溫箱中反應 30~40 min,0.02 mol/L PBS 洗 3 次,每次 5 min;滴加 DAB 顯色劑避光反應 3~10 min;流水沖洗 10 min;蘇木素復染 2 min;1% 鹽酸乙醇分化 2 s;1% 氨水返藍;系列乙醇脫水、二甲苯透明、樹脂封片。光鏡下分別觀察 OSX、RUNX2、ColⅠ、OPN 的表達,同時以正常骨組織作為陽性對照。
1.4 統計學方法
采用 SPSS17.0 統計軟件進行分析。數據以均數±標準差表示,組間比較采用單因素方差分析,兩兩比較采用 LSD 法;檢驗水準 α=0.05。
2 結果
2.1 支架材料觀察
4 種支架外觀均呈白色柱狀,直徑約 1 cm,高約 5 mm。見圖 1。掃描電鏡觀察示,支架 2 為多孔結構,交聯前后孔隙直徑均為 1~500 μm。交聯前支架表面粗糙,結構疏松;交聯后支架表面粗糙,結構致密。見圖 2。表面接觸角檢測示,支架 4 表面接觸角為(140.24±2.04)°,支架 2 為(146.75±1.58)°,差異有統計學意義(t=18.987,P=0.012)。


a. 交聯前;b. 交聯后
Figure2. Scanning electron microscopy observation of scaffold 2 (×200)a. Before cross-linking; b. After cross-linking
支架 2 藥物緩釋檢測顯示,1~2 d 時藥物釋放緩慢,平均釋放率為 8.23%;3 d 時藥物呈快速釋放且達峰值,釋放率為 11.80%;4~15 d 時呈緩慢釋放,平均釋放率為 9.53%;15 d 后開始緩慢下降,至 20 d 時仍持續下降,平均釋放率為 10.38%。見圖 3。

2.2 動物體內植入實驗
2.2.1 一般情況
各組動物術后 1 d 即恢復正常飲食,切口愈合良好,無骨折、感染、化膿現象,活動自如,均存活至實驗完成。
2.2.2 大體觀察
術后 4 周,各組可見大小不等骨缺損,A、B 組缺損處呈凹陷狀;C、D、E 組缺損處填充大量紅色組織,未見化膿感染。術后 8 周,各組缺損面積明顯縮小,B、C 組缺損面積顯著小于 A 組;D、E 組支架植入處與周圍組織緊密連接,缺損處填充大量白色組織,無炎性反應,E 組缺損面積略小于 D 組。術后 12 周,各組缺損面積均明顯縮小,其中 B、C 組缺損面積顯著小于 A 組,D、E 組小于 B、C 組,E 組明顯小于 D 組。見圖 4。

從左至右依次為 A、B、C、D、E 組 a. 術后 4 周;b. 術后 12 周
Figure4. Gross observation of bone defect in each group at different time points after operationFrom left to right for groups A, B, C, D, and E, respectively a. At 4 weeks after operation; b. At 12 weeks after operation
2.2.3 組織學觀察
HE 染色示,術后 4 周,A 組缺損處部分填充纖維組織;B、C、D、E 組可見部分材料被降解,未見大量炎性細胞,其中 B、C 組支架中可見部分骨細胞且有大量纖維組織長入材料中,D、E 組缺損處可見少量新生骨組織。術后 8 周,A 組缺損處可見大量纖維組織填充;B、C 組支架中可見少量新生骨組織形成;D、E 組中材料中心可見呈層狀和團狀的新生骨組織且部分材料被降解。術后 12 周,A 組缺損處仍以纖維組織為主,僅見少量散在新生骨組織;B、C 組材料中心可見散在的新生骨組織,較 8 周時明顯增多;D、E 組材料中可見呈板層狀的新生骨形成,且大部分材料已降解。見圖 5。

藍箭頭示新生骨,黑箭頭示支架材料,綠箭頭示纖維組織 從左至右依次為 A、B、C、D、E 組 a. 術后 4 周;b. 術后 12 周
Figure5. HE staining of bone defect in each group at different time points after operation (×40)Blue arrow indicated new bone, black arrow indicated scaffold, green arrow indicated fibrous tissue From left to right for groups A, B, C, D, and E, respectively a. At 4 weeks after operation; b. At 12 weeks after operation
Masson 染色示,術后 4 周,A 組缺損處以紅細胞、非炎性細胞為主;B、C 組材料中可見少量膠原纖維組織;D、E 組材料中可見少量新生骨組織。術后 8 周,A 組缺損處以非炎性細胞為主;B 組材料中可見大量膠原纖維形成;C 組材料中除大量膠原纖維外,可見少量新生骨組織;D 組材料中有連接成片狀結構的新生骨組織,同時材料部分被降解;E 組材料中心可見連接成簇狀的新生骨組織,且新生骨組織中心材料完全被降解。術后 12 周,A 組缺損處有大量非炎性細胞和少量膠原纖維;B 組材料中可見大量膠原纖維和少量散在的新生骨組織;C、D、E 組可見大量新生骨組織,較 8 周時明顯增加,其中 D、E 組新生骨組織連接成片狀,新生骨周圍材料完全被降解。見圖 6。

紅箭頭示新生骨與膠原纖維,黑箭頭示支架材料,綠箭頭示結締組織 從左至右依次為 A、B、C、D、E 組 a. 術后 4 周;b. 術后 12 周
Figure6. Masson staining of bone defect in each group at different time points after operation (×40)Red arrow indicated new bone and collagen fibrils, black arrow indicated scaffold, green arrow indicated connective tissue From left to right for groups A, B, C, D, and E, respectively a. At 4 weeks after operation; b. At 12 weeks after operation
2.2.4 免疫組織化學染色觀察
① RUNX2:術后 4 周,D、E 組骨缺損處組織中 RUNX2 表達水平明顯高于 A、B、C 組,E 組表達水平高于 D 組;術后 8 周,E 組骨缺損處組織中 RUNX2 表達水平明顯高于其他組,各組表達均較 4 周時顯著降低;術后 12 周,D、E 組骨缺損處組織中 RUNX2 表達水平明顯高于 A、B、C 組,E 組表達水平更高于 D 組,且與 8 周相比,各組表達均有所下降。見圖 7。

黑箭頭示支架材料,紅箭頭示 RUNX2 表達 從左至右依次為 A、B、C、D、E 組 a. 術后 4 周;b. 術后 12 周
Figure7. Immunohistochemical staining observation of RUNX2 in each group at different time points after operation (×40)Black arrow indicated scaffold, red arrow indicated RUNX2 expression From left to right for groups A, B, C, D, and E, respectively a. At 4 weeks after operation; b. At 12 weeks after operation
② OSX:術后 4、8 周,A 組骨缺損處組織中 OSX 為弱陽性表達;B~E 組新生組織中 OSX 的表達明顯增強,其中 C、D、E 組 OSX 表達尤為顯著。術后 12 周,各組 OSX 表達均較 4、8 周時明顯降低。見圖 8。

黑箭頭示支架材料,紅箭頭示 OSX 表達 從左至右依次為 A、B、C、D、E 組 a. 術后 4 周;b. 術后 12 周
Figure8. Immunohistochemical staining observation of OSX in each group at different time points after operation (×40)Black arrow indicated scaffold, red arrow indicated OSX expression From left to right for groups A, B, C, D, and E, respectively a. At 4 weeks after operation; b. At 12 weeks after operation
③ ColⅠ:術后 4 周,A 組骨缺損處組織中 ColⅠ為弱陽性表達,以大量纖維組織為主;B、C、D、E 組骨缺損處組織中僅見少量 ColⅠ表達。術后 8 周,各組 ColⅠ表達均較 4 周時增強,其中 D、E 組明顯增加。術后 12 周,B 組 ColⅠ表達顯著增強,C、D 組可在新生骨邊緣觀察到 ColⅠ表達,E 組 ColⅠ表達明顯強于其余各組。見圖 9。

黑箭頭示支架材料,紅箭頭示 ColⅠ表達 從左至右依次為 A、B、C、D、E 組 a. 術后 4 周;b. 術后 12 周
Figure9. Immunohistochemical staining observation of ColⅠin each group at different time points after operation (×40)Black arrow indicated scaffold, red arrow indicated Col Ⅰ expression From left to right for groups A, B, C, D, and E, respectively a. At 4 weeks after operation; b. At 12 weeks after operation
④ OPN:術后 4 周,A 組骨缺損處組織中 OPN 為弱陽性表達;B、C、D、E 組 OPN 表達顯著強于 A 組。術后 8 周,B、C、D、E 組 OPN 表達增強,其中 E 組 OPN 表達最強,新生骨中有大量 OPN 沉積。術后 12 周,B 組 OPN 表達與 8 周相比明顯增強,其余各組 OPN 表達強度與 8 周時相似。見圖 10。

黑箭頭示支架材料,紅箭頭示 OPN 表達 從左至右依次為 A、B、C、D、E 組 a. 術后 4 周;b. 術后 12 周
Figure10. Immunohistochemical staining observation of OPN expression in each group at different time points after operation (×40)Black arrow indicated scaffold, red arrow indicated OPN expression From left to right for groups A, B, C, D, and E, respectively a. At 4 weeks after operation; b. At 12 weeks after operation
3 討論
理想骨修復支架材料應具有以下幾個特點[12-13]:可塑性、良好的生物相容性、適當的降解速率、一定力學強度、合適的孔隙率、促成骨性等。單一材料很難滿足上述要求。尋找新的材料用于組織工程骨,是目前研究的熱點和急需解決的關鍵問題[14-16]。
ATP 具有特殊的結構和功能,無毒,化學性能穩定,且廣泛用于動物飼料中,符合生物安全性的標準和要求。因此,本課題組研究 ATP 作為組織工程材料的可行性。前期主要探索了最佳 ATP 量效組合及其功能,研究結果提示含 20% 和 30% ATP 材料具有明顯促進干細胞向成骨細胞分化的作用,且在無誘導因子環境中,能促進與成骨細胞分化調控相關的關鍵基因 RUNX2 和 OSX 表達,同時能明顯上調成骨細胞標志分子 ALP、ColⅠ和 OPN 表達[10]。動物實驗結果顯示,利用溶液鑄澆-粒子濾瀝法構建的 ATP/ColⅠ/PCL 復合支架材料,能促進骨再生和修復[11]。故我們認為 ATP 是一類較為理想的組織工程材料。
ICA 主要由黃酮類化合物、木質素及生物堿組成。研究證實,ICA 具有抗腫瘤、免疫調節以及成骨等作用,在臨床上有較高的藥用價值和保健價值[17]。ICA 能夠促進 BMSCs 向成骨細胞分化,并抑制其向破骨細胞分化[18]。研究表明,即使在無促成骨條件下,ICA 也能夠促進成骨分化相關基因的表達,明顯促進骨生長和骨小梁形成,可以作為一種良好的促成骨因子[19-20]。
本實驗將 ICA 和 ATP/ColⅠ/PCL 復合構建支架材料,旨在利用 ICA 和 ATP 促成骨效應作用,通過兩者協同進一步加速骨缺損的再生和修復。結果表明,構建的 ICA/ATP/ColⅠ/PCL 復合支架材料具有多孔性,其孔隙直徑為 1~500 μm,該孔隙有助于細胞的遷入和營養物質的交換。支架接觸角檢測結果顯示,加或不加 ICA 的支架均為疏水性材料,加入 ICA 后的支架接觸角比不加 ICA 的支架接觸角更大,說明支架在遇水后不易吸水過分膨大。藥物緩釋檢測顯示,3 d 時藥物釋放達高峰,可能是因為支架表面藥物分子率先釋放;6 d 后藥物釋放持續上升,可能是支架在降解過程中內部的藥物分子開始釋放,說明藥物與支架結合可以控制藥物微量長效釋放。HE 和 Masson 染色結果顯示,與 ATP/ColⅠ/PCL 支架材料比較,ICA/ATP/ColⅠ/PCL 支架材料能明顯促進骨再生和修復,分析原因是材料通過緩釋 ICA 藥物促進歸巢干細胞或成骨細胞分化,促進了骨再生和骨修復,顯著提高了 ATP 作為骨修復材料的應用價值。
RUNX2 和 OSX 是成骨細胞定向分化的關鍵調控蛋白,通常定位于細胞質。RUNX2 主要在細胞分化早期表達,其表達決定了干細胞向成骨細胞或軟骨細胞定向分化,OSX 表達能促進細胞向成骨細胞分化[21-22]。本研究免疫組織化學染色結果顯示,在植入材料早期,ICA/ATP/ColⅠ/PCL 支架材料能明顯促進 RUNX2 和 OSX 的表達,其表達水平明顯高于其他組,提示 ICA/ATP/ColⅠ/PCL 材料通過緩釋 ICA 促進細胞 RUNX2 和 OSX 的表達,是提高新骨形成的重要因素之一。ColⅠ和 OPN 是成骨細胞和骨組織的標志物,ColⅠ是新生骨的主要成分之一,OPN 是骨鈣化的重要蛋白。結果表明,在同一時間負載 ICA 的支架材料組 OPN 表達顯著高于缺損對照組和無載藥組,提示 ICA 能促進缺損處新生組織中 ColⅠ和 OPN 的表達,其表達水平的增加有利于骨再生。因此我們認為,本實驗構建的 ICA/ATP/ColⅠ/PCL 復合支架材料能顯著促進骨再生,其原因可能是:① ICA 具有促進成骨細胞分化的作用;② ATP 中存在的離子成分具有促進細胞分化的功能;③ ATP 具有比表面積大和多孔性特點,有利于細胞黏附、生長和分化;④ ICA 藥效功能和 ATP 結構效應協同作用,促進成骨細胞分化和骨再生修復。但具體機制有待于本課題組后續研究證實。
綜上述,ICA/ATP/ColⅠ/PCL 復合支架材料可促進兔脛骨缺損再生和修復,有望成為一種新型組織工程材料用于骨再生與修復。
作者貢獻:趙紅斌負責實驗的科研設計;寧鈺負責實驗的實施、數據的收集整理及統計分析、文章撰寫;秦文、任亞輝、李辰凱、陳文揚參與實驗的實施。
利益沖突:所有作者聲明,在課題研究和文章撰寫過程中不存在利益沖突。基金項目經費支持沒有影響文章觀點和對研究數據客觀結果的統計分析及其報道。
機構倫理問題:研究方案經甘肅中醫藥大學醫學/動物實驗倫理委員會批準。實驗動物生產許可證號:SCXK(甘)2011-0001,使用許可證號:SYXK(甘)2011-0001。