引用本文: 楊濤, 謝杰, 胡懿郃, 安森博, 汪龍. 354 例 Ribbed 股骨柄假體置換術的中遠期療效分析. 中國修復重建外科雜志, 2019, 33(9): 1116-1120. doi: 10.7507/1002-1892.201901124 復制
人工全髖關節置換術(total hip arthroplasty,THA)是目前治療終末期髖關節疾病最有效的手術方式[1-2]。THA 所用假體根據固定方式不同分為骨水泥型和非骨水泥型。相對于初始堅強固定的骨水泥型假體,非骨水泥型假體具有更優越的遠期固定效果;二次翻修時取出難度較低,對周圍骨組織破壞較小,適合中青年或活動量大、存在二次翻修可能的患者[3-5]。但遠期隨訪研究發現,非骨水泥型假體置換術后發生無菌性松動風險高,特別是活動量大的年輕患者[6]。Ribbed 股骨柄假體(Link 公司,德國)是國內臨床常用的非骨水泥型假體之一,但研究發現置換后 Ribbed 股骨柄假體周圍存在一定程度應力遮擋[7],可能引起假體松動。2006 年 10 月—2016 年 5 月,我科采用 Ribbed 股骨柄假體對 520 例(586 髖)髖關節疾病患者行 THA,其中 354 例(384 髖)獲完整隨訪。現回顧分析 354 例患者臨床資料,探討采用該假體置換的中長期療效,為臨床選擇假體類型提供參考。報告如下。
1 臨床資料
1.1 一般資料
本組男 171 例,女 183 例;年齡 20~82 歲,平均 53.4 歲。單髖 324 例,左髖 149 例、右髖 175 例;雙髖 30 例。27 例雙髖置換患者為同期手術;3 例分期手術,兩期手術間隔 3 個月以上。關節置換原因:股骨頭缺血性壞死 151 例(159 髖),國際骨循環協會(ARCO)分期為 3 期或 4 期;病程 1~7 年,平均 3.7 年。髖關節骨關節炎 134 例(136 髖),類風濕性關節炎 43 例(43 髖),X 線分期為Ⅲ期或Ⅳ期,關節功能根據美國類風濕學會分級為Ⅲ級或Ⅳ級;病程 15~39 年,平均 23.3 年。強直性脊柱炎 20 例(40 髖),病程 13~30 年,平均 24.1 年。創傷 6 例(6 髖),5 例外傷致股骨頸骨折,受傷至手術時間 2~14 d,平均 5.4 d;1 例交通事故傷致髖臼骨折,行髖臼骨折內固定術后 4 年出現股骨頭缺血性壞死行 THA。術前 Harris 評分為(42.34±8.89)分。
1.2 手術方法
手術均由同一組醫生完成。神經阻滯麻醉聯合全麻(112 例)或全麻(242 例)下,患者取側臥位。常規取后外側入路,切口長 9~15 cm,逐層切開皮膚、皮下組織、闊筋膜,沿肌間隙鈍性分離臀大肌,切斷梨狀肌等短外旋肌群,切開髖關節囊,顯露髖臼。脫位髖關節,安裝髖臼假體,股骨髓腔近端開口,以擴髓鉆與股骨皮質相接觸后停止;選用與假體同號的擴髓銼嵌入式擴髓,安裝試模股骨頭、頸復位,測試松緊滿意及雙下肢等長后,安裝假體、復位。將切斷的外旋肌群褥式縫合,懸吊在股骨轉子窩內。術畢,放置負壓引流管,關閉切口。
1.3 術后處理及療效評價指標
術后第 2 天開始注射低分子肝素或口服利伐沙班預防下肢深靜脈血栓形成,連續使用 35 d。術后 24~48 h 拔除引流管,開始扶助行器下地活動;隨訪期間復查 X 線片,根據檢查結果確定患者下地及負重時間。
手術前后采用 Harris 評分評價髖關節功能。攝雙下肢全長、骨盆正位及術側髖關節側位 X 線片。其中,于下肢全長片判斷雙下肢是否等長。正側位片觀察股骨側有無透亮帶,正位參照 Gruen 等[8]的股骨分區法、側位參照 Johnston 等[9]的股骨近端分區法進行分區;按照 Engh 等[10-11]的方法判斷假體穩定性及應力遮擋分度,應力遮擋程度分為 0~4 度,假體穩定性分為骨長入性穩定、纖維長入性穩定以及不穩定。
1.4 統計學方法
采用 SPSS19.0 統計軟件進行分析。數據以均數±標準差表示,手術前后比較采用配對 t 檢驗;檢驗水準 α=0.05。
2 結果
術后切口均Ⅰ期愈合。患者均獲隨訪,隨訪時間 2~11 年,平均 7.4 年。患者髖關節功能恢復良好,末次隨訪時 Harris 評分為(80.52±7.61)分,與術前比較差異有統計學意義(t=134.804,P=0.000)。48 例(48 髖)出現術側大腿輕到中度疼痛。
術后 2 例(2 髖)分別在術后 6 個月及 4 年發生假體感染,3 例(3 髖)分別于 6、7、9 年發生假體松動,均給予髖關節假體翻修術后愈合。4 例(4 髖)發生假體周圍骨折,發生于術后 2 年 1 例、術后 3 年 2 例、術后 5 年 1 例;2 例行鋼板內固定聯合捆綁帶固定,2 例行組配型柄翻修聯合捆綁帶固定,術后假體固定牢靠。末次隨訪時,假體生存率為 97.7%(375/384)。
X 線片復查,隨訪期間 76 例(78 髖)股骨側出現透亮帶,位于 1 區 31 例(33 髖)、2 區 6 例(6 髖)、3 區 3 例(3 髖)、4 區 1 例(1 髖)、5 區 5 例(5 髖)、6 區 9 例(9 髖)、7 區 21 例(21 髖),無明顯硬化帶。術后 1 年,按照 Engh 等提出的方法評價假體穩定性,骨長入性穩定 364 髖、纖維長入性穩定 15 髖、假體不穩定 5 髖。對出現明顯透亮帶的 76 例(78 髖)進行應力遮擋分度,其中 1 度 45 髖、2 度 20 髖、3 度 9 髖、4 度 4 髖。末次隨訪,25 例(25 髖)發生股骨柄假體下沉,23 例為單髖置換患者,2 例為雙髖置換患者,但均為一側股骨柄假體下沉;雙下肢不等長 2~22 mm,平均 6.9 mm;16 例不等長≤5 mm、4 例 5 ~10 mm、5 例>10 mm。見圖 1、2。

a. 術前;b. 術后 1 d;c. 術后 6 年
Figure1. Anteroposterior X-ray films of a 52-year-old male patient underwent THA for bilateral avascular necrosis of the femoral heada. Before operation; b. At 1 day after operation; c. At 6 years after operation

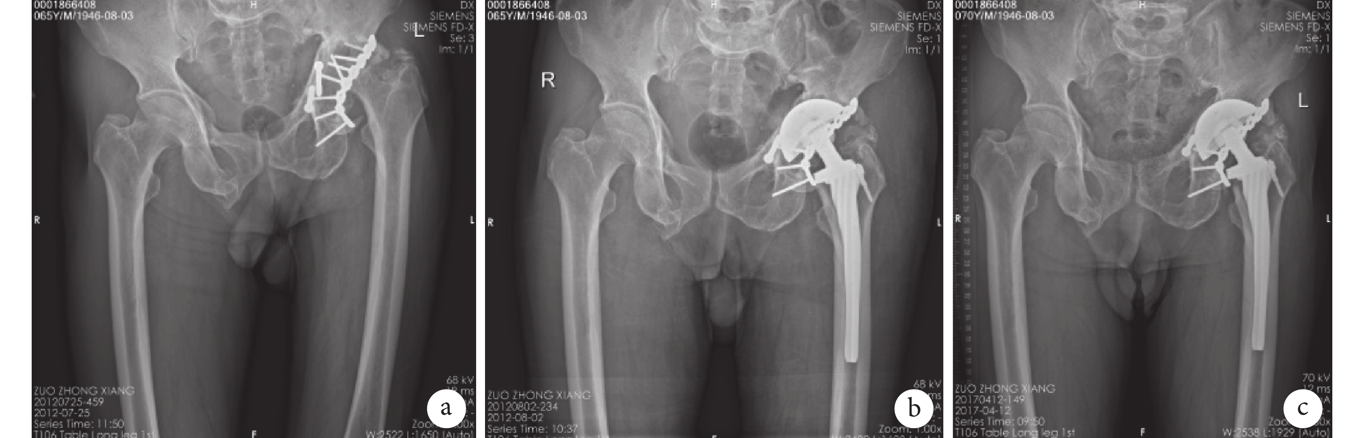
a. 術前;b. 術后 1 d;c. 術后 5 年
Figure2. Anteroposterior X-ray films of a 66-year-old male patient underwent THA for avascular necrosis of the femoral head after 4 years of acetabular fracture internal fixationa. Before operation; b. At 1 day after operation; c. At 5 years after operation
3 討論
Ribbed 股骨柄假體是解剖型非骨水泥型假體,設計特點包括:① 解剖設計更符合人體結構;② 表面采用深溝槽設計,可增加與骨質接觸面積,使假體與股骨彈性模量相近;③ 假體近端 2/3 為直徑約 70 μm 的微孔表面或羥基磷灰石涂層,遠端 1/3 采用高拋光面處理,動物實驗顯示羥基磷灰石涂層、噴砂和光面 3 種股骨柄表面均有利于骨長入[12]。臨床研究顯示 Ribbed 股骨柄假體表現優異,假體置換后能有效緩解患者髖關節疼痛,恢復髖關節功能[13-16]。本組 THA 術后患者末次隨訪 Harris 評分為(80.52±7.61)分,假體生存率為 97.7%,與既往研究報道的假體生存率[14, 16]相近,表明該假體具有較好臨床效果。
THA 術后主要并發癥為假體松動及脫位、下肢深靜脈血栓形成、深部感染[17-18]。有學者提出大腿疼痛為非骨水泥型假體置換術后主要并發癥[19],可能與初期皮質骨與遠端股骨柄形成微動刺激骨髓腔相關,如假體設計要求遠端壓配以獲得即刻穩定性時,股骨遠端壓力會增高,從而導致疼痛風險增加。本研究中有 48 例患者出現不同程度術側大腿疼痛,X 線片可觀察到不同程度應力遮擋,提示術后大腿疼痛也可能與應力遮擋導致的骨溶解與假體微動有關。
我們分析導致術后應力遮擋的主要原因包括:① 患者自身原因,如骨質疏松所導致的應力遮擋相對較大[20]。② 股骨柄假體無論是骨水泥型固定還是非骨水泥型固定均可產生一定程度應力遮擋[21]。③ 假體無菌性松動時,由于假體微動沒有一致分布在股骨柄上,假體遠端與頸部更容易應力集中,而應力集中又將進一步導致假體松動[22]。④ 假體周圍界膜組織中含有 T 淋巴細胞、前列腺素等炎性細胞與炎性因子,導致假體周圍骨溶解,進而出現假體微動,使應力遮擋增加[23]。⑤ 假體材料與制作工藝。Ribbed 股骨柄假體設計有兩個特點:第一,股骨柄假體模擬股骨上段髓腔,采用 S 形解剖設計,能降低應力遮擋,但若是股骨柄未能契合患者髓腔,往往需反復擴髓,造成股骨骨量損失,從而減少了假體與股骨接觸面積,對假體穩定性和預后具有較大影響,所以術前股骨側準確評估以及術中選擇合適假體有利于術中減少骨質丟失,降低應力遮擋。第二,為便于翻修術時取出假體柄,設計了可拆卸領托。雖然為翻修術提供了便捷,但也大大增加了應力集中。本組 1 區出現透亮帶的 31 例(33 髖)其應力集中于領托周圍,導致應力遮擋發生。該區域應力遮擋的發生率明顯高于其他區域,也進一步證明了假體領托設計提高了應力遮擋風險。
本組術后 2 例患者出現假體感染,這 2 例患者均有糖尿病基礎疾病,術前檢查未發現感染灶或者潛在感染風險。術后患者血糖控制不佳,假體植入、術后骨髓腔出血、假體與股骨間間隙導致血腫以及肉芽組織的形成,均為細菌生長提供了良好培養基[24]。同時,假體微動會產生磨損顆粒及碎屑,引起巨噬細胞介導的炎性反應,從而形成界膜組織,增強細菌黏附作用,降低宿主防御能力和抗生素效果,導致假體周圍感染風險增加[25]。本研究目前僅 2 例患者出現假體感染,但隨著隨訪時間延長,可能有新的感染病例出現,需要密切觀察。
引起 THA 術后無菌性松動的原因較多,除患者性別、年齡、體質量、活動量及術前原發疾病等因素外,主要與機械因素及生物學因素相關。Lindahl 等[21]認為上述二者具有協同作用,假體微動和關節摩擦必然會產生磨損顆粒,同時這些顆粒激活假體-骨之間的界膜組織,從而導致無菌性炎性反應,假體周圍產生骨溶解,最終發生假體松動。并且由于應力遮擋導致假體周圍承受的負荷與其他部位不同,骨質較其他部位差,更易發生假體松動。本組發生假體松動患者其假體周圍可觀察到應力遮擋導致的周圍骨溶解,表明應力遮擋與假體松動存在一定聯系,提示減少假體周圍應力遮擋對預防假體松動有一定積極作用。
股骨近端解剖結構異常、假體型號選擇不當、過分追求假體與股骨皮質緊密契合、骨質疏松、暴力因素[26]往往會導致髖關節假體周圍骨折。同時,應力遮擋及假體松動造成的假體周圍骨溶解,也會使假體周圍骨折風險增加。本組 4 例患者發生假體周圍骨折,均為外傷所致。經詢問病史,其中 3 例在骨折前即存在髖部疼痛和跛行,X 線片顯示股骨柄假體領托組件周圍應力遮擋導致的明顯骨質溶解,表明應力遮擋導致的假體周圍骨溶解及假體松動是假體周圍骨折重要誘因。
綜上述,Ribbed 股骨柄假體設計符合生物學固定要求,采用該假體行 THA 具有初始穩定性好、骨長入好等優點,但存在術后應力遮擋發生率相對較高的問題。
作者貢獻:汪龍、胡懿郃參與研究選題,楊濤、汪龍負責回訪信息收集、整理,楊濤、安森博負責數據分析及文章撰寫,此外胡懿郃、汪龍、謝杰完成研究中所涉及的手術。
利益沖突:所有作者聲明,在課題研究和文章撰寫過程中不存在利益沖突。經費支持沒有影響本文中的學術觀點,研究數據、客觀結果和統計分析等。
機構倫理問題:研究方案經中南大學湘雅醫院倫理委員會批準(2017121142)。
人工全髖關節置換術(total hip arthroplasty,THA)是目前治療終末期髖關節疾病最有效的手術方式[1-2]。THA 所用假體根據固定方式不同分為骨水泥型和非骨水泥型。相對于初始堅強固定的骨水泥型假體,非骨水泥型假體具有更優越的遠期固定效果;二次翻修時取出難度較低,對周圍骨組織破壞較小,適合中青年或活動量大、存在二次翻修可能的患者[3-5]。但遠期隨訪研究發現,非骨水泥型假體置換術后發生無菌性松動風險高,特別是活動量大的年輕患者[6]。Ribbed 股骨柄假體(Link 公司,德國)是國內臨床常用的非骨水泥型假體之一,但研究發現置換后 Ribbed 股骨柄假體周圍存在一定程度應力遮擋[7],可能引起假體松動。2006 年 10 月—2016 年 5 月,我科采用 Ribbed 股骨柄假體對 520 例(586 髖)髖關節疾病患者行 THA,其中 354 例(384 髖)獲完整隨訪。現回顧分析 354 例患者臨床資料,探討采用該假體置換的中長期療效,為臨床選擇假體類型提供參考。報告如下。
1 臨床資料
1.1 一般資料
本組男 171 例,女 183 例;年齡 20~82 歲,平均 53.4 歲。單髖 324 例,左髖 149 例、右髖 175 例;雙髖 30 例。27 例雙髖置換患者為同期手術;3 例分期手術,兩期手術間隔 3 個月以上。關節置換原因:股骨頭缺血性壞死 151 例(159 髖),國際骨循環協會(ARCO)分期為 3 期或 4 期;病程 1~7 年,平均 3.7 年。髖關節骨關節炎 134 例(136 髖),類風濕性關節炎 43 例(43 髖),X 線分期為Ⅲ期或Ⅳ期,關節功能根據美國類風濕學會分級為Ⅲ級或Ⅳ級;病程 15~39 年,平均 23.3 年。強直性脊柱炎 20 例(40 髖),病程 13~30 年,平均 24.1 年。創傷 6 例(6 髖),5 例外傷致股骨頸骨折,受傷至手術時間 2~14 d,平均 5.4 d;1 例交通事故傷致髖臼骨折,行髖臼骨折內固定術后 4 年出現股骨頭缺血性壞死行 THA。術前 Harris 評分為(42.34±8.89)分。
1.2 手術方法
手術均由同一組醫生完成。神經阻滯麻醉聯合全麻(112 例)或全麻(242 例)下,患者取側臥位。常規取后外側入路,切口長 9~15 cm,逐層切開皮膚、皮下組織、闊筋膜,沿肌間隙鈍性分離臀大肌,切斷梨狀肌等短外旋肌群,切開髖關節囊,顯露髖臼。脫位髖關節,安裝髖臼假體,股骨髓腔近端開口,以擴髓鉆與股骨皮質相接觸后停止;選用與假體同號的擴髓銼嵌入式擴髓,安裝試模股骨頭、頸復位,測試松緊滿意及雙下肢等長后,安裝假體、復位。將切斷的外旋肌群褥式縫合,懸吊在股骨轉子窩內。術畢,放置負壓引流管,關閉切口。
1.3 術后處理及療效評價指標
術后第 2 天開始注射低分子肝素或口服利伐沙班預防下肢深靜脈血栓形成,連續使用 35 d。術后 24~48 h 拔除引流管,開始扶助行器下地活動;隨訪期間復查 X 線片,根據檢查結果確定患者下地及負重時間。
手術前后采用 Harris 評分評價髖關節功能。攝雙下肢全長、骨盆正位及術側髖關節側位 X 線片。其中,于下肢全長片判斷雙下肢是否等長。正側位片觀察股骨側有無透亮帶,正位參照 Gruen 等[8]的股骨分區法、側位參照 Johnston 等[9]的股骨近端分區法進行分區;按照 Engh 等[10-11]的方法判斷假體穩定性及應力遮擋分度,應力遮擋程度分為 0~4 度,假體穩定性分為骨長入性穩定、纖維長入性穩定以及不穩定。
1.4 統計學方法
采用 SPSS19.0 統計軟件進行分析。數據以均數±標準差表示,手術前后比較采用配對 t 檢驗;檢驗水準 α=0.05。
2 結果
術后切口均Ⅰ期愈合。患者均獲隨訪,隨訪時間 2~11 年,平均 7.4 年。患者髖關節功能恢復良好,末次隨訪時 Harris 評分為(80.52±7.61)分,與術前比較差異有統計學意義(t=134.804,P=0.000)。48 例(48 髖)出現術側大腿輕到中度疼痛。
術后 2 例(2 髖)分別在術后 6 個月及 4 年發生假體感染,3 例(3 髖)分別于 6、7、9 年發生假體松動,均給予髖關節假體翻修術后愈合。4 例(4 髖)發生假體周圍骨折,發生于術后 2 年 1 例、術后 3 年 2 例、術后 5 年 1 例;2 例行鋼板內固定聯合捆綁帶固定,2 例行組配型柄翻修聯合捆綁帶固定,術后假體固定牢靠。末次隨訪時,假體生存率為 97.7%(375/384)。
X 線片復查,隨訪期間 76 例(78 髖)股骨側出現透亮帶,位于 1 區 31 例(33 髖)、2 區 6 例(6 髖)、3 區 3 例(3 髖)、4 區 1 例(1 髖)、5 區 5 例(5 髖)、6 區 9 例(9 髖)、7 區 21 例(21 髖),無明顯硬化帶。術后 1 年,按照 Engh 等提出的方法評價假體穩定性,骨長入性穩定 364 髖、纖維長入性穩定 15 髖、假體不穩定 5 髖。對出現明顯透亮帶的 76 例(78 髖)進行應力遮擋分度,其中 1 度 45 髖、2 度 20 髖、3 度 9 髖、4 度 4 髖。末次隨訪,25 例(25 髖)發生股骨柄假體下沉,23 例為單髖置換患者,2 例為雙髖置換患者,但均為一側股骨柄假體下沉;雙下肢不等長 2~22 mm,平均 6.9 mm;16 例不等長≤5 mm、4 例 5 ~10 mm、5 例>10 mm。見圖 1、2。

a. 術前;b. 術后 1 d;c. 術后 6 年
Figure1. Anteroposterior X-ray films of a 52-year-old male patient underwent THA for bilateral avascular necrosis of the femoral heada. Before operation; b. At 1 day after operation; c. At 6 years after operation

a. 術前;b. 術后 1 d;c. 術后 5 年
Figure2. Anteroposterior X-ray films of a 66-year-old male patient underwent THA for avascular necrosis of the femoral head after 4 years of acetabular fracture internal fixationa. Before operation; b. At 1 day after operation; c. At 5 years after operation
3 討論
Ribbed 股骨柄假體是解剖型非骨水泥型假體,設計特點包括:① 解剖設計更符合人體結構;② 表面采用深溝槽設計,可增加與骨質接觸面積,使假體與股骨彈性模量相近;③ 假體近端 2/3 為直徑約 70 μm 的微孔表面或羥基磷灰石涂層,遠端 1/3 采用高拋光面處理,動物實驗顯示羥基磷灰石涂層、噴砂和光面 3 種股骨柄表面均有利于骨長入[12]。臨床研究顯示 Ribbed 股骨柄假體表現優異,假體置換后能有效緩解患者髖關節疼痛,恢復髖關節功能[13-16]。本組 THA 術后患者末次隨訪 Harris 評分為(80.52±7.61)分,假體生存率為 97.7%,與既往研究報道的假體生存率[14, 16]相近,表明該假體具有較好臨床效果。
THA 術后主要并發癥為假體松動及脫位、下肢深靜脈血栓形成、深部感染[17-18]。有學者提出大腿疼痛為非骨水泥型假體置換術后主要并發癥[19],可能與初期皮質骨與遠端股骨柄形成微動刺激骨髓腔相關,如假體設計要求遠端壓配以獲得即刻穩定性時,股骨遠端壓力會增高,從而導致疼痛風險增加。本研究中有 48 例患者出現不同程度術側大腿疼痛,X 線片可觀察到不同程度應力遮擋,提示術后大腿疼痛也可能與應力遮擋導致的骨溶解與假體微動有關。
我們分析導致術后應力遮擋的主要原因包括:① 患者自身原因,如骨質疏松所導致的應力遮擋相對較大[20]。② 股骨柄假體無論是骨水泥型固定還是非骨水泥型固定均可產生一定程度應力遮擋[21]。③ 假體無菌性松動時,由于假體微動沒有一致分布在股骨柄上,假體遠端與頸部更容易應力集中,而應力集中又將進一步導致假體松動[22]。④ 假體周圍界膜組織中含有 T 淋巴細胞、前列腺素等炎性細胞與炎性因子,導致假體周圍骨溶解,進而出現假體微動,使應力遮擋增加[23]。⑤ 假體材料與制作工藝。Ribbed 股骨柄假體設計有兩個特點:第一,股骨柄假體模擬股骨上段髓腔,采用 S 形解剖設計,能降低應力遮擋,但若是股骨柄未能契合患者髓腔,往往需反復擴髓,造成股骨骨量損失,從而減少了假體與股骨接觸面積,對假體穩定性和預后具有較大影響,所以術前股骨側準確評估以及術中選擇合適假體有利于術中減少骨質丟失,降低應力遮擋。第二,為便于翻修術時取出假體柄,設計了可拆卸領托。雖然為翻修術提供了便捷,但也大大增加了應力集中。本組 1 區出現透亮帶的 31 例(33 髖)其應力集中于領托周圍,導致應力遮擋發生。該區域應力遮擋的發生率明顯高于其他區域,也進一步證明了假體領托設計提高了應力遮擋風險。
本組術后 2 例患者出現假體感染,這 2 例患者均有糖尿病基礎疾病,術前檢查未發現感染灶或者潛在感染風險。術后患者血糖控制不佳,假體植入、術后骨髓腔出血、假體與股骨間間隙導致血腫以及肉芽組織的形成,均為細菌生長提供了良好培養基[24]。同時,假體微動會產生磨損顆粒及碎屑,引起巨噬細胞介導的炎性反應,從而形成界膜組織,增強細菌黏附作用,降低宿主防御能力和抗生素效果,導致假體周圍感染風險增加[25]。本研究目前僅 2 例患者出現假體感染,但隨著隨訪時間延長,可能有新的感染病例出現,需要密切觀察。
引起 THA 術后無菌性松動的原因較多,除患者性別、年齡、體質量、活動量及術前原發疾病等因素外,主要與機械因素及生物學因素相關。Lindahl 等[21]認為上述二者具有協同作用,假體微動和關節摩擦必然會產生磨損顆粒,同時這些顆粒激活假體-骨之間的界膜組織,從而導致無菌性炎性反應,假體周圍產生骨溶解,最終發生假體松動。并且由于應力遮擋導致假體周圍承受的負荷與其他部位不同,骨質較其他部位差,更易發生假體松動。本組發生假體松動患者其假體周圍可觀察到應力遮擋導致的周圍骨溶解,表明應力遮擋與假體松動存在一定聯系,提示減少假體周圍應力遮擋對預防假體松動有一定積極作用。
股骨近端解剖結構異常、假體型號選擇不當、過分追求假體與股骨皮質緊密契合、骨質疏松、暴力因素[26]往往會導致髖關節假體周圍骨折。同時,應力遮擋及假體松動造成的假體周圍骨溶解,也會使假體周圍骨折風險增加。本組 4 例患者發生假體周圍骨折,均為外傷所致。經詢問病史,其中 3 例在骨折前即存在髖部疼痛和跛行,X 線片顯示股骨柄假體領托組件周圍應力遮擋導致的明顯骨質溶解,表明應力遮擋導致的假體周圍骨溶解及假體松動是假體周圍骨折重要誘因。
綜上述,Ribbed 股骨柄假體設計符合生物學固定要求,采用該假體行 THA 具有初始穩定性好、骨長入好等優點,但存在術后應力遮擋發生率相對較高的問題。
作者貢獻:汪龍、胡懿郃參與研究選題,楊濤、汪龍負責回訪信息收集、整理,楊濤、安森博負責數據分析及文章撰寫,此外胡懿郃、汪龍、謝杰完成研究中所涉及的手術。
利益沖突:所有作者聲明,在課題研究和文章撰寫過程中不存在利益沖突。經費支持沒有影響本文中的學術觀點,研究數據、客觀結果和統計分析等。
機構倫理問題:研究方案經中南大學湘雅醫院倫理委員會批準(2017121142)。