引用本文: 侯孝忠, 徐林飛, 易威威, 陳艷陽, 沈皆亮. 內質網應激對吸煙誘導的髓核細胞凋亡與炎性反應的影響研究. 中國修復重建外科雜志, 2019, 33(6): 736-742. doi: 10.7507/1002-1892.201901094 復制
腰痛或頸項痛是骨科最常見的患者主訴,因其高發病率、高致殘率以及由此帶來的高額醫療花費,已成為一個嚴重的公共健康問題[1]。目前普遍認為椎間盤退變(intervertebral disc degeneration,IVDD)是導致上述癥狀的主要原因[2]。但 IVDD 發病機制眾多,研究相關風險因素、闡明影響機制、有效延緩 IVDD 進程,具有重要的臨床意義。流行病學調查顯示,中國 18 歲以上人群中 31.6% 為煙民,其中 59.7% 的成年男性和 3.8% 的成年女性具有抽煙習慣[3]。越來越多證據表明,吸煙與多種疾病的發生發展密切相關,對骨骼肌肉系統也會產生不利影響[4]。潘福敏等[5]的研究表明吸煙會加劇腰椎間盤的退變,加重患者腰痛程度;Chen 等[6]也發現吸煙會促進頸椎間盤退變。但目前尚無吸煙促進 IVDD 的作用機制研究報道,為此我們以頸椎間盤突出癥年輕患者為研究對象,從細胞凋亡、炎性因子、內質網應激三方面初步探討吸煙促進 IVDD 的作用機制。
1 材料與方法
1.1 研究對象及分組
1.1.1 研究對象選擇標準
納入標準:① 年齡 18~40 歲;② 無頸項痛或上肢放射痛病史;③ 具有明確外傷史;④ 影像學檢查提示單節段頸椎間盤病變,整個頸椎退變不明顯。排除標準:① 退變引起的頸椎病變;② 有脊椎手術史;③ 合并其他基礎疾病,不能耐受手術。
2016 年 10 月—2018 年 10 月,重慶醫科大學附屬第一醫院骨科收治 36 例因頸椎間盤突出癥手術治療患者,其中 25 例符合選擇標準納入研究。患者術前均常規行 MRI 檢測,根據 Pfirrmann 分級表對 IVDD 程度進行評定[7],均為Ⅱ、Ⅲ級,屬于早期退變。術中切取椎間盤組織后置于無菌冰盒中,迅速轉移至實驗室超凈臺處理,分離呈膠凍狀髓核組織進行實驗。本研究通過重慶醫科大學醫學倫理委員會批準,患者均簽署知情同意書。
1.1.2 分組方法及基線資料
根據患者有無吸煙史,分為吸煙組和非吸煙組。吸煙者定義為主動吸煙者,吸煙數量≥20 支/d,吸煙時間≥5 年,且就診時未戒煙;非吸煙者定義為從未吸煙且無與吸煙者共同居住史者。
納入研究的 25 例患者中,吸煙組 14 例、非吸煙組 11 例。吸煙組:男 9 例,女 5 例;年齡 25~36 歲,平均 34.2 歲。突出節段:C3、4 3 例,C4、5 7 例,C5、6 4 例。Pfirrmann 分級:Ⅱ級 9 例,Ⅲ級 5 例。非吸煙組:男 7 例,女 4 例;年齡 21~28 歲,平均 33.9 歲。突出節段:C3、4 2 例,C4、5 6 例,C5、6 3 例。Pfirrmann 分級:Ⅱ級 7 例,Ⅲ級 4 例。兩組患者年齡、性別、突出節段、Pfirrmann 分級比較,差異均無統計學意義(P>0.05)。
1.2 主要試劑與儀器
TUNEL 染色試劑盒、免疫組織化學染色試劑盒、總蛋白及核蛋白提取試劑盒(杭州碧云天生物技術公司);IL-1β 及 TNF-α ELISA 檢測試劑盒(上海吉泰依科賽生物科技有限公司);活化 Caspase-3(cleaved Caspase-3)及活化 PARP(cleaved PARP)兔抗人多克隆抗體(Abcam 公司,英國);GRP78、CHOP、P65、IL-1β 及 TNF-α 小鼠抗人單克隆抗體(CST 公司,美國);Cy3 山羊抗小鼠熒光二抗(BD 公司,美國)。光學顯微鏡(Nikon 公司,日本);熒光顯微鏡(Leica 公司,德國);透射電鏡(Hitachi 公司,日本);凝膠成像儀(Bio-Rad 公司,美國)。
1.3 髓核組織觀測
1.3.1 TUNEL染色
兩組髓核組織置于 4% 多聚甲醛固定,常規石蠟包埋切片,片厚 5 μm。梯度乙醇脫蠟至水,蒸餾水漂洗 5 min,滴加 20 μg/mL 不含 DNase 的蛋白酶 K 工作液,室溫孵育 15 min;蒸餾水洗滌,3%H2O2 室溫孵育 10 min;蒸餾水洗滌,滴加 50μL TdT 酶反應液,37℃ 孵育 60 min;滴加適量 1×SSC 標記反應終止液,蒸餾水洗滌 3 次、每次 5 min;滴加 100 μL Streptavidin-HRP 工作液,37℃ 孵育 60 min;蒸餾水洗滌 3 次、每次 5 min,滴加 DAB 顯色液,蘇木素復染后光鏡下觀察,陽性細胞呈棕色染色。每個樣本隨機選取 3 個視野,計數 TUNEL 染色陽性的凋亡細胞,并計算細胞凋亡率。
1.3.2 Western blot檢測
兩組髓核組織加入 RIPA 裂解液裂解,參照說明書提取總蛋白。BCA 法測定蛋白濃度,加入上樣緩沖液、100℃ 煮沸 10 min,使蛋白變性。按 40 μg/孔上樣,經 SDS-PAGE 垂直電泳(100 V)分離、轉膜(250 mA)、5% 脫脂牛奶室溫封閉 1.5 h,取一抗 cleaved Caspase-3、cleaved PARP(1∶1 000 稀釋)及 β-actin(1∶5 000 稀釋),4℃ 孵育過夜,TBST 洗膜 3 次;辣根過氧化物酶標記的二抗室溫反應 1.5 h,TBST 洗膜 3 次,以 ECL 化學發光試劑顯影,檢測凋亡相關蛋白 Caspase-3 和 PARP 表達水平,以 β-actin 作為內參。采用 Image J 軟件對條帶進行灰度值分析,用與內參蛋白的比值作為目的蛋白相對表達量。
1.4 髓核細胞觀測
1.4.1 髓核細胞分離培養
采用酶序貫消化法[8]分離培養原代髓核細胞。將兩組髓核組織置于 2.5 g/L 胰蛋白酶,37℃ 消化 30 min,以 800×g 離心 5 min 后棄上清。置于 2 g/L Ⅱ型膠原酶中,37℃ 消化 3 h,組織塊漸呈絮狀并緩慢消失。200 目細胞篩過濾,同上法離心 5 min 后取細胞沉淀。采用含 20% FBS 的 DMEM/F12 培養基吹打后,調整密度為 5×104個/mL,種植于 T25 細胞瓶中,置于 37℃、5% CO2 培養箱中孵育。采用 1.25 g/L 胰蛋白酶傳代培養,取第 3 代細胞行后續細胞學檢測。
1.4.2 ELISA檢測
取兩組髓核細胞,收集細胞上清液,室溫條件下以 2 000×g 離心 10 min,去除細胞沉淀,收集細胞培養基。參照 ELISA 試劑盒操作,測量細胞上清液中 TNF-α 和 IL-1β 含量。
1.4.3 Western blot檢測
取兩組髓核細胞加入 RIPA 裂解液裂解,參照說明書提取核蛋白。參照 1.3.2 方法檢測內質網應激相關蛋白 GRP78 和 CHOP 的相對表達量。
1.4.4 免疫熒光染色觀察
將兩組髓核細胞以 1×105個/孔于 6 孔板常規鋪板,行細胞爬片。第 2 天細胞融合度約 50% 時,棄培養基,PBS 漂洗后加入 4% 多聚甲醛室溫固定 10 min。再次 PBS 漂洗后,5% 山羊血清 37℃ 封閉 30 min;濾紙吸干封閉液后加入 P65 抗體,4℃ 孵育過夜。復溫 30 min,PBS 漂洗,加入 Cy3 熒光二抗,37℃ 孵育 1 h。PBS 漂洗后加入 DAPI 染色細胞核 15 s。熒光顯微鏡下控制反應進程,終止液終止反應后觀察。細胞靜息狀態下 P65 主要表達于細胞質(呈紅色熒光);當細胞受到應激,P65 發生核轉移,鏡下胞核出現紅色熒光。
1.4.5 透射電鏡觀察
采用細胞刮收集兩組髓核細胞,置于 2.5% 戊二醛固定,經梯度乙醇及丙酮脫水、置換、浸潤后,將細胞包埋于環氧樹脂 Epon812。采用超薄切片機切取 40~60 nm 超薄切片,用銅網撈片后采用飽和醋酸鈾和鉛染液進行電子染色,干燥后于透射電鏡下觀察內質網超微結構。
1.5 內質網應激對髓核細胞凋亡及炎性因子表達的影響
取吸煙組髓核細胞,采用內質網應激特異性抑制劑 4-PBA(5 mmol/L)刺激 24 h 后進行以下檢測;以 4-PBA 處理前的髓核細胞作為對照。① Western blot 檢測 GRP78、CHOP、IL-1β、TNF-α、P65 蛋白相對表達量,方法同 1.3.2;② 流式細胞儀檢測:收集細胞,PBS 洗滌 3 次,加入 Annexin Ⅴ 熒光染料,避光、37℃ 孵育 15 min;PBS 洗滌 3 次,加入 PI 熒光染料,室溫下孵育 5 min 后檢測。
1.6 統計學方法
采用 SPSS20.0 統計軟件進行分析。數據以均數±標準差表示,用 Levene 法行方差齊性檢驗,組間比較采用單因素方差分析;檢驗水準 α=0.05。
2 結果
2.1 髓核組織觀測
TUNEL 染色示,吸煙組髓核組織中陽性細胞明顯多于非吸煙組,見圖 1a、b。吸煙組細胞凋亡率為 23.43%±7.28%,明顯高于非吸煙組的 8.67%±1.94%,差異有統計學意義(F=1.875,P=0.003)。

a. 非吸煙組 TUNEL 染色觀察(×100);b. 吸煙組 TUNEL 染色觀察(×100) 箭頭示陽性細胞;c. Western blot 檢測兩組凋亡相關蛋白表達水平 Mr:相對分子質量 1:非吸煙組 2:吸煙組
Figure1. The observation of nucleus pulposus in 2 groupsa. TUNEL staining of non-smoking group (×100); b. TUNEL staining of smoking group (×100) Arrow indicated the positive cells; c. The expressions of apoptosis-related proteins in 2 groups detected by Western blot Mr: Relative molecular mass 1: Non-smoking group 2: Smoking group
Western blot 檢測,吸煙組凋亡相關蛋白 Caspase-3 和 PARP 相對表達量分別為 0.492±0.031、1.341±0.052,較非吸煙組的 0.143±0.033、0.746±0.041 明顯升高,差異有統計學意義(F=4.432,P=0.012;F=9.129,P=0.000)。見圖 1c。
2.2 髓核細胞觀察
2.2.1 ELISA檢測
吸煙組細胞上清液中 IL-1β 和 TNF-α 含量為(10.64±2.71)、(36.54±4.68) pg/mL,明顯高于非吸煙組(6.21±1.83)、(14.69±4.39)pg/mL,差異有統計學意義(F=3.421,P=0.006;F=2.042,P=0.001)。
2.2.2 Western blot檢測
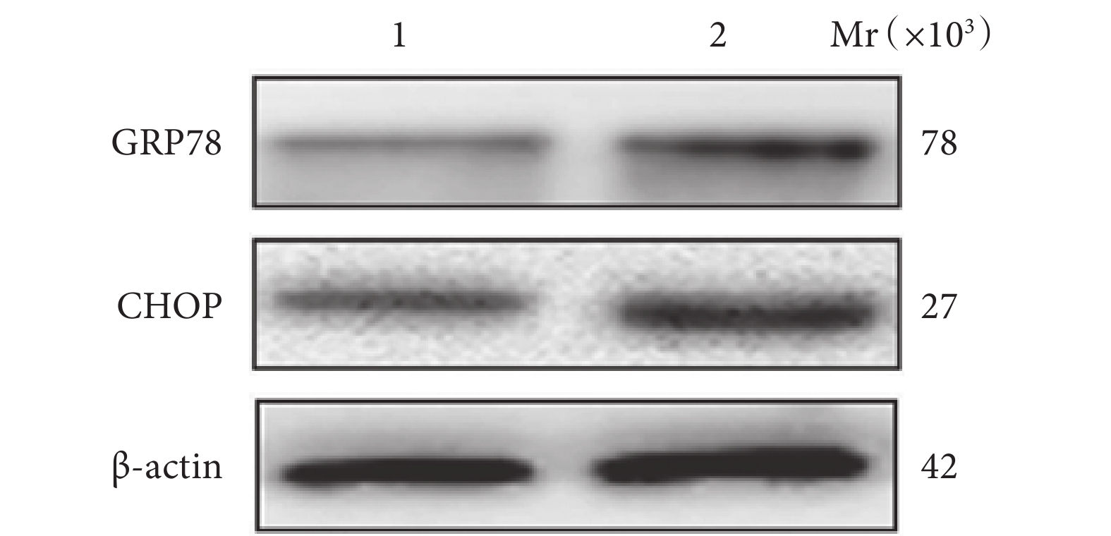
吸煙組細胞內質網應激相關蛋白 GRP78 和 CHOP 相對表達量分別為 0.547±0.035、0.836±0.046,明顯高于非吸煙組的 0.313±0.033、0.386±0.031,差異有統計學意義(F=1.743,P=0.022;F=4.321,P=0.003)。見圖 2。

Mr:相對分子質量 1:非吸煙組 2:吸煙組
Figure2. The expressions of ERS-related proteins in 2 groups detected by Western blotMr: Relative molecular mass 1: Non-smoking group 2: Smoking group
2.2.3 免疫熒光染色觀察
吸煙組細胞 P65 主要表達在細胞核,而非吸煙組 P65 主要高表達于細胞質中。見圖 3。

從左至右依次為 P65、DAPI 以及兩者融合圖 a. 非吸煙組;b. 吸煙組
Figure3. Location expression of P65 under immunofluorescence staining in 2 groups (Fluorescence microscope×200)From left to right for P65, DAPI, and merging images a. Non-smoking group; b. Smoking group
2.2.4 透射電鏡觀察
非吸煙組細胞內質網排列較有序,結構較完整,呈梭形囊狀;吸煙組細胞內質網結構紊亂,擴張呈囊泡狀,膜上的核糖體顆粒脫落,細胞質內分布著大小不一的脂滴,提示內質網處于應激損傷狀態。見圖 4。

N 示細胞核,紅色箭頭示正常線粒體,黃色箭頭示應激損傷內質網 a. 非吸煙組;b. 吸煙組
Figure4. Endoplasmic reticulum ultrastructure of 2 groups observed by transmission electron microscope (×15 k)N indicated the cell nucleus, red arrow indicated the normal mitochondria, yellow arrow indicated the injured ERS a. Non-smoking group; b. Smoking group
2.3 內質網應激對髓核細胞凋亡及炎性因子表達的影響
Western blot 檢測,經 4-PBA 處理的髓核細胞 GRP78、CHOP、IL-1β、TNF-α 及 P65 蛋白相對表達量較處理前明顯下降,差異有統計學意義(P<0.05)。見圖 5、6。流式細胞術檢測,經 4-PBA 處理的髓核細胞凋亡率為 7.513%±1.857%,較處理前(28.477%±3.321%)明顯下降,差異有統計學意義(F=7.547,P=0.000)。見圖 7。

Mr:相對分子質量 1:處理前 2:處理后 a. 內質網應激相關蛋白;b.炎癥相關蛋白
Figure5. The expressions of the inflammatory- and ERS-related proteins detected by Western blot before and after 4-PBA treatmentsMr: Relative molecular mass 1: Before 4-PBA treatment 2: After 4-PBA treatment a. ERS-related proteins; b. Inflammatory-related proteins

a. 內質網應激相關蛋白;b.炎癥相關蛋白
Figure6. The relative expressions of the inflammatory- and ERS-related proteins before and after 4-PBA treatmentsa. ERS-related proteins;b. Inflammatory-related proteins

a. 處理前;b. 處理后
Figure7. Cell apoptosis detected by flow cytometry before and after 4-PBA treatmentsa. Before 4-PBA treatment; b. After 4-PBA treatment
3 討論
吸煙可引起背痛已被眾多文獻所報道,但其發生機制尚未闡明[9]。因 IVDD 本身與眾多因素相關[10],所以本研究只納入了頸椎間盤突出癥患者。這類患者通常較年輕,術前 MRI 示椎間盤均為早期退變,且吸煙組與未吸煙組患者突出節段、年齡、性別均無顯著差異,有利于排除其他影響因素,主要探討吸煙對 IVDD 的影響。本研究參照既往文獻[10]報道確定吸煙者納入標準。有證據表明吸煙所引起的 IVDD 具有時間和濃度依賴性,長期處于被動吸煙環境中會導致其退變加劇[11-13]。為此,本研究未吸煙患者排除了被動吸煙者(既往有與吸煙者共同居住史),以減少分析偏倚。
細胞凋亡可介導椎間盤組織中活性細胞減少,細胞外基質代謝負平衡,改變正常椎間盤的結構與功能,是導致 IVDD 的主要原因[11]。細胞凋亡是一種程序性細胞死亡模式[12],本研究發現吸煙組髓核組織中的凋亡細胞明顯多于非吸煙組,且凋亡相關蛋白 Caspase-3 和 PARP 表達增高,提示吸煙患者椎間盤中細胞凋亡現象更顯著。因此抑制髓核細胞凋亡可能是治療 IVDD 的關鍵。
研究表明,炎性因子與 IVDD 密切相關,退變的椎間盤中炎性因子常高表達。在眾多的炎性因子中,目前對 IL-1β 和 TNF-α 的研究最深入,被認為發揮著至關重要作用[13]。我們前期研究也發現炎性因子是介導退變椎間盤髓核細胞凋亡的重要因素[14]。本次研究中,ELISA 檢測發現吸煙組髓核細胞分泌的 IL-1β 和 TNF-α 表達量明顯高于非吸煙組。而研究已發現,IL-1β 和 TNF-α 一方面可以通過上調基質金屬蛋白酶活性,促進細胞外基質降解[15];另一方面可通過 NF-κB 通路促進髓核細胞凋亡[16]。免疫熒光染色觀察顯示吸煙組 NF-κB 的活性基團 P65 表達定位于細胞核,說明游離的 NF-κB 發生核轉移,發揮轉錄調控作用。控制炎性因子表達、降低細胞凋亡成為治療 IVDD 的一個新思路[17]。但是吸煙對炎癥和細胞凋亡的調控機制目前尚未明確。
內質網是參與細胞內蛋白質折疊、信號轉導、Ca2+緩沖作用及維持物質合成的重要細胞器,對維持細胞穩態發揮重要作用。當內質網蛋白修飾、折疊出現異常時,可導致內質網應激。當發生嚴重且不可逆性內質網應激時,未折疊或錯誤折疊的蛋白質在內質網內大量堆積,可激活內源性凋亡通路[18]。轉錄因子 CHOP 及 GRP78 是內質網應激的重要標志蛋白[19],本研究 Western blot 檢測結果顯示這兩種蛋白在吸煙組髓核細胞中表達增多。同時,透射電鏡觀察也提示吸煙組細胞中內質網處于應激損傷狀態。蔣虹等[20]的研究發現在急性肺損傷大鼠模型的肺組織中,增強巨噬細胞內質網應激,可促進肺部炎性反應,提示內質網應激與炎性反應關系密切。結合該研究結果,我們分析內質網應激可能參與了吸煙所介導的髓核細胞凋亡及炎性反應。為此,本研究對吸煙組髓核細胞進行 4-PBA 處理,特異性抑制內質網應激活化后,發現髓核細胞凋亡明顯下降,同時 IL-1β、TNF-α 及 P65 核蛋白表達也明顯降低,這說明抑制內質網應激可減輕吸煙所介導的髓核細胞凋亡與炎性反應。
綜上述,吸煙可促進髓核細胞炎性因子釋放,增加髓核細胞凋亡,而內質網應激途徑是吸煙介導 IVDD 進展的重要機制。通過抑制內質網應激可減輕吸煙對椎間盤的不良影響,有望成為治療椎間盤退行性疾病的新方向。
腰痛或頸項痛是骨科最常見的患者主訴,因其高發病率、高致殘率以及由此帶來的高額醫療花費,已成為一個嚴重的公共健康問題[1]。目前普遍認為椎間盤退變(intervertebral disc degeneration,IVDD)是導致上述癥狀的主要原因[2]。但 IVDD 發病機制眾多,研究相關風險因素、闡明影響機制、有效延緩 IVDD 進程,具有重要的臨床意義。流行病學調查顯示,中國 18 歲以上人群中 31.6% 為煙民,其中 59.7% 的成年男性和 3.8% 的成年女性具有抽煙習慣[3]。越來越多證據表明,吸煙與多種疾病的發生發展密切相關,對骨骼肌肉系統也會產生不利影響[4]。潘福敏等[5]的研究表明吸煙會加劇腰椎間盤的退變,加重患者腰痛程度;Chen 等[6]也發現吸煙會促進頸椎間盤退變。但目前尚無吸煙促進 IVDD 的作用機制研究報道,為此我們以頸椎間盤突出癥年輕患者為研究對象,從細胞凋亡、炎性因子、內質網應激三方面初步探討吸煙促進 IVDD 的作用機制。
1 材料與方法
1.1 研究對象及分組
1.1.1 研究對象選擇標準
納入標準:① 年齡 18~40 歲;② 無頸項痛或上肢放射痛病史;③ 具有明確外傷史;④ 影像學檢查提示單節段頸椎間盤病變,整個頸椎退變不明顯。排除標準:① 退變引起的頸椎病變;② 有脊椎手術史;③ 合并其他基礎疾病,不能耐受手術。
2016 年 10 月—2018 年 10 月,重慶醫科大學附屬第一醫院骨科收治 36 例因頸椎間盤突出癥手術治療患者,其中 25 例符合選擇標準納入研究。患者術前均常規行 MRI 檢測,根據 Pfirrmann 分級表對 IVDD 程度進行評定[7],均為Ⅱ、Ⅲ級,屬于早期退變。術中切取椎間盤組織后置于無菌冰盒中,迅速轉移至實驗室超凈臺處理,分離呈膠凍狀髓核組織進行實驗。本研究通過重慶醫科大學醫學倫理委員會批準,患者均簽署知情同意書。
1.1.2 分組方法及基線資料
根據患者有無吸煙史,分為吸煙組和非吸煙組。吸煙者定義為主動吸煙者,吸煙數量≥20 支/d,吸煙時間≥5 年,且就診時未戒煙;非吸煙者定義為從未吸煙且無與吸煙者共同居住史者。
納入研究的 25 例患者中,吸煙組 14 例、非吸煙組 11 例。吸煙組:男 9 例,女 5 例;年齡 25~36 歲,平均 34.2 歲。突出節段:C3、4 3 例,C4、5 7 例,C5、6 4 例。Pfirrmann 分級:Ⅱ級 9 例,Ⅲ級 5 例。非吸煙組:男 7 例,女 4 例;年齡 21~28 歲,平均 33.9 歲。突出節段:C3、4 2 例,C4、5 6 例,C5、6 3 例。Pfirrmann 分級:Ⅱ級 7 例,Ⅲ級 4 例。兩組患者年齡、性別、突出節段、Pfirrmann 分級比較,差異均無統計學意義(P>0.05)。
1.2 主要試劑與儀器
TUNEL 染色試劑盒、免疫組織化學染色試劑盒、總蛋白及核蛋白提取試劑盒(杭州碧云天生物技術公司);IL-1β 及 TNF-α ELISA 檢測試劑盒(上海吉泰依科賽生物科技有限公司);活化 Caspase-3(cleaved Caspase-3)及活化 PARP(cleaved PARP)兔抗人多克隆抗體(Abcam 公司,英國);GRP78、CHOP、P65、IL-1β 及 TNF-α 小鼠抗人單克隆抗體(CST 公司,美國);Cy3 山羊抗小鼠熒光二抗(BD 公司,美國)。光學顯微鏡(Nikon 公司,日本);熒光顯微鏡(Leica 公司,德國);透射電鏡(Hitachi 公司,日本);凝膠成像儀(Bio-Rad 公司,美國)。
1.3 髓核組織觀測
1.3.1 TUNEL染色
兩組髓核組織置于 4% 多聚甲醛固定,常規石蠟包埋切片,片厚 5 μm。梯度乙醇脫蠟至水,蒸餾水漂洗 5 min,滴加 20 μg/mL 不含 DNase 的蛋白酶 K 工作液,室溫孵育 15 min;蒸餾水洗滌,3%H2O2 室溫孵育 10 min;蒸餾水洗滌,滴加 50μL TdT 酶反應液,37℃ 孵育 60 min;滴加適量 1×SSC 標記反應終止液,蒸餾水洗滌 3 次、每次 5 min;滴加 100 μL Streptavidin-HRP 工作液,37℃ 孵育 60 min;蒸餾水洗滌 3 次、每次 5 min,滴加 DAB 顯色液,蘇木素復染后光鏡下觀察,陽性細胞呈棕色染色。每個樣本隨機選取 3 個視野,計數 TUNEL 染色陽性的凋亡細胞,并計算細胞凋亡率。
1.3.2 Western blot檢測
兩組髓核組織加入 RIPA 裂解液裂解,參照說明書提取總蛋白。BCA 法測定蛋白濃度,加入上樣緩沖液、100℃ 煮沸 10 min,使蛋白變性。按 40 μg/孔上樣,經 SDS-PAGE 垂直電泳(100 V)分離、轉膜(250 mA)、5% 脫脂牛奶室溫封閉 1.5 h,取一抗 cleaved Caspase-3、cleaved PARP(1∶1 000 稀釋)及 β-actin(1∶5 000 稀釋),4℃ 孵育過夜,TBST 洗膜 3 次;辣根過氧化物酶標記的二抗室溫反應 1.5 h,TBST 洗膜 3 次,以 ECL 化學發光試劑顯影,檢測凋亡相關蛋白 Caspase-3 和 PARP 表達水平,以 β-actin 作為內參。采用 Image J 軟件對條帶進行灰度值分析,用與內參蛋白的比值作為目的蛋白相對表達量。
1.4 髓核細胞觀測
1.4.1 髓核細胞分離培養
采用酶序貫消化法[8]分離培養原代髓核細胞。將兩組髓核組織置于 2.5 g/L 胰蛋白酶,37℃ 消化 30 min,以 800×g 離心 5 min 后棄上清。置于 2 g/L Ⅱ型膠原酶中,37℃ 消化 3 h,組織塊漸呈絮狀并緩慢消失。200 目細胞篩過濾,同上法離心 5 min 后取細胞沉淀。采用含 20% FBS 的 DMEM/F12 培養基吹打后,調整密度為 5×104個/mL,種植于 T25 細胞瓶中,置于 37℃、5% CO2 培養箱中孵育。采用 1.25 g/L 胰蛋白酶傳代培養,取第 3 代細胞行后續細胞學檢測。
1.4.2 ELISA檢測
取兩組髓核細胞,收集細胞上清液,室溫條件下以 2 000×g 離心 10 min,去除細胞沉淀,收集細胞培養基。參照 ELISA 試劑盒操作,測量細胞上清液中 TNF-α 和 IL-1β 含量。
1.4.3 Western blot檢測
取兩組髓核細胞加入 RIPA 裂解液裂解,參照說明書提取核蛋白。參照 1.3.2 方法檢測內質網應激相關蛋白 GRP78 和 CHOP 的相對表達量。
1.4.4 免疫熒光染色觀察
將兩組髓核細胞以 1×105個/孔于 6 孔板常規鋪板,行細胞爬片。第 2 天細胞融合度約 50% 時,棄培養基,PBS 漂洗后加入 4% 多聚甲醛室溫固定 10 min。再次 PBS 漂洗后,5% 山羊血清 37℃ 封閉 30 min;濾紙吸干封閉液后加入 P65 抗體,4℃ 孵育過夜。復溫 30 min,PBS 漂洗,加入 Cy3 熒光二抗,37℃ 孵育 1 h。PBS 漂洗后加入 DAPI 染色細胞核 15 s。熒光顯微鏡下控制反應進程,終止液終止反應后觀察。細胞靜息狀態下 P65 主要表達于細胞質(呈紅色熒光);當細胞受到應激,P65 發生核轉移,鏡下胞核出現紅色熒光。
1.4.5 透射電鏡觀察
采用細胞刮收集兩組髓核細胞,置于 2.5% 戊二醛固定,經梯度乙醇及丙酮脫水、置換、浸潤后,將細胞包埋于環氧樹脂 Epon812。采用超薄切片機切取 40~60 nm 超薄切片,用銅網撈片后采用飽和醋酸鈾和鉛染液進行電子染色,干燥后于透射電鏡下觀察內質網超微結構。
1.5 內質網應激對髓核細胞凋亡及炎性因子表達的影響
取吸煙組髓核細胞,采用內質網應激特異性抑制劑 4-PBA(5 mmol/L)刺激 24 h 后進行以下檢測;以 4-PBA 處理前的髓核細胞作為對照。① Western blot 檢測 GRP78、CHOP、IL-1β、TNF-α、P65 蛋白相對表達量,方法同 1.3.2;② 流式細胞儀檢測:收集細胞,PBS 洗滌 3 次,加入 Annexin Ⅴ 熒光染料,避光、37℃ 孵育 15 min;PBS 洗滌 3 次,加入 PI 熒光染料,室溫下孵育 5 min 后檢測。
1.6 統計學方法
采用 SPSS20.0 統計軟件進行分析。數據以均數±標準差表示,用 Levene 法行方差齊性檢驗,組間比較采用單因素方差分析;檢驗水準 α=0.05。
2 結果
2.1 髓核組織觀測
TUNEL 染色示,吸煙組髓核組織中陽性細胞明顯多于非吸煙組,見圖 1a、b。吸煙組細胞凋亡率為 23.43%±7.28%,明顯高于非吸煙組的 8.67%±1.94%,差異有統計學意義(F=1.875,P=0.003)。

a. 非吸煙組 TUNEL 染色觀察(×100);b. 吸煙組 TUNEL 染色觀察(×100) 箭頭示陽性細胞;c. Western blot 檢測兩組凋亡相關蛋白表達水平 Mr:相對分子質量 1:非吸煙組 2:吸煙組
Figure1. The observation of nucleus pulposus in 2 groupsa. TUNEL staining of non-smoking group (×100); b. TUNEL staining of smoking group (×100) Arrow indicated the positive cells; c. The expressions of apoptosis-related proteins in 2 groups detected by Western blot Mr: Relative molecular mass 1: Non-smoking group 2: Smoking group
Western blot 檢測,吸煙組凋亡相關蛋白 Caspase-3 和 PARP 相對表達量分別為 0.492±0.031、1.341±0.052,較非吸煙組的 0.143±0.033、0.746±0.041 明顯升高,差異有統計學意義(F=4.432,P=0.012;F=9.129,P=0.000)。見圖 1c。
2.2 髓核細胞觀察
2.2.1 ELISA檢測
吸煙組細胞上清液中 IL-1β 和 TNF-α 含量為(10.64±2.71)、(36.54±4.68) pg/mL,明顯高于非吸煙組(6.21±1.83)、(14.69±4.39)pg/mL,差異有統計學意義(F=3.421,P=0.006;F=2.042,P=0.001)。
2.2.2 Western blot檢測
吸煙組細胞內質網應激相關蛋白 GRP78 和 CHOP 相對表達量分別為 0.547±0.035、0.836±0.046,明顯高于非吸煙組的 0.313±0.033、0.386±0.031,差異有統計學意義(F=1.743,P=0.022;F=4.321,P=0.003)。見圖 2。

Mr:相對分子質量 1:非吸煙組 2:吸煙組
Figure2. The expressions of ERS-related proteins in 2 groups detected by Western blotMr: Relative molecular mass 1: Non-smoking group 2: Smoking group
2.2.3 免疫熒光染色觀察
吸煙組細胞 P65 主要表達在細胞核,而非吸煙組 P65 主要高表達于細胞質中。見圖 3。

從左至右依次為 P65、DAPI 以及兩者融合圖 a. 非吸煙組;b. 吸煙組
Figure3. Location expression of P65 under immunofluorescence staining in 2 groups (Fluorescence microscope×200)From left to right for P65, DAPI, and merging images a. Non-smoking group; b. Smoking group
2.2.4 透射電鏡觀察
非吸煙組細胞內質網排列較有序,結構較完整,呈梭形囊狀;吸煙組細胞內質網結構紊亂,擴張呈囊泡狀,膜上的核糖體顆粒脫落,細胞質內分布著大小不一的脂滴,提示內質網處于應激損傷狀態。見圖 4。

N 示細胞核,紅色箭頭示正常線粒體,黃色箭頭示應激損傷內質網 a. 非吸煙組;b. 吸煙組
Figure4. Endoplasmic reticulum ultrastructure of 2 groups observed by transmission electron microscope (×15 k)N indicated the cell nucleus, red arrow indicated the normal mitochondria, yellow arrow indicated the injured ERS a. Non-smoking group; b. Smoking group
2.3 內質網應激對髓核細胞凋亡及炎性因子表達的影響
Western blot 檢測,經 4-PBA 處理的髓核細胞 GRP78、CHOP、IL-1β、TNF-α 及 P65 蛋白相對表達量較處理前明顯下降,差異有統計學意義(P<0.05)。見圖 5、6。流式細胞術檢測,經 4-PBA 處理的髓核細胞凋亡率為 7.513%±1.857%,較處理前(28.477%±3.321%)明顯下降,差異有統計學意義(F=7.547,P=0.000)。見圖 7。

Mr:相對分子質量 1:處理前 2:處理后 a. 內質網應激相關蛋白;b.炎癥相關蛋白
Figure5. The expressions of the inflammatory- and ERS-related proteins detected by Western blot before and after 4-PBA treatmentsMr: Relative molecular mass 1: Before 4-PBA treatment 2: After 4-PBA treatment a. ERS-related proteins; b. Inflammatory-related proteins

a. 內質網應激相關蛋白;b.炎癥相關蛋白
Figure6. The relative expressions of the inflammatory- and ERS-related proteins before and after 4-PBA treatmentsa. ERS-related proteins;b. Inflammatory-related proteins

a. 處理前;b. 處理后
Figure7. Cell apoptosis detected by flow cytometry before and after 4-PBA treatmentsa. Before 4-PBA treatment; b. After 4-PBA treatment
3 討論
吸煙可引起背痛已被眾多文獻所報道,但其發生機制尚未闡明[9]。因 IVDD 本身與眾多因素相關[10],所以本研究只納入了頸椎間盤突出癥患者。這類患者通常較年輕,術前 MRI 示椎間盤均為早期退變,且吸煙組與未吸煙組患者突出節段、年齡、性別均無顯著差異,有利于排除其他影響因素,主要探討吸煙對 IVDD 的影響。本研究參照既往文獻[10]報道確定吸煙者納入標準。有證據表明吸煙所引起的 IVDD 具有時間和濃度依賴性,長期處于被動吸煙環境中會導致其退變加劇[11-13]。為此,本研究未吸煙患者排除了被動吸煙者(既往有與吸煙者共同居住史),以減少分析偏倚。
細胞凋亡可介導椎間盤組織中活性細胞減少,細胞外基質代謝負平衡,改變正常椎間盤的結構與功能,是導致 IVDD 的主要原因[11]。細胞凋亡是一種程序性細胞死亡模式[12],本研究發現吸煙組髓核組織中的凋亡細胞明顯多于非吸煙組,且凋亡相關蛋白 Caspase-3 和 PARP 表達增高,提示吸煙患者椎間盤中細胞凋亡現象更顯著。因此抑制髓核細胞凋亡可能是治療 IVDD 的關鍵。
研究表明,炎性因子與 IVDD 密切相關,退變的椎間盤中炎性因子常高表達。在眾多的炎性因子中,目前對 IL-1β 和 TNF-α 的研究最深入,被認為發揮著至關重要作用[13]。我們前期研究也發現炎性因子是介導退變椎間盤髓核細胞凋亡的重要因素[14]。本次研究中,ELISA 檢測發現吸煙組髓核細胞分泌的 IL-1β 和 TNF-α 表達量明顯高于非吸煙組。而研究已發現,IL-1β 和 TNF-α 一方面可以通過上調基質金屬蛋白酶活性,促進細胞外基質降解[15];另一方面可通過 NF-κB 通路促進髓核細胞凋亡[16]。免疫熒光染色觀察顯示吸煙組 NF-κB 的活性基團 P65 表達定位于細胞核,說明游離的 NF-κB 發生核轉移,發揮轉錄調控作用。控制炎性因子表達、降低細胞凋亡成為治療 IVDD 的一個新思路[17]。但是吸煙對炎癥和細胞凋亡的調控機制目前尚未明確。
內質網是參與細胞內蛋白質折疊、信號轉導、Ca2+緩沖作用及維持物質合成的重要細胞器,對維持細胞穩態發揮重要作用。當內質網蛋白修飾、折疊出現異常時,可導致內質網應激。當發生嚴重且不可逆性內質網應激時,未折疊或錯誤折疊的蛋白質在內質網內大量堆積,可激活內源性凋亡通路[18]。轉錄因子 CHOP 及 GRP78 是內質網應激的重要標志蛋白[19],本研究 Western blot 檢測結果顯示這兩種蛋白在吸煙組髓核細胞中表達增多。同時,透射電鏡觀察也提示吸煙組細胞中內質網處于應激損傷狀態。蔣虹等[20]的研究發現在急性肺損傷大鼠模型的肺組織中,增強巨噬細胞內質網應激,可促進肺部炎性反應,提示內質網應激與炎性反應關系密切。結合該研究結果,我們分析內質網應激可能參與了吸煙所介導的髓核細胞凋亡及炎性反應。為此,本研究對吸煙組髓核細胞進行 4-PBA 處理,特異性抑制內質網應激活化后,發現髓核細胞凋亡明顯下降,同時 IL-1β、TNF-α 及 P65 核蛋白表達也明顯降低,這說明抑制內質網應激可減輕吸煙所介導的髓核細胞凋亡與炎性反應。
綜上述,吸煙可促進髓核細胞炎性因子釋放,增加髓核細胞凋亡,而內質網應激途徑是吸煙介導 IVDD 進展的重要機制。通過抑制內質網應激可減輕吸煙對椎間盤的不良影響,有望成為治療椎間盤退行性疾病的新方向。