引用本文: 吳仕舟, 秦博泉, 解慧琪, 黃富國, 張暉. 切開復位內固定治療新鮮與陳舊隱性 Lisfranc 損傷的比較研究. 中國修復重建外科雜志, 2019, 33(8): 965-969. doi: 10.7507/1002-1892.201901004 復制
Lisfranc 損傷是一類特殊的前足損傷疾病,據統計發達國家年發病率為 1/55 000[1]。該損傷主要表現為前足跖跗關節脫位,尤其是第 1、2 跖跗關節[2]。低能量扭轉暴力(如運動時足扭傷)造成的 Lisfranc 損傷占總患者的 1/3[3],但此類患者損傷后癥狀體征不明顯,又稱為隱性 Lisfranc 損傷,容易漏診。據統計,約 1/5 隱性 Lisfranc 損傷由于漏診而發展成為陳舊性損傷[4]。目前,切開復位內固定(open reduction and internal fixation,ORIF)是治療隱性 Lisfranc 損傷最有效術式[5]。研究表明,隱性 Lisfranc 損傷后 6 周內 ORIF 治療可獲得滿意療效[5-6],超過 6 周臨床效果存在爭議[6]。為進一步探討 ORIF 治療新鮮與陳舊隱性 Lisfranc 損傷的效果,為臨床提供參考,我們對 2010 年 7 月—2015 年 7 月收治的隱性 Lisfranc 損傷患者進行了回顧性對比研究。報告如下。
1 臨床資料
1.1 患者選擇標準
納入標準:① 低能量損傷導致的隱性 Lisfranc 損傷,診斷標準:足負重前后位 X 線片提示內側足楔骨遠端外側緣至第 2 跖骨基底近端內側距離>2 mm、非負重位 X 線片無上述陽性表現[7];② 關節疼痛明顯影響患者生活,且經保守治療無效,采用 ORIF 治療;③ 未合并足部其他合并癥。排除標準:① 合并基礎疾病不能承受手術;② 合并嚴重下肢畸形;③ 手術區域皮膚軟組織條件差。2010 年 7 月—2015 年 7 月,共 26 例患者符合選擇標準納入研究。其中 14 例于傷后 6 周內手術(新鮮組),12 例于 6 周后手術(陳舊組)。
1.2 一般資料
新鮮組:男 7 例,女 7 例;年齡 22~49 歲,平均 32.7 歲。致傷原因:摔傷 10 例,扭傷 4 例。左側2 例,右側 12 例。受傷至手術時間 5~30 d,平均 12 d。
陳舊組:男 5 例,女 7 例;年齡 18~55 歲,平均 32.7 歲。致傷原因:摔傷 6 例,扭傷 6 例。左側 3 例,右側 9 例。受傷至手術時間 2~12 個月,平均 5.3 個月。
兩組患者性別、年齡、損傷側別以及術前疼痛視覺模擬評分(VAS)、美國矯形足踝協會(AOFAS)評分、簡明生活質量量表(SF-12 量表)心理及生理評分比較,差異均無統計學意義(P>0.05);受傷至手術時間差異有統計學意義(P<0.05)。
1.3 手術方法
兩組手術均由同一組醫師完成,手術操作一致。全麻下,患者取仰臥位。足背作一縱切口跨過第 1、2 跖跗關節,暴露 Lisfranc 關節,取點式復位鉗,其一端固定于第 2 跖骨基底部,一端固定于內側楔骨內側面,直視下擠壓復位。與術前健側足相同體位 X 線片進行比較,透視下明確復位滿意后,克氏針臨時固定。克氏針引導下,在內側楔骨與第 2 跖骨基底部擰入 1 枚經 Lisfranc 關節螺釘固定。固定后若存在楔骨間不穩(新鮮組 5 例、陳舊組 4 例),繼續擰入 1 枚螺釘固定內側與中間楔骨。
1.4 術后處理及療效評價指標
術后兩組處理一致。術后 6 周內患足避免負重,踝關節中立位石膏固定 2 周。6 周時復查 X 線片,如 Lisfranc 關節位置良好,可開始部分負重行走(5 kg 開始負重,視情況逐漸增加負重質量),并在康復師指導下進行康復鍛煉。3 個月后根據患者骨折愈合情況,確定完全負重行走時間。6 個月后若疼痛癥狀均消失,X 線片復查評估 Lisfranc 關節內固定物在位且關節對位良好,可考慮手術取出內固定物。
隨訪期間攝 X 線片,觀察 Lisfranc 關節復位、內固定物在位情況以及有無創傷后關節炎等并發癥發生。采用 VAS 評分[7]評價關節疼痛程度,AOFAS 評分[8]評價中足功能,SF-12 量表評分觀察患者生活質量變化(包括心理與生理兩個部分),患者自評手術療效滿意度。
1.5 統計學方法
采用 Excel 進行統計學分析。數據以均數±標準差表示,組間比較采用獨立樣本 t 檢驗,組內手術前后比較采用配對 t 檢驗;檢驗水準 α=0.05。
2 結果
術后兩組切口均Ⅰ期愈合,無切口愈合不良、軟組織缺血壞死、深部和淺表感染等并發癥發生。兩組患者均獲隨訪,其中新鮮組隨訪時間 12~24 個月,平均 15 個月;陳舊組隨訪時間 12~23 個月,平均 15 個月。末次隨訪時,兩組 VAS 評分、AOFAS 評分、SF-12 量表生理及心理評分均優于術前,差異均有統計學意義(P<0.05);組間比較差異均無統計學意義(P>0.05)。見表1。新鮮組患者手術療效滿意率為 100%;陳舊組為 83.3%(10/12),2 例對療效不滿意患者為術后長期存在足部不適感,經二次手術取出內固定物后緩解。所有患者恢復工作時間為 6~10 個月,平均 8.8 個月。



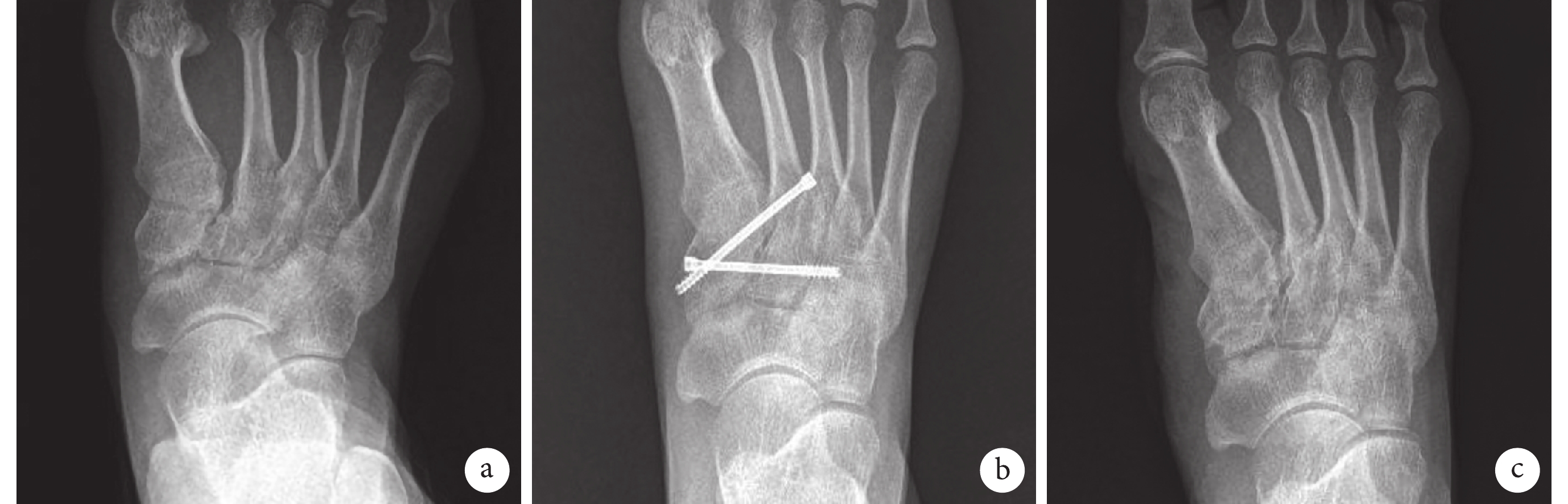
X 線片復查示,隨訪期間未見關節間隙變窄、軟骨下骨囊腫形成或軟骨下骨硬化等關節炎表現以及中足塌陷,無內固定失效及復位丟失發生。見圖1、2。術后 9~24 個月 20 例患者(新鮮組 11 例、陳舊組 9 例)二次手術取出內固定物,平均取出時間為 14.5 個月。

a. 術前;b. 術后 3 個月;c. 術后 1 年
Figure1. X-ray films of a 25-year-old female patient with left occult Lisfranc injury in acute groupa. Before operation; b. At 3 months after operation; c. At 1 year after operation

a. 術前;b. 術后 3 個月;c. 術后 1 年
Figure2. X-ray films of a 52-year-old female patient with right occult Lisfranc injury in delayed groupa. Before operation; b. At 3 months after operation; c. At 1 year after operation
3 討論
據統計,低能量 Lisfranc 損傷由于癥狀體征不典型,漏診率達 20%~50%[9]。本研究中陳舊組 12 例患者均為首診漏診。研究發現約 50% 隱性 Lisfranc 損傷患者非負重位 X 線片未見明顯異常,負重位 X 線片檢出率明顯提高[10]。急性期患者因為疼痛攝負重位 X 線片難度較大,因此醫生應根據受傷機制綜合考慮。如考慮為隱性 Lisfranc 損傷時,應建議患者 1 周后隨訪,補照負重位 X 線片[11]。本研究患者均經負重位 X 線片明確診斷。
解剖學對位以及可靠固定是治療 Lisfranc 損傷最重要兩個因素[12]。研究發現,良好的解剖學復位可使患者獲得更好的下肢機械步態[13]。Marín-Pe?a 等[14]通過對 32 例 Lisfranc 損傷患者長達 14 年的隨訪,發現相比閉合復位內固定及閉合復位石膏固定,ORIF 治療 Lisfranc 損傷復位優良率為 100%,且復位優良率與疼痛癥狀緩解率成正相關。
對于 ORIF 術中是否進行一期 Lisfranc 關節融合尚存在爭議[15]。有學者認為,對于年輕、活動量大或者競技運動員患者應避免行一期關節融合,避免限制中足活動度[7]。但對于影像學檢查結果提示存在 Lisfranc 關節骨關節炎的陳舊損傷,可考慮一期行關節融合[16-17]。本研究中所有患者術前 X 線片均無骨關節炎表現,未行一期融合。兩組患者術后癥狀及功能均較術前明顯改善,而且組間比較差異無統計學意義。因此,對于術前無明顯骨關節炎表現的陳舊損傷患者,我們建議盡量保留 Lisfranc 關節。
有學者認為 ORIF 需要較大范圍的軟組織剝離,手術并發癥發生風險較高,因此推薦使用閉合復位經皮螺釘固定[18]。但臨床研究表明,經皮螺釘固定解剖復位效果不及 ORIF[19]。Myerson 等[20]認為若漏診時間超過 6 周建議行 ORIF,術中需要對 Lisfranc 關節進行探測,以解除阻礙關節解剖復位的增生瘢痕組織。本研究兩組患者經 ORIF 治療均獲得滿意解剖復位,術后患者關節功能恢復滿意。
Calder 等[21]認為陳舊 Lisfranc 損傷患者術后易出現平足畸形、疼痛不適、關節僵硬以及關節退變等并發癥。本研究中,除陳舊組 2 例患者術后長期存在足部不適感,其余患者均對手術療效滿意。上述 2 例患者二次手術取出內固定物后不適癥狀緩解,因此考慮不適癥狀與內固定物激惹有關。值得注意的是,二次手術取出內固定物也存在手術風險[13]。本研究中20 例患者接受二次手術取出內固定物,術后未見明顯并發癥。
綜上述,ORIF 治療新鮮及陳舊隱性 Lisfranc 損傷均能獲得解剖復位,達到良好療效。由于本研究為回顧性分析,納入樣本量較少,隨訪時間較短,這一結論有待擴大樣本量、延長隨訪時間觀察明確。
作者貢獻:吳仕舟負責研究實施、數據收集整理及統計分析以及文章撰寫,秦博泉負責研究實施以及數據收集整理、統計分析,解慧琪、黃富國、張暉參與研究設計。
利益沖突:所有作者聲明,在課題研究和文章撰寫過程中不存在利益沖突。
Lisfranc 損傷是一類特殊的前足損傷疾病,據統計發達國家年發病率為 1/55 000[1]。該損傷主要表現為前足跖跗關節脫位,尤其是第 1、2 跖跗關節[2]。低能量扭轉暴力(如運動時足扭傷)造成的 Lisfranc 損傷占總患者的 1/3[3],但此類患者損傷后癥狀體征不明顯,又稱為隱性 Lisfranc 損傷,容易漏診。據統計,約 1/5 隱性 Lisfranc 損傷由于漏診而發展成為陳舊性損傷[4]。目前,切開復位內固定(open reduction and internal fixation,ORIF)是治療隱性 Lisfranc 損傷最有效術式[5]。研究表明,隱性 Lisfranc 損傷后 6 周內 ORIF 治療可獲得滿意療效[5-6],超過 6 周臨床效果存在爭議[6]。為進一步探討 ORIF 治療新鮮與陳舊隱性 Lisfranc 損傷的效果,為臨床提供參考,我們對 2010 年 7 月—2015 年 7 月收治的隱性 Lisfranc 損傷患者進行了回顧性對比研究。報告如下。
1 臨床資料
1.1 患者選擇標準
納入標準:① 低能量損傷導致的隱性 Lisfranc 損傷,診斷標準:足負重前后位 X 線片提示內側足楔骨遠端外側緣至第 2 跖骨基底近端內側距離>2 mm、非負重位 X 線片無上述陽性表現[7];② 關節疼痛明顯影響患者生活,且經保守治療無效,采用 ORIF 治療;③ 未合并足部其他合并癥。排除標準:① 合并基礎疾病不能承受手術;② 合并嚴重下肢畸形;③ 手術區域皮膚軟組織條件差。2010 年 7 月—2015 年 7 月,共 26 例患者符合選擇標準納入研究。其中 14 例于傷后 6 周內手術(新鮮組),12 例于 6 周后手術(陳舊組)。
1.2 一般資料
新鮮組:男 7 例,女 7 例;年齡 22~49 歲,平均 32.7 歲。致傷原因:摔傷 10 例,扭傷 4 例。左側2 例,右側 12 例。受傷至手術時間 5~30 d,平均 12 d。
陳舊組:男 5 例,女 7 例;年齡 18~55 歲,平均 32.7 歲。致傷原因:摔傷 6 例,扭傷 6 例。左側 3 例,右側 9 例。受傷至手術時間 2~12 個月,平均 5.3 個月。
兩組患者性別、年齡、損傷側別以及術前疼痛視覺模擬評分(VAS)、美國矯形足踝協會(AOFAS)評分、簡明生活質量量表(SF-12 量表)心理及生理評分比較,差異均無統計學意義(P>0.05);受傷至手術時間差異有統計學意義(P<0.05)。
1.3 手術方法
兩組手術均由同一組醫師完成,手術操作一致。全麻下,患者取仰臥位。足背作一縱切口跨過第 1、2 跖跗關節,暴露 Lisfranc 關節,取點式復位鉗,其一端固定于第 2 跖骨基底部,一端固定于內側楔骨內側面,直視下擠壓復位。與術前健側足相同體位 X 線片進行比較,透視下明確復位滿意后,克氏針臨時固定。克氏針引導下,在內側楔骨與第 2 跖骨基底部擰入 1 枚經 Lisfranc 關節螺釘固定。固定后若存在楔骨間不穩(新鮮組 5 例、陳舊組 4 例),繼續擰入 1 枚螺釘固定內側與中間楔骨。
1.4 術后處理及療效評價指標
術后兩組處理一致。術后 6 周內患足避免負重,踝關節中立位石膏固定 2 周。6 周時復查 X 線片,如 Lisfranc 關節位置良好,可開始部分負重行走(5 kg 開始負重,視情況逐漸增加負重質量),并在康復師指導下進行康復鍛煉。3 個月后根據患者骨折愈合情況,確定完全負重行走時間。6 個月后若疼痛癥狀均消失,X 線片復查評估 Lisfranc 關節內固定物在位且關節對位良好,可考慮手術取出內固定物。
隨訪期間攝 X 線片,觀察 Lisfranc 關節復位、內固定物在位情況以及有無創傷后關節炎等并發癥發生。采用 VAS 評分[7]評價關節疼痛程度,AOFAS 評分[8]評價中足功能,SF-12 量表評分觀察患者生活質量變化(包括心理與生理兩個部分),患者自評手術療效滿意度。
1.5 統計學方法
采用 Excel 進行統計學分析。數據以均數±標準差表示,組間比較采用獨立樣本 t 檢驗,組內手術前后比較采用配對 t 檢驗;檢驗水準 α=0.05。
2 結果
術后兩組切口均Ⅰ期愈合,無切口愈合不良、軟組織缺血壞死、深部和淺表感染等并發癥發生。兩組患者均獲隨訪,其中新鮮組隨訪時間 12~24 個月,平均 15 個月;陳舊組隨訪時間 12~23 個月,平均 15 個月。末次隨訪時,兩組 VAS 評分、AOFAS 評分、SF-12 量表生理及心理評分均優于術前,差異均有統計學意義(P<0.05);組間比較差異均無統計學意義(P>0.05)。見表1。新鮮組患者手術療效滿意率為 100%;陳舊組為 83.3%(10/12),2 例對療效不滿意患者為術后長期存在足部不適感,經二次手術取出內固定物后緩解。所有患者恢復工作時間為 6~10 個月,平均 8.8 個月。



X 線片復查示,隨訪期間未見關節間隙變窄、軟骨下骨囊腫形成或軟骨下骨硬化等關節炎表現以及中足塌陷,無內固定失效及復位丟失發生。見圖1、2。術后 9~24 個月 20 例患者(新鮮組 11 例、陳舊組 9 例)二次手術取出內固定物,平均取出時間為 14.5 個月。

a. 術前;b. 術后 3 個月;c. 術后 1 年
Figure1. X-ray films of a 25-year-old female patient with left occult Lisfranc injury in acute groupa. Before operation; b. At 3 months after operation; c. At 1 year after operation

a. 術前;b. 術后 3 個月;c. 術后 1 年
Figure2. X-ray films of a 52-year-old female patient with right occult Lisfranc injury in delayed groupa. Before operation; b. At 3 months after operation; c. At 1 year after operation
3 討論
據統計,低能量 Lisfranc 損傷由于癥狀體征不典型,漏診率達 20%~50%[9]。本研究中陳舊組 12 例患者均為首診漏診。研究發現約 50% 隱性 Lisfranc 損傷患者非負重位 X 線片未見明顯異常,負重位 X 線片檢出率明顯提高[10]。急性期患者因為疼痛攝負重位 X 線片難度較大,因此醫生應根據受傷機制綜合考慮。如考慮為隱性 Lisfranc 損傷時,應建議患者 1 周后隨訪,補照負重位 X 線片[11]。本研究患者均經負重位 X 線片明確診斷。
解剖學對位以及可靠固定是治療 Lisfranc 損傷最重要兩個因素[12]。研究發現,良好的解剖學復位可使患者獲得更好的下肢機械步態[13]。Marín-Pe?a 等[14]通過對 32 例 Lisfranc 損傷患者長達 14 年的隨訪,發現相比閉合復位內固定及閉合復位石膏固定,ORIF 治療 Lisfranc 損傷復位優良率為 100%,且復位優良率與疼痛癥狀緩解率成正相關。
對于 ORIF 術中是否進行一期 Lisfranc 關節融合尚存在爭議[15]。有學者認為,對于年輕、活動量大或者競技運動員患者應避免行一期關節融合,避免限制中足活動度[7]。但對于影像學檢查結果提示存在 Lisfranc 關節骨關節炎的陳舊損傷,可考慮一期行關節融合[16-17]。本研究中所有患者術前 X 線片均無骨關節炎表現,未行一期融合。兩組患者術后癥狀及功能均較術前明顯改善,而且組間比較差異無統計學意義。因此,對于術前無明顯骨關節炎表現的陳舊損傷患者,我們建議盡量保留 Lisfranc 關節。
有學者認為 ORIF 需要較大范圍的軟組織剝離,手術并發癥發生風險較高,因此推薦使用閉合復位經皮螺釘固定[18]。但臨床研究表明,經皮螺釘固定解剖復位效果不及 ORIF[19]。Myerson 等[20]認為若漏診時間超過 6 周建議行 ORIF,術中需要對 Lisfranc 關節進行探測,以解除阻礙關節解剖復位的增生瘢痕組織。本研究兩組患者經 ORIF 治療均獲得滿意解剖復位,術后患者關節功能恢復滿意。
Calder 等[21]認為陳舊 Lisfranc 損傷患者術后易出現平足畸形、疼痛不適、關節僵硬以及關節退變等并發癥。本研究中,除陳舊組 2 例患者術后長期存在足部不適感,其余患者均對手術療效滿意。上述 2 例患者二次手術取出內固定物后不適癥狀緩解,因此考慮不適癥狀與內固定物激惹有關。值得注意的是,二次手術取出內固定物也存在手術風險[13]。本研究中20 例患者接受二次手術取出內固定物,術后未見明顯并發癥。
綜上述,ORIF 治療新鮮及陳舊隱性 Lisfranc 損傷均能獲得解剖復位,達到良好療效。由于本研究為回顧性分析,納入樣本量較少,隨訪時間較短,這一結論有待擴大樣本量、延長隨訪時間觀察明確。
作者貢獻:吳仕舟負責研究實施、數據收集整理及統計分析以及文章撰寫,秦博泉負責研究實施以及數據收集整理、統計分析,解慧琪、黃富國、張暉參與研究設計。
利益沖突:所有作者聲明,在課題研究和文章撰寫過程中不存在利益沖突。