引用本文: 劉魁, 王月明, 孫一翀, 祁曉明, 田利軍, 趙延賓, 許英, 劉星. Masquelet技術聯合人工真皮對家兔骨與軟組織缺損的治療研究. 中國修復重建外科雜志, 2019, 33(5): 578-585. doi: 10.7507/1002-1892.201811020 復制
Gustilo-AndersonⅢ型開放性骨折伴骨及軟組織缺損的治療是骨科醫生的一大挑戰。此類患者不僅存在骨質節段性缺損,而且合并軟組織條件不良、軟組織供區不足等問題。Masquelet 技術顯著改善了許多節段性骨缺損的預后,有助于恢復形態和功能[1-2]。Masquelet 技術包括兩個階段,第一階段是該技術的核心。此階段的成功不僅要求良好的骨缺損填充物質及其牢固程度,還要求有良好的軟組織覆蓋。所以針對軟組織缺損及供區不足的治療,可考慮應用人工真皮解決聚甲基丙烯酸甲酯(polymethyl methacrylate,PMMA)填充物表面的軟組織覆蓋問題。人工真皮的最初設計目的就是為了解決燒傷患者大面積皮膚缺損的治療與自體組織供區相對不足之間的矛盾,在投入臨床使用后已獲得了滿意效果[3-9]。
Masquelet 技術已被證明具有臨床療效,但其引起缺損愈合的生理學機制還不太明確[10]。人工真皮在臨床中的應用范圍不斷增多,但二者聯合治療外傷后節段性骨缺損合并軟組織缺損,尚未見臨床病例及動物實驗研究報道。通過回顧既往相關文獻,我們發現 Masquelet 技術產生的誘導膜具有促進第二階段植入骨的血管化過程作用[1,11-13]。而人工真皮材料的膠原蛋白海綿層具有多孔基質[14],有利于成纖維細胞和內皮細胞攀附,更有利于毛細血管由創面周邊逐漸長入,從而加速血管化過程。這些研究啟發我們是否可以通過 Masquelet 技術聯合人工真皮修復外傷后節段性骨缺損合并軟組織缺損。因此,本實驗采用 Masquelet 技術聯合人工真皮修復家兔骨與軟組織缺損,研究結合膜(誘導膜與人工真皮結合后產生的膜結構)的最佳血管化時間,以期指導臨床中對 Gustilo-AndersonⅢ型開放性骨折伴大段骨缺損及軟組織缺損的治療。
1 材料與方法
1.1 實驗動物及主要材料、試劑、儀器
雄性成年家兔 80 只,體質量 2.03~2.27 kg,平均 2.11 kg,由河北醫科大學實驗動物中心提供。動物實驗經石家莊市第三醫院動物倫理委員會批準,實驗動物使用許可證號:SYXK(冀)2016-003。
人工真皮 Pelnac? [“皮耐克?”加強型;郡是(GUNZE)株式會社,日本],光鏡下觀察顯示為多孔細微“編織”結構(圖 1)。Mendec? Spine 骨水泥(TECRES S.p.A.公司,意大利)。鼠抗兔 CD34 單克隆抗體(Abcam 公司,英國)。BX53 正置顯微鏡(Olympus 公司,日本)。

1.2 實驗分組及方法
采用自身對照研究,取 64 只家兔雙側股骨隨機分為實驗組和對照組(n=64),余 16 只雙側股骨作為假手術組(n=32)。家兔股骨骨質及軟組織缺損模型制備:將所有家兔以陸眠寧肌肉注射(0.1 mL/kg)麻醉并消毒后,側臥于處置臺,于大腿中部外側切開皮膚,于外側肌間隙分離進入,暴露股骨中部,環形破壞并刮除股骨中部長約 3 cm 骨膜,并以電鉆于股骨中段外側骨質表面鉆孔造成約 1.0 cm×0.5 cm 大小骨質缺損,保留管型骨的內側壁以利于穩定;然后去除股骨骨質缺損對應股四頭肌外側肌肉約 3 cm×2 cm 大小,制備軟組織缺損模型。
假手術組造模后直接縫合皮膚。對照組和實驗組將股骨骨缺損處以自制模具包裹固定,按照 Masquelet 技術第一階段方法,灌入 2 mL PMMA 骨水泥,直至骨水泥固化后去除模具。然后對照組直接縫合皮膚;實驗組將浸泡后的 Pelnac?人工真皮裁剪成多塊 3 cm×2 cm 大小,每只家兔選取 1 塊分別包裹骨水泥,以縫線固定,縫合皮膚。見圖 2。

a. 于家兔缺損處以 Masquelet 技術第一階段方法放置骨水泥間隔;b. 將人工真皮均勻裁剪成多塊備用;c. 人工真皮包裹骨水泥后固定
Figure2. Surgical management in the experimental groupa. Place PMMA in the bone defect of rabbit according to the first stage of Masquelet technology; b. Cut the artificial dermis into multiple pieces for use; c. Place artificial dermis on the surface of the PMMA
1.3 觀測指標
1.3.1 大體觀察
術后 2、4、6、8 周各處死假手術組 4 只家兔,以及實驗組/對照組 16 只家兔,于雙側股骨原手術部位取材,大體觀察誘導膜及結合膜情況。
1.3.2 HE 染色觀察
術后各時間點取實驗組結合膜、對照組誘導膜及假手術組增生組織,經 4% 中性緩沖甲醛液固定,常規脫水,石蠟包埋,4 mm 厚切片,常規 HE 染色,光鏡下觀察。
1.3.3 CD34 免疫組織化學染色觀察
術后各時間點取上述剩余切片脫蠟至水,3%H2O2 消除內源性過氧化物酶活性,室溫孵育 5 min,0.1 mol/L PBS 浸泡 5 min;根據一抗需要進行組織處理,采用 0.25% 胰蛋白酶進行抗原修復或暴露 10% 正常山羊血清抑制非特異性表達,室溫 10 min;棄血清,滴加一抗鼠抗兔 CD34 單克隆抗體(1∶100),4℃ 過夜;滴加二抗通用型生物素標記兔抗鼠 IgG,4℃ 過夜;滴加二抗通用型生物素標記兔抗鼠 IgG,37℃、10 min;加入辣根過氧化物酶進行標記,37℃、10 min,DAB 顯色,蘇木精復染,常規脫水、二甲苯透明、中性樹膠封片。于 BX53 正置顯微鏡下觀察 CD34 陽性染色微血管情況,血管內皮細胞的細胞質呈棕黃色為陽性染色。由 2 名觀察者雙盲以 Weidner 校正方法計數微血管密度(microvessel density,MVD),取均值。
1.4 統計學方法
采用 SPSS22.0 統計軟件進行分析。數據以均數±標準差表示,3 組間比較及組內各時間點間比較采用單因素方差分析,兩兩比較采用 LSD-t 檢驗;檢驗水準 α=0.05。
2 結果
2.1 大體觀察
術后所有家兔均成活至實驗完成。大體觀察示:術后 2 周,實驗組人工真皮膠原蛋白海綿層與表層硅膠膜大部分分離,少部分膠原蛋白海綿未降解;實驗組和對照組骨水泥表面均未形成完整的誘導膜。假手術組可見術區周邊組織水腫伴瘢痕增生。術后 4 周,實驗組人工真皮僅殘留表層硅膠膜,膠原蛋白海綿層完全消失。對照組及實驗組均產生完整薄層膜結構,對照組膜結構呈半透明狀;實驗組膜結構呈淡紅色不透明,伴小血管增生。假手術組可見術區瘢痕增生。術后 6 周,實驗組及對照組膜結構均增厚,對照組膜結構與實驗組 4 周時類似;實驗組膜結構較對照組紅潤,可見毛細血管大量增生;假手術組仍為瘢痕組織,較前增厚。術后 8 周,實驗組和對照組膜結構均較光滑、紅潤,膜表面可見毛細血管增生,大體觀察膜結構類似;假手術組瘢痕組織較前增厚,未見明顯毛細血管增生。見圖 3。

a. 術后 2 周實驗組人工真皮,可見少部分膠原蛋白海綿未降解;b. 術后 4 周實驗組人工真皮,膠原蛋白層完全降解;c. 術后 4 周對照組可見完整誘導膜形成,呈半透明狀;d. 術后 4 周實驗組膜結構呈淡紅色不透明,伴小血管增生;e. 術后 4 周假手術組骨質表面呈白色瘢痕組織增生;f. 術后 8 周對照組誘導膜較前增厚、紅潤;g. 術后 8 周實驗組誘導膜較前增厚、紅潤;h. 術后 8 周假手術組骨質表面大部分仍為白色瘢痕組織
Figure3. Gross observation of each group at each time point after operationa. The artificial dermis of the experimental group at 2 weeks after operation, showed the collagen sponge layer of artificial dermis was not completely degraded; b. The artificial dermis of the experimental group at 4 weeks after operation, showed complete degradation of the artificial dermal collagen layer; c. At 4 weeks after operation, complete induction membrane was observed in the control group, which was translucent; d. At 4 weeks after operation, the membrane structure of the experimental group was light red and opaque, accompanied by small vessel proliferation; e. White scar tissue hyperplasia on bone surface in the sham operation group at 4 weeks after operation; f. At 8 weeks after operation, the induced membrane was thicker and rosy than before in the control group; g. At 8 weeks after operation, the induced membrane was thicker and rosy than before in the experimental group; h. At 8 weeks after operation, most of the bone surface in the sham operation group was still white scar tissue
2.2 HE 染色觀察
術后 2 周,實驗組及對照組均可見大量肌纖維,少量膠原纖維增生伴少量炎性細胞浸潤;假手術組大多為肌纖維,伴少量肌纖維間血管。術后 4 周,實驗組較對照組膠原纖維增多,部分血管形成,對照組膠原纖維細胞核呈類圓形,實驗組呈扁圓形;假手術組可見成纖維細胞增生。術后 6、8 周,實驗組和對照組膠原纖維均較前增多,對照組膠原纖維細胞核仍呈類圓形,實驗組呈梭形,較前成熟,且細胞核顏色較同期對照組深染。兩組均可觀察到增生血管,血管形態均不規則,實驗組增生血管數目較對照組增多,小血管管腔逐漸變大,小血管逐漸增生,充血明顯,管腔內出現纖維素沉積,周邊伴少量炎性細胞浸潤。假手術組仍可見大量成纖維細胞出現,數量較前增多,伴少量血管出現,但未表現隨時間變化的血管顯著增生。見圖 4。

a. 對照組術后 2 周(×100);b. 對照組術后 4 周(×200);c. 對照組術后 6 周(×100);d. 對照組術后 8 周(×100);e. 實驗組術后 2 周(×100);f. 實驗組術后 4 周(×200);g. 實驗組術后 6 周(×100);h. 實驗組術后 8 周(×100);i. 假手術組術后 2 周(×100);j. 假手術組術后 4 周(×100);k. 假手術組術后 6 周(×100);l. 假手術組術后 8 周(×100)
Figure4. HE staining observation of induced membranes in each group at each time point after operationa. Control group at 2 weeks (×100); b. Control group at 4 weeks (×200); c. Control group at 6 weeks (×100); d. Control group at 8 weeks (×100); e. Experimental group at 2 weeks (×100); f. Experimental group at 4 weeks (×200); g. Experimental group at 6 weeks (×100); h. Experimental group at 8 weeks (×100); i. Sham operation group at 2 weeks (×100); j. Sham operation group at 4 weeks (×100); k. Sham operation group at 6 weeks (×100); l. Sham operation group at 8 weeks (×100)
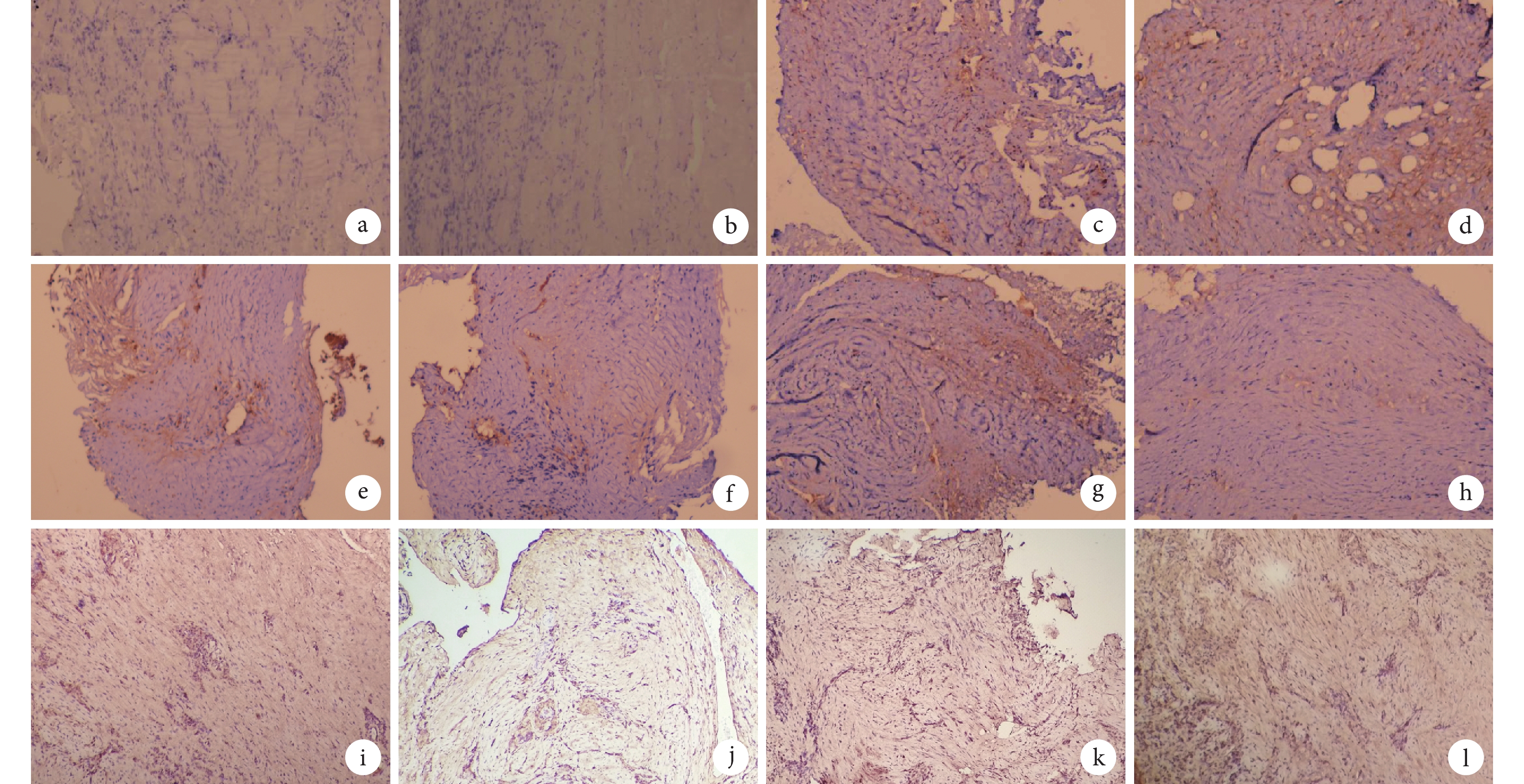
2.3 CD34 免疫組織化學染色觀察
術后 2 周,實驗組和對照組肌組織較多,僅見肌肉間單一血管;假手術組可見少量血管存在。術后 4 周,實驗組和對照組均出現少量血管。術后 6、8 周,實驗組和對照組均顯示血管形態不規則,結合膜管腔逐漸變大,伴少量炎性細胞浸潤,小血管逐漸增生,充血明顯,管腔內出現纖維素沉積;實驗組增生血管數目較對照組增多。假手術組術后 4~8 周仍伴少量血管,未表現隨時間變化的血管增生。見圖 5。

a. 對照組術后 2 周;b. 對照組術后 4 周;c. 對照組術后 6 周;d. 對照組術后 8 周;e. 實驗組術后 2 周;f. 實驗組術后 4 周;g. 實驗組術后 6 周;h. 實驗組術后 8 周;i. 假手術組術后 2 周;j. 假手術組術后 4 周;k. 假手術組術后 6 周;l. 假手術組術后 8 周
Figure5. CD34 immunohistochemical staining observation in each group at each time point after operation (Positive microscope×100)a. Control group at 2 weeks; b. Control group at 4 weeks; c. Control group at 6 weeks; d. Control group at 8 weeks; e. Experimental group at 2 weeks; f. Experimental group at 4 weeks; g. Experimental group at 6 weeks; h. Experimental group at 8 weeks; i. Sham operation group at 2 weeks; j. Sham operation group at 4 weeks; k. Sham operation group at 6 weeks; l. Sham operation group at 8 weeks
術后隨時間延長,各組 MVD 均呈逐漸增加趨勢。實驗組和對照組術后各時間點間 MVD 比較差異均有統計學意義(P<0.05);假手術組除術后 2、4 周間 MVD 差異無統計學意義(P>0.05)外,其余各時間點間 MVD 比較差異均有統計學意義(P<0.05)。術后 2 周假手術組 MVD 顯著大于實驗組和對照組,4、6、8 周顯著小于實驗組和對照組,差異均有統計學意義(P<0.05)。實驗組術后 4、6 周 MVD 顯著大于對照組,差異有統計學意義(P<0.05);2、8 周兩組 MVD 比較差異無統計學意義(P>0.05)。見表 1。



3 討論
臨床上對大段骨缺損及軟組織缺損的治療一直是難點,既往多選擇截肢術,不僅造成患者肢體殘缺,而且大多數患者長期存在更加嚴重的心理障礙。兩種肢體挽救技術——Ilizarov 骨搬運及 Masquelet 技術顯著改善了許多節段性骨缺損的預后[15-16]。雖然這兩種技術都被證明是有效的,但 Ilizarov 骨搬運在技術上操作較為困難且并發癥較多,包括供體部位發病率和疼痛、不愈合和感染等[17-19]。與之相比,Masquelet 技術是一種更簡便的方法,具有手術時間更短、并發癥更少、關節活動及骨痂形成不良等發病率更低等優點[20]。
Masquelet 技術首先由法國 Masquelet 等發現,于 2000 年報道應用此方法治療 35 例長骨骨干缺損,骨缺損范圍為 4~25 cm,植骨后平均 4 個月影像學檢查顯示骨缺損完全愈合[1-2]。Masquelet 技術包括兩個相對獨立的階段[1]。第一階段:創面清創并將 PMMA 填充于骨缺損區,防止纖維組織長入,并穩定患肢。植入的 PMMA 主要有兩個作用:首先起到力學支撐作用,防止纖維組織長入骨缺損區,為后期植骨的生長提供良好生物環境;其次,PMMA 周圍形成的誘導膜起到生物保護作用,既可以促進植入骨的重建和再血管化,又避免了植入骨被吸收。第二階段:植入后 6~8 周,在不損傷誘導膜的前提下取出 PMMA,將足量的顆粒狀自體松質骨填充骨缺損部位,再用固定物穩定患肢[11-13,21]。第一階段誘導膜形成質量是 Masquelet 技術的關鍵,誘導膜的形成必須有良好的軟組織覆蓋。皮瓣手術是治療此類創面較為有效的方法[22-23],但它要求有良好的皮瓣供區,而此類患者組織缺損面積較大,皮瓣供區不足,并且許多患者因自身心理因素往往拒絕此類手術;即使部分患者進行了皮瓣手術,術后皮瓣壞死概率仍較高。而在原創面進行 Masquelet 技術的第二階段手術,更加大了皮瓣的壞死風險。
人工真皮來源廣泛、手術簡便、易操作等特點,恰好能解決以上問題。上世紀 80 年代后,人們開始研究及制備各種真皮替代物治療創面。真皮替代物為表皮細胞膜片移植提供了三維支架,它提高了表皮細胞膜片移植的成活率,改善了創面愈合質量,真皮成分還可影響表皮細胞的遷移、分化、黏附和生長。添加自體成纖維細胞的真皮替代物還有利于表皮細胞的生長增殖,促進真皮表皮連接形成,改變皮片的物理性質及外觀,使其更接近正常皮膚組織。世界首例人工合成真皮 Integra? 在 1996 年獲批應用于臨床[24]。Integra? 為兩層結構,上層為硅膠膜,下層膠原蛋白層是由交聯的牛Ⅰ型膠原纖維和硫酸軟骨素組成[25]。有報道應用人工真皮結合自體刃厚皮片移植治療骨質及肌腱外露創面,可以獲得穩定及耐磨的組織覆蓋,并得出人工真皮可作為燒傷后骨外露特別是供區有限患者良好的治療選擇[3-9]。另一種在我國應用更為廣泛的人工真皮 Pelnac? 改良了 Integra? 的膠原來源,選用豬肌腱提取膠原,并去除了端肽,減少了免疫原性。Pelnac? 和 Integra? 有共同特征,兩者都具有雙層結構,且都具有外部臨時表皮硅膠片和由膠原制成的真皮組分[26]。Wosgrau 等[27]研究指出 Pelnac? 和 Integra? 在皮膚全層損傷的小鼠模型的傷口愈合過程中顯示出相似的生物學行為;它們均在三維培養系統中有效地支持皮膚間充質細胞的生長[28]。
當前對于 Masquelet 技術兩個階段實施的時機存在爭議。一般認為 Masquelet 技術第一階段的標志是形成成熟的、血管良好的、不滲透的誘導膜[29-33]。Masquelet 教授主張為期 8 周的誘導期[1,34],誘導期是骨水泥間隔物必須保留在缺損部位以允許膜形成的時間。自該技術應用以來,許多研究者已經測試了不同的時間方案,但最佳誘導期仍未確定,而且其與 Masquelet 技術最終成功是否相關一直不明確。許多研究者認為第一階段的持續時間會影響形成誘導膜的結構[30-31,35],隨時間增加(2~6 周),膜的厚度和纖維組織的量增加[29-31]。但 Gouron 等[30]研究對 3、4、5、6 周的誘導膜進行比較時,誘導膜在 4 周時達到最厚,并隨時間延長厚度逐漸降低,認為 4 周時誘導膜的結構最適合促進骨形成和骨愈合。這與異物反應的生理學機制有關[36]。因此本實驗選擇術后 2、4、6、8 周取材。
本實驗中,對實驗組家兔進行骨質缺損和軟組織缺損造模后,進行 Masquelet 技術聯合人工真皮治療,結果顯示實驗組及對照組均表現出隨時間進展,膜結構逐漸增厚趨勢,實驗組及對照組內 MVD 亦表現出隨時間進展,血管化程度逐漸增高趨勢。但相同時間點組間比較顯示,術后 2 周實驗組因人工真皮未完全降解,且未形成誘導膜,此時并未發生人工真皮膠原蛋白海綿促進誘導膜的血管化過程;同時,術后 2 周對照組亦未形成誘導膜結構。以上與文獻中誘導膜的出現時間及人工真皮的降解時間均符合。術后 4 周,實驗組膠原蛋白海綿層完全降解,實驗組與對照組均出現完整的誘導膜結構;實驗組膜結構較厚且紅潤,可見表層血管增生,HE 染色示實驗組的膠原纖維較對照組增多,且細胞核結構更為成熟。并且 MVD 檢測結果顯示,術后 4 周人工真皮完全降解的膠原蛋白海綿層為誘導膜的血管爬行提供了支架結構,兩者的結合增加了血管的生成速度和數量,促進了創傷的修復。術后 6 周,實驗組血管化程度及膠原纖維的質量仍高于對照組。8 周時實驗組及對照組血管化程度類似,但實驗組形成的膠原纖維數量及成熟度仍高于對照組。
綜上述,人工真皮膠原蛋白海綿層的多孔結構可促進 PMMA 間隔物表面誘導膜的形成,支架結構有利于細胞黏附及血管生長;且在術后 4~6 周時結合膜較誘導膜血管化更為明顯。而誘導膜的快速血管化有利于 Masquelet 技術第二階段骨質生長及皮片移植。因此我們認為,Masquelet 技術結合人工真皮治療的最佳誘導期為 4~6 周,應用此方法可嘗試對 Gustilo-AndersonⅢ型開放性骨折伴骨及軟組織缺損進行臨床治療。
Gustilo-AndersonⅢ型開放性骨折伴骨及軟組織缺損的治療是骨科醫生的一大挑戰。此類患者不僅存在骨質節段性缺損,而且合并軟組織條件不良、軟組織供區不足等問題。Masquelet 技術顯著改善了許多節段性骨缺損的預后,有助于恢復形態和功能[1-2]。Masquelet 技術包括兩個階段,第一階段是該技術的核心。此階段的成功不僅要求良好的骨缺損填充物質及其牢固程度,還要求有良好的軟組織覆蓋。所以針對軟組織缺損及供區不足的治療,可考慮應用人工真皮解決聚甲基丙烯酸甲酯(polymethyl methacrylate,PMMA)填充物表面的軟組織覆蓋問題。人工真皮的最初設計目的就是為了解決燒傷患者大面積皮膚缺損的治療與自體組織供區相對不足之間的矛盾,在投入臨床使用后已獲得了滿意效果[3-9]。
Masquelet 技術已被證明具有臨床療效,但其引起缺損愈合的生理學機制還不太明確[10]。人工真皮在臨床中的應用范圍不斷增多,但二者聯合治療外傷后節段性骨缺損合并軟組織缺損,尚未見臨床病例及動物實驗研究報道。通過回顧既往相關文獻,我們發現 Masquelet 技術產生的誘導膜具有促進第二階段植入骨的血管化過程作用[1,11-13]。而人工真皮材料的膠原蛋白海綿層具有多孔基質[14],有利于成纖維細胞和內皮細胞攀附,更有利于毛細血管由創面周邊逐漸長入,從而加速血管化過程。這些研究啟發我們是否可以通過 Masquelet 技術聯合人工真皮修復外傷后節段性骨缺損合并軟組織缺損。因此,本實驗采用 Masquelet 技術聯合人工真皮修復家兔骨與軟組織缺損,研究結合膜(誘導膜與人工真皮結合后產生的膜結構)的最佳血管化時間,以期指導臨床中對 Gustilo-AndersonⅢ型開放性骨折伴大段骨缺損及軟組織缺損的治療。
1 材料與方法
1.1 實驗動物及主要材料、試劑、儀器
雄性成年家兔 80 只,體質量 2.03~2.27 kg,平均 2.11 kg,由河北醫科大學實驗動物中心提供。動物實驗經石家莊市第三醫院動物倫理委員會批準,實驗動物使用許可證號:SYXK(冀)2016-003。
人工真皮 Pelnac? [“皮耐克?”加強型;郡是(GUNZE)株式會社,日本],光鏡下觀察顯示為多孔細微“編織”結構(圖 1)。Mendec? Spine 骨水泥(TECRES S.p.A.公司,意大利)。鼠抗兔 CD34 單克隆抗體(Abcam 公司,英國)。BX53 正置顯微鏡(Olympus 公司,日本)。

1.2 實驗分組及方法
采用自身對照研究,取 64 只家兔雙側股骨隨機分為實驗組和對照組(n=64),余 16 只雙側股骨作為假手術組(n=32)。家兔股骨骨質及軟組織缺損模型制備:將所有家兔以陸眠寧肌肉注射(0.1 mL/kg)麻醉并消毒后,側臥于處置臺,于大腿中部外側切開皮膚,于外側肌間隙分離進入,暴露股骨中部,環形破壞并刮除股骨中部長約 3 cm 骨膜,并以電鉆于股骨中段外側骨質表面鉆孔造成約 1.0 cm×0.5 cm 大小骨質缺損,保留管型骨的內側壁以利于穩定;然后去除股骨骨質缺損對應股四頭肌外側肌肉約 3 cm×2 cm 大小,制備軟組織缺損模型。
假手術組造模后直接縫合皮膚。對照組和實驗組將股骨骨缺損處以自制模具包裹固定,按照 Masquelet 技術第一階段方法,灌入 2 mL PMMA 骨水泥,直至骨水泥固化后去除模具。然后對照組直接縫合皮膚;實驗組將浸泡后的 Pelnac?人工真皮裁剪成多塊 3 cm×2 cm 大小,每只家兔選取 1 塊分別包裹骨水泥,以縫線固定,縫合皮膚。見圖 2。

a. 于家兔缺損處以 Masquelet 技術第一階段方法放置骨水泥間隔;b. 將人工真皮均勻裁剪成多塊備用;c. 人工真皮包裹骨水泥后固定
Figure2. Surgical management in the experimental groupa. Place PMMA in the bone defect of rabbit according to the first stage of Masquelet technology; b. Cut the artificial dermis into multiple pieces for use; c. Place artificial dermis on the surface of the PMMA
1.3 觀測指標
1.3.1 大體觀察
術后 2、4、6、8 周各處死假手術組 4 只家兔,以及實驗組/對照組 16 只家兔,于雙側股骨原手術部位取材,大體觀察誘導膜及結合膜情況。
1.3.2 HE 染色觀察
術后各時間點取實驗組結合膜、對照組誘導膜及假手術組增生組織,經 4% 中性緩沖甲醛液固定,常規脫水,石蠟包埋,4 mm 厚切片,常規 HE 染色,光鏡下觀察。
1.3.3 CD34 免疫組織化學染色觀察
術后各時間點取上述剩余切片脫蠟至水,3%H2O2 消除內源性過氧化物酶活性,室溫孵育 5 min,0.1 mol/L PBS 浸泡 5 min;根據一抗需要進行組織處理,采用 0.25% 胰蛋白酶進行抗原修復或暴露 10% 正常山羊血清抑制非特異性表達,室溫 10 min;棄血清,滴加一抗鼠抗兔 CD34 單克隆抗體(1∶100),4℃ 過夜;滴加二抗通用型生物素標記兔抗鼠 IgG,4℃ 過夜;滴加二抗通用型生物素標記兔抗鼠 IgG,37℃、10 min;加入辣根過氧化物酶進行標記,37℃、10 min,DAB 顯色,蘇木精復染,常規脫水、二甲苯透明、中性樹膠封片。于 BX53 正置顯微鏡下觀察 CD34 陽性染色微血管情況,血管內皮細胞的細胞質呈棕黃色為陽性染色。由 2 名觀察者雙盲以 Weidner 校正方法計數微血管密度(microvessel density,MVD),取均值。
1.4 統計學方法
采用 SPSS22.0 統計軟件進行分析。數據以均數±標準差表示,3 組間比較及組內各時間點間比較采用單因素方差分析,兩兩比較采用 LSD-t 檢驗;檢驗水準 α=0.05。
2 結果
2.1 大體觀察
術后所有家兔均成活至實驗完成。大體觀察示:術后 2 周,實驗組人工真皮膠原蛋白海綿層與表層硅膠膜大部分分離,少部分膠原蛋白海綿未降解;實驗組和對照組骨水泥表面均未形成完整的誘導膜。假手術組可見術區周邊組織水腫伴瘢痕增生。術后 4 周,實驗組人工真皮僅殘留表層硅膠膜,膠原蛋白海綿層完全消失。對照組及實驗組均產生完整薄層膜結構,對照組膜結構呈半透明狀;實驗組膜結構呈淡紅色不透明,伴小血管增生。假手術組可見術區瘢痕增生。術后 6 周,實驗組及對照組膜結構均增厚,對照組膜結構與實驗組 4 周時類似;實驗組膜結構較對照組紅潤,可見毛細血管大量增生;假手術組仍為瘢痕組織,較前增厚。術后 8 周,實驗組和對照組膜結構均較光滑、紅潤,膜表面可見毛細血管增生,大體觀察膜結構類似;假手術組瘢痕組織較前增厚,未見明顯毛細血管增生。見圖 3。

a. 術后 2 周實驗組人工真皮,可見少部分膠原蛋白海綿未降解;b. 術后 4 周實驗組人工真皮,膠原蛋白層完全降解;c. 術后 4 周對照組可見完整誘導膜形成,呈半透明狀;d. 術后 4 周實驗組膜結構呈淡紅色不透明,伴小血管增生;e. 術后 4 周假手術組骨質表面呈白色瘢痕組織增生;f. 術后 8 周對照組誘導膜較前增厚、紅潤;g. 術后 8 周實驗組誘導膜較前增厚、紅潤;h. 術后 8 周假手術組骨質表面大部分仍為白色瘢痕組織
Figure3. Gross observation of each group at each time point after operationa. The artificial dermis of the experimental group at 2 weeks after operation, showed the collagen sponge layer of artificial dermis was not completely degraded; b. The artificial dermis of the experimental group at 4 weeks after operation, showed complete degradation of the artificial dermal collagen layer; c. At 4 weeks after operation, complete induction membrane was observed in the control group, which was translucent; d. At 4 weeks after operation, the membrane structure of the experimental group was light red and opaque, accompanied by small vessel proliferation; e. White scar tissue hyperplasia on bone surface in the sham operation group at 4 weeks after operation; f. At 8 weeks after operation, the induced membrane was thicker and rosy than before in the control group; g. At 8 weeks after operation, the induced membrane was thicker and rosy than before in the experimental group; h. At 8 weeks after operation, most of the bone surface in the sham operation group was still white scar tissue
2.2 HE 染色觀察
術后 2 周,實驗組及對照組均可見大量肌纖維,少量膠原纖維增生伴少量炎性細胞浸潤;假手術組大多為肌纖維,伴少量肌纖維間血管。術后 4 周,實驗組較對照組膠原纖維增多,部分血管形成,對照組膠原纖維細胞核呈類圓形,實驗組呈扁圓形;假手術組可見成纖維細胞增生。術后 6、8 周,實驗組和對照組膠原纖維均較前增多,對照組膠原纖維細胞核仍呈類圓形,實驗組呈梭形,較前成熟,且細胞核顏色較同期對照組深染。兩組均可觀察到增生血管,血管形態均不規則,實驗組增生血管數目較對照組增多,小血管管腔逐漸變大,小血管逐漸增生,充血明顯,管腔內出現纖維素沉積,周邊伴少量炎性細胞浸潤。假手術組仍可見大量成纖維細胞出現,數量較前增多,伴少量血管出現,但未表現隨時間變化的血管顯著增生。見圖 4。

a. 對照組術后 2 周(×100);b. 對照組術后 4 周(×200);c. 對照組術后 6 周(×100);d. 對照組術后 8 周(×100);e. 實驗組術后 2 周(×100);f. 實驗組術后 4 周(×200);g. 實驗組術后 6 周(×100);h. 實驗組術后 8 周(×100);i. 假手術組術后 2 周(×100);j. 假手術組術后 4 周(×100);k. 假手術組術后 6 周(×100);l. 假手術組術后 8 周(×100)
Figure4. HE staining observation of induced membranes in each group at each time point after operationa. Control group at 2 weeks (×100); b. Control group at 4 weeks (×200); c. Control group at 6 weeks (×100); d. Control group at 8 weeks (×100); e. Experimental group at 2 weeks (×100); f. Experimental group at 4 weeks (×200); g. Experimental group at 6 weeks (×100); h. Experimental group at 8 weeks (×100); i. Sham operation group at 2 weeks (×100); j. Sham operation group at 4 weeks (×100); k. Sham operation group at 6 weeks (×100); l. Sham operation group at 8 weeks (×100)
2.3 CD34 免疫組織化學染色觀察
術后 2 周,實驗組和對照組肌組織較多,僅見肌肉間單一血管;假手術組可見少量血管存在。術后 4 周,實驗組和對照組均出現少量血管。術后 6、8 周,實驗組和對照組均顯示血管形態不規則,結合膜管腔逐漸變大,伴少量炎性細胞浸潤,小血管逐漸增生,充血明顯,管腔內出現纖維素沉積;實驗組增生血管數目較對照組增多。假手術組術后 4~8 周仍伴少量血管,未表現隨時間變化的血管增生。見圖 5。

a. 對照組術后 2 周;b. 對照組術后 4 周;c. 對照組術后 6 周;d. 對照組術后 8 周;e. 實驗組術后 2 周;f. 實驗組術后 4 周;g. 實驗組術后 6 周;h. 實驗組術后 8 周;i. 假手術組術后 2 周;j. 假手術組術后 4 周;k. 假手術組術后 6 周;l. 假手術組術后 8 周
Figure5. CD34 immunohistochemical staining observation in each group at each time point after operation (Positive microscope×100)a. Control group at 2 weeks; b. Control group at 4 weeks; c. Control group at 6 weeks; d. Control group at 8 weeks; e. Experimental group at 2 weeks; f. Experimental group at 4 weeks; g. Experimental group at 6 weeks; h. Experimental group at 8 weeks; i. Sham operation group at 2 weeks; j. Sham operation group at 4 weeks; k. Sham operation group at 6 weeks; l. Sham operation group at 8 weeks
術后隨時間延長,各組 MVD 均呈逐漸增加趨勢。實驗組和對照組術后各時間點間 MVD 比較差異均有統計學意義(P<0.05);假手術組除術后 2、4 周間 MVD 差異無統計學意義(P>0.05)外,其余各時間點間 MVD 比較差異均有統計學意義(P<0.05)。術后 2 周假手術組 MVD 顯著大于實驗組和對照組,4、6、8 周顯著小于實驗組和對照組,差異均有統計學意義(P<0.05)。實驗組術后 4、6 周 MVD 顯著大于對照組,差異有統計學意義(P<0.05);2、8 周兩組 MVD 比較差異無統計學意義(P>0.05)。見表 1。



3 討論
臨床上對大段骨缺損及軟組織缺損的治療一直是難點,既往多選擇截肢術,不僅造成患者肢體殘缺,而且大多數患者長期存在更加嚴重的心理障礙。兩種肢體挽救技術——Ilizarov 骨搬運及 Masquelet 技術顯著改善了許多節段性骨缺損的預后[15-16]。雖然這兩種技術都被證明是有效的,但 Ilizarov 骨搬運在技術上操作較為困難且并發癥較多,包括供體部位發病率和疼痛、不愈合和感染等[17-19]。與之相比,Masquelet 技術是一種更簡便的方法,具有手術時間更短、并發癥更少、關節活動及骨痂形成不良等發病率更低等優點[20]。
Masquelet 技術首先由法國 Masquelet 等發現,于 2000 年報道應用此方法治療 35 例長骨骨干缺損,骨缺損范圍為 4~25 cm,植骨后平均 4 個月影像學檢查顯示骨缺損完全愈合[1-2]。Masquelet 技術包括兩個相對獨立的階段[1]。第一階段:創面清創并將 PMMA 填充于骨缺損區,防止纖維組織長入,并穩定患肢。植入的 PMMA 主要有兩個作用:首先起到力學支撐作用,防止纖維組織長入骨缺損區,為后期植骨的生長提供良好生物環境;其次,PMMA 周圍形成的誘導膜起到生物保護作用,既可以促進植入骨的重建和再血管化,又避免了植入骨被吸收。第二階段:植入后 6~8 周,在不損傷誘導膜的前提下取出 PMMA,將足量的顆粒狀自體松質骨填充骨缺損部位,再用固定物穩定患肢[11-13,21]。第一階段誘導膜形成質量是 Masquelet 技術的關鍵,誘導膜的形成必須有良好的軟組織覆蓋。皮瓣手術是治療此類創面較為有效的方法[22-23],但它要求有良好的皮瓣供區,而此類患者組織缺損面積較大,皮瓣供區不足,并且許多患者因自身心理因素往往拒絕此類手術;即使部分患者進行了皮瓣手術,術后皮瓣壞死概率仍較高。而在原創面進行 Masquelet 技術的第二階段手術,更加大了皮瓣的壞死風險。
人工真皮來源廣泛、手術簡便、易操作等特點,恰好能解決以上問題。上世紀 80 年代后,人們開始研究及制備各種真皮替代物治療創面。真皮替代物為表皮細胞膜片移植提供了三維支架,它提高了表皮細胞膜片移植的成活率,改善了創面愈合質量,真皮成分還可影響表皮細胞的遷移、分化、黏附和生長。添加自體成纖維細胞的真皮替代物還有利于表皮細胞的生長增殖,促進真皮表皮連接形成,改變皮片的物理性質及外觀,使其更接近正常皮膚組織。世界首例人工合成真皮 Integra? 在 1996 年獲批應用于臨床[24]。Integra? 為兩層結構,上層為硅膠膜,下層膠原蛋白層是由交聯的牛Ⅰ型膠原纖維和硫酸軟骨素組成[25]。有報道應用人工真皮結合自體刃厚皮片移植治療骨質及肌腱外露創面,可以獲得穩定及耐磨的組織覆蓋,并得出人工真皮可作為燒傷后骨外露特別是供區有限患者良好的治療選擇[3-9]。另一種在我國應用更為廣泛的人工真皮 Pelnac? 改良了 Integra? 的膠原來源,選用豬肌腱提取膠原,并去除了端肽,減少了免疫原性。Pelnac? 和 Integra? 有共同特征,兩者都具有雙層結構,且都具有外部臨時表皮硅膠片和由膠原制成的真皮組分[26]。Wosgrau 等[27]研究指出 Pelnac? 和 Integra? 在皮膚全層損傷的小鼠模型的傷口愈合過程中顯示出相似的生物學行為;它們均在三維培養系統中有效地支持皮膚間充質細胞的生長[28]。
當前對于 Masquelet 技術兩個階段實施的時機存在爭議。一般認為 Masquelet 技術第一階段的標志是形成成熟的、血管良好的、不滲透的誘導膜[29-33]。Masquelet 教授主張為期 8 周的誘導期[1,34],誘導期是骨水泥間隔物必須保留在缺損部位以允許膜形成的時間。自該技術應用以來,許多研究者已經測試了不同的時間方案,但最佳誘導期仍未確定,而且其與 Masquelet 技術最終成功是否相關一直不明確。許多研究者認為第一階段的持續時間會影響形成誘導膜的結構[30-31,35],隨時間增加(2~6 周),膜的厚度和纖維組織的量增加[29-31]。但 Gouron 等[30]研究對 3、4、5、6 周的誘導膜進行比較時,誘導膜在 4 周時達到最厚,并隨時間延長厚度逐漸降低,認為 4 周時誘導膜的結構最適合促進骨形成和骨愈合。這與異物反應的生理學機制有關[36]。因此本實驗選擇術后 2、4、6、8 周取材。
本實驗中,對實驗組家兔進行骨質缺損和軟組織缺損造模后,進行 Masquelet 技術聯合人工真皮治療,結果顯示實驗組及對照組均表現出隨時間進展,膜結構逐漸增厚趨勢,實驗組及對照組內 MVD 亦表現出隨時間進展,血管化程度逐漸增高趨勢。但相同時間點組間比較顯示,術后 2 周實驗組因人工真皮未完全降解,且未形成誘導膜,此時并未發生人工真皮膠原蛋白海綿促進誘導膜的血管化過程;同時,術后 2 周對照組亦未形成誘導膜結構。以上與文獻中誘導膜的出現時間及人工真皮的降解時間均符合。術后 4 周,實驗組膠原蛋白海綿層完全降解,實驗組與對照組均出現完整的誘導膜結構;實驗組膜結構較厚且紅潤,可見表層血管增生,HE 染色示實驗組的膠原纖維較對照組增多,且細胞核結構更為成熟。并且 MVD 檢測結果顯示,術后 4 周人工真皮完全降解的膠原蛋白海綿層為誘導膜的血管爬行提供了支架結構,兩者的結合增加了血管的生成速度和數量,促進了創傷的修復。術后 6 周,實驗組血管化程度及膠原纖維的質量仍高于對照組。8 周時實驗組及對照組血管化程度類似,但實驗組形成的膠原纖維數量及成熟度仍高于對照組。
綜上述,人工真皮膠原蛋白海綿層的多孔結構可促進 PMMA 間隔物表面誘導膜的形成,支架結構有利于細胞黏附及血管生長;且在術后 4~6 周時結合膜較誘導膜血管化更為明顯。而誘導膜的快速血管化有利于 Masquelet 技術第二階段骨質生長及皮片移植。因此我們認為,Masquelet 技術結合人工真皮治療的最佳誘導期為 4~6 周,應用此方法可嘗試對 Gustilo-AndersonⅢ型開放性骨折伴骨及軟組織缺損進行臨床治療。