引用本文: 鞏棟, 趙茂勝, 蘇文財, 董晨輝, 鄧銀栓, 甄平. 富血小板血漿治療兔跟腱病的實驗研究. 中國修復重建外科雜志, 2019, 33(7): 871-876. doi: 10.7507/1002-1892.201809045 復制
跟腱過度使用性損傷稱為跟腱病,臨床表現為局灶性疼痛、晨僵和功能受限,影響患者生活質量[1]。目前跟腱病治療方法較多,包括康復鍛煉與休息、理療、沖擊波、非甾體抗炎藥、激素、自體血制品以及手術等,但尚無一種能獲得理想療效[2]。富血小板血漿(platelet-rich plasma,PRP)是全血經離心后獲得的血小板超過生理濃度數倍的血液制品,含有豐富的 TGF-β、FGF、結締組織生長因子等多種生長因子,可促進軟組織損傷修復,同時具有制備簡便、創傷小、無免疫排斥反應等優勢,近年來被廣泛用于肌腱、韌帶、軟骨以及其他軟組織損傷的臨床治療[3],但目前 PRP 用于跟腱病的治療劑量、治療頻率和治療效果等方面仍存在爭議,且缺少定量評價指標[4]。本研究通過注射Ⅰ型膠原酶制備兔跟腱病模型,以自體血二次離心法制備的 PRP 進行治療并觀察療效,以期為臨床應用 PRP 治療跟腱病提供參考。
1 材料與方法
1.1 實驗動物及主要試劑、儀器
健康成年新西蘭大白兔 48 只,體質量 2.5~3.0 kg,雌雄不限,由聯勤保障部隊第九四〇醫院動物實驗中心提供。
Ⅰ型膠原酶(Sigma 公司,美國);4% 多聚甲醛(武漢博士德生物工程有限公司);HE 染色試劑盒、Masson 染色試劑盒(上海碧云天生物技術有限公司);兔Ⅰ型膠原及Ⅲ型膠原 ELISA 檢測試劑盒(上海酶聯生物科技有限公司)。
微量注射器(寧波三愛儀器廠);高速冷凍離心機(上海盧湘儀離心機儀器有限公司);全自動動物血液分析儀(Sysmex 公司,日本);彩色多普勒超聲診斷儀(Mylab Twice 公司,意大利);酶標儀(Bio-Rad 公司,美國);萬能電子拉力試驗機(島津公司,日本)。
1.2 實驗分組及方法
將 48 只新西蘭大白兔隨機分為模型組(A 組)、模型對照組(B 組)、模型+治療對照組(C 組)、模型+治療組(D 組),每組 12 只。參照 Chen 等[5]提出的跟腱病模型制備方法并進行改良,將 4 組動物以俯臥位固定于手術操作臺,耳緣靜脈注射 2% 戊巴比妥鈉(1.5 mL/kg)麻醉,左后肢跟腱處剃毛、消毒,于跟腱跟骨附著點 0.5 cm 處插入微量注射器,沿跟腱長軸緩慢推進,A、C、D 組注射Ⅰ型膠原酶 50 μL(10 000 U/mL),B 組注射等劑量生理鹽水,每周 1 次,連續注射 4 周。第 5 周開始 C、D 組于造模部位分別注射生理鹽水、自體 PRP,每周 1 次,每次 0.8 mL,連續 4 周;A、B 組不作其他處理。實驗期間所有動物均正常飼養,后肢不制動。
1.3 PRP 制備方法
參考 Landesberg 等[6]的二次離心法制備 PRP。D 組每只兔采集耳中心動脈血 10 mL,注入 EDTA 抗凝真空采血管中,反復搖晃使血液與抗凝劑混合充分后,以 200×g 離心 10 min。離心后血液分為 3 層,從上到下依次為血清層、白膜層(血小板和白細胞)和紅細胞層。吸去白膜層 2 mm 界面以下的紅細胞,剩余部分以 200×g 離心 10 min。離心后仍分為 3 層,吸去上層 3/4 上清液,剩余約 1 mL 部分搖勻即為 PRP。取部分全血和 PRP 在全自動動物血液分析儀中檢測血小板計數。結果顯示,PRP 血小板計數為(1 258.92±88.11)×109/L,是全血血小板[(336.50±40.34)×109/L]的 3~5 倍,滿足實驗治療要求[7]。
1.4 觀測指標
1.4.1 一般情況
實驗期間觀察各組動物活動、進食及有無感染等情況發生。
1.4.2 超聲彈性成像檢測
PRP 注射結束后 1 周,取各組動物行左后肢超聲彈性定量成像分析。動物俯臥位固定,去除左后肢跟腱處毛發,使用彩色多普勒超聲診斷儀,線針探頭,頻率 5~20 MHz,以儀器預設的肌骨掃描條件、彈性成像模式,在跟腱縱切面采集彈性圖像。移動探頭明確跟腱病區域后,當壓力曲線頻率幅度一致、圖像清晰穩定后保存圖像。組織內紅、綠、藍像素分別表示組織硬度相對較低、中等和較高。以注射部位為參考,利用儀器彌散定量技術分析相同感興趣區域(固定面積為 30 mm2)內藍色像素所占百分比,以 HRD%(硬度百分比)表示,代表組織相對硬度,HRD% 越大表示組織硬度越大、彈性越小。
1.4.3 跟腱力學特性檢測
超聲彈性成像檢測后,采用空氣栓塞法處死 4 組動物,立即取左后肢跟腱并使用生理鹽水及紗布覆蓋保持濕潤。跟腱兩端墊襯薄紗布防止損傷,使用特制夾具固定于萬能電子拉力試驗機上,將跟腱沿縱軸方向作拉伸試驗,預載前負荷設置為 2 N,保持適當張力,加載速率為 1 mm/s,當跟腱膠原酶注射部附近斷裂時記錄最大斷裂負荷。
1.4.4 ELISA 法檢測跟腱Ⅰ、Ⅲ型膠原蛋白含量
跟腱力學特性檢測后,將每個跟腱樣本均分為兩部分,隨機取其中一部分漂洗、稱量、剪碎后進行組織勻漿(取 1 g 組織加入 9 mL PBS);以離心半徑10 cm、3 500 r/min 離心 10 min,收集上清液。在酶標板中加入 50 μL 樣品和標準品以及 50 μL 酶標液后,在樣品孔中加入 10 μL 生物素標記液,37℃ 孵育 60 min,洗滌后加入底物 A、B 液各 50 μL,37℃ 孵育 20 min 后加入終止液,于酶標儀 450 nm 處測吸光度(A)值,繪制標準曲線計算樣本中Ⅰ、Ⅲ型膠原蛋白含量。
1.4.5 組織學觀察
取各組剩余跟腱樣本,沿纖維束方向分成兩半,PBS 漂洗后置于 4% 多聚甲醛溶液中固定 24 h,石蠟包埋,縱向切片,片厚 5 μm。常規行 HE 染色及 Masson 染色,光鏡下觀察各組跟腱纖維形態。
1.5 統計學方法
采用 SPSS19.0 統計分析軟件和 GraphPad Prism 5 統計作圖軟件進行分析。數據以均數±標準差表示,組間比較采用單因素方差分析,兩兩比較采用 LSD 檢驗;檢驗水準 α=0.05。
2 結果
2.1 一般情況
各組動物均存活,實驗期間正常活動、進食,無感染等情況發生。
2.2 超聲彈性成像檢測
A 組:跟腱局部及周邊組織以綠、紅像素為主,感興趣區域內 HRD% 為 32.71%±5.23%;B 組:跟腱局部及周邊組織以綠、藍像素為主,感興趣區域內 HRD% 為 63.28%±4.37%;C 組:跟腱局部及周邊組織以綠、紅像素為主,感興趣區域內 HRD% 為 37.94%±3.71%;D 組:跟腱局部及周邊組織以綠、藍像素為主,感興趣區域內 HRD% 為 56.62%±4.82%。見圖 1。A 組感興趣區域內 HRD% 顯著小于 B 組,C 組顯著小于 D 組,差異均有統計學意義(P<0.05)。

圓圈內表示感興趣區域 a. A 組;b. B 組;c. C 組;d. D 組
Figure1. Achilles tendon hardness was evaluated by ultrasound elastic quantitative imagingThe circle indicated the interesting area a. Group A; b. Group B; c. Group C; d. Group D
2.3 跟腱力學特性檢測
A、B、C、D 組最大斷裂負荷分別為(36.32±9.81)、(112.25±11.03)、(43.73±8.93)、(91.17±12.61)N。A 組最大斷裂負荷顯著小于 B 組,C 組顯著小于 D 組,差異均有統計學意義(P<0.05)。
2.4 ELISA 檢測 Ⅰ、Ⅲ型膠原蛋白含量
A、B、C、D 組Ⅰ型膠原蛋白含量分別為(122.27±8.36)、(183.62±9.34)、(128.56±9.78)、(162.13±10.45)ng/mg,A 組顯著低于 B 組,C 組顯著低于 D 組,差異均有統計學意義(P<0.05)。
A、B、C、D 組Ⅲ型膠原蛋白含量分別為(15.72±1.18)、(12.30±1.29)、(12.78±1.31)、(16.17±1.09)ng/mg,A 組顯著高于 B 組,D 組顯著高于 C 組,差異均有統計學意義(P<0.05)。
2.5 組織學觀察
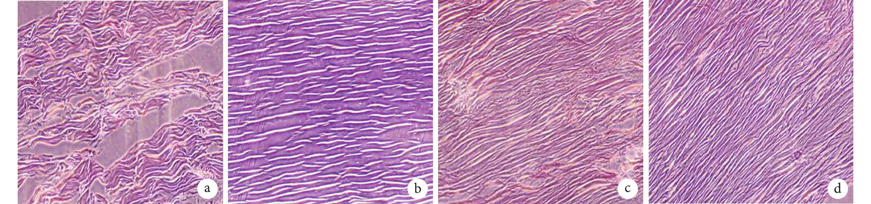
HE 染色和 Masson 染色結果顯示:A 組跟腱纖維多呈嚴重不規則卷曲,結構破壞、松弛、排列紊亂,纖維組織碎片增多,相鄰束間界限不清,部分膠原纖維斷裂甚至溶解。B 組跟腱纖維組織呈平行排列,整齊有序,結構完整,整體性強,相鄰纖維束之間界限清晰,分布均勻。C 組跟腱纖維呈不規則卷曲,結構排列紊亂,部分斷裂溶解,相鄰束間界限不清。D 組跟腱纖維有輕微卷曲改變,但纖維連續,排列較整齊,相鄰束間界限較清晰,無明顯斷裂溶解。見圖 2、3。

a. A 組;b. B 組;c. C 組;d. D 組
Figure2. HE staining of Achilles tendon in each group (×40)a. Group A; b. Group B; c. Group C; d. Group D

a. A 組;b. B 組;c. C 組;d. D 組
Figure3. Masson staining of Achilles tendon in each group (×40)a. Group A; b. Group B; c. Group C; d. Group D
3 討論
近年來跟腱病發病率不斷增高,各種治療方法的效果并不理想,常反復發作影響患者生活質量。PRP 因含有多種生長因子可促進組織修復,被廣泛應用于肌腱、韌帶、軟骨以及其他軟組織損傷的臨床治療,但動物實驗研究相對較少,因此我們用Ⅰ型膠原酶注射法建立兔跟腱病模型,通過超聲彈性定量成像技術、力學試驗、ELISA 和組織學觀察研究 PRP 治療跟腱病的效果。
跟腱病動物模型的建立主要有機械刺激和藥物誘導兩種方法,Ⅰ型膠原酶注射法簡便高效,與人類肌腱病后期許多表現相似,如細胞增多、基質丟失、血供增加和無菌性炎癥,膠原纖維損傷,生物力學性能降低,Ⅰ、Ⅲ型膠原表達比例倒置等,但也存在對周圍組織造成損失以及注射后引起較強的損傷修復反應等不足 [8-9]。本實驗發現Ⅰ型膠原酶注射后兔跟腱膠原纖維卷曲、結構被破壞,跟腱硬度、力學性能明顯降低,Ⅰ型膠原蛋白合成減少、Ⅲ型膠原蛋白合成增多,提示模擬出跟腱病的病理表現。另外,注射生理鹽水治療后跟腱的各項檢測也出現了一定恢復,這可能與膠原酶注射后引起的損傷修復較強有關[10]。
目前 PRP 的制備方法主要有密度梯度離心法和血漿分離置換法兩種,其中 Landesberg 法是經典的二次離心制備法,其操作容易、對設備要求低,在大多數研究中顯示所制備的 PRP 中血小板含量和血小板回收率均較高[11-12]。本實驗采用此法獲得的 PRP 血小板濃度為全血的 3~5 倍,能夠滿足實驗治療需求。
微小組織和血管病理改變常導致跟腱硬度發生變化,使用超聲彈性定量成像技術能夠定性、定量分析跟腱硬度或彈性的變化程度,具有可行性和可重復性,對跟腱病的診斷及判斷其預后有較好作用[13-14],與傳統方法相比,該技術能夠與臨床結合,檢測人跟腱病的變化情況,其檢測效果也能與生物力學、ELISA 以及病理檢測等基礎實驗結果相互印證。本研究發現膠原酶造模后兔跟腱硬度明顯減小,最大斷裂負荷降低,Ⅰ型膠原蛋白表達減少、Ⅲ型膠原蛋白表達增加,跟腱纖維嚴重破壞、部分膠原纖維斷裂甚至溶解。由于膠原酶注射產生的跟腱病理變化同人類跟腱病最后階段的病理變化一樣,產生炎性反應后出現了以組織降解為主的病理變化,同時伴隨力學性能(如剛度和應力)的降低[15],在跟腱病病理過程中膠原基質降解、基質金屬蛋白酶 1 增加、基質金屬蛋白酶抑制劑降低和溶解膠原活性增加導致膠原排列紊亂,Ⅰ型膠原減少、Ⅲ型膠原增加[16-17],這些組織結構的改變必然導致跟腱生物硬度降低、力學特性受損。這也與吳言等[18]的研究結果一致。
PRP 注射治療后,跟腱硬度增加并趨于正常,最大斷裂負荷增加,組織學觀察也發現膠原纖維卷曲減輕,結構破壞恢復,提示 PRP 注射后促進了跟腱病的修復。PRP 含有 TGF-β1、PDGF、VEGF 和 IGF-1 等多種生長因子,在創傷愈合過程中具有促進細胞增殖,膠原合成、分泌以及炎性趨化的作用。耿震等[19]認為這可能與 PRP 使肌腱中 TGF-β1 表達提前達峰值有關。Ⅰ型膠原具有強度大、彈性低的特點,主要起組織穩定作用;Ⅲ型膠原含量較少,在跟腱修復過程中表達增加,隨著Ⅲ型膠原轉化為Ⅰ型膠原,跟腱性能得到恢復[20]。本研究表明 PRP 通過促進Ⅰ、Ⅲ型膠原蛋白表達,可能促進了跟腱的修復。
另外,本研究也存在一定局限:動物模型與臨床患者之間存在一定差異,不能完全反映跟腱病的檢測和治療恢復過程;離體生物力學測試與活體狀態下有所不同,跟腱病恢復程度可能與 PRP 注射劑量、頻率和方法等因素有關,需要進一步探索。
作者貢獻:鞏棟、趙茂勝、蘇文財負責實驗實施、數據收集整理、文章撰寫;鞏棟、董晨輝負責科研設計、統計分析;鄧銀栓負責查閱修改文本;甄平負責審校論文。
利益沖突:所有作者聲明,在課題研究和文章撰寫過程中不存在利益沖突。經費支持沒有影響文章觀點和對研究數據客觀結果的統計分析及其報道。
機構倫理問題:研究方案經中國人民解放軍聯勤保障部隊第九四〇醫院醫學倫理委員會批準(2019KYLL034)。實驗過程遵循《關于善待實驗動物的指導性意見》處理動物。實驗動物使用許可證號:SYXK(軍)2017-0046。
跟腱過度使用性損傷稱為跟腱病,臨床表現為局灶性疼痛、晨僵和功能受限,影響患者生活質量[1]。目前跟腱病治療方法較多,包括康復鍛煉與休息、理療、沖擊波、非甾體抗炎藥、激素、自體血制品以及手術等,但尚無一種能獲得理想療效[2]。富血小板血漿(platelet-rich plasma,PRP)是全血經離心后獲得的血小板超過生理濃度數倍的血液制品,含有豐富的 TGF-β、FGF、結締組織生長因子等多種生長因子,可促進軟組織損傷修復,同時具有制備簡便、創傷小、無免疫排斥反應等優勢,近年來被廣泛用于肌腱、韌帶、軟骨以及其他軟組織損傷的臨床治療[3],但目前 PRP 用于跟腱病的治療劑量、治療頻率和治療效果等方面仍存在爭議,且缺少定量評價指標[4]。本研究通過注射Ⅰ型膠原酶制備兔跟腱病模型,以自體血二次離心法制備的 PRP 進行治療并觀察療效,以期為臨床應用 PRP 治療跟腱病提供參考。
1 材料與方法
1.1 實驗動物及主要試劑、儀器
健康成年新西蘭大白兔 48 只,體質量 2.5~3.0 kg,雌雄不限,由聯勤保障部隊第九四〇醫院動物實驗中心提供。
Ⅰ型膠原酶(Sigma 公司,美國);4% 多聚甲醛(武漢博士德生物工程有限公司);HE 染色試劑盒、Masson 染色試劑盒(上海碧云天生物技術有限公司);兔Ⅰ型膠原及Ⅲ型膠原 ELISA 檢測試劑盒(上海酶聯生物科技有限公司)。
微量注射器(寧波三愛儀器廠);高速冷凍離心機(上海盧湘儀離心機儀器有限公司);全自動動物血液分析儀(Sysmex 公司,日本);彩色多普勒超聲診斷儀(Mylab Twice 公司,意大利);酶標儀(Bio-Rad 公司,美國);萬能電子拉力試驗機(島津公司,日本)。
1.2 實驗分組及方法
將 48 只新西蘭大白兔隨機分為模型組(A 組)、模型對照組(B 組)、模型+治療對照組(C 組)、模型+治療組(D 組),每組 12 只。參照 Chen 等[5]提出的跟腱病模型制備方法并進行改良,將 4 組動物以俯臥位固定于手術操作臺,耳緣靜脈注射 2% 戊巴比妥鈉(1.5 mL/kg)麻醉,左后肢跟腱處剃毛、消毒,于跟腱跟骨附著點 0.5 cm 處插入微量注射器,沿跟腱長軸緩慢推進,A、C、D 組注射Ⅰ型膠原酶 50 μL(10 000 U/mL),B 組注射等劑量生理鹽水,每周 1 次,連續注射 4 周。第 5 周開始 C、D 組于造模部位分別注射生理鹽水、自體 PRP,每周 1 次,每次 0.8 mL,連續 4 周;A、B 組不作其他處理。實驗期間所有動物均正常飼養,后肢不制動。
1.3 PRP 制備方法
參考 Landesberg 等[6]的二次離心法制備 PRP。D 組每只兔采集耳中心動脈血 10 mL,注入 EDTA 抗凝真空采血管中,反復搖晃使血液與抗凝劑混合充分后,以 200×g 離心 10 min。離心后血液分為 3 層,從上到下依次為血清層、白膜層(血小板和白細胞)和紅細胞層。吸去白膜層 2 mm 界面以下的紅細胞,剩余部分以 200×g 離心 10 min。離心后仍分為 3 層,吸去上層 3/4 上清液,剩余約 1 mL 部分搖勻即為 PRP。取部分全血和 PRP 在全自動動物血液分析儀中檢測血小板計數。結果顯示,PRP 血小板計數為(1 258.92±88.11)×109/L,是全血血小板[(336.50±40.34)×109/L]的 3~5 倍,滿足實驗治療要求[7]。
1.4 觀測指標
1.4.1 一般情況
實驗期間觀察各組動物活動、進食及有無感染等情況發生。
1.4.2 超聲彈性成像檢測
PRP 注射結束后 1 周,取各組動物行左后肢超聲彈性定量成像分析。動物俯臥位固定,去除左后肢跟腱處毛發,使用彩色多普勒超聲診斷儀,線針探頭,頻率 5~20 MHz,以儀器預設的肌骨掃描條件、彈性成像模式,在跟腱縱切面采集彈性圖像。移動探頭明確跟腱病區域后,當壓力曲線頻率幅度一致、圖像清晰穩定后保存圖像。組織內紅、綠、藍像素分別表示組織硬度相對較低、中等和較高。以注射部位為參考,利用儀器彌散定量技術分析相同感興趣區域(固定面積為 30 mm2)內藍色像素所占百分比,以 HRD%(硬度百分比)表示,代表組織相對硬度,HRD% 越大表示組織硬度越大、彈性越小。
1.4.3 跟腱力學特性檢測
超聲彈性成像檢測后,采用空氣栓塞法處死 4 組動物,立即取左后肢跟腱并使用生理鹽水及紗布覆蓋保持濕潤。跟腱兩端墊襯薄紗布防止損傷,使用特制夾具固定于萬能電子拉力試驗機上,將跟腱沿縱軸方向作拉伸試驗,預載前負荷設置為 2 N,保持適當張力,加載速率為 1 mm/s,當跟腱膠原酶注射部附近斷裂時記錄最大斷裂負荷。
1.4.4 ELISA 法檢測跟腱Ⅰ、Ⅲ型膠原蛋白含量
跟腱力學特性檢測后,將每個跟腱樣本均分為兩部分,隨機取其中一部分漂洗、稱量、剪碎后進行組織勻漿(取 1 g 組織加入 9 mL PBS);以離心半徑10 cm、3 500 r/min 離心 10 min,收集上清液。在酶標板中加入 50 μL 樣品和標準品以及 50 μL 酶標液后,在樣品孔中加入 10 μL 生物素標記液,37℃ 孵育 60 min,洗滌后加入底物 A、B 液各 50 μL,37℃ 孵育 20 min 后加入終止液,于酶標儀 450 nm 處測吸光度(A)值,繪制標準曲線計算樣本中Ⅰ、Ⅲ型膠原蛋白含量。
1.4.5 組織學觀察
取各組剩余跟腱樣本,沿纖維束方向分成兩半,PBS 漂洗后置于 4% 多聚甲醛溶液中固定 24 h,石蠟包埋,縱向切片,片厚 5 μm。常規行 HE 染色及 Masson 染色,光鏡下觀察各組跟腱纖維形態。
1.5 統計學方法
采用 SPSS19.0 統計分析軟件和 GraphPad Prism 5 統計作圖軟件進行分析。數據以均數±標準差表示,組間比較采用單因素方差分析,兩兩比較采用 LSD 檢驗;檢驗水準 α=0.05。
2 結果
2.1 一般情況
各組動物均存活,實驗期間正常活動、進食,無感染等情況發生。
2.2 超聲彈性成像檢測
A 組:跟腱局部及周邊組織以綠、紅像素為主,感興趣區域內 HRD% 為 32.71%±5.23%;B 組:跟腱局部及周邊組織以綠、藍像素為主,感興趣區域內 HRD% 為 63.28%±4.37%;C 組:跟腱局部及周邊組織以綠、紅像素為主,感興趣區域內 HRD% 為 37.94%±3.71%;D 組:跟腱局部及周邊組織以綠、藍像素為主,感興趣區域內 HRD% 為 56.62%±4.82%。見圖 1。A 組感興趣區域內 HRD% 顯著小于 B 組,C 組顯著小于 D 組,差異均有統計學意義(P<0.05)。

圓圈內表示感興趣區域 a. A 組;b. B 組;c. C 組;d. D 組
Figure1. Achilles tendon hardness was evaluated by ultrasound elastic quantitative imagingThe circle indicated the interesting area a. Group A; b. Group B; c. Group C; d. Group D
2.3 跟腱力學特性檢測
A、B、C、D 組最大斷裂負荷分別為(36.32±9.81)、(112.25±11.03)、(43.73±8.93)、(91.17±12.61)N。A 組最大斷裂負荷顯著小于 B 組,C 組顯著小于 D 組,差異均有統計學意義(P<0.05)。
2.4 ELISA 檢測 Ⅰ、Ⅲ型膠原蛋白含量
A、B、C、D 組Ⅰ型膠原蛋白含量分別為(122.27±8.36)、(183.62±9.34)、(128.56±9.78)、(162.13±10.45)ng/mg,A 組顯著低于 B 組,C 組顯著低于 D 組,差異均有統計學意義(P<0.05)。
A、B、C、D 組Ⅲ型膠原蛋白含量分別為(15.72±1.18)、(12.30±1.29)、(12.78±1.31)、(16.17±1.09)ng/mg,A 組顯著高于 B 組,D 組顯著高于 C 組,差異均有統計學意義(P<0.05)。
2.5 組織學觀察
HE 染色和 Masson 染色結果顯示:A 組跟腱纖維多呈嚴重不規則卷曲,結構破壞、松弛、排列紊亂,纖維組織碎片增多,相鄰束間界限不清,部分膠原纖維斷裂甚至溶解。B 組跟腱纖維組織呈平行排列,整齊有序,結構完整,整體性強,相鄰纖維束之間界限清晰,分布均勻。C 組跟腱纖維呈不規則卷曲,結構排列紊亂,部分斷裂溶解,相鄰束間界限不清。D 組跟腱纖維有輕微卷曲改變,但纖維連續,排列較整齊,相鄰束間界限較清晰,無明顯斷裂溶解。見圖 2、3。

a. A 組;b. B 組;c. C 組;d. D 組
Figure2. HE staining of Achilles tendon in each group (×40)a. Group A; b. Group B; c. Group C; d. Group D

a. A 組;b. B 組;c. C 組;d. D 組
Figure3. Masson staining of Achilles tendon in each group (×40)a. Group A; b. Group B; c. Group C; d. Group D
3 討論
近年來跟腱病發病率不斷增高,各種治療方法的效果并不理想,常反復發作影響患者生活質量。PRP 因含有多種生長因子可促進組織修復,被廣泛應用于肌腱、韌帶、軟骨以及其他軟組織損傷的臨床治療,但動物實驗研究相對較少,因此我們用Ⅰ型膠原酶注射法建立兔跟腱病模型,通過超聲彈性定量成像技術、力學試驗、ELISA 和組織學觀察研究 PRP 治療跟腱病的效果。
跟腱病動物模型的建立主要有機械刺激和藥物誘導兩種方法,Ⅰ型膠原酶注射法簡便高效,與人類肌腱病后期許多表現相似,如細胞增多、基質丟失、血供增加和無菌性炎癥,膠原纖維損傷,生物力學性能降低,Ⅰ、Ⅲ型膠原表達比例倒置等,但也存在對周圍組織造成損失以及注射后引起較強的損傷修復反應等不足 [8-9]。本實驗發現Ⅰ型膠原酶注射后兔跟腱膠原纖維卷曲、結構被破壞,跟腱硬度、力學性能明顯降低,Ⅰ型膠原蛋白合成減少、Ⅲ型膠原蛋白合成增多,提示模擬出跟腱病的病理表現。另外,注射生理鹽水治療后跟腱的各項檢測也出現了一定恢復,這可能與膠原酶注射后引起的損傷修復較強有關[10]。
目前 PRP 的制備方法主要有密度梯度離心法和血漿分離置換法兩種,其中 Landesberg 法是經典的二次離心制備法,其操作容易、對設備要求低,在大多數研究中顯示所制備的 PRP 中血小板含量和血小板回收率均較高[11-12]。本實驗采用此法獲得的 PRP 血小板濃度為全血的 3~5 倍,能夠滿足實驗治療需求。
微小組織和血管病理改變常導致跟腱硬度發生變化,使用超聲彈性定量成像技術能夠定性、定量分析跟腱硬度或彈性的變化程度,具有可行性和可重復性,對跟腱病的診斷及判斷其預后有較好作用[13-14],與傳統方法相比,該技術能夠與臨床結合,檢測人跟腱病的變化情況,其檢測效果也能與生物力學、ELISA 以及病理檢測等基礎實驗結果相互印證。本研究發現膠原酶造模后兔跟腱硬度明顯減小,最大斷裂負荷降低,Ⅰ型膠原蛋白表達減少、Ⅲ型膠原蛋白表達增加,跟腱纖維嚴重破壞、部分膠原纖維斷裂甚至溶解。由于膠原酶注射產生的跟腱病理變化同人類跟腱病最后階段的病理變化一樣,產生炎性反應后出現了以組織降解為主的病理變化,同時伴隨力學性能(如剛度和應力)的降低[15],在跟腱病病理過程中膠原基質降解、基質金屬蛋白酶 1 增加、基質金屬蛋白酶抑制劑降低和溶解膠原活性增加導致膠原排列紊亂,Ⅰ型膠原減少、Ⅲ型膠原增加[16-17],這些組織結構的改變必然導致跟腱生物硬度降低、力學特性受損。這也與吳言等[18]的研究結果一致。
PRP 注射治療后,跟腱硬度增加并趨于正常,最大斷裂負荷增加,組織學觀察也發現膠原纖維卷曲減輕,結構破壞恢復,提示 PRP 注射后促進了跟腱病的修復。PRP 含有 TGF-β1、PDGF、VEGF 和 IGF-1 等多種生長因子,在創傷愈合過程中具有促進細胞增殖,膠原合成、分泌以及炎性趨化的作用。耿震等[19]認為這可能與 PRP 使肌腱中 TGF-β1 表達提前達峰值有關。Ⅰ型膠原具有強度大、彈性低的特點,主要起組織穩定作用;Ⅲ型膠原含量較少,在跟腱修復過程中表達增加,隨著Ⅲ型膠原轉化為Ⅰ型膠原,跟腱性能得到恢復[20]。本研究表明 PRP 通過促進Ⅰ、Ⅲ型膠原蛋白表達,可能促進了跟腱的修復。
另外,本研究也存在一定局限:動物模型與臨床患者之間存在一定差異,不能完全反映跟腱病的檢測和治療恢復過程;離體生物力學測試與活體狀態下有所不同,跟腱病恢復程度可能與 PRP 注射劑量、頻率和方法等因素有關,需要進一步探索。
作者貢獻:鞏棟、趙茂勝、蘇文財負責實驗實施、數據收集整理、文章撰寫;鞏棟、董晨輝負責科研設計、統計分析;鄧銀栓負責查閱修改文本;甄平負責審校論文。
利益沖突:所有作者聲明,在課題研究和文章撰寫過程中不存在利益沖突。經費支持沒有影響文章觀點和對研究數據客觀結果的統計分析及其報道。
機構倫理問題:研究方案經中國人民解放軍聯勤保障部隊第九四〇醫院醫學倫理委員會批準(2019KYLL034)。實驗過程遵循《關于善待實驗動物的指導性意見》處理動物。實驗動物使用許可證號:SYXK(軍)2017-0046。