引用本文: 曾立, 徐永明, 邢更彥. 脂多糖對破骨細胞生成及骨吸收功能作用及其機制研究. 中國修復重建外科雜志, 2018, 32(5): 568-574. doi: 10.7507/1002-1892.201712044 復制
骨是處于動態平衡中的器官[1]。骨穩態由成骨細胞和破骨細胞共同維持[2],對維持骨骼系統正常功能具有重要意義[3]。骨穩態打破后會導致許多疾病,例如破骨細胞生成增多會導致骨質疏松[4]。破骨細胞是體內唯一能夠降解骨基質的終末細胞[5]。巨噬細胞集落刺激因子(macrophage colony-stimulating factor,M-CSF)與核因子 κB 受體活化因子配體(receptor activator of nuclear factor κB ligand,RANKL)是兩種重要的細胞因子,它們在誘導小鼠骨髓源巨噬細胞(bone marrow-derived macrophages,BMMs)分化為破骨細胞的過程中發揮不可替代的作用[6]。M-CSF 可由許多類型細胞生成,但 RANKL 僅由幾種細胞生成,例如成骨細胞、骨細胞、成纖維細胞等[7]。M-CSF 不僅能促進破骨細胞前體細胞的增殖與分化[8],還能促進骨髓祖細胞上 RANKL 的受體 RANK 的表達[9]。脂多糖(lipopolysaccharide,LPS)是革蘭陰性桿菌細胞壁的主要成分,可引起炎癥性骨損失[10]。研究發現,小鼠成骨細胞和骨髓來源造血干細胞共培養時,LPS 能促進破骨細胞分化[11]。然而 LPS 促進破骨細胞生成的分子機制目前尚未明確。本研究通過采用不同濃度 LPS 培養 BMMs,分析 LPS 對破骨細胞生成、縫隙連接蛋白 43(Connexin43)表達以及骨吸收功能的影響。報告如下。
1 材料與方法
1.1 實驗動物及主要試劑、儀器
4~6 周齡雄性 C57BL/6 小鼠 4 只,體質量(15±3)g,由北京維通利華實驗動物技術有限公司提供。α-MEM 培養基、FBS(GIBCO 公司,美國);M-CSF、RANKL(R&D 公司,美國);Connexin43 抗體(Cell Signaling Technology 公司,美國);抗酒石酸酸性磷酸酶(tartrate resistant acid phosphatase,TRAP)染色試劑盒、LPS(Sigma 公司,美國);CD11b 單克隆抗體(Abcam 公司,英國);BCA 試劑盒、紅細胞裂解液、胰蛋白酶(上海碧云天生物技術有限公司);細胞計數試劑盒 8(cell counting kit 8,CCK-8;Dojindo Laboratories 公司,日本);TRIzol 試劑 (Life Technologies 公司,美國);ReverTra Ace? qPCR 試劑盒(Toyobo 公司,日本)。離心機、細胞培養箱(Thermo Fisher Scientific 公司,美國);流式細胞儀(America BD 公司,美國);光學顯微鏡(Olympus 公司,日本)。
1.2 BMMs 分離、培養及鑒定
1.2.1 BMMs 分離及培養
根據文獻[12-14]方法分離培養 BMMs。取 C57BL/6 小鼠頸椎脫臼處死后,取雙側股骨、脛骨,PBS 液沖洗骨髓腔 3 次,收集液體,用紅細胞裂解液室溫裂解 15 min,然后采用完全培養基(含 10% FBS、1% 青霉素、1% 鏈霉素的 α-MEM 培養基)于 37℃、5% CO2 條件下培養。培養 3 d 后,貼壁細胞即為 BMMs。采用胰蛋白酶消化細胞,根據實驗目的,將其接種于不同細胞培養板進行后續實驗。
1.2.2 BMMs 鑒定
棄培養基,細胞用 PBS 清洗 3 遍,胰蛋白酶消化,200 μL 1% 牛血清白蛋白重懸細胞,收集于 1.5 mL tube 管中;分別加入 CD11b 熒光抗體或其同型對照,避光孵育 20 min;加入 PBS,以離心半徑 3 cm、3 000 r/min 離心 5min;1% 牛血清白蛋白重懸。流式細胞儀檢測 BMMs 表面標志物 CD11b 的表達。
1.3 不同濃度 LPS 對細胞活性的影響
將 BMMs 接種于 96 孔板,每孔 1×104 個細胞,采用含 30 ng/mL M-CSF 的完全培養基培養。過夜細胞貼壁后,采用含不同濃度 LPS(0、100、200、500、1 000、2 000 ng/mL)和 30 ng/mL M-CSF 的完全培養基,于 37℃、5% CO2 條件下培養。培養后 24、48 h,各濃度組分別取 3 孔,棄培養基,PBS 清洗 3 次。每孔加入含 10% CCK-8 溶液的完全培養基,37℃ 下孵育 4 h,酶標儀 450 nm 波長處檢測吸光度(A)值。
1.4 LPS 誘導破骨細胞生成觀察
1.4.1 細胞分組及方法
將 BMMs 接種于 96 孔板,每孔 5×103 個細胞,過夜細胞貼壁后隨機分為 4 組。M-CSF 組:采用含 30 ng/mL M-CSF 的完全培養基培養 5 d;M-CSF+RANKL 組:采用含 30 ng/mL M-CSF+20 ng/mL RANKL 的完全培養基培養 5 d;M-CSF+RANKL+50 ng/mL LPS 組:采用含 30 ng/mL M-CSF+20 ng/mL RANKL 的完全培養基培養 3 d 后,更換為含 30 ng/mL M-CSF+20 ng/mL RANKL+50 ng/mL LPS 的完全培養基繼續培養 2 d;M-CSF+RANKL+100 ng/mL LPS 組:采用含 30 ng/mL M-CSF+20 ng/mL RANKL 的完全培養基培養 3 d 后,更換為含 30 ng/mL M-CSF+20 ng/mL RANKL+100 ng/mL LPS 的完全培養基繼續培養 2 d。培養期間每 2 天更換 1 次培養基。
1.4.2 TRAP 染色觀察
取各組細胞,棄培養基,PBS 清洗 3 次;3.7% 多聚甲醛溶液室溫處理 15 min 后,0.1% Triton X-100 處理 10 min。37℃、避光條件下,參照試劑盒說明書 TRAP 染色 40 min。光鏡下觀察,TRAP 陽性細胞呈酒紅色,TRAP 染色陽性且細胞核超過 3 個者為破骨細胞。于 4 倍鏡下,隨機選取 5 個視野,采用 Image J 軟件計算破骨細胞面積百分比(破骨細胞面積/視野面積×100%)。
1.5 LPS 對 Connexin43 表達的影響觀察
1.5.1 對 Connexin43 蛋白表達的影響
將 BMMs 接種于 6 孔板,每孔 1×105 個細胞,過夜細胞貼壁后隨機分為 2 組。對照組:采用含 30 ng/mL M-CSF+20 ng/mL RANKL 的完全培養基培養 4 d;LPS 組:采用含 30 ng/mL M-CSF+20 ng/mL RANKL 的完全培養基培養 3 d 后,更換為含 30 ng/mL M-CSF+20 ng/mL RANKL+100 ng/mL LPS 的完全培養基繼續培養 1 d。培養期間每 2 天更換培養基。
取 2 組細胞,RIPA 冰上裂解 20 min,收集液體于 4℃,離心半徑 3 cm、12 000 r/min 離心 5 min。收集上清,根據 BCA 試劑盒測定蛋白濃度。SDS 聚丙烯酰胺凝膠每孔上樣 20 μg 蛋白,電泳后轉膜至聚偏氟乙烯膜。5% 脫脂牛奶封閉 1 h,加入 Connexin43 一抗,4℃ 搖床輕搖過夜。二抗室溫孵育 1 h。GAPDH 用作內參。以與 GAPDH 灰度值比值,作為 Connexin43 蛋白相對表達量。
1.5.2 對 Connexin43 基因表達的影響
將 BMMs 接種于 6 孔板,每孔 1×105 個細胞,過夜貼壁后隨機分為 3 組。對照組;采用含 30 ng/mL M-CSF+20 ng/mL RANKL 的完全培養基培養 4 d;50 ng/mL LPS 組:采用含 30 ng/mL M-CSF+20 ng/mL RANKL 的完全培養基培養 3 d 后,更換為含 30 ng/mL M-CSF+20 ng/mL RANKL+50 ng/mL LPS 的完全培養基繼續培養 1 d;100 ng/mL LPS 組:采用含 30 ng/mL M-CSF+20 ng/mL RANKL 的完全培養基培養 3 d 后,更換為含 30 ng/mL M-CSF+20 ng/mL RANKL+100 ng/mL LPS 的完全培養基繼續培養 1 d。培養期間每 2 天更換培養基。
取 3 組細胞用 TRIzol 試劑提取細胞總的 RNA,參照 ReverTra Ace? qPCR 試劑盒說明書合成 cDNA。引物序列如下:Connexin43,上游 5'-AAGTGAAAGAGAGGTGCCCA-3',下游 5'- ACAGCGAAAGGCAGACTGTT-3';GAPDH,上游 5'-AAATGGTGAAGGTCGGTGTG-3',下游 5'-TGAAGGGGTCGTTGATGG-3'。用 2–△△Ct法計算目的基因相關表達量。
1.6 LPS 對破骨細胞骨吸收能力的影響
1.6.1 細胞分組及方法
將 BMMs 接種于 24 孔培養板,每孔 2×104 個細胞,過夜貼壁后隨機分為 4 組。M-CSF 組:采用含 30 ng/mL M-CSF 的完全培養基培養 5 d;M-CSF+RANKL 組:采用含 30 ng/mL M-CSF+20 ng/mL RANKL 的完全培養基培養 5 d;M-CSF+RANKL+50 ng/mL LPS 組:采用含 30 ng/mL M-CSF+20 ng/mL RANKL 的完全培養基培養 3 d 后,更換為含 30 ng/mL M-CSF+20 ng/mL RANKL+50 ng/mL LPS 的完全培養基繼續培養 2 d;M-CSF+RANKL+100 ng/mL LPS 組:采用含 30 ng/mL M-CSF+20 ng/mL RANKL 的完全培養基培養 3 d 后,更換為含 30 ng/mL M-CSF+20 ng/mL RANKL+100 ng/mL LPS 的完全培養基繼續培養 2 d。培養期間每 2 天更換培養基。
1.6.2 破骨細胞骨吸收瘢痕觀察
取 4 組細胞,用 10% 次氯酸鈉洗去破骨細胞,再用去離子水清洗 3 次。室溫晾干后,于 4 倍鏡下采集圖片。淺色的不規則區域為破骨細胞骨吸收所形成的吸收瘢痕,用 Image J 軟件測算骨吸收面積百分比(骨吸收瘢痕面積/視野面積×100%)。
1.7 統計學方法
采用 SPSS19.0 統計軟件進行分析。數據以均數±標準差表示,組間比較采用單因素方差分析,兩兩比較采用 Bonferroni 法;檢驗水準 α=0.05。
2 結果
2.1 BMMs 形態觀察及鑒定
鏡下觀察 BMMs 呈長梭形,偽足細長(圖 1a)。流式細胞儀鑒定示 CD11b 陽性細胞達 98.6%,提示培養的細胞為 BMMs(圖 1b)。
圖1
BMMs 形態觀察及 CD11b 鑒定
a. BMMs 細胞形態觀察(×4);b. 流式細胞儀鑒定表面特異性抗原 CD11b
Figure1. BMMs morphological observation and identification of CD11ba. Observation of BMMs morphology(×4); b. Identification of surface specific antigen CD11b by flow cytometry
2.2 不同濃度 LPS 對細胞活性的影響
CCK-8 法檢測顯示,培養 24、48 h,100 ng/mL 組 A 值明顯高于其他各組,比較差異有統計學意義(P<0.05)。其余各組間比較,差異均無統計學意義(P>0.05)。見圖 2。
圖2
CCK-8 檢測不同濃度 LPS 培養后 BMMs 細胞活性
Figure2.
CCK-8 detection of BMMs activity after LPS culture at different concentrations
2.3 LPS 誘導破骨細胞生成觀察
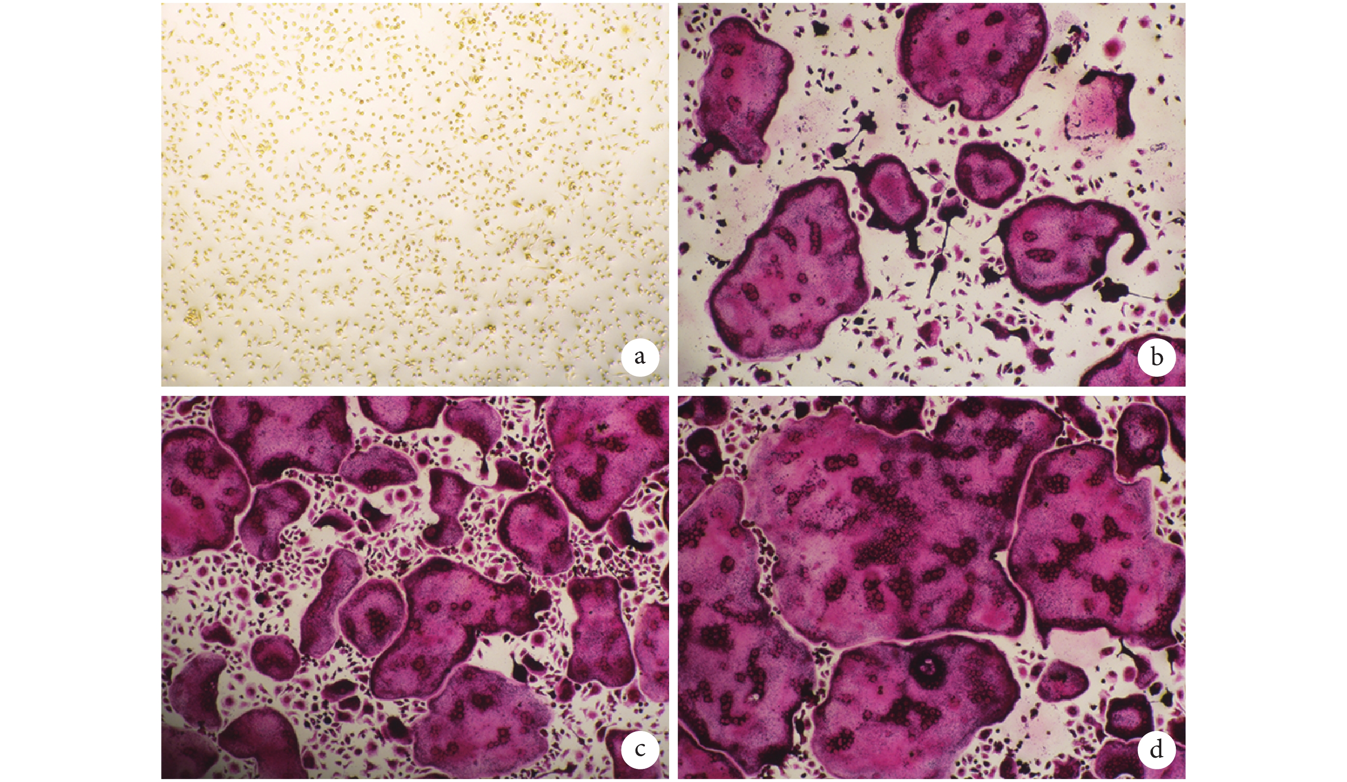
M-CSF 組未見破骨細胞生成,其余 3 組可見多核破骨細胞。與 M-CSF+RANKL 組相比,M-CSF+RANKL+50 ng/mL LPS 組、M-CSF+RANKL+100 ng/mL LPS 組破骨細胞體積更大、細胞核更多,其中 M-CSF+RANKL+100 ng/mL LPS 組最顯著。見圖 3。
M-CSF+RANKL 組、M-CSF+RANKL+50 ng/mL LPS 組、M-CSF+RANKL+100 ng/mL LPS 組破骨細胞面積百分比分別為 43.47%±3.19%、68.26%±3.71%、84.36%±4.73%,組間比較差異均有統計學意義(P<0.05)。
圖3
各組 TRAP 染色觀察(×4)
a. M-CSF 組;b. M-CSF+RANKL 組;c. M-CSF+RANKL+50 ng/mL LPS 組;d. M-CSF+RANKL+100 ng/mL LPS 組
Figure3. Observation of TRAP staining in each group after induction (×4)a. M-CSF group; b. M-CSF+RANKL group; c. M-CSF+RANKL+50 ng/mL group; d. M-CSF+RANKL+100 ng/mL LPS group
2.4 LPS 對 Connexin43 表達的影響觀察
Western blot 檢測,LPS 能促進 Connexin43 蛋白表達。LPS 組 Connexin43 蛋白相對表達量為 2.127±0.195,較對照組 1.334±0.163 明顯提高,比較差異有統計學意義(F=31.825,P=0.005)。見圖 4。
實時熒光定量 PCR 檢測示,LPS 能促進 Connexin43 基因表達。對照組、50 ng/mL LPS 組以及 100 ng/mL LPS 組 Connexin43 基因相對表達量分別為 0.618±0.135、1.112±0.252、2.327±0.285。隨 LPS 濃度增加,Connexin43 基因相對表達量逐漸增加,組間比較差異有統計學意義(P<0.05)。
圖4
Western blot 檢測 Connexin43 蛋白表達
Mr:相對分子質量 1:對照組 2:LPS 組
Figure4. Expression of Connexin43 protein detected by Western blotMr: Relative molecular mass 1: Control group 2: LPS group
2.5 LPS 對破骨細胞骨吸收能力的影響
鏡下觀察,M-CSF 組未形成破骨細胞骨吸收瘢痕。與 M-CSF+RANKL 組相比,M-CSF+RANKL+50 ng/mL LPS 組、M-CSF+RANKL+100 ng/mL LPS 組破骨細胞的骨吸收功能更強,吸收瘢痕面積更大,M-CSF+RANKL+100 ng/mL LPS 組最顯著。見圖 5。M-CSF+RANKL 組、M-CSF+RANKL+50 ng/mL LPS 組、M-CSF+RANKL+100 ng/mL LPS 組骨吸收面積百分比分別為 16.70%±4.36%、40.96%±9.61%、62.56%±8.45%,組間比較差異均有統計學意義(P<0.05)。
圖5
各組破骨細胞骨吸收觀察(×4)
a. M-CSF 組;b. M-CSF+RANKL 組;c. M-CSF+RANKL+50 ng/mL LPS 組;d. M-CSF+RANKL+100 ng/mL LPS 組
Figure5. Observation of bone resorption of osteoclasts in each group (×4)a. M-CSF group; b. M-CSF+RANKL group; c. M-CSF+RANKL+50 ng/mL group; d. M-CSF+RANKL+100 ng/mL LPS group
3 討論
RANKL/RANK/OPG信號軸的發現使體外培養破骨細胞成為了可能[15]。促進破骨細胞生成的信號通路與調節因子有NFATc1、c-fos、NF-κB等,最新研究結果指出,MafB、IRF-8、Bcl6等調節因子可以負調節破骨細胞生成過程,這些負調節因子抑制了NFATc1等的表達,從而抑制破骨細胞相關基因的表達,使破骨細胞形成過程受到抑制[16]。
破骨細胞生成分為 3 個步驟:首先是 BMMs 激活,形成 TRAP 陽性的破骨細胞前體細胞;然后破骨細胞前體細胞相互融合,形成多核巨細胞;最后通過分化和激活成為成熟的破骨細胞[17]。Connexin43 是一種縫隙連接蛋白,主要功能為介導細胞間小分子物質的交換,由相鄰兩個細胞上并列的兩個半通道組成,每個半通道又由六聚體跨膜蛋白組成[15]。文獻報道,Connexin43 在成骨細胞、肌細胞等細胞的小分子物質交換中扮演了重要角色[16],而細胞間小分子物質交換又在破骨細胞前體細胞融合過程中具有重要作用。
本實驗中,我們先鑒定了培養的細胞即 BMMs,然后經 CCK-8 細胞活性實驗發現 100 ng/mL LPS 對 BMMs 活性有明顯促進作用。在誘導破骨細胞生成過程中,我們先用 30 ng/mL M-CSF+20 ng/mL RANKL 誘導 3 d 后,再分別加入濃度為 50 ng/mL 或 100 ng/mL 的 LPS,繼續培養 2 d。TRAP 染色觀察顯示,M-CSF 組未見破骨細胞生成,M-CSF+RANKL 組經 RANKL 誘導產生了少量破骨細胞,而兩 LPS 組則進一步促進了破骨細胞的生成,生成的破骨細胞數量更多、體積更大、細胞核更多,并且這種效應呈現濃度依賴,破骨細胞面積百分比組間比較差異有統計學意義,提示 LPS 對破骨細胞生成有促進作用。然后,我們進一步觀察了 LPS 對破骨細胞骨吸收功能的影響。經誘導 5 d 后,M-CSF 組未形成破骨細胞骨吸收瘢痕,M-CSF+RANKL 組形成了少量破骨細胞骨吸收瘢痕,兩 LPS 組形成的破骨細胞骨吸收瘢痕更多、面積更大,且高濃度組效應更明顯;骨吸收百分比組間比較差異有統計學意義,提示 LPS 能夠增強破骨細胞的骨吸收功能。
調節破骨細胞前體細胞融合的基因有 Connexin43、DC-STAMP、OC-STAMP 等,它們調節破骨細胞前體細胞的遷移,細胞與細胞間的交流,主導破骨細胞前體細胞相互融合[18]。為了研究 LPS 促進破骨細胞生成的具體分子機制,我們探討了 LPS 對 Connexin43 表達的影響。Connexin43 是一種細胞間的水通道,允許 1 kDa 以下的營養素、代謝產物、離子、小分子等在細胞間彼此交換[19]。其在破骨細胞的形成、破骨細胞發揮骨吸收功能、以及骨重建過程中細胞間相互交流方面發揮了重要的作用。抑制 Connexin43 表達會抑制多核破骨細胞形成[20]。文獻報道,在誘導破骨細胞過程中 Connexin43 表達量持續下降,而 RANKL 能減弱 Connexin43 下降的幅度[21]。本研究分析了 LPS 對 Connexin43 蛋白表達量影響,結果顯示 LPS 能夠顯著促進 Connexin43 蛋白表達量的增加。同時,實時熒光定量 PCR 檢測示 LPS 能夠促進 Connexin43 基因表達,并且濃度越高作用越明顯。表明 LPS 通過促進 Connexin43 表達,提升了破骨細胞前體細胞間小分子物質的交換,促進了破骨細胞的生成,使誘導生成的破骨細胞更多、體積更大,進而提升了破骨細胞的骨吸收功能。
細菌感染是導致不必要的骨損失的重要原因。LPS 是革蘭陰性菌細胞壁的主要成分,是一種導致炎癥性骨損失的病原體[22]。臨床上,感染性骨不連、感染性關節炎的患者往往伴有骨吸收異常增強導致的骨破壞。關節置換術后感染的患者也會出現骨吸收異常增強,進而導致假體松動。本實驗證實了 LPS 對破骨細胞的生成和其骨吸收功能具有促進作用,提示臨床抗感染治療時,抑制 LPS 吸收是重要關鍵措施。
綜上述,本實驗結果顯示 LPS 能夠促進破骨細胞生成,并且加強破骨細胞的骨吸收功能。作用機制為 LPS 通過促進 Connexin43 表達,從而產生了更多破骨細胞。提示抑制 LPS 吸收可作為一種治療炎癥性骨損失相關疾病的潛在靶點。
骨是處于動態平衡中的器官[1]。骨穩態由成骨細胞和破骨細胞共同維持[2],對維持骨骼系統正常功能具有重要意義[3]。骨穩態打破后會導致許多疾病,例如破骨細胞生成增多會導致骨質疏松[4]。破骨細胞是體內唯一能夠降解骨基質的終末細胞[5]。巨噬細胞集落刺激因子(macrophage colony-stimulating factor,M-CSF)與核因子 κB 受體活化因子配體(receptor activator of nuclear factor κB ligand,RANKL)是兩種重要的細胞因子,它們在誘導小鼠骨髓源巨噬細胞(bone marrow-derived macrophages,BMMs)分化為破骨細胞的過程中發揮不可替代的作用[6]。M-CSF 可由許多類型細胞生成,但 RANKL 僅由幾種細胞生成,例如成骨細胞、骨細胞、成纖維細胞等[7]。M-CSF 不僅能促進破骨細胞前體細胞的增殖與分化[8],還能促進骨髓祖細胞上 RANKL 的受體 RANK 的表達[9]。脂多糖(lipopolysaccharide,LPS)是革蘭陰性桿菌細胞壁的主要成分,可引起炎癥性骨損失[10]。研究發現,小鼠成骨細胞和骨髓來源造血干細胞共培養時,LPS 能促進破骨細胞分化[11]。然而 LPS 促進破骨細胞生成的分子機制目前尚未明確。本研究通過采用不同濃度 LPS 培養 BMMs,分析 LPS 對破骨細胞生成、縫隙連接蛋白 43(Connexin43)表達以及骨吸收功能的影響。報告如下。
1 材料與方法
1.1 實驗動物及主要試劑、儀器
4~6 周齡雄性 C57BL/6 小鼠 4 只,體質量(15±3)g,由北京維通利華實驗動物技術有限公司提供。α-MEM 培養基、FBS(GIBCO 公司,美國);M-CSF、RANKL(R&D 公司,美國);Connexin43 抗體(Cell Signaling Technology 公司,美國);抗酒石酸酸性磷酸酶(tartrate resistant acid phosphatase,TRAP)染色試劑盒、LPS(Sigma 公司,美國);CD11b 單克隆抗體(Abcam 公司,英國);BCA 試劑盒、紅細胞裂解液、胰蛋白酶(上海碧云天生物技術有限公司);細胞計數試劑盒 8(cell counting kit 8,CCK-8;Dojindo Laboratories 公司,日本);TRIzol 試劑 (Life Technologies 公司,美國);ReverTra Ace? qPCR 試劑盒(Toyobo 公司,日本)。離心機、細胞培養箱(Thermo Fisher Scientific 公司,美國);流式細胞儀(America BD 公司,美國);光學顯微鏡(Olympus 公司,日本)。
1.2 BMMs 分離、培養及鑒定
1.2.1 BMMs 分離及培養
根據文獻[12-14]方法分離培養 BMMs。取 C57BL/6 小鼠頸椎脫臼處死后,取雙側股骨、脛骨,PBS 液沖洗骨髓腔 3 次,收集液體,用紅細胞裂解液室溫裂解 15 min,然后采用完全培養基(含 10% FBS、1% 青霉素、1% 鏈霉素的 α-MEM 培養基)于 37℃、5% CO2 條件下培養。培養 3 d 后,貼壁細胞即為 BMMs。采用胰蛋白酶消化細胞,根據實驗目的,將其接種于不同細胞培養板進行后續實驗。
1.2.2 BMMs 鑒定
棄培養基,細胞用 PBS 清洗 3 遍,胰蛋白酶消化,200 μL 1% 牛血清白蛋白重懸細胞,收集于 1.5 mL tube 管中;分別加入 CD11b 熒光抗體或其同型對照,避光孵育 20 min;加入 PBS,以離心半徑 3 cm、3 000 r/min 離心 5min;1% 牛血清白蛋白重懸。流式細胞儀檢測 BMMs 表面標志物 CD11b 的表達。
1.3 不同濃度 LPS 對細胞活性的影響
將 BMMs 接種于 96 孔板,每孔 1×104 個細胞,采用含 30 ng/mL M-CSF 的完全培養基培養。過夜細胞貼壁后,采用含不同濃度 LPS(0、100、200、500、1 000、2 000 ng/mL)和 30 ng/mL M-CSF 的完全培養基,于 37℃、5% CO2 條件下培養。培養后 24、48 h,各濃度組分別取 3 孔,棄培養基,PBS 清洗 3 次。每孔加入含 10% CCK-8 溶液的完全培養基,37℃ 下孵育 4 h,酶標儀 450 nm 波長處檢測吸光度(A)值。
1.4 LPS 誘導破骨細胞生成觀察
1.4.1 細胞分組及方法
將 BMMs 接種于 96 孔板,每孔 5×103 個細胞,過夜細胞貼壁后隨機分為 4 組。M-CSF 組:采用含 30 ng/mL M-CSF 的完全培養基培養 5 d;M-CSF+RANKL 組:采用含 30 ng/mL M-CSF+20 ng/mL RANKL 的完全培養基培養 5 d;M-CSF+RANKL+50 ng/mL LPS 組:采用含 30 ng/mL M-CSF+20 ng/mL RANKL 的完全培養基培養 3 d 后,更換為含 30 ng/mL M-CSF+20 ng/mL RANKL+50 ng/mL LPS 的完全培養基繼續培養 2 d;M-CSF+RANKL+100 ng/mL LPS 組:采用含 30 ng/mL M-CSF+20 ng/mL RANKL 的完全培養基培養 3 d 后,更換為含 30 ng/mL M-CSF+20 ng/mL RANKL+100 ng/mL LPS 的完全培養基繼續培養 2 d。培養期間每 2 天更換 1 次培養基。
1.4.2 TRAP 染色觀察
取各組細胞,棄培養基,PBS 清洗 3 次;3.7% 多聚甲醛溶液室溫處理 15 min 后,0.1% Triton X-100 處理 10 min。37℃、避光條件下,參照試劑盒說明書 TRAP 染色 40 min。光鏡下觀察,TRAP 陽性細胞呈酒紅色,TRAP 染色陽性且細胞核超過 3 個者為破骨細胞。于 4 倍鏡下,隨機選取 5 個視野,采用 Image J 軟件計算破骨細胞面積百分比(破骨細胞面積/視野面積×100%)。
1.5 LPS 對 Connexin43 表達的影響觀察
1.5.1 對 Connexin43 蛋白表達的影響
將 BMMs 接種于 6 孔板,每孔 1×105 個細胞,過夜細胞貼壁后隨機分為 2 組。對照組:采用含 30 ng/mL M-CSF+20 ng/mL RANKL 的完全培養基培養 4 d;LPS 組:采用含 30 ng/mL M-CSF+20 ng/mL RANKL 的完全培養基培養 3 d 后,更換為含 30 ng/mL M-CSF+20 ng/mL RANKL+100 ng/mL LPS 的完全培養基繼續培養 1 d。培養期間每 2 天更換培養基。
取 2 組細胞,RIPA 冰上裂解 20 min,收集液體于 4℃,離心半徑 3 cm、12 000 r/min 離心 5 min。收集上清,根據 BCA 試劑盒測定蛋白濃度。SDS 聚丙烯酰胺凝膠每孔上樣 20 μg 蛋白,電泳后轉膜至聚偏氟乙烯膜。5% 脫脂牛奶封閉 1 h,加入 Connexin43 一抗,4℃ 搖床輕搖過夜。二抗室溫孵育 1 h。GAPDH 用作內參。以與 GAPDH 灰度值比值,作為 Connexin43 蛋白相對表達量。
1.5.2 對 Connexin43 基因表達的影響
將 BMMs 接種于 6 孔板,每孔 1×105 個細胞,過夜貼壁后隨機分為 3 組。對照組;采用含 30 ng/mL M-CSF+20 ng/mL RANKL 的完全培養基培養 4 d;50 ng/mL LPS 組:采用含 30 ng/mL M-CSF+20 ng/mL RANKL 的完全培養基培養 3 d 后,更換為含 30 ng/mL M-CSF+20 ng/mL RANKL+50 ng/mL LPS 的完全培養基繼續培養 1 d;100 ng/mL LPS 組:采用含 30 ng/mL M-CSF+20 ng/mL RANKL 的完全培養基培養 3 d 后,更換為含 30 ng/mL M-CSF+20 ng/mL RANKL+100 ng/mL LPS 的完全培養基繼續培養 1 d。培養期間每 2 天更換培養基。
取 3 組細胞用 TRIzol 試劑提取細胞總的 RNA,參照 ReverTra Ace? qPCR 試劑盒說明書合成 cDNA。引物序列如下:Connexin43,上游 5'-AAGTGAAAGAGAGGTGCCCA-3',下游 5'- ACAGCGAAAGGCAGACTGTT-3';GAPDH,上游 5'-AAATGGTGAAGGTCGGTGTG-3',下游 5'-TGAAGGGGTCGTTGATGG-3'。用 2–△△Ct法計算目的基因相關表達量。
1.6 LPS 對破骨細胞骨吸收能力的影響
1.6.1 細胞分組及方法
將 BMMs 接種于 24 孔培養板,每孔 2×104 個細胞,過夜貼壁后隨機分為 4 組。M-CSF 組:采用含 30 ng/mL M-CSF 的完全培養基培養 5 d;M-CSF+RANKL 組:采用含 30 ng/mL M-CSF+20 ng/mL RANKL 的完全培養基培養 5 d;M-CSF+RANKL+50 ng/mL LPS 組:采用含 30 ng/mL M-CSF+20 ng/mL RANKL 的完全培養基培養 3 d 后,更換為含 30 ng/mL M-CSF+20 ng/mL RANKL+50 ng/mL LPS 的完全培養基繼續培養 2 d;M-CSF+RANKL+100 ng/mL LPS 組:采用含 30 ng/mL M-CSF+20 ng/mL RANKL 的完全培養基培養 3 d 后,更換為含 30 ng/mL M-CSF+20 ng/mL RANKL+100 ng/mL LPS 的完全培養基繼續培養 2 d。培養期間每 2 天更換培養基。
1.6.2 破骨細胞骨吸收瘢痕觀察
取 4 組細胞,用 10% 次氯酸鈉洗去破骨細胞,再用去離子水清洗 3 次。室溫晾干后,于 4 倍鏡下采集圖片。淺色的不規則區域為破骨細胞骨吸收所形成的吸收瘢痕,用 Image J 軟件測算骨吸收面積百分比(骨吸收瘢痕面積/視野面積×100%)。
1.7 統計學方法
采用 SPSS19.0 統計軟件進行分析。數據以均數±標準差表示,組間比較采用單因素方差分析,兩兩比較采用 Bonferroni 法;檢驗水準 α=0.05。
2 結果
2.1 BMMs 形態觀察及鑒定
鏡下觀察 BMMs 呈長梭形,偽足細長(圖 1a)。流式細胞儀鑒定示 CD11b 陽性細胞達 98.6%,提示培養的細胞為 BMMs(圖 1b)。
圖1
BMMs 形態觀察及 CD11b 鑒定
a. BMMs 細胞形態觀察(×4);b. 流式細胞儀鑒定表面特異性抗原 CD11b
Figure1. BMMs morphological observation and identification of CD11ba. Observation of BMMs morphology(×4); b. Identification of surface specific antigen CD11b by flow cytometry
2.2 不同濃度 LPS 對細胞活性的影響
CCK-8 法檢測顯示,培養 24、48 h,100 ng/mL 組 A 值明顯高于其他各組,比較差異有統計學意義(P<0.05)。其余各組間比較,差異均無統計學意義(P>0.05)。見圖 2。
圖2
CCK-8 檢測不同濃度 LPS 培養后 BMMs 細胞活性
Figure2.
CCK-8 detection of BMMs activity after LPS culture at different concentrations
2.3 LPS 誘導破骨細胞生成觀察
M-CSF 組未見破骨細胞生成,其余 3 組可見多核破骨細胞。與 M-CSF+RANKL 組相比,M-CSF+RANKL+50 ng/mL LPS 組、M-CSF+RANKL+100 ng/mL LPS 組破骨細胞體積更大、細胞核更多,其中 M-CSF+RANKL+100 ng/mL LPS 組最顯著。見圖 3。
M-CSF+RANKL 組、M-CSF+RANKL+50 ng/mL LPS 組、M-CSF+RANKL+100 ng/mL LPS 組破骨細胞面積百分比分別為 43.47%±3.19%、68.26%±3.71%、84.36%±4.73%,組間比較差異均有統計學意義(P<0.05)。
圖3
各組 TRAP 染色觀察(×4)
a. M-CSF 組;b. M-CSF+RANKL 組;c. M-CSF+RANKL+50 ng/mL LPS 組;d. M-CSF+RANKL+100 ng/mL LPS 組
Figure3. Observation of TRAP staining in each group after induction (×4)a. M-CSF group; b. M-CSF+RANKL group; c. M-CSF+RANKL+50 ng/mL group; d. M-CSF+RANKL+100 ng/mL LPS group
2.4 LPS 對 Connexin43 表達的影響觀察
Western blot 檢測,LPS 能促進 Connexin43 蛋白表達。LPS 組 Connexin43 蛋白相對表達量為 2.127±0.195,較對照組 1.334±0.163 明顯提高,比較差異有統計學意義(F=31.825,P=0.005)。見圖 4。
實時熒光定量 PCR 檢測示,LPS 能促進 Connexin43 基因表達。對照組、50 ng/mL LPS 組以及 100 ng/mL LPS 組 Connexin43 基因相對表達量分別為 0.618±0.135、1.112±0.252、2.327±0.285。隨 LPS 濃度增加,Connexin43 基因相對表達量逐漸增加,組間比較差異有統計學意義(P<0.05)。
圖4
Western blot 檢測 Connexin43 蛋白表達
Mr:相對分子質量 1:對照組 2:LPS 組
Figure4. Expression of Connexin43 protein detected by Western blotMr: Relative molecular mass 1: Control group 2: LPS group
2.5 LPS 對破骨細胞骨吸收能力的影響
鏡下觀察,M-CSF 組未形成破骨細胞骨吸收瘢痕。與 M-CSF+RANKL 組相比,M-CSF+RANKL+50 ng/mL LPS 組、M-CSF+RANKL+100 ng/mL LPS 組破骨細胞的骨吸收功能更強,吸收瘢痕面積更大,M-CSF+RANKL+100 ng/mL LPS 組最顯著。見圖 5。M-CSF+RANKL 組、M-CSF+RANKL+50 ng/mL LPS 組、M-CSF+RANKL+100 ng/mL LPS 組骨吸收面積百分比分別為 16.70%±4.36%、40.96%±9.61%、62.56%±8.45%,組間比較差異均有統計學意義(P<0.05)。
圖5
各組破骨細胞骨吸收觀察(×4)
a. M-CSF 組;b. M-CSF+RANKL 組;c. M-CSF+RANKL+50 ng/mL LPS 組;d. M-CSF+RANKL+100 ng/mL LPS 組
Figure5. Observation of bone resorption of osteoclasts in each group (×4)a. M-CSF group; b. M-CSF+RANKL group; c. M-CSF+RANKL+50 ng/mL group; d. M-CSF+RANKL+100 ng/mL LPS group
3 討論
RANKL/RANK/OPG信號軸的發現使體外培養破骨細胞成為了可能[15]。促進破骨細胞生成的信號通路與調節因子有NFATc1、c-fos、NF-κB等,最新研究結果指出,MafB、IRF-8、Bcl6等調節因子可以負調節破骨細胞生成過程,這些負調節因子抑制了NFATc1等的表達,從而抑制破骨細胞相關基因的表達,使破骨細胞形成過程受到抑制[16]。
破骨細胞生成分為 3 個步驟:首先是 BMMs 激活,形成 TRAP 陽性的破骨細胞前體細胞;然后破骨細胞前體細胞相互融合,形成多核巨細胞;最后通過分化和激活成為成熟的破骨細胞[17]。Connexin43 是一種縫隙連接蛋白,主要功能為介導細胞間小分子物質的交換,由相鄰兩個細胞上并列的兩個半通道組成,每個半通道又由六聚體跨膜蛋白組成[15]。文獻報道,Connexin43 在成骨細胞、肌細胞等細胞的小分子物質交換中扮演了重要角色[16],而細胞間小分子物質交換又在破骨細胞前體細胞融合過程中具有重要作用。
本實驗中,我們先鑒定了培養的細胞即 BMMs,然后經 CCK-8 細胞活性實驗發現 100 ng/mL LPS 對 BMMs 活性有明顯促進作用。在誘導破骨細胞生成過程中,我們先用 30 ng/mL M-CSF+20 ng/mL RANKL 誘導 3 d 后,再分別加入濃度為 50 ng/mL 或 100 ng/mL 的 LPS,繼續培養 2 d。TRAP 染色觀察顯示,M-CSF 組未見破骨細胞生成,M-CSF+RANKL 組經 RANKL 誘導產生了少量破骨細胞,而兩 LPS 組則進一步促進了破骨細胞的生成,生成的破骨細胞數量更多、體積更大、細胞核更多,并且這種效應呈現濃度依賴,破骨細胞面積百分比組間比較差異有統計學意義,提示 LPS 對破骨細胞生成有促進作用。然后,我們進一步觀察了 LPS 對破骨細胞骨吸收功能的影響。經誘導 5 d 后,M-CSF 組未形成破骨細胞骨吸收瘢痕,M-CSF+RANKL 組形成了少量破骨細胞骨吸收瘢痕,兩 LPS 組形成的破骨細胞骨吸收瘢痕更多、面積更大,且高濃度組效應更明顯;骨吸收百分比組間比較差異有統計學意義,提示 LPS 能夠增強破骨細胞的骨吸收功能。
調節破骨細胞前體細胞融合的基因有 Connexin43、DC-STAMP、OC-STAMP 等,它們調節破骨細胞前體細胞的遷移,細胞與細胞間的交流,主導破骨細胞前體細胞相互融合[18]。為了研究 LPS 促進破骨細胞生成的具體分子機制,我們探討了 LPS 對 Connexin43 表達的影響。Connexin43 是一種細胞間的水通道,允許 1 kDa 以下的營養素、代謝產物、離子、小分子等在細胞間彼此交換[19]。其在破骨細胞的形成、破骨細胞發揮骨吸收功能、以及骨重建過程中細胞間相互交流方面發揮了重要的作用。抑制 Connexin43 表達會抑制多核破骨細胞形成[20]。文獻報道,在誘導破骨細胞過程中 Connexin43 表達量持續下降,而 RANKL 能減弱 Connexin43 下降的幅度[21]。本研究分析了 LPS 對 Connexin43 蛋白表達量影響,結果顯示 LPS 能夠顯著促進 Connexin43 蛋白表達量的增加。同時,實時熒光定量 PCR 檢測示 LPS 能夠促進 Connexin43 基因表達,并且濃度越高作用越明顯。表明 LPS 通過促進 Connexin43 表達,提升了破骨細胞前體細胞間小分子物質的交換,促進了破骨細胞的生成,使誘導生成的破骨細胞更多、體積更大,進而提升了破骨細胞的骨吸收功能。
細菌感染是導致不必要的骨損失的重要原因。LPS 是革蘭陰性菌細胞壁的主要成分,是一種導致炎癥性骨損失的病原體[22]。臨床上,感染性骨不連、感染性關節炎的患者往往伴有骨吸收異常增強導致的骨破壞。關節置換術后感染的患者也會出現骨吸收異常增強,進而導致假體松動。本實驗證實了 LPS 對破骨細胞的生成和其骨吸收功能具有促進作用,提示臨床抗感染治療時,抑制 LPS 吸收是重要關鍵措施。
綜上述,本實驗結果顯示 LPS 能夠促進破骨細胞生成,并且加強破骨細胞的骨吸收功能。作用機制為 LPS 通過促進 Connexin43 表達,從而產生了更多破骨細胞。提示抑制 LPS 吸收可作為一種治療炎癥性骨損失相關疾病的潛在靶點。

