引用本文: 鄭力彬, 黃東. FTY720-P 對破骨細胞 EphA2-EphrinA2雙向信號通路作用的研究. 中國修復重建外科雜志, 2018, 32(5): 575-580. doi: 10.7507/1002-1892.201710109 復制
骨重建是骨吸收與骨形成的偶合過程[1],在破骨細胞吸收以及成骨細胞形成的過程中伴隨著偶聯機制的發生 [2-3]。骨重建過程的分子偶聯機制一直是研究熱點,而 Eph-Ephrin 雙向信號通路的發現解釋了骨重建這一偶合過程。目前研究已經發現 Eph 家族的受體酪氨酸激酶,包括 A 和 B 兩大亞族,涉及到各種細胞和器官中的生理和病理過程[4-5]。有研究證實 Eph-Ephrin 雙向信號通路參與了血管、骨組織發育和軸突導向等生理過程[6-10],而在骨組織中該雙向信號通路受哪些因素影響尚未明確。
FTY720 是通過在中藥冬蟲夏草抽提物多球殼菌素的羥鏈上引入苯環和羥烷基獲得的一種新型藥物[11],在生物體內 FTY720 可被鞘氨醇激酶磷酸化為具有生物活性的 FTY720-P[12]。研究表明,FTY720 通過抑制炎性因子的表達,進而抑制破骨細胞功能,發揮促進骨形成的作用[13]。本課題組前期實驗也證明 FTY720-P 能夠抑制破骨細胞的分化[14],并具有促進原代成骨細胞外基質成熟的作用[15],但是 FTY720-P 是否對破骨細胞上 EphA2-EphrinA2 這一重要的雙向信號通路及其下游蛋白 RhoA 產生作用尚未明確。為此,本次研究中我們采用地塞米松及1α,25-二羥維生素D3誘導小鼠巨噬細胞 RAW 264.7 為破骨細胞后,觀察 FTY720-P 對 EphA2-EphrinA2 雙向信號通路的潛在影響,為明確該藥物在破骨細胞中發揮效應的具體作用機制作奠定基礎。
1 材料與方法
1.1 主要試劑及儀器
小鼠巨噬細胞 RAW264.7(美國 ATCC 細胞庫);α-MEM(HyClone 公司,美國);FBS(杭州四季青生物工程材料有限公司); FTY720-P(Cayman 公司,美國);地塞米松、1α,25-二羥維生素D3(Sigma 公司,美國);兔來源 BMP-2 抗體、兔來源 TGF-β1 抗體、兔來源 EphA2 抗體、兔來源 EphrinA2 抗體、兔來源 RhoA 抗體(武漢博士德生物工程有限公司);抗酒石酸酸性磷酸酶(tartrate resistant acid phosphatase,TRAP)試劑盒(南京建成生物工程研究所);BCA 蛋白定量檢測試劑盒(江蘇碧云天生物技術研究所);ECL 發光液(南京凱基生物技術股份有限公司); M-MLV 逆轉錄酶(TaKaRa 公司,日本);Trizol(Invitrogen 公司,美國)。倒置相差顯微鏡(Leica 公司,德國);熒光顯微鏡(Nikon 公司,日本)。
1.2 實驗分組及方法
取 RAW264.7 細胞置于 25 mL 培養瓶中,采用含 20%FBS、100 U/mL 青霉素和鏈霉素的 α-MEM 培養基,于 37℃、5% CO2 培養箱培養;第 2 天更換培養液。待細胞復蘇并長滿瓶底后,采用 0.25% 胰蛋白酶消化,按 1∶3 比例傳代,取第 3 代細胞進行觀察。采用 0.25% 胰蛋白酶消化后,輕輕吸出細胞,分別接種至 6 孔板(1×105個/孔)及 12 孔板(5×104個/孔)。細胞完全貼壁后,6 孔板及 12 孔板每孔分別加入 2 mL 和 1 mL 破骨細胞誘導液,含 10%FBS、100 U/mL 青霉素和鏈霉素、1×10–7mol/L 地塞米松、1×10–8mol/L 1α,25-二羥維生素D3 的 α-MEM 培養基;隔天換液,誘導期間倒置相差顯微鏡觀察細胞形態。誘導培養 5 d 后,取細胞采用 TRAP 染色鑒定是否誘導分化為破骨細胞。
根據不同處理方法,將誘導成功后的破骨細胞分為兩組。兩組均加入含 10%FBS、100 U/mL 青霉素和鏈霉素的 α-MEM 培養基,實驗組另加入 400 ng /mL FTY720-P(以氯仿為溶解劑)、對照組培養基中僅加入溶解劑。置于 37℃、5% CO2 培養箱培養 48 h 后進行觀測。
1.3 觀測指標
1.3.1 實時熒光定量 PCR 檢測
取兩組細胞,Trizol 提取總 RNA,然后按 M-MLV 逆轉錄酶試劑說明書進行逆轉錄。以 GAPDH 作為內參,反應條件:95℃、1 min;95℃、10 s,59℃、20 s,45 個循環;60~95℃ 進行溶解曲線分析。檢測各基因 Ct 值,設 3 個復孔。利用 2–ΔΔCt計算各目的基因相對表達量。目的基因引物序列見表 1。

1.3.2 Western blot檢測
取兩組細胞,采用 BCA 蛋白定量檢測試劑盒進行組織蛋白定量。用 30 mg 蛋白溶解于 SDS 聚丙烯酰胺凝膠電泳后,轉移到硝酸纖維素膜上。轉膜結束后,放入 5% 脫脂奶粉,常溫孵育 2 h。封閉結束后,PBST 洗膜 3 次,每次 5 min。按照 1∶1 000 比例稀釋濃度分別加入兔來源 EphA2 抗體、兔來源 EphrinA2 抗體、兔來源 RhoA 抗體,常溫孵育 2 h。一抗孵育結束,PBST 洗 5 次,每次間隔 5 min,加入 HRP 標記的二抗(1∶2 500 比例稀釋),常溫孵育 1 h,ECL 發光液檢測需要測定的蛋白信號。實驗重復 3 次,用 Image J 軟件計算目的蛋白相對表達量。
1.3.3 免疫熒光染色觀察
免疫熒光染色檢測 BMP-2 及 TGF-β1 蛋白表達。兩組各取 2 孔細胞,吸去細胞上清,PBS 洗 1 次,4% 多聚甲醛固定細胞 20 min,PBS 洗 3 次、每次 5 min,75% 乙醇浸泡細胞,4℃ 保存過夜;第 2 天 PBS 洗 1 次、3 min,加入 0.5%TritonX-100、20 min,吸去液體,PBS 洗 2 次、每次 3 min,加入 3%BSA,37℃ 下靜置 30 min,吸去液體。分別加入 100 μL 稀釋后的抗體,37℃ 下避光保存 1 h,PBS 洗 3 次、每次 5 min;依次加入 75%、85%、100% 乙醇脫水各 1 min,干燥后加入 10 μL DAPI,封片,10 min 后熒光顯微鏡下觀察,見細胞質中高亮紅色顆粒為陽性表達。
1.4 統計學方法
采用 SPSS22.0 統計軟件進行分析。數據以均數±標準差表示,組間比較采用獨立樣本 t 檢驗;檢驗水準 α=0.05。
2 結果
2.1 細胞形態觀察及鑒定
倒置相差顯微鏡下觀察,未經誘導的 RAW264.7 細胞呈圓形或橢圓形,少數存在偽足,細胞體積較小,一般含有 1~2 個細胞核(圖 1a)。經破骨細胞誘導液誘導 2 d 后,細胞體積開始增大,由類圓形逐漸發展為長條狀或多邊形狀,細胞核多、界限不清,較模糊,可見多核細胞(圖 1b);誘導 5 d 后,可見大量具有典型破骨細胞特征的細胞,即細胞胞體較大,呈油煎蛋型、長條形、漏斗形或不規則形等,有偽足和絲狀突起,細胞胞質內可見大小不等空泡(圖 1c),典型的破骨細胞中含 2~20 個細胞核(圖 1d)。TRAP 染色鑒定均為陽性細胞,即酶活性部位呈酒紅色或橙紅色,分布于細胞胞質內,細胞核為深藍色或空泡狀(圖 1e),提示誘導培養成功。

a. 未經誘導的 RAW264.7 細胞形態(倒置相差顯微鏡×40);b. 誘導培養 2 d 后細胞形態(倒置相差顯微鏡×100);c. 誘導培養 5 d 后細胞形態(倒置相差顯微鏡×200);d. 誘導培養 5 d 后典型破骨細胞形態(倒置相差顯微鏡×400);e. 誘導培養 5 d 后 TRAP 染色(熒光顯微鏡×400)
Figure1. Observation of cell culturea. Morphology of RAW264.7 macrophages before induced (Inverted phase contrast microscope×40); b. Cellular morphology after induced for 2 days (Inverted phase contrast microscope×100); c. Cellular morphology after induced for 5 days (Inverted phase contrast microscope×200); d. Typical morphology of osteoclasts after induced for 5 days (Inverted phase contrast microscope×400); e. TRAP staining after induced for 5 days (Fluorescence microscope×400)
2.2 實時熒光定量 PCR 檢測
實驗組 EphA2 及 EphrinA2 mRNA 相對表達量分別為 0.148±0.015、0.086±0.005,對照組分別為 1.001±0.059、1.002±0.137。與對照組相比,實驗組 EphA2 及 EphrinA2 mRNA 相對表達量明顯降低,比較差異均有統計學意義(t=27.130,P=0.001;t=11.850,P=0.007)。
實驗組 BMP-2 及 TGF-β1 mRNA 相對表達量分別為 1.858±0.442、1.536±0.074,對照組分別為 0.851±0.191、0.950±0.171。與對照組相比,實驗組 BMP-2 及 TGF-β1 mRNA 相對表達量明顯增高,比較差異均有統計學意義(t=5.001,P=0.037;t=5.102,P=0.036)。
2.3 Western blot 檢測
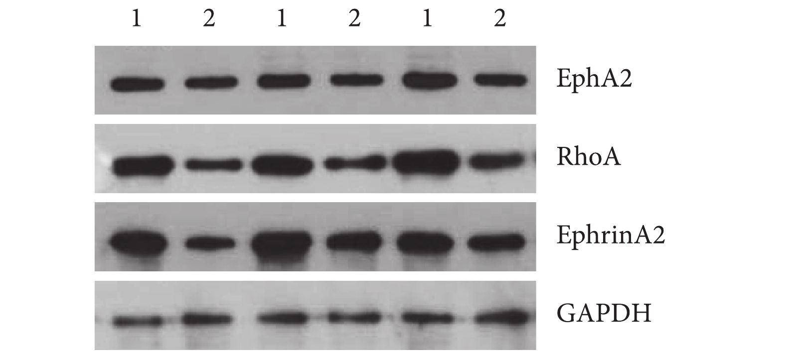
實驗組 EphA2、EphrinA2 和 RhoA 蛋白相對表達量分別為 1.06±0.01、1.18±0.08、1.01±0.04,對照組分別為 1.15±0.04、1.38±0.06、1.27±0.10。與對照組相比,實驗組 EphA2、EphrinA2 和 RhoA 蛋白相對表達量均顯著下降,比較差異均有統計學意義(t=5.029,P=0.037;t=4.949,P=0.038;t=4.382,P=0.048)。見圖 2。

1:對照組 2:實驗組
Figure2. Expressions of EphA2, EphrinA2, and RhoA proteins in2 groups by Western blot detection1: Control group 2: Experimental group
2.4 免疫熒光染色觀察
對照組 BMP-2 和 TGF-β1免疫熒光染色呈弱陽性反應,可見少量細胞胞質中有散在、高亮紅色顆粒。而實驗組 BMP-2 和 TGF-β1 免疫熒光染色均顯著增強,可見大量細胞胞質中有散在、高亮紅色顆粒。見圖 3、4。

從左至右分別為 DAPI 染色、BMP-2 染色、重疊圖像 a. 對照組; b. 實驗組
Figure3. BMP-2 immunofluorescence staining of 2 groups (Fluorescence microscope×400)From left to right for DAPI staining, BMP-2 staining, and overlapping images, respectively a. Control group; b. Experimental group

從左至右分別為 DAPI 染色、TGF-β1 染色、重疊圖像 a. 對照組; b. 實驗組
Figure4. TGF-β1 immunofluorescence staining of 2 groups (Fluorescence microscope×400)From left to right for DAPI staining, TGF-β1 staining, and overlapping images, respectively a. Control group; b. Experimental group
3 討論
骨重建中,破骨細胞和成骨細胞的平衡是維持骨穩定的關鍵,Eph 和 Ephrin 蛋白參與調節這一過程[16]。EphA2-EphrinA2 的接觸發生于破骨細胞分化的多個階段,例如前體破骨細胞和成熟的破骨細胞,能導致早期前體破骨細胞的分化,加速細胞間的融合和功能的活化。與 EphA2 和 EphrinA2 在運動神經元中的拮抗作用相反,EphrinA2 的反向信號傳導和 EphA2 的正向信號傳導均能促進破骨細胞的分化[17]。Diercke 等[18]研究發現體外使用 EphrinA2 刺激牙槽骨成骨細胞能明顯抑制成骨基因表達,同時抑制成骨分化,提示 Eph 受體/Ephrin 配體家族對骨組織的潛在作用。Irie 等[1]報道,EphA2-EphrinA2 雙向信號通路能通過上調 RhoA 的表達,來抑制成骨細胞分化、促進破骨細胞分化。為此,為了驗證 FTY720-P 對破骨細胞上 EphA2-EphrinA2 雙向信號通路及下游 RhoA 蛋白的影響,本研究將 FTY720-P 作用于誘導成功后的破骨細胞,利用 Western blot 和實時熒光定量 PCR 檢測 EphA2、EphrinA2 和 RhoA 蛋白和基因表達變化。結果顯示,實驗組以上指標表達較對照組均明顯減少,明確了 FTY720-P 對 EphA2-EphrinA2 雙向信號通路及其下游 RhoA 蛋白表達的影響。
TGF-β1 與骨代謝密切相關,有研究表明 TGF-β1 不僅能促進成骨細胞的增殖、成熟,也能促進破骨細胞的凋亡,減輕破骨細胞的破骨作用,增加骨密度[19-22],而 BMP-2 是目前公認的骨生長誘導因子,能夠誘導成骨細胞的分化并增強成骨細胞內 ALP 的活性[23-24]。因此,本研究也觀察了 FTY720-P 對 TGF-β1 以及 BMP-2 的影響。結果顯示,實驗組 FTY720-P 作用于破骨細胞 48 h 后,TGF-β1 和 BMP-2 蛋白表達增強及基因相對表達量明顯升高。BMP-2 表達水平升高提示在骨重建過程中,FTY720-P 能夠通過促進破骨細胞分泌 BMP-2,從而促進成骨細胞的分化成熟。而 TGF-β1 表達水平升高則表明破骨細胞的破骨作用得到抑制,同時成骨細胞的增殖、成熟能力增強。
綜上述,本研究結果提示,FTY720-P 能通過影響破骨細胞 EphA2-EphrinA2 雙向信號通路間的傳導下調 RhoA,同時還能促進 TGF-β1 和 BMP-2 的表達,最終影響破骨細胞的破骨作用。但是,FTY720-P 除能夠通過作用于 EphA2-EphrinA2 雙向信號通路,從而影響破骨細胞的分化之外,能否影響成骨細胞的形成,本實驗尚未進行深入探討,有待后續實驗研究。
骨重建是骨吸收與骨形成的偶合過程[1],在破骨細胞吸收以及成骨細胞形成的過程中伴隨著偶聯機制的發生 [2-3]。骨重建過程的分子偶聯機制一直是研究熱點,而 Eph-Ephrin 雙向信號通路的發現解釋了骨重建這一偶合過程。目前研究已經發現 Eph 家族的受體酪氨酸激酶,包括 A 和 B 兩大亞族,涉及到各種細胞和器官中的生理和病理過程[4-5]。有研究證實 Eph-Ephrin 雙向信號通路參與了血管、骨組織發育和軸突導向等生理過程[6-10],而在骨組織中該雙向信號通路受哪些因素影響尚未明確。
FTY720 是通過在中藥冬蟲夏草抽提物多球殼菌素的羥鏈上引入苯環和羥烷基獲得的一種新型藥物[11],在生物體內 FTY720 可被鞘氨醇激酶磷酸化為具有生物活性的 FTY720-P[12]。研究表明,FTY720 通過抑制炎性因子的表達,進而抑制破骨細胞功能,發揮促進骨形成的作用[13]。本課題組前期實驗也證明 FTY720-P 能夠抑制破骨細胞的分化[14],并具有促進原代成骨細胞外基質成熟的作用[15],但是 FTY720-P 是否對破骨細胞上 EphA2-EphrinA2 這一重要的雙向信號通路及其下游蛋白 RhoA 產生作用尚未明確。為此,本次研究中我們采用地塞米松及1α,25-二羥維生素D3誘導小鼠巨噬細胞 RAW 264.7 為破骨細胞后,觀察 FTY720-P 對 EphA2-EphrinA2 雙向信號通路的潛在影響,為明確該藥物在破骨細胞中發揮效應的具體作用機制作奠定基礎。
1 材料與方法
1.1 主要試劑及儀器
小鼠巨噬細胞 RAW264.7(美國 ATCC 細胞庫);α-MEM(HyClone 公司,美國);FBS(杭州四季青生物工程材料有限公司); FTY720-P(Cayman 公司,美國);地塞米松、1α,25-二羥維生素D3(Sigma 公司,美國);兔來源 BMP-2 抗體、兔來源 TGF-β1 抗體、兔來源 EphA2 抗體、兔來源 EphrinA2 抗體、兔來源 RhoA 抗體(武漢博士德生物工程有限公司);抗酒石酸酸性磷酸酶(tartrate resistant acid phosphatase,TRAP)試劑盒(南京建成生物工程研究所);BCA 蛋白定量檢測試劑盒(江蘇碧云天生物技術研究所);ECL 發光液(南京凱基生物技術股份有限公司); M-MLV 逆轉錄酶(TaKaRa 公司,日本);Trizol(Invitrogen 公司,美國)。倒置相差顯微鏡(Leica 公司,德國);熒光顯微鏡(Nikon 公司,日本)。
1.2 實驗分組及方法
取 RAW264.7 細胞置于 25 mL 培養瓶中,采用含 20%FBS、100 U/mL 青霉素和鏈霉素的 α-MEM 培養基,于 37℃、5% CO2 培養箱培養;第 2 天更換培養液。待細胞復蘇并長滿瓶底后,采用 0.25% 胰蛋白酶消化,按 1∶3 比例傳代,取第 3 代細胞進行觀察。采用 0.25% 胰蛋白酶消化后,輕輕吸出細胞,分別接種至 6 孔板(1×105個/孔)及 12 孔板(5×104個/孔)。細胞完全貼壁后,6 孔板及 12 孔板每孔分別加入 2 mL 和 1 mL 破骨細胞誘導液,含 10%FBS、100 U/mL 青霉素和鏈霉素、1×10–7mol/L 地塞米松、1×10–8mol/L 1α,25-二羥維生素D3 的 α-MEM 培養基;隔天換液,誘導期間倒置相差顯微鏡觀察細胞形態。誘導培養 5 d 后,取細胞采用 TRAP 染色鑒定是否誘導分化為破骨細胞。
根據不同處理方法,將誘導成功后的破骨細胞分為兩組。兩組均加入含 10%FBS、100 U/mL 青霉素和鏈霉素的 α-MEM 培養基,實驗組另加入 400 ng /mL FTY720-P(以氯仿為溶解劑)、對照組培養基中僅加入溶解劑。置于 37℃、5% CO2 培養箱培養 48 h 后進行觀測。
1.3 觀測指標
1.3.1 實時熒光定量 PCR 檢測
取兩組細胞,Trizol 提取總 RNA,然后按 M-MLV 逆轉錄酶試劑說明書進行逆轉錄。以 GAPDH 作為內參,反應條件:95℃、1 min;95℃、10 s,59℃、20 s,45 個循環;60~95℃ 進行溶解曲線分析。檢測各基因 Ct 值,設 3 個復孔。利用 2–ΔΔCt計算各目的基因相對表達量。目的基因引物序列見表 1。

1.3.2 Western blot檢測
取兩組細胞,采用 BCA 蛋白定量檢測試劑盒進行組織蛋白定量。用 30 mg 蛋白溶解于 SDS 聚丙烯酰胺凝膠電泳后,轉移到硝酸纖維素膜上。轉膜結束后,放入 5% 脫脂奶粉,常溫孵育 2 h。封閉結束后,PBST 洗膜 3 次,每次 5 min。按照 1∶1 000 比例稀釋濃度分別加入兔來源 EphA2 抗體、兔來源 EphrinA2 抗體、兔來源 RhoA 抗體,常溫孵育 2 h。一抗孵育結束,PBST 洗 5 次,每次間隔 5 min,加入 HRP 標記的二抗(1∶2 500 比例稀釋),常溫孵育 1 h,ECL 發光液檢測需要測定的蛋白信號。實驗重復 3 次,用 Image J 軟件計算目的蛋白相對表達量。
1.3.3 免疫熒光染色觀察
免疫熒光染色檢測 BMP-2 及 TGF-β1 蛋白表達。兩組各取 2 孔細胞,吸去細胞上清,PBS 洗 1 次,4% 多聚甲醛固定細胞 20 min,PBS 洗 3 次、每次 5 min,75% 乙醇浸泡細胞,4℃ 保存過夜;第 2 天 PBS 洗 1 次、3 min,加入 0.5%TritonX-100、20 min,吸去液體,PBS 洗 2 次、每次 3 min,加入 3%BSA,37℃ 下靜置 30 min,吸去液體。分別加入 100 μL 稀釋后的抗體,37℃ 下避光保存 1 h,PBS 洗 3 次、每次 5 min;依次加入 75%、85%、100% 乙醇脫水各 1 min,干燥后加入 10 μL DAPI,封片,10 min 后熒光顯微鏡下觀察,見細胞質中高亮紅色顆粒為陽性表達。
1.4 統計學方法
采用 SPSS22.0 統計軟件進行分析。數據以均數±標準差表示,組間比較采用獨立樣本 t 檢驗;檢驗水準 α=0.05。
2 結果
2.1 細胞形態觀察及鑒定
倒置相差顯微鏡下觀察,未經誘導的 RAW264.7 細胞呈圓形或橢圓形,少數存在偽足,細胞體積較小,一般含有 1~2 個細胞核(圖 1a)。經破骨細胞誘導液誘導 2 d 后,細胞體積開始增大,由類圓形逐漸發展為長條狀或多邊形狀,細胞核多、界限不清,較模糊,可見多核細胞(圖 1b);誘導 5 d 后,可見大量具有典型破骨細胞特征的細胞,即細胞胞體較大,呈油煎蛋型、長條形、漏斗形或不規則形等,有偽足和絲狀突起,細胞胞質內可見大小不等空泡(圖 1c),典型的破骨細胞中含 2~20 個細胞核(圖 1d)。TRAP 染色鑒定均為陽性細胞,即酶活性部位呈酒紅色或橙紅色,分布于細胞胞質內,細胞核為深藍色或空泡狀(圖 1e),提示誘導培養成功。

a. 未經誘導的 RAW264.7 細胞形態(倒置相差顯微鏡×40);b. 誘導培養 2 d 后細胞形態(倒置相差顯微鏡×100);c. 誘導培養 5 d 后細胞形態(倒置相差顯微鏡×200);d. 誘導培養 5 d 后典型破骨細胞形態(倒置相差顯微鏡×400);e. 誘導培養 5 d 后 TRAP 染色(熒光顯微鏡×400)
Figure1. Observation of cell culturea. Morphology of RAW264.7 macrophages before induced (Inverted phase contrast microscope×40); b. Cellular morphology after induced for 2 days (Inverted phase contrast microscope×100); c. Cellular morphology after induced for 5 days (Inverted phase contrast microscope×200); d. Typical morphology of osteoclasts after induced for 5 days (Inverted phase contrast microscope×400); e. TRAP staining after induced for 5 days (Fluorescence microscope×400)
2.2 實時熒光定量 PCR 檢測
實驗組 EphA2 及 EphrinA2 mRNA 相對表達量分別為 0.148±0.015、0.086±0.005,對照組分別為 1.001±0.059、1.002±0.137。與對照組相比,實驗組 EphA2 及 EphrinA2 mRNA 相對表達量明顯降低,比較差異均有統計學意義(t=27.130,P=0.001;t=11.850,P=0.007)。
實驗組 BMP-2 及 TGF-β1 mRNA 相對表達量分別為 1.858±0.442、1.536±0.074,對照組分別為 0.851±0.191、0.950±0.171。與對照組相比,實驗組 BMP-2 及 TGF-β1 mRNA 相對表達量明顯增高,比較差異均有統計學意義(t=5.001,P=0.037;t=5.102,P=0.036)。
2.3 Western blot 檢測
實驗組 EphA2、EphrinA2 和 RhoA 蛋白相對表達量分別為 1.06±0.01、1.18±0.08、1.01±0.04,對照組分別為 1.15±0.04、1.38±0.06、1.27±0.10。與對照組相比,實驗組 EphA2、EphrinA2 和 RhoA 蛋白相對表達量均顯著下降,比較差異均有統計學意義(t=5.029,P=0.037;t=4.949,P=0.038;t=4.382,P=0.048)。見圖 2。

1:對照組 2:實驗組
Figure2. Expressions of EphA2, EphrinA2, and RhoA proteins in2 groups by Western blot detection1: Control group 2: Experimental group
2.4 免疫熒光染色觀察
對照組 BMP-2 和 TGF-β1免疫熒光染色呈弱陽性反應,可見少量細胞胞質中有散在、高亮紅色顆粒。而實驗組 BMP-2 和 TGF-β1 免疫熒光染色均顯著增強,可見大量細胞胞質中有散在、高亮紅色顆粒。見圖 3、4。

從左至右分別為 DAPI 染色、BMP-2 染色、重疊圖像 a. 對照組; b. 實驗組
Figure3. BMP-2 immunofluorescence staining of 2 groups (Fluorescence microscope×400)From left to right for DAPI staining, BMP-2 staining, and overlapping images, respectively a. Control group; b. Experimental group

從左至右分別為 DAPI 染色、TGF-β1 染色、重疊圖像 a. 對照組; b. 實驗組
Figure4. TGF-β1 immunofluorescence staining of 2 groups (Fluorescence microscope×400)From left to right for DAPI staining, TGF-β1 staining, and overlapping images, respectively a. Control group; b. Experimental group
3 討論
骨重建中,破骨細胞和成骨細胞的平衡是維持骨穩定的關鍵,Eph 和 Ephrin 蛋白參與調節這一過程[16]。EphA2-EphrinA2 的接觸發生于破骨細胞分化的多個階段,例如前體破骨細胞和成熟的破骨細胞,能導致早期前體破骨細胞的分化,加速細胞間的融合和功能的活化。與 EphA2 和 EphrinA2 在運動神經元中的拮抗作用相反,EphrinA2 的反向信號傳導和 EphA2 的正向信號傳導均能促進破骨細胞的分化[17]。Diercke 等[18]研究發現體外使用 EphrinA2 刺激牙槽骨成骨細胞能明顯抑制成骨基因表達,同時抑制成骨分化,提示 Eph 受體/Ephrin 配體家族對骨組織的潛在作用。Irie 等[1]報道,EphA2-EphrinA2 雙向信號通路能通過上調 RhoA 的表達,來抑制成骨細胞分化、促進破骨細胞分化。為此,為了驗證 FTY720-P 對破骨細胞上 EphA2-EphrinA2 雙向信號通路及下游 RhoA 蛋白的影響,本研究將 FTY720-P 作用于誘導成功后的破骨細胞,利用 Western blot 和實時熒光定量 PCR 檢測 EphA2、EphrinA2 和 RhoA 蛋白和基因表達變化。結果顯示,實驗組以上指標表達較對照組均明顯減少,明確了 FTY720-P 對 EphA2-EphrinA2 雙向信號通路及其下游 RhoA 蛋白表達的影響。
TGF-β1 與骨代謝密切相關,有研究表明 TGF-β1 不僅能促進成骨細胞的增殖、成熟,也能促進破骨細胞的凋亡,減輕破骨細胞的破骨作用,增加骨密度[19-22],而 BMP-2 是目前公認的骨生長誘導因子,能夠誘導成骨細胞的分化并增強成骨細胞內 ALP 的活性[23-24]。因此,本研究也觀察了 FTY720-P 對 TGF-β1 以及 BMP-2 的影響。結果顯示,實驗組 FTY720-P 作用于破骨細胞 48 h 后,TGF-β1 和 BMP-2 蛋白表達增強及基因相對表達量明顯升高。BMP-2 表達水平升高提示在骨重建過程中,FTY720-P 能夠通過促進破骨細胞分泌 BMP-2,從而促進成骨細胞的分化成熟。而 TGF-β1 表達水平升高則表明破骨細胞的破骨作用得到抑制,同時成骨細胞的增殖、成熟能力增強。
綜上述,本研究結果提示,FTY720-P 能通過影響破骨細胞 EphA2-EphrinA2 雙向信號通路間的傳導下調 RhoA,同時還能促進 TGF-β1 和 BMP-2 的表達,最終影響破骨細胞的破骨作用。但是,FTY720-P 除能夠通過作用于 EphA2-EphrinA2 雙向信號通路,從而影響破骨細胞的分化之外,能否影響成骨細胞的形成,本實驗尚未進行深入探討,有待后續實驗研究。