引用本文: 賀斌, 陶海鷹, 劉世清. 羧甲基殼聚糖對氧化應激誘導雪旺細胞凋亡及BDNF與GDNF表達的影響. 中國修復重建外科雜志, 2014, 28(12): 1530-1535. doi: 10.7507/1002-1892.20140331 復制
雪旺細胞(Schwann cells,SCs)是周圍神經系統的主要膠質細胞,生理狀態下SCs可分泌多種神經營養因子,在脊髓及周圍神經損傷修復中發揮重要作用[1]。研究表明,炎性因子、細胞氧化損傷、纖維組織增生等可誘導SCs發生凋亡[2],而氧化應激誘導SCs凋亡是周圍神經退變性疾病發生的重要機制。羧甲基殼聚糖(carboxymethylated chitosan,CMCS)是殼聚糖經羧甲基化反應后得到的水溶性衍生物,具有良好降解性及生物學活性[3-4]。我們既往研究發現CMCS對軟骨細胞退變及凋亡具有一定的保護作用,并抑制骨關節炎的發生 [5-6]。將CMCS應用于體外培養的SCs后,能促進SCs的增殖及分泌NGF、睫狀神經營養因子,并激活MEK/ERK、PI3K/Akt、Wnt/β-catenin及NF-κB信號通路[7-10]。腦源性神經營養因子(brain derived neurotrophic factor,BDNF)和膠質細胞源性神經營養因子(glial cell line derived neurotrophic factor,GDNF)是兩種重要的神經營養因子,不僅能促進神經元再生,還能夠誘導神經干細胞向神經元分化[11- 12]。本次實驗旨在采用不同濃度H2O2溶液體外誘導培養SCs,構建SCs氧化應激凋亡模型,進一步研究CMCS對SCs氧化應激凋亡的保護作用及對SCs分泌BDNF、GDNF的影響。報告如下。
1 材料與方法
1.1 實驗動物及主要試劑、儀器
3~5日齡SD大鼠24只,體重25~30 g,雌雄不限,由武漢大學醫學部實驗動物中心提供。
CMCS(純度99%,武漢大學資源與環境科學學院提供);DMEM/F12培養基、FBS(GIBCO公司,美國);胰蛋白酶、Ⅱ型膠原酶、TRIzol、PCR引物(Invitrogen公司,美國);CCK-8細胞增殖檢測試劑盒(Dojindo公司,日本);實時定量PCR試劑盒(大連寶生物工程有限公司);細胞裂解液、BCA蛋白定量試劑盒(北京普利萊基因技術有限公司);細胞凋亡檢測試劑盒(Biosciences公司,美國);兔抗鼠BDNF、GDNF一抗(Cell Signaling Technology公司,美國);兔抗鼠S-100一抗、β-actin一抗、辣根過氧化物酶標記羊抗兔二抗、FITC標記羊抗兔二抗(Santa Cruz公司,美國)。CKX41型倒置顯微鏡、倒置熒光顯微鏡(Olympus公司,日本);蛋白質垂直電泳槽、穩壓穩流電泳儀、圖像分析軟件(Bio-Rad公司,美國);Prism 7500實時定量PCR系統(ABI公司,美國);VICTOR3酶標儀(PerkenElmer公司,美國)。
1.2 SCs分離培養及純化
取3~5日齡SD大鼠,按照Brockes等[13]方法分離雙側坐骨神經,滅菌PBS沖洗,D-Hank’s液漂洗3次,加入5 mL混合酶(0.25%胰蛋白酶+0.03%Ⅱ型膠原酶),37℃消化30 min;以離心半徑6 cm,1 000 r/ min離心5 min,棄上清。加入含10% FBS的DMEM/F12培養基,置于37℃、5% CO2培養箱中培養30 min,按照文獻[14]方法采用差速貼壁、阿糖胞苷及不同膠原酶純化細胞。倒置顯微鏡下觀察細胞形態。待細胞融合約80%時,加入0.25%胰蛋白酶消化,傳代培養。
1.3 SCs S-100免疫熒光染色鑒定
取生長狀態良好的第2代SCs接種于6孔板,PBS洗滌3次;加入4%多聚甲醛,冰上放置10 min;PBS洗滌;加入1% Triton-100溶液5 mL,37℃孵育20 min,PBS洗滌,加入3 mL正常羊血清37℃封閉5 min,加入滅菌常溫PBS溶液,滴加兔抗鼠S-100一抗2 mL(1∶200稀釋),4℃孵育過夜;PBS洗滌細胞,加入FITC標記羊抗兔二抗,室溫避光孵育30 min,PBS洗滌。倒置熒光顯微鏡下觀察并計數,細胞質呈綠色熒光者為陽性細胞。
1.4 氧化應激SCs凋亡模型構建
取第2代SCs接種于6孔板中,采用含10%FBS的DMEM/F12培養基,置于37℃、5%CO2培養箱中培養。待細胞融合達80%,分別加入0.01、0.10、1.00 mmol/ L H2O2溶液進行誘導,作用3、6、12、24 h,采用CCK-8檢測細胞增殖活性;取作用24 h樣本采用流式細胞術檢測細胞凋亡,以確定建立氧化應激SCs凋亡模型的最佳作用濃度及時間。
1.5 實驗分組及方法
取第2代SCs根據不同處理方式分為5組:空白對照組(PBS處理)、1.00 mmol/L H2O2誘導組、1.00 mmol/L H2O2+50 μg/mL CMCS處理組、1.00 mmol/L H2O2+100 μg/mL CMCS處理組、1.00 mmol/L H2O2+200 μg/mL CMCS處理組。
1.5.1 CCK-8檢測細胞增殖
取第2代SCs,加入0.25%胰蛋白酶消化制備單細胞懸液,以離心半徑6 cm,1 000 r/min離心5 min,棄上清,加入含10%FBS的DMEM/F12培養基,調整細胞濃度為1×104個/mL,接種于96孔板,每孔約200 μL,置于37℃、5%CO2培養箱中培養。待細胞貼壁后,加入無血清培養基培養24 h。根據上述方法將細胞分為5組,于37℃、5%CO2培養箱中培養24 h。終止培養前2 h每孔加入CCK-8試劑20 μL,酶標儀于450 nm波長處檢測吸光度(A)值。按照以下公式計算細胞增殖活性,(實驗組A值-空白組A值)/(空白對照組A值-空白組A值)× 100%,其中空白組為單純培養基。每組設6 個復孔。
1.5.2 流式細胞術檢測細胞凋亡
取第2代SCs接種于6孔板中,采用含10%FBS的DMEM/F12培養基,置于37℃、5%CO2培養箱中培養。待細胞融合達80%,根據以上方法將細胞分為5組,于37℃、5% CO2培養箱中培養24 h。0.25%胰蛋白酶消化并收集細胞,預冷PBS洗滌細胞,加入500 μL結合緩沖液,將細胞搖勻后加入5 μL FITC-Annexin V和5 μL碘化丙啶,室溫避光孵育10 min,流式細胞儀檢測早期細胞凋亡。每組設3個復孔。
1.5.3 實時定量PCR檢測細胞BDNF及GDNF mRNA表達
取第2代SCs,根據以上方法分為5組,于37℃、5% CO2培養箱中培養24 h后,TRIzol法提取RNA。將RNA溶于DEPC處理的無菌水中,測定RNA濃度(A260/A280 > 1.8)。應用逆轉錄試劑盒將提取的mRNA逆轉錄為cDNA。采用SYBR GreenⅠ染料進行標記,通過實時定量PCR系統分析BDNF、GDNF mRNA表達,引物序列見表 1。PCR反應條件:95℃變性10 s;95℃ 5 s,40個循環;60℃延伸30 s。獲得標準曲線,以目的基因與內參GAPDH的比值作為目的基因相對表達量。結果以Ct值表示,采用ΔΔCt法進行分析。每組設3個復孔。
1.5.4 Western blot檢測細胞BDNF及GDNF蛋白表達
取第2代SCs,根據以上方法分為5組,于37℃、5% CO2培養箱中培養24 h后,加入細胞裂解液100 μL,冰上裂解5 min。4℃以離心半徑6 cm,12 000 r/min離心5 min,BCA蛋白定量試劑盒進行蛋白定量。取樣品約15 μg加入SDS-PAGE凝膠電泳儀中電泳、轉膜,加入含有5%脫脂奶粉的PBS溶液5 mL,室溫封閉1 h,加入兔抗鼠BDNF、GDNF一抗及β-actin一抗(1∶200),4℃孵育過夜。含有0.1% Tween-20的PBS溶液漂洗3次,每次10 min;加入辣根過氧化物酶標記羊抗兔二抗(1∶10 000),室溫孵育2 h,PBST漂洗3次,每次10 min;加入ECL化學發光劑反應、曝光,圖像分析軟件進行半定量分析。每組設3個復孔。
1.6 統計學方法
采用SPSS 16.0統計軟件進行分析。數據以均數±標準差表示,組間比較采用單因素方差分析,兩兩比較采用SNK檢驗;檢驗水準α=0.05。
2 結果
2.1 細胞形態學觀察及鑒定
倒置顯微鏡下觀察示SCs呈梭形,體積小,有兩極,胞核明顯、呈卵圓形,細胞密度大,均伸出較長偽足;傳代后細胞多呈梭形,細胞稀疏處呈“尖對尖”排列,密集處呈簇狀或圈狀排列(圖 1a)。S-100免疫熒光染色標記細胞質呈綠色熒光的陽性細胞達95%以上(圖 1b)。
圖1
體外培養SCs觀察 ?第2代細胞培養7 d(倒置顯微鏡× 250) ?S-100免疫熒光染色鑒定(倒置熒光顯微鏡× 250) ? ?圖 2 不同濃度H2O2對SCs增殖活性和早期凋亡的影響 ?CCK-8檢測SCs增殖活性 ?流式細胞術檢測SCs早期凋亡(從左至右H2O2濃度依次為0.01、0.10、1.00 mmol/ L) ? ?圖 3 流式細胞術檢測CMCS對氧化應激誘導SCs凋亡的影響 ?空白對照組 ?1.00 mmol/L H2O2誘導組 ?1.00 mmol/L H2O2+50 μg/mL CMCS處理組 ?1.00 mmol/L H2O2+100 μg/mL CMCS處理組 ?1.00 mmol/L H2O2+200 μg/mL CMCS處理組
Figure1.
SCs observations cultured in vitro ?The 2nd passage SCs after 7 days of culturing (Inverted microscope× 250) ?Immunofluorescence staining of S-100 of SCs (Inverted fluorescence microscope× 250) ? ?Fig. 2 The effect of different concentrations of H2O2 on SCs viability and apoptosis ?The detection of SCs viability by CCK-8 ?The detection of SCs apoptosis by flow cytometry (From left to right: the concentration of H2O2 was 0.01,0.10,and 1.00 mmol/ L,respectively) ? ?Fig. 3 The effect of CMCS on apoptosis in SCs ?Control group ?1.00 mmol/L H2O2 induced group ?1.00 mmol/L H2O2+50 μg/ mL CMCS treated group ?1.00 mmol/L H2O2+100 μg/mL CMCS treated group ?1.00 mmol/L H2O2+200 μg/mL CMCS treated group
2.2 構建氧化應激SCs凋亡模型觀察
CCK-8檢測顯示,0.01、0.10、1.00 mmol/L H2O2均可抑制SCs增殖,其中1.00 mmol/L作用時增殖抑制效應最明顯;隨著H2O2作用時間延長,細胞增殖活性逐漸降低,其中作用24 h增殖抑制效應最明顯(圖 2a)。流式細胞術檢測示0.01、0.10、1.00 mmol/L H2O2作用24 h,均可誘導SCs發生凋亡,早期凋亡率分別為13.2% ± 1.5%、51.0% ± 4.3%、69.8% ± 5.2%,呈明顯濃度依賴性(圖 2b)。故后續實驗采用1.00 mmol/ L H2O2作用24 h構建氧化應激SCs凋亡模型。
2.3 CMCS對氧化應激誘導SCs增殖活性的影響
1.00 mmol/L H2O2誘導組細胞增殖活性是空白對照組的44.6% ± 3.2%。加入CMCS后,SCs增殖活性增加,1.00 mmol/L H2O2+50 μg/mL CMCS處理組、1.00 mmol/L H2O2+100 μg/mL CMCS處理組、1.00 mmol/L H2O2+200 μg/mL CMCS處理組細胞增殖活性分別為空白對照組的57.2% ± 4.1%、79.4% ± 6.3%、94.6% ± 8.5%;各CMCS處理組與1.00 mmol/ L H2O2誘導組比較,差異均有統計學意義(P < 0.05);各CMCS處理組間比較,差異亦有統計學意義(P < 0.05)。
2.4 CMCS對氧化應激誘導SCs凋亡的保護作用
空白對照組、1.00 mmol/L H2O2誘導組、1.00 mmol/ L H2O2+50 μg/mL CMCS處理組、1.00 mmol/L H2O2+100 μg/mL CMCS處理組、1.00 mmol/L H2O2+200 μg/ mL CMCS處理組早期細胞凋亡率分別為2.1% ± 0.2%、69.8% ± 5.2%、55.9% ± 4.6%、10.2% ± 0.9%、6.3% ± 0.4%。與空白對照組比較,1.00 mmol/ L H2O2誘導組早期細胞凋亡率明顯增加,差異有統計學意義(P < 0.05);加入50、100、200 μg/ mL CMCS作用后,隨CMCS濃度增加,早期細胞凋亡率逐漸降低,與1.00 mmol/L H2O2誘導組比較以及各CMCS處理組間比較,差異均有統計學意義(P < 0.05)。見圖 3。
2.5 CMCS對氧化應激誘導SCs內BDNF及GDNF mRNA表達的影響
空白對照組、1.00 mmol/L H2O2誘導組、1.00 mmol/ L H2O2+50 μg/ mL CMCS處理組、1.00 mmol/L H2O2+100 μg/ mL CMCS處理組、1.00 mmol/L H2O2+200 μg/ mL CMCS處理組BDNF mRNA相對表達量分別為0.982 ± 0.032、0.388 ± 0.024、0.582 ± 0.028、0.722 ± 0.045、0.842 ± 0.052,GDNF mRNA相對表達量分別為0.946 ± 0.041、0.213 ± 0.019、0.422 ± 0.026、0.532 ± 0.039、0.746 ± 0.044。與空白對照組比較,1.00 mmol/ L H2O2誘導組BDNF、GDNF mRNA相對表達量明顯降低,差異均有統計學意義(P < 0.05);加入50、100、200 μg/mL CMCS作用后,隨CMCS濃度增加,BDNF、GDNF mRNA相對表達量逐漸增加,與空白對照組、1.00 mmol/L H2O2誘導組比較以及各CMCS處理組間比較,差異均有統計學意義(P < 0.05)。
2.6 CMCS對氧化應激誘導SCs內BDNF及GDNF蛋白表達的影響
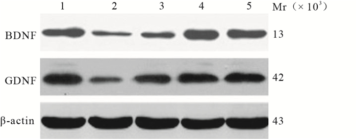
空白對照組、1.00 mmol/L H2O2誘導組、1.00 mmol/ L H2O2+50 μg/ mL CMCS處理組、1.00 mmol/L H2O2+100 μg/ mL CMCS處理組、1.00 mmol/L H2O2+200 μg/ mL CMCS處理組BDNF蛋白表達量分別為0.682 ± 0.045、0.148 ± 0.022、0.252 ± 0.031、0.572 ± 0.051、0.732 ± 0.066,GDNF蛋白表達量分別為0.836 ± 0.057、0.231 ± 0.025、0.453 ± 0.037、0.697 ± 0.062、0.766 ± 0.059。與空白對照組比較,1.00 mmol/ L H2O2誘導組BDNF、GDNF蛋白表達明顯降低,差異均有統計學意義(P < 0.05);加入50、100、200 μg/mL CMCS作用后,隨CMCS濃度增加,BDNF、GDNF蛋白表達量逐漸增加,與空白對照組、1.00 mmol/L H2O2誘導組比較以及各CMCS處理組間比較,差異均有統計學意義(P < 0.05)。見圖 4。
圖2
Western blot檢測SCs內BDNF和GDNF蛋白表達Mr:相對分子質量 1:空白對照組 2:1.00 mmol/L H2O2誘導組 3:1.00 mmol/ L H2O2+50 μg/mL CMCS處理組 4:1.00 mmol/L H2O2+100 μg/mL CMCS處理組 5:1.00 mmol/L H2O2+200 μg/mL CMCS處理組
Figure2.
The expressions of BDNF and GDNF proteins in SCs by Western blot Mr: Relative molecular mass 1: Control group 2: 1.00 mmol/ L H2O2 induced group 3: 1.00 mmol/L H2O2+50 μg/mL CMCS treated group 4: 1.00 mmol/L H2O2+100 μg/mL CMCS treated group 5: 1.00 mmol/L H2O2+200 μg/mL CMCS treated group
3 討論
近年來,大量研究者通過組織工程技術將SCs用于損傷脊髓與周圍神經修復,并取得了一定效果[15-16]。SCs凋亡在周圍神經退變中起重要作用,尤其在脫髓鞘疾病及變態神經炎等疾病中,抑制SCs凋亡對周圍神經損傷修復具有重要意義[17-18]。
CMCS是殼聚糖經羧甲基化反應后的水溶性衍生物,具有良好的生物相容性及活性。基于抑制SCs凋亡在神經再生中的重要作用,本實驗中我們通過氧化應激誘導SCs凋亡模型,研究CMCS對凋亡SCs的保護作用,并探討CMCS對氧化應激誘導的SCs凋亡細胞內BDNF及GDNF表達的影響,結果表明CMCS對氧化應激誘導SCs凋亡具有保護作用,并促進凋亡SCs分泌BDNF及GDNF。
H2O2是一種強氧化劑,在紫外線或體液中金屬離子作用下可產生O2-和OH-等多種自由基,并由此引發連鎖反應產生更多自由基[19]。活性氧(reactive oxygen species,ROS)能引起細胞膜的脂質過氧化,引發多種生化反應,如改變細胞膜的物理特性、使膜上結合的調節細胞膜通透性的酶失活。研究表明,細胞膜的脂質過氧化能促進細胞凋亡,而某些脂質過氧化物還能引起繼發性的細胞內鈣失衡,從而加速細胞凋亡[20]。細胞內ROS的堆積可以誘發線粒體釋放細胞色素C,而細胞色素C可以激活凋亡激酶Caspase-3與Caspase-9,從而引發細胞凋亡。在周圍神經損傷的早期有一部分SCs被體內產生的氧化劑殺死,從而導致細胞過度丟失,加速了周圍神經損傷。本實驗中我們通過H2O2構建SCs凋亡模型,并采用CCK-8檢測細胞增殖及流式細胞術檢測細胞凋亡情況。結果表明,H2O2在0.01、0.10、1.00 mmol/L濃度范圍內均可抑制SCs增殖活性,且隨著H2O2濃度增加,抑制作用明顯增強,其抑制細胞增殖活性的最佳作用時間為24 h;另外流式細胞術檢測結果提示,H2O2在0.01、0.10、1.00 mmol/L濃度范圍內均可增加SCs的早期凋亡率,且隨濃度增加早期凋亡率增加,1.00 mmol/L H2O2作用24 h后SCs早期凋亡率平均達69.8%。上述結果表明經H2O2誘導可成功構建SCs凋亡模型,且最佳作用濃度為1.0 mmol/L,最佳作用時間為24 h。
BDNF是神經營養因子家族的重要成員之一[21],廣泛存在于腦組織,參與中樞神經系統特異性神經元的存活、分化及功能維持,可以影響軸突生長及神經塑形 [22]。GDNF是一種糖化的二硫鍵鏈接的同型二聚體,是TGF-β超家族中的重要成員[23],可以促進多種神經元細胞的存活與分化,包括小腦浦肯野細胞、中樞去甲腎上腺素能神經元、感覺和交感神經元亞群[24- 25]。本實驗中,我們通過實時定量PCR及Western blot檢測氧化應激誘導凋亡SCs內BDNF、GDNF mRNA及蛋白的表達,以及CMCS對氧化應激誘導SCs中BDNF、GDNF表達的影響,結果發現1.00 mmol/L H2O2作用24 h可以明顯抑制BDNF、GDNF mRNA及蛋白表達,加入終濃度為50、100、200 μg/mL CMCS后BNDF、GDNF mRNA與蛋白表達水平逐漸增加。表明氧化應激可以明顯抑制BDNF、GDNF的表達,但CMCS可以促進氧化應激損傷SCs內BDNF及GDNF的表達,表明CMCS對損傷SCs分泌神經營養因子具有一定保護作用。
綜上述,利用H2O2可以成功誘導體外培養SCs發生凋亡,并抑制細胞增殖活性,降低神經營養因子BDNF、GDNF的表達;而CMCS可以降低H2O2誘導的SCs凋亡,恢復其增殖活性,并促進SCs分泌BDNF、GDNF,具有神經保護作用。
雪旺細胞(Schwann cells,SCs)是周圍神經系統的主要膠質細胞,生理狀態下SCs可分泌多種神經營養因子,在脊髓及周圍神經損傷修復中發揮重要作用[1]。研究表明,炎性因子、細胞氧化損傷、纖維組織增生等可誘導SCs發生凋亡[2],而氧化應激誘導SCs凋亡是周圍神經退變性疾病發生的重要機制。羧甲基殼聚糖(carboxymethylated chitosan,CMCS)是殼聚糖經羧甲基化反應后得到的水溶性衍生物,具有良好降解性及生物學活性[3-4]。我們既往研究發現CMCS對軟骨細胞退變及凋亡具有一定的保護作用,并抑制骨關節炎的發生 [5-6]。將CMCS應用于體外培養的SCs后,能促進SCs的增殖及分泌NGF、睫狀神經營養因子,并激活MEK/ERK、PI3K/Akt、Wnt/β-catenin及NF-κB信號通路[7-10]。腦源性神經營養因子(brain derived neurotrophic factor,BDNF)和膠質細胞源性神經營養因子(glial cell line derived neurotrophic factor,GDNF)是兩種重要的神經營養因子,不僅能促進神經元再生,還能夠誘導神經干細胞向神經元分化[11- 12]。本次實驗旨在采用不同濃度H2O2溶液體外誘導培養SCs,構建SCs氧化應激凋亡模型,進一步研究CMCS對SCs氧化應激凋亡的保護作用及對SCs分泌BDNF、GDNF的影響。報告如下。
1 材料與方法
1.1 實驗動物及主要試劑、儀器
3~5日齡SD大鼠24只,體重25~30 g,雌雄不限,由武漢大學醫學部實驗動物中心提供。
CMCS(純度99%,武漢大學資源與環境科學學院提供);DMEM/F12培養基、FBS(GIBCO公司,美國);胰蛋白酶、Ⅱ型膠原酶、TRIzol、PCR引物(Invitrogen公司,美國);CCK-8細胞增殖檢測試劑盒(Dojindo公司,日本);實時定量PCR試劑盒(大連寶生物工程有限公司);細胞裂解液、BCA蛋白定量試劑盒(北京普利萊基因技術有限公司);細胞凋亡檢測試劑盒(Biosciences公司,美國);兔抗鼠BDNF、GDNF一抗(Cell Signaling Technology公司,美國);兔抗鼠S-100一抗、β-actin一抗、辣根過氧化物酶標記羊抗兔二抗、FITC標記羊抗兔二抗(Santa Cruz公司,美國)。CKX41型倒置顯微鏡、倒置熒光顯微鏡(Olympus公司,日本);蛋白質垂直電泳槽、穩壓穩流電泳儀、圖像分析軟件(Bio-Rad公司,美國);Prism 7500實時定量PCR系統(ABI公司,美國);VICTOR3酶標儀(PerkenElmer公司,美國)。
1.2 SCs分離培養及純化
取3~5日齡SD大鼠,按照Brockes等[13]方法分離雙側坐骨神經,滅菌PBS沖洗,D-Hank’s液漂洗3次,加入5 mL混合酶(0.25%胰蛋白酶+0.03%Ⅱ型膠原酶),37℃消化30 min;以離心半徑6 cm,1 000 r/ min離心5 min,棄上清。加入含10% FBS的DMEM/F12培養基,置于37℃、5% CO2培養箱中培養30 min,按照文獻[14]方法采用差速貼壁、阿糖胞苷及不同膠原酶純化細胞。倒置顯微鏡下觀察細胞形態。待細胞融合約80%時,加入0.25%胰蛋白酶消化,傳代培養。
1.3 SCs S-100免疫熒光染色鑒定
取生長狀態良好的第2代SCs接種于6孔板,PBS洗滌3次;加入4%多聚甲醛,冰上放置10 min;PBS洗滌;加入1% Triton-100溶液5 mL,37℃孵育20 min,PBS洗滌,加入3 mL正常羊血清37℃封閉5 min,加入滅菌常溫PBS溶液,滴加兔抗鼠S-100一抗2 mL(1∶200稀釋),4℃孵育過夜;PBS洗滌細胞,加入FITC標記羊抗兔二抗,室溫避光孵育30 min,PBS洗滌。倒置熒光顯微鏡下觀察并計數,細胞質呈綠色熒光者為陽性細胞。
1.4 氧化應激SCs凋亡模型構建
取第2代SCs接種于6孔板中,采用含10%FBS的DMEM/F12培養基,置于37℃、5%CO2培養箱中培養。待細胞融合達80%,分別加入0.01、0.10、1.00 mmol/ L H2O2溶液進行誘導,作用3、6、12、24 h,采用CCK-8檢測細胞增殖活性;取作用24 h樣本采用流式細胞術檢測細胞凋亡,以確定建立氧化應激SCs凋亡模型的最佳作用濃度及時間。
1.5 實驗分組及方法
取第2代SCs根據不同處理方式分為5組:空白對照組(PBS處理)、1.00 mmol/L H2O2誘導組、1.00 mmol/L H2O2+50 μg/mL CMCS處理組、1.00 mmol/L H2O2+100 μg/mL CMCS處理組、1.00 mmol/L H2O2+200 μg/mL CMCS處理組。
1.5.1 CCK-8檢測細胞增殖
取第2代SCs,加入0.25%胰蛋白酶消化制備單細胞懸液,以離心半徑6 cm,1 000 r/min離心5 min,棄上清,加入含10%FBS的DMEM/F12培養基,調整細胞濃度為1×104個/mL,接種于96孔板,每孔約200 μL,置于37℃、5%CO2培養箱中培養。待細胞貼壁后,加入無血清培養基培養24 h。根據上述方法將細胞分為5組,于37℃、5%CO2培養箱中培養24 h。終止培養前2 h每孔加入CCK-8試劑20 μL,酶標儀于450 nm波長處檢測吸光度(A)值。按照以下公式計算細胞增殖活性,(實驗組A值-空白組A值)/(空白對照組A值-空白組A值)× 100%,其中空白組為單純培養基。每組設6 個復孔。
1.5.2 流式細胞術檢測細胞凋亡
取第2代SCs接種于6孔板中,采用含10%FBS的DMEM/F12培養基,置于37℃、5%CO2培養箱中培養。待細胞融合達80%,根據以上方法將細胞分為5組,于37℃、5% CO2培養箱中培養24 h。0.25%胰蛋白酶消化并收集細胞,預冷PBS洗滌細胞,加入500 μL結合緩沖液,將細胞搖勻后加入5 μL FITC-Annexin V和5 μL碘化丙啶,室溫避光孵育10 min,流式細胞儀檢測早期細胞凋亡。每組設3個復孔。
1.5.3 實時定量PCR檢測細胞BDNF及GDNF mRNA表達
取第2代SCs,根據以上方法分為5組,于37℃、5% CO2培養箱中培養24 h后,TRIzol法提取RNA。將RNA溶于DEPC處理的無菌水中,測定RNA濃度(A260/A280 > 1.8)。應用逆轉錄試劑盒將提取的mRNA逆轉錄為cDNA。采用SYBR GreenⅠ染料進行標記,通過實時定量PCR系統分析BDNF、GDNF mRNA表達,引物序列見表 1。PCR反應條件:95℃變性10 s;95℃ 5 s,40個循環;60℃延伸30 s。獲得標準曲線,以目的基因與內參GAPDH的比值作為目的基因相對表達量。結果以Ct值表示,采用ΔΔCt法進行分析。每組設3個復孔。
1.5.4 Western blot檢測細胞BDNF及GDNF蛋白表達
取第2代SCs,根據以上方法分為5組,于37℃、5% CO2培養箱中培養24 h后,加入細胞裂解液100 μL,冰上裂解5 min。4℃以離心半徑6 cm,12 000 r/min離心5 min,BCA蛋白定量試劑盒進行蛋白定量。取樣品約15 μg加入SDS-PAGE凝膠電泳儀中電泳、轉膜,加入含有5%脫脂奶粉的PBS溶液5 mL,室溫封閉1 h,加入兔抗鼠BDNF、GDNF一抗及β-actin一抗(1∶200),4℃孵育過夜。含有0.1% Tween-20的PBS溶液漂洗3次,每次10 min;加入辣根過氧化物酶標記羊抗兔二抗(1∶10 000),室溫孵育2 h,PBST漂洗3次,每次10 min;加入ECL化學發光劑反應、曝光,圖像分析軟件進行半定量分析。每組設3個復孔。
1.6 統計學方法
采用SPSS 16.0統計軟件進行分析。數據以均數±標準差表示,組間比較采用單因素方差分析,兩兩比較采用SNK檢驗;檢驗水準α=0.05。
2 結果
2.1 細胞形態學觀察及鑒定
倒置顯微鏡下觀察示SCs呈梭形,體積小,有兩極,胞核明顯、呈卵圓形,細胞密度大,均伸出較長偽足;傳代后細胞多呈梭形,細胞稀疏處呈“尖對尖”排列,密集處呈簇狀或圈狀排列(圖 1a)。S-100免疫熒光染色標記細胞質呈綠色熒光的陽性細胞達95%以上(圖 1b)。
圖1
體外培養SCs觀察 ?第2代細胞培養7 d(倒置顯微鏡× 250) ?S-100免疫熒光染色鑒定(倒置熒光顯微鏡× 250) ? ?圖 2 不同濃度H2O2對SCs增殖活性和早期凋亡的影響 ?CCK-8檢測SCs增殖活性 ?流式細胞術檢測SCs早期凋亡(從左至右H2O2濃度依次為0.01、0.10、1.00 mmol/ L) ? ?圖 3 流式細胞術檢測CMCS對氧化應激誘導SCs凋亡的影響 ?空白對照組 ?1.00 mmol/L H2O2誘導組 ?1.00 mmol/L H2O2+50 μg/mL CMCS處理組 ?1.00 mmol/L H2O2+100 μg/mL CMCS處理組 ?1.00 mmol/L H2O2+200 μg/mL CMCS處理組
Figure1.
SCs observations cultured in vitro ?The 2nd passage SCs after 7 days of culturing (Inverted microscope× 250) ?Immunofluorescence staining of S-100 of SCs (Inverted fluorescence microscope× 250) ? ?Fig. 2 The effect of different concentrations of H2O2 on SCs viability and apoptosis ?The detection of SCs viability by CCK-8 ?The detection of SCs apoptosis by flow cytometry (From left to right: the concentration of H2O2 was 0.01,0.10,and 1.00 mmol/ L,respectively) ? ?Fig. 3 The effect of CMCS on apoptosis in SCs ?Control group ?1.00 mmol/L H2O2 induced group ?1.00 mmol/L H2O2+50 μg/ mL CMCS treated group ?1.00 mmol/L H2O2+100 μg/mL CMCS treated group ?1.00 mmol/L H2O2+200 μg/mL CMCS treated group
2.2 構建氧化應激SCs凋亡模型觀察
CCK-8檢測顯示,0.01、0.10、1.00 mmol/L H2O2均可抑制SCs增殖,其中1.00 mmol/L作用時增殖抑制效應最明顯;隨著H2O2作用時間延長,細胞增殖活性逐漸降低,其中作用24 h增殖抑制效應最明顯(圖 2a)。流式細胞術檢測示0.01、0.10、1.00 mmol/L H2O2作用24 h,均可誘導SCs發生凋亡,早期凋亡率分別為13.2% ± 1.5%、51.0% ± 4.3%、69.8% ± 5.2%,呈明顯濃度依賴性(圖 2b)。故后續實驗采用1.00 mmol/ L H2O2作用24 h構建氧化應激SCs凋亡模型。
2.3 CMCS對氧化應激誘導SCs增殖活性的影響
1.00 mmol/L H2O2誘導組細胞增殖活性是空白對照組的44.6% ± 3.2%。加入CMCS后,SCs增殖活性增加,1.00 mmol/L H2O2+50 μg/mL CMCS處理組、1.00 mmol/L H2O2+100 μg/mL CMCS處理組、1.00 mmol/L H2O2+200 μg/mL CMCS處理組細胞增殖活性分別為空白對照組的57.2% ± 4.1%、79.4% ± 6.3%、94.6% ± 8.5%;各CMCS處理組與1.00 mmol/ L H2O2誘導組比較,差異均有統計學意義(P < 0.05);各CMCS處理組間比較,差異亦有統計學意義(P < 0.05)。
2.4 CMCS對氧化應激誘導SCs凋亡的保護作用
空白對照組、1.00 mmol/L H2O2誘導組、1.00 mmol/ L H2O2+50 μg/mL CMCS處理組、1.00 mmol/L H2O2+100 μg/mL CMCS處理組、1.00 mmol/L H2O2+200 μg/ mL CMCS處理組早期細胞凋亡率分別為2.1% ± 0.2%、69.8% ± 5.2%、55.9% ± 4.6%、10.2% ± 0.9%、6.3% ± 0.4%。與空白對照組比較,1.00 mmol/ L H2O2誘導組早期細胞凋亡率明顯增加,差異有統計學意義(P < 0.05);加入50、100、200 μg/ mL CMCS作用后,隨CMCS濃度增加,早期細胞凋亡率逐漸降低,與1.00 mmol/L H2O2誘導組比較以及各CMCS處理組間比較,差異均有統計學意義(P < 0.05)。見圖 3。
2.5 CMCS對氧化應激誘導SCs內BDNF及GDNF mRNA表達的影響
空白對照組、1.00 mmol/L H2O2誘導組、1.00 mmol/ L H2O2+50 μg/ mL CMCS處理組、1.00 mmol/L H2O2+100 μg/ mL CMCS處理組、1.00 mmol/L H2O2+200 μg/ mL CMCS處理組BDNF mRNA相對表達量分別為0.982 ± 0.032、0.388 ± 0.024、0.582 ± 0.028、0.722 ± 0.045、0.842 ± 0.052,GDNF mRNA相對表達量分別為0.946 ± 0.041、0.213 ± 0.019、0.422 ± 0.026、0.532 ± 0.039、0.746 ± 0.044。與空白對照組比較,1.00 mmol/ L H2O2誘導組BDNF、GDNF mRNA相對表達量明顯降低,差異均有統計學意義(P < 0.05);加入50、100、200 μg/mL CMCS作用后,隨CMCS濃度增加,BDNF、GDNF mRNA相對表達量逐漸增加,與空白對照組、1.00 mmol/L H2O2誘導組比較以及各CMCS處理組間比較,差異均有統計學意義(P < 0.05)。
2.6 CMCS對氧化應激誘導SCs內BDNF及GDNF蛋白表達的影響
空白對照組、1.00 mmol/L H2O2誘導組、1.00 mmol/ L H2O2+50 μg/ mL CMCS處理組、1.00 mmol/L H2O2+100 μg/ mL CMCS處理組、1.00 mmol/L H2O2+200 μg/ mL CMCS處理組BDNF蛋白表達量分別為0.682 ± 0.045、0.148 ± 0.022、0.252 ± 0.031、0.572 ± 0.051、0.732 ± 0.066,GDNF蛋白表達量分別為0.836 ± 0.057、0.231 ± 0.025、0.453 ± 0.037、0.697 ± 0.062、0.766 ± 0.059。與空白對照組比較,1.00 mmol/ L H2O2誘導組BDNF、GDNF蛋白表達明顯降低,差異均有統計學意義(P < 0.05);加入50、100、200 μg/mL CMCS作用后,隨CMCS濃度增加,BDNF、GDNF蛋白表達量逐漸增加,與空白對照組、1.00 mmol/L H2O2誘導組比較以及各CMCS處理組間比較,差異均有統計學意義(P < 0.05)。見圖 4。
圖2
Western blot檢測SCs內BDNF和GDNF蛋白表達Mr:相對分子質量 1:空白對照組 2:1.00 mmol/L H2O2誘導組 3:1.00 mmol/ L H2O2+50 μg/mL CMCS處理組 4:1.00 mmol/L H2O2+100 μg/mL CMCS處理組 5:1.00 mmol/L H2O2+200 μg/mL CMCS處理組
Figure2.
The expressions of BDNF and GDNF proteins in SCs by Western blot Mr: Relative molecular mass 1: Control group 2: 1.00 mmol/ L H2O2 induced group 3: 1.00 mmol/L H2O2+50 μg/mL CMCS treated group 4: 1.00 mmol/L H2O2+100 μg/mL CMCS treated group 5: 1.00 mmol/L H2O2+200 μg/mL CMCS treated group
3 討論
近年來,大量研究者通過組織工程技術將SCs用于損傷脊髓與周圍神經修復,并取得了一定效果[15-16]。SCs凋亡在周圍神經退變中起重要作用,尤其在脫髓鞘疾病及變態神經炎等疾病中,抑制SCs凋亡對周圍神經損傷修復具有重要意義[17-18]。
CMCS是殼聚糖經羧甲基化反應后的水溶性衍生物,具有良好的生物相容性及活性。基于抑制SCs凋亡在神經再生中的重要作用,本實驗中我們通過氧化應激誘導SCs凋亡模型,研究CMCS對凋亡SCs的保護作用,并探討CMCS對氧化應激誘導的SCs凋亡細胞內BDNF及GDNF表達的影響,結果表明CMCS對氧化應激誘導SCs凋亡具有保護作用,并促進凋亡SCs分泌BDNF及GDNF。
H2O2是一種強氧化劑,在紫外線或體液中金屬離子作用下可產生O2-和OH-等多種自由基,并由此引發連鎖反應產生更多自由基[19]。活性氧(reactive oxygen species,ROS)能引起細胞膜的脂質過氧化,引發多種生化反應,如改變細胞膜的物理特性、使膜上結合的調節細胞膜通透性的酶失活。研究表明,細胞膜的脂質過氧化能促進細胞凋亡,而某些脂質過氧化物還能引起繼發性的細胞內鈣失衡,從而加速細胞凋亡[20]。細胞內ROS的堆積可以誘發線粒體釋放細胞色素C,而細胞色素C可以激活凋亡激酶Caspase-3與Caspase-9,從而引發細胞凋亡。在周圍神經損傷的早期有一部分SCs被體內產生的氧化劑殺死,從而導致細胞過度丟失,加速了周圍神經損傷。本實驗中我們通過H2O2構建SCs凋亡模型,并采用CCK-8檢測細胞增殖及流式細胞術檢測細胞凋亡情況。結果表明,H2O2在0.01、0.10、1.00 mmol/L濃度范圍內均可抑制SCs增殖活性,且隨著H2O2濃度增加,抑制作用明顯增強,其抑制細胞增殖活性的最佳作用時間為24 h;另外流式細胞術檢測結果提示,H2O2在0.01、0.10、1.00 mmol/L濃度范圍內均可增加SCs的早期凋亡率,且隨濃度增加早期凋亡率增加,1.00 mmol/L H2O2作用24 h后SCs早期凋亡率平均達69.8%。上述結果表明經H2O2誘導可成功構建SCs凋亡模型,且最佳作用濃度為1.0 mmol/L,最佳作用時間為24 h。
BDNF是神經營養因子家族的重要成員之一[21],廣泛存在于腦組織,參與中樞神經系統特異性神經元的存活、分化及功能維持,可以影響軸突生長及神經塑形 [22]。GDNF是一種糖化的二硫鍵鏈接的同型二聚體,是TGF-β超家族中的重要成員[23],可以促進多種神經元細胞的存活與分化,包括小腦浦肯野細胞、中樞去甲腎上腺素能神經元、感覺和交感神經元亞群[24- 25]。本實驗中,我們通過實時定量PCR及Western blot檢測氧化應激誘導凋亡SCs內BDNF、GDNF mRNA及蛋白的表達,以及CMCS對氧化應激誘導SCs中BDNF、GDNF表達的影響,結果發現1.00 mmol/L H2O2作用24 h可以明顯抑制BDNF、GDNF mRNA及蛋白表達,加入終濃度為50、100、200 μg/mL CMCS后BNDF、GDNF mRNA與蛋白表達水平逐漸增加。表明氧化應激可以明顯抑制BDNF、GDNF的表達,但CMCS可以促進氧化應激損傷SCs內BDNF及GDNF的表達,表明CMCS對損傷SCs分泌神經營養因子具有一定保護作用。
綜上述,利用H2O2可以成功誘導體外培養SCs發生凋亡,并抑制細胞增殖活性,降低神經營養因子BDNF、GDNF的表達;而CMCS可以降低H2O2誘導的SCs凋亡,恢復其增殖活性,并促進SCs分泌BDNF、GDNF,具有神經保護作用。

