引用本文: 王鑫, 李彥林, 金耀峰, 陳建明, 王慧建, 何川, 曹樹海, 趙灃凱. BMP-2、TGF-β3重組腺病毒載體的構建及其在滇南小耳豬BMSCs中的表達. 中國修復重建外科雜志, 2014, 28(7): 896-902. doi: 10.7507/1002-1892.20140197 復制
利用組織工程再造軟骨修復軟骨缺損已成為當前研究熱點[1-3]。BMSCs具有多向分化潛能,在特定條件下可分化為成骨細胞、脂肪細胞、軟骨細胞,是理想的組織工程種子細胞[2-5]。然而,如何更有效在體外將BMSCs定向分化為軟骨表型細胞并生成軟骨組織,為組織工程軟骨提供改良的種子細胞,是現今研究難點和熱點。有研究發現BMP-2可使MSCs遷移聚集成團并維持緊縮狀態,刺激Smad磷酸化,增強Sox9表達,促進MSCs向軟骨細胞分化[6];TGF-β3可加快軟骨細胞的DNA合成[7],還可通過自分泌調控及細胞因子網絡調控間接調控膠原表達[8];且TGF-β3可抑制基質金屬蛋白酶的表達,減少蛋白多糖降解[9],在軟骨發生及表型維持方面發揮重要作用。若將BMP-2和TGF-β3聯用,有可能充分發揮其協同作用,更好促進BMSCs成軟骨分化。
為此,本實驗利用轉基因技術將編碼BMP-2和TGF-β3的目的基因導入腺病毒載體,雙基因聯合轉染BMSCs,使之持續釋放目的基因所表達的細胞因子,以彌補外源性細胞因子局部應用的缺陷,以期為組織工程軟骨研究提供改良的種子細胞。
1 材料與方法
1.1 實驗動物及主要試劑、儀器
成年滇南小耳豬12只,雌雄不限,體重12~ 15 kg,由昆明醫科大學實驗動物所中心提供,實驗過程符合《關于善待實驗動物的指導性意見》。
pOTB7-BMP-2質粒、pOTB7-TGF-β3質粒(ATTC公司,美國);腺病毒表達系統、腺病毒骨架質粒pGSadeno(武漢晶賽生物工程技術有限公司);DH5α菌株、HEK293細胞(中國科學院昆明動物研究所);PCR試劑盒、DNA連接試劑盒及限制性內切酶BamHⅠ、HindⅢ、Xbal、EcoRⅠ(Takara公司,日本);限制性內切酶PacⅠ(New England Biolab公司,英國);脂質體轉染試劑盒(Invitrogen公司,美國);質粒抽提試劑盒、DNA凝膠試劑盒(Bochringer Mannheim公司,德國);PCR 引物由上海生工生物工程有限公司合成;TGF-β3鼠抗人單克隆抗體、BMP-2兔抗人多克隆抗體、Ⅱ型膠原鼠抗人單克隆抗體(Abcam公司,英國);羊抗鼠單克隆熒光二抗、羊抗兔多克隆熒光二抗(Thermo公司,美國);辣根過氧化物酶標記的羊抗鼠IgG二抗及羊抗兔IgG二抗(上海Abmart生物醫藥有限公司);RNA提取試劑盒、逆轉錄試劑盒(大連寶生物工程有限公司);小鼠IgG-免疫組織化學試劑盒、DAB顯色試劑盒(武漢博士德生物工程有限公司);DMEM/F12、FBS(GIBCO公司,美國)。倒置顯微鏡(Olympus公司,日本);凝膠成像系統(Bio-Rad公司,美國)。
1.2 腺病毒BMP-2、TGF-β3載體的構建及其鑒定
1.2.1 PCR擴增BMP-2、TGF-β3片段
以pOTB7-BMP-2、pOTB7-TGF-β3為模板,設計含有BamHⅠ和EcoRⅠ酶切位點的BMP-2及TGF-β3引物。引物序列:BMP-2上游5'-CGGGATCCATGGTGGCCGGGACCC-GCTGTCTT-3',下游5'-GGAATTCTGCTGTACTAG-CGACACC-3',產物長度1 219 bp;TGF-β3上游5'-CC-CAAGCTTATGAAGATGCACTTGCAAAG-3',下游5'-CGCGGATCCTCACCGGAAGCAGTAATTG-3',產物長度930 bp。熱力學參數:94℃預熱變性5 min,94℃變性20 s,53℃退火20 s,72℃延伸75 s,30個循環。產物在1%瓊脂糖凝膠中電泳,DNA回收試劑盒回收擴增片段,BamHⅠ、EcoRⅠ雙酶切鑒定。
1.2.2 重組質粒的構建和鑒定
回收的BMP-2、TGF-β3片段和穿梭載體pEC3.1(+)經BamHⅠ和EcoRⅠ雙酶切,酶切產物經純化試劑盒純化后,T4連接酶連接。連接產物轉化至DH5α中,挑取克隆進行EcoRⅠ、HindⅢ雙酶切及PCR鑒定,獲得重組質粒pEC-GIE3.1-BMP-2及pEC-GIE3.1-TGF-β3。
1.2.3 腺病毒表達質粒的構建和鑒定
將重組質粒pEC-GIE3.1-BMP-2、pEC-GIE3.1-TGF-β3和腺病毒骨架質粒pGSadeno進行同源重組,并行PCR鑒定;篩選陽性克隆,行Xba1單酶切鑒定,分別獲得重組腺病毒質粒pGSadeno-BMP-2、pGSadeno-TGF-β3。提取質粒,PacⅠ線性化后,通過脂質體2000轉染HEK-293細胞,包裝為含外源性BMP-2、TGF-β3的高活性腺病毒Ad-BMP-2和Ad-TGF-β3。
1.2.4 轉染HEK293細胞放大培養重組腺病毒
以Ad-BMP-2和Ad-TGF-β3 250 μL轉染HEK293細胞,當細胞有明顯的細胞病變效應現象時,收集細胞裂解,再收集病毒,以離心半徑15 cm、1 500 r/min離心5 min,棄上清后PBS重懸,反復凍融3次;將凍融液以離心半徑15 cm、3 000 r/min離心5 min,收集病毒上清;重復感染、收集步驟,將最終收集的病毒上清用氯化銫梯度離心純化,得到高純度病毒液。50%組織培養感染劑量法測定病毒滴度。
1.3 滇南小耳豬BMSCs分離培養及鑒定
取成年滇南小耳豬12只,于髂棘處備皮、消毒,抽取骨髓15 mL。采取離心加貼壁法分離細胞,接種于25 cm3培養瓶中,37℃、5%CO2培養箱培養,48 h后首次換液,以后每2~3天換液1次,逐漸除去未貼壁細胞及紅細胞。當原代細胞融合并覆蓋瓶底80%以上時,用0.25%胰蛋白酶消化,1∶2比例傳代培養。通過成骨、成軟骨、成脂肪多向分化及流式細胞儀檢測細胞CD29、CD44、CD45表達情況,對BMSCs進行鑒定。
1.4 Ad-BMP-2、Ad-TGF-β3轉染豬BMSCs
取第3代BMSCs,調整細胞密度為5 ×104 個 / mL,接種于3塊6孔板中(每孔1 ×105個細胞),制作細胞爬片,分為Ad-BMP-2轉染組(A組)、Ad-TGF-β3轉染組(B組)、Ad-BMP-2 + Ad-TGF-β3聯合轉染組(C組)和未轉染組(D組)。待細胞生長至約80%融合時,取1孔計數,根據預實驗測定的最佳感染復數(multiplicity of infection,MOI),分別加入相應的Ad-BMP-2(MOI=20)、Ad-TGF-β3(MOI=50)病毒液;培養24 h后吸棄病毒液,更換為含10%FBS的DMEM/F12完全培養液繼續培養,免疫熒光、Western blot及PCR檢測目的基因表達。
1.4.1 免疫熒光檢測BMP-2、TGF-β3表達
轉染72 h后,取出6孔板中的細胞爬片,PBS沖洗,4%多聚甲醛固定10 min;0.5%Triton X-100穿孔15 min;1%牛血清白蛋白(bovine serum albumin,BSA)室溫下封閉30 min;加入1%BSA稀釋的一抗(TGF-β3鼠抗人單克隆抗體1∶40、BMP-2兔抗人多克隆抗體1∶500),4℃過夜;PBS漂洗,加入1%BSA稀釋的熒光二抗(羊抗鼠單克隆抗體1∶200、羊抗兔多克隆抗體1∶200),37℃雜交2 h;PBS漂洗,5 μg/mL DAPI染色2 min;抗淬滅封片劑封片,熒光顯微鏡觀察。
1.4.2 PCR檢測BMP-2、TGF-β3
mRNA表達轉染72 h后,以Trizol-氯仿法抽提總RNA,逆轉錄為cDNA,以BMP-2、TGF-β3為目的基因,β-actin為內參;冰上配制PCR反應體系,引物序列:BMP-2上游5'-AT-CCTGAGCGAGTTCGAGTTG-3',下游5'-ACCTGAA-GTTCTGCAGAGGTG-3';TGF-β3上游5'-ACTTGCA-CCACCTTGGACTTC-3',下游5'-GGTCATCACCGTT-GGCTCA-3';β-actin上游5'-GTGCGGGACATCAAG-GAGAA-3',下游5'-ATGTCCACGTCGCACTTCAT-3'。PCR反應條件:95℃預變性2 min,95℃變性1 min,退火1 min,72℃延伸1 min;35個循環。PCR反應產物在2%瓊脂糖凝膠上電泳,觀察BMP-2和TGF-β3 mRNA表達。
1.4.3 Western
blot檢測BMP-2、TGF-β3蛋白表達轉染21 d后,以水溶液提取法提取總蛋白,Western blot檢測目的蛋白表達。取6孔培養板棄培養液,PBS漂洗,加入冰預冷的RAPI裂解液,冰上充分裂解后,收集裂解物于EP管中,4℃以離心半徑5 cm、12 000 r/ min離心10 min;收集上清液,加入SDS后煮沸變性,SDS-PAGE電泳,濕法轉膜,5%脫脂奶粉室溫封閉后,加入5%脫脂奶粉稀釋的一抗(TGF-β3鼠抗人單克隆抗體1∶500、BMP-2兔抗人多克隆抗體1∶500),4℃過夜;TBST溶液洗膜;辣根過氧化物酶標記二抗(羊抗鼠IgG二抗1∶8 000、羊抗兔IgG二抗1∶5 000)反應1 h,TBST溶液洗膜3次,10 min/次;膜上加0.6 mL luminolA + luminolB(辣根過氧化物酶化學發光底物液)的混合液,拍照并進行灰度值分析。
1.4.4 Ⅱ型膠原免疫組織化學染色檢測BMSCs基因轉染后成軟骨分化
轉染21 d后取出各組細胞爬片,PBS漂洗,4%多聚甲醛固定30 min;0.5%Triton X-100穿孔15 min;甲醇+ 30%H2O2溶液(50∶1)浸泡15 min;5%BSA室溫下封閉20 min;加入5%BSA稀釋的一抗(Ⅱ型膠原鼠抗人單克隆抗體1∶100),37℃孵育1 h;PBS漂洗;SABC 37℃反應20 min;DAB顯色10 min,蘇木素復染5 min;自來水沖洗,飽和碳酸鋰返藍,脫水,透明,封固,光鏡下觀察。
2 結果
2.1 Ad-BMP-2、Ad-TGF-β3構建過程及鑒定
2.1.1 BMP-2、TGF-β3
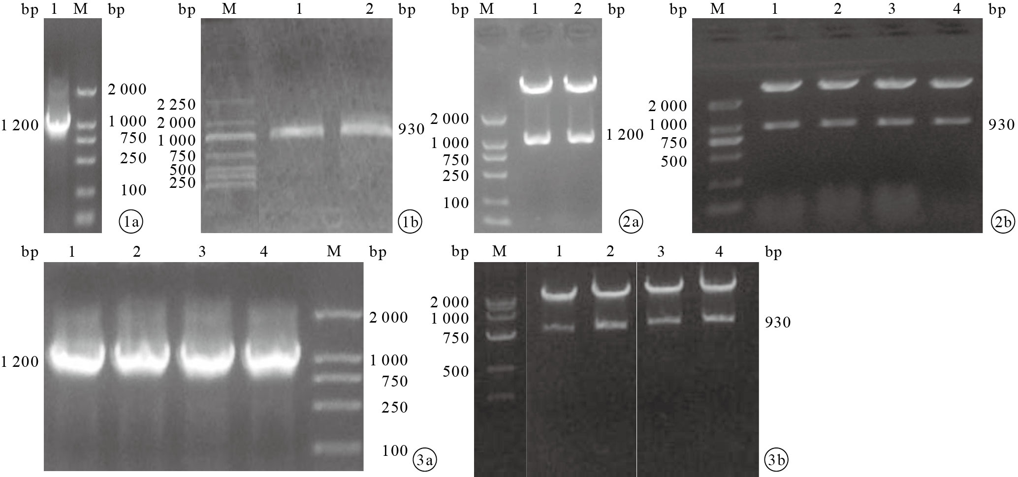
PCR產物的瓊脂糖凝膠電泳結果用高保真PCR成功擴增出 BMP-2和TGF-β3基因片段,1%瓊脂糖凝膠電泳檢測,BMP-2片段為1 200 bp,TGF-β3片段為930 bp(圖 1)。測序報告顯示擴增出的BMP-2、TGF-β3片段的DNA序列未發生堿基突變、增加和丟失。

2.1.2 pEC-GIE3.1-BMP-2及pEC-GIE3.1-TGF-β3重組質粒的鑒定
亞克隆BMP-2、TGF-β3至穿梭載體pEC3.1-GIE后HindⅢ、EcoRⅠ雙酶切鑒定,大小分別為1 200、930 bp,與預計相符(圖 2),提示pEC-GIE3.1-BMP-2及pEC-GIE3.1-TGF-β3重組質粒構建成功。
2.1.3 pGSadeno-BMP-2、pGSadeno-TGF-β3重組腺病
毒表達質粒的鑒定 pEC-GIE3.1-BMP-2及pEC-GIE3.1-TGF-β3重組穿梭質粒與骨架質粒pGSadeno進行同源重組,PCR產物凝膠電泳結果顯示克隆分別為1 200、930 bp,為正確克隆(圖 3),提示pGSadeno-BMP-2、pGSadeno-TGF-β3重組腺病毒表達質粒構建成功。
2.1.4 重組腺病毒擴增
Ad-BMP-2、Ad-TGF-β3轉染HEK293細胞72 h后,HEK293細胞變圓、腫大,細胞開始出現脫落;7 d后細胞開始大量脫落并成串狀。正常對照細胞無此變化,表明轉染成功。50%組織培養感染劑量法檢測Ad-BMP-2、Ad-TGF-β3病毒滴度分別為5.6 ×108、1.6 ×108 pfu/mL。
2.2 BMSCs形態學觀察及鑒定
BMSCs原代培養2 d首次半量換液,至7 d時可見少量三角形、長梭形細胞克隆性生長;7~10 d可見細胞呈長梭形,緊密排列;至14 d左右細胞已基本融合呈漩渦狀。傳代后細胞形態變大,早期呈現類似于原代細胞的三角形及多邊形;隨著傳代次數增加,多邊形細胞逐漸增多呈寬大扁平狀,折光性降低,增殖緩慢。見圖 4。

成脂誘導培養10 d油紅O染色可見細胞質中有紅染脂滴;成骨誘導培養14 d茜素紅染色可見細胞外基質中有紅染鈣結節形成;成軟骨誘導培養21 d阿利新藍染色可見細胞內以及細胞外基質藍染。見圖 5。流式細胞儀檢測示,原代及第1、2代細胞CD29檢測陽性率分別為73.10%、99.44%、99.49%,CD44陽性率分別為69.74%、99.96%、99.52%,CD45陰性率分別為99.68%、95.81%、99.93%。
2.3 轉染BMSCs后BMP-2和TGF-β3表達
轉染BMSCs后72 h,免疫熒光檢測示A組細胞細胞質內有紅色熒光表達,B組可見綠色熒光表達,C組可見紅色及綠色熒光同時表達,D組未見熒光表達。見圖 6。
PCR檢測示,A組在310 bp處可見條帶,B組在114 bp處可見條帶,C組在310、114 bp處同時可見條帶,D組未見目的條帶表達。見圖 7。
Western blot檢測示,A組在相對分子質量為18 ×103處有陽性條帶,B組在50 ×103處有陽性條帶,C組在18 ×103、50 ×103處同時可見條帶,D組未見目的條帶表達。見圖 8。
2.4 轉染后BMSCs中軟骨特異性標志Ⅱ型膠原表達
A、B、C組BMSCs中Ⅱ型膠原免疫組織化學染色呈陽性,可見棕黃色顆粒分布于細胞質內,C組染色強于A、B組,D組染色呈陰性。見圖 9。
3 討論
關節軟骨再生能力有限,損傷或退變后難以通過再生達到結構與功能的完全恢復[10]。目前,常用的軟骨修復方法如自體軟骨移植[11]、軟骨下鉆孔[12]、微骨折術[13]等,盡管在初期修復組織的外觀類似軟骨,但隨著時間推移,將退變成纖維軟骨,遠期效果并不理想[14]。組織工程技術及基因治療的發展,為軟骨損傷修復開辟了新的研究方向[1-3]。然而,如何更加有效地在體外將種子細胞定向誘導為軟骨表型細胞并形成軟骨組織,是研究難點。目前,單一生長因子基因轉染已能使靶細胞大量表達這些生長調控因子,有效促進軟骨生長和基質合成[15-16]。但關節軟骨修復是一個極其復雜的過程,在軟骨修復的整體過程中,需要多種細胞因子協調參與。體外實驗證實聯合應用兩種或兩種以上細胞因子的修復效果優于單一因子的作用[17-19]。
多種生長因子參與并調節軟骨的分化、增殖,并在軟骨基質的維持及損傷修復過程中起重要作用。其中,BMP-2和TGF-β3是研究較多的兩種因子[6-9]。BMP-2作為成軟骨誘導分化因子,主要在分化早期發揮作用,軟骨原基形成后,BMP-2信號對于軟骨原基的維持和繼續發育同樣不可或缺[20]。TGF-β3主要調節軟骨細胞增殖,維持軟骨表型,促進膠原和蛋白聚糖形成和成熟,在軟骨生長過程中也具有重要作用。BMP-2和TGF-β3聯合應用可能產生協同作用,更加有效地誘導BMSCs成軟骨分化。然而外源性應用生長因子效率低、持續時間短、需反復給藥等缺點,限制了其在組織工程的廣泛應用。為此,本實驗利用轉基因技術將BMP-2和TGF-β3基因導入腺病毒載體,轉染BMSCs使之持續釋放目的基因所表達的細胞因子,彌補外源性細胞因子局部應用的缺陷,以期為軟骨組織工程研究提供改良的種子細胞。
本實驗中,Ad-BMP-2和Ad-TGF-β3雙基因轉染BMSCs后,PCR顯示有目的基因表達,免疫熒光顯示BMSCs細胞質內有目的蛋白表達。Western blot結果表明Ad-BMP-2、Ad-TGF-β3轉染BMSCs后可表達目的蛋白,表達時間可達3周。既往研究表明,BMP-2和TGF-β3均為分泌性蛋白,其在細胞質中合成后可通過自分泌或旁分泌的形式作用于周圍的BMSCs,通過激活或抑制相關信號通路,調控BMSCs成軟骨分化[7-8, 17]。本實驗結果顯示,基因轉染組(A、B、C組)BMSCs轉染21 d時Ⅱ型膠原免疫組織化學染色陽性,C組染色強于A、B組,而D組細胞呈陰性。說明Ad-TGF-β3和Ad-BMP-2可在BMSCs中表達并促進其成軟骨分化,雙基因聯合轉染具有協同作用。
基因修飾中,將目的基因轉入所需種子細胞需要特定載體。作為外源性基因傳遞的系統主要有兩大類:非病毒類和病毒類。非病毒載體因轉染效率低[21],應用相對較少。病毒載體,如腺病毒載體、腺相關病毒載體、逆轉錄病毒載體、慢病毒載體等應用較多。相對于腺相關病毒、慢病毒載體,腺病毒載體具有以下優點:① 病毒攜帶的基因不整合至宿主細胞基因組,不引起插入突變;② 腺病毒可感染任何時期的細胞;③ 外源基因的表達水平較高;④ 外源性基因承載量大,也可同時插入多個不同目的基因。腺病毒具有高表達和短時效的特點[22],在宿主細胞內可獲得2~4周表達。既往研究表明,BMSCs在有效的細胞因子誘導情況下2~3周即可完成成軟骨分化[23-24],誘導因子如果長期存在可能出現軟骨肥大及成骨分化[25],因此采用腺病毒作為載體介導目的基因對BMSCs成軟骨分化較為理想。本實驗結果顯示:將重組質粒pEC-GIE3.1-BMP-2、pEC-GIE3.1-TGF-β3和骨架質粒pGSadeno進行同源重組,PCR產物凝膠電泳結果顯示克隆分別為1 200、930 bp,為正確克隆,說明質粒中有BMP-2、TGF-β3基因片段存在。
本研究使用構建成功的Ad-BMP-2和Ad-TGF-β3聯合轉染滇南小耳豬BMSCs,結果表明外源目的基因已成功在BMSCs表達,并能促進成軟骨分化,這為基因治療軟骨損傷提供了改良的種子細胞,并為進一步軟骨組織工程研究奠定了基礎。下一步,我們將對Ad-BMP-2、Ad-TGF-β3單基因轉染及雙基因聯合轉染進行對比,并就成軟骨分化標記物(Sox9、Ⅱ型膠原、蛋白聚糖)進行量化分析,明確其表達產物是否具有協同作用,并探討其產生協同作用的信號通路機制。
利用組織工程再造軟骨修復軟骨缺損已成為當前研究熱點[1-3]。BMSCs具有多向分化潛能,在特定條件下可分化為成骨細胞、脂肪細胞、軟骨細胞,是理想的組織工程種子細胞[2-5]。然而,如何更有效在體外將BMSCs定向分化為軟骨表型細胞并生成軟骨組織,為組織工程軟骨提供改良的種子細胞,是現今研究難點和熱點。有研究發現BMP-2可使MSCs遷移聚集成團并維持緊縮狀態,刺激Smad磷酸化,增強Sox9表達,促進MSCs向軟骨細胞分化[6];TGF-β3可加快軟骨細胞的DNA合成[7],還可通過自分泌調控及細胞因子網絡調控間接調控膠原表達[8];且TGF-β3可抑制基質金屬蛋白酶的表達,減少蛋白多糖降解[9],在軟骨發生及表型維持方面發揮重要作用。若將BMP-2和TGF-β3聯用,有可能充分發揮其協同作用,更好促進BMSCs成軟骨分化。
為此,本實驗利用轉基因技術將編碼BMP-2和TGF-β3的目的基因導入腺病毒載體,雙基因聯合轉染BMSCs,使之持續釋放目的基因所表達的細胞因子,以彌補外源性細胞因子局部應用的缺陷,以期為組織工程軟骨研究提供改良的種子細胞。
1 材料與方法
1.1 實驗動物及主要試劑、儀器
成年滇南小耳豬12只,雌雄不限,體重12~ 15 kg,由昆明醫科大學實驗動物所中心提供,實驗過程符合《關于善待實驗動物的指導性意見》。
pOTB7-BMP-2質粒、pOTB7-TGF-β3質粒(ATTC公司,美國);腺病毒表達系統、腺病毒骨架質粒pGSadeno(武漢晶賽生物工程技術有限公司);DH5α菌株、HEK293細胞(中國科學院昆明動物研究所);PCR試劑盒、DNA連接試劑盒及限制性內切酶BamHⅠ、HindⅢ、Xbal、EcoRⅠ(Takara公司,日本);限制性內切酶PacⅠ(New England Biolab公司,英國);脂質體轉染試劑盒(Invitrogen公司,美國);質粒抽提試劑盒、DNA凝膠試劑盒(Bochringer Mannheim公司,德國);PCR 引物由上海生工生物工程有限公司合成;TGF-β3鼠抗人單克隆抗體、BMP-2兔抗人多克隆抗體、Ⅱ型膠原鼠抗人單克隆抗體(Abcam公司,英國);羊抗鼠單克隆熒光二抗、羊抗兔多克隆熒光二抗(Thermo公司,美國);辣根過氧化物酶標記的羊抗鼠IgG二抗及羊抗兔IgG二抗(上海Abmart生物醫藥有限公司);RNA提取試劑盒、逆轉錄試劑盒(大連寶生物工程有限公司);小鼠IgG-免疫組織化學試劑盒、DAB顯色試劑盒(武漢博士德生物工程有限公司);DMEM/F12、FBS(GIBCO公司,美國)。倒置顯微鏡(Olympus公司,日本);凝膠成像系統(Bio-Rad公司,美國)。
1.2 腺病毒BMP-2、TGF-β3載體的構建及其鑒定
1.2.1 PCR擴增BMP-2、TGF-β3片段
以pOTB7-BMP-2、pOTB7-TGF-β3為模板,設計含有BamHⅠ和EcoRⅠ酶切位點的BMP-2及TGF-β3引物。引物序列:BMP-2上游5'-CGGGATCCATGGTGGCCGGGACCC-GCTGTCTT-3',下游5'-GGAATTCTGCTGTACTAG-CGACACC-3',產物長度1 219 bp;TGF-β3上游5'-CC-CAAGCTTATGAAGATGCACTTGCAAAG-3',下游5'-CGCGGATCCTCACCGGAAGCAGTAATTG-3',產物長度930 bp。熱力學參數:94℃預熱變性5 min,94℃變性20 s,53℃退火20 s,72℃延伸75 s,30個循環。產物在1%瓊脂糖凝膠中電泳,DNA回收試劑盒回收擴增片段,BamHⅠ、EcoRⅠ雙酶切鑒定。
1.2.2 重組質粒的構建和鑒定
回收的BMP-2、TGF-β3片段和穿梭載體pEC3.1(+)經BamHⅠ和EcoRⅠ雙酶切,酶切產物經純化試劑盒純化后,T4連接酶連接。連接產物轉化至DH5α中,挑取克隆進行EcoRⅠ、HindⅢ雙酶切及PCR鑒定,獲得重組質粒pEC-GIE3.1-BMP-2及pEC-GIE3.1-TGF-β3。
1.2.3 腺病毒表達質粒的構建和鑒定
將重組質粒pEC-GIE3.1-BMP-2、pEC-GIE3.1-TGF-β3和腺病毒骨架質粒pGSadeno進行同源重組,并行PCR鑒定;篩選陽性克隆,行Xba1單酶切鑒定,分別獲得重組腺病毒質粒pGSadeno-BMP-2、pGSadeno-TGF-β3。提取質粒,PacⅠ線性化后,通過脂質體2000轉染HEK-293細胞,包裝為含外源性BMP-2、TGF-β3的高活性腺病毒Ad-BMP-2和Ad-TGF-β3。
1.2.4 轉染HEK293細胞放大培養重組腺病毒
以Ad-BMP-2和Ad-TGF-β3 250 μL轉染HEK293細胞,當細胞有明顯的細胞病變效應現象時,收集細胞裂解,再收集病毒,以離心半徑15 cm、1 500 r/min離心5 min,棄上清后PBS重懸,反復凍融3次;將凍融液以離心半徑15 cm、3 000 r/min離心5 min,收集病毒上清;重復感染、收集步驟,將最終收集的病毒上清用氯化銫梯度離心純化,得到高純度病毒液。50%組織培養感染劑量法測定病毒滴度。
1.3 滇南小耳豬BMSCs分離培養及鑒定
取成年滇南小耳豬12只,于髂棘處備皮、消毒,抽取骨髓15 mL。采取離心加貼壁法分離細胞,接種于25 cm3培養瓶中,37℃、5%CO2培養箱培養,48 h后首次換液,以后每2~3天換液1次,逐漸除去未貼壁細胞及紅細胞。當原代細胞融合并覆蓋瓶底80%以上時,用0.25%胰蛋白酶消化,1∶2比例傳代培養。通過成骨、成軟骨、成脂肪多向分化及流式細胞儀檢測細胞CD29、CD44、CD45表達情況,對BMSCs進行鑒定。
1.4 Ad-BMP-2、Ad-TGF-β3轉染豬BMSCs
取第3代BMSCs,調整細胞密度為5 ×104 個 / mL,接種于3塊6孔板中(每孔1 ×105個細胞),制作細胞爬片,分為Ad-BMP-2轉染組(A組)、Ad-TGF-β3轉染組(B組)、Ad-BMP-2 + Ad-TGF-β3聯合轉染組(C組)和未轉染組(D組)。待細胞生長至約80%融合時,取1孔計數,根據預實驗測定的最佳感染復數(multiplicity of infection,MOI),分別加入相應的Ad-BMP-2(MOI=20)、Ad-TGF-β3(MOI=50)病毒液;培養24 h后吸棄病毒液,更換為含10%FBS的DMEM/F12完全培養液繼續培養,免疫熒光、Western blot及PCR檢測目的基因表達。
1.4.1 免疫熒光檢測BMP-2、TGF-β3表達
轉染72 h后,取出6孔板中的細胞爬片,PBS沖洗,4%多聚甲醛固定10 min;0.5%Triton X-100穿孔15 min;1%牛血清白蛋白(bovine serum albumin,BSA)室溫下封閉30 min;加入1%BSA稀釋的一抗(TGF-β3鼠抗人單克隆抗體1∶40、BMP-2兔抗人多克隆抗體1∶500),4℃過夜;PBS漂洗,加入1%BSA稀釋的熒光二抗(羊抗鼠單克隆抗體1∶200、羊抗兔多克隆抗體1∶200),37℃雜交2 h;PBS漂洗,5 μg/mL DAPI染色2 min;抗淬滅封片劑封片,熒光顯微鏡觀察。
1.4.2 PCR檢測BMP-2、TGF-β3
mRNA表達轉染72 h后,以Trizol-氯仿法抽提總RNA,逆轉錄為cDNA,以BMP-2、TGF-β3為目的基因,β-actin為內參;冰上配制PCR反應體系,引物序列:BMP-2上游5'-AT-CCTGAGCGAGTTCGAGTTG-3',下游5'-ACCTGAA-GTTCTGCAGAGGTG-3';TGF-β3上游5'-ACTTGCA-CCACCTTGGACTTC-3',下游5'-GGTCATCACCGTT-GGCTCA-3';β-actin上游5'-GTGCGGGACATCAAG-GAGAA-3',下游5'-ATGTCCACGTCGCACTTCAT-3'。PCR反應條件:95℃預變性2 min,95℃變性1 min,退火1 min,72℃延伸1 min;35個循環。PCR反應產物在2%瓊脂糖凝膠上電泳,觀察BMP-2和TGF-β3 mRNA表達。
1.4.3 Western
blot檢測BMP-2、TGF-β3蛋白表達轉染21 d后,以水溶液提取法提取總蛋白,Western blot檢測目的蛋白表達。取6孔培養板棄培養液,PBS漂洗,加入冰預冷的RAPI裂解液,冰上充分裂解后,收集裂解物于EP管中,4℃以離心半徑5 cm、12 000 r/ min離心10 min;收集上清液,加入SDS后煮沸變性,SDS-PAGE電泳,濕法轉膜,5%脫脂奶粉室溫封閉后,加入5%脫脂奶粉稀釋的一抗(TGF-β3鼠抗人單克隆抗體1∶500、BMP-2兔抗人多克隆抗體1∶500),4℃過夜;TBST溶液洗膜;辣根過氧化物酶標記二抗(羊抗鼠IgG二抗1∶8 000、羊抗兔IgG二抗1∶5 000)反應1 h,TBST溶液洗膜3次,10 min/次;膜上加0.6 mL luminolA + luminolB(辣根過氧化物酶化學發光底物液)的混合液,拍照并進行灰度值分析。
1.4.4 Ⅱ型膠原免疫組織化學染色檢測BMSCs基因轉染后成軟骨分化
轉染21 d后取出各組細胞爬片,PBS漂洗,4%多聚甲醛固定30 min;0.5%Triton X-100穿孔15 min;甲醇+ 30%H2O2溶液(50∶1)浸泡15 min;5%BSA室溫下封閉20 min;加入5%BSA稀釋的一抗(Ⅱ型膠原鼠抗人單克隆抗體1∶100),37℃孵育1 h;PBS漂洗;SABC 37℃反應20 min;DAB顯色10 min,蘇木素復染5 min;自來水沖洗,飽和碳酸鋰返藍,脫水,透明,封固,光鏡下觀察。
2 結果
2.1 Ad-BMP-2、Ad-TGF-β3構建過程及鑒定
2.1.1 BMP-2、TGF-β3
PCR產物的瓊脂糖凝膠電泳結果用高保真PCR成功擴增出 BMP-2和TGF-β3基因片段,1%瓊脂糖凝膠電泳檢測,BMP-2片段為1 200 bp,TGF-β3片段為930 bp(圖 1)。測序報告顯示擴增出的BMP-2、TGF-β3片段的DNA序列未發生堿基突變、增加和丟失。

2.1.2 pEC-GIE3.1-BMP-2及pEC-GIE3.1-TGF-β3重組質粒的鑒定
亞克隆BMP-2、TGF-β3至穿梭載體pEC3.1-GIE后HindⅢ、EcoRⅠ雙酶切鑒定,大小分別為1 200、930 bp,與預計相符(圖 2),提示pEC-GIE3.1-BMP-2及pEC-GIE3.1-TGF-β3重組質粒構建成功。
2.1.3 pGSadeno-BMP-2、pGSadeno-TGF-β3重組腺病
毒表達質粒的鑒定 pEC-GIE3.1-BMP-2及pEC-GIE3.1-TGF-β3重組穿梭質粒與骨架質粒pGSadeno進行同源重組,PCR產物凝膠電泳結果顯示克隆分別為1 200、930 bp,為正確克隆(圖 3),提示pGSadeno-BMP-2、pGSadeno-TGF-β3重組腺病毒表達質粒構建成功。
2.1.4 重組腺病毒擴增
Ad-BMP-2、Ad-TGF-β3轉染HEK293細胞72 h后,HEK293細胞變圓、腫大,細胞開始出現脫落;7 d后細胞開始大量脫落并成串狀。正常對照細胞無此變化,表明轉染成功。50%組織培養感染劑量法檢測Ad-BMP-2、Ad-TGF-β3病毒滴度分別為5.6 ×108、1.6 ×108 pfu/mL。
2.2 BMSCs形態學觀察及鑒定
BMSCs原代培養2 d首次半量換液,至7 d時可見少量三角形、長梭形細胞克隆性生長;7~10 d可見細胞呈長梭形,緊密排列;至14 d左右細胞已基本融合呈漩渦狀。傳代后細胞形態變大,早期呈現類似于原代細胞的三角形及多邊形;隨著傳代次數增加,多邊形細胞逐漸增多呈寬大扁平狀,折光性降低,增殖緩慢。見圖 4。

成脂誘導培養10 d油紅O染色可見細胞質中有紅染脂滴;成骨誘導培養14 d茜素紅染色可見細胞外基質中有紅染鈣結節形成;成軟骨誘導培養21 d阿利新藍染色可見細胞內以及細胞外基質藍染。見圖 5。流式細胞儀檢測示,原代及第1、2代細胞CD29檢測陽性率分別為73.10%、99.44%、99.49%,CD44陽性率分別為69.74%、99.96%、99.52%,CD45陰性率分別為99.68%、95.81%、99.93%。
2.3 轉染BMSCs后BMP-2和TGF-β3表達
轉染BMSCs后72 h,免疫熒光檢測示A組細胞細胞質內有紅色熒光表達,B組可見綠色熒光表達,C組可見紅色及綠色熒光同時表達,D組未見熒光表達。見圖 6。
PCR檢測示,A組在310 bp處可見條帶,B組在114 bp處可見條帶,C組在310、114 bp處同時可見條帶,D組未見目的條帶表達。見圖 7。
Western blot檢測示,A組在相對分子質量為18 ×103處有陽性條帶,B組在50 ×103處有陽性條帶,C組在18 ×103、50 ×103處同時可見條帶,D組未見目的條帶表達。見圖 8。
2.4 轉染后BMSCs中軟骨特異性標志Ⅱ型膠原表達
A、B、C組BMSCs中Ⅱ型膠原免疫組織化學染色呈陽性,可見棕黃色顆粒分布于細胞質內,C組染色強于A、B組,D組染色呈陰性。見圖 9。
3 討論
關節軟骨再生能力有限,損傷或退變后難以通過再生達到結構與功能的完全恢復[10]。目前,常用的軟骨修復方法如自體軟骨移植[11]、軟骨下鉆孔[12]、微骨折術[13]等,盡管在初期修復組織的外觀類似軟骨,但隨著時間推移,將退變成纖維軟骨,遠期效果并不理想[14]。組織工程技術及基因治療的發展,為軟骨損傷修復開辟了新的研究方向[1-3]。然而,如何更加有效地在體外將種子細胞定向誘導為軟骨表型細胞并形成軟骨組織,是研究難點。目前,單一生長因子基因轉染已能使靶細胞大量表達這些生長調控因子,有效促進軟骨生長和基質合成[15-16]。但關節軟骨修復是一個極其復雜的過程,在軟骨修復的整體過程中,需要多種細胞因子協調參與。體外實驗證實聯合應用兩種或兩種以上細胞因子的修復效果優于單一因子的作用[17-19]。
多種生長因子參與并調節軟骨的分化、增殖,并在軟骨基質的維持及損傷修復過程中起重要作用。其中,BMP-2和TGF-β3是研究較多的兩種因子[6-9]。BMP-2作為成軟骨誘導分化因子,主要在分化早期發揮作用,軟骨原基形成后,BMP-2信號對于軟骨原基的維持和繼續發育同樣不可或缺[20]。TGF-β3主要調節軟骨細胞增殖,維持軟骨表型,促進膠原和蛋白聚糖形成和成熟,在軟骨生長過程中也具有重要作用。BMP-2和TGF-β3聯合應用可能產生協同作用,更加有效地誘導BMSCs成軟骨分化。然而外源性應用生長因子效率低、持續時間短、需反復給藥等缺點,限制了其在組織工程的廣泛應用。為此,本實驗利用轉基因技術將BMP-2和TGF-β3基因導入腺病毒載體,轉染BMSCs使之持續釋放目的基因所表達的細胞因子,彌補外源性細胞因子局部應用的缺陷,以期為軟骨組織工程研究提供改良的種子細胞。
本實驗中,Ad-BMP-2和Ad-TGF-β3雙基因轉染BMSCs后,PCR顯示有目的基因表達,免疫熒光顯示BMSCs細胞質內有目的蛋白表達。Western blot結果表明Ad-BMP-2、Ad-TGF-β3轉染BMSCs后可表達目的蛋白,表達時間可達3周。既往研究表明,BMP-2和TGF-β3均為分泌性蛋白,其在細胞質中合成后可通過自分泌或旁分泌的形式作用于周圍的BMSCs,通過激活或抑制相關信號通路,調控BMSCs成軟骨分化[7-8, 17]。本實驗結果顯示,基因轉染組(A、B、C組)BMSCs轉染21 d時Ⅱ型膠原免疫組織化學染色陽性,C組染色強于A、B組,而D組細胞呈陰性。說明Ad-TGF-β3和Ad-BMP-2可在BMSCs中表達并促進其成軟骨分化,雙基因聯合轉染具有協同作用。
基因修飾中,將目的基因轉入所需種子細胞需要特定載體。作為外源性基因傳遞的系統主要有兩大類:非病毒類和病毒類。非病毒載體因轉染效率低[21],應用相對較少。病毒載體,如腺病毒載體、腺相關病毒載體、逆轉錄病毒載體、慢病毒載體等應用較多。相對于腺相關病毒、慢病毒載體,腺病毒載體具有以下優點:① 病毒攜帶的基因不整合至宿主細胞基因組,不引起插入突變;② 腺病毒可感染任何時期的細胞;③ 外源基因的表達水平較高;④ 外源性基因承載量大,也可同時插入多個不同目的基因。腺病毒具有高表達和短時效的特點[22],在宿主細胞內可獲得2~4周表達。既往研究表明,BMSCs在有效的細胞因子誘導情況下2~3周即可完成成軟骨分化[23-24],誘導因子如果長期存在可能出現軟骨肥大及成骨分化[25],因此采用腺病毒作為載體介導目的基因對BMSCs成軟骨分化較為理想。本實驗結果顯示:將重組質粒pEC-GIE3.1-BMP-2、pEC-GIE3.1-TGF-β3和骨架質粒pGSadeno進行同源重組,PCR產物凝膠電泳結果顯示克隆分別為1 200、930 bp,為正確克隆,說明質粒中有BMP-2、TGF-β3基因片段存在。
本研究使用構建成功的Ad-BMP-2和Ad-TGF-β3聯合轉染滇南小耳豬BMSCs,結果表明外源目的基因已成功在BMSCs表達,并能促進成軟骨分化,這為基因治療軟骨損傷提供了改良的種子細胞,并為進一步軟骨組織工程研究奠定了基礎。下一步,我們將對Ad-BMP-2、Ad-TGF-β3單基因轉染及雙基因聯合轉染進行對比,并就成軟骨分化標記物(Sox9、Ⅱ型膠原、蛋白聚糖)進行量化分析,明確其表達產物是否具有協同作用,并探討其產生協同作用的信號通路機制。