引用本文: 曾敏, 胡懿郃, 謝杰, 李明清, 林少如. 旋轉鉸鏈型膝關節假體治療重度膝關節畸形的中期療效. 中國修復重建外科雜志, 2014, 28(1): 7-12. doi: 10.7507/1002-1892.20140002 復制
重度膝關節畸形主要指膝關節屈曲畸形> 15°、外翻畸形> 15°或內翻畸形> 20°,側副韌帶嚴重攣縮畸形或斷裂,并伴嚴重骨缺損[1]。對于此類患者,因術中需切除較多骨質才能恢復下肢力線,或側副韌帶無法重建等,采用表面型膝關節假體置換受到一定限制,因此臨床選擇鉸鏈型膝關節假體置換以重建關節功能。但傳統單純鉸鏈型膝關節假體缺乏膝關節旋轉功能,患者術后關節功能恢復差,假體松動等并發癥發生率較高[2]。隨著對假體設計的改進,20世紀80、90年代逐漸出現了旋轉鉸鏈型膝關節假體。這種假體結合了表面型及單純鉸鏈型膝關節假體的優點,在保證假體穩定的同時保留假體部分旋轉功能,降低骨與假體間的應力[3],以避免假體松動等并發癥發生。目前,旋轉鉸鏈型膝關節假體已越來越多地應用于臨床,但相關研究報道療效不一,且以近期療效評價居多。為此,我們回顧分析了2003年1月-2011年6月,于我院采用旋轉鉸鏈型膝關節假體行人工全膝關節置換術且隨訪達2年以上的24例(24膝)重度膝關節畸形患者臨床資料,探討其中期療效,為此類假體的臨床應用奠定基礎。報告如下。
1 臨床資料
1.1 患者選擇標準
納入標準:① 膝關節屈曲畸形> 15°、外翻畸形> 15°或內翻畸形> 20°,伴或不伴側副韌帶嚴重攣縮畸形、斷裂及嚴重骨缺損者;② 隨訪達2年以上且資料完整者。排除標準:因腫瘤、翻修術而采用旋轉鉸鏈型膝關節假體置換者。2003年1月-2011年6月,共24例(24膝)符合選擇標準納入研究。
1.2 一般資料
本組男14例,女10例;年齡60~81歲,平均70歲。病因:原發性骨關節炎5例,類風濕性關節炎7 例,創傷性關節炎9例,夏科關節病3例。病程5~25年,平均14.5年。左膝13例,右膝11例。主要臨床癥狀為膝關節疼痛伴活動受限。入院檢查:均存在嚴重關節不穩、畸形,3例膝關節僵硬;13例屈曲畸形20~35°,平均25.6°;7例外翻畸形15~30°,平均22.4°;16例內翻畸形20~35°,平均27.5°。術前膝關節學會評分系統(KSS)評分、疼痛視覺模擬評分(VAS)及膝關節屈伸活動度見表 1。行膝關節正側位及下肢全長X線片檢查,11例聯合CT三維重建,明確膝關節畸形程度及選擇關節假體型號。根據Anderson 骨科研究所(AORI)骨缺損分型,本組均存在脛骨側骨缺損,其中Ⅰ型8例,Ⅱ型11例,Ⅲ型5例。合并高血壓10例,糖尿病9例,冠心病6例。夏科關節病者無共濟失調。
1.3 手術方法
術前對合并內科疾病患者均經相關科室會診治療控制病情,血壓、血糖控制在正常范圍內,并指導患者行股四頭肌功能鍛煉。
全麻下,患者取仰臥位,上氣囊止血帶后手術。作前正中切口,取髕旁內側入路切開關節囊,外翻髕骨暴露膝關節;膝關節暴露困難時聯合截骨和軟組織松解,本組3例術前膝關節僵硬者經松解后仍暴露困難,采用V-Y股四頭肌成形松解膝關節,注意保持伸膝裝置完整性及下肢力線正常。切除增生滑膜、骨贅及前、后交叉韌帶,術中見12例側副韌帶緊張,作適當松解。首先,行股骨遠端截骨、定位,于髁間窩中點后交叉韌帶上方1 cm處,沿股骨干長軸擴髓后,確定髓腔大小并將入口處再擴大以利假體安裝。安裝股骨截骨導向器,其橫徑略小于股骨髁橫徑的1/2,將其插入股骨髓腔,沿導向器于股骨髁表面截骨并修整截骨槽。再次插入導向器后固定,沿其表面曲率修整股骨髁遠端及后髁部分,擺鋸緊貼導向器切除股骨滑車部分骨質,再用骨銼修整髕骨滑槽及殘留的軟骨面。屈曲膝關節顯露脛骨平臺,在脛骨平臺中線的前交叉韌帶脛骨止點處擴髓并確定髓腔大小。然后安裝脛骨髓外定位器,行脛骨平臺截骨,截骨量以脛骨平臺最低點至截骨處距離不超過14 mm為準。截骨后檢查截骨平面是否平整,4例患者截骨平面不平整采用截下的骨塊填塞植骨。本組均采用德國LINK公司Endo-Model旋轉鉸鏈型膝關節假體。選擇合適假體后,沖洗股骨及脛骨并調節骨水泥,放入髓腔栓塞后植入關節假體,壓緊假體并清除過多骨水泥,注意清除髁間骨水泥以免影響膝關節屈曲功能。于下肢伸直位緊壓膝關節假體至骨水泥硬化。修整髕骨及去神經化,復位髕骨。沖洗切口后置引流管,逐層縫合切口。
1.4 術后處理
術后常規給予抗生素3 d預防感染,6 h后開始給予低分子肝素抗凝治療至3周,同時治療合并內科疾病。術后第2天拔出引流管后,開始CPM膝關節屈伸活動,每日3次,從30°開始,每日增加10°,以不引起患膝中度疼痛(VAS評分> 3分)為度。術中發生假體周圍骨折者給予角度可調式支具外固定3個月,并適當減少CPM活動度。術后1周患者可扶雙拐下地,2 周后拆線出院。術后1個月改為扶單拐,3個月時完全負重。
1.5 療效評價指標
記錄本組手術時間、手術開始至拔出引流管期間出血量、住院時間、切口愈合及并發癥發生情況。術后1、3、6、12個月及之后每年1次門診復查,測量膝關節屈伸活動度,采用KSS及VAS評分評價關節功能恢復情況;應用簡明健康調查量表(SF-36量表)評估患者生活質量,并與四川省年齡> 60歲城市男性參考值[4]比較。攝下肢全長及膝關節正側位X線片,觀察假體與骨界面是否存在X線透亮帶,是否伴有骨溶解、假體下沉及力線改變,如存在寬度> 2 mm的X線透亮帶并伴假體下沉或力線改變診斷為假體松動。
1.6 統計學方法
采用SPSS19.0統計軟件進行分析。數據以均數±標準差表示,組間比較采用重復測量方差分析,兩兩比較采用配對t檢驗;檢驗水準α=0.05。
2 結果
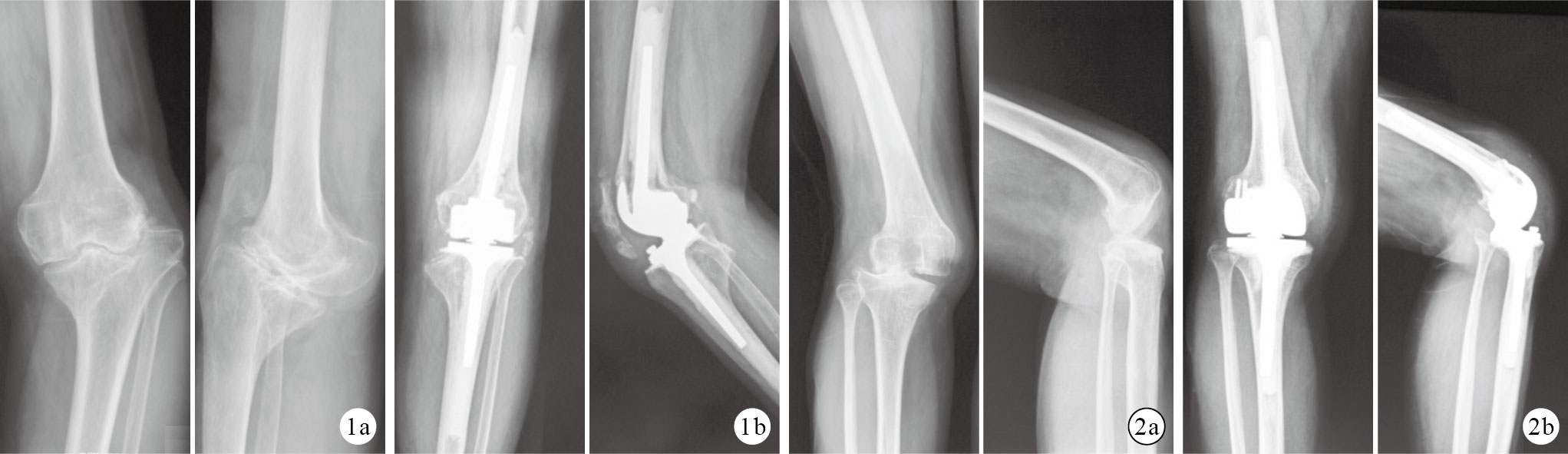
本組手術時間70~90 min,平均78 min;手術開始至拔出引流管期間出血量400~1 000 mL,平均650 mL;住院時間14~18 d,平均15.2 d。術中均無神經、血管損傷。1例(4.17%)術中發生髕骨橫形撕脫性骨折,給予愛惜康不可吸收縫線固定,術后角度可調式支具外固定3個月后骨折愈合。術后1例(4.17%)切口出現滲液、紅腫,經換藥后愈合;其余患者切口均Ⅰ期愈合。24例均獲隨訪,隨訪時間2~10年,平均5.5年。2例(8.33%;創傷性關節炎及夏科關節病各1例)分別于術后3個月及1年出現假體周圍感染,給予取出假體,抗生素骨水泥曠置,二期采用旋轉型鉸鏈膝關節假體行翻修術。術后3例(12.50%)出現膝前痛,予以塞來昔布止痛治療,術后3個月疼痛逐漸緩解;4 例(16.67%)出現10°伸膝遲滯,囑患者床旁加強患膝主動及被動屈伸功能鍛煉,術后半年無明顯伸膝遲滯。X線片復查示假體周圍未見明顯透亮帶、骨溶解,假體無明顯下沉,下肢力線無明顯改變。見圖 1。本組3例夏科關節病隨訪時間分別為2、3.5、4年,X線片示未見明顯松動征象。
圖1
患者,女,64歲,左膝創傷性關節炎正側位X線片 ? 術前 ? 術后2年 ? ?術后1年及末次隨訪時膝關節KSS評分、VAS評分及髖關節屈伸活動度均顯著優于術前,差異有統計學意義(P< 0.05);末次隨訪與術后1年比較差異均無統計學意義(P> 0.05)。見表 1。末次隨訪時,KSS臨床評分獲優5例、良8例、中10例、差1例,優良率為54.2%;KSS功能評分獲優1例、良4例、中9例、差10例,優良率為20.8%。末次隨訪時,SF-36量表評分中除生理功能及軀體疼痛評分顯著低于四川省年齡> 60歲城市男性參考值(t=2.42,P=0.02;t=5.26,P=0.00)外,其余各項評分與參考值比較差異均無統計學意義(P> 0.05)。見表 2。
3 討論
3.1 旋轉鉸鏈型膝關節假體特點
旋轉鉸鏈型膝關節假體結合了表面型及鉸鏈型膝關節假體的優點,其股骨及脛骨均有長柄插入髓腔內,股骨及脛骨假體間有3處連接:股骨假體兩髁與脛骨假體平臺接觸、脛骨假體中心柱與股骨假體后方的鉸鏈軸心套接,既保證了假體植入的穩定性,也使股骨與脛骨假體之間存在少量旋轉功能[5-6]。該假體設計屈曲角度為165°,并允許3°過伸,假體在完全伸直及過伸狀態時可鎖定旋轉運動,當膝關節屈曲至50°時可有25°內、外旋轉,并可自行對齊力線[7]。三大緩沖系統(半月板緩沖墊、旋轉軸聚乙烯緩沖墊及屈伸軸聚乙烯緩沖墊)有效緩解了骨水泥界面的應力,減少了假體無菌性松動的發生[6]。
3.2 旋轉鉸鏈型膝關節假體適應證
旋轉鉸鏈型膝關節假體最初設計用于膝關節翻修術或腫瘤保肢手術[8]。目前,該假體也用于嚴重膝關節畸形、骨關節病合并嚴重韌帶損傷者[2],還可用于合并重度肥胖患者[6]。Barrack[9]對23例采用旋轉鉸鏈型膝關節假體置換患者隨訪2~9年,結果顯示患者KSS評分及關節活動度均較術前明顯改善,但術中出現股骨遠端骨折1例、髕骨半脫位1例、腓總神經損傷1例。Pour等[10]報道了44例行旋轉鉸鏈型膝關節假體置換術后平均4.2年隨訪結果,患者關節功能較術前明顯改善,但部分患者出現嚴重并發癥,其中假體周圍感染3例,假體無菌性松動4例,假體周圍骨折1 例,假體5年生存率為68.2%。由于并發癥發生率較高,一旦手術失敗,再次植入旋轉鉸鏈型膝關節假體的手術難度及風險較大,嚴重者需行關節融合甚至截肢。另外,限制性假體在提供膝關節穩定同時會改變膝關節的生物力學,假體屈伸及旋轉活動度不及表面型膝關節假體,因此選擇旋轉鉸鏈型膝關節假體置換需慎重[1]。我們認為旋轉鉸鏈型膝關節假體更適合于膝關節重度畸形、對關節功能要求較低的老年患者,尤其是年齡超過65歲的患者。本組患者年齡均為60歲及以上,膝關節存在嚴重屈曲及內、外翻畸形。
3.3 注意事項
對于重度膝關節畸形患者,矯正膝關節畸形、恢復下肢正常力線具有重要意義。對于類風濕性關節炎等慢性疾病患者,關節囊萎縮變形,側副韌帶力量減弱或攣縮,可通過術中軟組織松解矯正畸形,但松解需適度,松解不徹底會造成手術困難及術后關節活動度降低,過度松解又不利于關節穩定性及功能恢復[11]。對于膝關節僵硬患者,術中屈曲膝關節時股四頭肌張力大,可考慮行股四頭肌松解術。本組3例術前膝關節僵硬,采用V-Y股四頭肌成形松解膝關節,術中被動屈曲膝關節可達90°以上,末次隨訪時患者屈伸活動度平均達70°,但均存在10°伸膝遲滯。另1例患者術前屈伸活動度為0~30°,術中未行股四頭肌成形術,于外翻髕骨暴露膝關節時發生髕骨橫形撕脫性骨折。因此,如術中發現伸膝裝置張力較大時,可考慮行股四頭肌松解術,同時應注意松解后可能出現伸膝遲滯。
對于創傷性關節炎及類風濕性關節炎患者,應特別注意對骨贅的清除。當內、外翻或屈曲畸形嚴重時,截骨后可能遺留骨缺損,缺損較小可用自體骨填充,缺損較大時需加用墊片。術中注意防止假體周圍骨折的發生[12],尤其是骨質疏松患者。本組1例術中發生髕骨橫形撕脫性骨折患者,可能是由于術前左膝活動受限20余年,已存在廢用性骨質疏松,且術中用力牽扯加上股四頭肌張力大,最終導致骨折發生。因此我們認為對于膝關節嚴重畸形患者,由于病史均較長,不可避免存在骨質疏松,需注意防止骨折的發生,必要時術后早期給予支具保護,對于嚴重骨質疏松者不建議行關節置換。術前宜對患者行骨密度檢查評價骨質疏松程度,但本組患者術前未行骨密度檢查,需在以后工作中改進。
3.4 術后并發癥
旋轉鉸鏈型膝關節置換術后并發癥較多,其中假體周圍感染為最嚴重并發癥之一。Springer等[13]對采用旋轉鉸鏈型膝關節假體置換的26例非腫瘤嚴重損壞膝關節患者進行了平均58.5個月隨訪,其中19%患者發生假體周圍感染,是導致手術失敗的主要原因。Efe等[14]報道了45例采用旋轉鉸鏈型膝關節假體置換患者平均56個月的隨訪結果,患者患肢功能均較術前明顯提高,疼痛亦顯著緩解,但7例發生假體周圍感染。本組術后2例(8.33%)發生假體周圍感染,其原因不明確,我們認為可能與患者年齡偏大,合并糖尿病、類風濕性關節炎等內科疾病,手術感染風險較大有關。
旋轉鉸鏈型膝關節假體置換術中切除范圍較表面型膝關節假體置換術大,假體植入髓腔部分較多,感染發生率較高[10],需特別注意預防感染的發生。術中應嚴格遵循無菌操作原則,術中及術后常規給予抗生素預防感染,術中徹底止血,引流通暢,防止切口內積血是預防感染的關鍵。
旋轉鉸鏈型膝關節置換術后患者膝前疼痛發生率較高,達5%~22%[6, 15];本組術后3例發生膝前疼痛,發生率為12.5%。Argenson等[16]認為未置換髕骨是導致膝前疼痛的主要原因;另外,目前鉸鏈型膝關節假體無法復制股骨髁在脛骨平臺上后滾[10],髕股關節張力大,也是膝前疼痛發生率高的原因之一。可通過改進假體設計(如加行髕骨置換),理論上可減少膝前疼痛發生率,但有待深入研究明確。
旋轉鉸鏈型膝關節假體脫位是一種少見卻十分嚴重的并發癥,包括脛股關節脫位及髕股關節脫位,目前國內外關于脫位的報道較少,Pacha-Vicente等[17]認為旋轉鉸鏈型膝關節假體中防脫位中柱的損毀是導致脛股關節脫位的主要原因。因此對于患膝嚴重畸形患者,術后應防止反復屈伸牽拉應力導致中柱斷裂,術中可行無拇指試驗檢測髕骨穩定性,如髕骨穩定性較差可行外側支持帶松解。
關于旋轉鉸鏈型膝關節假體置換發生血管神經損傷的報道較少。Barrack[9]報道了23例行旋轉鉸鏈型膝關節假體置換術中1例發生腓總神經損傷。我們認為對于嚴重屈曲及內、外翻畸形患者,在大量截骨恢復力線的同時應注意膝關節周圍血管神經的分布,尤其注意避免損傷靠近腓骨頭的腓總神經。
3.5 夏科關節病的外科治療
目前國內外對于晚期夏科關節病的治療尚存在爭議,Vince等[18]認為夏科關節病如存在嚴重關節不穩、軟組織松弛及骨缺損時,關節置換風險非常高,建議行關節融合術。Babazadeh等[19]認為夏科關節病不是關節置換的禁忌證,但需嚴格把握適應證,且手術失敗風險較普通關節置換術高。我們認為在選擇旋轉鉸鏈型膝關節置換術治療夏科關節病時,需考慮以下幾方面:① 明確關節破壞嚴重程度,程度越重,手術風險越大,但關節置換仍可嘗試,如失敗可再考慮行關節融合術;② 行X線片等影像學檢查,明確夏科關節病病程,如處于骨質破壞期應暫緩手術;③ 明確夏科關節病的病因,如神經系統梅毒患者可能并存共濟失調等,術后效果差且風險大。本組3例患者為夏科關節病,其中由神經系統梅毒導致1例,糖尿病導致2例。檢查示患者均無共濟失調,病程未處于活動期,無明顯骨質破壞,經旋轉鉸鏈型膝關節假體置換后,1例(糖尿病所致)出現假體感染,給予取出假體抗生素骨水泥曠置后二期翻修;余2例術后恢復可,至末次隨訪時均無相關并發癥發生。
綜上述,本研究結果提示旋轉鉸鏈型膝關節假體置換治療重度膝關節畸形中期療效較好,但需特別注意感染等相關并發癥的發生。
重度膝關節畸形主要指膝關節屈曲畸形> 15°、外翻畸形> 15°或內翻畸形> 20°,側副韌帶嚴重攣縮畸形或斷裂,并伴嚴重骨缺損[1]。對于此類患者,因術中需切除較多骨質才能恢復下肢力線,或側副韌帶無法重建等,采用表面型膝關節假體置換受到一定限制,因此臨床選擇鉸鏈型膝關節假體置換以重建關節功能。但傳統單純鉸鏈型膝關節假體缺乏膝關節旋轉功能,患者術后關節功能恢復差,假體松動等并發癥發生率較高[2]。隨著對假體設計的改進,20世紀80、90年代逐漸出現了旋轉鉸鏈型膝關節假體。這種假體結合了表面型及單純鉸鏈型膝關節假體的優點,在保證假體穩定的同時保留假體部分旋轉功能,降低骨與假體間的應力[3],以避免假體松動等并發癥發生。目前,旋轉鉸鏈型膝關節假體已越來越多地應用于臨床,但相關研究報道療效不一,且以近期療效評價居多。為此,我們回顧分析了2003年1月-2011年6月,于我院采用旋轉鉸鏈型膝關節假體行人工全膝關節置換術且隨訪達2年以上的24例(24膝)重度膝關節畸形患者臨床資料,探討其中期療效,為此類假體的臨床應用奠定基礎。報告如下。
1 臨床資料
1.1 患者選擇標準
納入標準:① 膝關節屈曲畸形> 15°、外翻畸形> 15°或內翻畸形> 20°,伴或不伴側副韌帶嚴重攣縮畸形、斷裂及嚴重骨缺損者;② 隨訪達2年以上且資料完整者。排除標準:因腫瘤、翻修術而采用旋轉鉸鏈型膝關節假體置換者。2003年1月-2011年6月,共24例(24膝)符合選擇標準納入研究。
1.2 一般資料
本組男14例,女10例;年齡60~81歲,平均70歲。病因:原發性骨關節炎5例,類風濕性關節炎7 例,創傷性關節炎9例,夏科關節病3例。病程5~25年,平均14.5年。左膝13例,右膝11例。主要臨床癥狀為膝關節疼痛伴活動受限。入院檢查:均存在嚴重關節不穩、畸形,3例膝關節僵硬;13例屈曲畸形20~35°,平均25.6°;7例外翻畸形15~30°,平均22.4°;16例內翻畸形20~35°,平均27.5°。術前膝關節學會評分系統(KSS)評分、疼痛視覺模擬評分(VAS)及膝關節屈伸活動度見表 1。行膝關節正側位及下肢全長X線片檢查,11例聯合CT三維重建,明確膝關節畸形程度及選擇關節假體型號。根據Anderson 骨科研究所(AORI)骨缺損分型,本組均存在脛骨側骨缺損,其中Ⅰ型8例,Ⅱ型11例,Ⅲ型5例。合并高血壓10例,糖尿病9例,冠心病6例。夏科關節病者無共濟失調。
1.3 手術方法
術前對合并內科疾病患者均經相關科室會診治療控制病情,血壓、血糖控制在正常范圍內,并指導患者行股四頭肌功能鍛煉。
全麻下,患者取仰臥位,上氣囊止血帶后手術。作前正中切口,取髕旁內側入路切開關節囊,外翻髕骨暴露膝關節;膝關節暴露困難時聯合截骨和軟組織松解,本組3例術前膝關節僵硬者經松解后仍暴露困難,采用V-Y股四頭肌成形松解膝關節,注意保持伸膝裝置完整性及下肢力線正常。切除增生滑膜、骨贅及前、后交叉韌帶,術中見12例側副韌帶緊張,作適當松解。首先,行股骨遠端截骨、定位,于髁間窩中點后交叉韌帶上方1 cm處,沿股骨干長軸擴髓后,確定髓腔大小并將入口處再擴大以利假體安裝。安裝股骨截骨導向器,其橫徑略小于股骨髁橫徑的1/2,將其插入股骨髓腔,沿導向器于股骨髁表面截骨并修整截骨槽。再次插入導向器后固定,沿其表面曲率修整股骨髁遠端及后髁部分,擺鋸緊貼導向器切除股骨滑車部分骨質,再用骨銼修整髕骨滑槽及殘留的軟骨面。屈曲膝關節顯露脛骨平臺,在脛骨平臺中線的前交叉韌帶脛骨止點處擴髓并確定髓腔大小。然后安裝脛骨髓外定位器,行脛骨平臺截骨,截骨量以脛骨平臺最低點至截骨處距離不超過14 mm為準。截骨后檢查截骨平面是否平整,4例患者截骨平面不平整采用截下的骨塊填塞植骨。本組均采用德國LINK公司Endo-Model旋轉鉸鏈型膝關節假體。選擇合適假體后,沖洗股骨及脛骨并調節骨水泥,放入髓腔栓塞后植入關節假體,壓緊假體并清除過多骨水泥,注意清除髁間骨水泥以免影響膝關節屈曲功能。于下肢伸直位緊壓膝關節假體至骨水泥硬化。修整髕骨及去神經化,復位髕骨。沖洗切口后置引流管,逐層縫合切口。
1.4 術后處理
術后常規給予抗生素3 d預防感染,6 h后開始給予低分子肝素抗凝治療至3周,同時治療合并內科疾病。術后第2天拔出引流管后,開始CPM膝關節屈伸活動,每日3次,從30°開始,每日增加10°,以不引起患膝中度疼痛(VAS評分> 3分)為度。術中發生假體周圍骨折者給予角度可調式支具外固定3個月,并適當減少CPM活動度。術后1周患者可扶雙拐下地,2 周后拆線出院。術后1個月改為扶單拐,3個月時完全負重。
1.5 療效評價指標
記錄本組手術時間、手術開始至拔出引流管期間出血量、住院時間、切口愈合及并發癥發生情況。術后1、3、6、12個月及之后每年1次門診復查,測量膝關節屈伸活動度,采用KSS及VAS評分評價關節功能恢復情況;應用簡明健康調查量表(SF-36量表)評估患者生活質量,并與四川省年齡> 60歲城市男性參考值[4]比較。攝下肢全長及膝關節正側位X線片,觀察假體與骨界面是否存在X線透亮帶,是否伴有骨溶解、假體下沉及力線改變,如存在寬度> 2 mm的X線透亮帶并伴假體下沉或力線改變診斷為假體松動。
1.6 統計學方法
采用SPSS19.0統計軟件進行分析。數據以均數±標準差表示,組間比較采用重復測量方差分析,兩兩比較采用配對t檢驗;檢驗水準α=0.05。
2 結果
本組手術時間70~90 min,平均78 min;手術開始至拔出引流管期間出血量400~1 000 mL,平均650 mL;住院時間14~18 d,平均15.2 d。術中均無神經、血管損傷。1例(4.17%)術中發生髕骨橫形撕脫性骨折,給予愛惜康不可吸收縫線固定,術后角度可調式支具外固定3個月后骨折愈合。術后1例(4.17%)切口出現滲液、紅腫,經換藥后愈合;其余患者切口均Ⅰ期愈合。24例均獲隨訪,隨訪時間2~10年,平均5.5年。2例(8.33%;創傷性關節炎及夏科關節病各1例)分別于術后3個月及1年出現假體周圍感染,給予取出假體,抗生素骨水泥曠置,二期采用旋轉型鉸鏈膝關節假體行翻修術。術后3例(12.50%)出現膝前痛,予以塞來昔布止痛治療,術后3個月疼痛逐漸緩解;4 例(16.67%)出現10°伸膝遲滯,囑患者床旁加強患膝主動及被動屈伸功能鍛煉,術后半年無明顯伸膝遲滯。X線片復查示假體周圍未見明顯透亮帶、骨溶解,假體無明顯下沉,下肢力線無明顯改變。見圖 1。本組3例夏科關節病隨訪時間分別為2、3.5、4年,X線片示未見明顯松動征象。
圖1
患者,女,64歲,左膝創傷性關節炎正側位X線片 ? 術前 ? 術后2年 ? ?術后1年及末次隨訪時膝關節KSS評分、VAS評分及髖關節屈伸活動度均顯著優于術前,差異有統計學意義(P< 0.05);末次隨訪與術后1年比較差異均無統計學意義(P> 0.05)。見表 1。末次隨訪時,KSS臨床評分獲優5例、良8例、中10例、差1例,優良率為54.2%;KSS功能評分獲優1例、良4例、中9例、差10例,優良率為20.8%。末次隨訪時,SF-36量表評分中除生理功能及軀體疼痛評分顯著低于四川省年齡> 60歲城市男性參考值(t=2.42,P=0.02;t=5.26,P=0.00)外,其余各項評分與參考值比較差異均無統計學意義(P> 0.05)。見表 2。
3 討論
3.1 旋轉鉸鏈型膝關節假體特點
旋轉鉸鏈型膝關節假體結合了表面型及鉸鏈型膝關節假體的優點,其股骨及脛骨均有長柄插入髓腔內,股骨及脛骨假體間有3處連接:股骨假體兩髁與脛骨假體平臺接觸、脛骨假體中心柱與股骨假體后方的鉸鏈軸心套接,既保證了假體植入的穩定性,也使股骨與脛骨假體之間存在少量旋轉功能[5-6]。該假體設計屈曲角度為165°,并允許3°過伸,假體在完全伸直及過伸狀態時可鎖定旋轉運動,當膝關節屈曲至50°時可有25°內、外旋轉,并可自行對齊力線[7]。三大緩沖系統(半月板緩沖墊、旋轉軸聚乙烯緩沖墊及屈伸軸聚乙烯緩沖墊)有效緩解了骨水泥界面的應力,減少了假體無菌性松動的發生[6]。
3.2 旋轉鉸鏈型膝關節假體適應證
旋轉鉸鏈型膝關節假體最初設計用于膝關節翻修術或腫瘤保肢手術[8]。目前,該假體也用于嚴重膝關節畸形、骨關節病合并嚴重韌帶損傷者[2],還可用于合并重度肥胖患者[6]。Barrack[9]對23例采用旋轉鉸鏈型膝關節假體置換患者隨訪2~9年,結果顯示患者KSS評分及關節活動度均較術前明顯改善,但術中出現股骨遠端骨折1例、髕骨半脫位1例、腓總神經損傷1例。Pour等[10]報道了44例行旋轉鉸鏈型膝關節假體置換術后平均4.2年隨訪結果,患者關節功能較術前明顯改善,但部分患者出現嚴重并發癥,其中假體周圍感染3例,假體無菌性松動4例,假體周圍骨折1 例,假體5年生存率為68.2%。由于并發癥發生率較高,一旦手術失敗,再次植入旋轉鉸鏈型膝關節假體的手術難度及風險較大,嚴重者需行關節融合甚至截肢。另外,限制性假體在提供膝關節穩定同時會改變膝關節的生物力學,假體屈伸及旋轉活動度不及表面型膝關節假體,因此選擇旋轉鉸鏈型膝關節假體置換需慎重[1]。我們認為旋轉鉸鏈型膝關節假體更適合于膝關節重度畸形、對關節功能要求較低的老年患者,尤其是年齡超過65歲的患者。本組患者年齡均為60歲及以上,膝關節存在嚴重屈曲及內、外翻畸形。
3.3 注意事項
對于重度膝關節畸形患者,矯正膝關節畸形、恢復下肢正常力線具有重要意義。對于類風濕性關節炎等慢性疾病患者,關節囊萎縮變形,側副韌帶力量減弱或攣縮,可通過術中軟組織松解矯正畸形,但松解需適度,松解不徹底會造成手術困難及術后關節活動度降低,過度松解又不利于關節穩定性及功能恢復[11]。對于膝關節僵硬患者,術中屈曲膝關節時股四頭肌張力大,可考慮行股四頭肌松解術。本組3例術前膝關節僵硬,采用V-Y股四頭肌成形松解膝關節,術中被動屈曲膝關節可達90°以上,末次隨訪時患者屈伸活動度平均達70°,但均存在10°伸膝遲滯。另1例患者術前屈伸活動度為0~30°,術中未行股四頭肌成形術,于外翻髕骨暴露膝關節時發生髕骨橫形撕脫性骨折。因此,如術中發現伸膝裝置張力較大時,可考慮行股四頭肌松解術,同時應注意松解后可能出現伸膝遲滯。
對于創傷性關節炎及類風濕性關節炎患者,應特別注意對骨贅的清除。當內、外翻或屈曲畸形嚴重時,截骨后可能遺留骨缺損,缺損較小可用自體骨填充,缺損較大時需加用墊片。術中注意防止假體周圍骨折的發生[12],尤其是骨質疏松患者。本組1例術中發生髕骨橫形撕脫性骨折患者,可能是由于術前左膝活動受限20余年,已存在廢用性骨質疏松,且術中用力牽扯加上股四頭肌張力大,最終導致骨折發生。因此我們認為對于膝關節嚴重畸形患者,由于病史均較長,不可避免存在骨質疏松,需注意防止骨折的發生,必要時術后早期給予支具保護,對于嚴重骨質疏松者不建議行關節置換。術前宜對患者行骨密度檢查評價骨質疏松程度,但本組患者術前未行骨密度檢查,需在以后工作中改進。
3.4 術后并發癥
旋轉鉸鏈型膝關節置換術后并發癥較多,其中假體周圍感染為最嚴重并發癥之一。Springer等[13]對采用旋轉鉸鏈型膝關節假體置換的26例非腫瘤嚴重損壞膝關節患者進行了平均58.5個月隨訪,其中19%患者發生假體周圍感染,是導致手術失敗的主要原因。Efe等[14]報道了45例采用旋轉鉸鏈型膝關節假體置換患者平均56個月的隨訪結果,患者患肢功能均較術前明顯提高,疼痛亦顯著緩解,但7例發生假體周圍感染。本組術后2例(8.33%)發生假體周圍感染,其原因不明確,我們認為可能與患者年齡偏大,合并糖尿病、類風濕性關節炎等內科疾病,手術感染風險較大有關。
旋轉鉸鏈型膝關節假體置換術中切除范圍較表面型膝關節假體置換術大,假體植入髓腔部分較多,感染發生率較高[10],需特別注意預防感染的發生。術中應嚴格遵循無菌操作原則,術中及術后常規給予抗生素預防感染,術中徹底止血,引流通暢,防止切口內積血是預防感染的關鍵。
旋轉鉸鏈型膝關節置換術后患者膝前疼痛發生率較高,達5%~22%[6, 15];本組術后3例發生膝前疼痛,發生率為12.5%。Argenson等[16]認為未置換髕骨是導致膝前疼痛的主要原因;另外,目前鉸鏈型膝關節假體無法復制股骨髁在脛骨平臺上后滾[10],髕股關節張力大,也是膝前疼痛發生率高的原因之一。可通過改進假體設計(如加行髕骨置換),理論上可減少膝前疼痛發生率,但有待深入研究明確。
旋轉鉸鏈型膝關節假體脫位是一種少見卻十分嚴重的并發癥,包括脛股關節脫位及髕股關節脫位,目前國內外關于脫位的報道較少,Pacha-Vicente等[17]認為旋轉鉸鏈型膝關節假體中防脫位中柱的損毀是導致脛股關節脫位的主要原因。因此對于患膝嚴重畸形患者,術后應防止反復屈伸牽拉應力導致中柱斷裂,術中可行無拇指試驗檢測髕骨穩定性,如髕骨穩定性較差可行外側支持帶松解。
關于旋轉鉸鏈型膝關節假體置換發生血管神經損傷的報道較少。Barrack[9]報道了23例行旋轉鉸鏈型膝關節假體置換術中1例發生腓總神經損傷。我們認為對于嚴重屈曲及內、外翻畸形患者,在大量截骨恢復力線的同時應注意膝關節周圍血管神經的分布,尤其注意避免損傷靠近腓骨頭的腓總神經。
3.5 夏科關節病的外科治療
目前國內外對于晚期夏科關節病的治療尚存在爭議,Vince等[18]認為夏科關節病如存在嚴重關節不穩、軟組織松弛及骨缺損時,關節置換風險非常高,建議行關節融合術。Babazadeh等[19]認為夏科關節病不是關節置換的禁忌證,但需嚴格把握適應證,且手術失敗風險較普通關節置換術高。我們認為在選擇旋轉鉸鏈型膝關節置換術治療夏科關節病時,需考慮以下幾方面:① 明確關節破壞嚴重程度,程度越重,手術風險越大,但關節置換仍可嘗試,如失敗可再考慮行關節融合術;② 行X線片等影像學檢查,明確夏科關節病病程,如處于骨質破壞期應暫緩手術;③ 明確夏科關節病的病因,如神經系統梅毒患者可能并存共濟失調等,術后效果差且風險大。本組3例患者為夏科關節病,其中由神經系統梅毒導致1例,糖尿病導致2例。檢查示患者均無共濟失調,病程未處于活動期,無明顯骨質破壞,經旋轉鉸鏈型膝關節假體置換后,1例(糖尿病所致)出現假體感染,給予取出假體抗生素骨水泥曠置后二期翻修;余2例術后恢復可,至末次隨訪時均無相關并發癥發生。
綜上述,本研究結果提示旋轉鉸鏈型膝關節假體置換治療重度膝關節畸形中期療效較好,但需特別注意感染等相關并發癥的發生。

