引用本文: 張海明, 于紅櫻, 鄒敏, 林沙, 唐偉, 薛海巖, 方志雄. 惠普爾養障體肺炎臨床特征分析. 華西醫學, 2023, 38(4): 500-505. doi: 10.7507/1002-0179.202212100 復制
惠普爾病(Whipple’s disease, WD)是一種由惠普爾養障體(Tropheryma whipplei, TW)感染引起的罕見的復雜性多系統損害性疾病,發病率約為 1∶1 000 000[1]。它主要影響關節、消化系統、心臟和/或神經系統[1]。同時,TW 可累及肺部,導致患者出現發熱、慢性咳嗽、消瘦等非特異性癥狀[2]。目前,TW 引起肺炎的致病機制尚不明確,針對 TW 肺炎的治療亦不成熟[3]。國內外關于 TW 肺炎的報道罕見。隨著檢測手段的增多,特別是宏基因組二代測序(metagenomics next generation sequencing, mNGS)在臨床上的運用,TW 肺炎病例逐漸增多,本研究旨在綜合 2021 年—2022 年湖南省 3 家醫院收治的 TW 肺炎患者病歷資料,對其臨床癥狀、檢查結果、治療轉歸等進行綜合性分析,以期對 TW 肺炎的診治及預后進行總結。
1 資料與方法
1.1 一般資料
回顧性收集 2021 年 1 月 1 日—2022 年 10 月 1 日湖南省 3 家醫院 TW 肺炎患者的病歷資料。納入標準:① 有發熱、咳嗽、咳痰、氣促等臨床表現;② 肺泡灌洗液 mNGS 檢出 TW;③ 影像學檢查提示肺部感染性病變。排除標準:① 僅呼吸道 TW 定植,胸部 CT 提示既往已確診的慢性阻塞性肺疾病、支氣管擴張癥或間質性肺炎等慢性肺部疾病;② 用于 mNGS 分析的樣本堿基質量值 Q30<80%;③ 出院隨訪脫落,臨床資料缺失。本研究經湘潭市中心醫院醫學倫理委員會審查批準(批件編號:2022-10-002)。
1.2 方法
1.2.1 檢測方法
① 患者均接受血常規、生化、血氣分析、C 反應蛋白等常規實驗室檢查,均予胸部 CT 薄層掃描。3 家醫院均分別派出 2 位經驗豐富的胸部放射學專家獨立閱讀 CT 影像的肺窗和縱隔窗,分別記錄患者治療前后的影像學特征(至少 2 次胸部 CT),包括病變位置、密度及征象,若出現分歧經 2 位專家討論后共同判定;且均以《醫學影像學》[4]為分類標準,依次觀察患者的肺泡、小葉核心、小葉間隔、胸膜下間質、氣管壁、支氣管血管束及胸內淋巴結等多方面的 CT 表現,對患者 CT 征象進行大致歸類。
② 患者均進行支氣管電子纖維內鏡檢查,同時采集累亞段的支氣管肺泡灌洗液(bronchoalveolar lavage fluid, BALF)樣品(采集過程符合臨床操作標準,遵循無菌原則)。3 家醫院的 BALF 樣品均送至金域醫學檢驗公司進行檢測,本研究使用 PacBio 第三代高通量基因測序儀進行 mNGS 測序。
1.2.2 治療手段
患者入院常規給予吸氧、止咳化痰對癥治療,結合本地致病菌譜予經驗性抗感染治療。
1.2.3 記錄指標
通過 3 家醫院的實驗室信息系統收集實驗室檢查結果,使用醫院信息系統收集患者人口統計學資料、臨床癥狀、其他輔助檢查(如影像學檢查)、臨床治療和預后轉歸情況。
1.3 統計學方法
采用 SPSS 24.0 統計軟件進行數據分析。不符合正態分布的計量資料采用中位數(下四分位數,上四分位數)表示。計數資料采用頻數和百分比表示。
2 結果
2.1 臨床特征
共納入 TW 肺炎患者 4 例。其中,男 2 例,女 2 例;年齡 29~57 歲,平均(44.25±15.25)歲;體質量指數均正常;2 例慢性起病,病程 6 個月~1 年;急性起病 2 例,病程 2~5 d;主要基礎病及個人史:長期吸煙史 2 例,脂肪肝病史 2 例,睡眠呼吸暫停綜合征 1 例,獲得性免疫缺陷綜合征且未行抗病毒治療 1 例,脾膿腫脾切除術病史 1 例。
TW 肺炎患者臨床特征見表1。患者主要臨床癥狀包括咳嗽(4 例)、咳痰(3 例)、發熱(2 例)、氣促(2 例),無體重減輕、腹瀉、腹痛、關節痛、頭痛等癥狀。常規實驗室檢查顯示,3 例紅細胞沉降率升高(參考值為 0~15 mm/h),2 例超敏 C 反應蛋白升高(參考值為 0~3 mg/L),1例外周血白細胞計數升高[參考值為(3.97~9.15)×109/L],3 例血清乳酸脫氫酶(lactate dehydrogenase, LDH)升高(參考值為 114~240 U/L),2 例外周血血小板計數升高[參考值為(85~303)×109/L];在安靜狀態未吸氧時,2 例血氧分壓降低[參考值 80~100 mm Hg(1 mm Hg=0.133 kPa)],1 例血清白蛋白降低(參考值為 35~55 g/L),1 例血紅蛋白降低(參考值:成年男性 120~160 g/L,成年女性 110~150 g/L)。4 例患者的降鈣素原均正常(參考值為 0~0.5 μg/L),12 導聯心電圖及超聲心動圖檢查均無異常。電子纖維支氣管鏡顯示 4 例患者均有支氣管炎癥表現,其中支氣管出血 1 例。4 例患者支氣管肺泡灌洗液涂片及液基細胞學可見淋巴細胞、巨噬細胞、中性粒細胞等炎性細胞為主,有少量組織細胞,未見癌細胞。

2.2 胸部 CT 檢查結果
在 4 例患者中,雙肺彌漫性磨玻璃影 2 例,肺結節 1 例,肺空洞性病變 1 例,胸膜病變 1 例,肺部滲出性病變 2 例,縱隔淋巴結腫大 1 例,見表1。
2.3 mNGS 測序結果
4 例患者均檢出 TW,序列數的中位數(下四分位數,上四分位數)為 1 528(1 480,1 576)條。同時檢出其他病原體,其中流感嗜血桿菌 2 例,耶氏肺孢子菌 1 例,肺炎鏈球菌 1 例,副流感嗜血桿菌 1 例,人巨細胞病毒 1 例,白色念珠菌 1 例。
2.4 治療和預后
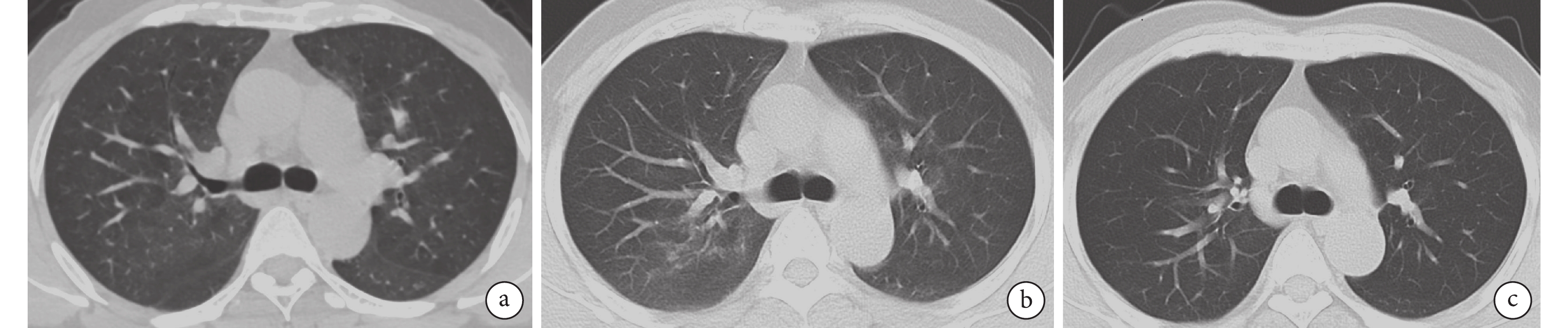
患者 1 于 2022 年 6 月 12 日入院,胸部 CT 示“雙肺多發斑片狀磨玻璃密度影:病毒性肺炎?”(圖1a),入院后先給予莫西沙星 4 d,病情無改善;2022 年 6 月 17 日復查胸部 CT 示雙肺滲出影大致同前(圖1b),BALF-mNGS 檢出 TW、肺炎鏈球菌、流感嗜血桿菌,改用美羅培南聯合多西環素治療 7 d;2022 年 6 月 24 日復查胸部 CT 示雙肺滲出影較前明顯吸收(圖1c)。患者于 2022 年 6 月 25 日病情好轉出院。

a. 雙肺紋理增粗,可見多發斑片狀磨玻璃密度影,以外周帶分布為主;b. 予莫西沙星治療 4 d 后,雙肺滲出性病變大致同前;c. 予美羅培南聯合多西環素治療 7 d 后,雙肺滲出性病變較前明顯吸收
患者 2 于 2022 年 6 月 22 日入院,入院后予甲氧芐啶/磺胺甲噁唑(trimethoprim/sulfamethoxazole, TMP-SMZ)、頭孢曲松、更昔洛韋抗感染。2022 年 6 月 23 日胸部 CT(圖2a)示:① 雙肺散在斑片狀磨玻璃影,卡氏肺孢子菌肺炎?② 縱隔稍大淋巴結,部分鈣化。③ 雙側局部胸膜稍增厚。2022 年 7 月 1 日復查胸腹部 CT 示雙肺滲出影大致同前(圖2b)。因治療效果不佳,改用美羅培南+多西環素抗感染。2022 年 7 月 15 日復查胸部 CT,示雙肺斑片狀影較前明顯吸收減少(圖2c)。2022 年 7 月 16 日患者病情好轉出院。

a. 雙肺紋理增粗,可見散在多發斑片狀磨玻璃密度影;b. 予 TMP-SMZ、頭孢曲松、更昔洛韋抗感染治療 7 d 后,雙肺滲出性病變大致同前;c. 予美羅培南聯合多西環素抗感染 14 d 后,雙肺滲出性病變較前明顯吸收減少
患者 3 于 2022 年 8 月 21 日入院,2022 年 8 月 22 日胸部 CT 示左肺上葉膿腫可能性大(圖3a)。采用哌拉西林他唑巴坦聯合莫西沙星治療 11 d 后,2022 年 9 月 2 日復查胸部 CT 示:左上肺病灶較前部分吸收好轉,空洞較前縮小,空洞內積液基本吸收(圖3b)。患者于 2022 年 9 月 2 日病情好轉出院。

a. 左肺上葉可見一空洞影,內見液氣平面,空洞周圍可見滲出性病變; b. 予哌拉西林他唑巴坦聯合莫西沙星治療 11 d 后,左上肺滲出性病變較前部分吸收好轉,空洞較前縮小,空洞內積液基本吸收
患者 4 于 2021 年 4 月 16 日入院,當日胸部 CT 示:右中肺結節,雙肺少許慢性炎癥(圖4a),擬予頭孢曲松序貫 TMP-SMZ 抗感染,患者拒絕使用頭孢曲松并于 2021 年 4 月 23 日簽字出院。出院后患者口服 TMP-SMZ 20 d,因服用該藥后出現消化道癥狀,自行停藥,2021 年 5 月 21 日門診復查胸部 CT 示:右肺中葉結節(較 4 月 16 日 CT 類似),雙肺少許慢性炎癥(圖4b)。患者因反復關節疼痛及腹瀉,2022 年 9 月 7 日因關節疼痛門診復診,查雙髖關節 MRI 平掃示左側髖關節少量積液(圖5)。

a. 右肺中葉外側段見一結節樣稍高密度影(白箭),大小約 11 mm×9 mm,相鄰胸膜粘連,邊緣示毛刺影;b. 口服 TMP-SMZ 20 d 且停藥 8 d 后,右肺中葉結節較前類似(白箭)

可見左側髖關節少量積液(白箭)
3 討論
TW 屬于放線菌門,放線菌綱,為革蘭陽性、需氧、非抗酸、過碘酸-雪夫反應染色陽性的桿菌,兼性細胞內生長,在巨噬細胞和單核細胞中存活和復制。該細菌生長緩慢,細胞培養時間估計為 17~18 d。在培養基中,TW 呈短粗靜止的棒狀體,寬 0.25~0.30 μm,長 0.80~1.70 μm。電子顯微鏡下其細胞壁呈獨特的 3 層質膜,包括平均厚度 6 nm 的細胞質膜,20 nm 厚的肽聚糖層,和可能來源于宿主細胞的外層[5]。WD 患者及無癥狀攜帶者是本病的主要傳染源[6],主要通過糞-口傳播或口-口傳播,發病人群以西歐血統的白人男性為主[7]。
感染 TW 后,大部分人表現為無癥狀攜帶,或者通過產生保護性體液及細胞免疫,表現為自限性感染,少部分表現為 WD[8]。典型 WD 常表現為關節疾病/關節炎、體重下降、腹痛、腹瀉[9]。急性感染時常表現為肺炎、胃腸炎、菌血癥[10]。目前認為,宿主的遺傳易感性是導致 WD 發生的一個重要因素,有研究指出 HLA-DRB1*13 和 DQB1*06 等位基因在 WD 患者中發現的頻率明顯更高[11]。而免疫功能缺陷則是另一個危險因素,如比較常見的人類免疫缺陷性病毒感染[12]。而錯誤的免疫抑制劑使用可加速 WD 惡化[13]。WD 患者常規實驗室檢查通常無特異性,一般表現出貧血(60%~76%),低白蛋白血癥(50%)或紅細胞沉降率或 C 反應蛋白水平升高(84%)[2]。WD 的診斷主要依賴于十二指腸/空腸活檢標本過碘酸-雪夫反應染色、TW 聚合酶鏈反應檢測及受累器官免疫組織化學檢查,結合患者相關臨床癥狀可明確診斷[14]。WD 的治療尚不成熟,目前大部分患者采用兩階段治療方案:初始階段采用頭孢曲松鈉或青霉素 G 治療 2 周;維持階段采用 TMP-SMZ 治療 1 年。大部分 WD 患者在抗感染治療后均有良好的效果[15]。如未經治療,TW 可引起發熱、貧血、淋巴結腫大、皮膚色素沉著、肝脾腫大、心內膜炎、惡病質等,甚至發展為嚴重的消瘦綜合征(顯著體重下降、無力、肌肉萎縮及納差)[16]。TW 嚴重感染嚴重時可累及神經系統,出現中樞神經系統損害(腦膜炎、共濟失調或認知障礙)或外周神經系統損傷(周圍神經病變或面神經麻痹)[17]。
在本研究中,1 例為獲得性免疫缺陷綜合征患者,其余患者無免疫功能減低相關疾病如糖尿病、腎移植等,但有 1 例患者有睡眠呼吸暫停綜合征,不排除本病引起免疫功能紊亂,導致 TW 感染可能。4 例患者均為中青年,以咳嗽、咳痰、發熱、氣促等呼吸道癥狀為主,病程為 2 d~1 年。胸部 CT 呈現明顯多樣性,可見表現為類似于肺膿腫的空洞及氣液平面,亦可出現磨玻璃影、肺結節、胸膜增厚、滲出性病變。患者的臨床表現及 CT 影像均難以與其他病原體引起的肺炎相鑒別,這與其他學者的研究結果相同[18]。患者 2 胸部薄層 CT 表現為磨玻璃影,與肺孢子菌肺炎表現類似,但使用 TMP-SMZ 治療無效,改用美羅培南聯合多西環素后有效,這提示,通過 TMP-SMZ 的診斷性治療,可以與肺孢子菌肺炎相鑒別。患者 3 胸部薄層 CT 表現為空洞影,這與空洞型肺結核類似,但結核性空洞常伴有衛星灶,常規抗感染治療無效,通過痰抗酸染色可助鑒別診斷。
本研究發現,患者感染 TW 后,除外紅細胞沉降率、超敏 C 反應蛋白等炎癥指標升高以外,還出現 LDH 升高。LDH 是一種重要的糖酵解途徑酶,在心肌、肝臟、腎臟、肺組織中均廣泛存在,且遠高于血清,當這些組織出現缺血、缺氧壞死時,可釋放大量 LDH,導致血清 LDH 水平急劇升高[19]。患者 LDH 的升高提示 TW 引起肺組織的損傷,監測 LDH 水平,有助于對病情的評估及預后的判斷。
現有的研究表明,治療 WD 的藥物包括青霉素、鏈霉素、四環素、頭孢曲松、美羅培南、TMP-SMZ、多西環素和羥氯喹等[20]。而氟喹諾酮類抗菌藥物沒有抗 TW 作用。針對 TW gyrA 和 parC 基因的序列分析發現了與大腸埃希菌對氟喹諾酮類耐藥性增強相似的氨基酸替換,這些氨基酸替換很可能使 TW 產生對氟喹諾酮類的固有耐藥性[21]。本研究也發現,在初始階段,單一使用莫西沙星,對治療無明顯獲益,而美羅培南聯合多西環素治療后效果顯著,頭孢曲松對 TW 也有不錯的療效;另外,哌拉西林他唑巴坦在抗 TW 治療過程中,也有明顯的療效。
需要注意的是,患者 2 及患者 4 在初始治療階段均使用 TMP-SMZ,治療效果不佳。有研究發現 TW 對 TMP-SMZ 存在天然耐藥性,基因測序顯示 TW 缺少甲氧芐啶的作用位點,并建議放棄使用 TMP-SMZ 治療 WD[22]。另一項研究中,使用 TMP-SMZ 治療的 14 例患者均出現治療失敗,而多西環素聯合羥氯喹治療效果良好[23]。因此,可考慮 TW 對 TMP-SMZ 的固有耐藥導致了治療效果不佳。另外,患者 4 口服 TMP-SMZ 僅 20 d,因藥物引起消化道癥狀自行停藥,中斷治療后,患者出現反復關節疼痛及間斷腹瀉,1 年后復查胸部 CT 提示肺部病變無明顯改善,髖關節 MRI 顯示左髖關節積液。可推測這是由于該例患者未行有效規范的抗感染治療,導致肺部病變無吸收,并累及肺外器官,出現間斷腹瀉、反復關節疼痛及關節積液。由于其依從性不佳,因此未能完善十二指腸活檢及關節穿刺檢查。需要加強對該患者的隨訪,以進一步了解該病的發展及預后。
由于 WD 發病率低、臨床特異性低、病原體培養難度大,因此常被誤診或延遲治療。隨著分子生物學診斷技術的進步,特別是 BALF-mNGS 檢測的應用,TW 肺炎的早期診斷大大提高,對患者的預后有非常積極的意義。但 WD 的發病機制、易感因素仍不清楚,治療方案尚不規范,仍需要進一步研究,以期做到早發現、早診斷、早治療,達到預防和控制 WD 的目的。
利益沖突:所有作者聲明不存在利益沖突。
惠普爾病(Whipple’s disease, WD)是一種由惠普爾養障體(Tropheryma whipplei, TW)感染引起的罕見的復雜性多系統損害性疾病,發病率約為 1∶1 000 000[1]。它主要影響關節、消化系統、心臟和/或神經系統[1]。同時,TW 可累及肺部,導致患者出現發熱、慢性咳嗽、消瘦等非特異性癥狀[2]。目前,TW 引起肺炎的致病機制尚不明確,針對 TW 肺炎的治療亦不成熟[3]。國內外關于 TW 肺炎的報道罕見。隨著檢測手段的增多,特別是宏基因組二代測序(metagenomics next generation sequencing, mNGS)在臨床上的運用,TW 肺炎病例逐漸增多,本研究旨在綜合 2021 年—2022 年湖南省 3 家醫院收治的 TW 肺炎患者病歷資料,對其臨床癥狀、檢查結果、治療轉歸等進行綜合性分析,以期對 TW 肺炎的診治及預后進行總結。
1 資料與方法
1.1 一般資料
回顧性收集 2021 年 1 月 1 日—2022 年 10 月 1 日湖南省 3 家醫院 TW 肺炎患者的病歷資料。納入標準:① 有發熱、咳嗽、咳痰、氣促等臨床表現;② 肺泡灌洗液 mNGS 檢出 TW;③ 影像學檢查提示肺部感染性病變。排除標準:① 僅呼吸道 TW 定植,胸部 CT 提示既往已確診的慢性阻塞性肺疾病、支氣管擴張癥或間質性肺炎等慢性肺部疾病;② 用于 mNGS 分析的樣本堿基質量值 Q30<80%;③ 出院隨訪脫落,臨床資料缺失。本研究經湘潭市中心醫院醫學倫理委員會審查批準(批件編號:2022-10-002)。
1.2 方法
1.2.1 檢測方法
① 患者均接受血常規、生化、血氣分析、C 反應蛋白等常規實驗室檢查,均予胸部 CT 薄層掃描。3 家醫院均分別派出 2 位經驗豐富的胸部放射學專家獨立閱讀 CT 影像的肺窗和縱隔窗,分別記錄患者治療前后的影像學特征(至少 2 次胸部 CT),包括病變位置、密度及征象,若出現分歧經 2 位專家討論后共同判定;且均以《醫學影像學》[4]為分類標準,依次觀察患者的肺泡、小葉核心、小葉間隔、胸膜下間質、氣管壁、支氣管血管束及胸內淋巴結等多方面的 CT 表現,對患者 CT 征象進行大致歸類。
② 患者均進行支氣管電子纖維內鏡檢查,同時采集累亞段的支氣管肺泡灌洗液(bronchoalveolar lavage fluid, BALF)樣品(采集過程符合臨床操作標準,遵循無菌原則)。3 家醫院的 BALF 樣品均送至金域醫學檢驗公司進行檢測,本研究使用 PacBio 第三代高通量基因測序儀進行 mNGS 測序。
1.2.2 治療手段
患者入院常規給予吸氧、止咳化痰對癥治療,結合本地致病菌譜予經驗性抗感染治療。
1.2.3 記錄指標
通過 3 家醫院的實驗室信息系統收集實驗室檢查結果,使用醫院信息系統收集患者人口統計學資料、臨床癥狀、其他輔助檢查(如影像學檢查)、臨床治療和預后轉歸情況。
1.3 統計學方法
采用 SPSS 24.0 統計軟件進行數據分析。不符合正態分布的計量資料采用中位數(下四分位數,上四分位數)表示。計數資料采用頻數和百分比表示。
2 結果
2.1 臨床特征
共納入 TW 肺炎患者 4 例。其中,男 2 例,女 2 例;年齡 29~57 歲,平均(44.25±15.25)歲;體質量指數均正常;2 例慢性起病,病程 6 個月~1 年;急性起病 2 例,病程 2~5 d;主要基礎病及個人史:長期吸煙史 2 例,脂肪肝病史 2 例,睡眠呼吸暫停綜合征 1 例,獲得性免疫缺陷綜合征且未行抗病毒治療 1 例,脾膿腫脾切除術病史 1 例。
TW 肺炎患者臨床特征見表1。患者主要臨床癥狀包括咳嗽(4 例)、咳痰(3 例)、發熱(2 例)、氣促(2 例),無體重減輕、腹瀉、腹痛、關節痛、頭痛等癥狀。常規實驗室檢查顯示,3 例紅細胞沉降率升高(參考值為 0~15 mm/h),2 例超敏 C 反應蛋白升高(參考值為 0~3 mg/L),1例外周血白細胞計數升高[參考值為(3.97~9.15)×109/L],3 例血清乳酸脫氫酶(lactate dehydrogenase, LDH)升高(參考值為 114~240 U/L),2 例外周血血小板計數升高[參考值為(85~303)×109/L];在安靜狀態未吸氧時,2 例血氧分壓降低[參考值 80~100 mm Hg(1 mm Hg=0.133 kPa)],1 例血清白蛋白降低(參考值為 35~55 g/L),1 例血紅蛋白降低(參考值:成年男性 120~160 g/L,成年女性 110~150 g/L)。4 例患者的降鈣素原均正常(參考值為 0~0.5 μg/L),12 導聯心電圖及超聲心動圖檢查均無異常。電子纖維支氣管鏡顯示 4 例患者均有支氣管炎癥表現,其中支氣管出血 1 例。4 例患者支氣管肺泡灌洗液涂片及液基細胞學可見淋巴細胞、巨噬細胞、中性粒細胞等炎性細胞為主,有少量組織細胞,未見癌細胞。

2.2 胸部 CT 檢查結果
在 4 例患者中,雙肺彌漫性磨玻璃影 2 例,肺結節 1 例,肺空洞性病變 1 例,胸膜病變 1 例,肺部滲出性病變 2 例,縱隔淋巴結腫大 1 例,見表1。
2.3 mNGS 測序結果
4 例患者均檢出 TW,序列數的中位數(下四分位數,上四分位數)為 1 528(1 480,1 576)條。同時檢出其他病原體,其中流感嗜血桿菌 2 例,耶氏肺孢子菌 1 例,肺炎鏈球菌 1 例,副流感嗜血桿菌 1 例,人巨細胞病毒 1 例,白色念珠菌 1 例。
2.4 治療和預后
患者 1 于 2022 年 6 月 12 日入院,胸部 CT 示“雙肺多發斑片狀磨玻璃密度影:病毒性肺炎?”(圖1a),入院后先給予莫西沙星 4 d,病情無改善;2022 年 6 月 17 日復查胸部 CT 示雙肺滲出影大致同前(圖1b),BALF-mNGS 檢出 TW、肺炎鏈球菌、流感嗜血桿菌,改用美羅培南聯合多西環素治療 7 d;2022 年 6 月 24 日復查胸部 CT 示雙肺滲出影較前明顯吸收(圖1c)。患者于 2022 年 6 月 25 日病情好轉出院。

a. 雙肺紋理增粗,可見多發斑片狀磨玻璃密度影,以外周帶分布為主;b. 予莫西沙星治療 4 d 后,雙肺滲出性病變大致同前;c. 予美羅培南聯合多西環素治療 7 d 后,雙肺滲出性病變較前明顯吸收
患者 2 于 2022 年 6 月 22 日入院,入院后予甲氧芐啶/磺胺甲噁唑(trimethoprim/sulfamethoxazole, TMP-SMZ)、頭孢曲松、更昔洛韋抗感染。2022 年 6 月 23 日胸部 CT(圖2a)示:① 雙肺散在斑片狀磨玻璃影,卡氏肺孢子菌肺炎?② 縱隔稍大淋巴結,部分鈣化。③ 雙側局部胸膜稍增厚。2022 年 7 月 1 日復查胸腹部 CT 示雙肺滲出影大致同前(圖2b)。因治療效果不佳,改用美羅培南+多西環素抗感染。2022 年 7 月 15 日復查胸部 CT,示雙肺斑片狀影較前明顯吸收減少(圖2c)。2022 年 7 月 16 日患者病情好轉出院。

a. 雙肺紋理增粗,可見散在多發斑片狀磨玻璃密度影;b. 予 TMP-SMZ、頭孢曲松、更昔洛韋抗感染治療 7 d 后,雙肺滲出性病變大致同前;c. 予美羅培南聯合多西環素抗感染 14 d 后,雙肺滲出性病變較前明顯吸收減少
患者 3 于 2022 年 8 月 21 日入院,2022 年 8 月 22 日胸部 CT 示左肺上葉膿腫可能性大(圖3a)。采用哌拉西林他唑巴坦聯合莫西沙星治療 11 d 后,2022 年 9 月 2 日復查胸部 CT 示:左上肺病灶較前部分吸收好轉,空洞較前縮小,空洞內積液基本吸收(圖3b)。患者于 2022 年 9 月 2 日病情好轉出院。

a. 左肺上葉可見一空洞影,內見液氣平面,空洞周圍可見滲出性病變; b. 予哌拉西林他唑巴坦聯合莫西沙星治療 11 d 后,左上肺滲出性病變較前部分吸收好轉,空洞較前縮小,空洞內積液基本吸收
患者 4 于 2021 年 4 月 16 日入院,當日胸部 CT 示:右中肺結節,雙肺少許慢性炎癥(圖4a),擬予頭孢曲松序貫 TMP-SMZ 抗感染,患者拒絕使用頭孢曲松并于 2021 年 4 月 23 日簽字出院。出院后患者口服 TMP-SMZ 20 d,因服用該藥后出現消化道癥狀,自行停藥,2021 年 5 月 21 日門診復查胸部 CT 示:右肺中葉結節(較 4 月 16 日 CT 類似),雙肺少許慢性炎癥(圖4b)。患者因反復關節疼痛及腹瀉,2022 年 9 月 7 日因關節疼痛門診復診,查雙髖關節 MRI 平掃示左側髖關節少量積液(圖5)。

a. 右肺中葉外側段見一結節樣稍高密度影(白箭),大小約 11 mm×9 mm,相鄰胸膜粘連,邊緣示毛刺影;b. 口服 TMP-SMZ 20 d 且停藥 8 d 后,右肺中葉結節較前類似(白箭)

可見左側髖關節少量積液(白箭)
3 討論
TW 屬于放線菌門,放線菌綱,為革蘭陽性、需氧、非抗酸、過碘酸-雪夫反應染色陽性的桿菌,兼性細胞內生長,在巨噬細胞和單核細胞中存活和復制。該細菌生長緩慢,細胞培養時間估計為 17~18 d。在培養基中,TW 呈短粗靜止的棒狀體,寬 0.25~0.30 μm,長 0.80~1.70 μm。電子顯微鏡下其細胞壁呈獨特的 3 層質膜,包括平均厚度 6 nm 的細胞質膜,20 nm 厚的肽聚糖層,和可能來源于宿主細胞的外層[5]。WD 患者及無癥狀攜帶者是本病的主要傳染源[6],主要通過糞-口傳播或口-口傳播,發病人群以西歐血統的白人男性為主[7]。
感染 TW 后,大部分人表現為無癥狀攜帶,或者通過產生保護性體液及細胞免疫,表現為自限性感染,少部分表現為 WD[8]。典型 WD 常表現為關節疾病/關節炎、體重下降、腹痛、腹瀉[9]。急性感染時常表現為肺炎、胃腸炎、菌血癥[10]。目前認為,宿主的遺傳易感性是導致 WD 發生的一個重要因素,有研究指出 HLA-DRB1*13 和 DQB1*06 等位基因在 WD 患者中發現的頻率明顯更高[11]。而免疫功能缺陷則是另一個危險因素,如比較常見的人類免疫缺陷性病毒感染[12]。而錯誤的免疫抑制劑使用可加速 WD 惡化[13]。WD 患者常規實驗室檢查通常無特異性,一般表現出貧血(60%~76%),低白蛋白血癥(50%)或紅細胞沉降率或 C 反應蛋白水平升高(84%)[2]。WD 的診斷主要依賴于十二指腸/空腸活檢標本過碘酸-雪夫反應染色、TW 聚合酶鏈反應檢測及受累器官免疫組織化學檢查,結合患者相關臨床癥狀可明確診斷[14]。WD 的治療尚不成熟,目前大部分患者采用兩階段治療方案:初始階段采用頭孢曲松鈉或青霉素 G 治療 2 周;維持階段采用 TMP-SMZ 治療 1 年。大部分 WD 患者在抗感染治療后均有良好的效果[15]。如未經治療,TW 可引起發熱、貧血、淋巴結腫大、皮膚色素沉著、肝脾腫大、心內膜炎、惡病質等,甚至發展為嚴重的消瘦綜合征(顯著體重下降、無力、肌肉萎縮及納差)[16]。TW 嚴重感染嚴重時可累及神經系統,出現中樞神經系統損害(腦膜炎、共濟失調或認知障礙)或外周神經系統損傷(周圍神經病變或面神經麻痹)[17]。
在本研究中,1 例為獲得性免疫缺陷綜合征患者,其余患者無免疫功能減低相關疾病如糖尿病、腎移植等,但有 1 例患者有睡眠呼吸暫停綜合征,不排除本病引起免疫功能紊亂,導致 TW 感染可能。4 例患者均為中青年,以咳嗽、咳痰、發熱、氣促等呼吸道癥狀為主,病程為 2 d~1 年。胸部 CT 呈現明顯多樣性,可見表現為類似于肺膿腫的空洞及氣液平面,亦可出現磨玻璃影、肺結節、胸膜增厚、滲出性病變。患者的臨床表現及 CT 影像均難以與其他病原體引起的肺炎相鑒別,這與其他學者的研究結果相同[18]。患者 2 胸部薄層 CT 表現為磨玻璃影,與肺孢子菌肺炎表現類似,但使用 TMP-SMZ 治療無效,改用美羅培南聯合多西環素后有效,這提示,通過 TMP-SMZ 的診斷性治療,可以與肺孢子菌肺炎相鑒別。患者 3 胸部薄層 CT 表現為空洞影,這與空洞型肺結核類似,但結核性空洞常伴有衛星灶,常規抗感染治療無效,通過痰抗酸染色可助鑒別診斷。
本研究發現,患者感染 TW 后,除外紅細胞沉降率、超敏 C 反應蛋白等炎癥指標升高以外,還出現 LDH 升高。LDH 是一種重要的糖酵解途徑酶,在心肌、肝臟、腎臟、肺組織中均廣泛存在,且遠高于血清,當這些組織出現缺血、缺氧壞死時,可釋放大量 LDH,導致血清 LDH 水平急劇升高[19]。患者 LDH 的升高提示 TW 引起肺組織的損傷,監測 LDH 水平,有助于對病情的評估及預后的判斷。
現有的研究表明,治療 WD 的藥物包括青霉素、鏈霉素、四環素、頭孢曲松、美羅培南、TMP-SMZ、多西環素和羥氯喹等[20]。而氟喹諾酮類抗菌藥物沒有抗 TW 作用。針對 TW gyrA 和 parC 基因的序列分析發現了與大腸埃希菌對氟喹諾酮類耐藥性增強相似的氨基酸替換,這些氨基酸替換很可能使 TW 產生對氟喹諾酮類的固有耐藥性[21]。本研究也發現,在初始階段,單一使用莫西沙星,對治療無明顯獲益,而美羅培南聯合多西環素治療后效果顯著,頭孢曲松對 TW 也有不錯的療效;另外,哌拉西林他唑巴坦在抗 TW 治療過程中,也有明顯的療效。
需要注意的是,患者 2 及患者 4 在初始治療階段均使用 TMP-SMZ,治療效果不佳。有研究發現 TW 對 TMP-SMZ 存在天然耐藥性,基因測序顯示 TW 缺少甲氧芐啶的作用位點,并建議放棄使用 TMP-SMZ 治療 WD[22]。另一項研究中,使用 TMP-SMZ 治療的 14 例患者均出現治療失敗,而多西環素聯合羥氯喹治療效果良好[23]。因此,可考慮 TW 對 TMP-SMZ 的固有耐藥導致了治療效果不佳。另外,患者 4 口服 TMP-SMZ 僅 20 d,因藥物引起消化道癥狀自行停藥,中斷治療后,患者出現反復關節疼痛及間斷腹瀉,1 年后復查胸部 CT 提示肺部病變無明顯改善,髖關節 MRI 顯示左髖關節積液。可推測這是由于該例患者未行有效規范的抗感染治療,導致肺部病變無吸收,并累及肺外器官,出現間斷腹瀉、反復關節疼痛及關節積液。由于其依從性不佳,因此未能完善十二指腸活檢及關節穿刺檢查。需要加強對該患者的隨訪,以進一步了解該病的發展及預后。
由于 WD 發病率低、臨床特異性低、病原體培養難度大,因此常被誤診或延遲治療。隨著分子生物學診斷技術的進步,特別是 BALF-mNGS 檢測的應用,TW 肺炎的早期診斷大大提高,對患者的預后有非常積極的意義。但 WD 的發病機制、易感因素仍不清楚,治療方案尚不規范,仍需要進一步研究,以期做到早發現、早診斷、早治療,達到預防和控制 WD 的目的。
利益沖突:所有作者聲明不存在利益沖突。