引用本文: 包蕓, 劉琦, 夏天莉, 馮沅, 彭勇. 肺動脈夾層合并動脈導管未閉一例. 華西醫學, 2021, 36(8): 1155-1156. doi: 10.7507/1002-0179.202106071 復制
病例介紹 患者,女,38 歲,世居于西藏自治區昌都地區(平均海拔 3 500 m),因“勞力性呼吸困難和胸骨后壓迫性胸痛 3 個月”于 2013 年 8 月 29 日入院。入院前 3 個月,患者無明顯誘因出現勞累性呼吸困難和胸骨后壓迫性疼痛,放射至背部,活動后明顯,休息稍緩解,平躺時胸痛加重,側臥位及端坐時可緩解,持續約 1 d,無黑矇、暈厥,無二便失禁,無畏寒、發熱,于當地醫院就診,經對癥治療后,患者仍反復出現心累、胸痛。為進一步診治,患者遂就診于我院。自患病以來,患者精神、食欲、睡眠欠佳,二便如常,體重無明顯變化。患者平素健康狀況良好,否認肝炎、結核及其他傳染病史,否認過敏史、外傷史、手術史和輸血史。自述按國家要求接種疫苗。
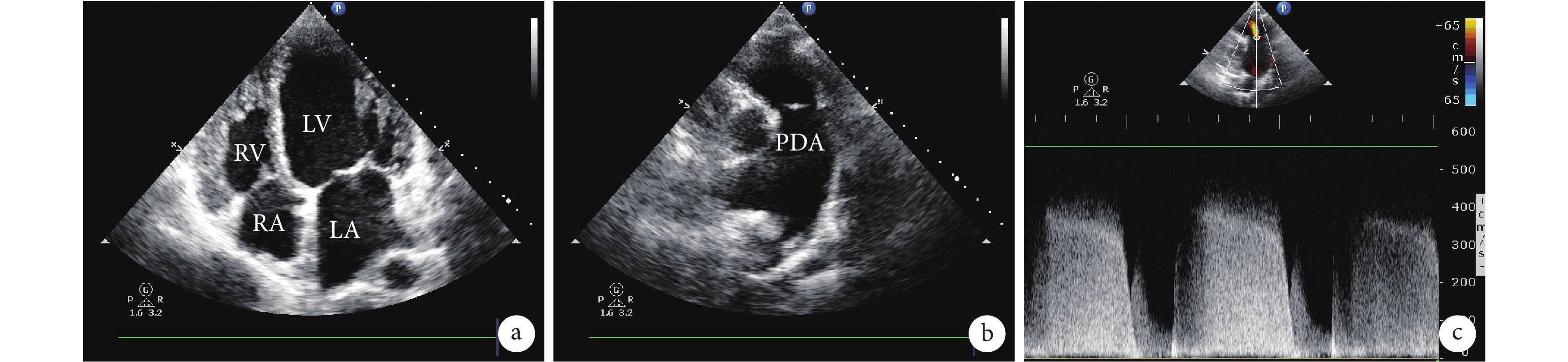
入院時體格檢查:心率 67 次/min,體溫 36.7℃,呼吸頻率 21 次/min,血壓 100/68 mm Hg(1 mm Hg=0.133 kPa);心臟叩診提示心界擴大,胸骨左上緣有明顯的機械樣連續性雜音,四肢出現差異性紫紺;余未見確切異常。入院即刻心電圖顯示 V1 導聯上 R 波振幅明顯增加,全導聯出現 ST 段壓低(V1-V3 導聯最明顯),心電圖同時提示右心室肥厚。入院后完善心臟彩色多普勒超聲、胸部 CT。床旁超聲心動圖可見心房和左心室均出現不同程度的擴張(圖 1a),同時發現擴張的肺動脈(內徑為 4.4 cm)以及動脈導管未閉(內徑約 20 mm,圖 1b),以及中度三尖瓣反流、二尖瓣反流、肺動脈瓣反流和重度肺動脈高壓(肺動脈收縮壓為 91 mm Hg,圖 1c)。心血管 CT 造影顯示左肺動脈顯著擴張和伴有假腔形成的肺動脈夾層,肺動脈夾層在撕裂遠端形成一處折返(圖 2)。初步診斷考慮:① 先天性心臟病、動脈導管未閉、肺動脈高壓;② 左肺動脈夾層。治療上予以檢測血壓、心率,復查血氣分析,完善先天性心臟病血管 CT 檢查。該例患者重點應明確肺動脈夾層病因,以解除病因為治療目標。

a. 四腔心切面示左心室(直徑 62 mm)、左心房(直徑 44 mm)、右心房(直徑 49 mm)存在明顯擴張;b. 超聲發現動脈導管未閉;c. 肺動脈反流頻譜測量肺動脈收縮壓為 91 mm Hg。LA:左心房;RA:右心房;LV:左心室;RV:右心室;PDA:動脈導管未閉

從不同角度和截面對夾層進行觀察,紅箭示肺動脈夾層,黃箭示動脈導管未閉形成的折返位點,藍箭示動脈導管未閉;AV:主動脈瓣;LA:左心房;RA:右心房;LV:左心室;RV:右心室;PAD:肺動脈夾層
在與患者充分溝通手術的必要性以及風險后,患者仍拒絕手術治療,要求保守治療。我院給予患者利尿劑、血管緊張素轉換酶抑制劑(angiotension converting enzyme inhibitor,ACEI)和氧氣支持等保守治療。保守治療 2 周后患者病情好轉并帶藥出院。在出院后 3 個月的隨訪中,患者堅持使用利尿劑和 ACEI 控制癥狀,病情穩定。
討論 肺動脈夾層是一種相當罕見但危及生命的情況。肺動脈夾層通常繼發于肺動脈高壓或某些結締組織病引起的肺動脈瘤。近年來,多模態影像學監測手段有助于肺動脈夾層的診斷,包括胸部 X 線、超聲心動圖、CT 掃描、MRI 和肺動脈造影。胸部 X 線和超聲心動圖可以顯示是否有縱隔擴大、積液或非特異性腫塊[1]。通過 CT、MRI 和肺動脈造影可以更好地觀察肺動脈夾層的撕裂起始部位、假腔情況、夾層的延伸情況和鄰近的結構。盡管已有數例肺動脈夾層病例及相關治療的報道,但目前肺動脈夾層仍未有明確的治療方法[2]。在既往報道的病例中,最常選擇的治療手段為手術修復,手術方法包括肺動脈重新吻合、血管內膜剝脫術、生物導管植入和肺動脈置換[2-5]。對于患有艾森曼格綜合征的肺動脈夾層患者,可以通過心肺聯合移植進行治療[6]。在某些情況下,此類患者可以進行經皮肺動脈介入治療[7]。雖然在大多數緊急情況下應考慮急診外科手術對肺動脈夾層進行干預,但有時保守治療也不失為一種替代選擇。既往文獻報道,一名確診患有肺動脈夾層的 56 歲女性由于通氣儲備功能嚴重下降存在較高的麻醉風險,最終接受了保守治療(以利尿劑和 ACEI 為主的藥物治療),數周后其癥狀緩解,出院后長期居家氧療并口服利尿劑和 ACEI,并在 12 個月的隨訪中生命體征穩定,未出現危及生命的情況和并發癥[8]。盡管 ACEI 或血管緊張素Ⅱ受體阻滯劑在部分肺動脈夾層患者中進行應用,但仍舊缺乏長期應用的證據[8]。此外,如果不通過手術糾正導致肺動脈夾層的病因,如肺動脈高壓未有效緩解,夾層復發和破裂的風險將持續存在。對于選擇保守治療的肺動脈夾層患者能否從治療肺動脈高壓的藥物(如內皮素受體拮抗劑)中獲益,目前尚不明確。
在主動脈夾層患者中,夾層常常可以在遠端形成假腔折返,假腔折返的形成能夠降低假腔的壓力,從而終止夾層進一步向遠端延伸[9]。與主動脈夾層不同,由于肺動脈壁的結構特征,肺動脈夾層中很少發現遠端折返的形成。肺動脈夾層的假腔通常容易撕裂至心包內,很少撕裂至肺、縱隔或胸膜腔內。因此肺動脈夾層患者較多并發心包填塞和其他致命并發癥[9]。根據目前對肺動脈夾層的理解,動脈導管未閉和肺動脈高壓被認為是肺動脈夾層的主要原因[10]。本例患者之所以未發生危及生命的并發癥,可能與假腔遠端折返的形成相關,這也是本例患者可能具有較好預后的原因。
總之,肺動脈夾層是一種罕見但致命的并發癥。一旦患者出現肺動脈高壓和胸痛,必須考慮肺動脈夾層的可能。肺動脈夾層的早期識別和診斷非常重要。超聲心動圖可以檢測近端肺夾層和心包積液等并發癥。必要時可考慮 CT 或 MRI 排除肺動脈夾層。由于肺動脈夾層的高死亡率,急診手術和血管內干預是特定患者的有效治療方法。然而,由于手術的高死亡率,對于癥狀穩定的肺動脈夾層患者,保守治療可能是另一種選擇。利尿劑和腎素-血管緊張素-醛固酮系統拮抗劑可能是首先考慮的藥物。
病例介紹 患者,女,38 歲,世居于西藏自治區昌都地區(平均海拔 3 500 m),因“勞力性呼吸困難和胸骨后壓迫性胸痛 3 個月”于 2013 年 8 月 29 日入院。入院前 3 個月,患者無明顯誘因出現勞累性呼吸困難和胸骨后壓迫性疼痛,放射至背部,活動后明顯,休息稍緩解,平躺時胸痛加重,側臥位及端坐時可緩解,持續約 1 d,無黑矇、暈厥,無二便失禁,無畏寒、發熱,于當地醫院就診,經對癥治療后,患者仍反復出現心累、胸痛。為進一步診治,患者遂就診于我院。自患病以來,患者精神、食欲、睡眠欠佳,二便如常,體重無明顯變化。患者平素健康狀況良好,否認肝炎、結核及其他傳染病史,否認過敏史、外傷史、手術史和輸血史。自述按國家要求接種疫苗。
入院時體格檢查:心率 67 次/min,體溫 36.7℃,呼吸頻率 21 次/min,血壓 100/68 mm Hg(1 mm Hg=0.133 kPa);心臟叩診提示心界擴大,胸骨左上緣有明顯的機械樣連續性雜音,四肢出現差異性紫紺;余未見確切異常。入院即刻心電圖顯示 V1 導聯上 R 波振幅明顯增加,全導聯出現 ST 段壓低(V1-V3 導聯最明顯),心電圖同時提示右心室肥厚。入院后完善心臟彩色多普勒超聲、胸部 CT。床旁超聲心動圖可見心房和左心室均出現不同程度的擴張(圖 1a),同時發現擴張的肺動脈(內徑為 4.4 cm)以及動脈導管未閉(內徑約 20 mm,圖 1b),以及中度三尖瓣反流、二尖瓣反流、肺動脈瓣反流和重度肺動脈高壓(肺動脈收縮壓為 91 mm Hg,圖 1c)。心血管 CT 造影顯示左肺動脈顯著擴張和伴有假腔形成的肺動脈夾層,肺動脈夾層在撕裂遠端形成一處折返(圖 2)。初步診斷考慮:① 先天性心臟病、動脈導管未閉、肺動脈高壓;② 左肺動脈夾層。治療上予以檢測血壓、心率,復查血氣分析,完善先天性心臟病血管 CT 檢查。該例患者重點應明確肺動脈夾層病因,以解除病因為治療目標。

a. 四腔心切面示左心室(直徑 62 mm)、左心房(直徑 44 mm)、右心房(直徑 49 mm)存在明顯擴張;b. 超聲發現動脈導管未閉;c. 肺動脈反流頻譜測量肺動脈收縮壓為 91 mm Hg。LA:左心房;RA:右心房;LV:左心室;RV:右心室;PDA:動脈導管未閉

從不同角度和截面對夾層進行觀察,紅箭示肺動脈夾層,黃箭示動脈導管未閉形成的折返位點,藍箭示動脈導管未閉;AV:主動脈瓣;LA:左心房;RA:右心房;LV:左心室;RV:右心室;PAD:肺動脈夾層
在與患者充分溝通手術的必要性以及風險后,患者仍拒絕手術治療,要求保守治療。我院給予患者利尿劑、血管緊張素轉換酶抑制劑(angiotension converting enzyme inhibitor,ACEI)和氧氣支持等保守治療。保守治療 2 周后患者病情好轉并帶藥出院。在出院后 3 個月的隨訪中,患者堅持使用利尿劑和 ACEI 控制癥狀,病情穩定。
討論 肺動脈夾層是一種相當罕見但危及生命的情況。肺動脈夾層通常繼發于肺動脈高壓或某些結締組織病引起的肺動脈瘤。近年來,多模態影像學監測手段有助于肺動脈夾層的診斷,包括胸部 X 線、超聲心動圖、CT 掃描、MRI 和肺動脈造影。胸部 X 線和超聲心動圖可以顯示是否有縱隔擴大、積液或非特異性腫塊[1]。通過 CT、MRI 和肺動脈造影可以更好地觀察肺動脈夾層的撕裂起始部位、假腔情況、夾層的延伸情況和鄰近的結構。盡管已有數例肺動脈夾層病例及相關治療的報道,但目前肺動脈夾層仍未有明確的治療方法[2]。在既往報道的病例中,最常選擇的治療手段為手術修復,手術方法包括肺動脈重新吻合、血管內膜剝脫術、生物導管植入和肺動脈置換[2-5]。對于患有艾森曼格綜合征的肺動脈夾層患者,可以通過心肺聯合移植進行治療[6]。在某些情況下,此類患者可以進行經皮肺動脈介入治療[7]。雖然在大多數緊急情況下應考慮急診外科手術對肺動脈夾層進行干預,但有時保守治療也不失為一種替代選擇。既往文獻報道,一名確診患有肺動脈夾層的 56 歲女性由于通氣儲備功能嚴重下降存在較高的麻醉風險,最終接受了保守治療(以利尿劑和 ACEI 為主的藥物治療),數周后其癥狀緩解,出院后長期居家氧療并口服利尿劑和 ACEI,并在 12 個月的隨訪中生命體征穩定,未出現危及生命的情況和并發癥[8]。盡管 ACEI 或血管緊張素Ⅱ受體阻滯劑在部分肺動脈夾層患者中進行應用,但仍舊缺乏長期應用的證據[8]。此外,如果不通過手術糾正導致肺動脈夾層的病因,如肺動脈高壓未有效緩解,夾層復發和破裂的風險將持續存在。對于選擇保守治療的肺動脈夾層患者能否從治療肺動脈高壓的藥物(如內皮素受體拮抗劑)中獲益,目前尚不明確。
在主動脈夾層患者中,夾層常常可以在遠端形成假腔折返,假腔折返的形成能夠降低假腔的壓力,從而終止夾層進一步向遠端延伸[9]。與主動脈夾層不同,由于肺動脈壁的結構特征,肺動脈夾層中很少發現遠端折返的形成。肺動脈夾層的假腔通常容易撕裂至心包內,很少撕裂至肺、縱隔或胸膜腔內。因此肺動脈夾層患者較多并發心包填塞和其他致命并發癥[9]。根據目前對肺動脈夾層的理解,動脈導管未閉和肺動脈高壓被認為是肺動脈夾層的主要原因[10]。本例患者之所以未發生危及生命的并發癥,可能與假腔遠端折返的形成相關,這也是本例患者可能具有較好預后的原因。
總之,肺動脈夾層是一種罕見但致命的并發癥。一旦患者出現肺動脈高壓和胸痛,必須考慮肺動脈夾層的可能。肺動脈夾層的早期識別和診斷非常重要。超聲心動圖可以檢測近端肺夾層和心包積液等并發癥。必要時可考慮 CT 或 MRI 排除肺動脈夾層。由于肺動脈夾層的高死亡率,急診手術和血管內干預是特定患者的有效治療方法。然而,由于手術的高死亡率,對于癥狀穩定的肺動脈夾層患者,保守治療可能是另一種選擇。利尿劑和腎素-血管緊張素-醛固酮系統拮抗劑可能是首先考慮的藥物。