引用本文: 曾明全, 雷學忠, 張敏利, 陳竹, 陳紅, 張玲, 王波, 蔣紅梅, 冉啟惠, 鄧超, 張麗慧, 杜清. 四川省 20 例重癥新型冠狀病毒肺炎的流行病學和臨床特征分析. 華西醫學, 2020, 35(4): 377-384. doi: 10.7507/1002-0179.202003182 復制
2019 年 12 月,我國湖北省武漢市陸續發現多例新型冠狀病毒肺炎(coronavirus disease 2019,COVID-19)病例[1],隨著疫情的蔓延,我國多地區及境外也相繼發現了此類病例。該病已納入《中華人民共和國傳染病防治法》規定的乙類傳染病,并按甲類傳染病管理[2]。引起 COVID-19 的 2019 新型冠狀病毒屬于 β 屬冠狀病毒,其基因特征與嚴重急性呼吸綜合征冠狀病毒和中東呼吸綜合征冠狀病毒有明顯區別[3]。COVID-19 患者的主要癥狀為發熱、乏力、咳嗽及氣促[4],病情進展迅速,重癥患者多在發病數日后出現呼吸困難和/或低氧血癥,甚至快速進展為急性呼吸窘迫綜合征(acute respiratory distress syndrome,ARDS)、膿毒癥休克,危及生命[5]。我院 2020 年 1 月 16 日—2 月 5 日收治 20 例 COVID-19 重癥病例,本研究對其流行病學和臨床特征進行總結,旨在為臨床診治提供參考依據。現報告如下。
1 資料與方法
1.1 研究對象
納入 2020 年 1 月 16 日—2 月 5 日成都市公共衛生臨床醫療中心傳染病負壓隔離病房收治的 20 例重型及危重型 COVID-19 確診病例。本研究已通過成都市公共衛生臨床醫療中心倫理委員會批準(批件號:PJ-K2020-01-01),符合《赫爾辛基宣言》的原則。所有病例均由四川省疾病預防控制中心對呼吸道標本經實時熒光逆轉錄聚合酶鏈反應檢測 2019 新型冠狀病毒核酸陽性,并根據《新型冠狀病毒肺炎診療方案(試行第七版)》進行臨床分型:① 重型。成人符合下列任何一條:A. 出現氣促,呼吸頻率≥30 次/min;B. 靜息狀態下,指氧飽和度≤93%;C. 動脈血氧分壓(partial pressure of oxygen in arterial blood,PaO2)/吸氧濃度(fraction of inspired oxygen,FiO2)≤300 mm Hg(1 mm Hg=0.133 kPa)。② 危重型。符合以下情況之一:A. 出現呼吸衰竭,且需機械通氣;B. 出現休克;C. 合并其他器官功能衰竭,需重癥監護治療[2]。
1.2 研究方法
回顧性分析 20 例患者的流行病學、臨床表現、實驗室檢查、影像學檢查及治療轉歸等資料,隨訪日期截止到 2020 年 4 月 8 日。
1.3 統計學方法
應用 SPSS 20.0 統計軟件進行分析。計量資料以均數±標準差表示,計數資料以例數和百分數表示。
2 結果
2.1 患者基本資料
本組患者中,男 12 例,女 8 例;年齡 34~84 歲,平均(57.4±16.5)歲;13 例患者(65.0%)有 1 種或多種并存疾病,包括 9 例高血壓,6 例糖尿病,4 例冠狀動脈粥樣硬化性心臟病,3 例慢性腎功能衰竭,1 例腦出血后遺癥期,1 例腦梗死后遺癥期伴阿爾茨海默病,1 例硬皮病伴肺纖維化。見表 1。

2.2 流行病學史
所有患者均由外院轉入,地域分布廣泛,流行病學史如下:武漢本地居民或近期到過武漢 11 例(55.0%),長期居住湖北省非武漢地區 4 例(20.0%),接觸 COVID-19 確診患者 3 例(15.0%),無上述流行病學史但有非疫區旅游史 2 例(10.0%);無業居民 11 例,職員 8 例(含物流、保安、軟件、建筑、銷售行業),醫療工作者 1 例;自發病出現癥狀起至首診醫院就診的時間為 1~6 d,平均(2.9±1.3) d;發病至確診時間為 3~10 d,平均 7.2 d。見表 1。
2.3 臨床癥狀
20 例患者均急性起病,最常見的癥狀為發熱和咳嗽(100.0%),其中 6 例患者(30.0%)入院前的最高體溫在 39℃ 以上,其次為氣促(75.0%)和乏力(65.0%),腹瀉(20.0%)相對較少,鼻塞、流涕、肌肉酸痛等癥狀極少見。部分患者在發病 3~10 d 內出現嚴重呼吸困難和/或低氧血癥,嚴重者快速進展為急性呼吸窘迫綜合征、膿毒癥休克。
2.4 實驗室檢查
本組患者中,PaO2/FiO2≤300 mm Hg 者 16 例(80.0%)、≤200 mm Hg 者 7 例(35.0%),白細胞計數減少 4 例(20.0%)、升高 3 例(15.0%),淋巴細胞計數下降 13 例(65.0%),超敏 C 反應蛋白升高 20 例(100.0%),乳酸脫氫酶升高 16 例(80.0%),觸珠蛋白升高 14 例(70.0%),α1-酸性糖蛋白升高 15 例(75.0%),血清淀粉樣蛋白(serum amyloid A,SAA)升高 20 例(100.0%),α1-抗胰蛋白酶升高 7 例(35.0%),血清肌酐異常 3 例(15.0%),CD4+ T 細胞計數降低 17 例(85.0%),CD19+ B 淋巴細胞計數降低 13 例(65.0%),CD56+ 自然殺傷(natural killer,NK)細胞計數降低 13 例(65.0%),1-3-β-D 葡聚糖升高 1 例(5.0%),降鈣素原升高 3 例(15.0%),氨基末端腦鈉肽前體升高 10 例(50.0%)。見表 2、3。


2.5 胸部影像學檢查
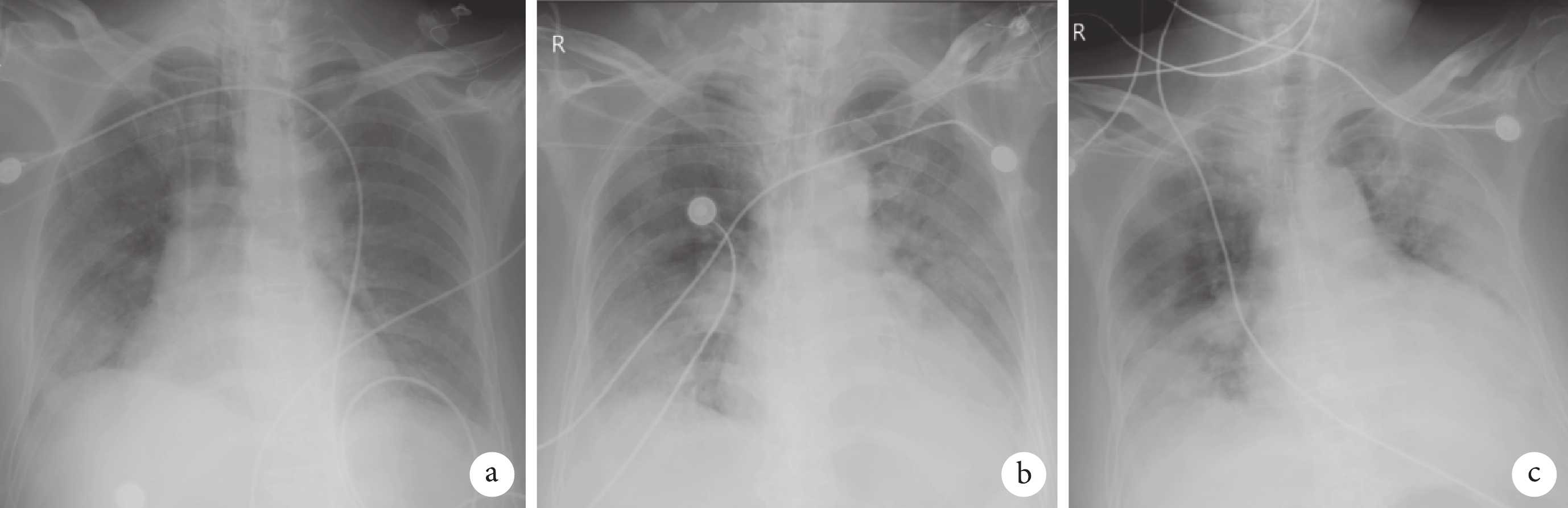
COVID-19 發病初期胸部影像學檢查 X 線片以多發小斑片影及間質改變為主(圖 1a),CT 則以肺外散在磨玻璃樣密度影為主(圖 1b);患者病灶可迅速增加,CT 顯示雙肺多發磨玻璃樣密度影,嚴重者向實變影轉變,可累及多個肺葉(圖 1c、1d)。本組病例中有 3 例出現呼吸衰竭、重癥肺炎,予有創機械通氣治療,床旁 X 線片顯示雙肺呈廣泛浸潤、實變,少數呈“白肺”改變(圖 2~4)。

a. 11 號患者,男,47 歲,高流量吸氧,病程第 3 天胸部 X 線片示右肺斑片影(白箭);b. 13 號患者,男,37 歲,高流量吸氧,病程第 3 天胸部 CT 示雙肺散在磨玻璃樣密度影(白箭);c. 18 號患者,男,37 歲,無創呼吸機輔助通氣,病程第 4 天胸部 CT 示雙肺散在磨玻璃樣密度影(白箭),局部向實變影轉變;d. 12 號患者,男,57 歲,無創呼吸機輔助通氣,病程第 6 天胸部 CT 示雙肺多發實變影(白箭),可累及多個肺葉

a. 病程第 9 天;b. 病程第 11 天。患者,女,80 歲,無創通氣 2 d 后轉有創通氣,雙肺呈廣泛浸潤、實變,向“白肺”改變

a. 病程第 3 天;b. 病程第 8 天;c. 病程第 13 天。患者,男,81 歲,無創通氣 5 d 后轉有創通氣,病程早期雙肺散在小斑片影,病程后期雙肺呈廣泛浸潤、實變,呈“白肺”改變

a. 病程第 7 天;b. 病程第 9 天;c. 病程第 11 天。患者,女,64 歲,無創通氣 4 d 后轉有創通氣,雙肺呈廣泛浸潤、實變,呈“白肺”改變
2.6 臨床治療與轉歸
本組患者中,12 例(60.0%)采用洛匹那韋/利托那韋片(400/100 mg/次,口服,2 次/d)聯合重組人干擾素 α2b(500 萬 U/次,霧化吸入,2 次/d)抗病毒治療,其中 3 例(15.0%)洛匹那韋/利托那韋服用后不耐受,主要表現為惡心、嘔吐、厭食、腹瀉,停止使用后癥狀緩解;8 例(40.0%)采用鹽酸阿比多爾片(0.2 g/次,口服,3 次/d)聯合重組人干擾素 α2b(500 萬 U/次,霧化吸入,2 次/d)抗病毒治療。17 例(85.0%)細胞免疫缺陷者加用胸腺法新(1.6 mg/次,皮下注射,2 次/周)增強免疫。3 例(15.0%)使用甲潑尼龍琥珀酸鈉(40 mg/次,靜脈滴注,每 12 小時 1 次)抗炎治療,療程為 3~5 d。合并細菌感染者,加用抗菌藥物治療,抗菌藥物以喹諾酮、頭孢菌素類為主,明確存在嚴重細菌感染時升級為碳青霉烯類聯合糖肽類,療程為 10~14 d。本組無明確合并真菌感染病例。
本組病例中,并發呼吸衰竭以及 ARDS 9 例(45.0%),心功能衰竭 3 例(15.0%),膿毒性休克 2 例(10.0%),急性腎損傷 2 例(10.0%),見表 4。16 例(80.0%)入院即進行經鼻高流量吸氧[其中 6 例(30.0%)經鼻高流量吸氧病情無改善、轉為無創呼吸機支持呼吸,8 例(40.0%)行俯臥位通氣],3 例(15.0%)行氣管插管呼吸機輔助通氣,1 例(5.0%)行氣管插管呼吸機輔助通氣聯合體外膜肺氧合(extracorporeal membrane oxygenation,ECMO)。

截至 2020 年 4 月 8 日,3 例(15.0%)患者死亡, 17 例(85.0%)治愈出院;住院時間 6~42 d,平均(21.4±4.0)d 。3 例死亡患者的年齡分別為 64、77、80 歲,平均 73.7 歲;其病情進展迅速,并發重癥肺炎、ARDS 及多臟器功能衰竭,均行氣管插管呼吸機輔助通氣,其中 1 例聯合 ECMO,模式為 VV(靜脈-靜脈)ECMO(使用 12 h 后搶救無效死亡)。
3 討論
COVID-19 由 2019 新型冠狀病毒感染引起,自 2019 年 12 月我國武漢首次報告以來[1],國內及境外發病人數逐漸增多。成都市公共衛生臨床醫療中心作為四川省首批 COVID-19 的定點收治醫院,收治了四川省絕大多數的 COVID-19 患者,本文系四川省重癥 COVID-19 的首次報道。
感染 2019 新型冠狀病毒主要與人缺乏對此種病毒的免疫力有關,本病主要表現為流感樣癥狀,如發熱、咳嗽起病,伴咽痛、乏力、腹瀉等癥狀[3],部分危重患者可迅速進展為 ARDS、重癥肺炎、休克及多臟器功能衰竭[4],甚至死亡。本組患者發病初期有高熱、咳嗽、腹瀉、乏力等流感樣癥狀,和文獻報道[3]一致。本組病例中,患者年齡 34~84 歲,平均 57.4 歲,其中 13 例患者(65.0%)有 1 種或多種并存疾病(高血壓、糖尿病、冠狀動脈粥樣硬化性心臟病等基礎疾病)。因此,在該病流行期間應高度重視不明原因的發熱及肺炎,尤其是來自疫區居住、旅行或接觸疫區人群者,及早進行 2019 新型冠狀病毒的篩查,特別是合并心、腦、肺等基礎疾病的高齡患者,爭取做到“早發現、早診斷、早治療”,以提高治愈率。
本研究中,部分患者白細胞和淋巴細胞計數降低,其中 CD4+ T 淋巴細胞計數、CD19+ B 淋巴細胞計數及 CD56+ NK 細胞計數降低明顯,提示病毒感染后可能導致機體的細胞免疫功能障礙,推測 2019 新型冠狀病毒對細胞免疫有一定的損傷作用。據文獻報道,當病毒入侵人體時,如果免疫系統被過度激活或者失去控制,就會產生極端的免疫反應,釋放大量細胞因子,并攻擊宿主,這種現象被稱之為“細胞因子風暴”[6-7]。例如嚴重急性呼吸綜合征、埃博拉等病毒感染的后期,免疫系統對身體產生猛烈攻擊,細胞因子風暴成為很多患者最終死亡的主因[8]。本研究中,所有患者的超敏 C 反應蛋白、SAA 均有不同程度的升高,大部分患者的乳酸脫氫酶[9-11]、α1-酸性糖蛋白、觸珠蛋白及 α1-抗胰蛋白酶升高,考慮與急性炎癥反應相關。上述炎性指標可能對該病的病情危重程度有一定的預測價值,可作為本病的重要觀察指標[12-13]。COVID-19 患者的胸部影像學改變呈動態變化,在發病初期主要表現為肺部散在斑片影,胸部 CT 以肺外帶磨玻璃樣密度影為主,隨著病情進展,病灶可迅速增加,胸部 CT 顯示磨玻璃樣面積增加,密度影向實變影轉變,病變并可累及多個肺葉,未見胸腔積液[14-17]。雖然影像學改變常常滯后于臨床表現,但是,動態觀察肺部的影像學改變有助于客觀地評估病情和療效,從而指導治療。
本組病例中,3 例患者使用注射用甲潑尼龍琥珀酸鈉抗炎治療,療程為 3~5 d。是否使用糖皮質激素治療重癥肺炎一直存在爭議。但是,對于入院即危重癥的患者,可酌情短期使用小劑量的糖皮質激素,以抑制過度的炎癥反應,同時應注意避免大劑量激素沖擊引起的免疫抑制導致延緩病毒清除、繼發感染及其他副作用[18]。本組患者發病至首次就診時間為 1~6 d,平均 2.9 d,而發病至確診時間為 3~10 d,平均 7.2 d。本組患者的確診時間較遲,與患者對自身疾病不夠重視、首診醫院對該類疾病認識與經驗相對欠缺有關,包括確診流程等因素相關。多例患者在轉至我院時已出現呼吸衰竭、腎功能衰竭、心功能不全等危重癥表現,即使采取了強有力的呼吸支持治療,仍未能改變 3 例患者死亡的最終結局。這 3 例死亡患者均為 60 歲以上老年人,合并心臟病、肺病等基礎疾病,考慮危重癥的發生及不良結局與患者的基礎心肺功能有關。因此,對于有心肺基礎疾病的 COVID-19 患者,應注意重癥、危重癥的早期識別及早期干預;早期識別、篩查出危重患者、積極制定治療方案,是提高 COVID-19 患者生存率的關鍵。目前治療經驗證實,及早使用抗病毒藥物及早期給予呼吸支持有可能提高臨床治愈率。本組中有 10 例患者在發病早期即給予高流量吸氧或無創呼吸機支持呼吸,同時積極抗病毒治療至病毒檢測陰性,均治愈出院。
目前,對 2019 新型冠狀病毒感染重癥患者尚無特異性的治療方法及藥物,仍以臟器功能支持為主,如高流量吸氧、無創或有創呼吸機、連續性腎臟替代治療、ECMO 等對呼吸、循環、腎臟功能支持以及營養支持。
2019 年 12 月,我國湖北省武漢市陸續發現多例新型冠狀病毒肺炎(coronavirus disease 2019,COVID-19)病例[1],隨著疫情的蔓延,我國多地區及境外也相繼發現了此類病例。該病已納入《中華人民共和國傳染病防治法》規定的乙類傳染病,并按甲類傳染病管理[2]。引起 COVID-19 的 2019 新型冠狀病毒屬于 β 屬冠狀病毒,其基因特征與嚴重急性呼吸綜合征冠狀病毒和中東呼吸綜合征冠狀病毒有明顯區別[3]。COVID-19 患者的主要癥狀為發熱、乏力、咳嗽及氣促[4],病情進展迅速,重癥患者多在發病數日后出現呼吸困難和/或低氧血癥,甚至快速進展為急性呼吸窘迫綜合征(acute respiratory distress syndrome,ARDS)、膿毒癥休克,危及生命[5]。我院 2020 年 1 月 16 日—2 月 5 日收治 20 例 COVID-19 重癥病例,本研究對其流行病學和臨床特征進行總結,旨在為臨床診治提供參考依據。現報告如下。
1 資料與方法
1.1 研究對象
納入 2020 年 1 月 16 日—2 月 5 日成都市公共衛生臨床醫療中心傳染病負壓隔離病房收治的 20 例重型及危重型 COVID-19 確診病例。本研究已通過成都市公共衛生臨床醫療中心倫理委員會批準(批件號:PJ-K2020-01-01),符合《赫爾辛基宣言》的原則。所有病例均由四川省疾病預防控制中心對呼吸道標本經實時熒光逆轉錄聚合酶鏈反應檢測 2019 新型冠狀病毒核酸陽性,并根據《新型冠狀病毒肺炎診療方案(試行第七版)》進行臨床分型:① 重型。成人符合下列任何一條:A. 出現氣促,呼吸頻率≥30 次/min;B. 靜息狀態下,指氧飽和度≤93%;C. 動脈血氧分壓(partial pressure of oxygen in arterial blood,PaO2)/吸氧濃度(fraction of inspired oxygen,FiO2)≤300 mm Hg(1 mm Hg=0.133 kPa)。② 危重型。符合以下情況之一:A. 出現呼吸衰竭,且需機械通氣;B. 出現休克;C. 合并其他器官功能衰竭,需重癥監護治療[2]。
1.2 研究方法
回顧性分析 20 例患者的流行病學、臨床表現、實驗室檢查、影像學檢查及治療轉歸等資料,隨訪日期截止到 2020 年 4 月 8 日。
1.3 統計學方法
應用 SPSS 20.0 統計軟件進行分析。計量資料以均數±標準差表示,計數資料以例數和百分數表示。
2 結果
2.1 患者基本資料
本組患者中,男 12 例,女 8 例;年齡 34~84 歲,平均(57.4±16.5)歲;13 例患者(65.0%)有 1 種或多種并存疾病,包括 9 例高血壓,6 例糖尿病,4 例冠狀動脈粥樣硬化性心臟病,3 例慢性腎功能衰竭,1 例腦出血后遺癥期,1 例腦梗死后遺癥期伴阿爾茨海默病,1 例硬皮病伴肺纖維化。見表 1。

2.2 流行病學史
所有患者均由外院轉入,地域分布廣泛,流行病學史如下:武漢本地居民或近期到過武漢 11 例(55.0%),長期居住湖北省非武漢地區 4 例(20.0%),接觸 COVID-19 確診患者 3 例(15.0%),無上述流行病學史但有非疫區旅游史 2 例(10.0%);無業居民 11 例,職員 8 例(含物流、保安、軟件、建筑、銷售行業),醫療工作者 1 例;自發病出現癥狀起至首診醫院就診的時間為 1~6 d,平均(2.9±1.3) d;發病至確診時間為 3~10 d,平均 7.2 d。見表 1。
2.3 臨床癥狀
20 例患者均急性起病,最常見的癥狀為發熱和咳嗽(100.0%),其中 6 例患者(30.0%)入院前的最高體溫在 39℃ 以上,其次為氣促(75.0%)和乏力(65.0%),腹瀉(20.0%)相對較少,鼻塞、流涕、肌肉酸痛等癥狀極少見。部分患者在發病 3~10 d 內出現嚴重呼吸困難和/或低氧血癥,嚴重者快速進展為急性呼吸窘迫綜合征、膿毒癥休克。
2.4 實驗室檢查
本組患者中,PaO2/FiO2≤300 mm Hg 者 16 例(80.0%)、≤200 mm Hg 者 7 例(35.0%),白細胞計數減少 4 例(20.0%)、升高 3 例(15.0%),淋巴細胞計數下降 13 例(65.0%),超敏 C 反應蛋白升高 20 例(100.0%),乳酸脫氫酶升高 16 例(80.0%),觸珠蛋白升高 14 例(70.0%),α1-酸性糖蛋白升高 15 例(75.0%),血清淀粉樣蛋白(serum amyloid A,SAA)升高 20 例(100.0%),α1-抗胰蛋白酶升高 7 例(35.0%),血清肌酐異常 3 例(15.0%),CD4+ T 細胞計數降低 17 例(85.0%),CD19+ B 淋巴細胞計數降低 13 例(65.0%),CD56+ 自然殺傷(natural killer,NK)細胞計數降低 13 例(65.0%),1-3-β-D 葡聚糖升高 1 例(5.0%),降鈣素原升高 3 例(15.0%),氨基末端腦鈉肽前體升高 10 例(50.0%)。見表 2、3。


2.5 胸部影像學檢查
COVID-19 發病初期胸部影像學檢查 X 線片以多發小斑片影及間質改變為主(圖 1a),CT 則以肺外散在磨玻璃樣密度影為主(圖 1b);患者病灶可迅速增加,CT 顯示雙肺多發磨玻璃樣密度影,嚴重者向實變影轉變,可累及多個肺葉(圖 1c、1d)。本組病例中有 3 例出現呼吸衰竭、重癥肺炎,予有創機械通氣治療,床旁 X 線片顯示雙肺呈廣泛浸潤、實變,少數呈“白肺”改變(圖 2~4)。

a. 11 號患者,男,47 歲,高流量吸氧,病程第 3 天胸部 X 線片示右肺斑片影(白箭);b. 13 號患者,男,37 歲,高流量吸氧,病程第 3 天胸部 CT 示雙肺散在磨玻璃樣密度影(白箭);c. 18 號患者,男,37 歲,無創呼吸機輔助通氣,病程第 4 天胸部 CT 示雙肺散在磨玻璃樣密度影(白箭),局部向實變影轉變;d. 12 號患者,男,57 歲,無創呼吸機輔助通氣,病程第 6 天胸部 CT 示雙肺多發實變影(白箭),可累及多個肺葉

a. 病程第 9 天;b. 病程第 11 天。患者,女,80 歲,無創通氣 2 d 后轉有創通氣,雙肺呈廣泛浸潤、實變,向“白肺”改變

a. 病程第 3 天;b. 病程第 8 天;c. 病程第 13 天。患者,男,81 歲,無創通氣 5 d 后轉有創通氣,病程早期雙肺散在小斑片影,病程后期雙肺呈廣泛浸潤、實變,呈“白肺”改變

a. 病程第 7 天;b. 病程第 9 天;c. 病程第 11 天。患者,女,64 歲,無創通氣 4 d 后轉有創通氣,雙肺呈廣泛浸潤、實變,呈“白肺”改變
2.6 臨床治療與轉歸
本組患者中,12 例(60.0%)采用洛匹那韋/利托那韋片(400/100 mg/次,口服,2 次/d)聯合重組人干擾素 α2b(500 萬 U/次,霧化吸入,2 次/d)抗病毒治療,其中 3 例(15.0%)洛匹那韋/利托那韋服用后不耐受,主要表現為惡心、嘔吐、厭食、腹瀉,停止使用后癥狀緩解;8 例(40.0%)采用鹽酸阿比多爾片(0.2 g/次,口服,3 次/d)聯合重組人干擾素 α2b(500 萬 U/次,霧化吸入,2 次/d)抗病毒治療。17 例(85.0%)細胞免疫缺陷者加用胸腺法新(1.6 mg/次,皮下注射,2 次/周)增強免疫。3 例(15.0%)使用甲潑尼龍琥珀酸鈉(40 mg/次,靜脈滴注,每 12 小時 1 次)抗炎治療,療程為 3~5 d。合并細菌感染者,加用抗菌藥物治療,抗菌藥物以喹諾酮、頭孢菌素類為主,明確存在嚴重細菌感染時升級為碳青霉烯類聯合糖肽類,療程為 10~14 d。本組無明確合并真菌感染病例。
本組病例中,并發呼吸衰竭以及 ARDS 9 例(45.0%),心功能衰竭 3 例(15.0%),膿毒性休克 2 例(10.0%),急性腎損傷 2 例(10.0%),見表 4。16 例(80.0%)入院即進行經鼻高流量吸氧[其中 6 例(30.0%)經鼻高流量吸氧病情無改善、轉為無創呼吸機支持呼吸,8 例(40.0%)行俯臥位通氣],3 例(15.0%)行氣管插管呼吸機輔助通氣,1 例(5.0%)行氣管插管呼吸機輔助通氣聯合體外膜肺氧合(extracorporeal membrane oxygenation,ECMO)。

截至 2020 年 4 月 8 日,3 例(15.0%)患者死亡, 17 例(85.0%)治愈出院;住院時間 6~42 d,平均(21.4±4.0)d 。3 例死亡患者的年齡分別為 64、77、80 歲,平均 73.7 歲;其病情進展迅速,并發重癥肺炎、ARDS 及多臟器功能衰竭,均行氣管插管呼吸機輔助通氣,其中 1 例聯合 ECMO,模式為 VV(靜脈-靜脈)ECMO(使用 12 h 后搶救無效死亡)。
3 討論
COVID-19 由 2019 新型冠狀病毒感染引起,自 2019 年 12 月我國武漢首次報告以來[1],國內及境外發病人數逐漸增多。成都市公共衛生臨床醫療中心作為四川省首批 COVID-19 的定點收治醫院,收治了四川省絕大多數的 COVID-19 患者,本文系四川省重癥 COVID-19 的首次報道。
感染 2019 新型冠狀病毒主要與人缺乏對此種病毒的免疫力有關,本病主要表現為流感樣癥狀,如發熱、咳嗽起病,伴咽痛、乏力、腹瀉等癥狀[3],部分危重患者可迅速進展為 ARDS、重癥肺炎、休克及多臟器功能衰竭[4],甚至死亡。本組患者發病初期有高熱、咳嗽、腹瀉、乏力等流感樣癥狀,和文獻報道[3]一致。本組病例中,患者年齡 34~84 歲,平均 57.4 歲,其中 13 例患者(65.0%)有 1 種或多種并存疾病(高血壓、糖尿病、冠狀動脈粥樣硬化性心臟病等基礎疾病)。因此,在該病流行期間應高度重視不明原因的發熱及肺炎,尤其是來自疫區居住、旅行或接觸疫區人群者,及早進行 2019 新型冠狀病毒的篩查,特別是合并心、腦、肺等基礎疾病的高齡患者,爭取做到“早發現、早診斷、早治療”,以提高治愈率。
本研究中,部分患者白細胞和淋巴細胞計數降低,其中 CD4+ T 淋巴細胞計數、CD19+ B 淋巴細胞計數及 CD56+ NK 細胞計數降低明顯,提示病毒感染后可能導致機體的細胞免疫功能障礙,推測 2019 新型冠狀病毒對細胞免疫有一定的損傷作用。據文獻報道,當病毒入侵人體時,如果免疫系統被過度激活或者失去控制,就會產生極端的免疫反應,釋放大量細胞因子,并攻擊宿主,這種現象被稱之為“細胞因子風暴”[6-7]。例如嚴重急性呼吸綜合征、埃博拉等病毒感染的后期,免疫系統對身體產生猛烈攻擊,細胞因子風暴成為很多患者最終死亡的主因[8]。本研究中,所有患者的超敏 C 反應蛋白、SAA 均有不同程度的升高,大部分患者的乳酸脫氫酶[9-11]、α1-酸性糖蛋白、觸珠蛋白及 α1-抗胰蛋白酶升高,考慮與急性炎癥反應相關。上述炎性指標可能對該病的病情危重程度有一定的預測價值,可作為本病的重要觀察指標[12-13]。COVID-19 患者的胸部影像學改變呈動態變化,在發病初期主要表現為肺部散在斑片影,胸部 CT 以肺外帶磨玻璃樣密度影為主,隨著病情進展,病灶可迅速增加,胸部 CT 顯示磨玻璃樣面積增加,密度影向實變影轉變,病變并可累及多個肺葉,未見胸腔積液[14-17]。雖然影像學改變常常滯后于臨床表現,但是,動態觀察肺部的影像學改變有助于客觀地評估病情和療效,從而指導治療。
本組病例中,3 例患者使用注射用甲潑尼龍琥珀酸鈉抗炎治療,療程為 3~5 d。是否使用糖皮質激素治療重癥肺炎一直存在爭議。但是,對于入院即危重癥的患者,可酌情短期使用小劑量的糖皮質激素,以抑制過度的炎癥反應,同時應注意避免大劑量激素沖擊引起的免疫抑制導致延緩病毒清除、繼發感染及其他副作用[18]。本組患者發病至首次就診時間為 1~6 d,平均 2.9 d,而發病至確診時間為 3~10 d,平均 7.2 d。本組患者的確診時間較遲,與患者對自身疾病不夠重視、首診醫院對該類疾病認識與經驗相對欠缺有關,包括確診流程等因素相關。多例患者在轉至我院時已出現呼吸衰竭、腎功能衰竭、心功能不全等危重癥表現,即使采取了強有力的呼吸支持治療,仍未能改變 3 例患者死亡的最終結局。這 3 例死亡患者均為 60 歲以上老年人,合并心臟病、肺病等基礎疾病,考慮危重癥的發生及不良結局與患者的基礎心肺功能有關。因此,對于有心肺基礎疾病的 COVID-19 患者,應注意重癥、危重癥的早期識別及早期干預;早期識別、篩查出危重患者、積極制定治療方案,是提高 COVID-19 患者生存率的關鍵。目前治療經驗證實,及早使用抗病毒藥物及早期給予呼吸支持有可能提高臨床治愈率。本組中有 10 例患者在發病早期即給予高流量吸氧或無創呼吸機支持呼吸,同時積極抗病毒治療至病毒檢測陰性,均治愈出院。
目前,對 2019 新型冠狀病毒感染重癥患者尚無特異性的治療方法及藥物,仍以臟器功能支持為主,如高流量吸氧、無創或有創呼吸機、連續性腎臟替代治療、ECMO 等對呼吸、循環、腎臟功能支持以及營養支持。