該文報道了一例診斷為重度主動脈瓣狹窄患者。入院后,因患者血流動力學指標不穩定,心臟瓣膜多學科團隊討論以后,急診行經導管主動脈瓣置換術。手術順利,瓣膜植入后術中超聲心動圖提示跨瓣壓差、瓣膜前向血流速度極大改善。但術后第 2 天床旁超聲心動圖提示跨瓣壓差增高、人工瓣膜前向血流加速。綜合考慮急性瓣膜血栓可能性大。采用華法林、肝素等綜合抗凝治療后,跨瓣壓差、人工瓣膜前向血流速度均大幅改善。
引用本文: 劉琦, 陳飛, 李怡堅, 徐原寧, 李茜, 趙振剛, 熊恬園, 王子介, 歐袁偉翔, 王璽, 陳茂, 馮沅. 急診經導管主動脈瓣置換術術后即刻的瓣膜血栓一例. 華西醫學, 2020, 35(4): 418-424. doi: 10.7507/1002-0179.202003058 復制
經導管主動脈瓣置換術(transcatheter aortic valve replacement,TAVR)是當前治療中重度主動脈瓣狹窄及重度主動脈瓣反流的重要手段。TAVR 術后瓣膜血栓是該手術的少見但危害嚴重并發癥。瓣膜血栓影響瓣膜的正常功能,嚴重的可導致瓣膜的衰敗、血栓栓塞事件甚至危及患者的生命。本文介紹一例 TAVR 后第 2 天出現的人工瓣膜前向血流加速,跨瓣壓差增高,CT 證實瓣葉增厚。使用華法林聯合肝素抗凝治療后,瓣膜血流速度與跨瓣壓差均恢復到正常水平。隨訪證實瓣膜血栓消失,患者病情穩定。
1 病例介紹
患者,女,71 歲,因“活動后氣促 10 年,加重 1 d”于 2017 年 12 月 11 日收入我院心臟內科住院治療。既往 10 年前于外院診斷“主動脈瓣狹窄”,長期口服呋塞米、螺內酯及比索洛爾等藥物治療。體格檢查:體溫 36.3 ℃,脈搏 113 次/min,呼吸 28 次/min,血壓 119/107 mm Hg(1 mm Hg=0.133 kPa);雙下肺叩診濁音,雙下肺呼吸音弱,雙肺底聞及濕啰音;心率 113 次/min,心律齊,心界向左下擴大,主動脈瓣區聞及 4/6 級噴射性粗糙收縮期雜音,向頸部傳導;其余瓣膜聽診區未聞及病理性雜音,未聞及心包摩擦音;頸靜脈怒張,雙下肢中度水腫,肝頸靜脈回流征陽性,肝臟肋下未觸及。超聲心動圖示:左心室舒張末橫徑 49 mm,左心室射血分數(left ventricular ejection fraction,LVEF)49%;主動脈瓣重度狹窄,主動脈瓣增厚、鈣化,瓣環徑約 19 mm,主動脈瓣前向血流加速,峰值流速為 4.5 m/s,平均跨瓣壓差為 51 mm Hg,瓣下微量反流;二尖瓣微量反流。心電圖示:竇性心動過速,心率 116 次/min,完全性左束支傳導阻滯。實驗室檢查示:氨基末端腦鈉肽前體 1 569 pg/mL,超敏心肌肌鈣蛋白 T 30.3 ng/L。
入院后患者出現血流動力學不穩定,血壓(收縮壓/舒張壓)波動在 90~80/50~40 mm Hg,呼吸困難加重,于 12 月 12 日轉入心臟病重癥監護室(cardiac intensive care unit,CCU)繼續治療。予無創正壓通氣、利尿劑、正性肌力藥物等治療后患者血流動力學狀況無明顯改善,經心臟瓣膜多學科團隊討論以后,擬急診行 TAVR,術前歐洲心血管手術危險因素評分(the European System for Cardiac Operative Risk Evaluation Ⅱ,EuroSCORE Ⅱ)18.04%。術前予 300 mg 氯吡格雷、300 mg 阿司匹林負荷量雙聯抗血小板。
2 專家意見
我會如何治療?
王斌
廈門大學附屬心血管病醫院急診科(福建廈門 361006)
通信作者:王斌,Email:mocw361@163.com
TAVR 瓣膜血栓與主動脈瓣生物瓣外科置換術一樣可能與術后臨床預后相關,受到大家關注。
目前文獻報道的大部分瓣膜血栓事件都是術后計算機斷層掃描血管造影(computer tomography angiography,CTA)隨訪中發現,患者可無明顯的臨床癥狀,甚至心臟彩色多普勒超聲也沒有陽性發現,但是少部分的瓣膜血栓可以像該例患者一樣表現出血流動力學及臨床的異常,一旦瓣膜血栓表現出臨床癥狀或超聲跨瓣壓差明顯升高也往往提示至少有 2 個瓣葉受累(如本例患者表現為右冠狀動脈瓣及無冠狀動脈瓣的血栓形成)。
既往的 TAVR 注冊研究發現術后 1 年內出現癥狀性瓣膜功能衰退的發生率為 2.8%[1],而導致瓣膜退化的主要機制是瓣膜血栓形成,但實際上 TAVR 術后有 10%~15%[2],甚至有文獻報道高達 38% 的患者在 CTA 隨訪中可發現伴有瓣葉活動度減低的瓣葉增厚(hypo-attenuated leaflet thickening,HALT),而 HALT 最主要的原因是瓣膜血栓形成[3]。系列回顧性研究分析 TAVR 術后瓣膜血栓的危險因素包括:瓣中瓣技術,大尺寸人工瓣膜(≥28 mm),球囊擴張瓣,肥胖(體質量指數≥30 kg/m2),單一抗血小板方案等[4]。盡管系列研究提示抗凝治療較抗血小板發生 HALT 的風險更低,并且出現 HALT 后給予抗凝治療可有效改善 HALT,但我們也需要注意的是盡管術后采用抗凝方案也有發生 HALT 的風險(如本例患者),并且也有患者繼續給予抗血小板治療后 HALT 也可自行消失。以上均提示 HALT 的發生可能是多因素作用的結果。
盡管當前 TAVR 術后最佳的抗栓方案,HALT 的臨床意義及瓣膜血栓的形成機制尚不清晰,但一旦 TAVR 術后出現無法用其他原因解釋的心力衰竭加重,超聲提示人工瓣膜的跨瓣壓差升高(平均壓差≥20 mm Hg),積極完善 CTA 檢查明確有無 HALT 或者瓣膜血栓的發生非常必要,可以指導我們進行更合理的抗栓方案。絕大多數的患者的瓣膜血栓及 HALT 是可逆的,但是瓣膜血栓及 HALT 是否會復發或者與人工瓣膜的早期衰敗是否相關還有待進一步的深入研究。因此當前情況下我們可行的方案應該是個體化抗栓策略,需要兼顧患者的基礎情況(有無其他抗凝或抗血小板治療適應證,出血風險等),瓣膜結構情況及動態隨訪情況給予合理的抗栓策略,確保 TAVR 術后的臨床獲益最大化。
我會如何治療?
方臻飛
中南大學湘雅二醫院心血管內科(長沙 410000)
通信作者:方臻飛,Email:fangzhenfei@csu.edu.cn
本例患者為 71 歲女性,主動脈瓣重度狹窄,術前 EuroSCORE Ⅱ評分 18.04%。急診行 TAVR 術后第 2 天,突發呼吸困難、端坐呼吸,陣發性憋喘。床旁超聲心動圖提示:人工主動脈瓣前向血流加速:峰值流速為 3.7 m/s,平均跨瓣壓差為 35 mm Hg,主動脈瓣人工瓣膜框架穩定,這時需考慮 TAVR 術后瓣膜功能異常。
生物瓣膜出現功能減退的原因主要有以下幾點[5-6]:首先,瓣膜結構的改變,包括鈣化、纖維化、撕裂以及脫垂等,并可能導致患者血流動力學的改變;第二,非結構上的改變,包括瓣周漏、瓣膜位置不正、瓣膜尺寸不合適等;第三,瓣膜相關的血栓形成;第四,心內膜炎累及生物瓣膜的相關結構。
患者在術后第 2 天出現瓣膜功能異常,考慮瓣膜血栓形成可能。瓣膜相關的血栓形成的原因包括[7]:① 生物瓣膜不匹配;② 球囊擴張瓣膜;③ 選用較大型號的瓣膜。另外,需要考慮患者自身因素,如患者對生物瓣膜和/或金屬支架過敏排斥作用導致血栓形成、患者自身其他相關基礎疾病[8]。故建議在條件許可時盡早完善主動脈根部 CT 檢測,以及易栓癥相關檢查,本病例為急診 TAVR 手術,術前未常規應用抗血小板藥物,術中抗凝和術后抗血小板治療有“空窗期”也可能是其急性瓣膜血栓形成的原因,提示我們要關注急診 TAVR 患者圍手術期抗凝策略。接下來該如何處理[5]:① 外科取栓術;② 內科抗凝治療。目前暫時無相關共識和指南給出相應的推薦。首先,患者目前血流動力相當不穩定,外科手術風險極高,如果采取創傷大的外科開胸手術,將嚴重增加患者的死亡風險;其次,目前已知有病例系列研究和回顧性分析均提示口服華法林安全有效[7-9]。另外,患者口服抗凝時長可根據超聲和 CT 隨訪結果綜合決策[10]。綜上,內科抗凝治療最具有可行性和合理性,本病例通過抗凝治療最終成功改善瓣膜功能和整體預后。
3 實際治療
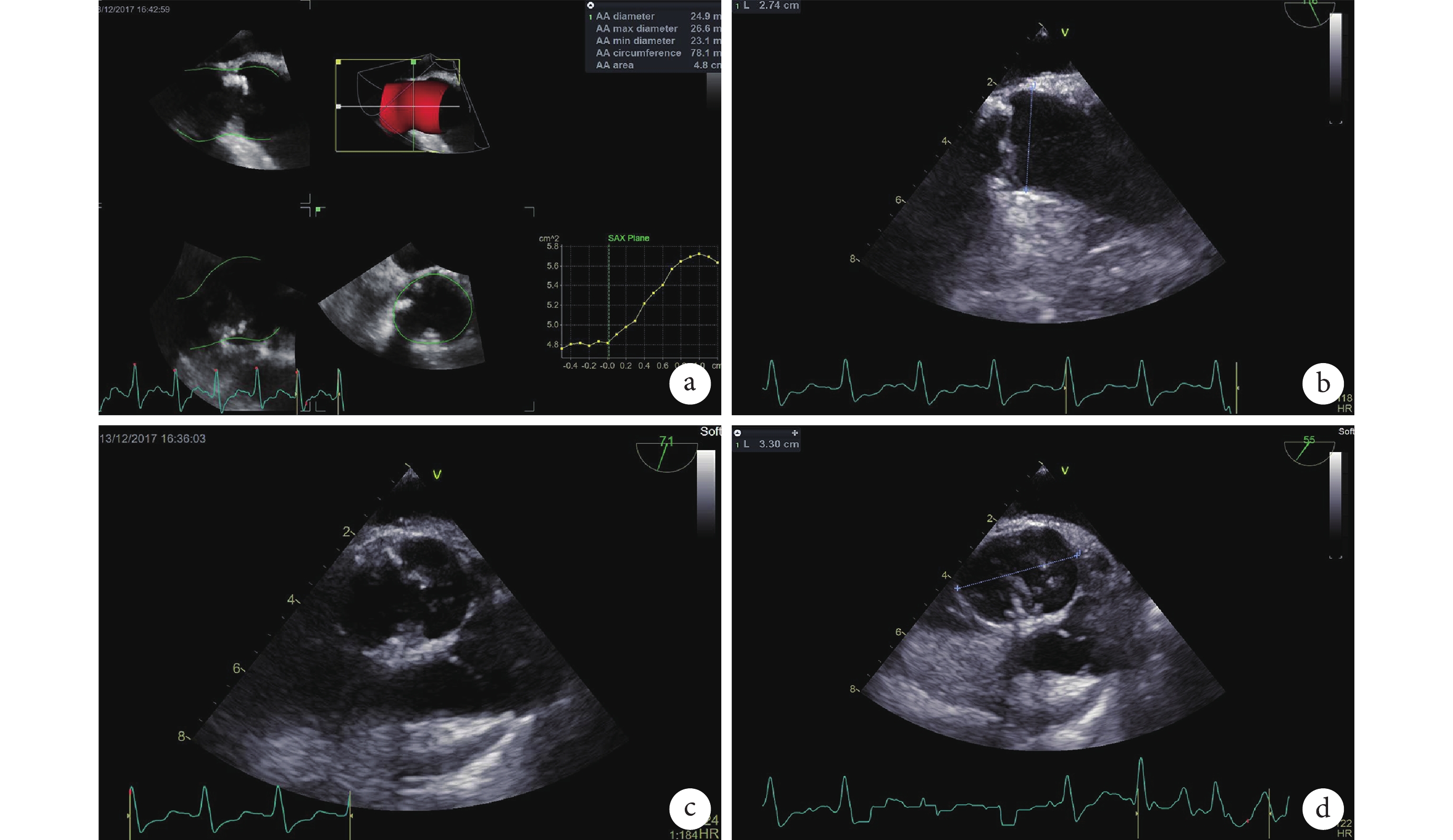
因患者血流動力學不穩定,故未行主動脈根部 CT 掃描。術前經食道超聲心動圖提示患者為“type 0”型二葉式主動脈瓣(圖1)。于 12 月 13 日全身麻醉下進行 TAVR,術中采用經食道超聲心動圖監測。術中以 TAV8 17 mm/22 mm 球囊(杭州啟明醫療器械有限公司)行預擴張后,在主動脈瓣病變處植入 26 mm Venus A 瓣膜(杭州啟明醫療器械有限公司,圖2)。術后經食道彩色多普勒超聲提示輕度瓣周漏,有創峰值壓差 2 mm Hg。

a. 三維主動脈瓣;b~d. 主動脈瓣切面圖。Type 0 型二葉式主動脈瓣,瓣環周長:78.1 mm,主動脈竇內徑:27.4 mm×33.0 mm

a、b:外周血管通暢,選取右側髂動脈為主通道;c、d:術中冠狀動脈造影顯示左右冠狀動脈通暢;e、f:瓣膜植入前球囊預擴張;g、h:瓣膜植入并主動脈根部造影顯示瓣膜植入位置良好;i、j:瓣膜植入后球囊后擴張后的主動脈根部造影提示瓣膜植入位置良好,微量瓣周漏
術中予肝素 2 500 U(約 67.6 U/kg)抗凝,術中激活全血凝固時間測值為 258 s。術后即刻超聲心動圖示瓣膜功能良好(圖3)。術后,患者送往 CCU 觀察,因胃腸管安置困難,無法口服雙聯抗血小板藥物,故術后 6 h 予肝素鈉注射液 3 000 U 靜脈滴注抗栓。患者凝血相關指標監測結果見表1。術后第 2 天,患者突發呼吸困難、端坐呼吸,陣發性憋喘,予無創通氣、嗎啡鎮靜、呋塞米微泵泵入后。床旁超聲心動圖提示:人工主動脈瓣前向血流加速:峰值流速為 3.7 m/s,平均跨瓣壓差為 35 mm Hg,主動脈瓣人工瓣膜框架穩定,考慮瓣膜血栓形成可能(圖4)。在肝素鈉注射液基礎上加用依諾肝素鈉注射液(商品名:克賽)每 12 小時 0.4 mL 皮下注射、華法林 2.5 mg/d 口服抗凝。因術后患者血流動力學不穩定無法耐受 CT 掃描,故于術后第 12 天行心臟增強 CT,證實存在瓣葉增厚,考慮多為瓣膜血栓(圖5)。后繼續予華法林 2.5 mg/d 口服、依諾肝素鈉注射液每 12 小時 0.4 mL 皮下注射抗凝治療,過程中嚴密監測患者凝血相關指標。治療后,瓣膜血流速度與跨瓣壓差均恢復到正常水平(表2),并于 2018 年 1 月 3 日出院。


a. 主動脈瓣前向血流頻譜;b. 大動脈水平面主動脈瓣前向血流。主動脈瓣:最大峰值流速 1.69 m/s,平均跨瓣壓差 6 mm Hg,微量瓣周漏;LVEF 49%,瓣膜功能良好


a. 五腔心切面主動脈瓣前向血流;b. 主動脈瓣前向血流頻譜。人工主動脈瓣前向血流加速:峰值流速為 3.7 m/s,平均跨瓣壓差為 35 mm Hg,主動脈瓣人工瓣膜框架穩定

a. 冠狀位;b. 矢狀位。急性瓣膜血栓形成位置(藍箭)
4 討論
主動脈瓣狹窄是一種常見的、潛在致命的心臟疾患。瓣膜血栓是 TAVR 的少見并發癥,TAVR 術后即刻的血栓極為罕見,僅見有少數個案報道。既往針對外科生物瓣的研究顯示,瓣膜置換術后瓣膜血栓的發生率約為 0.03%[11]。在一些患者中,TAVR 術后薄層 CT 可見瓣葉增厚,這些瓣葉增厚的情況通常會影響瓣葉活動。盡管缺乏直接的組織學證據,通常認為這樣的瓣葉增厚為瓣膜血栓[12]。在一項針對 TAVR 后的研究中,經超聲心動圖及 CTA 證實的瓣膜血栓發生率為 1.2%(5/405),且華法林治療有效。該研究中同時發現,使用較大型號的瓣膜及術后未使用華法林抗凝為發生瓣膜血栓的危險因素[7]。目前學界提出了幾種可能增加 TAVR 術后瓣膜血栓形成風險的機制:① 生物瓣膜與主動脈壁的不完全貼合可能會延遲內皮化過程,從而增加血栓附著的風險;② 金屬制經導管心臟瓣膜框架可能會為血栓形成提供潛在附著點;③ 生物瓣膜不完全展開會形成瓣葉褶皺和潛在凹陷,從而促進了瓣膜血栓的形成;④ 老年患者本身更容易存在已形成血栓的條件(例如癌癥等)[13]。
在 TAVR 患者的管理上,術后對瓣膜功能的監測是有必要的,通常可以通過超聲心動圖監測瓣膜血流速度與跨瓣壓差。目前經導管主動脈瓣術后常用的抗栓方案包括雙聯抗血小板、華法林或新型口服抗凝藥以及抗血小板與抗凝方案的聯合,但各方案的優劣尚需進一步研究[14]。在術后出院前的抗凝方案上,BRAVO-3 探究了術后比伐蘆定與肝素抗凝的差異,二者在出血風險上并無統計學差異,術后 48 h 比伐蘆定組在心肌梗死發生率上更低,急性腎損傷發病率更高,差異具有統計學意義,但在術后 30 d 后,差異不再有統計學意義[15]。在出院后的抗栓方案上,2017 年美國心臟和心臟病協會心瓣膜病管理指南中更新了 TAVR 抗凝策略的推薦,在低出血風險的患者中,至少應當口服華法林抗凝 3 個月,國際標準化比值)達標值為 2.5(Ⅱb 類推薦,證據級別:B);口服氯吡格雷 75 mg/d、6 個月,長期口服阿司匹林 75~100 mg/d 也是必要的(Ⅱb 類推薦,證據級別:C)[16-17]。但應當注意的是,在某些患者中,口服雙聯抗血小板的出血風險高于口服華法林的風險,因此應當在患者隨訪中特別關注有無皮下瘀點瘀斑等出血癥狀[2]。當 TAVR 患者合并了目前需要使用口服抗凝藥的合并癥時,需要在術后使用口服抗凝藥。ATLAS 研究結果認為在該類合并有達到口服抗凝藥使用指征的合并癥時,華法林和直接口服抗凝藥在安全性和有效性上是相似的[18]。GALILEO 研究和 GALILEO-4D 研究探究了利伐沙班在 TAVR 術后抗栓中的應用。結果提示盡管在預防 TAVR 術后 90 d 亞臨床瓣葉運動減弱方面口服利伐沙班 10 mg、1 次/d 比雙聯抗血小板策略更有效,但基于利伐沙班的抗栓方案與更高的死亡、血栓栓塞和出血事件風險相關,因此不推薦 TAVR 術后常規口服利伐沙班預防瓣葉運動異常[19]。
該例患者因主動脈瓣狹窄入院行術前檢查,但在住院期間反復發生低血壓休克。這時,盡快地解除狹窄才能挽救患者生命。手術過程順利,術后主動脈瓣狹窄明顯解除。但術后第 2 天,患者再次突發呼吸困難,陣發性憋喘,超聲心動圖檢查發現主動脈瓣平均跨瓣壓差增高至 35 mm Hg,峰值流速增加至3.7 m/s。這一結果提示瓣膜血栓可能。因患者無法耐受 CT 檢查,故而在調整抗凝方案的基礎上,于術后第 12 天行 CTA 檢查證實了瓣膜血栓事件的發生。瓣膜血栓是一種較少見的瓣膜置換術后并發癥,常見的原因多為抗栓治療被中斷。但在本例患者中,術前給予了規范的負荷劑量雙聯抗血小板,術中使用肝素抗凝,監測激活凝血酶原時間達到了 258 s,但術后仍然發生了瓣膜血栓事件。究其原因,患者的高凝狀態是可能的危險因素,如左心室功能不全、心輸出量降低等;同時,患者電解質異常,低鈣高磷,也是促使高凝狀態出現的可能原因。在抗栓方案的選擇上,本例患者存在瓣膜血栓的征象,故及時調整口服雙聯抗血小板方案為口服抗凝藥方案。本例患者手術日期為 2017 年末,當時尚缺乏新型口服抗凝藥在 TAVR 患者用應用的證據,故選用華法林抗凝。超聲心動圖證實人工瓣膜前向血流速度、跨瓣壓差恢復正常后,考慮患者自身可能存在的高凝狀態,采用長期口服華法林進行抗栓,控制國際標準化比值在 1.5~2.5。患者的 1 年及 2 年隨訪均未再次發現異常的跨瓣壓差與人工瓣膜前向血流加速。
因此,TAVR 術后出現主動脈瓣前向血流速度、跨瓣壓差增加時,需結合手術時患者的具體情況考慮瓣膜血栓形成的可能。并及時行主動脈根部 CT 確認是否存在瓣膜血栓,及時調整抗拴方案。
利益沖突聲明:所有作者均聲明不存在利益沖突。
經導管主動脈瓣置換術(transcatheter aortic valve replacement,TAVR)是當前治療中重度主動脈瓣狹窄及重度主動脈瓣反流的重要手段。TAVR 術后瓣膜血栓是該手術的少見但危害嚴重并發癥。瓣膜血栓影響瓣膜的正常功能,嚴重的可導致瓣膜的衰敗、血栓栓塞事件甚至危及患者的生命。本文介紹一例 TAVR 后第 2 天出現的人工瓣膜前向血流加速,跨瓣壓差增高,CT 證實瓣葉增厚。使用華法林聯合肝素抗凝治療后,瓣膜血流速度與跨瓣壓差均恢復到正常水平。隨訪證實瓣膜血栓消失,患者病情穩定。
1 病例介紹
患者,女,71 歲,因“活動后氣促 10 年,加重 1 d”于 2017 年 12 月 11 日收入我院心臟內科住院治療。既往 10 年前于外院診斷“主動脈瓣狹窄”,長期口服呋塞米、螺內酯及比索洛爾等藥物治療。體格檢查:體溫 36.3 ℃,脈搏 113 次/min,呼吸 28 次/min,血壓 119/107 mm Hg(1 mm Hg=0.133 kPa);雙下肺叩診濁音,雙下肺呼吸音弱,雙肺底聞及濕啰音;心率 113 次/min,心律齊,心界向左下擴大,主動脈瓣區聞及 4/6 級噴射性粗糙收縮期雜音,向頸部傳導;其余瓣膜聽診區未聞及病理性雜音,未聞及心包摩擦音;頸靜脈怒張,雙下肢中度水腫,肝頸靜脈回流征陽性,肝臟肋下未觸及。超聲心動圖示:左心室舒張末橫徑 49 mm,左心室射血分數(left ventricular ejection fraction,LVEF)49%;主動脈瓣重度狹窄,主動脈瓣增厚、鈣化,瓣環徑約 19 mm,主動脈瓣前向血流加速,峰值流速為 4.5 m/s,平均跨瓣壓差為 51 mm Hg,瓣下微量反流;二尖瓣微量反流。心電圖示:竇性心動過速,心率 116 次/min,完全性左束支傳導阻滯。實驗室檢查示:氨基末端腦鈉肽前體 1 569 pg/mL,超敏心肌肌鈣蛋白 T 30.3 ng/L。
入院后患者出現血流動力學不穩定,血壓(收縮壓/舒張壓)波動在 90~80/50~40 mm Hg,呼吸困難加重,于 12 月 12 日轉入心臟病重癥監護室(cardiac intensive care unit,CCU)繼續治療。予無創正壓通氣、利尿劑、正性肌力藥物等治療后患者血流動力學狀況無明顯改善,經心臟瓣膜多學科團隊討論以后,擬急診行 TAVR,術前歐洲心血管手術危險因素評分(the European System for Cardiac Operative Risk Evaluation Ⅱ,EuroSCORE Ⅱ)18.04%。術前予 300 mg 氯吡格雷、300 mg 阿司匹林負荷量雙聯抗血小板。
2 專家意見
我會如何治療?
王斌
廈門大學附屬心血管病醫院急診科(福建廈門 361006)
通信作者:王斌,Email:mocw361@163.com
TAVR 瓣膜血栓與主動脈瓣生物瓣外科置換術一樣可能與術后臨床預后相關,受到大家關注。
目前文獻報道的大部分瓣膜血栓事件都是術后計算機斷層掃描血管造影(computer tomography angiography,CTA)隨訪中發現,患者可無明顯的臨床癥狀,甚至心臟彩色多普勒超聲也沒有陽性發現,但是少部分的瓣膜血栓可以像該例患者一樣表現出血流動力學及臨床的異常,一旦瓣膜血栓表現出臨床癥狀或超聲跨瓣壓差明顯升高也往往提示至少有 2 個瓣葉受累(如本例患者表現為右冠狀動脈瓣及無冠狀動脈瓣的血栓形成)。
既往的 TAVR 注冊研究發現術后 1 年內出現癥狀性瓣膜功能衰退的發生率為 2.8%[1],而導致瓣膜退化的主要機制是瓣膜血栓形成,但實際上 TAVR 術后有 10%~15%[2],甚至有文獻報道高達 38% 的患者在 CTA 隨訪中可發現伴有瓣葉活動度減低的瓣葉增厚(hypo-attenuated leaflet thickening,HALT),而 HALT 最主要的原因是瓣膜血栓形成[3]。系列回顧性研究分析 TAVR 術后瓣膜血栓的危險因素包括:瓣中瓣技術,大尺寸人工瓣膜(≥28 mm),球囊擴張瓣,肥胖(體質量指數≥30 kg/m2),單一抗血小板方案等[4]。盡管系列研究提示抗凝治療較抗血小板發生 HALT 的風險更低,并且出現 HALT 后給予抗凝治療可有效改善 HALT,但我們也需要注意的是盡管術后采用抗凝方案也有發生 HALT 的風險(如本例患者),并且也有患者繼續給予抗血小板治療后 HALT 也可自行消失。以上均提示 HALT 的發生可能是多因素作用的結果。
盡管當前 TAVR 術后最佳的抗栓方案,HALT 的臨床意義及瓣膜血栓的形成機制尚不清晰,但一旦 TAVR 術后出現無法用其他原因解釋的心力衰竭加重,超聲提示人工瓣膜的跨瓣壓差升高(平均壓差≥20 mm Hg),積極完善 CTA 檢查明確有無 HALT 或者瓣膜血栓的發生非常必要,可以指導我們進行更合理的抗栓方案。絕大多數的患者的瓣膜血栓及 HALT 是可逆的,但是瓣膜血栓及 HALT 是否會復發或者與人工瓣膜的早期衰敗是否相關還有待進一步的深入研究。因此當前情況下我們可行的方案應該是個體化抗栓策略,需要兼顧患者的基礎情況(有無其他抗凝或抗血小板治療適應證,出血風險等),瓣膜結構情況及動態隨訪情況給予合理的抗栓策略,確保 TAVR 術后的臨床獲益最大化。
我會如何治療?
方臻飛
中南大學湘雅二醫院心血管內科(長沙 410000)
通信作者:方臻飛,Email:fangzhenfei@csu.edu.cn
本例患者為 71 歲女性,主動脈瓣重度狹窄,術前 EuroSCORE Ⅱ評分 18.04%。急診行 TAVR 術后第 2 天,突發呼吸困難、端坐呼吸,陣發性憋喘。床旁超聲心動圖提示:人工主動脈瓣前向血流加速:峰值流速為 3.7 m/s,平均跨瓣壓差為 35 mm Hg,主動脈瓣人工瓣膜框架穩定,這時需考慮 TAVR 術后瓣膜功能異常。
生物瓣膜出現功能減退的原因主要有以下幾點[5-6]:首先,瓣膜結構的改變,包括鈣化、纖維化、撕裂以及脫垂等,并可能導致患者血流動力學的改變;第二,非結構上的改變,包括瓣周漏、瓣膜位置不正、瓣膜尺寸不合適等;第三,瓣膜相關的血栓形成;第四,心內膜炎累及生物瓣膜的相關結構。
患者在術后第 2 天出現瓣膜功能異常,考慮瓣膜血栓形成可能。瓣膜相關的血栓形成的原因包括[7]:① 生物瓣膜不匹配;② 球囊擴張瓣膜;③ 選用較大型號的瓣膜。另外,需要考慮患者自身因素,如患者對生物瓣膜和/或金屬支架過敏排斥作用導致血栓形成、患者自身其他相關基礎疾病[8]。故建議在條件許可時盡早完善主動脈根部 CT 檢測,以及易栓癥相關檢查,本病例為急診 TAVR 手術,術前未常規應用抗血小板藥物,術中抗凝和術后抗血小板治療有“空窗期”也可能是其急性瓣膜血栓形成的原因,提示我們要關注急診 TAVR 患者圍手術期抗凝策略。接下來該如何處理[5]:① 外科取栓術;② 內科抗凝治療。目前暫時無相關共識和指南給出相應的推薦。首先,患者目前血流動力相當不穩定,外科手術風險極高,如果采取創傷大的外科開胸手術,將嚴重增加患者的死亡風險;其次,目前已知有病例系列研究和回顧性分析均提示口服華法林安全有效[7-9]。另外,患者口服抗凝時長可根據超聲和 CT 隨訪結果綜合決策[10]。綜上,內科抗凝治療最具有可行性和合理性,本病例通過抗凝治療最終成功改善瓣膜功能和整體預后。
3 實際治療
因患者血流動力學不穩定,故未行主動脈根部 CT 掃描。術前經食道超聲心動圖提示患者為“type 0”型二葉式主動脈瓣(圖1)。于 12 月 13 日全身麻醉下進行 TAVR,術中采用經食道超聲心動圖監測。術中以 TAV8 17 mm/22 mm 球囊(杭州啟明醫療器械有限公司)行預擴張后,在主動脈瓣病變處植入 26 mm Venus A 瓣膜(杭州啟明醫療器械有限公司,圖2)。術后經食道彩色多普勒超聲提示輕度瓣周漏,有創峰值壓差 2 mm Hg。

a. 三維主動脈瓣;b~d. 主動脈瓣切面圖。Type 0 型二葉式主動脈瓣,瓣環周長:78.1 mm,主動脈竇內徑:27.4 mm×33.0 mm

a、b:外周血管通暢,選取右側髂動脈為主通道;c、d:術中冠狀動脈造影顯示左右冠狀動脈通暢;e、f:瓣膜植入前球囊預擴張;g、h:瓣膜植入并主動脈根部造影顯示瓣膜植入位置良好;i、j:瓣膜植入后球囊后擴張后的主動脈根部造影提示瓣膜植入位置良好,微量瓣周漏
術中予肝素 2 500 U(約 67.6 U/kg)抗凝,術中激活全血凝固時間測值為 258 s。術后即刻超聲心動圖示瓣膜功能良好(圖3)。術后,患者送往 CCU 觀察,因胃腸管安置困難,無法口服雙聯抗血小板藥物,故術后 6 h 予肝素鈉注射液 3 000 U 靜脈滴注抗栓。患者凝血相關指標監測結果見表1。術后第 2 天,患者突發呼吸困難、端坐呼吸,陣發性憋喘,予無創通氣、嗎啡鎮靜、呋塞米微泵泵入后。床旁超聲心動圖提示:人工主動脈瓣前向血流加速:峰值流速為 3.7 m/s,平均跨瓣壓差為 35 mm Hg,主動脈瓣人工瓣膜框架穩定,考慮瓣膜血栓形成可能(圖4)。在肝素鈉注射液基礎上加用依諾肝素鈉注射液(商品名:克賽)每 12 小時 0.4 mL 皮下注射、華法林 2.5 mg/d 口服抗凝。因術后患者血流動力學不穩定無法耐受 CT 掃描,故于術后第 12 天行心臟增強 CT,證實存在瓣葉增厚,考慮多為瓣膜血栓(圖5)。后繼續予華法林 2.5 mg/d 口服、依諾肝素鈉注射液每 12 小時 0.4 mL 皮下注射抗凝治療,過程中嚴密監測患者凝血相關指標。治療后,瓣膜血流速度與跨瓣壓差均恢復到正常水平(表2),并于 2018 年 1 月 3 日出院。


a. 主動脈瓣前向血流頻譜;b. 大動脈水平面主動脈瓣前向血流。主動脈瓣:最大峰值流速 1.69 m/s,平均跨瓣壓差 6 mm Hg,微量瓣周漏;LVEF 49%,瓣膜功能良好


a. 五腔心切面主動脈瓣前向血流;b. 主動脈瓣前向血流頻譜。人工主動脈瓣前向血流加速:峰值流速為 3.7 m/s,平均跨瓣壓差為 35 mm Hg,主動脈瓣人工瓣膜框架穩定

a. 冠狀位;b. 矢狀位。急性瓣膜血栓形成位置(藍箭)
4 討論
主動脈瓣狹窄是一種常見的、潛在致命的心臟疾患。瓣膜血栓是 TAVR 的少見并發癥,TAVR 術后即刻的血栓極為罕見,僅見有少數個案報道。既往針對外科生物瓣的研究顯示,瓣膜置換術后瓣膜血栓的發生率約為 0.03%[11]。在一些患者中,TAVR 術后薄層 CT 可見瓣葉增厚,這些瓣葉增厚的情況通常會影響瓣葉活動。盡管缺乏直接的組織學證據,通常認為這樣的瓣葉增厚為瓣膜血栓[12]。在一項針對 TAVR 后的研究中,經超聲心動圖及 CTA 證實的瓣膜血栓發生率為 1.2%(5/405),且華法林治療有效。該研究中同時發現,使用較大型號的瓣膜及術后未使用華法林抗凝為發生瓣膜血栓的危險因素[7]。目前學界提出了幾種可能增加 TAVR 術后瓣膜血栓形成風險的機制:① 生物瓣膜與主動脈壁的不完全貼合可能會延遲內皮化過程,從而增加血栓附著的風險;② 金屬制經導管心臟瓣膜框架可能會為血栓形成提供潛在附著點;③ 生物瓣膜不完全展開會形成瓣葉褶皺和潛在凹陷,從而促進了瓣膜血栓的形成;④ 老年患者本身更容易存在已形成血栓的條件(例如癌癥等)[13]。
在 TAVR 患者的管理上,術后對瓣膜功能的監測是有必要的,通常可以通過超聲心動圖監測瓣膜血流速度與跨瓣壓差。目前經導管主動脈瓣術后常用的抗栓方案包括雙聯抗血小板、華法林或新型口服抗凝藥以及抗血小板與抗凝方案的聯合,但各方案的優劣尚需進一步研究[14]。在術后出院前的抗凝方案上,BRAVO-3 探究了術后比伐蘆定與肝素抗凝的差異,二者在出血風險上并無統計學差異,術后 48 h 比伐蘆定組在心肌梗死發生率上更低,急性腎損傷發病率更高,差異具有統計學意義,但在術后 30 d 后,差異不再有統計學意義[15]。在出院后的抗栓方案上,2017 年美國心臟和心臟病協會心瓣膜病管理指南中更新了 TAVR 抗凝策略的推薦,在低出血風險的患者中,至少應當口服華法林抗凝 3 個月,國際標準化比值)達標值為 2.5(Ⅱb 類推薦,證據級別:B);口服氯吡格雷 75 mg/d、6 個月,長期口服阿司匹林 75~100 mg/d 也是必要的(Ⅱb 類推薦,證據級別:C)[16-17]。但應當注意的是,在某些患者中,口服雙聯抗血小板的出血風險高于口服華法林的風險,因此應當在患者隨訪中特別關注有無皮下瘀點瘀斑等出血癥狀[2]。當 TAVR 患者合并了目前需要使用口服抗凝藥的合并癥時,需要在術后使用口服抗凝藥。ATLAS 研究結果認為在該類合并有達到口服抗凝藥使用指征的合并癥時,華法林和直接口服抗凝藥在安全性和有效性上是相似的[18]。GALILEO 研究和 GALILEO-4D 研究探究了利伐沙班在 TAVR 術后抗栓中的應用。結果提示盡管在預防 TAVR 術后 90 d 亞臨床瓣葉運動減弱方面口服利伐沙班 10 mg、1 次/d 比雙聯抗血小板策略更有效,但基于利伐沙班的抗栓方案與更高的死亡、血栓栓塞和出血事件風險相關,因此不推薦 TAVR 術后常規口服利伐沙班預防瓣葉運動異常[19]。
該例患者因主動脈瓣狹窄入院行術前檢查,但在住院期間反復發生低血壓休克。這時,盡快地解除狹窄才能挽救患者生命。手術過程順利,術后主動脈瓣狹窄明顯解除。但術后第 2 天,患者再次突發呼吸困難,陣發性憋喘,超聲心動圖檢查發現主動脈瓣平均跨瓣壓差增高至 35 mm Hg,峰值流速增加至3.7 m/s。這一結果提示瓣膜血栓可能。因患者無法耐受 CT 檢查,故而在調整抗凝方案的基礎上,于術后第 12 天行 CTA 檢查證實了瓣膜血栓事件的發生。瓣膜血栓是一種較少見的瓣膜置換術后并發癥,常見的原因多為抗栓治療被中斷。但在本例患者中,術前給予了規范的負荷劑量雙聯抗血小板,術中使用肝素抗凝,監測激活凝血酶原時間達到了 258 s,但術后仍然發生了瓣膜血栓事件。究其原因,患者的高凝狀態是可能的危險因素,如左心室功能不全、心輸出量降低等;同時,患者電解質異常,低鈣高磷,也是促使高凝狀態出現的可能原因。在抗栓方案的選擇上,本例患者存在瓣膜血栓的征象,故及時調整口服雙聯抗血小板方案為口服抗凝藥方案。本例患者手術日期為 2017 年末,當時尚缺乏新型口服抗凝藥在 TAVR 患者用應用的證據,故選用華法林抗凝。超聲心動圖證實人工瓣膜前向血流速度、跨瓣壓差恢復正常后,考慮患者自身可能存在的高凝狀態,采用長期口服華法林進行抗栓,控制國際標準化比值在 1.5~2.5。患者的 1 年及 2 年隨訪均未再次發現異常的跨瓣壓差與人工瓣膜前向血流加速。
因此,TAVR 術后出現主動脈瓣前向血流速度、跨瓣壓差增加時,需結合手術時患者的具體情況考慮瓣膜血栓形成的可能。并及時行主動脈根部 CT 確認是否存在瓣膜血栓,及時調整抗拴方案。
利益沖突聲明:所有作者均聲明不存在利益沖突。