急危重癥主動脈瓣狹窄患者短期病死率高,給臨床救治提出了巨大的挑戰。隨著經導管主動脈瓣置換術(transcatheter aortic valve replacement,TAVR)的發展,急診 TAVR 為這些患者的救治帶來了希望。該文報告了 1 例急診 TAVR 病例。該患者為老年男性,既往接受過外科二尖瓣置換術,本次發病表現為急性心力衰竭;經充分的手術風險/獲益評估后,患者接受了急診 TAVR;術后 2 個月隨訪患者狀況良好。急診 TAVR 對于急危重癥主動脈瓣狹窄患者是一種很好的治療手段。
引用本文: 方毅, 王斌, 鄭凌飛, 李洋, 梁振洋, 徐凱, 荊全民, 韓雅玲. 急診經導管主動脈瓣置換術一例. 華西醫學, 2020, 35(4): 425-429. doi: 10.7507/1002-0179.202002396 復制
病例介紹 患者,男,78 歲,因“陣發性胸悶、氣短伴腹脹 1 個月,加重 5 d”于 2019 年 10 月 9 日 12 時 30 分入院。患者入院前 1 個月無明顯誘因出現陣發性胸悶、氣短,伴腹脹及雙下肢水腫;2019 年 10 月 4 日癥狀明顯加重,不能平臥,咳白色黏液痰,精神、食欲、睡眠差,排尿困難,就診于外院,采用利尿劑、營養心肌等藥物對癥治療后效果不佳,遂因呼吸困難來我院急診。既往史:1998 年因“二尖瓣狹窄”于外院行二尖瓣金屬瓣置換術,一直口服“華法林”至今;心房顫動(房顫)病史多年;入院前 4 年發現“慢性心力衰竭”;入院前 4 個月患“腦梗死”,無后遺癥。體格檢查:體溫 36.3℃,脈搏 120 次/min,呼吸 30 次/min,血壓 110/70 mm Hg(1 mm Hg=0.133 kPa);端坐位,口唇及顏面發紺,雙肺呼吸音弱,可聞及大量濕性啰音;心界大,心率 140 次/min,律不齊,脈搏短絀,二尖瓣聽診區可聞及金屬雜音,主動脈瓣第二聽診區即胸骨左緣第 3~4 肋間可觸及收縮期震顫并聞及粗糙的收縮期雜音,未聞及心包摩擦音;腹膨隆,雙下肢重度水腫。
入院后完善輔助檢查。心電圖示:房顫心律伴快速心室率(圖 1)。經胸超聲心動圖顯示:二尖瓣金屬瓣置換術后,左心室壁彌漫性心肌搏動減弱,主動脈瓣重度狹窄伴輕-中度關閉不全,全心大,三尖瓣中等量反流,左心室壁略增厚,輕-中度肺高壓,左心室腔內血流瘀滯,自發顯影陽性;主動脈瓣最高流速 3.48 m/s,主動脈瓣峰值壓差 48.5 mm Hg,主動脈瓣平均壓差 24.7 mm Hg,左心室舒張末期長徑 62 mm,左心室射血分數(left ventricle ejection fraction,LVEF)25%。急查化驗:腦鈉肽前體(pro-brain natriuretic peptide,proBNP)>35 000 pg/mL;肌酐 162.96 μmol/L,腎小球濾過率 31 mL/min;丙氨酸轉氨酶 209 U/L;乳酸 3.2 mmol/L;國際標準化比值(international normalized ratio,INR)3.9(入院次日為 10.79),中心靜脈壓 28 cm H2O(1 cm H2O=0.098 kPa)。胸腹 CT 示:二尖瓣置換術后改變,胸腔積液,腹腔積液,盆腔積液。主動脈 CT 血管造影(CT angiography,CTA)示:二尖瓣金屬瓣膜置換,在虛擬瓣環下 5 mm,主動脈根部和二尖瓣角度在 130° 左右;主動脈三葉瓣,見增生,鈣化輕度,左心室明顯擴大;主動脈瓣環內徑 28.4 mm,周長 89.2 mm,面積 605.7 mm2,左心室流出道擴張,內徑 29.9 mm,竇部結構較大,內徑 34.7 mm×33.6 mm×36.6 mm,竇管交界內徑 31.4 mm,升主動脈內徑 34.7 mm,冠狀動脈開口較高,左冠狀動脈開口高度 14.8 mm,右冠狀動脈開口高度 17.2 mm;主動脈全程內徑無明顯狹窄,全程見散在鈣化斑塊。外周動脈 CTA:雙下肢動脈無狹窄,雙側股動脈穿刺水平未見鈣化;右股分叉較高,基本上到股骨頭上緣,右股淺動脈較細。

入院診斷:① 主動脈瓣重度狹窄并輕-中度關閉不全;② 二尖瓣金屬瓣置換術后;③ 持續性房顫;④ 慢性心力衰竭(心衰)急性加重期(紐約心臟病協會分級 Ⅳ級);⑤ 腎功能不全;⑥ 肝功能不全;⑦ 陳舊性腦梗死。
入院后給予患者以下藥物治療:① 利尿:呋塞米注射液,100 mg,臨時靜脈推注;托伐普坦片,7.5 mg,口服,1 次/d。② 平喘:氨茶堿注射液,0.25 g,臨時靜脈輸液。③ 改善心衰急性加重癥狀:甲潑尼龍琥珀酸鈉粉針,40 mg,臨時靜脈輸液。④ 抗心衰:凍干重組人腦利鈉肽 0.5 mg,持續靜脈泵入。緊急床旁連續腎臟替代治療(continuous renal replacement therapy,CRRT),排除 CT 造影劑預防腎功能進一步加重的同時改善心衰。
術前評估:① 老年重度主動脈瓣狹窄(aortic valve stenosis,AS);② 超聲示低流速低壓差 AS,考慮與嚴重心衰有關;③ 急性心衰狀態考慮為重度 AS 所致;④ 解剖上為三葉式主動脈瓣;⑤ 同時合并二尖瓣置換術后,基本失去外科手術機會。患者符合經導管主動脈瓣置換術(transcatheter aortic valve replacement,TAVR)絕對適應證,但存在嚴重心衰及多臟器功能不全,狀態差,TAVR 手術風險仍很高,故經團隊緊急討論手術可行性及策略并與家屬反復溝通征求意見確認同意后擬行急診 TAVR。
手術策略的制定:① 圍手術期抗凝方案調整:維生素 K1 拮抗華法林,術中監測活化凝血時間,根據結果補充肝素;② 麻醉:氣管插管,全身麻醉;③ 臨時起搏器:因患者 INR 高,采用經股靜脈入路,以減少出血風險;④ 術中超聲:采用經食道心臟超聲(transesophageal echocardiography,TEE),有助于觀察主動脈瓣定位與二尖瓣機械瓣關系;⑤ 預擴張:否,因患者主動脈瓣鈣化不重,可直接置入瓣膜,縮短手術時間;⑥ 瓣膜釋放:需高位釋放,精確定位,減少影響二尖瓣的幾率;⑦ 減少圍手術期并發癥:手術時間需縮短,減少造影劑用量,操作需迅速;⑧ 風險告知與搶救準備:術中風險極高,需與家屬反復強調,并充分做好搶救準備。
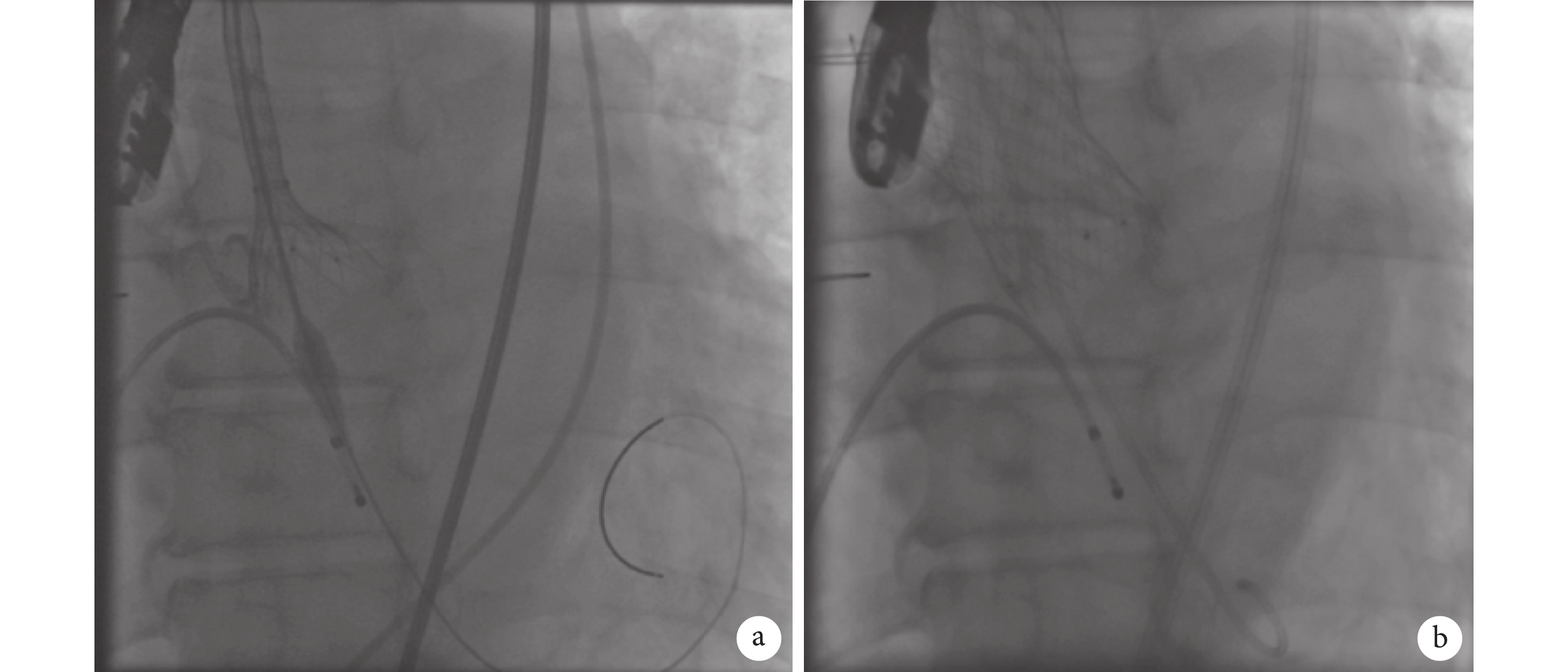
2019 年 10 月 10 日 8 時開始手術。手術過程:根據主動脈 CTA,選擇左側股動脈為主入路。給予靜脈麻醉后行氣管插管成功,同時給予超聲指導下左側股動脈神經阻滯下麻醉,建立右橈動脈有創壓力監測通道。同時建立右側頸內靜脈下行中心靜脈置管。行 TEE,測量患者術前數據,測得 LVEF 為 19.7%(圖 2)。雙側腹股溝區、下腹部前胸部常規消毒、鋪巾。于左右股骨頭骨性標志透視下沿股動脈走行穿刺后,分別先后送入 4F、6F 股動脈鞘管。經右側股動脈鞘管,經 0.035 英寸 J 型導絲(直徑 0.89 mm)送入 6F 彎頭豬尾導管至升主動脈監測中心動脈壓力并協助瓣膜定位。行右側股靜脈穿刺,置入 6F 動脈鞘放置臨時起搏器于右心室心尖部。左側股動脈 Proglide 預縫合,更換 10F 鞘管,AL2 導管指引下直頭導絲跨瓣,沿導絲送入 AL2 導管至左心室,交換為 6F 豬尾導管,主動脈和左心室測壓。經豬尾導管換 COOK TSMG 加長加硬導絲,調整導絲處于左心室滿意位置,退出豬尾導管,經導絲換為 19F 鞘。根據術前 CT 測量結果,選擇 Venus-A 29 mm 瓣膜。經鞘管送入 Venus-A 29 mm 瓣膜輸送系統至主動脈瓣環處,行主動脈根部造影,調整輸送鞘位置,使瓣膜的深度剛好在主動脈瓣瓣環水平,擬 0 位釋放,然后固定輸送鞘,起搏器未起搏,開始釋放瓣膜(圖 3a)。當確認瓣膜處于理想位置后,完全釋放瓣膜(圖 3b)。退出主動脈瓣膜輸送系統;豬尾導管行主動脈根部造影顯示:人工瓣膜位置合適、開合良好,冠狀動脈開口未受影響。瓣膜釋放后 TEE 示瓣膜位置良好,輕度瓣周漏,中心微量反流,無心包積液,前后即刻 TEE 顯示跨瓣壓差較術前明顯改善(圖 4)。血流動力學監測顯示術后跨瓣壓差接近 0 mm Hg(圖 5)。術中患者透視下心臟收縮乏力,血壓低,給予較大量升壓藥物維持,血流動力學相對穩定,瓣膜釋放后血壓 120/80 mm Hg,心率 95 次/min 左右,為房顫心律,未見房室傳導阻滯。造影提示雙側股動脈未見滲血及夾層,退出鞘管、導絲。左右側股動脈均予 Proglide 縫合器縫合。包扎雙側術區。術中共用造影劑 120 mL。手術結束。患者脫機后呼吸偏弱,血氧飽和度略低,帶氣管插管,抱球呼吸下送回心臟監護病房。


a. TAVR 術中未起搏釋放瓣膜;b. TAVR 術中瓣膜完全釋放

a. 瓣膜置換前;b. 瓣膜置換后

a. 術前;b. 術后。紅色為左心室內壓,綠色為升主動脈壓
患者于術后 4 h 呼吸機脫機,當日行 CRRT 治療 1 次(5 h)。術后患者氣短明顯緩解,可平臥,尿量可(每日 1 600~2 000 mL),心率 80~100 次/min,房顫心律,血壓 110/75 mm Hg,血氧飽和度在吸氧狀態下為 95% 左右。體格檢查:主動脈雜音消失,肺部無明顯啰音,雙下肢浮腫消退,術區未見出血及血腫。術后監測 proBNP,3 d 后降為 5 000 pg/mL 左右,肝腎功能均在 3~5 d 恢復正常,INR 逐漸穩定至 2.0~2.4,血小板曾有輕度下降,1 周后恢復正常。術后第 8 天復查超聲心動圖示:主動脈瓣最高流速 1.5 m/s,主動脈瓣峰值壓差 9 mm Hg,主動脈瓣平均壓差 5 mm Hg,左心室舒張末期長徑 63 mm,LVEF 26%,二尖瓣金屬瓣置換術后,TAVR 術后,未見明顯瓣周漏及反流,全心大,心功能減低,三尖瓣輕度反流,輕-中度肺高壓。患者于術后 9 d 康復出院,圍手術期未發生心腦血管不良事件。
出院藥物方案:① 抗凝:華法林鈉片 3.75 mg/次,口服,1 次/d。② 改善心功能:沙庫巴曲纈沙坦鈉片 100 mg/次,口服,2 次/d;美托洛爾片 37.5 mg/次,口服,2 次/d;呋塞米片 20 mg/次,口服,3 次/d;螺內酯片 20 mg/次,口服,1 次/d。
術后 2 個月隨訪,患者病情穩定,無明顯氣短等不適;每日可步行 3~5 km,心率 60~80 次/min(房顫心律),血壓 100/60 mm Hg 左右;proBNP 3 700 pg/mL,肝腎功能、血常規均正常;心臟超聲示:主動脈瓣最高流速 1.5 m/s,主動脈瓣峰值壓差 9 mm Hg,主動脈瓣平均壓差 5 mm Hg,左心室舒張末期長徑 59 mm,LVEF 34%。
討論 重度 AS 病情進展快,若不及時手術治療,中位生存期僅為 2~3 年[1]。對于一些高齡、全身狀態差、心功能低下及并發多種病癥的 AS 患者,外科圍手術期的死亡及致殘風險等仍較大;而且因瓣膜病進展較快,部分患者在等待手術時機時已死亡。TAVR 是近 20 年來研發成熟的一種全新微創技術,此項技術為外科高危患者提供了一種較為安全的治療選擇。目前,全世界已有 50 多個國家超過 3 000 家中心實行 TAVR,手術患者總數量超 20 萬例[2]。隨著 TAVR 手術技術的成熟完善并不斷革新、多種瓣膜支架的更新換代,以及越來越多令人振奮的研究結果的支持,目前歐美指南已將 TAVR 推薦為有外科手術禁忌、高危及中危 AS 患者的一線治療手段[3]。甚至最新的研究證實低危重度 AS 患者 TAVR 術后 1 年主要終點指標明顯優于外科手術,術后 2 年復合終點指標仍不劣于外科手術[4-5]。
本例患者的特點為:① 患者既往有二尖瓣置換史,解剖的復雜性提高了手術難度;② 患者心功能及多臟器功能不全,病情危重,在患者手術時機的選擇和醫生及家屬的準備時間方面都有很高的要求;③ 術前患者長期服用華法林抗凝,INR 異常增高,給圍手術期抗凝帶來新的思考。以上情況最終均得到了很好的處理和滿意的效果,值得借鑒。
美國及歐洲指南均推薦 TAVR 術后聯合使用阿司匹林及氯吡格雷/噻氯吡啶,即雙聯抗血小板治療方案[6-7],但目前仍然無足夠充分的循證證據指出最佳的雙聯抗血小板藥物的用藥時間。此患者既往曾行二尖瓣機械瓣置換,長期口服華法林,入院 INR 異常升高,為減少術中出血風險,經維生素 K1 拮抗,術中監測活化凝血時間,術后繼續服用華法林,監測 INR 在 2.0~2.5,目前無血栓及出血發生。因病史的特殊性,此類患者僅能服用華法林,與大部分的 TAVR 術后方案不同。故考慮此類患者及合并房顫且高栓塞風險的患者需應用華法林替代雙聯抗血小板方案,但遠期效果仍需進一步觀察。
相比于平診,急診 TAVR 會面臨很多問題,給診療單位提出了更高的要求,需在有經驗的中心進行。作為影像學手段,CT 檢查在 TAVR 的術前評估、術中指導以及術后隨訪中處于核心地位,且為術前人工瓣膜及入路選擇的“金標準”[8]。本例患者術前狀態較差,行 CT 檢查時的轉運及造影劑對其病情及已有的腎功能不全均可能造成不良影響,但治療團隊仍設法完善了患者的 CT 檢查及術前評估,并隨即進行了 CRRT。有些中心急診 TAVR 雖已在 TEE 指導下完成,但如能行 CT 評估,對術中把控性及并發癥的預料可能更充分,建議在經驗不十分充足的中心盡量進行術前 CT 評估。專家共識建議 TAVR 術中自膨脹瓣膜釋放時根據情況可選擇是否快速起搏[9]。此例患者術中透視發現心臟搏動弱,考慮瓣膜釋放時移位可能性較小,決定植入瓣膜時不行快速起搏,釋放過程瓣膜位置及生命體征穩定,而快速起搏可能增加術中潛在風險,可見起搏并非必須,但需謹慎選擇。術后患者短期 LVEF 提高不顯著,但臨床表現及相關化驗迅速改善,故考慮心臟結構改變晚于臨床,需長期觀察。患者全身麻醉后血壓較低,需大量升壓藥維持,同時術后即刻短時間脫機困難,考慮與患者高齡、心衰重、身體虛弱、不能很好配合用力呼吸有關,既往肺部基礎情況及肺功能急診手術前無法準確評估,這些給麻醉及手術造成一些無法預料的風險。急診患者因一般狀態較差,術中需注意循環崩潰的發生,體外膜肺氧合需置于可隨時啟用狀態,必要時預留動靜脈通路。
最新的回顧性分析結果顯示,急診 TAVR 組較擇期 TAVR 組術中和院內死亡率高,但兩組的院內死亡率均低于登記模型預測值;在 30 d 和 1 年死亡率方面,急診 TAVR 組高于擇期 TAVR 組;與擇期 TAVR 組相比,急診 TAVR 組使用瓣中瓣 TAVR 較多,被迫轉為急診開胸術的比例增大[10]。但本例患者 24 h 內完成從入院至手術,術后病情恢復立竿見影,療效確切,故抓住時機、對危重患者開展急診 TAVR 可能挽救患者的生命。雖然既往觀察急診 TAVR 的死亡率比擇期 TAVR 更高,并發癥發生率高,但其臨床結局仍可接受,或可作為部分急危重癥 AS 患者的合理選擇[10]。
急診 TAVR 的開展從一定程度上反映了 AS 發病有時可在慢性代償期短時間內進展為失代償期,患者病情可急轉直下,有時藥物治療并不能有效控制,故在準備充分和溝通到位的前提下“急診手術”不失為一種挽救生命的有效辦法,但短時間內臨床及影像評估對患者開展急診 TAVR 尤為重要,果斷的判斷力和溝通能力,以及熟練的操作及充足經驗給急診 TAVR 提供了保障。所以,急診 TAVR 在未來一段時間可能為急危重癥 AS 患者很好的治療手段,會挽救更多患者的生命。但在中國 TAVR 手術開展尚不普遍的情況下,需積極總結經驗,不斷提高救治水平。
病例介紹 患者,男,78 歲,因“陣發性胸悶、氣短伴腹脹 1 個月,加重 5 d”于 2019 年 10 月 9 日 12 時 30 分入院。患者入院前 1 個月無明顯誘因出現陣發性胸悶、氣短,伴腹脹及雙下肢水腫;2019 年 10 月 4 日癥狀明顯加重,不能平臥,咳白色黏液痰,精神、食欲、睡眠差,排尿困難,就診于外院,采用利尿劑、營養心肌等藥物對癥治療后效果不佳,遂因呼吸困難來我院急診。既往史:1998 年因“二尖瓣狹窄”于外院行二尖瓣金屬瓣置換術,一直口服“華法林”至今;心房顫動(房顫)病史多年;入院前 4 年發現“慢性心力衰竭”;入院前 4 個月患“腦梗死”,無后遺癥。體格檢查:體溫 36.3℃,脈搏 120 次/min,呼吸 30 次/min,血壓 110/70 mm Hg(1 mm Hg=0.133 kPa);端坐位,口唇及顏面發紺,雙肺呼吸音弱,可聞及大量濕性啰音;心界大,心率 140 次/min,律不齊,脈搏短絀,二尖瓣聽診區可聞及金屬雜音,主動脈瓣第二聽診區即胸骨左緣第 3~4 肋間可觸及收縮期震顫并聞及粗糙的收縮期雜音,未聞及心包摩擦音;腹膨隆,雙下肢重度水腫。
入院后完善輔助檢查。心電圖示:房顫心律伴快速心室率(圖 1)。經胸超聲心動圖顯示:二尖瓣金屬瓣置換術后,左心室壁彌漫性心肌搏動減弱,主動脈瓣重度狹窄伴輕-中度關閉不全,全心大,三尖瓣中等量反流,左心室壁略增厚,輕-中度肺高壓,左心室腔內血流瘀滯,自發顯影陽性;主動脈瓣最高流速 3.48 m/s,主動脈瓣峰值壓差 48.5 mm Hg,主動脈瓣平均壓差 24.7 mm Hg,左心室舒張末期長徑 62 mm,左心室射血分數(left ventricle ejection fraction,LVEF)25%。急查化驗:腦鈉肽前體(pro-brain natriuretic peptide,proBNP)>35 000 pg/mL;肌酐 162.96 μmol/L,腎小球濾過率 31 mL/min;丙氨酸轉氨酶 209 U/L;乳酸 3.2 mmol/L;國際標準化比值(international normalized ratio,INR)3.9(入院次日為 10.79),中心靜脈壓 28 cm H2O(1 cm H2O=0.098 kPa)。胸腹 CT 示:二尖瓣置換術后改變,胸腔積液,腹腔積液,盆腔積液。主動脈 CT 血管造影(CT angiography,CTA)示:二尖瓣金屬瓣膜置換,在虛擬瓣環下 5 mm,主動脈根部和二尖瓣角度在 130° 左右;主動脈三葉瓣,見增生,鈣化輕度,左心室明顯擴大;主動脈瓣環內徑 28.4 mm,周長 89.2 mm,面積 605.7 mm2,左心室流出道擴張,內徑 29.9 mm,竇部結構較大,內徑 34.7 mm×33.6 mm×36.6 mm,竇管交界內徑 31.4 mm,升主動脈內徑 34.7 mm,冠狀動脈開口較高,左冠狀動脈開口高度 14.8 mm,右冠狀動脈開口高度 17.2 mm;主動脈全程內徑無明顯狹窄,全程見散在鈣化斑塊。外周動脈 CTA:雙下肢動脈無狹窄,雙側股動脈穿刺水平未見鈣化;右股分叉較高,基本上到股骨頭上緣,右股淺動脈較細。

入院診斷:① 主動脈瓣重度狹窄并輕-中度關閉不全;② 二尖瓣金屬瓣置換術后;③ 持續性房顫;④ 慢性心力衰竭(心衰)急性加重期(紐約心臟病協會分級 Ⅳ級);⑤ 腎功能不全;⑥ 肝功能不全;⑦ 陳舊性腦梗死。
入院后給予患者以下藥物治療:① 利尿:呋塞米注射液,100 mg,臨時靜脈推注;托伐普坦片,7.5 mg,口服,1 次/d。② 平喘:氨茶堿注射液,0.25 g,臨時靜脈輸液。③ 改善心衰急性加重癥狀:甲潑尼龍琥珀酸鈉粉針,40 mg,臨時靜脈輸液。④ 抗心衰:凍干重組人腦利鈉肽 0.5 mg,持續靜脈泵入。緊急床旁連續腎臟替代治療(continuous renal replacement therapy,CRRT),排除 CT 造影劑預防腎功能進一步加重的同時改善心衰。
術前評估:① 老年重度主動脈瓣狹窄(aortic valve stenosis,AS);② 超聲示低流速低壓差 AS,考慮與嚴重心衰有關;③ 急性心衰狀態考慮為重度 AS 所致;④ 解剖上為三葉式主動脈瓣;⑤ 同時合并二尖瓣置換術后,基本失去外科手術機會。患者符合經導管主動脈瓣置換術(transcatheter aortic valve replacement,TAVR)絕對適應證,但存在嚴重心衰及多臟器功能不全,狀態差,TAVR 手術風險仍很高,故經團隊緊急討論手術可行性及策略并與家屬反復溝通征求意見確認同意后擬行急診 TAVR。
手術策略的制定:① 圍手術期抗凝方案調整:維生素 K1 拮抗華法林,術中監測活化凝血時間,根據結果補充肝素;② 麻醉:氣管插管,全身麻醉;③ 臨時起搏器:因患者 INR 高,采用經股靜脈入路,以減少出血風險;④ 術中超聲:采用經食道心臟超聲(transesophageal echocardiography,TEE),有助于觀察主動脈瓣定位與二尖瓣機械瓣關系;⑤ 預擴張:否,因患者主動脈瓣鈣化不重,可直接置入瓣膜,縮短手術時間;⑥ 瓣膜釋放:需高位釋放,精確定位,減少影響二尖瓣的幾率;⑦ 減少圍手術期并發癥:手術時間需縮短,減少造影劑用量,操作需迅速;⑧ 風險告知與搶救準備:術中風險極高,需與家屬反復強調,并充分做好搶救準備。
2019 年 10 月 10 日 8 時開始手術。手術過程:根據主動脈 CTA,選擇左側股動脈為主入路。給予靜脈麻醉后行氣管插管成功,同時給予超聲指導下左側股動脈神經阻滯下麻醉,建立右橈動脈有創壓力監測通道。同時建立右側頸內靜脈下行中心靜脈置管。行 TEE,測量患者術前數據,測得 LVEF 為 19.7%(圖 2)。雙側腹股溝區、下腹部前胸部常規消毒、鋪巾。于左右股骨頭骨性標志透視下沿股動脈走行穿刺后,分別先后送入 4F、6F 股動脈鞘管。經右側股動脈鞘管,經 0.035 英寸 J 型導絲(直徑 0.89 mm)送入 6F 彎頭豬尾導管至升主動脈監測中心動脈壓力并協助瓣膜定位。行右側股靜脈穿刺,置入 6F 動脈鞘放置臨時起搏器于右心室心尖部。左側股動脈 Proglide 預縫合,更換 10F 鞘管,AL2 導管指引下直頭導絲跨瓣,沿導絲送入 AL2 導管至左心室,交換為 6F 豬尾導管,主動脈和左心室測壓。經豬尾導管換 COOK TSMG 加長加硬導絲,調整導絲處于左心室滿意位置,退出豬尾導管,經導絲換為 19F 鞘。根據術前 CT 測量結果,選擇 Venus-A 29 mm 瓣膜。經鞘管送入 Venus-A 29 mm 瓣膜輸送系統至主動脈瓣環處,行主動脈根部造影,調整輸送鞘位置,使瓣膜的深度剛好在主動脈瓣瓣環水平,擬 0 位釋放,然后固定輸送鞘,起搏器未起搏,開始釋放瓣膜(圖 3a)。當確認瓣膜處于理想位置后,完全釋放瓣膜(圖 3b)。退出主動脈瓣膜輸送系統;豬尾導管行主動脈根部造影顯示:人工瓣膜位置合適、開合良好,冠狀動脈開口未受影響。瓣膜釋放后 TEE 示瓣膜位置良好,輕度瓣周漏,中心微量反流,無心包積液,前后即刻 TEE 顯示跨瓣壓差較術前明顯改善(圖 4)。血流動力學監測顯示術后跨瓣壓差接近 0 mm Hg(圖 5)。術中患者透視下心臟收縮乏力,血壓低,給予較大量升壓藥物維持,血流動力學相對穩定,瓣膜釋放后血壓 120/80 mm Hg,心率 95 次/min 左右,為房顫心律,未見房室傳導阻滯。造影提示雙側股動脈未見滲血及夾層,退出鞘管、導絲。左右側股動脈均予 Proglide 縫合器縫合。包扎雙側術區。術中共用造影劑 120 mL。手術結束。患者脫機后呼吸偏弱,血氧飽和度略低,帶氣管插管,抱球呼吸下送回心臟監護病房。


a. TAVR 術中未起搏釋放瓣膜;b. TAVR 術中瓣膜完全釋放

a. 瓣膜置換前;b. 瓣膜置換后

a. 術前;b. 術后。紅色為左心室內壓,綠色為升主動脈壓
患者于術后 4 h 呼吸機脫機,當日行 CRRT 治療 1 次(5 h)。術后患者氣短明顯緩解,可平臥,尿量可(每日 1 600~2 000 mL),心率 80~100 次/min,房顫心律,血壓 110/75 mm Hg,血氧飽和度在吸氧狀態下為 95% 左右。體格檢查:主動脈雜音消失,肺部無明顯啰音,雙下肢浮腫消退,術區未見出血及血腫。術后監測 proBNP,3 d 后降為 5 000 pg/mL 左右,肝腎功能均在 3~5 d 恢復正常,INR 逐漸穩定至 2.0~2.4,血小板曾有輕度下降,1 周后恢復正常。術后第 8 天復查超聲心動圖示:主動脈瓣最高流速 1.5 m/s,主動脈瓣峰值壓差 9 mm Hg,主動脈瓣平均壓差 5 mm Hg,左心室舒張末期長徑 63 mm,LVEF 26%,二尖瓣金屬瓣置換術后,TAVR 術后,未見明顯瓣周漏及反流,全心大,心功能減低,三尖瓣輕度反流,輕-中度肺高壓。患者于術后 9 d 康復出院,圍手術期未發生心腦血管不良事件。
出院藥物方案:① 抗凝:華法林鈉片 3.75 mg/次,口服,1 次/d。② 改善心功能:沙庫巴曲纈沙坦鈉片 100 mg/次,口服,2 次/d;美托洛爾片 37.5 mg/次,口服,2 次/d;呋塞米片 20 mg/次,口服,3 次/d;螺內酯片 20 mg/次,口服,1 次/d。
術后 2 個月隨訪,患者病情穩定,無明顯氣短等不適;每日可步行 3~5 km,心率 60~80 次/min(房顫心律),血壓 100/60 mm Hg 左右;proBNP 3 700 pg/mL,肝腎功能、血常規均正常;心臟超聲示:主動脈瓣最高流速 1.5 m/s,主動脈瓣峰值壓差 9 mm Hg,主動脈瓣平均壓差 5 mm Hg,左心室舒張末期長徑 59 mm,LVEF 34%。
討論 重度 AS 病情進展快,若不及時手術治療,中位生存期僅為 2~3 年[1]。對于一些高齡、全身狀態差、心功能低下及并發多種病癥的 AS 患者,外科圍手術期的死亡及致殘風險等仍較大;而且因瓣膜病進展較快,部分患者在等待手術時機時已死亡。TAVR 是近 20 年來研發成熟的一種全新微創技術,此項技術為外科高危患者提供了一種較為安全的治療選擇。目前,全世界已有 50 多個國家超過 3 000 家中心實行 TAVR,手術患者總數量超 20 萬例[2]。隨著 TAVR 手術技術的成熟完善并不斷革新、多種瓣膜支架的更新換代,以及越來越多令人振奮的研究結果的支持,目前歐美指南已將 TAVR 推薦為有外科手術禁忌、高危及中危 AS 患者的一線治療手段[3]。甚至最新的研究證實低危重度 AS 患者 TAVR 術后 1 年主要終點指標明顯優于外科手術,術后 2 年復合終點指標仍不劣于外科手術[4-5]。
本例患者的特點為:① 患者既往有二尖瓣置換史,解剖的復雜性提高了手術難度;② 患者心功能及多臟器功能不全,病情危重,在患者手術時機的選擇和醫生及家屬的準備時間方面都有很高的要求;③ 術前患者長期服用華法林抗凝,INR 異常增高,給圍手術期抗凝帶來新的思考。以上情況最終均得到了很好的處理和滿意的效果,值得借鑒。
美國及歐洲指南均推薦 TAVR 術后聯合使用阿司匹林及氯吡格雷/噻氯吡啶,即雙聯抗血小板治療方案[6-7],但目前仍然無足夠充分的循證證據指出最佳的雙聯抗血小板藥物的用藥時間。此患者既往曾行二尖瓣機械瓣置換,長期口服華法林,入院 INR 異常升高,為減少術中出血風險,經維生素 K1 拮抗,術中監測活化凝血時間,術后繼續服用華法林,監測 INR 在 2.0~2.5,目前無血栓及出血發生。因病史的特殊性,此類患者僅能服用華法林,與大部分的 TAVR 術后方案不同。故考慮此類患者及合并房顫且高栓塞風險的患者需應用華法林替代雙聯抗血小板方案,但遠期效果仍需進一步觀察。
相比于平診,急診 TAVR 會面臨很多問題,給診療單位提出了更高的要求,需在有經驗的中心進行。作為影像學手段,CT 檢查在 TAVR 的術前評估、術中指導以及術后隨訪中處于核心地位,且為術前人工瓣膜及入路選擇的“金標準”[8]。本例患者術前狀態較差,行 CT 檢查時的轉運及造影劑對其病情及已有的腎功能不全均可能造成不良影響,但治療團隊仍設法完善了患者的 CT 檢查及術前評估,并隨即進行了 CRRT。有些中心急診 TAVR 雖已在 TEE 指導下完成,但如能行 CT 評估,對術中把控性及并發癥的預料可能更充分,建議在經驗不十分充足的中心盡量進行術前 CT 評估。專家共識建議 TAVR 術中自膨脹瓣膜釋放時根據情況可選擇是否快速起搏[9]。此例患者術中透視發現心臟搏動弱,考慮瓣膜釋放時移位可能性較小,決定植入瓣膜時不行快速起搏,釋放過程瓣膜位置及生命體征穩定,而快速起搏可能增加術中潛在風險,可見起搏并非必須,但需謹慎選擇。術后患者短期 LVEF 提高不顯著,但臨床表現及相關化驗迅速改善,故考慮心臟結構改變晚于臨床,需長期觀察。患者全身麻醉后血壓較低,需大量升壓藥維持,同時術后即刻短時間脫機困難,考慮與患者高齡、心衰重、身體虛弱、不能很好配合用力呼吸有關,既往肺部基礎情況及肺功能急診手術前無法準確評估,這些給麻醉及手術造成一些無法預料的風險。急診患者因一般狀態較差,術中需注意循環崩潰的發生,體外膜肺氧合需置于可隨時啟用狀態,必要時預留動靜脈通路。
最新的回顧性分析結果顯示,急診 TAVR 組較擇期 TAVR 組術中和院內死亡率高,但兩組的院內死亡率均低于登記模型預測值;在 30 d 和 1 年死亡率方面,急診 TAVR 組高于擇期 TAVR 組;與擇期 TAVR 組相比,急診 TAVR 組使用瓣中瓣 TAVR 較多,被迫轉為急診開胸術的比例增大[10]。但本例患者 24 h 內完成從入院至手術,術后病情恢復立竿見影,療效確切,故抓住時機、對危重患者開展急診 TAVR 可能挽救患者的生命。雖然既往觀察急診 TAVR 的死亡率比擇期 TAVR 更高,并發癥發生率高,但其臨床結局仍可接受,或可作為部分急危重癥 AS 患者的合理選擇[10]。
急診 TAVR 的開展從一定程度上反映了 AS 發病有時可在慢性代償期短時間內進展為失代償期,患者病情可急轉直下,有時藥物治療并不能有效控制,故在準備充分和溝通到位的前提下“急診手術”不失為一種挽救生命的有效辦法,但短時間內臨床及影像評估對患者開展急診 TAVR 尤為重要,果斷的判斷力和溝通能力,以及熟練的操作及充足經驗給急診 TAVR 提供了保障。所以,急診 TAVR 在未來一段時間可能為急危重癥 AS 患者很好的治療手段,會挽救更多患者的生命。但在中國 TAVR 手術開展尚不普遍的情況下,需積極總結經驗,不斷提高救治水平。