引用本文: 季婷, 楊苗, 張露, 成小亮, 楊小東. 粒細胞-巨噬細胞集落刺激因子吸入治療肺泡蛋白沉積癥兩例. 華西醫學, 2020, 35(1): 110-113. doi: 10.7507/1002-0179.201908031 復制
病例介紹 患者 1,男,53 歲,因“活動后氣促 2 年,加重 1 周”于 2018 年 7 月 6 日入四川大學華西醫院。患者 2 年前無明顯誘因出現活動后氣促,自覺活動耐力較前下降,于門診查胸部 CT 示雙肺見彌漫斑片影、網格狀影及磨玻璃影;就診于風濕免疫科行免疫全套檢查示:免疫球蛋白 G 18.6g/L,免疫球蛋白 E 249.13 U/mL,類風濕因子 828 U/mL,抗核抗體陽性 1∶100 胞漿型,抗中性粒細胞胞漿抗體、抗心磷脂抗體陰性。風濕免疫科考慮自身免疫性間質性肺炎,予以抗感染及激素治療,出院后口服醋酸潑尼松 30 mg/d,患者上述癥狀略緩解,1 個月后自行停藥。患者于入院前 1 周勞累后出現呼吸困難、胸悶、咳嗽、咳白色泡沫痰,伴發熱,最高體溫 39.3 ℃,外院對癥治療后體溫降至正常,但仍有呼吸困難。患者糖尿病病史 1 年,家族史無特殊,無吸煙史。
體格檢查:體溫 36 ℃,脈搏 96 次/min,呼吸頻率 23 次/min,血壓 109/67 mm Hg(1 mm Hg=0.133 kPa)。神志清楚,慢性病容,雙肺可聞及少量干鳴音,雙下肺散在濕啰音。其余部位無陽性發現。
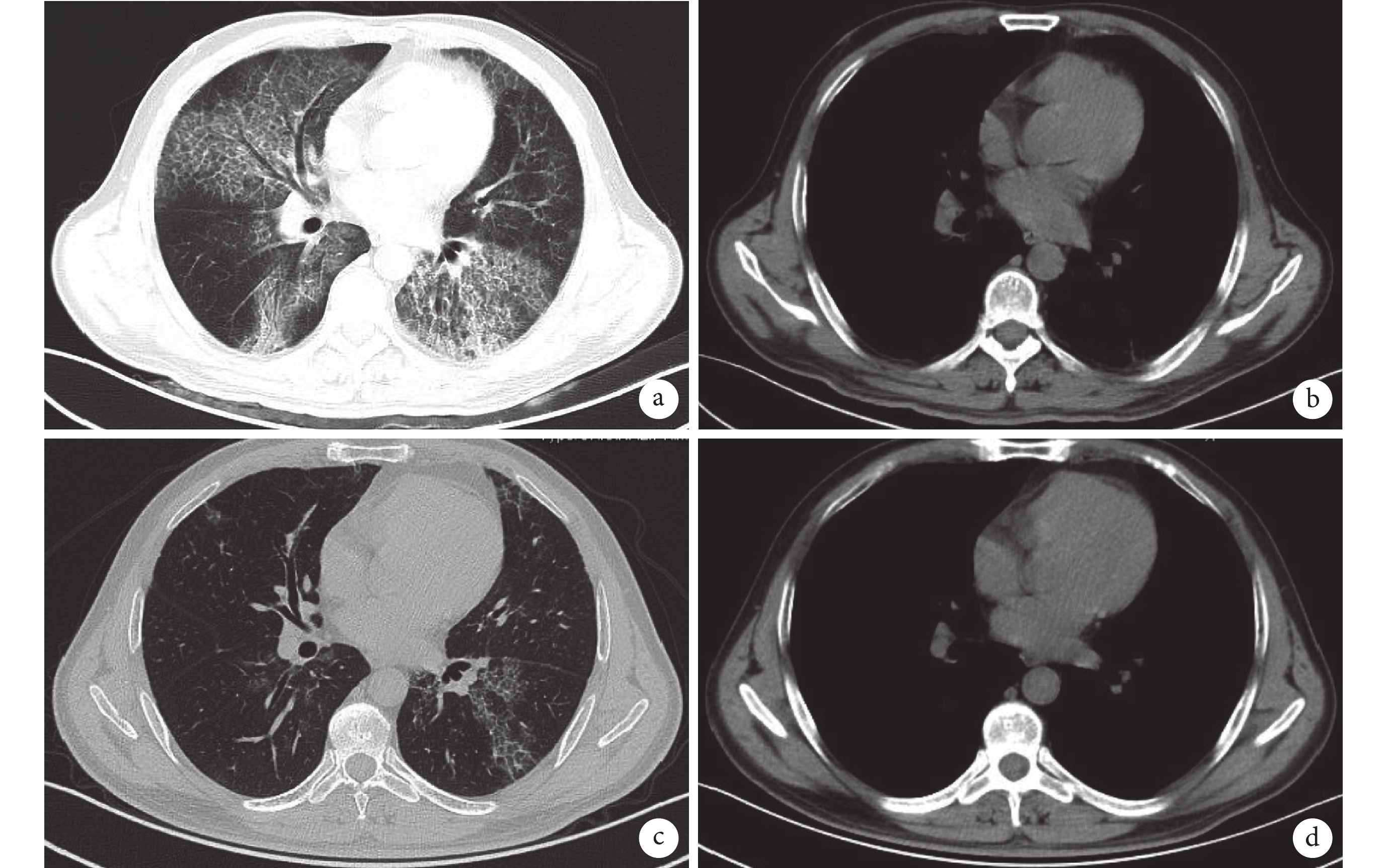
實驗室檢查:2018 年 7 月 6 日血氣分析示 pH 值 7.44,氧分壓 66.8 mm Hg,二氧化碳分壓 31.3 mm Hg;血常規、血生化未見明顯異常;紅細胞沉降率 51 mm/h;降鈣素原 0.22 ng/mL,C 反應蛋白 7.45 mg/L;抗核抗體可疑陽性;免疫球蛋白 E 175 U/mL,類風濕因子 104.0 U/mL;癌胚抗原 9.24 ng/mL,血清癌抗原 15-3 48.92 U/mL,血清癌抗原 19-9 33.30 U/mL,非小細胞肺癌抗原 6.86 ng/mL,烯醇化酶 16.68 ng/mL;輸血前全套、結核 DNA、真菌 G 試驗、曲霉菌免疫學試驗、T 細胞亞群絕對值未見明顯異常。2018 年 7 月 10 日胸部 CT:雙肺透光度降低,雙肺見彌漫斑片影,網格狀影及磨玻璃影,考慮間質性炎癥并間質纖維化(圖1a、1b)。肺泡灌洗液未查見惡性細胞,特殊染色黏卡紅染色(+),抗淀粉酶過碘酸雪夫染色(-)。肺功能示:中度受損。

a. 2018 年 7 月 10 日胸部 CT(肺窗):雙肺彌漫斑片影、網格狀影及磨玻璃影;b. 2018 年 7 月 10 日胸部 CT(縱隔窗):雙肺下葉胸膜增厚,散在結節影;c. 2019 年 1 月 7 日胸部 CT(肺窗):治療 6 個月后雙肺多處病灶明顯吸收;d. 2019 年 1 月 7 日胸部 CT(縱隔窗):治療 6 個月后未見明顯異常
診斷及治療:患者影像學表現符合肺泡蛋白沉積癥(pulmonary alveolar proteinosis,PAP)特點,但肺泡灌洗液抗淀粉酶過碘酸雪夫染色陰性,患者拒絕行肺活檢與全肺灌洗,考慮患者無明顯家族史及繼發疾病,臨床診斷為自身免疫性肺泡蛋白沉積癥(autoimmune pulmonary alveolar proteinosis,APAP),予以粒細胞-巨噬細胞集落刺激因子(granulocyte-macrophage colony stimulating factor,GM-CSF)吸入(150 μg/次,2 次/d,每隔 8 d 用藥 8 d,用藥 3 個月)。3 個月后患者門診隨訪,咳嗽較前好轉,肺功能較前恢復,且無明顯不良反應,第 2 療程調整為 GM-CSF 吸入(225 μg/次,2 次/d,每隔 8 d 用藥 8 d,用藥 3 個月),6 個月后隨訪評估患者癥狀明顯改善,肺功能恢復正常。2019 年 1 月 7 日復查胸部 CT 顯示雙肺多處病灶明顯吸收(圖1c、1d),維持用藥調整為(225 μg/次,2 次/d,每隔 2 周用藥 1 d,用藥 3 個月)。9 個月后隨訪患者咳嗽、咳痰癥狀明顯緩解,經霧化吸入 GM-CSF 后癥狀及影像學表現均好轉,考慮臨床診斷 APAP 成立,繼續 GM-CSF 吸入治療,目前隨訪中。
患者 2,男,41 歲,因“活動后呼吸困難 4+個月,加重1 個月”于 2018 年 7 月 11 日入四川大學華西醫院。患者 4+個月前出現活動后呼吸困難,伴有胸悶乏力,1 個月前上述癥狀加重,出現咳嗽,咳白色泡沫痰,就診于當地醫院,予以抗感染治療后上述癥狀未見明顯緩解,遂就診于四川大學華西醫院。患者 2 型糖尿病病史 2 年。家族史無特殊,無吸煙史。
體格檢查:體溫 36.6 ℃,脈搏 86 次/min,呼吸 20 次/min,血壓 101/74 mm Hg,神志清楚,慢性病容,雙肺呼吸音粗,未聞及干濕性啰音。其余部位無陽性發現。
實驗室檢查:2018 年 7 月 11 日血氣分析示 pH 值 7.39,氧分壓 57.6 mm Hg,二氧化碳分壓 36.1 mm Hg;血常規未見明顯異常,血生化:尿酸 494 μmol/L,甘油三酯 8.44 mmol/L,高密度脂蛋白 0.53 mmol/L,糖化血紅蛋白 10.2%;凝血、免疫全套、抗中性粒細胞胞漿抗體、真菌 G 試驗、曲霉菌免疫學試驗、結核感染 T 細胞 γ 干擾素釋放試驗、肺孢子菌核酸定性、巨細胞病毒 DNA、腫瘤標志物未見明顯異常。2018 年 7 月 11 日胸部增強 CT:雙肺彌漫性磨玻璃、斑片及網格影(圖2a、2b)。肺泡灌洗液病理報告提示查見一些黏液樣物質及少量肺泡巨噬細胞,黏卡紅染色(+),抗淀粉酶過碘酸雪夫染色(+)。

a. 2018 年 7 月 11 日胸部 CT(肺窗):雙肺彌漫斑片影,網格狀影及磨玻璃影;b. 2018 年 7 月 11 日胸部 CT(縱隔窗):雙肺散在結節影;c. 2019 年 2 月 12 日胸部 CT(肺窗):治療 6 個月后雙肺病灶較前減少;d. 2019 年 2 月 12 日胸部 CT(縱隔窗):治療 6 個月后雙肺結節影較前減少
診斷及治療:患者影像學表現典型,且肺泡灌洗液抗淀粉酶過碘酸雪夫染色及黏卡紅染色均陽性,患者拒絕行肺活檢,患者無明顯家族史及繼發疾病,從目前資料可考慮臨床診斷為 APAP,予 GM-CSF 吸入(225 μg/次,2 次/d,每隔 2 周用藥 1 d,用藥 3 個月),患者咳嗽、咳痰癥狀明顯緩解,肺功能恢復正常,復查胸部 CT 示較前有所吸收,但磨玻璃影仍較多,調整 GM-CSF 吸入劑量為(225 μg/次,2 次/d,每隔 8 d 用藥 8 d,用藥 3 個月),2019 年 2 月 12 日復查胸部 CT 較前有所吸收,但仍存在散在磨玻璃影(圖2c、2d),繼續 GM-CSF 吸入治療,目前隨訪中。
討論 PAP 是一種罕見的呼吸系統綜合征,由于肺泡表面活性物質的產生或清除異常,導致進行性呼吸困難、低氧性呼吸衰竭、繼發感染與肺纖維化等臨床癥狀[1-3]。PAP 于 1958 年被 Rosen 及其同事首次報道,美國與日本的發病率約 7/百萬[4],中國目前沒有相關流行病學資料。PAP 主要分為 3 類:抗 GM-CSF 抗體陽性的 APAP、遺傳性 PAP 和繼發性 PAP[5]。PAP 的發病機制不明,可能包括:① 抗 GM-CSF 抗體阻斷了 GM-CSF 的信號傳導(APAP,約占 PAP 的 85%);② 由基因突變導致表面活性物質產生異常或 GM-CSF 受體功能異常(約占 10%);③ 其他疾病導致的肺泡巨噬細胞的數量或功能異常(繼發性 PAP,約占 5%)[4-5]。繼發性 PAP 的繼發因素包括:免疫系統疾病,如單克隆免疫球蛋白病、重度聯合免疫缺陷癥等;血液系統疾病,如淋巴瘤、再生障礙性貧血及骨髓增生異常綜合征等;感染性疾病,如巨細胞病毒、結核分枝桿菌及肺孢子菌肺炎等;使用某些藥物或硅暴露[6]。
PAP 的臨床表現無特異性,APAP 患者多在成年時發病,起病隱匿,表現為進行性呼吸困難,或合并有非特異性的呼吸道癥狀,如咳嗽、咳白色泡沫樣痰,全身癥狀表現為疲勞、體重減輕等;合并嚴重感染的情況下出現發熱、咯血等癥狀。重度患者因呼吸衰竭而危及生命[7]。PAP 患者體格檢查可能沒有陽性體征,部分患者可以出現爆裂音,重癥患者可有發紺,少數患者可見杵狀指。日本 PAP 登記研究中,1/3 的 APAP 患者無癥狀[8]。遺傳性 PAP 患者與 APAP 患者臨床表現存在相似性,但發病年齡多在兒童時期[9]。繼發性 PAP 患者在存在環境暴露的情況下(如硅暴露),或原發疾病活躍時出現臨床表現[6]。本文中患者 1 出現活動后氣促,活動耐力下降,加重時出現呼吸困難、胸悶、咳白色泡沫痰,伴發熱。患者 2 也出現活動后呼吸困難,伴有胸悶乏力。這兩例患者臨床表現均無特異性且起病隱匿,無明顯家族史與繼發疾病,雖未行抗 GM-CSF 抗體試驗,但臨床考慮診斷為 APAP。
PAP 的影像學具有特征性表現,但不是 PAP 特有的。胸部高分辨 CT 常表現為小葉間隔增厚伴有彌漫磨玻璃影,常被稱為“鋪路石征”,與正常肺組織之間通常分界清楚,呈現出“地圖樣”改變,合并肺部實變時,實變陰影內支氣管管腔清晰,支氣管走行自然,可見“空氣支氣管征”[2]。患者的體征常輕于影像學表現,影像學表現和臨床癥狀分離的現象是本病的特點。然而,這種“鋪路石征”并不是 PAP 特有的,可見于各種特發性、傳染性、腫瘤性及吸入性肺部疾病[10]。本文兩例患者胸部 CT 均出現典型的鋪路石征與地圖征,支持患者 PAP 診斷。
PAP 患者的實驗室檢查通常正常,除外繼發于血液系統、免疫系統等疾病的 PAP。有研究表明可見血清乳酸脫氫酶、癌胚抗原、血清和肺泡灌洗液中 GM-CSF 抗體、細胞角蛋白 19 升高及黏蛋白 KL-6 升高[2]。血清 GM-CSF 自身抗體試驗是鑒別 APAP 與其他類型 PAP 的特異性檢測方法,低濃度 GM-CSF 自身抗體可在健康人群、惡性腫瘤患者、處于感染期患者中檢測到,通常小于 1 μg/mL,但在 APAP 患者中,其含量較高,一般大于 9 μg/mL[11]。該檢測在美國、日本等國家已經過全面標準化評估,有研究表明其診斷 APAP 的特異度與靈敏度高達 100%,經過受試者操作特征曲線分析確定 5 μg/mL 作為 APAP 臨界閾值[12]。現在該檢測在歐美、意大利、日本等國家廣泛實施,但我國很多醫院仍未開展。PAP 肺功能檢查常出現限制性通氣功能障礙和彌散障礙,彌散功能障礙常出現在限制性通氣功能障礙之前[2]。由于四川大學華西醫院未開展抗 GM-CSF 抗體檢測項目,本文報道的兩例患者均未行相關檢查,多為臨床診斷,在醫院條件允許的情況下建議能夠開展該項檢測,這樣可以更加明確患者的診斷并指導治療。
PAP 的診斷金標準為病理活檢,可通過支氣管肺泡灌洗液或肺活檢組織學進行診斷。病理學可見嗜伊紅性細顆粒狀蛋白性物質,且抗淀粉酶過碘酸雪夫染色陽性,黏卡紅染色陰性,可見散在分布的肺泡巨噬細胞和針狀裂隙,肺泡灌洗液沉淀物投射電子顯微鏡下可見洋蔥皮樣類圓形板層結構小體[12]。
PAP 的治療取決于 PAP 的類型和嚴重程度。目前 PAP 嚴重程度采用疾病嚴重程度評分作為疾病分級標準—1 分:氧分壓≥70 mm Hg 且無臨床癥狀;2 分:氧分壓≥70 mm Hg 且出現臨床癥狀;3 分:60 mm Hg≤二氧化碳分壓<70 mm Hg;4 分:50 mm Hg≤氧分壓<60 mm Hg;5 分:氧分壓<50 mm Hg[8]。無癥狀或僅有輕微癥狀,疾病嚴重程度評分 1 分為 1 期;運動中出現低氧、出現輕度或中度癥狀,疾病嚴重程度評分為 2 分定義為 2 期;3~5 分為 3 期,可考慮開始治療[8]。我國 Bai 等[13]建立了新的 PAP 嚴重程度評分方法,指標包括吸煙狀況、癥狀、氧分壓、胸部高分辨 CT 評分和肺彌散功能。這一評分與患者預后有一定的相關性。
PAP 的治療目標是清除沉積在肺泡腔內的蛋白樣物質,大容量全肺灌洗可獲得較好療效[2]。大容量全肺灌洗指征為滿足以下至少 1 條:① 動脈血氧分壓≤65 mm Hg;② 肺泡動脈氧分壓差≥40 mm Hg;③ 肺內分流率≥10%;④ 運動時嚴重缺氧;⑤ 影像學表現進展明顯。灌洗后部分復發患者出現以上 5 條中的任意 1 條需再次灌洗。全肺灌洗的中位有效時間為 15 個月[14]。
針對抗 GM-CSF 抗體異常的 APAP,皮下注射或霧化吸入 GM-CSF 目前被證實有效。自 1996 年 Seymour 等[15]首次使用 GM-CSF 皮下注射治療 APAP 有效以來,越來越多的 APAP 患者開始使用 GM-CSF 治療。2012 年 Khan 等[16]發表的 meta 分析總結了 2011 年之前發表的所有 GM-CSF 治療 APAP 的療效及安全性研究,結果發現,吸入給藥無論從有效率、復發率還是安全性方面,都優于皮下給藥,吸入 GM-CSF 治療 APAP 的有效率為 76.5%,皮下注射給藥治療 APAP 的有效率為 48.4%;吸入和皮下給藥的復發率分別為 15.2% 和 43.9%。但上述研究無一為隨機對照研究,且樣本量很小,上述結論的可靠性有待進一步研究證實。對于癥狀和生理學檢查提示中度至重度的患者,在大容量全肺灌洗后疾病復發、無法耐受大容量全肺灌洗或者無條件進行大容量全肺灌洗時,可考慮使用 GM-CSF 治療。目前國際上還沒有針對 GM-CSF 治療 APAP 的指南或共識,初始劑量建議 125~150 μg/次,2 次/d,霧化吸入,隔周使用;如果患者治療有效且呼吸困難明顯改善,可以改為維持劑量,125~150 μg/次,1 次/d,霧化吸入,隔周使用;如果患者治療效果不佳,可以改為強化劑量,250~300 μg/次,2 次/d,霧化吸入,隔周使用[17]。療效評估建議每 3 個月 1 次,根據患者的肺功能、動脈氧分壓、肺泡動脈氧分壓差、6 分鐘步行試驗來確定;6 個月為 1 個療程,建議每 6 個月進行胸部高分辨 CT 的評估[3, 15-17]。在本文報道的兩例患者中,患者 1 吸入 GM-CSF 后肺部影像學表現明顯好轉,癥狀也較前緩解;患者 2 治療效后肺部病灶有所吸收,但下肺療效不明顯。兩例患者目前仍在隨訪中。如果上述治療后病情仍然進展,可以考慮試用 CD20 單克隆抗體、血漿置換或中藥治療,但目前支持性文獻匱乏[14, 17]。
由于 PAP 是罕見病,目前相關病因、發病機制及治療方面研究較少,還需要更多的臨床醫生開展多中心、大樣本量的隨機對照試驗來為更加深入認識 PAP 提供一些資料,為進一步制定 PAP 指南提供更多的臨床依據。
病例介紹 患者 1,男,53 歲,因“活動后氣促 2 年,加重 1 周”于 2018 年 7 月 6 日入四川大學華西醫院。患者 2 年前無明顯誘因出現活動后氣促,自覺活動耐力較前下降,于門診查胸部 CT 示雙肺見彌漫斑片影、網格狀影及磨玻璃影;就診于風濕免疫科行免疫全套檢查示:免疫球蛋白 G 18.6g/L,免疫球蛋白 E 249.13 U/mL,類風濕因子 828 U/mL,抗核抗體陽性 1∶100 胞漿型,抗中性粒細胞胞漿抗體、抗心磷脂抗體陰性。風濕免疫科考慮自身免疫性間質性肺炎,予以抗感染及激素治療,出院后口服醋酸潑尼松 30 mg/d,患者上述癥狀略緩解,1 個月后自行停藥。患者于入院前 1 周勞累后出現呼吸困難、胸悶、咳嗽、咳白色泡沫痰,伴發熱,最高體溫 39.3 ℃,外院對癥治療后體溫降至正常,但仍有呼吸困難。患者糖尿病病史 1 年,家族史無特殊,無吸煙史。
體格檢查:體溫 36 ℃,脈搏 96 次/min,呼吸頻率 23 次/min,血壓 109/67 mm Hg(1 mm Hg=0.133 kPa)。神志清楚,慢性病容,雙肺可聞及少量干鳴音,雙下肺散在濕啰音。其余部位無陽性發現。
實驗室檢查:2018 年 7 月 6 日血氣分析示 pH 值 7.44,氧分壓 66.8 mm Hg,二氧化碳分壓 31.3 mm Hg;血常規、血生化未見明顯異常;紅細胞沉降率 51 mm/h;降鈣素原 0.22 ng/mL,C 反應蛋白 7.45 mg/L;抗核抗體可疑陽性;免疫球蛋白 E 175 U/mL,類風濕因子 104.0 U/mL;癌胚抗原 9.24 ng/mL,血清癌抗原 15-3 48.92 U/mL,血清癌抗原 19-9 33.30 U/mL,非小細胞肺癌抗原 6.86 ng/mL,烯醇化酶 16.68 ng/mL;輸血前全套、結核 DNA、真菌 G 試驗、曲霉菌免疫學試驗、T 細胞亞群絕對值未見明顯異常。2018 年 7 月 10 日胸部 CT:雙肺透光度降低,雙肺見彌漫斑片影,網格狀影及磨玻璃影,考慮間質性炎癥并間質纖維化(圖1a、1b)。肺泡灌洗液未查見惡性細胞,特殊染色黏卡紅染色(+),抗淀粉酶過碘酸雪夫染色(-)。肺功能示:中度受損。

a. 2018 年 7 月 10 日胸部 CT(肺窗):雙肺彌漫斑片影、網格狀影及磨玻璃影;b. 2018 年 7 月 10 日胸部 CT(縱隔窗):雙肺下葉胸膜增厚,散在結節影;c. 2019 年 1 月 7 日胸部 CT(肺窗):治療 6 個月后雙肺多處病灶明顯吸收;d. 2019 年 1 月 7 日胸部 CT(縱隔窗):治療 6 個月后未見明顯異常
診斷及治療:患者影像學表現符合肺泡蛋白沉積癥(pulmonary alveolar proteinosis,PAP)特點,但肺泡灌洗液抗淀粉酶過碘酸雪夫染色陰性,患者拒絕行肺活檢與全肺灌洗,考慮患者無明顯家族史及繼發疾病,臨床診斷為自身免疫性肺泡蛋白沉積癥(autoimmune pulmonary alveolar proteinosis,APAP),予以粒細胞-巨噬細胞集落刺激因子(granulocyte-macrophage colony stimulating factor,GM-CSF)吸入(150 μg/次,2 次/d,每隔 8 d 用藥 8 d,用藥 3 個月)。3 個月后患者門診隨訪,咳嗽較前好轉,肺功能較前恢復,且無明顯不良反應,第 2 療程調整為 GM-CSF 吸入(225 μg/次,2 次/d,每隔 8 d 用藥 8 d,用藥 3 個月),6 個月后隨訪評估患者癥狀明顯改善,肺功能恢復正常。2019 年 1 月 7 日復查胸部 CT 顯示雙肺多處病灶明顯吸收(圖1c、1d),維持用藥調整為(225 μg/次,2 次/d,每隔 2 周用藥 1 d,用藥 3 個月)。9 個月后隨訪患者咳嗽、咳痰癥狀明顯緩解,經霧化吸入 GM-CSF 后癥狀及影像學表現均好轉,考慮臨床診斷 APAP 成立,繼續 GM-CSF 吸入治療,目前隨訪中。
患者 2,男,41 歲,因“活動后呼吸困難 4+個月,加重1 個月”于 2018 年 7 月 11 日入四川大學華西醫院。患者 4+個月前出現活動后呼吸困難,伴有胸悶乏力,1 個月前上述癥狀加重,出現咳嗽,咳白色泡沫痰,就診于當地醫院,予以抗感染治療后上述癥狀未見明顯緩解,遂就診于四川大學華西醫院。患者 2 型糖尿病病史 2 年。家族史無特殊,無吸煙史。
體格檢查:體溫 36.6 ℃,脈搏 86 次/min,呼吸 20 次/min,血壓 101/74 mm Hg,神志清楚,慢性病容,雙肺呼吸音粗,未聞及干濕性啰音。其余部位無陽性發現。
實驗室檢查:2018 年 7 月 11 日血氣分析示 pH 值 7.39,氧分壓 57.6 mm Hg,二氧化碳分壓 36.1 mm Hg;血常規未見明顯異常,血生化:尿酸 494 μmol/L,甘油三酯 8.44 mmol/L,高密度脂蛋白 0.53 mmol/L,糖化血紅蛋白 10.2%;凝血、免疫全套、抗中性粒細胞胞漿抗體、真菌 G 試驗、曲霉菌免疫學試驗、結核感染 T 細胞 γ 干擾素釋放試驗、肺孢子菌核酸定性、巨細胞病毒 DNA、腫瘤標志物未見明顯異常。2018 年 7 月 11 日胸部增強 CT:雙肺彌漫性磨玻璃、斑片及網格影(圖2a、2b)。肺泡灌洗液病理報告提示查見一些黏液樣物質及少量肺泡巨噬細胞,黏卡紅染色(+),抗淀粉酶過碘酸雪夫染色(+)。

a. 2018 年 7 月 11 日胸部 CT(肺窗):雙肺彌漫斑片影,網格狀影及磨玻璃影;b. 2018 年 7 月 11 日胸部 CT(縱隔窗):雙肺散在結節影;c. 2019 年 2 月 12 日胸部 CT(肺窗):治療 6 個月后雙肺病灶較前減少;d. 2019 年 2 月 12 日胸部 CT(縱隔窗):治療 6 個月后雙肺結節影較前減少
診斷及治療:患者影像學表現典型,且肺泡灌洗液抗淀粉酶過碘酸雪夫染色及黏卡紅染色均陽性,患者拒絕行肺活檢,患者無明顯家族史及繼發疾病,從目前資料可考慮臨床診斷為 APAP,予 GM-CSF 吸入(225 μg/次,2 次/d,每隔 2 周用藥 1 d,用藥 3 個月),患者咳嗽、咳痰癥狀明顯緩解,肺功能恢復正常,復查胸部 CT 示較前有所吸收,但磨玻璃影仍較多,調整 GM-CSF 吸入劑量為(225 μg/次,2 次/d,每隔 8 d 用藥 8 d,用藥 3 個月),2019 年 2 月 12 日復查胸部 CT 較前有所吸收,但仍存在散在磨玻璃影(圖2c、2d),繼續 GM-CSF 吸入治療,目前隨訪中。
討論 PAP 是一種罕見的呼吸系統綜合征,由于肺泡表面活性物質的產生或清除異常,導致進行性呼吸困難、低氧性呼吸衰竭、繼發感染與肺纖維化等臨床癥狀[1-3]。PAP 于 1958 年被 Rosen 及其同事首次報道,美國與日本的發病率約 7/百萬[4],中國目前沒有相關流行病學資料。PAP 主要分為 3 類:抗 GM-CSF 抗體陽性的 APAP、遺傳性 PAP 和繼發性 PAP[5]。PAP 的發病機制不明,可能包括:① 抗 GM-CSF 抗體阻斷了 GM-CSF 的信號傳導(APAP,約占 PAP 的 85%);② 由基因突變導致表面活性物質產生異常或 GM-CSF 受體功能異常(約占 10%);③ 其他疾病導致的肺泡巨噬細胞的數量或功能異常(繼發性 PAP,約占 5%)[4-5]。繼發性 PAP 的繼發因素包括:免疫系統疾病,如單克隆免疫球蛋白病、重度聯合免疫缺陷癥等;血液系統疾病,如淋巴瘤、再生障礙性貧血及骨髓增生異常綜合征等;感染性疾病,如巨細胞病毒、結核分枝桿菌及肺孢子菌肺炎等;使用某些藥物或硅暴露[6]。
PAP 的臨床表現無特異性,APAP 患者多在成年時發病,起病隱匿,表現為進行性呼吸困難,或合并有非特異性的呼吸道癥狀,如咳嗽、咳白色泡沫樣痰,全身癥狀表現為疲勞、體重減輕等;合并嚴重感染的情況下出現發熱、咯血等癥狀。重度患者因呼吸衰竭而危及生命[7]。PAP 患者體格檢查可能沒有陽性體征,部分患者可以出現爆裂音,重癥患者可有發紺,少數患者可見杵狀指。日本 PAP 登記研究中,1/3 的 APAP 患者無癥狀[8]。遺傳性 PAP 患者與 APAP 患者臨床表現存在相似性,但發病年齡多在兒童時期[9]。繼發性 PAP 患者在存在環境暴露的情況下(如硅暴露),或原發疾病活躍時出現臨床表現[6]。本文中患者 1 出現活動后氣促,活動耐力下降,加重時出現呼吸困難、胸悶、咳白色泡沫痰,伴發熱。患者 2 也出現活動后呼吸困難,伴有胸悶乏力。這兩例患者臨床表現均無特異性且起病隱匿,無明顯家族史與繼發疾病,雖未行抗 GM-CSF 抗體試驗,但臨床考慮診斷為 APAP。
PAP 的影像學具有特征性表現,但不是 PAP 特有的。胸部高分辨 CT 常表現為小葉間隔增厚伴有彌漫磨玻璃影,常被稱為“鋪路石征”,與正常肺組織之間通常分界清楚,呈現出“地圖樣”改變,合并肺部實變時,實變陰影內支氣管管腔清晰,支氣管走行自然,可見“空氣支氣管征”[2]。患者的體征常輕于影像學表現,影像學表現和臨床癥狀分離的現象是本病的特點。然而,這種“鋪路石征”并不是 PAP 特有的,可見于各種特發性、傳染性、腫瘤性及吸入性肺部疾病[10]。本文兩例患者胸部 CT 均出現典型的鋪路石征與地圖征,支持患者 PAP 診斷。
PAP 患者的實驗室檢查通常正常,除外繼發于血液系統、免疫系統等疾病的 PAP。有研究表明可見血清乳酸脫氫酶、癌胚抗原、血清和肺泡灌洗液中 GM-CSF 抗體、細胞角蛋白 19 升高及黏蛋白 KL-6 升高[2]。血清 GM-CSF 自身抗體試驗是鑒別 APAP 與其他類型 PAP 的特異性檢測方法,低濃度 GM-CSF 自身抗體可在健康人群、惡性腫瘤患者、處于感染期患者中檢測到,通常小于 1 μg/mL,但在 APAP 患者中,其含量較高,一般大于 9 μg/mL[11]。該檢測在美國、日本等國家已經過全面標準化評估,有研究表明其診斷 APAP 的特異度與靈敏度高達 100%,經過受試者操作特征曲線分析確定 5 μg/mL 作為 APAP 臨界閾值[12]。現在該檢測在歐美、意大利、日本等國家廣泛實施,但我國很多醫院仍未開展。PAP 肺功能檢查常出現限制性通氣功能障礙和彌散障礙,彌散功能障礙常出現在限制性通氣功能障礙之前[2]。由于四川大學華西醫院未開展抗 GM-CSF 抗體檢測項目,本文報道的兩例患者均未行相關檢查,多為臨床診斷,在醫院條件允許的情況下建議能夠開展該項檢測,這樣可以更加明確患者的診斷并指導治療。
PAP 的診斷金標準為病理活檢,可通過支氣管肺泡灌洗液或肺活檢組織學進行診斷。病理學可見嗜伊紅性細顆粒狀蛋白性物質,且抗淀粉酶過碘酸雪夫染色陽性,黏卡紅染色陰性,可見散在分布的肺泡巨噬細胞和針狀裂隙,肺泡灌洗液沉淀物投射電子顯微鏡下可見洋蔥皮樣類圓形板層結構小體[12]。
PAP 的治療取決于 PAP 的類型和嚴重程度。目前 PAP 嚴重程度采用疾病嚴重程度評分作為疾病分級標準—1 分:氧分壓≥70 mm Hg 且無臨床癥狀;2 分:氧分壓≥70 mm Hg 且出現臨床癥狀;3 分:60 mm Hg≤二氧化碳分壓<70 mm Hg;4 分:50 mm Hg≤氧分壓<60 mm Hg;5 分:氧分壓<50 mm Hg[8]。無癥狀或僅有輕微癥狀,疾病嚴重程度評分 1 分為 1 期;運動中出現低氧、出現輕度或中度癥狀,疾病嚴重程度評分為 2 分定義為 2 期;3~5 分為 3 期,可考慮開始治療[8]。我國 Bai 等[13]建立了新的 PAP 嚴重程度評分方法,指標包括吸煙狀況、癥狀、氧分壓、胸部高分辨 CT 評分和肺彌散功能。這一評分與患者預后有一定的相關性。
PAP 的治療目標是清除沉積在肺泡腔內的蛋白樣物質,大容量全肺灌洗可獲得較好療效[2]。大容量全肺灌洗指征為滿足以下至少 1 條:① 動脈血氧分壓≤65 mm Hg;② 肺泡動脈氧分壓差≥40 mm Hg;③ 肺內分流率≥10%;④ 運動時嚴重缺氧;⑤ 影像學表現進展明顯。灌洗后部分復發患者出現以上 5 條中的任意 1 條需再次灌洗。全肺灌洗的中位有效時間為 15 個月[14]。
針對抗 GM-CSF 抗體異常的 APAP,皮下注射或霧化吸入 GM-CSF 目前被證實有效。自 1996 年 Seymour 等[15]首次使用 GM-CSF 皮下注射治療 APAP 有效以來,越來越多的 APAP 患者開始使用 GM-CSF 治療。2012 年 Khan 等[16]發表的 meta 分析總結了 2011 年之前發表的所有 GM-CSF 治療 APAP 的療效及安全性研究,結果發現,吸入給藥無論從有效率、復發率還是安全性方面,都優于皮下給藥,吸入 GM-CSF 治療 APAP 的有效率為 76.5%,皮下注射給藥治療 APAP 的有效率為 48.4%;吸入和皮下給藥的復發率分別為 15.2% 和 43.9%。但上述研究無一為隨機對照研究,且樣本量很小,上述結論的可靠性有待進一步研究證實。對于癥狀和生理學檢查提示中度至重度的患者,在大容量全肺灌洗后疾病復發、無法耐受大容量全肺灌洗或者無條件進行大容量全肺灌洗時,可考慮使用 GM-CSF 治療。目前國際上還沒有針對 GM-CSF 治療 APAP 的指南或共識,初始劑量建議 125~150 μg/次,2 次/d,霧化吸入,隔周使用;如果患者治療有效且呼吸困難明顯改善,可以改為維持劑量,125~150 μg/次,1 次/d,霧化吸入,隔周使用;如果患者治療效果不佳,可以改為強化劑量,250~300 μg/次,2 次/d,霧化吸入,隔周使用[17]。療效評估建議每 3 個月 1 次,根據患者的肺功能、動脈氧分壓、肺泡動脈氧分壓差、6 分鐘步行試驗來確定;6 個月為 1 個療程,建議每 6 個月進行胸部高分辨 CT 的評估[3, 15-17]。在本文報道的兩例患者中,患者 1 吸入 GM-CSF 后肺部影像學表現明顯好轉,癥狀也較前緩解;患者 2 治療效后肺部病灶有所吸收,但下肺療效不明顯。兩例患者目前仍在隨訪中。如果上述治療后病情仍然進展,可以考慮試用 CD20 單克隆抗體、血漿置換或中藥治療,但目前支持性文獻匱乏[14, 17]。
由于 PAP 是罕見病,目前相關病因、發病機制及治療方面研究較少,還需要更多的臨床醫生開展多中心、大樣本量的隨機對照試驗來為更加深入認識 PAP 提供一些資料,為進一步制定 PAP 指南提供更多的臨床依據。