引用本文: 鄧丹, 陸方, 張明. 男性色素失禁癥伴雙眼視網膜病變一例. 華西醫學, 2018, 33(11): 1449-1450. doi: 10.7507/1002-0179.201810015 復制
病例介紹 患兒,男,2 歲 11 個月。因“發現視力不佳 1 個月”于 2018 年 2 月 26 日入院。患兒系自然妊娠,單胎順產,出生胎齡 38+5 周,出生體重 3 050 g。家屬訴患兒出生后軀干、四肢皮膚出現紅色斑點、小水皰,隨后部分水皰破裂、結痂,后逐漸形成線狀褐色色素沉著,當地醫院診斷為“色素失禁癥”(incontinentia pigmenti,IP)。否認宮內缺氧或窒息史、吸氧史、藥物過敏史、傳染病史、手術史;父母非近親結婚;否認家族遺傳病史;其母親否認流產史及皮疹病史。入院體格檢查:一般情況好,頭發稀少,無骨骼、牙齒、指甲異常,無神經系統異常癥狀;皮膚:四肢及軀干見散在線狀褐色色素沉著(圖 1)。實驗室檢查:血常規未見異常,肝腎功能未見異常。其父母眼底照相及造影檢查:父親近視眼底改變,母親視網膜周邊血管部分迂回生長(圖 2),余未見明顯異常。眼部檢查:右眼視力 0.2,左眼不配合視力檢查;雙眼眼壓指測 Tn;雙眼結膜無充血,角膜透明,前房深度正常,瞳孔等大等圓、直徑約 3 mm,直接、間接對光反射正常,晶狀體透明。廣角數碼視網膜成像系統檢查:眼底照相示右眼未見明顯異常(圖 3a);左眼視盤移位,未見正常黃斑結構,鼻側血管少,鼻側周邊大片無血管區,顳側視網膜淺脫離,視網膜下黃白色滲出,顳側周邊血管紊亂,可見新生血管及增殖膜(圖 3b、3c)。眼底熒光血管造影示右眼視網膜周邊大片無灌注區,周邊部分血管迂回生長,部分血管異常吻合,顳側毛細血管擴張伴輕度滲漏(圖 4a、4b);左眼鼻側血管少,鼻側周邊大片無灌注區,顳側視網膜淺脫離,顳側周邊見新生血管、增殖膜,伴熒光素滲漏(圖 4c、4d)。診斷:IP 伴雙眼視網膜病變。患兒入院前抽血行基因檢查及染色體檢查,結果示未見異常。予以患兒雙眼玻璃體腔注射抗血管內皮生長因子藥物治療。出院后 1 個月門診復查,眼部檢查:右眼視力 0.3,左眼視力手動;雙眼眼壓指測 Tn;雙眼結膜無充血,角膜透明,前房深度正常,瞳孔等大等圓、直徑約 3 mm,直接、間接對光反射正常,晶狀體透明。間接檢眼鏡下見雙眼底病情同治療前無明顯變化。
圖1
患兒軀干部皮膚病損彩色像
軀干見散在線狀褐色色素沉著
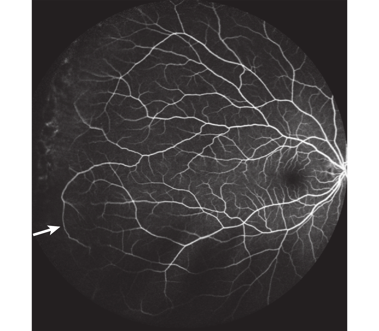
圖2
患兒母親眼底造影
周邊部分血管迂回生長(白箭)
圖3
患兒雙眼眼底彩色像
a. 右眼底未見明顯異常;b、c. 左眼視盤移位,未見正常黃斑結構,顳側視網膜淺脫離,視網膜下黃白色滲出,顳側周邊新生血管及增殖膜
圖4
患兒雙眼底血管造影
a、b. 右眼底血管造影,可見顳側毛細血管擴張伴輕度滲漏(黑箭),血管異常吻合支(白箭頭),大片無灌注區(白箭);c、d. 左眼底血管造影,可見鼻側血管少,周邊大片無灌注區(白箭),顳側視網膜淺脫離,周邊血管紊亂,大量增殖,熒光素滲漏(黑箭)
討論 IP 是一種少見的累及皮膚、毛發、牙齒、指甲、眼睛和中樞神經系統的疾病,新生兒患病率約為 1/50 000[1],其中 95% 以上為女性病例[2]。該病為 X 染色體顯性遺傳,目前已發現的色素失禁基因位于 Xq11 及 Xq28,其中 Xq28 上的 NEMO(又叫 IKBKG)基因異常較常見,60%~80% 的 IP 患者可檢測出 NEMO 基因的突變[3]。女性因存在 2 條 X 染色體,故癥狀表現不甚嚴重,而男性僅有 1 條 X 染色體,因而病變表現嚴重,多半于胎兒期死亡[3],所以男性病例少見。但也有少量男性存活患者報道,目前認為男性患者通過 2 種方式存活:① 47,XXY:據統計約有 7% 的男性 IP 患者為 XXY[4];② 體細胞嵌合體:這類男性在血液中難以找到致病的 NEMO 基因,可在其成纖維細胞及精液中找到 NEMO 基因的變異[5-6]。本例患兒家屬提供的基因及染色體檢測的樣本均為血液,因家屬不同意取患者病損處皮膚組織做進一步檢測,所以該患兒的存活方式目前不得而知。依照 2014 年 Mini? 等[7]提出的 IP 診斷標準,根據患兒典型軀干部線狀色素沉著及視網膜病變,故該患兒診斷為 IP。皮膚損害是 IP 在新生兒期的主要表現,典型皮膚病變分為 4 期,分別是紅斑水皰期、疣狀病變期、色素沉著期和萎縮期。其中第 3 期主要發生在出生后 4 個月~16 歲,本例患兒的皮膚病損正處于第 3 期。
約 1/3 的 IP 患者可出現眼部異常[8],眼部病變主要是視網膜血管異常,包括周邊視網膜無血管區、血管異常吻合、周邊末梢血管襻樣改變、末梢血管擴張、新生血管[9],也有報道表明,除了周邊血管的變化外,患者經常會出現黃斑區血流密度下降[10]。其他眼部病變還包括斜視、白內障、視神經萎縮、視網膜色素上皮異常、視網膜脫離和小眼球等[11-12]。該患兒眼部表現與文獻報道相符。有人將 IP 引起的視網膜病變病變分為 5 期:1 期,視網膜色素上皮改變;2 期,視網膜血管改變;3 期,黃斑前膜和增殖膜、新生血管;4 期,視網膜脫離(4a 局部,4b 全脫);5 期,眼球萎縮、繼發青光眼[13]。該患兒的眼部病變需與早產兒視網膜病變、Coats 病、家族性滲出性玻璃體視網膜病變鑒別。根據其為足月兒且否認吸氧史,排除早產兒視網膜病變;根據其右眼無典型血管多且平直的特征及父母眼底無家族性滲出性玻璃體視網膜病變相關改變,暫不考慮家族性滲出性玻璃體視網膜病變;Coats 病多為單眼發病,該患兒為雙眼且無視網膜血管瘤樣擴張,亦暫不考慮該疾病;以上 3 種疾病均不會伴有皮膚病變,故根據患兒皮膚病變及眼部病變,考慮 IP 相關的視網膜病變。
病例介紹 患兒,男,2 歲 11 個月。因“發現視力不佳 1 個月”于 2018 年 2 月 26 日入院。患兒系自然妊娠,單胎順產,出生胎齡 38+5 周,出生體重 3 050 g。家屬訴患兒出生后軀干、四肢皮膚出現紅色斑點、小水皰,隨后部分水皰破裂、結痂,后逐漸形成線狀褐色色素沉著,當地醫院診斷為“色素失禁癥”(incontinentia pigmenti,IP)。否認宮內缺氧或窒息史、吸氧史、藥物過敏史、傳染病史、手術史;父母非近親結婚;否認家族遺傳病史;其母親否認流產史及皮疹病史。入院體格檢查:一般情況好,頭發稀少,無骨骼、牙齒、指甲異常,無神經系統異常癥狀;皮膚:四肢及軀干見散在線狀褐色色素沉著(圖 1)。實驗室檢查:血常規未見異常,肝腎功能未見異常。其父母眼底照相及造影檢查:父親近視眼底改變,母親視網膜周邊血管部分迂回生長(圖 2),余未見明顯異常。眼部檢查:右眼視力 0.2,左眼不配合視力檢查;雙眼眼壓指測 Tn;雙眼結膜無充血,角膜透明,前房深度正常,瞳孔等大等圓、直徑約 3 mm,直接、間接對光反射正常,晶狀體透明。廣角數碼視網膜成像系統檢查:眼底照相示右眼未見明顯異常(圖 3a);左眼視盤移位,未見正常黃斑結構,鼻側血管少,鼻側周邊大片無血管區,顳側視網膜淺脫離,視網膜下黃白色滲出,顳側周邊血管紊亂,可見新生血管及增殖膜(圖 3b、3c)。眼底熒光血管造影示右眼視網膜周邊大片無灌注區,周邊部分血管迂回生長,部分血管異常吻合,顳側毛細血管擴張伴輕度滲漏(圖 4a、4b);左眼鼻側血管少,鼻側周邊大片無灌注區,顳側視網膜淺脫離,顳側周邊見新生血管、增殖膜,伴熒光素滲漏(圖 4c、4d)。診斷:IP 伴雙眼視網膜病變。患兒入院前抽血行基因檢查及染色體檢查,結果示未見異常。予以患兒雙眼玻璃體腔注射抗血管內皮生長因子藥物治療。出院后 1 個月門診復查,眼部檢查:右眼視力 0.3,左眼視力手動;雙眼眼壓指測 Tn;雙眼結膜無充血,角膜透明,前房深度正常,瞳孔等大等圓、直徑約 3 mm,直接、間接對光反射正常,晶狀體透明。間接檢眼鏡下見雙眼底病情同治療前無明顯變化。
圖1
患兒軀干部皮膚病損彩色像
軀干見散在線狀褐色色素沉著
圖2
患兒母親眼底造影
周邊部分血管迂回生長(白箭)
圖3
患兒雙眼眼底彩色像
a. 右眼底未見明顯異常;b、c. 左眼視盤移位,未見正常黃斑結構,顳側視網膜淺脫離,視網膜下黃白色滲出,顳側周邊新生血管及增殖膜
圖4
患兒雙眼底血管造影
a、b. 右眼底血管造影,可見顳側毛細血管擴張伴輕度滲漏(黑箭),血管異常吻合支(白箭頭),大片無灌注區(白箭);c、d. 左眼底血管造影,可見鼻側血管少,周邊大片無灌注區(白箭),顳側視網膜淺脫離,周邊血管紊亂,大量增殖,熒光素滲漏(黑箭)
討論 IP 是一種少見的累及皮膚、毛發、牙齒、指甲、眼睛和中樞神經系統的疾病,新生兒患病率約為 1/50 000[1],其中 95% 以上為女性病例[2]。該病為 X 染色體顯性遺傳,目前已發現的色素失禁基因位于 Xq11 及 Xq28,其中 Xq28 上的 NEMO(又叫 IKBKG)基因異常較常見,60%~80% 的 IP 患者可檢測出 NEMO 基因的突變[3]。女性因存在 2 條 X 染色體,故癥狀表現不甚嚴重,而男性僅有 1 條 X 染色體,因而病變表現嚴重,多半于胎兒期死亡[3],所以男性病例少見。但也有少量男性存活患者報道,目前認為男性患者通過 2 種方式存活:① 47,XXY:據統計約有 7% 的男性 IP 患者為 XXY[4];② 體細胞嵌合體:這類男性在血液中難以找到致病的 NEMO 基因,可在其成纖維細胞及精液中找到 NEMO 基因的變異[5-6]。本例患兒家屬提供的基因及染色體檢測的樣本均為血液,因家屬不同意取患者病損處皮膚組織做進一步檢測,所以該患兒的存活方式目前不得而知。依照 2014 年 Mini? 等[7]提出的 IP 診斷標準,根據患兒典型軀干部線狀色素沉著及視網膜病變,故該患兒診斷為 IP。皮膚損害是 IP 在新生兒期的主要表現,典型皮膚病變分為 4 期,分別是紅斑水皰期、疣狀病變期、色素沉著期和萎縮期。其中第 3 期主要發生在出生后 4 個月~16 歲,本例患兒的皮膚病損正處于第 3 期。
約 1/3 的 IP 患者可出現眼部異常[8],眼部病變主要是視網膜血管異常,包括周邊視網膜無血管區、血管異常吻合、周邊末梢血管襻樣改變、末梢血管擴張、新生血管[9],也有報道表明,除了周邊血管的變化外,患者經常會出現黃斑區血流密度下降[10]。其他眼部病變還包括斜視、白內障、視神經萎縮、視網膜色素上皮異常、視網膜脫離和小眼球等[11-12]。該患兒眼部表現與文獻報道相符。有人將 IP 引起的視網膜病變病變分為 5 期:1 期,視網膜色素上皮改變;2 期,視網膜血管改變;3 期,黃斑前膜和增殖膜、新生血管;4 期,視網膜脫離(4a 局部,4b 全脫);5 期,眼球萎縮、繼發青光眼[13]。該患兒的眼部病變需與早產兒視網膜病變、Coats 病、家族性滲出性玻璃體視網膜病變鑒別。根據其為足月兒且否認吸氧史,排除早產兒視網膜病變;根據其右眼無典型血管多且平直的特征及父母眼底無家族性滲出性玻璃體視網膜病變相關改變,暫不考慮家族性滲出性玻璃體視網膜病變;Coats 病多為單眼發病,該患兒為雙眼且無視網膜血管瘤樣擴張,亦暫不考慮該疾病;以上 3 種疾病均不會伴有皮膚病變,故根據患兒皮膚病變及眼部病變,考慮 IP 相關的視網膜病變。

