引用本文: 韓金標, 胡霞, 李清麗. 卵巢 Brenner 瘤一例. 華西醫學, 2018, 33(4): 485-487. doi: 10.7507/1002-0179.201803139 復制
病例介紹 患者,女,64 歲,絕經 11 年,孕 4 產 2。2016 年 10 月 14 日因“體檢發現盆腹腔包塊 2 年”入院。2 年來定期復查,包塊進行性長大,無腹痛、腹脹、陰道流血等不適。體格檢查(查體):生命體征平穩。腹部膨隆,下腹部可捫及一大小約 15 cm×10 cm×11 cm 包塊,質地中度,活動,無明顯壓痛。移動性濁音(–)。專科查體:外陰陰道未見異常,宮頸肥大,光滑,無觸血,無舉擺痛,因盆腹腔包塊體積較大,子宮及雙附件捫診不清。陰道彩色多普勒超聲提示:左附件區見 14.6 cm×9.8 cm×10.4 cm 分隔狀囊性占位,囊液略欠清亮,囊壁及隔上探及血流信號,子宮及右附件區未見確切占位。CT 提示:盆腔巨大囊實性腫瘤,考慮左附件來源,囊性成分向前、上方沿腸系膜、腸間延伸,盆腔右側壁腹膜增厚,右側盆壁淋巴結增大。腫瘤標志物及其余各項常規檢查均正常。考慮診斷:盆腹腔包塊待診:卵巢囊腫?術前檢查及準備完善后于 2016 年 10 月 17 日全身麻醉下行剖腹探查術,術中見:子宮萎縮,前位,盆腹腔包塊大小約 15 cm×11 cm×10 cm,呈囊實性,來自左卵巢,包塊表面完整光滑;雙側輸卵管正常,右側卵巢萎縮。探查肝、膈、腸管、大網膜未見異常。切除左側附件,并完整取出,剖視見囊性部分呈多房狀,囊壁未見新生物,可見清亮淡黃色囊液,實性部分直徑約 6 cm,質硬,呈灰白色。取部分組織行冰凍病理檢查,結果回示:(左卵巢囊腫)黏液性囊腫,合并良性 Brenner 瘤,手術行“經腹全子宮切除術+雙附件切除術”,手術順利,術后恢復可。術后病理檢查結果提示:(左卵巢)黏液性囊腺瘤合并良性 Brenner 瘤伴鈣化;(右卵巢)白體及良性 Brenner 瘤。術后隨訪 1+ 年,未見明顯異常。見圖 1。

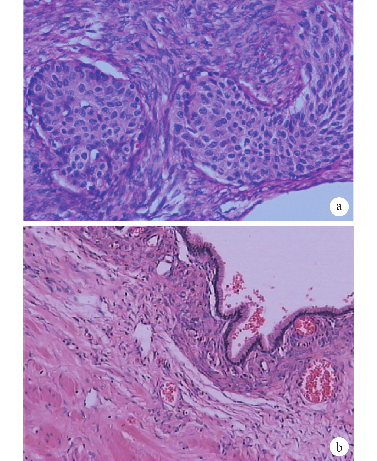
a. 腫瘤由類似于尿路上皮的實性上皮細胞巢和纖維組織構成(蘇木精-伊紅染色 ×20);b. 囊壁內襯單層黏液柱狀上皮(蘇木精-伊紅染色 ×10)
討論 卵巢 Brenner 瘤是一種罕見的卵巢上皮源性腫瘤,占全部卵巢腫瘤的 1.4%~2.5%,多數腫瘤表現為良性,偶見惡性病變,好發于絕經后婦女,平均發病年齡為 50 歲,其中 71% 的患者年齡超過 40 歲[1-2]。多數學者認為 Brenner 瘤是由卵巢表面上皮或盆腔間皮細胞化生形成的典型尿道上皮成分組成,但該腫瘤的真正起源(到底是卵巢的表面上皮分化成 Müllerian 上皮而來,還是化生為泌尿上皮而來)及其發病機制仍存在爭議[3]。一般無臨床癥狀,通常由術后病理檢查偶然發現,確診主要依據組織病理學特征及免疫表型;目前治療方案尚有爭議,大部分預后較好。
卵巢 Brenner 瘤作為一種卵巢實性腫瘤,通常無明顯臨床癥狀,常于手術探查時或術后病理檢查偶然發現。組織病理學特點為在周圍大量纖維間質內散在分布的界限清楚的上皮細胞巢或分支狀上皮纖維梁索。雖然在影像學和病理檢查中腫瘤成分以實性為主,但 25%~36% 的卵巢 Brenner 瘤可合并其他卵巢良性腫瘤,如漿液性囊腺瘤、黏液性囊腺瘤、畸胎瘤等,可能與卵巢 Brenner 瘤細胞分泌相關激素,導致局部細胞增生有關[4]。在有癥狀的患者中,常見癥狀包括陰道流血、腹痛、盆腔腫塊。卵巢 Brenner 瘤以單側為主,雙側發生率為 5%~7%[5]。
在影像學檢查中,卵巢 Brenner 瘤的典型 B 型超聲表現為“蛋殼征”[6],即瘤體前部呈強回聲腫塊,后部有明顯的聲衰減,但“蛋殼征”有時亦可見于其他實性附件腫塊;卵巢 Brenner 瘤的 CT 檢查多表現為實性或囊實性盆腔腫物伴鈣化,故 CT 發現附件區實性病灶伴鈣化有助于提示卵巢 Brenner 瘤,但其特異性仍欠佳。超聲和 CT 對卵巢 Brenner 瘤均缺乏特異性表現,因此很難依靠影像學檢查確診卵巢 Brenner 瘤。
卵巢 Brenner 瘤在 MRI 表現中有一定特點:由于腫瘤內含有大量纖維間質,在 T2 加權像上呈典型的、均勻的低信號,比其他卵巢實性腫瘤信號更低[7],增強掃描顯示病灶實性成分呈中等以上的強化。由于實性成分退行性變導致基質鈣化,腫瘤內廣泛的不定形鈣化是卵巢 Brenner 瘤的特征性表現[8]。約 20% 的卵巢 Brenner 瘤常與黏液性囊腺瘤合并發生[9],MRI 表現為更復雜的囊實性信號強度。MRI 能準確顯示卵巢腫塊內部結構特點、腫塊囊實性情況、實性成分的信號特點和強化特點,是顯示卵巢腫塊纖維成分的首選檢查技術,為本病的認識及影像診斷提供參考依據。近年來正電子發射計算機體層掃描術(positron emission tomography,PET)/CT 開始用于卵巢惡性腫瘤,能夠更好地發現腹腔外轉移病灶及協助疾病的分期,因此 PET/CT 可考慮用于 Brenner 瘤患者的檢查[10]。
卵巢 Brenner 瘤可分良性、交界性和惡性,其中大部分為良性,交界性和惡性僅占所有卵巢 Brenner 瘤 3%~5%[11]。典型的卵巢良性 Brenner 瘤大部分呈實性,少數呈囊實性,通常為單側,邊界清楚,切面粗糙或呈纖維狀,呈灰色、白色或淺黃色,偶爾因鈣化沉積組織變得堅硬。卵巢交界性 Brenner 瘤的特點是囊性,呈單房或菜花狀腫塊凸向一個或多個囊腔的多房。卵巢惡性 Brenner 瘤常為雙側,由囊實性成分混合組成,囊性成分為主,通常沒有任何特異性[12]。
顯微鏡下觀查,卵巢 Brenner 瘤由大量致密的纖維基質和類似膀胱移行轉化上皮腺體組成。卵巢良性 Brenner 瘤所含的纖維成分多于交界性和惡性 Brenner 瘤。混合性的囊腺瘤含有不同數量的間質組織,這種情況在交界性和惡性腫瘤中更常見,常常以囊腫內的實性乳突狀突起的形式表現[13]。
卵巢 Brenner 瘤由于腫瘤位置固定,邊界清楚,活動度好,不易侵犯周圍組織,外科切除是最有效的治療方法,能有效緩解癥狀[14]。卵巢良性 Brenner 瘤根據患者年齡及是否有生育要求,行腫瘤剝除或患側附件或雙附件、子宮切除,預后好,無復發。卵巢交界性 Brenner 瘤,因腫瘤具有一定的惡性傾向,加之患者多為中老年人,目前治療多采用全子宮加雙側附件切除,術后不采取預防性化學治療(化療),預后較好,但對于年輕女性,保守治療即可,即徹底切除腫瘤,保留子宮及至少單側卵巢的一部分,并術后隨訪。卵巢惡性 Brenner 瘤有侵犯影響周圍組織的潛質,但這種病例少見,若卵巢惡性 Brenner 瘤診斷比較早,通常選擇手術治療,手術方式同其他上皮性卵巢癌,其中對于晚期患者,應行腫瘤細胞減滅術,盡可能切除病灶。但有研究表明,淋巴結轉移不常見于卵巢惡性 Brenner 瘤,清掃淋巴結不能改善預后,因此目前對于惡性的患者是否常規行淋巴結清掃術尚存在爭議[15]。卵巢惡性 Brenner 瘤的術后輔助治療與卵巢上皮惡性腫瘤相似,以化療為主,且暫未發現特異性化療方案。有學者發現,惡性患者術后進行紫杉醇加卡鉑(TC)化療,其完全反應率可達 90%[16]。因此紫杉醇聯合鉑類的化療方案是目前卵巢惡性 Brenner 瘤的首選化療方案,特異性化療方案有待于進一步研究。卵巢惡性 Brenner 瘤的預后與患者發病年齡、腫瘤分級、臨床分期相關,與卵巢上皮細胞癌相比,后者侵襲性較強,卵巢惡性 Brenner 瘤預后相對較好,對化療也更為敏感。由于 80% 的卵巢惡性 Brenner 診斷時多處于卵巢癌Ⅰ期,預后較好,5 年生存率達到 88%[16-17]。相關文獻提示,若腫瘤復發部位局限,全身化療仍能取得較好的療效[18]。
病例介紹 患者,女,64 歲,絕經 11 年,孕 4 產 2。2016 年 10 月 14 日因“體檢發現盆腹腔包塊 2 年”入院。2 年來定期復查,包塊進行性長大,無腹痛、腹脹、陰道流血等不適。體格檢查(查體):生命體征平穩。腹部膨隆,下腹部可捫及一大小約 15 cm×10 cm×11 cm 包塊,質地中度,活動,無明顯壓痛。移動性濁音(–)。專科查體:外陰陰道未見異常,宮頸肥大,光滑,無觸血,無舉擺痛,因盆腹腔包塊體積較大,子宮及雙附件捫診不清。陰道彩色多普勒超聲提示:左附件區見 14.6 cm×9.8 cm×10.4 cm 分隔狀囊性占位,囊液略欠清亮,囊壁及隔上探及血流信號,子宮及右附件區未見確切占位。CT 提示:盆腔巨大囊實性腫瘤,考慮左附件來源,囊性成分向前、上方沿腸系膜、腸間延伸,盆腔右側壁腹膜增厚,右側盆壁淋巴結增大。腫瘤標志物及其余各項常規檢查均正常。考慮診斷:盆腹腔包塊待診:卵巢囊腫?術前檢查及準備完善后于 2016 年 10 月 17 日全身麻醉下行剖腹探查術,術中見:子宮萎縮,前位,盆腹腔包塊大小約 15 cm×11 cm×10 cm,呈囊實性,來自左卵巢,包塊表面完整光滑;雙側輸卵管正常,右側卵巢萎縮。探查肝、膈、腸管、大網膜未見異常。切除左側附件,并完整取出,剖視見囊性部分呈多房狀,囊壁未見新生物,可見清亮淡黃色囊液,實性部分直徑約 6 cm,質硬,呈灰白色。取部分組織行冰凍病理檢查,結果回示:(左卵巢囊腫)黏液性囊腫,合并良性 Brenner 瘤,手術行“經腹全子宮切除術+雙附件切除術”,手術順利,術后恢復可。術后病理檢查結果提示:(左卵巢)黏液性囊腺瘤合并良性 Brenner 瘤伴鈣化;(右卵巢)白體及良性 Brenner 瘤。術后隨訪 1+ 年,未見明顯異常。見圖 1。

a. 腫瘤由類似于尿路上皮的實性上皮細胞巢和纖維組織構成(蘇木精-伊紅染色 ×20);b. 囊壁內襯單層黏液柱狀上皮(蘇木精-伊紅染色 ×10)
討論 卵巢 Brenner 瘤是一種罕見的卵巢上皮源性腫瘤,占全部卵巢腫瘤的 1.4%~2.5%,多數腫瘤表現為良性,偶見惡性病變,好發于絕經后婦女,平均發病年齡為 50 歲,其中 71% 的患者年齡超過 40 歲[1-2]。多數學者認為 Brenner 瘤是由卵巢表面上皮或盆腔間皮細胞化生形成的典型尿道上皮成分組成,但該腫瘤的真正起源(到底是卵巢的表面上皮分化成 Müllerian 上皮而來,還是化生為泌尿上皮而來)及其發病機制仍存在爭議[3]。一般無臨床癥狀,通常由術后病理檢查偶然發現,確診主要依據組織病理學特征及免疫表型;目前治療方案尚有爭議,大部分預后較好。
卵巢 Brenner 瘤作為一種卵巢實性腫瘤,通常無明顯臨床癥狀,常于手術探查時或術后病理檢查偶然發現。組織病理學特點為在周圍大量纖維間質內散在分布的界限清楚的上皮細胞巢或分支狀上皮纖維梁索。雖然在影像學和病理檢查中腫瘤成分以實性為主,但 25%~36% 的卵巢 Brenner 瘤可合并其他卵巢良性腫瘤,如漿液性囊腺瘤、黏液性囊腺瘤、畸胎瘤等,可能與卵巢 Brenner 瘤細胞分泌相關激素,導致局部細胞增生有關[4]。在有癥狀的患者中,常見癥狀包括陰道流血、腹痛、盆腔腫塊。卵巢 Brenner 瘤以單側為主,雙側發生率為 5%~7%[5]。
在影像學檢查中,卵巢 Brenner 瘤的典型 B 型超聲表現為“蛋殼征”[6],即瘤體前部呈強回聲腫塊,后部有明顯的聲衰減,但“蛋殼征”有時亦可見于其他實性附件腫塊;卵巢 Brenner 瘤的 CT 檢查多表現為實性或囊實性盆腔腫物伴鈣化,故 CT 發現附件區實性病灶伴鈣化有助于提示卵巢 Brenner 瘤,但其特異性仍欠佳。超聲和 CT 對卵巢 Brenner 瘤均缺乏特異性表現,因此很難依靠影像學檢查確診卵巢 Brenner 瘤。
卵巢 Brenner 瘤在 MRI 表現中有一定特點:由于腫瘤內含有大量纖維間質,在 T2 加權像上呈典型的、均勻的低信號,比其他卵巢實性腫瘤信號更低[7],增強掃描顯示病灶實性成分呈中等以上的強化。由于實性成分退行性變導致基質鈣化,腫瘤內廣泛的不定形鈣化是卵巢 Brenner 瘤的特征性表現[8]。約 20% 的卵巢 Brenner 瘤常與黏液性囊腺瘤合并發生[9],MRI 表現為更復雜的囊實性信號強度。MRI 能準確顯示卵巢腫塊內部結構特點、腫塊囊實性情況、實性成分的信號特點和強化特點,是顯示卵巢腫塊纖維成分的首選檢查技術,為本病的認識及影像診斷提供參考依據。近年來正電子發射計算機體層掃描術(positron emission tomography,PET)/CT 開始用于卵巢惡性腫瘤,能夠更好地發現腹腔外轉移病灶及協助疾病的分期,因此 PET/CT 可考慮用于 Brenner 瘤患者的檢查[10]。
卵巢 Brenner 瘤可分良性、交界性和惡性,其中大部分為良性,交界性和惡性僅占所有卵巢 Brenner 瘤 3%~5%[11]。典型的卵巢良性 Brenner 瘤大部分呈實性,少數呈囊實性,通常為單側,邊界清楚,切面粗糙或呈纖維狀,呈灰色、白色或淺黃色,偶爾因鈣化沉積組織變得堅硬。卵巢交界性 Brenner 瘤的特點是囊性,呈單房或菜花狀腫塊凸向一個或多個囊腔的多房。卵巢惡性 Brenner 瘤常為雙側,由囊實性成分混合組成,囊性成分為主,通常沒有任何特異性[12]。
顯微鏡下觀查,卵巢 Brenner 瘤由大量致密的纖維基質和類似膀胱移行轉化上皮腺體組成。卵巢良性 Brenner 瘤所含的纖維成分多于交界性和惡性 Brenner 瘤。混合性的囊腺瘤含有不同數量的間質組織,這種情況在交界性和惡性腫瘤中更常見,常常以囊腫內的實性乳突狀突起的形式表現[13]。
卵巢 Brenner 瘤由于腫瘤位置固定,邊界清楚,活動度好,不易侵犯周圍組織,外科切除是最有效的治療方法,能有效緩解癥狀[14]。卵巢良性 Brenner 瘤根據患者年齡及是否有生育要求,行腫瘤剝除或患側附件或雙附件、子宮切除,預后好,無復發。卵巢交界性 Brenner 瘤,因腫瘤具有一定的惡性傾向,加之患者多為中老年人,目前治療多采用全子宮加雙側附件切除,術后不采取預防性化學治療(化療),預后較好,但對于年輕女性,保守治療即可,即徹底切除腫瘤,保留子宮及至少單側卵巢的一部分,并術后隨訪。卵巢惡性 Brenner 瘤有侵犯影響周圍組織的潛質,但這種病例少見,若卵巢惡性 Brenner 瘤診斷比較早,通常選擇手術治療,手術方式同其他上皮性卵巢癌,其中對于晚期患者,應行腫瘤細胞減滅術,盡可能切除病灶。但有研究表明,淋巴結轉移不常見于卵巢惡性 Brenner 瘤,清掃淋巴結不能改善預后,因此目前對于惡性的患者是否常規行淋巴結清掃術尚存在爭議[15]。卵巢惡性 Brenner 瘤的術后輔助治療與卵巢上皮惡性腫瘤相似,以化療為主,且暫未發現特異性化療方案。有學者發現,惡性患者術后進行紫杉醇加卡鉑(TC)化療,其完全反應率可達 90%[16]。因此紫杉醇聯合鉑類的化療方案是目前卵巢惡性 Brenner 瘤的首選化療方案,特異性化療方案有待于進一步研究。卵巢惡性 Brenner 瘤的預后與患者發病年齡、腫瘤分級、臨床分期相關,與卵巢上皮細胞癌相比,后者侵襲性較強,卵巢惡性 Brenner 瘤預后相對較好,對化療也更為敏感。由于 80% 的卵巢惡性 Brenner 診斷時多處于卵巢癌Ⅰ期,預后較好,5 年生存率達到 88%[16-17]。相關文獻提示,若腫瘤復發部位局限,全身化療仍能取得較好的療效[18]。