引用本文: 胥伶杰, 王仲. 百草枯灌胃致小鼠急性呼吸窘迫綜合征模型的建立. 華西醫學, 2017, 32(6): 842-846. doi: 10.7507/1002-0179.201705088 復制
百草枯是廣泛用于農業生產的有機雜環類除草劑。研究顯示,百草枯在肺組織中呈現高濃度聚集現象,為血漿中濃度的 6~10 倍[1]。中重度百草枯中毒患者早期肺部表現以不同程度的急性呼吸窘迫綜合征(acute respiratory distress syndrome,ARDS)為主,繼之逐步發展為肺纖維化。曾有學者采用多種動物進行百草枯體內代謝情況的實驗,建立動物模型[2-3],但早期研究表明,百草枯在大鼠和小鼠體內的動力學常數與人類相似,故其后的動物實驗常用大鼠和小鼠來進行百草枯中毒的各項研究[4]。且目前多采用腹腔內注射的方式建立動物模型,較少采用模擬人類經口攝入百草枯中毒的方式。因此,本研究采用灌胃的方式,模擬人類經口攝入百草枯中毒途徑,建立小鼠百草枯中毒致 ARDS 模型,并從動物臨床表現、肺濕/干比值、組織病理學表現及肺損傷評分等方面加以分析,證實和確定建立 ARDS 小鼠模型,并找到適宜建模濃度。現報告如下。
1 材料與方法
1.1 實驗動物與主要試劑
選擇 6~8 周齡,無特定病原體(specific pathogen free,SPF)級 C57 雌性小鼠 78 只,體質量(20±2)g,由北京協和醫院實驗動物中心提供,實驗動物使用許可證號:SYXK[京]2010-0028。二氯百草枯粉劑購自美國 Sigma 公司,分析純,批號:SZBB348XV。所有飼養及實驗流程均符合《北京協和醫院實驗動物福利倫理審查辦法》的規定。
1.2 實驗分組及動物模型建立
1.2.1 尋找穩定建模濃度 選擇 6~8 周齡、SPF 級雌性 C57 小鼠 42 只,隨機分為正常對照組和百草枯中毒組,正常對照組 6 只,百草枯中毒組 36 只。其中,百草枯中毒組隨機分為 6 個亞組,每亞組 6 只。正常對照組用磷酸鹽緩沖液(phosphate buffer saline,PBS)進行一次性灌胃,200 μL/只;百草枯中毒組各亞組分別采用濃度為 3、10、30、100、150、300 mg/kg 的百草枯一次性灌胃;觀察 7 d;為驗證穩定建模濃度,重復 3 次實驗。
1.2.2 建模小鼠肺組織研究 選擇 6~8 周齡、SPF 級雌性 C57 小鼠 36 只,隨機分為正常對照組和百草枯中毒組,按不同觀察時間點 1、2、3、4 d 各分為 4 個亞組,正常對照組每亞組 3 只,百草枯中毒組每亞組 6 只。正常對照組用 PBS 進行一次性灌胃,200 μL/只;百草枯中毒組據第 1 部分實驗結果,各亞組采用能穩定建立模型濃度的百草枯一次性灌胃。
1.2.3 觀察指標 ① 尋找穩定建模濃度時,行小鼠一般情況監測和存活率記錄:每日測量小鼠體質量并記錄其變化,并觀察小鼠活動度、毛色、呼吸情況等變化,觀察 7 d,記錄各組小鼠存活情況及小鼠死亡情況。
② 動物模型建立后,A. 行肺組織病理學觀察,采用能穩定建立模型濃度的百草枯一次性灌胃小鼠,分別于灌胃后 1、2、3、4 d 處死小鼠,開胸取右肺組織,浸泡于 10% 甲醛溶液固定,石蠟包埋切片,蘇木精-伊紅(hematoxylin-eosin,HE)染色,行光學顯微鏡(德國 Leica PM3000)檢查并拍照。B. 行肺損傷評分,光學顯微鏡下所見 HE 染色后肺組織病理變化,采用 Mikawa 等[5]的研究方法,進行肺損傷評分。
③ 肺濕/干比值測量。選擇小鼠出現急性肺損傷癥狀,并有死亡的百草枯干預濃度,將此濃度百草枯一次性灌胃小鼠,分別于灌胃后 2、4 d 處死小鼠,開胸取左肺,稱取濕重,于 80℃ 烤箱烘烤 24 h,稱取干重,求得濕/干比值。
1.3 統計學方法
1.3.1 小鼠死亡率情況 采用 GraphPad Prism 5 軟件進行統計學分析并繪圖。
1.3.2 肺濕/干比 采用 GraphPad Prism 5 軟件進行統計學分析并繪圖,采用雙側非配對 t 檢驗,與正常對照組進行比較。檢驗水準 α=0.05。
1.3.3 肺損傷評分用 采用 SPSS 16.0 軟件進行統計學分析,組間比較采用雙樣本方差分析,并使用 GraphPad Prism 5 軟件繪圖,與正常對照組進行比較。檢驗水準 α=0.05。
2 結果
2.1 小鼠一般情況及體質量變化
正常對照組全部小鼠活動敏捷,呼吸、進食正常,毛發光潔,體質量隨時間穩定增加。中低濃度(3、10、30、100 mg/kg)百草枯中毒組小鼠出現不同程度的活動減少,皮毛疏松,呼吸急促,鼠唇和鼠尾紫紺,精神萎靡,四肢無力,易抓捕,進食進水減少,體質量下降;多于 2~3 d 后毛色情況開始恢復,活動增多,呼吸情況改善,進食進水開始增多體質量逐漸恢復并穩定增長,無小鼠出現死亡。高濃度(150、300 mg/kg)百草枯中毒組小鼠多在染毒后 12 h 即可出現明顯的中毒表現:進食、進水量減少或不進食、進水,倦怠,走路不穩,肢體無力,活動減少,頭顫,呼吸急促,張口呼吸,口周紫紺,口鼻可見血性分泌物,腹瀉,毛發蓬松黯淡,體質量明顯下降,死亡前小鼠多呈現呼吸頻率減低或喘息、點頭樣呼吸、深大呼吸、張口呼吸,伴有四肢痙攣、抽搐等表現。
2.2 小鼠死亡率情況
3、10、30、100 mg/kg 百草枯中毒組無小鼠死亡。150、300 mg/kg 百草枯中毒組出現小鼠死亡,見圖 1。重復實驗發現 300 mg/kg 百草枯灌胃建立的動物模型更為穩定。

2.3 小鼠肺濕/干比情況
百草枯灌胃 2、4 d 時,150 mg/kg 百草枯中毒組小鼠肺濕/干比平均值分別為 5.335、6.113,兩亞組比較差異有統計學意義(P=0.002);300 mg/kg 百草枯中毒組小鼠肺濕/干比平均值分別為 5.525、6.403,兩亞組比較差異有統計學意義(P=0.008);正常對照組小鼠肺濕/干比平均值為 4.302,與百草枯中毒組(150、300 mg/kg)相比,差異均有統計學意義(P<0.001)。見圖 2。

2.4 小鼠肺組織病理學觀察
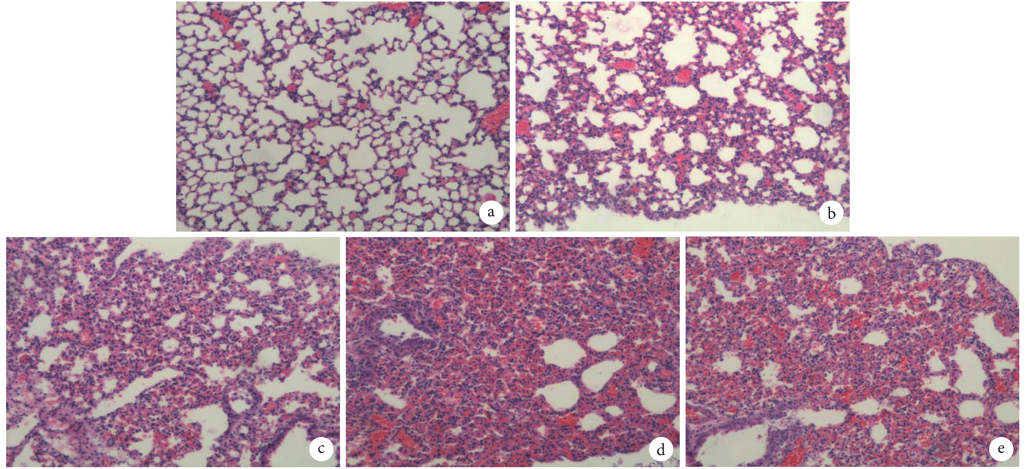
① 肉眼觀察。正常對照組小鼠的肺臟呈均勻粉紅色,包膜光滑,柔軟,彈性好;百草枯中毒組小鼠肺組織腫脹,色不均勻,表面可見大面積出血或瘀血,甚至全肺出血和淤血表現。② 光學顯微鏡觀察。正常對照組小鼠的肺組織結構清晰,肺泡腔無炎性細胞浸潤,偶有少許紅細胞,肺泡壁薄,間質血管無擴張,支氣管黏膜上皮完整;百草枯中毒組小鼠肺組織內可見正常肺泡結構消失,肺泡壁毛細血管擴張、瘀血,伴大片肺泡內出血,肺泡腔內可見水腫液,肺間質內可見大量炎癥細胞浸潤,肺間質水腫,肺泡間隔不同程度增寬,且隨時間增加,上述病理變化加重。見圖 3。

2.5 小鼠肺損傷評分
與正常對照組比較,隨中毒時間延長,百草枯中毒組小鼠肺損傷評分明顯升高,時間越長,評分升高情況越明顯(P<0.01)。見圖 4。

3 討論
百草枯是我國廣泛應用的除草劑,其中毒發病率仍呈逐年上升趨勢[6],且救治成功率低,病死率可達 90%[7]。由于臨床上,患者多經口攝入百草枯引起急性中毒,且中重度中毒患者早期肺部表現以不同程度的 ARDS 表現為主,故模擬患者中毒情況,建立穩定的百草枯致 ARDS 動物模型,有利于進行百草枯急性中毒致 ARDS 的機制研究,從而為進一步尋找百草枯中毒的有效解救方法作鋪墊。
目前建立百草枯中毒動物模型的途徑,多經過腹腔注射給藥方式[8-11],認為該方式更為簡便易行、所需百草枯量少。僅少數研究采用灌胃方式建立動物模型,且目前就經灌胃途徑建模的劑量,不同研究報道各不相同[12-13]。本研究建立模型濃度與其他研究存在差異,考慮與使用百草枯劑型、動物品種、給藥途徑和建立動物模型種類存在差異相關。不同給藥途徑間比較,腹腔注射給藥方式相較于靜脈注射方式的安全性和可操作性更高,同時中毒發生時間和代謝方式與靜脈注射相似,建立模型所需時間短,且建立的模型較穩定。然而,臨床上百草枯中毒患者極少通過靜脈注射或腹腔注射中毒,且多為經口攝入[14-15],故模擬臨床中毒方式建立穩定動物模型,是對百草枯中毒后 ARDS 機制研究的重要鋪墊步驟。
本研究通過不同劑量百草枯對小鼠進行灌胃,從而尋找穩定的建模濃度,發現不同劑量百草枯灌胃后,小鼠出現不同程度中毒反應,該反應呈時間和劑量依賴性表現。其中 150、300 mg/kg 百草枯中毒組小鼠均出現死亡,但重復實驗發現百草枯灌胃濃度為 300 mg/kg 時動物模型更為穩定,因此考慮 150 mg/kg 百草枯灌胃所造成的小鼠死亡具有偶然性。根據測量并計算的模型肺濕/干比值發現,上述兩種濃度百草枯建立動物模型的肺濕/干比明顯高于正常對照組,證實了百草枯灌胃后,小鼠 ARDS 的存在。該結果與其他文獻報道 ARDS 時肺濕/干比值升高的結果[16-17]相一致。進一步肺組織病理學檢查也證實動物模型的肺泡結構破壞、消失,肺泡腔內炎癥細胞浸潤、水腫、出血,肺間質內可見大量炎癥細胞浸潤,肺間質水腫,符合 ARDS 病理表現。此病理表現與其他動物實驗結果[18-19]及臨床病死患者尸檢結果[20-21]相一致。此外,300 mg/kg 百草枯中毒組小鼠不同時間點進行肺損傷評分的結果,也進一步證實動物模型存在 ARDS。以上結果說明本研究采用百草枯灌胃建立小鼠 ARDS 模型成功。
本研究建立動物模型不足之處在于受實驗條件限制,未能進行血氣分析及肺彈性測定,故所建立小鼠模型無法獲得低氧血癥和肺功能情況的實驗數據。此外,在實驗中,我們觀察到低濃度百草枯灌胃后,部分小鼠存在不同程度的活動減少、皮毛疏松、呼吸急促、鼠唇和鼠尾紫紺、精神萎靡等表現,但其后自行恢復,短期無死亡,不利于后期實驗評估,因此我們未對這部分小鼠進行進一步研究,不能除外該部分小鼠存在輕度 ARDS 的可能性。故本研究默認所建立的 ARDS 模型實際為嚴重致死性 ARDS 動物模型,存在一定局限性。
綜上,本研究通過一次性百草枯灌胃的方法,成功建立穩定的百草枯中毒致 ARDS 小鼠模型,為后續發病機制及干預途徑的進一步研究作鋪墊。
百草枯是廣泛用于農業生產的有機雜環類除草劑。研究顯示,百草枯在肺組織中呈現高濃度聚集現象,為血漿中濃度的 6~10 倍[1]。中重度百草枯中毒患者早期肺部表現以不同程度的急性呼吸窘迫綜合征(acute respiratory distress syndrome,ARDS)為主,繼之逐步發展為肺纖維化。曾有學者采用多種動物進行百草枯體內代謝情況的實驗,建立動物模型[2-3],但早期研究表明,百草枯在大鼠和小鼠體內的動力學常數與人類相似,故其后的動物實驗常用大鼠和小鼠來進行百草枯中毒的各項研究[4]。且目前多采用腹腔內注射的方式建立動物模型,較少采用模擬人類經口攝入百草枯中毒的方式。因此,本研究采用灌胃的方式,模擬人類經口攝入百草枯中毒途徑,建立小鼠百草枯中毒致 ARDS 模型,并從動物臨床表現、肺濕/干比值、組織病理學表現及肺損傷評分等方面加以分析,證實和確定建立 ARDS 小鼠模型,并找到適宜建模濃度。現報告如下。
1 材料與方法
1.1 實驗動物與主要試劑
選擇 6~8 周齡,無特定病原體(specific pathogen free,SPF)級 C57 雌性小鼠 78 只,體質量(20±2)g,由北京協和醫院實驗動物中心提供,實驗動物使用許可證號:SYXK[京]2010-0028。二氯百草枯粉劑購自美國 Sigma 公司,分析純,批號:SZBB348XV。所有飼養及實驗流程均符合《北京協和醫院實驗動物福利倫理審查辦法》的規定。
1.2 實驗分組及動物模型建立
1.2.1 尋找穩定建模濃度 選擇 6~8 周齡、SPF 級雌性 C57 小鼠 42 只,隨機分為正常對照組和百草枯中毒組,正常對照組 6 只,百草枯中毒組 36 只。其中,百草枯中毒組隨機分為 6 個亞組,每亞組 6 只。正常對照組用磷酸鹽緩沖液(phosphate buffer saline,PBS)進行一次性灌胃,200 μL/只;百草枯中毒組各亞組分別采用濃度為 3、10、30、100、150、300 mg/kg 的百草枯一次性灌胃;觀察 7 d;為驗證穩定建模濃度,重復 3 次實驗。
1.2.2 建模小鼠肺組織研究 選擇 6~8 周齡、SPF 級雌性 C57 小鼠 36 只,隨機分為正常對照組和百草枯中毒組,按不同觀察時間點 1、2、3、4 d 各分為 4 個亞組,正常對照組每亞組 3 只,百草枯中毒組每亞組 6 只。正常對照組用 PBS 進行一次性灌胃,200 μL/只;百草枯中毒組據第 1 部分實驗結果,各亞組采用能穩定建立模型濃度的百草枯一次性灌胃。
1.2.3 觀察指標 ① 尋找穩定建模濃度時,行小鼠一般情況監測和存活率記錄:每日測量小鼠體質量并記錄其變化,并觀察小鼠活動度、毛色、呼吸情況等變化,觀察 7 d,記錄各組小鼠存活情況及小鼠死亡情況。
② 動物模型建立后,A. 行肺組織病理學觀察,采用能穩定建立模型濃度的百草枯一次性灌胃小鼠,分別于灌胃后 1、2、3、4 d 處死小鼠,開胸取右肺組織,浸泡于 10% 甲醛溶液固定,石蠟包埋切片,蘇木精-伊紅(hematoxylin-eosin,HE)染色,行光學顯微鏡(德國 Leica PM3000)檢查并拍照。B. 行肺損傷評分,光學顯微鏡下所見 HE 染色后肺組織病理變化,采用 Mikawa 等[5]的研究方法,進行肺損傷評分。
③ 肺濕/干比值測量。選擇小鼠出現急性肺損傷癥狀,并有死亡的百草枯干預濃度,將此濃度百草枯一次性灌胃小鼠,分別于灌胃后 2、4 d 處死小鼠,開胸取左肺,稱取濕重,于 80℃ 烤箱烘烤 24 h,稱取干重,求得濕/干比值。
1.3 統計學方法
1.3.1 小鼠死亡率情況 采用 GraphPad Prism 5 軟件進行統計學分析并繪圖。
1.3.2 肺濕/干比 采用 GraphPad Prism 5 軟件進行統計學分析并繪圖,采用雙側非配對 t 檢驗,與正常對照組進行比較。檢驗水準 α=0.05。
1.3.3 肺損傷評分用 采用 SPSS 16.0 軟件進行統計學分析,組間比較采用雙樣本方差分析,并使用 GraphPad Prism 5 軟件繪圖,與正常對照組進行比較。檢驗水準 α=0.05。
2 結果
2.1 小鼠一般情況及體質量變化
正常對照組全部小鼠活動敏捷,呼吸、進食正常,毛發光潔,體質量隨時間穩定增加。中低濃度(3、10、30、100 mg/kg)百草枯中毒組小鼠出現不同程度的活動減少,皮毛疏松,呼吸急促,鼠唇和鼠尾紫紺,精神萎靡,四肢無力,易抓捕,進食進水減少,體質量下降;多于 2~3 d 后毛色情況開始恢復,活動增多,呼吸情況改善,進食進水開始增多體質量逐漸恢復并穩定增長,無小鼠出現死亡。高濃度(150、300 mg/kg)百草枯中毒組小鼠多在染毒后 12 h 即可出現明顯的中毒表現:進食、進水量減少或不進食、進水,倦怠,走路不穩,肢體無力,活動減少,頭顫,呼吸急促,張口呼吸,口周紫紺,口鼻可見血性分泌物,腹瀉,毛發蓬松黯淡,體質量明顯下降,死亡前小鼠多呈現呼吸頻率減低或喘息、點頭樣呼吸、深大呼吸、張口呼吸,伴有四肢痙攣、抽搐等表現。
2.2 小鼠死亡率情況
3、10、30、100 mg/kg 百草枯中毒組無小鼠死亡。150、300 mg/kg 百草枯中毒組出現小鼠死亡,見圖 1。重復實驗發現 300 mg/kg 百草枯灌胃建立的動物模型更為穩定。

2.3 小鼠肺濕/干比情況
百草枯灌胃 2、4 d 時,150 mg/kg 百草枯中毒組小鼠肺濕/干比平均值分別為 5.335、6.113,兩亞組比較差異有統計學意義(P=0.002);300 mg/kg 百草枯中毒組小鼠肺濕/干比平均值分別為 5.525、6.403,兩亞組比較差異有統計學意義(P=0.008);正常對照組小鼠肺濕/干比平均值為 4.302,與百草枯中毒組(150、300 mg/kg)相比,差異均有統計學意義(P<0.001)。見圖 2。

2.4 小鼠肺組織病理學觀察
① 肉眼觀察。正常對照組小鼠的肺臟呈均勻粉紅色,包膜光滑,柔軟,彈性好;百草枯中毒組小鼠肺組織腫脹,色不均勻,表面可見大面積出血或瘀血,甚至全肺出血和淤血表現。② 光學顯微鏡觀察。正常對照組小鼠的肺組織結構清晰,肺泡腔無炎性細胞浸潤,偶有少許紅細胞,肺泡壁薄,間質血管無擴張,支氣管黏膜上皮完整;百草枯中毒組小鼠肺組織內可見正常肺泡結構消失,肺泡壁毛細血管擴張、瘀血,伴大片肺泡內出血,肺泡腔內可見水腫液,肺間質內可見大量炎癥細胞浸潤,肺間質水腫,肺泡間隔不同程度增寬,且隨時間增加,上述病理變化加重。見圖 3。

2.5 小鼠肺損傷評分
與正常對照組比較,隨中毒時間延長,百草枯中毒組小鼠肺損傷評分明顯升高,時間越長,評分升高情況越明顯(P<0.01)。見圖 4。

3 討論
百草枯是我國廣泛應用的除草劑,其中毒發病率仍呈逐年上升趨勢[6],且救治成功率低,病死率可達 90%[7]。由于臨床上,患者多經口攝入百草枯引起急性中毒,且中重度中毒患者早期肺部表現以不同程度的 ARDS 表現為主,故模擬患者中毒情況,建立穩定的百草枯致 ARDS 動物模型,有利于進行百草枯急性中毒致 ARDS 的機制研究,從而為進一步尋找百草枯中毒的有效解救方法作鋪墊。
目前建立百草枯中毒動物模型的途徑,多經過腹腔注射給藥方式[8-11],認為該方式更為簡便易行、所需百草枯量少。僅少數研究采用灌胃方式建立動物模型,且目前就經灌胃途徑建模的劑量,不同研究報道各不相同[12-13]。本研究建立模型濃度與其他研究存在差異,考慮與使用百草枯劑型、動物品種、給藥途徑和建立動物模型種類存在差異相關。不同給藥途徑間比較,腹腔注射給藥方式相較于靜脈注射方式的安全性和可操作性更高,同時中毒發生時間和代謝方式與靜脈注射相似,建立模型所需時間短,且建立的模型較穩定。然而,臨床上百草枯中毒患者極少通過靜脈注射或腹腔注射中毒,且多為經口攝入[14-15],故模擬臨床中毒方式建立穩定動物模型,是對百草枯中毒后 ARDS 機制研究的重要鋪墊步驟。
本研究通過不同劑量百草枯對小鼠進行灌胃,從而尋找穩定的建模濃度,發現不同劑量百草枯灌胃后,小鼠出現不同程度中毒反應,該反應呈時間和劑量依賴性表現。其中 150、300 mg/kg 百草枯中毒組小鼠均出現死亡,但重復實驗發現百草枯灌胃濃度為 300 mg/kg 時動物模型更為穩定,因此考慮 150 mg/kg 百草枯灌胃所造成的小鼠死亡具有偶然性。根據測量并計算的模型肺濕/干比值發現,上述兩種濃度百草枯建立動物模型的肺濕/干比明顯高于正常對照組,證實了百草枯灌胃后,小鼠 ARDS 的存在。該結果與其他文獻報道 ARDS 時肺濕/干比值升高的結果[16-17]相一致。進一步肺組織病理學檢查也證實動物模型的肺泡結構破壞、消失,肺泡腔內炎癥細胞浸潤、水腫、出血,肺間質內可見大量炎癥細胞浸潤,肺間質水腫,符合 ARDS 病理表現。此病理表現與其他動物實驗結果[18-19]及臨床病死患者尸檢結果[20-21]相一致。此外,300 mg/kg 百草枯中毒組小鼠不同時間點進行肺損傷評分的結果,也進一步證實動物模型存在 ARDS。以上結果說明本研究采用百草枯灌胃建立小鼠 ARDS 模型成功。
本研究建立動物模型不足之處在于受實驗條件限制,未能進行血氣分析及肺彈性測定,故所建立小鼠模型無法獲得低氧血癥和肺功能情況的實驗數據。此外,在實驗中,我們觀察到低濃度百草枯灌胃后,部分小鼠存在不同程度的活動減少、皮毛疏松、呼吸急促、鼠唇和鼠尾紫紺、精神萎靡等表現,但其后自行恢復,短期無死亡,不利于后期實驗評估,因此我們未對這部分小鼠進行進一步研究,不能除外該部分小鼠存在輕度 ARDS 的可能性。故本研究默認所建立的 ARDS 模型實際為嚴重致死性 ARDS 動物模型,存在一定局限性。
綜上,本研究通過一次性百草枯灌胃的方法,成功建立穩定的百草枯中毒致 ARDS 小鼠模型,為后續發病機制及干預途徑的進一步研究作鋪墊。