引用本文: 蔡琳, 田永明, 杜愛平, 劉歡, 朱仕超. 以重癥肺炎收入的 H5N1 型高致病性禽流感患者醫院感染防控措施與體會一例. 華西醫學, 2017, 32(12): 1994-1995. doi: 10.7507/1002-0179.201703094 復制
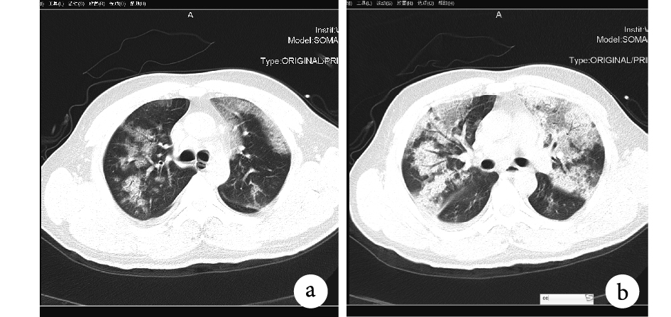
病例介紹 患者,男,42 歲。因“呼吸困難,伴咳嗽、發熱,體溫最高 41℃”于 2016 年 1 月 3 日入住我院急診科。2015 年 12 月 28 日患者無明顯誘因出現畏寒、寒戰、發熱,體溫最高 39℃,遂就診于當地醫院,經過對癥、支持治療后癥狀無改善。2016 年 1 月 1 日,患者出現咳嗽癥狀,咳黃色濃痰,在當地醫院行胸部 CT 檢查示右肺肺炎。入住我院后行 CT 檢查結果示:雙肺散在斑片影、磨玻璃及實變影(圖 1);實驗室檢查結果顯示:流感病毒抗原為陰性,給予氣管插管、抗炎、補液等治療后于 1 月 4 日收入重癥監護病房(Intensive Care Unit,ICU),入科診斷為“重癥肺炎,呼吸衰竭”。因為病因不明,收至單人病房,同時醫務人員做好標準職業防護。入 ICU 后給予呼吸支持、鎮痛鎮靜,予抗炎、體外膜肺氧合、連續腎臟替代療法、祛痰、抑酸等對癥和支持治療,同時積極搜尋病因,實驗室結果顯示尿軍團菌抗原陰性,血培養陰性,骨髓細菌培養陰性,肺組織及痰培養陰性。因患者發病原因不明,病程進展迅速而常規各項檢查都未能尋找出致病因素,此后,進行呼吸道 13 種病毒檢測,1 月 11 日病毒檢測結果示:甲型流感病毒陽性。確診后立即上報醫院感染管理科(院感科),院感科隨即通知所屬區域疾病控制中心留取標本進一步鑒定亞型。1 月 13 日亞型鑒定結果為 H5N1 高致病性禽流感,科室采取了全方位精細化的感染控制措施,積極應對,在做好相應隔離措施的同時繼續對癥支持治療,積極維持患者各器官功能。雖積極進行搶救,但患者因病情危重,于 2 月 16 日搶救無效死亡。在患者入住 ICU 的 43 d 及后續觀察期內,所有密切接觸過患者的醫務人員(包括醫生 12 名、護士 20 名、工人 4 名,共 36 人),均無禽流感疫情報告;經回訪急診科接診醫務人員也無疫情報告。患者所產生的醫療廢物都得到規范化、妥善處理,未發生患者所接觸過物品與正常患者所使用物品的混合,疫情無擴散。

a. 雙肺散在斑片影;b. 雙肺散在磨玻璃及實變影
討論 禽流感是由甲型流感病毒的任何一個亞型引起各種家禽及野生禽類感染或發生疫病的一種傳染性疾病綜合征[1]。人禽流感是人接觸禽流感病毒感染的排泄物或分泌物感染并出現以呼吸道感染、黏膜充血等癥狀為主要表現的人禽共患疾病。部分感染了高致病性禽流感毒株(如 H5N1)患者可出現呼吸衰竭和多器官損害,病死率遠高于季節性流感[2]。自 2003 年底以來,人感染高致病性禽流感病毒(H5N1)在全球導致多人發病和死亡[3]。我國已將人感染高致病性禽流感納入乙類傳染病進行管理[4]。我科于 2016 年 1 月收治了 1 例人感染高致病性 H5N1 亞型禽流感患者,通過有效的隔離、防護,全方位落實醫院感染(院感)防護措施,取得較好的成效。① 具體院感防控措施如下:A. 單間隔離。將患者安置于病房末端的單間進行隔離,做好病室門禁管理;在病室門口、患者腕帶、病歷夾張貼飛沫隔離和接觸隔離標識。B. 物資準備。物品專人專用,備齊防護套件:申領充足的防護用具。病室備好隔離套件,包括 N95 口罩、隔離衣、防護服、一次性乳膠手套和護目鏡等,每日巡視,及時補充;患者使用的儀器設備均做到專人專用。C. 醫務人員防控措施。在科室間患者交接方面,除了病情的交接外,還須根據患者發病情況考慮有無傳染病的可能,讓醫務人員做好標準預防;在個人防護方面醫務人員應嚴格遵循標準預防要求,根據預期暴露的部位做好個人防護。進行可能受到患者體液、血液和分泌物等噴濺的操作時,戴醫用防護口罩、醫用乳膠無菌手套、護目鏡或防護面屏,穿防滲防護服。對患者進行氣管插管等可能產生氣溶膠的有創操作時,戴醫用防護口罩、醫用乳膠無菌手套、防護面罩、穿防滲防護服。個人防護用品被患者血液、體液、分泌物等污染時應當及時更換。在診療操作結束后,及時離開隔離區,并及時更換個人防護用品。正確穿戴和脫摘防護用品,手套和防護服穿前和脫后都應洗手或手消毒。在人員管理方面專人管理,限制人員流動;護理組固定組內專人管理此患者。床位主管護士如需取用物品或藥品,應向協作人員求助領取,減少人員進出的頻率。醫生查房限制進病房人數不超過 3 人。D. 醫療廢物處理。對于一般醫療廢物,垃圾桶套雙層黃色垃圾袋,患者產生的垃圾均按醫療廢物處理,滿 3/4 及時扎口,垃圾袋外面貼上“特殊感染”字樣標簽。運送時,使用專用垃圾運送桶轉運,交接雙方稱重,簽字。轉運垃圾后,運送容器使用 2 000 mg/L 含氯消毒劑擦拭或噴灑至表面,作用 60 min。對于非一次性使用醫療器械用后及時清點,防止遺失,使用雙層黃色醫療廢物袋盛裝,袋外張貼“特殊感染”字樣的標簽,送消毒供應中心滅菌處理。對于血液透析置換液處理,在污物間固定一專用廢液傾倒槽,建立傾倒消毒登記本,傾倒廢液時,醫務人員需做好自身防護,防止氣溶膠所致的職業暴露。傾倒廢液后,立即使用 2 000 mg/L 含氯消毒劑噴灑消毒廢液傾倒槽。E. 環境消毒。開窗通風換氣,3 次/d;使用紫外線循環風空氣消毒機進行空氣消毒,3 次/d,2 h/次。每日對物體表面和地面進行清潔和消毒 3 次,消毒劑選用有效氯為 2 000 mg/L 的含氯消毒劑。貴重、精密儀器使用 75% 乙醇擦拭消毒。 F. 患者檢查管理。盡量避免或減少患者外出檢查;有必要在床旁進行檢查時,如:床旁攝片,應做好相關人員職業防護,接觸過患者或患者環境的設備使用 75% 乙醇擦拭消毒。G. 終末消毒。對患者及其所住病房、用物、醫療器械、設備進行處理。建立終末消毒核查表,保證終末消毒環節無遺漏。首先,患者死亡后尸體處理:電話通知太平間,告知其提前做好準備措施,須專人、專車、專門路線;進入隔離區前,根據標準預防要求做好個人防護;尸體使用雙層布單包裹尸體,裝入雙層尸體袋中運送;運輸工具,使用 2 000 mg/L 的含氯消毒劑溶液擦拭表面,作用 60 min。其次,醫務人員要求:穿防護服、鞋套、戴 N95 口罩、一次性帽子、護目鏡、帶一次性乳膠手套,處理患者環境中的物品并進行消毒工作。病員服、被褥等紡織品:盡量領用一次性床單、被套,用后按照上述醫療廢物要求處理;因為禽流感病毒對高溫敏感,65℃ 的 30 min 或 100℃ 2 min 以上可滅活[5],因此對于非一次性使用后的耐高溫紡織品,使用雙層黃色醫療廢物袋盛裝,袋外注明“特殊感染(H5N1)”,送漿洗房,先使用 500 mg/L 的含氯消毒劑浸泡 30 min,再行煮沸消毒 20 min。最后,患者環境消毒:墻面、地面使用 2 000 mg/L 含氯消毒劑噴灑消毒,先由外向內噴灑 1 次,待室內消毒完畢后在由內向外重復噴灑 1 次。以上消毒處理,作用時間不應少于 60 min。患者環境不帶電的所有物品,如床旁桌、床墊、凳子、治療車、無菌柜、垃圾桶等均使用 2 000 mg/L 的含氯消毒劑擦拭消毒。帶電的貴重儀器、設備(包括導聯線、屏幕、電源線)使用 75% 乙醇擦拭消毒。
② 院感防控體會。A. 早期防控。患者病情發展迅速,在不明確原因的情況下,收入我院急診科,急診也曾考慮人高致病性禽流感的可能,但查得流感病毒抗原檢測為陰性。在 ICU 住院期間,通過病因排查,復查呼吸道 13 種病毒檢測,甲型流感病毒陽性,由此可見,對于不明原因的重癥肺炎患者,醫務人員應高度警惕,早期排查病因的同時早期做好自身標準防護。同時,標準預防的核心在于呼吸道防護,收治不明原因的重癥肺炎患者時,詳細詢問發病原因并進行流行病學調查;醫務人員根據考慮疑似的傳染病傳播途徑做好標準預防,同時將患者單間隔離,留取標本送檢;標本檢驗結果陽性,應立即上報科領導、院感科;科室請感染科、呼吸科二線或二線以上專家急會診,科室將會診意見第一時間上報院感科;如需進一步明確病因,院感科上報所屬區域的疾病控制中心,疾病控制中心人員到現場采樣后,第一時間將檢驗結果反饋給醫院;明確病因后,進一步做好防護、隔離措施。B. 有效消毒。研究表明含 125 mg/L 的有效氯對禽流感病毒作用 5 min,殺滅率可達 99.99% 以上,167 mg/L 的有效氯可達到完全滅活[6]。但患者住院期間有創操作頻繁,各種侵入性管道的置入,醫護人員和患者環境受患者體液、血液噴濺的可能性高;加上患者病情危重,在搶救時,患者的體液、血液更容易導致環境污染。對于特殊感染患者體液、血液污染的環境,我們使用 2 000 mg/L 的含氯消毒劑進行環境消毒,以保證消毒效果。目前 H5N1 人高致病性禽流感雖無明確人傳染人的證據,但世界各國的專家普遍擔心流感病毒變異成一種既有高致病性又有人流感病毒高傳播性特點的新型流感病毒[7]。因此,醫務人員更應該慎重對待,做好職業防護,環境消毒等措施。
綜上,H5N1 病毒雖已不是新型病毒,但其傳染性和高病死率給醫務人員帶來了巨大的身心壓力,因此,早發現、早隔離、早防護、早診斷和早治療顯得尤為重要。在院感防控的各個環節更是要求精細化管理,避免給醫務人員帶來不必要的身心傷害,尤其對未明確病因的重癥肺炎,醫務人員也應高度警惕,應聯合醫院相關部門積極進行流行病學調查,早日明確病因。
病例介紹 患者,男,42 歲。因“呼吸困難,伴咳嗽、發熱,體溫最高 41℃”于 2016 年 1 月 3 日入住我院急診科。2015 年 12 月 28 日患者無明顯誘因出現畏寒、寒戰、發熱,體溫最高 39℃,遂就診于當地醫院,經過對癥、支持治療后癥狀無改善。2016 年 1 月 1 日,患者出現咳嗽癥狀,咳黃色濃痰,在當地醫院行胸部 CT 檢查示右肺肺炎。入住我院后行 CT 檢查結果示:雙肺散在斑片影、磨玻璃及實變影(圖 1);實驗室檢查結果顯示:流感病毒抗原為陰性,給予氣管插管、抗炎、補液等治療后于 1 月 4 日收入重癥監護病房(Intensive Care Unit,ICU),入科診斷為“重癥肺炎,呼吸衰竭”。因為病因不明,收至單人病房,同時醫務人員做好標準職業防護。入 ICU 后給予呼吸支持、鎮痛鎮靜,予抗炎、體外膜肺氧合、連續腎臟替代療法、祛痰、抑酸等對癥和支持治療,同時積極搜尋病因,實驗室結果顯示尿軍團菌抗原陰性,血培養陰性,骨髓細菌培養陰性,肺組織及痰培養陰性。因患者發病原因不明,病程進展迅速而常規各項檢查都未能尋找出致病因素,此后,進行呼吸道 13 種病毒檢測,1 月 11 日病毒檢測結果示:甲型流感病毒陽性。確診后立即上報醫院感染管理科(院感科),院感科隨即通知所屬區域疾病控制中心留取標本進一步鑒定亞型。1 月 13 日亞型鑒定結果為 H5N1 高致病性禽流感,科室采取了全方位精細化的感染控制措施,積極應對,在做好相應隔離措施的同時繼續對癥支持治療,積極維持患者各器官功能。雖積極進行搶救,但患者因病情危重,于 2 月 16 日搶救無效死亡。在患者入住 ICU 的 43 d 及后續觀察期內,所有密切接觸過患者的醫務人員(包括醫生 12 名、護士 20 名、工人 4 名,共 36 人),均無禽流感疫情報告;經回訪急診科接診醫務人員也無疫情報告。患者所產生的醫療廢物都得到規范化、妥善處理,未發生患者所接觸過物品與正常患者所使用物品的混合,疫情無擴散。

a. 雙肺散在斑片影;b. 雙肺散在磨玻璃及實變影
討論 禽流感是由甲型流感病毒的任何一個亞型引起各種家禽及野生禽類感染或發生疫病的一種傳染性疾病綜合征[1]。人禽流感是人接觸禽流感病毒感染的排泄物或分泌物感染并出現以呼吸道感染、黏膜充血等癥狀為主要表現的人禽共患疾病。部分感染了高致病性禽流感毒株(如 H5N1)患者可出現呼吸衰竭和多器官損害,病死率遠高于季節性流感[2]。自 2003 年底以來,人感染高致病性禽流感病毒(H5N1)在全球導致多人發病和死亡[3]。我國已將人感染高致病性禽流感納入乙類傳染病進行管理[4]。我科于 2016 年 1 月收治了 1 例人感染高致病性 H5N1 亞型禽流感患者,通過有效的隔離、防護,全方位落實醫院感染(院感)防護措施,取得較好的成效。① 具體院感防控措施如下:A. 單間隔離。將患者安置于病房末端的單間進行隔離,做好病室門禁管理;在病室門口、患者腕帶、病歷夾張貼飛沫隔離和接觸隔離標識。B. 物資準備。物品專人專用,備齊防護套件:申領充足的防護用具。病室備好隔離套件,包括 N95 口罩、隔離衣、防護服、一次性乳膠手套和護目鏡等,每日巡視,及時補充;患者使用的儀器設備均做到專人專用。C. 醫務人員防控措施。在科室間患者交接方面,除了病情的交接外,還須根據患者發病情況考慮有無傳染病的可能,讓醫務人員做好標準預防;在個人防護方面醫務人員應嚴格遵循標準預防要求,根據預期暴露的部位做好個人防護。進行可能受到患者體液、血液和分泌物等噴濺的操作時,戴醫用防護口罩、醫用乳膠無菌手套、護目鏡或防護面屏,穿防滲防護服。對患者進行氣管插管等可能產生氣溶膠的有創操作時,戴醫用防護口罩、醫用乳膠無菌手套、防護面罩、穿防滲防護服。個人防護用品被患者血液、體液、分泌物等污染時應當及時更換。在診療操作結束后,及時離開隔離區,并及時更換個人防護用品。正確穿戴和脫摘防護用品,手套和防護服穿前和脫后都應洗手或手消毒。在人員管理方面專人管理,限制人員流動;護理組固定組內專人管理此患者。床位主管護士如需取用物品或藥品,應向協作人員求助領取,減少人員進出的頻率。醫生查房限制進病房人數不超過 3 人。D. 醫療廢物處理。對于一般醫療廢物,垃圾桶套雙層黃色垃圾袋,患者產生的垃圾均按醫療廢物處理,滿 3/4 及時扎口,垃圾袋外面貼上“特殊感染”字樣標簽。運送時,使用專用垃圾運送桶轉運,交接雙方稱重,簽字。轉運垃圾后,運送容器使用 2 000 mg/L 含氯消毒劑擦拭或噴灑至表面,作用 60 min。對于非一次性使用醫療器械用后及時清點,防止遺失,使用雙層黃色醫療廢物袋盛裝,袋外張貼“特殊感染”字樣的標簽,送消毒供應中心滅菌處理。對于血液透析置換液處理,在污物間固定一專用廢液傾倒槽,建立傾倒消毒登記本,傾倒廢液時,醫務人員需做好自身防護,防止氣溶膠所致的職業暴露。傾倒廢液后,立即使用 2 000 mg/L 含氯消毒劑噴灑消毒廢液傾倒槽。E. 環境消毒。開窗通風換氣,3 次/d;使用紫外線循環風空氣消毒機進行空氣消毒,3 次/d,2 h/次。每日對物體表面和地面進行清潔和消毒 3 次,消毒劑選用有效氯為 2 000 mg/L 的含氯消毒劑。貴重、精密儀器使用 75% 乙醇擦拭消毒。 F. 患者檢查管理。盡量避免或減少患者外出檢查;有必要在床旁進行檢查時,如:床旁攝片,應做好相關人員職業防護,接觸過患者或患者環境的設備使用 75% 乙醇擦拭消毒。G. 終末消毒。對患者及其所住病房、用物、醫療器械、設備進行處理。建立終末消毒核查表,保證終末消毒環節無遺漏。首先,患者死亡后尸體處理:電話通知太平間,告知其提前做好準備措施,須專人、專車、專門路線;進入隔離區前,根據標準預防要求做好個人防護;尸體使用雙層布單包裹尸體,裝入雙層尸體袋中運送;運輸工具,使用 2 000 mg/L 的含氯消毒劑溶液擦拭表面,作用 60 min。其次,醫務人員要求:穿防護服、鞋套、戴 N95 口罩、一次性帽子、護目鏡、帶一次性乳膠手套,處理患者環境中的物品并進行消毒工作。病員服、被褥等紡織品:盡量領用一次性床單、被套,用后按照上述醫療廢物要求處理;因為禽流感病毒對高溫敏感,65℃ 的 30 min 或 100℃ 2 min 以上可滅活[5],因此對于非一次性使用后的耐高溫紡織品,使用雙層黃色醫療廢物袋盛裝,袋外注明“特殊感染(H5N1)”,送漿洗房,先使用 500 mg/L 的含氯消毒劑浸泡 30 min,再行煮沸消毒 20 min。最后,患者環境消毒:墻面、地面使用 2 000 mg/L 含氯消毒劑噴灑消毒,先由外向內噴灑 1 次,待室內消毒完畢后在由內向外重復噴灑 1 次。以上消毒處理,作用時間不應少于 60 min。患者環境不帶電的所有物品,如床旁桌、床墊、凳子、治療車、無菌柜、垃圾桶等均使用 2 000 mg/L 的含氯消毒劑擦拭消毒。帶電的貴重儀器、設備(包括導聯線、屏幕、電源線)使用 75% 乙醇擦拭消毒。
② 院感防控體會。A. 早期防控。患者病情發展迅速,在不明確原因的情況下,收入我院急診科,急診也曾考慮人高致病性禽流感的可能,但查得流感病毒抗原檢測為陰性。在 ICU 住院期間,通過病因排查,復查呼吸道 13 種病毒檢測,甲型流感病毒陽性,由此可見,對于不明原因的重癥肺炎患者,醫務人員應高度警惕,早期排查病因的同時早期做好自身標準防護。同時,標準預防的核心在于呼吸道防護,收治不明原因的重癥肺炎患者時,詳細詢問發病原因并進行流行病學調查;醫務人員根據考慮疑似的傳染病傳播途徑做好標準預防,同時將患者單間隔離,留取標本送檢;標本檢驗結果陽性,應立即上報科領導、院感科;科室請感染科、呼吸科二線或二線以上專家急會診,科室將會診意見第一時間上報院感科;如需進一步明確病因,院感科上報所屬區域的疾病控制中心,疾病控制中心人員到現場采樣后,第一時間將檢驗結果反饋給醫院;明確病因后,進一步做好防護、隔離措施。B. 有效消毒。研究表明含 125 mg/L 的有效氯對禽流感病毒作用 5 min,殺滅率可達 99.99% 以上,167 mg/L 的有效氯可達到完全滅活[6]。但患者住院期間有創操作頻繁,各種侵入性管道的置入,醫護人員和患者環境受患者體液、血液噴濺的可能性高;加上患者病情危重,在搶救時,患者的體液、血液更容易導致環境污染。對于特殊感染患者體液、血液污染的環境,我們使用 2 000 mg/L 的含氯消毒劑進行環境消毒,以保證消毒效果。目前 H5N1 人高致病性禽流感雖無明確人傳染人的證據,但世界各國的專家普遍擔心流感病毒變異成一種既有高致病性又有人流感病毒高傳播性特點的新型流感病毒[7]。因此,醫務人員更應該慎重對待,做好職業防護,環境消毒等措施。
綜上,H5N1 病毒雖已不是新型病毒,但其傳染性和高病死率給醫務人員帶來了巨大的身心壓力,因此,早發現、早隔離、早防護、早診斷和早治療顯得尤為重要。在院感防控的各個環節更是要求精細化管理,避免給醫務人員帶來不必要的身心傷害,尤其對未明確病因的重癥肺炎,醫務人員也應高度警惕,應聯合醫院相關部門積極進行流行病學調查,早日明確病因。