引用本文: 包力, 楊濤, 王曉悅, 劉隴黔. 近視患者視網膜及脈絡膜厚度分析. 華西醫學, 2017, 32(10): 1520-1524. doi: 10.7507/1002-0179.201610140 復制
近視是最常見的眼部疾病之一,對眼球多個組織結構都會產生一定影響。世界衛生組織已在“2020 行動綱要”中將近視列為威脅視力的主要疾病之一[1]。隨著科學技術的發展及生活方式的改變,近視呈現出低齡化及高增長的發展趨勢。為預防近視的發生,控制其發展,研究者們對近視的成因及影響其發展的因素等各個方面都做了大量研究[2]。本研究旨在對各個屈光度范圍的近視患者視網膜和脈絡膜厚度進行比較,以期得到近視患者視網膜及脈絡膜厚度的變化與屈光度的關系,對近視的發展研究提供更豐富的證據。現報告如下。
1 資料與方法
1.1 一般資料
選取 2015 年 10 月—2016 年 6 月在四川大學華西醫院眼科門診就診并確診為單純性近視的患者 161 例(322 只眼)。將其屈光不正的度數做等效球鏡換算,根據等效球鏡的范圍將其分為 3 組:等效球鏡在–0.25~–3.00 D 的患者歸為低度近視組,等效球鏡在–3.25~–6.00 D 的患者歸為中度近視組,等效球鏡在–6.25 D 以上者歸為高度近視組[3]。所有受試者的最佳矯正視力均≥0.8。低度近視組 64 例(128 只眼),其中男 34 例(68 只眼),女 30 例(60 只眼);年齡 20~45 歲;平均(30.09±11.65)歲。中度近視組 47 例(94 只眼),其中男 21 例(42 只眼),女 26 例(52 只眼);年齡 20~72 歲;平均(41.48±16.44)歲。高度近視組 50 例(100 只眼),其中男 23 例(46 只眼),女 27 例(54 只眼);年齡 18~76 歲,平均(36.24±13.79)歲。
選取 2016 年 1 月—6 月在四川大學華西醫院門診就診并通過在眼科的詳細檢查,排除包括屈光不正在內的所有眼部病變的正常志愿者共 53 例(106 只眼),為正視組。其中男 28 例(56 只眼),女 25 例(50 只眼);年齡 19~52 歲,平均(32.25±8.44)歲。所有志愿者均在檢測前告知其檢測事項并都獲得其同意的前提下進行檢測。
1.2 測量方法
所有受試者均進行單純醫學驗光及光學相干斷層成像(optical coherence tomography,OCT)檢查,為了減少人為誤差,每項檢查均固定一位操作人員進行檢查。
單純醫學驗光方法:檢查在暗室中進行,采用檢影驗光加綜合驗光儀檢測方法測得受試者的屈光不正度數及最佳矯正視力,根據受試者的屈光不正度數求得其等效球鏡度,并按照其等效球鏡度數進行分組。
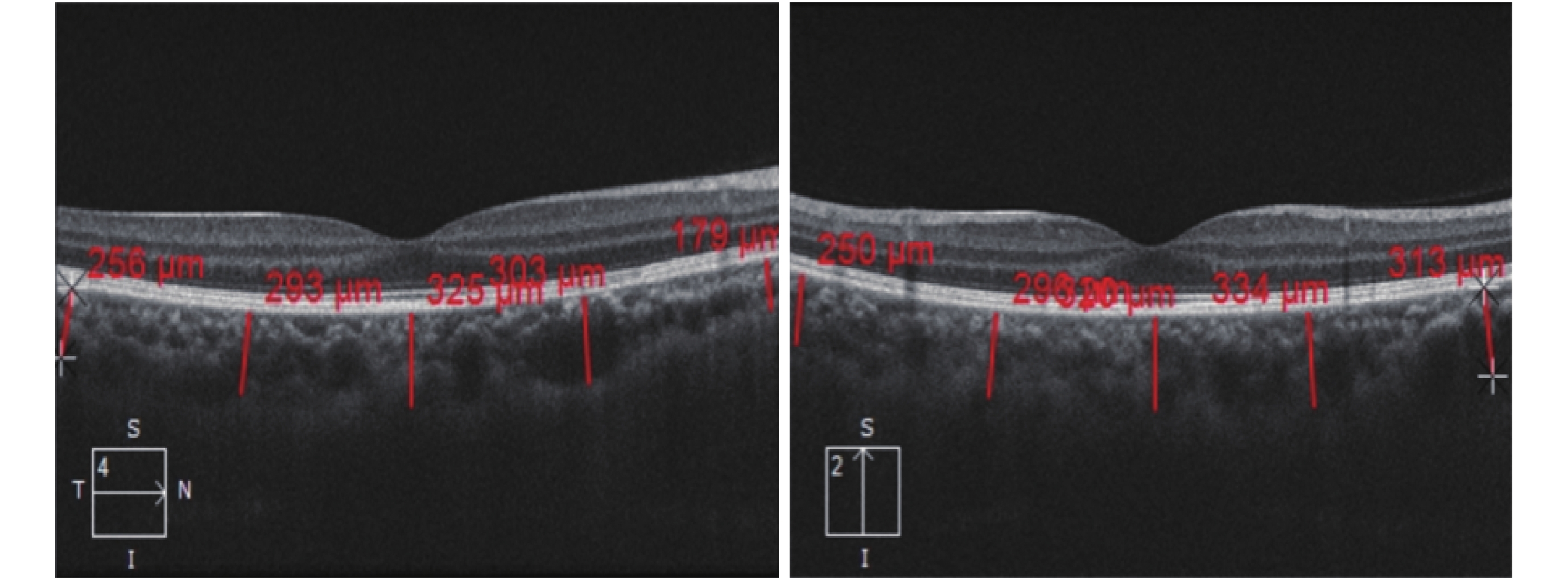
OCT 方法:采用德國卡爾蔡司公司生產的 Cirrus HD-OCT 5000 光學相關斷層掃描儀的深度增強成像技術(enhanced depth imaging,EDI)進行檢測,受檢者下頜置于儀器的下頜托上,注視儀器中的亮點,采用 Macular cube 512×128 模式,以黃斑中心凹為原點掃描直徑為 6 mm 的后極部視網膜厚度,得到后極部視網膜厚度地形圖(圖 1),根據厚度地形圖得出以黃斑中心凹及中心凹上方、下方、鼻側、顳側 3 mm 及 6 mm 處的視網膜厚度,取所有方位厚度數值相加求得后極部視網膜厚度平均值。采用高清五線深度掃描模式,以長度為 6 mm 的掃描線段對后極部黃斑中心凹行水平和垂直位掃描,選取其中進過黃斑中心凹的截面,以視網膜色素上皮層外界和鞏膜層內界的垂直距離為脈絡膜厚度,利用系統自帶的測量工具測量黃斑中心凹及中心凹上方、下方、鼻側、顳側 3、6 mm 處脈絡膜厚度(圖 2),每個數值測量 3 次取平均值,所有數值相加取平均值。


1.3 統計學方法
采用 SPSS 17.0 軟件進行統計分析。計量資料以均數±標準差表示;計數資料以例數和百分比表示。采用單因素方差分析法分別分析各組間視網膜和脈絡膜厚度的差值是否具有差異。多組間比較,當正態分布且方差齊時采用方差分析,兩兩比較采用 SNK-q 檢驗;否則采用 Kruskal-Wallis 秩和檢驗,兩兩比較采用 Dunnett’s T3 檢驗。檢驗水準 α=0.05。
2 結果
除中度近視組與高度近視組間視網膜厚度比較差異無統計學意義(P>0.05)外,其余各組間視網膜厚度兩兩比較差異均有統計學意義(P<0.05),且視網膜厚度隨著屈光度的增加而變薄;除正視組與中度近視組間脈絡膜厚度比較差異無統計學意義(P>0.05)外,其余各組間脈絡膜厚度兩兩比較差異均有統計學意義(P<0.05)。見表 1。


3 討論
近視是指眼在調節放松的狀態下,平行光線經眼的屈光系統折射后聚焦在視網膜之前的一種眼的屈光狀態。近視是現階段普遍存在的一種眼病,已經成為了許多地區的公共衛生問題。并且隨著近視性屈光不正度數的不斷發展,合并的各種眼底病變及其他的眼部疾病的風險也隨之升高。因此,為了控制近視的發生與發展,對其發病機制及其影響因素的探索也成為了學者們研究的熱門領域[4-6]。之前的一些研究表明,隨著近視度數的增加,視網膜的厚度有變薄的趨勢[7-11]。視網膜是位于眼球壁內層的一層透明的薄膜,從內到外由 10 層細胞層組成,主要由視網膜色素上皮層和感覺細胞層組成。視網膜相當于一架照相機中的感光底片,專門負責感光成像,是眼球屈光系統成像的重要組成成分,其結構的紊亂或功能的缺失都將對眼球屈光成像造成不可逆轉的影響[2]。本研究通過 OCT 技術測量了不同屈光度的近視患者視網膜后極部以中心凹為原點直徑 6 mm 范圍的平均視網膜厚度,得出除中度近視組與高度近視組之間視網膜厚度無明顯差異外,其余各組之間視網膜厚度的差異均有統計學意義,且近視患者的視網膜厚度隨著屈光不正度數的增加而變薄。與之前的研究結果[8-11]有所不同的是,視網膜厚度的差異在中度近視組與高度近視組之間無統計學意義。近視患者的視網膜厚度隨著屈光不正度數的增加而變薄的原因可能是隨著近視度數的不斷增加,眼軸不斷延長,視網膜被動拉伸,視網膜視錐細胞外界破壞嚴重,視網膜色素上皮細胞排列紊亂,有核細胞層數減少,導致后極部循環障礙,視網膜逐步萎縮變薄;而中度近視與高度近視之間差異無統計學意義可能是兩組之間屈光度差異不明顯,高度近視組中超高度近視所占比例過小所致。
本研究還應用高清深度掃描技術測量了正視和近視性屈光不正患者黃斑中心凹脈絡膜厚度。高清深度掃描技術是在傳統的頻域 OCT 的基礎上進一步能反映脈絡膜組織結構的技術,是使更多的光線集中照射在脈絡膜甚至更深的鞏膜水平從而得到較清晰的脈絡膜影像,為觀察脈絡膜血管結構及測量脈絡膜厚度提供依據[12]。脈絡膜是位于視網膜和鞏膜之間的一層膜,含有豐富的血管和色素細胞,供應視網膜外層和色素上皮層的血供及營養,尤其是黃斑中心凹的視網膜無血管曲的供血及營養則完全由脈絡膜供應。脈絡膜的厚度對其自身以及與其相鄰的視網膜都具有重要的作用,當脈絡膜變薄到一定程度而無法滿足視網膜和自身的氧氣和營養供應時,將導致視網膜功能障礙及視力的不可逆下降[13-14]。本研究采用高清五線深度掃描模式,以長度為 6 mm 的掃描線段對后極部黃斑中心凹行水平和垂直位掃描,選取其中經過黃斑中心凹的截面,以視網膜色素上皮層外界和鞏膜層內界的垂直距離為脈絡膜厚度,利用系統自帶的測量工具測量黃斑中心凹及中心凹上方、下方、鼻側、顳側 3、6 mm 處脈絡膜厚度,每個數值測量 3 次取平均值,所有數值相加取平均值。得出除正視組與低度近視組之間脈絡膜厚度無明顯差別外,其余各組之間脈絡膜厚度的差別均有統計學意義,這與之前的一些研究得到的結果[13-15]不盡相同。從研究結果可以看出,脈絡膜的厚度并不是隨著屈光不正度數的增加而逐步變薄的,脈絡膜厚度的變薄只在中度近視與高度近視組表現明顯。分析原因可能是由于脈絡膜的厚度與血管密度及其充盈狀態的改變密切相關,年齡的增長、系統性或眼疾等各種因素均能導致脈絡膜血管的丟失,使脈絡膜厚度降低,供血供氧能力減弱,這一系列改變在中度近視與高度近視中更明顯[13-14, 16-17]。而在正視與低度近視中不明顯的原因可能是由于之前的研究是分區域對脈絡膜厚度進行分析,得出在不同區域脈絡膜的厚度與屈光不正度數之間的聯系,而本研究是取眼球后極部各個方位脈絡膜厚度的平均值來進行分析。
而之前的研究還表明,視網膜、脈絡膜厚度會隨著年齡的增長而變薄[17-18],而本研究未對受試者的年齡進行標化,未排除年齡對研究結果的影響。期望在今后的研究中能得到更大的樣本量,排除各種干擾條件對結果的影響,來進一步研究近視性屈光不正對視網膜、脈絡膜的影響。
綜上所述,近視性屈光不正患者視網膜及脈絡膜厚度均隨著屈光不正度數的增加而大體呈現變薄的趨勢,但在某些組間存在著一定的差異,其中各組間脈絡膜厚度的差異較明顯,這與近視的形成過程與脈絡膜的影響因素有關系,隨著現在科學技術的不斷發展,以期在今后的研究中能排除各種干擾因素進一步研究視網膜及脈絡膜厚度與近視性屈光不正的關系。
近視是最常見的眼部疾病之一,對眼球多個組織結構都會產生一定影響。世界衛生組織已在“2020 行動綱要”中將近視列為威脅視力的主要疾病之一[1]。隨著科學技術的發展及生活方式的改變,近視呈現出低齡化及高增長的發展趨勢。為預防近視的發生,控制其發展,研究者們對近視的成因及影響其發展的因素等各個方面都做了大量研究[2]。本研究旨在對各個屈光度范圍的近視患者視網膜和脈絡膜厚度進行比較,以期得到近視患者視網膜及脈絡膜厚度的變化與屈光度的關系,對近視的發展研究提供更豐富的證據。現報告如下。
1 資料與方法
1.1 一般資料
選取 2015 年 10 月—2016 年 6 月在四川大學華西醫院眼科門診就診并確診為單純性近視的患者 161 例(322 只眼)。將其屈光不正的度數做等效球鏡換算,根據等效球鏡的范圍將其分為 3 組:等效球鏡在–0.25~–3.00 D 的患者歸為低度近視組,等效球鏡在–3.25~–6.00 D 的患者歸為中度近視組,等效球鏡在–6.25 D 以上者歸為高度近視組[3]。所有受試者的最佳矯正視力均≥0.8。低度近視組 64 例(128 只眼),其中男 34 例(68 只眼),女 30 例(60 只眼);年齡 20~45 歲;平均(30.09±11.65)歲。中度近視組 47 例(94 只眼),其中男 21 例(42 只眼),女 26 例(52 只眼);年齡 20~72 歲;平均(41.48±16.44)歲。高度近視組 50 例(100 只眼),其中男 23 例(46 只眼),女 27 例(54 只眼);年齡 18~76 歲,平均(36.24±13.79)歲。
選取 2016 年 1 月—6 月在四川大學華西醫院門診就診并通過在眼科的詳細檢查,排除包括屈光不正在內的所有眼部病變的正常志愿者共 53 例(106 只眼),為正視組。其中男 28 例(56 只眼),女 25 例(50 只眼);年齡 19~52 歲,平均(32.25±8.44)歲。所有志愿者均在檢測前告知其檢測事項并都獲得其同意的前提下進行檢測。
1.2 測量方法
所有受試者均進行單純醫學驗光及光學相干斷層成像(optical coherence tomography,OCT)檢查,為了減少人為誤差,每項檢查均固定一位操作人員進行檢查。
單純醫學驗光方法:檢查在暗室中進行,采用檢影驗光加綜合驗光儀檢測方法測得受試者的屈光不正度數及最佳矯正視力,根據受試者的屈光不正度數求得其等效球鏡度,并按照其等效球鏡度數進行分組。
OCT 方法:采用德國卡爾蔡司公司生產的 Cirrus HD-OCT 5000 光學相關斷層掃描儀的深度增強成像技術(enhanced depth imaging,EDI)進行檢測,受檢者下頜置于儀器的下頜托上,注視儀器中的亮點,采用 Macular cube 512×128 模式,以黃斑中心凹為原點掃描直徑為 6 mm 的后極部視網膜厚度,得到后極部視網膜厚度地形圖(圖 1),根據厚度地形圖得出以黃斑中心凹及中心凹上方、下方、鼻側、顳側 3 mm 及 6 mm 處的視網膜厚度,取所有方位厚度數值相加求得后極部視網膜厚度平均值。采用高清五線深度掃描模式,以長度為 6 mm 的掃描線段對后極部黃斑中心凹行水平和垂直位掃描,選取其中進過黃斑中心凹的截面,以視網膜色素上皮層外界和鞏膜層內界的垂直距離為脈絡膜厚度,利用系統自帶的測量工具測量黃斑中心凹及中心凹上方、下方、鼻側、顳側 3、6 mm 處脈絡膜厚度(圖 2),每個數值測量 3 次取平均值,所有數值相加取平均值。


1.3 統計學方法
采用 SPSS 17.0 軟件進行統計分析。計量資料以均數±標準差表示;計數資料以例數和百分比表示。采用單因素方差分析法分別分析各組間視網膜和脈絡膜厚度的差值是否具有差異。多組間比較,當正態分布且方差齊時采用方差分析,兩兩比較采用 SNK-q 檢驗;否則采用 Kruskal-Wallis 秩和檢驗,兩兩比較采用 Dunnett’s T3 檢驗。檢驗水準 α=0.05。
2 結果
除中度近視組與高度近視組間視網膜厚度比較差異無統計學意義(P>0.05)外,其余各組間視網膜厚度兩兩比較差異均有統計學意義(P<0.05),且視網膜厚度隨著屈光度的增加而變薄;除正視組與中度近視組間脈絡膜厚度比較差異無統計學意義(P>0.05)外,其余各組間脈絡膜厚度兩兩比較差異均有統計學意義(P<0.05)。見表 1。


3 討論
近視是指眼在調節放松的狀態下,平行光線經眼的屈光系統折射后聚焦在視網膜之前的一種眼的屈光狀態。近視是現階段普遍存在的一種眼病,已經成為了許多地區的公共衛生問題。并且隨著近視性屈光不正度數的不斷發展,合并的各種眼底病變及其他的眼部疾病的風險也隨之升高。因此,為了控制近視的發生與發展,對其發病機制及其影響因素的探索也成為了學者們研究的熱門領域[4-6]。之前的一些研究表明,隨著近視度數的增加,視網膜的厚度有變薄的趨勢[7-11]。視網膜是位于眼球壁內層的一層透明的薄膜,從內到外由 10 層細胞層組成,主要由視網膜色素上皮層和感覺細胞層組成。視網膜相當于一架照相機中的感光底片,專門負責感光成像,是眼球屈光系統成像的重要組成成分,其結構的紊亂或功能的缺失都將對眼球屈光成像造成不可逆轉的影響[2]。本研究通過 OCT 技術測量了不同屈光度的近視患者視網膜后極部以中心凹為原點直徑 6 mm 范圍的平均視網膜厚度,得出除中度近視組與高度近視組之間視網膜厚度無明顯差異外,其余各組之間視網膜厚度的差異均有統計學意義,且近視患者的視網膜厚度隨著屈光不正度數的增加而變薄。與之前的研究結果[8-11]有所不同的是,視網膜厚度的差異在中度近視組與高度近視組之間無統計學意義。近視患者的視網膜厚度隨著屈光不正度數的增加而變薄的原因可能是隨著近視度數的不斷增加,眼軸不斷延長,視網膜被動拉伸,視網膜視錐細胞外界破壞嚴重,視網膜色素上皮細胞排列紊亂,有核細胞層數減少,導致后極部循環障礙,視網膜逐步萎縮變薄;而中度近視與高度近視之間差異無統計學意義可能是兩組之間屈光度差異不明顯,高度近視組中超高度近視所占比例過小所致。
本研究還應用高清深度掃描技術測量了正視和近視性屈光不正患者黃斑中心凹脈絡膜厚度。高清深度掃描技術是在傳統的頻域 OCT 的基礎上進一步能反映脈絡膜組織結構的技術,是使更多的光線集中照射在脈絡膜甚至更深的鞏膜水平從而得到較清晰的脈絡膜影像,為觀察脈絡膜血管結構及測量脈絡膜厚度提供依據[12]。脈絡膜是位于視網膜和鞏膜之間的一層膜,含有豐富的血管和色素細胞,供應視網膜外層和色素上皮層的血供及營養,尤其是黃斑中心凹的視網膜無血管曲的供血及營養則完全由脈絡膜供應。脈絡膜的厚度對其自身以及與其相鄰的視網膜都具有重要的作用,當脈絡膜變薄到一定程度而無法滿足視網膜和自身的氧氣和營養供應時,將導致視網膜功能障礙及視力的不可逆下降[13-14]。本研究采用高清五線深度掃描模式,以長度為 6 mm 的掃描線段對后極部黃斑中心凹行水平和垂直位掃描,選取其中經過黃斑中心凹的截面,以視網膜色素上皮層外界和鞏膜層內界的垂直距離為脈絡膜厚度,利用系統自帶的測量工具測量黃斑中心凹及中心凹上方、下方、鼻側、顳側 3、6 mm 處脈絡膜厚度,每個數值測量 3 次取平均值,所有數值相加取平均值。得出除正視組與低度近視組之間脈絡膜厚度無明顯差別外,其余各組之間脈絡膜厚度的差別均有統計學意義,這與之前的一些研究得到的結果[13-15]不盡相同。從研究結果可以看出,脈絡膜的厚度并不是隨著屈光不正度數的增加而逐步變薄的,脈絡膜厚度的變薄只在中度近視與高度近視組表現明顯。分析原因可能是由于脈絡膜的厚度與血管密度及其充盈狀態的改變密切相關,年齡的增長、系統性或眼疾等各種因素均能導致脈絡膜血管的丟失,使脈絡膜厚度降低,供血供氧能力減弱,這一系列改變在中度近視與高度近視中更明顯[13-14, 16-17]。而在正視與低度近視中不明顯的原因可能是由于之前的研究是分區域對脈絡膜厚度進行分析,得出在不同區域脈絡膜的厚度與屈光不正度數之間的聯系,而本研究是取眼球后極部各個方位脈絡膜厚度的平均值來進行分析。
而之前的研究還表明,視網膜、脈絡膜厚度會隨著年齡的增長而變薄[17-18],而本研究未對受試者的年齡進行標化,未排除年齡對研究結果的影響。期望在今后的研究中能得到更大的樣本量,排除各種干擾條件對結果的影響,來進一步研究近視性屈光不正對視網膜、脈絡膜的影響。
綜上所述,近視性屈光不正患者視網膜及脈絡膜厚度均隨著屈光不正度數的增加而大體呈現變薄的趨勢,但在某些組間存在著一定的差異,其中各組間脈絡膜厚度的差異較明顯,這與近視的形成過程與脈絡膜的影響因素有關系,隨著現在科學技術的不斷發展,以期在今后的研究中能排除各種干擾因素進一步研究視網膜及脈絡膜厚度與近視性屈光不正的關系。